Abstract
The classification of the epithelial tumors of the male and female urethra includes benign and malignant neoplasms. Primary urethral carcinomas and adenocarcinomas of the accessory glands are the most relevant tumors, both from the morphologic and clinical point of view. An accurate diagnosis, grading and staging are essential for determining adequate treatment strategies and outcome. Information on anatomy and histology of the urethra is of fundamental importance in understanding the morphology of the tumors, including the clinical importance of their location and origin.
Keywords: Urethra, Urothelial carcinoma, Squamous cell carcinoma, Conventional adenocarcinoma, Clear cell adenocarcinoma, Accessory glans carcinoma
Introduction
The classification of the epithelial tumors of the male and female urethra includes benign tumors (including tumor-like lesions) and malignant tumors (primary carcinomas and tumors of the accessory gland) (Table 1).
Table 1.
Epithelial tumors of the male and female urethra
| Benign epithelial tumors (including tumor-like lesions) | |
| Malignant epithelial tumors | |
| Primary carcinomas | |
| Tumors of the accessory glands |
The aim of this paper is to describe the morphologic spectrum of the epithelial tumors of the male and female urethra based on a personal series of cases.
Anatomy and histology of the urethra
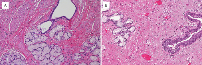
The male urethra can be subdivided into three segments: the prostatic urethra lined by urothelium, the membranous urethra located at the level of the urogenital diaphragm, spanning from the prostatic apex to the bulbous urethra, and the penile urethra. The membranous and penile urethras are lined by columnar epithelium. There are two types of accessory glands, the Cowper grand and the Littrè gland (Fig. 1A and B). The first is at the level of the membranous urethra with the duct opening in the bulbous urethra. The Littrè gland is at the level of the penile urethra. Both types of glands are composed of mucosecreting cells. The epithelium of the duct in the Cowper gland is somewhat similar to that in the salivary gland duct.
Fig. 1.
Cowper gland (A) and Littré gland (B)
The female urethra is composed of one segment only, spanning from the bladder neck or internal sphincter to the urogenital diaphragm or external sphincter. It corresponds to the location of the prostate gland in men. It is lined by non-keratinizing squamous epithelium. There is one type of accessory gland, called the Skene gland (Fig. 2A). It is lined by a bistratified epithelium similar to that of the normal prostatic ducts and acini, with basal cells and luminal cells (Fig. 2B), the latter positive immunohistochemically for PSA, PSMA (Fig. 2B, inserts), and other prostatic markers.
Fig. 2.
Skene gland
Benign epithelial tumors (including tumor-like lesions)
Benign epithelial tumors of the urethra are rare in both genders. Tumors and tumor-like lesions occurring in males are similar to those in the female urethra: villous adenoma, urothelial papilloma, squamous papilloma, nephrogenic adenoma (NA), and condyloma acuminatum. The prostatic-type polyp occurs in the prostatic urethra. The pathological importance is linked to the fact that benign tumors can enter the differential diagnosis of primary and secondary urethral carcinomas and vice versa. Figures 3 and 4 are examples of benign lesions of the urethra.
Fig. 3.
Condyloma acuminatum
Fig. 4.
Prostatic-type polyp
Figure 3A shows a typical example of condyloma acuminatum with a papillomatous architecture lined by nonkeratining squamous epithelium with koilocytic cell change (Fig. 3B) and p16 positive immunohistochemically (Fig. 3C). Low-risk human papillomavirus (HPV), i.e., HPV6 was detected in this case.
Figure 4A is an example of the prostatic-type polyp. It is of a benign lesion, seen in the prostatic urethra in a radical prostatectomy specimen, from a patient with prostate cancer. The lesion shows a villous configuration that protrudes into the urethral lumen and a bistratified epithelial lining similar to that present in the prostatic ducts and acini (Fig. 4B): the basal cells positive immunohistochemically for p63 and 34betaE12 (Fig. 4C) and the luminal cells positive for PSA (Fig. 4D). It has to be considered in the differential diagnosis of lesions with a villous configuration, either benign or malignant, of the urethra.
Primary urethral carcinoma
Primary urethral carcinoma (PUC) is rare: < 1% of all genitourinary malignancies. The annual age-adjusted incidence in the USA is between 1.5 and 4.2 per million. The incidence peaks in the 75–84-year age group. Men are almost three times more likely to develop PUC than women. Patients of African ethnicity are twice as likely to develop PUC than Caucasians [1, 2].
The classification of the PUCs includes urothelial carcinoma (UC), squamous cell carcinoma (SSC), and adenocarcinoma (ADC). UC is the most common primary type (43%), followed by SCC (31%) and ADC (26%) [3, 4]. There are additional extremely rare primary malignant tumors, such as adenosquamous carcinoma, neuroendocrine carcinoma, and undifferentiated carcinoma.
