Abstract
Neuroblastoma is rare in the adult population, especially in thoracic or mediastinal locations, with only 25 previously reported cases. We report an additional example of primary thymic neuroblastoma in a previously asymptomatic 71-year-old man with an anterior mediastinal mass who underwent robotic excision with pericardium and adjacent lung. The tumor was a 5.2 cm partially encapsulated, white-tan and rubbery mass with grossly identifiable areas of necrosis (25%) and hemorrhage. Histologically, the specimen showed a rim of adipose tissue and residual thymic tissue with areas of cystic thymic epithelium and prominent lymphoid tissue containing Hassall’s corpuscles. The tumor was composed of uniform, round cells with scant cytoplasm and small nuclei with inconspicuous nucleoli set within a background of conspicuous neuropil. Mitotic figures were easily found. By immunohistochemistry, the tumor cells expressed synaptophysin, chromogranin, NKX2.2 (diffuse, nuclear), GFAP (patchy), SMI31 (neurofilament) (focal, cytoplasmic), and TdT (diffuse, nuclear), while lacking expression of CD99, TTF-1, CK 20, MCPyV, PHOX2B, Olig2, OCT3/4, CD45, CD3 and PAX5. S100 protein was negative in the neuroblastic cells, with scattered positive cells in a vague sustentacular-like pattern. Fluorescence in situ hybridization for isochromosome 12p and EWSR1 gene rearrangement were negative. As thymic neuroblastoma is extremely rare in adults, a neuroblastic tumor of germ cell origin (either primary or metastatic) or spread from a sinonasal tract tumor should be excluded because of differing treatments and prognoses. The properties of these rare neoplasms appear similar to olfactory neuroblastoma rather than pediatric-type neuroblastoma.
Keywords: Adult, Anterior mediastinum, Neuroblastoma, Thymus
Introduction
Neuroblastoma is the most common neurogenic tumor in children, typically occurring in infants and young children. The majority of cases are diagnosed prior to 5 years of age; rare cases are seen in older children and adults. Neuroblastomas arise from immature neural crest cells and have the potential to develop in various body sites, although they most commonly originate within the medulla of the adrenal gland. These tumors can also occur along the sympathetic chain/nerve ganglia, including the thoracic ganglia, a group of 12 paravertebral sympathetic ganglia in the posterior mediastinum, albeit less frequently as a primary site. Localized, posterior mediastinal neuroblastomas in young children have a more favorable prognosis in comparison to tumors occurring at other sites [1]. Adult-onset neuroblastomas are extremely rare, particularly in the anterior mediastinum/thymus, accounting for less than 1% of all neuroblastoma cases [2]. There are limited data detailing the biology and clinical course of these rare adult tumors, but they appear to exhibit distinct biological characteristics compared to pediatric or adolescent neuroblastomas and are associated with a less favorable prognosis [3]. Herein, we present a case highlighting the typical features of an anterior mediastinal neuroblastoma arising in an adult patient, along with a comprehensive review of existing literature since 1943.
Case report
The patient was an asymptomatic 71-year-old man with an anterior mediastinal mass who underwent robotic excision with pericardium and adjacent lung. The tumor was a 5.2 cm partially encapsulated, white-tan and rubbery mass with grossly identifiable areas of necrosis (25%) and hemorrhage. A minimal amount of loosely adherent adipose tissue was present. No evidence of syndrome of inappropriate antidiuretic hormone (SIADH) was reported, and the patient had no other known tumors. Histologically, the specimen showed a rim of adipose tissue containing residual thymic tissue (Fig. 1A) with areas of cystic thymic epithelium and prominent lymphoid tissue containing Hassall’s corpuscles. The tumor was composed of uniform, round cells with scant cytoplasm and small, round nuclei with inconspicuous nucleoli set within a background of conspicuous neuropil (Fig. 1B C). The tumor was identified near the ink of one soft tissue margin where there was disruption, which was considered to either represent a processing artifact or potentially a positive margin in that focal region. Mitotic figures were easily found (9–10 mitoses/10 high power fields). By immunohistochemistry, the tumor cells expressed synaptophysin, chromogranin, NKX2.2 (diffuse, nuclear) (Fig. 2A), GFAP (patchy), SMI31 (neurofilament) (focal, cytoplasmic), and TdT (Fig. 2B) (diffuse, nuclear), while lacking expression of CD99, TTF-1, CK20, MCPyV, PHOX2B (Fig. 2C), Olig2, OCT3/4, CD45, CD3 and PAX5. S100 protein was negative in the neuroblastic cells, with scattered positive cells in a vague sustentacular-like pattern. Ki-67 proliferative index was 10–20%. Fluorescence in situ hybridization for isochromosome 12p and EWSR1 gene rearrangement were negative. Post-operative serum tumor markers at 2 months were obtained and as follows: AFP 6.6 ng/mL, beta HCG less than 3 IU/L, and LDH 167 U/L. The patient continued surveillance imaging and showed no evidence of disease at 13 months of follow-up.
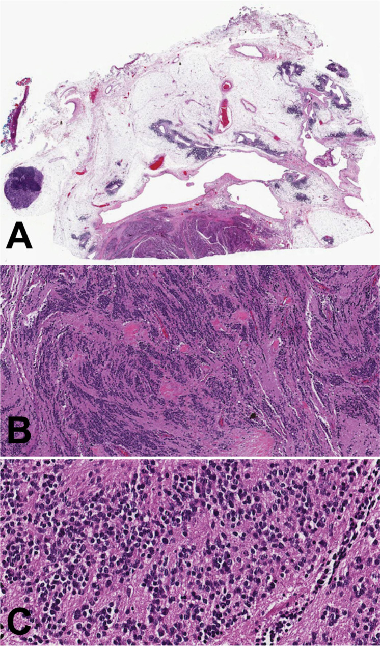
Fig. 1.
Microscopic images of the anterior mediastinal neuroblastoma. A. The tumor shows a rim of adipose tissue containing residual thymic tissue with areas of cystic thymic epithelium and prominent lymphoid tissue containing Hassall’s corpuscles. B-C. The tumor is composed of relatively uniform, round cells with scant cytoplasm and small nuclei with inconspicuous nucleoli set within a background of conspicuous neuropil
Fig. 2.
Immunohistochemical staining of the tumor cells. The tumor cells are positive for NKX2.2 (A) and TdT (B), while negative for PHOX2B (C)
Literature review
To our knowledge, to-date, there have been 25 cases of primary neuroblastoma in the anterior mediastinum, the majority of which were individual case reports, with a few case series (Table 1) [4–24]. Of the cases previously described, there was no gender predilection (males, 12 and females, 13). Our patient presented at a slightly older age than the mean age reported in the literature (71 years vs. 65 years, range 26 to 86 years; median 65 years). The tumor size in our case was slightly smaller than the mean size in prior reports (5.2 cm vs. 6 cm, range 3.4–12 cm; median 5.1 cm). Clinical presentations were as follows: sternal/chest pain (7, 1 also with severe myocardial infarction and 1 also with shortness of breath), asymptomatic (7), headache/dizziness/generalized fatigue/anorexia/nausea (6), hyponatremia (2), ataxia and oscillopsia (1), coronary artery disease (1), and not reported in 1 case. In 10 of 14 evaluated patients (71%) [8-11, 14, 16, 18, 20, 22, 23], serum levels of antidiuretic hormone were elevated (ranging from 2.1 to 6.4 pg/mL). Immunohistochemistry was performed as part of the initial diagnostic work up in 16 cases. In the majority of cases, immunostains for synaptophysin, chromogranin, CD56, and NSE showed positive expression, whereas epithelial markers were negative (i.e., CK AE1/AE3, Cam 5.2, EMA, CK 5/6), as well as CD99 and PHOX2B, when performed. One case, similar to our case, showed nuclear staining for TdT expression, although it was in a minor subset of tumor cells and not the diffuse positivity we found [23].
Table 1.