There are differences in terms of sex-specific and anatomic distribution between men and women. Such differences have a clinical significance. In men, the most common histology is UC (77.6%), followed by SCC (11.9%), ADC (5%) and other histologies (5.5%) [5). Carcinomas in the prostatic urethra are primarily UC, while carcinomas in the penile and bulbomembranous urethra are more likely to be SCC (75%). In women, the most common histology is UC (30–45%), followed by ADC (29%) and SCC (19–28%) [5]. Distal urethral and meatus tumors are most commonly SCC (70%), and tumors of the proximal urethra are UC (20%) or ADC (10%).
Secondary urethral carcinoma
Primary urethral carcinoma should be distinguished from secondary urethral carcinoma (or secondary involvement). Primary and secondary urethral carcinomas can be morphologically similar, their distinction being based on clinical information. The latter usually originates in tumors of the urinary bladder or prostate. Direct extension from vulvar Paget disease and from primary penile (glans) and skin (scrotum or perineum) carcinoma has been observed [6]. Rare cases of metastasis mimicking PUC have been reported [7].
Urothelial carcinoma
Primary UC is rare, compared to secondary involvement by bladder UC (~10–20%). When secondary, it can be synchronous or metachronous to bladder cancer. Primary and secondary urothelial carcinomas of the urethra are morphologically similar. Figures 5–7 are examples of UC involving the urethra.
Fig. 5.
Metachronous urothelial carcinoma in the penile urethra
Fig. 7.
Synchronous urothelial carcinoma of the prostatic urethra and nephrogenic adenoma
The images in Fig. 5 are from a penile total urethrectomy specimen in a patient with a previous cystoprostatectomy for pT3a high-grade (HG) UC of the bladder and an initial history of HG papillary carcinoma. It is an example of metachronous UC in the penile urethra (Fig. 5A). Morphologically, it is a papillary UC with fused papillae. The boundary with subepithelial connective tissue is sharp, indicating a non-invasive papillary neoplasm (Fig. 5B). The cells are clearly atypical in a background of altered architecture of the urothelium (Fig. 5C). This allows us to make a final diagnosis and grading. The classification, grading, and variants of UC are identical to those described in the bladder and other parts of the urinary system.
Figure 6 is an example of UC of the prostatic urethra in a cystoprostatectomy specimen in a patient with a long history of recurrent bladder cancer and with incidental prostate cancer. At low magnification, the mucosa of the anterior part of the urethra is ulcerated (Fig. 6A) and shows the presence of solid carcinoma with some microcystic features (Fig. 6B). The tumor is positive for markers typically expressed in UC. It infiltrates the stroma of the prostatic parenchyma. The urothelium adjacent to the invasive UC shows the presence of scattered atypical urothelial cells (Fig. 6C). This represents a form of CIS. The tumor is synchronous to bladder cancer.
Fig. 6.
Synchronous urothelial carcinoma of the prostatic urethra
Figure 7 shows an additional example of UC of the prostatic urethra in a cystoprostatectomy specimen in a patient with a transurethral resection (TUR)-based diagnosis of high-grade UC invading the muscularis propria of the bladder. At low magnification, the mucosa of the anterior part of the urethra shows the presence of a neoplasm widely invading the anterior part of the prostate (Fig. 7A). It is a high-grade UC with some stromal retraction. Adjacent to this carcinoma, there is a lesion with tubular and microcystic appearance (Fig. 7B). There seems to be some kind of transition from the solid UC and the lesion with tubular and microcystic appearance (Fig. 7C). The question is whether it is a UC with divergent differentiation or a combination of UC and NA. The results of immunohistochemistry show that the neoplasia is GATA3 positive (Fig. 7D) as in UC and the other part is PAX8 (Fig. 7D) as in NA. The message from the case is that primary urethral carcinomas may mimic benign lesions and vice versa.
Squamous cells carcinoma
Squamous cells carcinoma is similar in histology to SCC at other sites. It is graded on a 3-tiered system and can range in morphology from well differentiated (including the rare verrucous variant) to moderately differentiated (the most common) to poorly differentiated, including basaloid and sarcomatoid. The tumors arising in the distal one-third of the female urethra are frequently low-grade SCC or verrucous carcinoma.
The urethra is occasionally the site of a secondary involvement of a SCC originating from adjacent organs, in a manner similar to that seen with UC: synchronous or metachronous.
SCC of the urethra can be associated with high-risk HPV infection both in female and male patients. In particular, HPV16 or HPV18 may be detected in up to 60% of SCCs in women, whereas in men about 30% of SCCs are positive for HPV16 [8, 9]. The presence of HPV does not mean that the tumor is aggressive. In fact, some HPV16 positive tumors may have a more favorable prognosis. Not all SCCs are HPV related. For instance, tumors in the bulbar urethra are usually negative. Figures 8–10 are examples of SCC involving the urethra.