Reports of anterior mediastinal neuroblastoma and ganglioneuroblastoma cases published between 1943– present (including our case)
| Source | No. of cases | Age/Sex | Clinical presentation | Site | Size (cm) | Histology | Clinical evidence of SIADH, serum ADH level (pg/mL) | Immunohistochemistry | Molecular | Follow-up (mo/yr) | |
|---|---|---|---|---|---|---|---|---|---|---|---|
| Positive | Negative | ||||||||||
| Sailer (1943)[4] | 1 | 65/F | Headache, dizziness | AM | 5 | NB | NR | NP | NP | NP | Autopsy, incidental finding |
| Büthker et al. (1964) [5] | 1 | 67/F | Sternal pain, incidental finding | AM | 3.5 | NB | NR | NP | NP | NP | ANED, > 12 mo |
| Hutchinson et al. (1968) [6] | 1 | 51/M | Sternal pain, incidental finding | Thymus | 10 | NB | No | NP | NP | NP | ANED, 18 mo, adjuvant RT |
| Talerman et al. (1983) [7] | 1 | 61/F | Chest pain, severe MI | Thymus | 5.5 | GNB | No | NP | NP | NP | Autopsy, incidental finding |
| Kaye et al. (1986) [8] | 1 | 26/F | Nausea, anorexia, headache | AM, widespread deposits of metastatic tumor | NR | NB | Yes, 6.1 | NP | NP | NP | DOD. 18 mo, adjuvant ChT/RT |
| Salter et al. (1995) [9] | 1 | 80/F | Hyponatremia; history of renal cell carcinoma | AM | 7 | NB | Yes, NR | NSE, SYN, CG (few), S100 (sparse) | Vimentin, GFAP, CK AE1/AE3, Cam 5.2 | NP | ANED, 14 mo |
| Asada et al. (1996) [10] | 1 | 61/F | Fatigue and nausea | Thymus | 4 | GNB | Yes, 2.1 | NSE, CG, S100 (ganglion cells), ADH (occasional), NF, SYN | VIP, NPY, SST | NP | NR |
| Argani et al. (1997) [11] | 3 | 67/F | Coronary artery disease; history of endometrial and colonic carcinomas | Thymus | NR | GNB | Yes, NR | CG, SYN, NSE (Homer Wright rosettes and neuropil), Leu 7 (cases 1 and 3), neurofilament (case 3), S100 protein (spindled and dendritic cells, largely restricted to fibrovascular septa, prominent in cases 2 and 3) | CD99 (MIC2 gene product), GFAP, calcitonin, CK AE1/3, CAM 5.2 | NP | DOC, POD 10 |
| 80/M | NR | AM | 7.3 | NB | No | NP | ANED, 1.5 year after resection | ||||
| 71/F | Asymptomatic | AM | NR | NB | NR | NP | DOD, 1 year after resection (local extension, distant metastases) | ||||
| Nagashima et al. (1997) [12] | 1 | 79/M | Chest pain | AM | 8.0 | GNB | NR | NSE and NF (small), S100 protein, HMB-45, (moderate-sized cells), NSE and S100 protein (pyramidal cells) | ANED, 5 year after resection | ||
| Tateishi et al. (2003) [13] | 1 | 72/F | Asymptomatic | AM | NR | NB | NR | Vimentin (variable), CD56, CG, SYN, NSE, NF | CD99 | NR | NR |
| Ogawa et al. (2009) [14] | 1 | 60/M | Asymptomatic | Thymus, right lobe | 4.7 | NB | Yes, 6.4 | NSE, SYN CG, ADH | NR | NP | NR |
| Ohtaki et al. (2011) [15]* | 1 | 64/M | Asymptomatic | Superior mediastinum | 5.0 | NB | NR | NSE, SYN CG, CD56, vimentin | CK AE1/AE3, CK 5/6, EMA, E-cadherin, CD3, CD20, CD79a, CD117, S100 protein, SMA, CD99 | MYCN amplified | AWD, lymph nodes metastases at 10 mo |
| Pellegrino et al. (2012) [16] | 1 | 79/F | Progressive asthenia and severe hyponatremia | Thymus | 12 | NB | Yes, NR | NSE, SYN CG, CD56 | NR | NP | ANED, 24 mo |
| Ueda et al. (2012) [17] | 1 | 65/F | Asymptomatic | AM | 6.4 | NB | NR | SYN, CG, CD56 | Keratin | ANED, 15 mo | |
| Rogowitz et al. (2014) [18] | 1 | 86/M | Fatigue, feeling “shaky”, shortness of breath | AM | 5.2 | NB | Yes, NR | SYN, CG, CD56, S100 (focal), NF (neuropil) | CK AE1/AE3, GFAP, CD99 | FISH, ESWR1 negative | ANED, 11 mo |
| Wiesel et al. (2015) [19] | 1 | 62/M | Ataxia and oscillopsia | Thymus | 7.5 | NB | No | CG, SYN, NSE | CK AE1/AE3, CD99 | MYCN non-amplified | ANED, 6 mo |
| Satoh et al. (2019) [20] | 1 | 60/M | Asymptomatic | Thymus | 4.7 | NB | Yes, 6.4 | NR | NR | NR | ANED, > 10 yr |
| Yanik et al. (2019) [21] | 1 | 40/M | Anorexia, fatigue, headache, weight loss | AM (right paratracheal lesion); metastasis to hilar lymph nodes | NR | NB | NR | NR | NR | NR | ANED, 3 mo after resection with NACT |
| Watts et al. (2019) [22] | 1 | 62/M | Non-specific constitution symptoms | Thymus | NR | NB | Yes, NR | CD56, SYN, CG, NSE, Ki67 (20%) | NR | NR | NR |
| Kennedy et al. (2022) [23] | 1 | 83/M | Asymptomatic; history of prostatic adenocarcinoma | Thymus | 3.6 | NB | Yes, NR | CD56, CG, SYN (weak), NSE, ALK (weak), CD99, NeuN (variable), calretinin (variable), TdT and TTF1 (variable subset), SOX10 (rare), S100 (variable, rare), GFAP, PGP9.5 | PHOX2B, panCK, Cam 5.2, EMA, CK 5/6, p40, NKX3.1, CD45, MyoD1, desmin, WT1, NF | FISH, ESWR1 negative; NGS, diploid, 3q LOH, partial 3p loss (including SETD2) | |
| Moran et al. (2023) [24] | 3 | 57–63/ F (2), M (1) | Chest pain, cough, shortness of breath | Thymus | 3-4.5 | NB | NR | SYN (neuropil), NSE | S100 protein, CG, SYN, CD99 | NP | Alive (8–12 mo for 2 patients), Unknown for 1 patient |
| Current case | 1 | 71/M | Asymptomatic | Thymus | 5.2 | NB | No | SYN, CG,TdT NKX2.2, GFAP (patchy), SMI31 (focal, cytoplasmic) | TTF1, CK 20, MCPyV, PHOX2B, Olig2, OCT3/4, CD99 | FISH, EWSR1 and i12p negative | Recent |
* This case is described as occurring in the superior mediastinum, likely origin within overgrown thymus.
Abbreviations: AM, anterior mediastinum; ANED, alive with no evidence of disease; AWD, alive with disease; CAB, coronary artery bypass; ChT, chemotherapy; DOC, dead of other cause; DOD, dead of disease; FISH, fluorescence in situ hybridization; GNB, ganglioneuroblastoma; MI, myocardial infarction; NACT, neoadjuvant chemotherapy; NP, not performed; NR, not reported; POD, post-operative day; RT, radiation therapy; VF, ventricular fibrillation
Twenty-three patients had surgery initially. In addition, 3 of them received the following treatments: neoadjuvant chemotherapy (1 patient), adjuvant radiotherapy (1 patient); combination adjuvant chemotherapy and radiotherapy (1 patient). Two patients had tumor sampling at time of autopsy, without prior treatment. On follow-up of 17 patients, 11 were alive with no evidence of disease (follow-up range of 3 to 60 months; mean 16 months; median 13 months). One was alive with disease with lymph node metastasis at 10 months. Two were alive with unknown disease status at 8 and 12 months, and two died of disease at 12 and 18 months (1 with local extension and distant metastasis). One patient died of post-operative complications.
Discussion
Primary mediastinal neurogenic tumors are a recognized occurrence, predominantly located in the posterior mediastinum in the pediatric population. They are believed to originate from the paravertebral sympathetic chain, which accounts for their frequent location in the posterior mediastinum. Moreover, during embryonic development, there exists the potential for sympathetic cells to migrate into the anterior mediastinum, with a particular tendency to establish within the thymus [25]. Although rare, similar tumors have been observed in adults, primarily limited to the anterior compartment [4–24], to which we now add this additional case.
Among mediastinal neurogenic tumors, neuroblastomas and ganglioneuroblastomas are prevalent in pediatric patients, whereas neurofibromas and ganglioneuromas are more frequent in adults. It is worth noting that rare ependymomas [26] and anterior mediastinal schwannomas have also been reported [27]. In one of the largest series [28], Adam and Hochholzer recorded 80 instances of ganglioneuroblastomas of the posterior mediastinum, utilizing data from the Armed Forces Institute of Pathology, with only three patients over 20 years old.