Fig. 8.
Squamous cells carcinoma in the female urethra
Fig. 10.
Metachronous well differentiated squamous cells carcinoma of the female urethra
Figure 8 is an example of SCC originating in the female urethra; its location was the distal one-third. The tumor invades the periurethral muscle (Fig. 8A). Its morphology is shown in the image: SCC with very few keratin pearls, i.e., the tumor is poorly differentiated (Fig. 8B). By immunohistochemistry, the lesion is p16 positive (Fig. 8C). HPV18, a high-risk HPV, was detected with molecular techniques.
Figure 9 is another example of SCC. This was in the male urethra. The tumor shows an in-situ component (Fig. 9A) and invasion of the corpus spongiosum (Fig. 9B). Both the non-invasive and invasive components are composed of cells with basaloid features (Fig. 9C). In the invasive component, there is an abrupt transition from vital cells to necrosis (Fig. 9D). This is seen in the basaloid variant of SCC. Molecular techniques have shown the presence of HPV16.
Fig. 9.
Male urethra: basaloid variant of squamous cells carcinoma
Figure 10A is an example of a well differentiated SCC of the distal part of the female urethra associated, distally, with an in situ component with pagetoid features (Fig. 10B). The patient had SCC of the vulva in her past clinical history. The tumor can be considered a direct extension from the vulva (metachronous), rather than primary in the urethra.
Adenocarcinoma
The adenocarcinoma of the urethra can be subdivided into two groups, conventional or nonclear cell adenocarcinoma and clear cell adenocarcinoma. Conventional adenocarcinoma derives from the surface epithelial lining. It shows a male predominance with a ratio M:F of 2–3 to 1. Clear cell adenocarcinoma is considered of Müllerian origin, i.e., thought to arise from preexisting Müllerian precursors within the urinary bladder and urethra, and shows a female predominance with a ratio of 1 to 4.6 [10, 11].
Conventional adenocarcinoma
Conventional adenocarcinoma of the urethra shows a range of patterns similar to that originating in the bladder. The most common is the enteric (colonic) type adenocarcinoma, and adenocarcinoma, not otherwise specified. There are also rarer histologic subtypes such as signet ring cell, mucinous (or colloid), hepatoid, and mixed forms. ADCs are usually graded following criteria similar to ADCs in other organs (i.e., degree of differentiation). Rare cases of ADC originating in the accessory glands can appear as conventional ADC. Rare tumors have a resemblance to prostate cancer. Some types of adenocarcinomas (such as the enteric type) are associated with (or arise from) intestinal metaplasia, including villous adenoma. Such lesions arise from the surface epithelium and are seen in association with longstanding inflammatory insult, diverticulum or stricture [12, 13]. Figures 11–14 are examples of conventional adenocarcinoma of the urethra.
Fig. 11.
Adenocarcinoma of enteric type in the male urethra
Fig. 14.
Ductal prostate adenocarcinoma with extension through periurethral ducts into the urethra
Figure 11A is an example of adenocarcinoma of enteric type in the male urethra. It is similar to that usually seen in the colon (Fig. 11B). It invades the subepithelial connective tissue. Grading is that used in the adenocarcinoma of the colon. The mucosa adjacent to the invasive neoplasms shows intestinal metaplasia and high-grade dysplasia (Fig. 11C); very similar lesions are seen in the bladder and even in the colon in association with adenocarcinoma. Immunohistochemistry was applied in order to confirm the primary nature of the adenocarcinoma. The tumor was intensely stained for beta catenin (Fig. 11D), at the level of the cell membrane. Such information is of fundamental importance for confirming the primary nature. A study published by Liang Cheng and his group [14] aimed at distinguishing primary adenocarcinoma of the urinary bladder from secondary involvement by colorectal adenocarcinoma. The study reported that Beta catenin is membranous in 92% and nuclear in the remaining 8% of primary bladder adenocarcinomas, whereas is nuclear in 92% of cases of secondary involvement of the bladder by colorectal cancer. However, there are many exceptions to this nuclear vs. membranous pattern distribution in colorectal cancer.
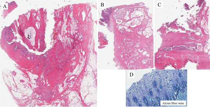
Figure 12A is an example of primary adenocarcinoma originating in a diverticulum in a female urethra. According to the literature, ADC is the most common histologic type of primary urethral carcinoma arising in a setting of diverticulum. It is a poorly differentiated adenocarcinoma (Fig. 12B) with membranous expression of beta catenin. The mucosa adjacent to the ADC shows intestinal metaplasia with dysplasia (Fig. 12C). A paper, published by Dr Hale and collaborators, described such an association, that is, ADC and intestinal type metaplasia [15].