When considering mediastinal neuroblastomas in older patients, the outcomes are generally poor. Jrebi, et al. [29] reported 15 patients with ages ranging from 19 to 33 years. Of these, two had neuroblastomas located in the mediastinum (exact compartment not specified). In one patient, the tumor involved both the retroperitoneum and mediastinum. Five of the 15 patients were asymptomatic, and their tumors were incidentally discovered during imaging studies. Roughly half had advanced stage disease, characterized by metastatic tumors and poor prognoses. In contrast, those patients in early stages of the disease had better outcomes, with survival periods extending up to 9 years. Kaye, et al. [8] conducted a smaller series involving adult patients with mediastinal neuroblastoma, encompassing four individuals, two of whom had anterior mediastinal tumors. While there are limited cases with extensive follow-up, cases of neuroblastoma primary to the anterior mediastinum appear to have a superior outcome than neuroblastomas arising in other locations in adults (Table 1).
Clinically, patients who have been documented with anterior mediastinal or thymic neuroblastomas have typically manifested non-specific symptoms and were over 50 years old. In documented cases, 10 of 14 patients (71%) [8–11, 14, 16, 18, 20, 22, 23] manifested abnormal secretion of antidiuretic hormone. Interestingly, olfactory neuroblastomas, similar to mediastinal and thymic neuroblastomas, can be linked to the SIADH [30–35], unlike classic pediatric-type neuroblastoma, which is not associated with the syndrome.
It is essential to underscore establishing a diagnosis of anterior mediastinal or thymic neuroblastoma can pose a challenge. When an adult patient presents with an anterior mediastinal mass, it strongly points to the likelihood of one of the more common tumor types, including thymic epithelial neoplasms, lymphoproliferative tumors, germ cell tumor, or an endocrine lesion (thyroid or parathyroid). When a neuroblastic tumor is found in this region, its derivation from a germ cell tumor or spread from another site, including the sinonasal tract, should be prime considerations. Furthermore, considering the cellular nature of neuroblastomas, it becomes essential to take into account the possibility of other small round cell neoplasms like rhabdomyosarcoma and Ewing sarcoma. Regarding the latter, the nuclear positivity of thymic neuroblastoma for NKX2.2 can represent a diagnostic pitfall since it is a commonly used marker for Ewing sarcoma. This underscores the need for additional testing, including CD99 immunohistochemistry and FISH analysis for EWSR1 rearrangement. In previously reported cases and our own experience, the definitive diagnosis of thymic neuroblastoma may only be achieved following complete surgical removal of the tumor, where a large panel of immunohistochemical stains and/or molecular analysis can be employed.
When exploring potential differential diagnoses for this tumor, we considered and eliminated other tumors with similar morphological characteristics. These included olfactory neuroblastoma (excluded based on clinical absence of nasal involvement) and Ewing sarcoma (due to lack of membranous CD99 staining and a negative EWSR1 FISH test). While the overall characteristics align most closely with a neuroblastoma diagnosis, there are several features that do not fit the profile of pediatric-type neuroblastomas. Although our patient did not show evidence of the SIADH, prior cases of anterior mediastinal/thymic neuroblastomas in adult patients were associated with the syndrome. From a clinical perspective, paraneoplastic SIADH is more commonly associated with small cell carcinoma, especially of pulmonary origin, whereas the paraneoplastic manifestations of pediatric-type neuroblastoma include opsoclonus-myoclonus-ataxia syndrome and Kerner-Morrison syndrome [36, 37]. Additionally, the SIADH is frequently observed in cases of olfactory neuroblastoma [38]. The immunohistochemical staining for TdT is also atypical in neuroblastoma, although it is worth noting that TdT positivity has been rarely documented in neuroblastoma cases [23, 39]. Moreover, PHOX2B has emerged as a highly reliable immunohistochemical marker for pediatric-type neuroblastoma due to its high sensitivity and specificity when compared to other small round blue cell tumors commonly encountered in childhood. However, as many as 50% of adult neuroblastomas, including the current tumor, do not express PHOX2B, implying a potential divergence in the cell lineage from which these tumors originate [40].
In summary, we present a case of primary thymic neuroblastoma. Our report emphasizes the importance of a comprehensive diagnostic evaluation. Those patients with tumors confined to the anterior mediastinum, lacking involvement of adjacent organs, showing no evidence of metastasis, and are suitable candidates for complete surgical removal, experience more favorable outcomes and appear biologic distinct from pediatric-type neuroblastomas. Therefore, early diagnosis of these tumors is imperative. It is prudent to consider thymic neuroblastoma in cases where mediastinal tumors show neural differentiation, particularly in adult patients, the possibility of a germ cell tumor should be excluded because of differing treatments and prognoses.
Authors’ contributions
Concept, design, and coordination: K.C., T.M.U., J.L.D. Compilation and analysis of clinicopathologic and clinical data: K.C., T.M.U., J.L.D. Article draft and table: K.C., T.M.U., J.L.D. Figures 1 and 2: K.C. All authors reviewed the manuscript.
Funding
This work was supported by Indiana University School of Medicine, Department of Pathology and Laboratory Medicine, Indianapolis, Indiana.
Data Availability
Data sharing is not applicable to this article as no datasets were generated or analysed during the current study.
Declarations
Ethics approval and consent to participate
Not applicable.
Consent for publication
Not applicable.
Conflict of interest
The authors do not have a conflict of interest associated with this publication, and there has been no significant financial support for this work that could have influenced its outcome.
Footnotes
Publisher’s Note
Springer Nature remains neutral with regard to jurisdictional claims in published maps and institutional affiliations.
References
- 1.Demir HA, Yalçin B, Büyükpamukçu N, et al. Thoracic neuroblastic tumors in childhood. Pediatr Blood Cancer. 2010;54:885–9. doi: 10.1002/pbc.22405. [DOI] [PubMed] [Google Scholar]
- 2.Esiashvili N, Goodman M, Ward K, et al. Neuroblastoma in adults: incidence and survival analysis based on SEER data. Pediatr Blood Cancer. 2007;49:41–6. doi: 10.1002/pbc.20859. [DOI] [PubMed] [Google Scholar]
- 3.Suzuki M, Kushner BH, Kramer K, et al. Treatment and outcome of adult-onset neuroblastoma. Int J Cancer. 2018;143:1249–58. doi: 10.1002/ijc.31399. [DOI] [PMC free article] [PubMed] [Google Scholar]
- 4.Sailer S. Mediastinal Sympathogonioma. Am J Path. 1943;19:101–19. [PMC free article] [PubMed] [Google Scholar]
- 5.Büthker W, Feltkamp-Vroom T, Groen AS, et al. Sympathicoblastoma in the anterior mediastinum. Dis Chest. 1964;46:531–6. doi: 10.1378/chest.46.5.531. [DOI] [PubMed] [Google Scholar]
- 6.Hutchinson JE, Nash AD, McCord CW. Neuroblastoma of the anterior mediastinum in an adult. J Thorac Cardiovasc Surg. 1968;56:147–52. doi: 10.1016/S0022-5223(19)42887-0. [DOI] [PubMed] [Google Scholar]
- 7.Talerman A, Gratama S. Primary ganglioneuroblastoma of the anterior mediastinum in a 61-year-old woman. Histopathology. 1983;7:967–75. doi: 10.1111/j.1365-2559.1983.tb02311.x. [DOI] [PubMed] [Google Scholar]
- 8.Kaye JA, Warhol MJ, Kretschmar C, et al. Neuroblastoma in adults. Three case reports and a review of the literature. Cancer. 1986;58:1149–57. doi: 10.1002/1097-0142(19860901)58:5<1149::AID-CNCR2820580529>3.0.CO;2-3. [DOI] [PubMed] [Google Scholar]
- 9.Salter JE, Gibson D, Ordóñez NG, et al. Neuroblastoma of the anterior mediastinum in an 80-year-old woman. Ultrastruct Pathol. 1995;19:305–10. doi: 10.3109/01913129509064235. [DOI] [PubMed] [Google Scholar]
- 10.Asada Y, Marutsuka K, Mitsukawa T, et al. Ganglioneuroblastoma of the thymus: an adult case with the syndrome of inappropriate secretion of antidiuretic hormone. Hum Pathol. 1996;27:506–9. doi: 10.1016/S0046-8177(96)90094-5. [DOI] [PubMed] [Google Scholar]
- 11.Argani P, Erlandson RA, Rosai J. Thymic neuroblastoma in adults: report of three cases with special emphasis on its association with the syndrome of inappropriate secretion of antidiuretic hormone. Am J Clin Pathol. 1997;108:537–43. doi: 10.1093/ajcp/108.5.537. [DOI] [PubMed] [Google Scholar]
- 12.Nagashima Y, Miyagi Y, Tanaka Y, et al. Adult ganglioneuroblastoma of the anterior mediastinum. Pathol Res Pract. 1997;193:727–32. doi: 10.1016/S0344-0338(97)80034-9. [DOI] [PubMed] [Google Scholar]
- 13.Tateishi U, Hasegawa T, Makimoto A, et al. Adult neuroblastoma: radiologic and clinicopathologic features. J Comput Assist Tomogr. 2003;27:321–6. doi: 10.1097/00004728-200305000-00004. [DOI] [PubMed] [Google Scholar]
- 14.Ogawa F, Amano H, Iyoda A, et al. Thymic neuroblastoma with the syndrome of inappropriate secretion of antidiuretic hormone. Interact Cardiovasc Thorac Surg. 2009;9:903–5. doi: 10.1510/icvts.2009.210229. [DOI] [PubMed] [Google Scholar]
- 15.Ohtaki Y, Ishii G, Hasegawa T, et al. Adult neuroblastoma arising in the superior mediastinum. Interact Cardiovasc Thorac Surg. 2011;13:220–2. doi: 10.1510/icvts.2010.262204. [DOI] [PubMed] [Google Scholar]
- 16.Pellegrino M, Gianotti L, Cassibba S, et al. Neuroblastoma in the Elderly and SIADH: Case Report and Review of the literature. Case Rep Med. 2012;2012:952645. doi: 10.1155/2012/952645. [DOI] [PMC free article] [PubMed] [Google Scholar]
- 17.Ueda Y, Omasa M, Taki T, et al. Thymic neuroblastoma within a thymic cyst in an adult. Case Rep Oncol. 2012;5:459–63. doi: 10.1159/000342357. [DOI] [PMC free article] [PubMed] [Google Scholar]
- 18.Rogowitz E, Babiker HM, Kanaan M, et al. Neuroblastoma of the elderly, an oncologist’s nightmare: case presentation, literature review and SEER database analysis. Exp Hematol Oncol. 2014;3:20. doi: 10.1186/2162-3619-3-20. [DOI] [PMC free article] [PubMed] [Google Scholar]
- 19.Wiesel O, Bhattacharyya S, Vaitkevicius H, et al. Ataxia induced by a thymic neuroblastoma in the elderly patient. World J Surg Oncol. 2015;13:178. doi: 10.1186/s12957-015-0594-6. [DOI] [PMC free article] [PubMed] [Google Scholar]
- 20.Satoh Y. A case report of a thymic neuroblastoma associated with syndrome of inappropriate secretion of antidiuretic hormone: ten-year follow-up results after surgical treatment. Int J Surg Case Rep. 2019;58:45–7. doi: 10.1016/j.ijscr.2019.03.056. [DOI] [PMC free article] [PubMed] [Google Scholar]
- 21.Yanik F, Karamustafaoglu YA, Yoruk Y. A rare mediastinal occurrence of neuroblastoma in an adult: case report. Sao Paulo Med J. 2019;137:104–6. doi: 10.1590/1516-3180.2017.0160140617. [DOI] [PMC free article] [PubMed] [Google Scholar]
- 22.Watts Francesca, Mahar Annabelle, Bayfield Matthew, et al. A case of adult thymic neuroblastoma associated with the syndrome of inappropriate secretion of antidiuretic hormone (SIADH) Pathology. 2019;51(Supplement 1):S103–S104. doi: 10.1016/j.pathol.2018.12.286. [DOI] [Google Scholar]
- 23.Kennedy GT, Sande CM, Surrey LF, et al. Anterior Mediastinal Neuroblastoma Associated with Syndrome of Inappropriate antidiuretic hormone secretion: a morphologic, immunohistochemical, and genetic case report and review of the literature. Int J Surg Pathol. 2022;30:689–96. doi: 10.1177/10668969221080061. [DOI] [PMC free article] [PubMed] [Google Scholar]
- 24.Moran CA, Truong M. Primary thymic neuroblastomas in adults: a clinicopathological and immunohistochemical study of three cases. Ann Diagn Pathol. 2023;62:152071. doi: 10.1016/j.anndiagpath.2022.152071. [DOI] [PubMed] [Google Scholar]
- 25.den Bakker MA, Oosterhuis JW. Tumours and tumour-like conditions of the thymus other than thymoma; a practical approach. Histopathology. 2009;54:69–89. doi: 10.1111/j.1365-2559.2008.03177.x. [DOI] [PubMed] [Google Scholar]
- 26.Wilson RW, Moran CA. Primary ependymoma of the mediastinum: a clinicopathologic study of three cases. Ann Diagn Pathol. 1998;2:293–300. doi: 10.1016/S1092-9134(98)80021-X. [DOI] [PubMed] [Google Scholar]
- 27.Tajima H, Tajima N, Yamamoto K, et al. Anterior mediastinal schwannoma: a case report. Radiat Med. 1995;13:175–7. [PubMed] [Google Scholar]
- 28.Adam A, Hochholzer L. Ganglioneuroblastoma of the posterior mediastinum: a clinicopathologic review of 80 cases. Cancer. 1981;47:373–81. doi: 10.1002/1097-0142(19810115)47:2<373::AID-CNCR2820470227>3.0.CO;2-O. [DOI] [PubMed] [Google Scholar]
- 29.Jrebi NY, Iqbal CW, Joliat GR, et al. Review of our experience with neuroblastoma and ganglioneuroblastoma in adults. World J Surg. 2014;38:2871–4. doi: 10.1007/s00268-014-2682-0. [DOI] [PubMed] [Google Scholar]
- 30.al Ahwal M, Jha N, Nabholtz JM, et al. Olfactory neuroblastoma: report of a case associated with inappropriate antidiuretic hormone secretion. J Otolaryngol. 1994;23:437–9. [PubMed] [Google Scholar]
- 31.Cullen MJ, Cusack DA, O’Briain DS, et al. Neurosecretion of arginine vasopressin by an olfactory neuroblastoma causing reversible syndrome of antidiuresis. Am J Med. 1986;81:911–6. doi: 10.1016/0002-9343(86)90368-2. [DOI] [PubMed] [Google Scholar]
- 32.Myers SL, Hardy DA, Wiebe CB, et al. Olfactory neuroblastoma invading the oral cavity in a patient with inappropriate antidiuretic hormone secretion. Oral Surg Oral Med Oral Pathol. 1994;77:645–50. doi: 10.1016/0030-4220(94)90328-X. [DOI] [PubMed] [Google Scholar]
- 33.Osterman J, Calhoun A, Dunham M, et al. Chronic syndrome of inappropriate antidiuretic hormone secretion and Hypertension in a patient with olfactory neuroblastoma. Evidence of ectopic production of arginine vasopressin by the Tumor. Arch Intern Med. 1986;146:1731–5. doi: 10.1001/archinte.1986.00360210105016. [DOI] [PubMed] [Google Scholar]
- 34.Singh W, Ramage C, Best P, et al. Nasal neuroblastoma secreting vasopressin. A case report. Cancer. 1980;45:961–6. doi: 10.1002/1097-0142(19800301)45:5<961::AID-CNCR2820450521>3.0.CO;2-V. [DOI] [PubMed] [Google Scholar]
- 35.Srigley JR, Dayal VS, Gregor RT, et al. Hyponatremia secondary to olfactory neuroblastoma. Arch Otolaryngol. 1983;109:559–62. doi: 10.1001/archotol.1983.00800220065016. [DOI] [PubMed] [Google Scholar]
- 36.Kanaji N, Watanabe N, Kita N, et al. Paraneoplastic syndromes associated with Lung cancer. World J Clin Oncol. 2014;5:197–223. doi: 10.5306/wjco.v5.i3.197. [DOI] [PMC free article] [PubMed] [Google Scholar]
- 37.WHO Classification of Tumours Editorial Board. Thoracic tumours. Lyon (France). International Agency for Research on Cancer; 2021.
- 38.Gray ST, Holbrook EH, Najm MH, et al. Syndrome of inappropriate antidiuretic hormone secretion in patients with olfactory neuroblastoma. Otolaryngol Head Neck Surg. 2012;147:147–51. doi: 10.1177/0194599812438842. [DOI] [PubMed] [Google Scholar]
- 39.O’Meara A, Breatnach F, Fin T, et al. Terminal Deoxynucleotidyl transferase positivity in Neuroblastoma. Acta Haematol. 1985;73:124–5. doi: 10.1159/000206301. [DOI] [PubMed] [Google Scholar]
- 40.Hung YP, Lee JP, Bellizzi AM, et al. PHOX2B reliably distinguishes neuroblastoma among small round blue cell tumours. Histopathology. 2017;71:786–94. doi: 10.1111/his.13288. [DOI] [PubMed] [Google Scholar]
Associated Data
This section collects any data citations, data availability statements, or supplementary materials included in this article.
Data Availability Statement
Data sharing is not applicable to this article as no datasets were generated or analysed during the current study.