Fig. 12.
Adenocarcinoma in a diverticulum in the female urethra
Figure 13 is another case of adenocarcinoma of enteric type and with mucinous features in a patient with a history of bladder adenocarcinoma. The neoplasm is present in the bladder where it invades the perivesical fat (Fig. 13A) and involves the prostatic urethra (Fig. 13B) and the penile urethra (Fig. 13C). This can be considered a direct extension of the tumor to the urethra from the urinary bladder. It is synchronous. The surgical procedure included total penectomy. Histological samples of the glans show, as you can see in the alcian blue stained slide, atypical cells with cytoplasmic vacuoles present in the thickness of the squamous epithelium (Fig. 13D). This particular case was reported in the literature by Dr Cimadamore as extramammary Paget disease of the penis closely mimicking the penile analog of stratified mucin-producing intraepithelial lesion [16].
Fig. 13.
Synchronous Adenocarcinoma of the prostatic and penile urethra
The histological images in Fig. 14A are from a TUR of a velvety lesion on the surface of the posterior urethra in proximity to the verumontanum. Histologically, the lesion shows a villous appearance with a minor degree of atypicality, reminiscent of villous adenoma with dysplasia (Fig. 14B). The lesion was on the surface of the mucosa with some extension within periurethral ducts. The differential diagnosis includes villous adenoma with dysplasia, prostatic-type polyp, and ductal prostate adenocarcinoma with extension through periurethral ducts into the urethra. Immunohistochemistry has a great role in refining the diagnosis. PSA is positive (Fig. 14C). This excludes villous adenoma. It remains prostatic-type polyp vs. ductal ADC. Immunohistochemistry for p63+34betaE12 shows that basal cells are not present (Fig. 14D). This excludes the diagnosis of prostatic-type polyp. The final diagnosis is ductal ADC, a lesion that has to be considered in the differential diagnosis of conventional adenocarcinoma of the urethra and its associated lesions or precursors.
Clear cell adenocarcinoma
CCA is characterized by pattern heterogeneity within the same neoplasm: solid, tubular, tubulocystic, or papillary patterns. Cytologically, it shows abundant clear to eosinophilic cytoplasm that contains glycogen and little or no mucin. Occasionally, the luminal location of the nuclei imparts a hobnail appearance to the cells. The nuclei in clear cell adenocarcinoma vary in morphology from high grade to low grade. The former is more frequently observed. When low grade is present, the neoplasm resembles nephrogenic adenoma and the differential diagnosis may be challenging in a small biopsy. However, there are morphologic criteria that can help us differentiate NA from CCA [17, 18]. Hartmann et al. reported a case with molecular evidence for progression of NA of the urinary bladder to CCA [19]. The exact relationship of CCA to NA is still controversial.
Figures 15–17 are examples of CCA of the urethra. These images of Fig. 15 are from a typical case of clear cell adenocarcinoma, both from the architectural and cellular point of view (Fig. 15A). In some areas, a hobnail appearance due to the luminal location of the nuclei is seen (Fig. 15B). PAX8 is positive in this type of adenocarcinoma (Fig. 15C), whereas it is negative in conventional adenocarcinoma. The image in Fig. 15D is from the same case shown in Fig. 15A. It represents an area with nephrogenic adenoma-like clear cell adenocarcinoma. A final diagnosis is feasible based on the morphologic evaluation of all the patterns present in the neoplasia. In cases of clear cell adenocarcinoma of the bladder and urethra diffusely mimicking nephrogenic adenoma, as suggested in a paper by Dr Epstein and colleagues, the key features discriminating between nephrogenic adenoma-like clear cell adenocarcinoma and nephrogenic adenoma include occasional clear cells, more prominent pleomorphism especially hyperchromatic enlarged nuclei, and extensive muscular invasion [17].
Fig. 15.
Clear cell adenocarcinoma of the urethra
Fig. 17.
Cowper gland adenocarcinoma
The differential diagnosis becomes more complicated with unusual variants of NA and of CCA. Figure 16A and B are from a case of fibromyxoid nephrogenic adenoma, a rare variant of NA that consists of compressed spindle-shaped renal epithelial cells in a fibromyxoid background. In nearly a quarter of the cases, fibromyxoid nephrogenic adenoma extends beyond the lamina propria. It can be pure in morphology or intermixed with typical NA or with malignant neoplasms. There is a very rare case of variant of clear cell carcinoma or adenocarcinoma, occurring in different organs, including the urethra, and that can mimic fibromyxoid nephrogenic adenoma (Fig. 16C and D). The architecture and cell type are similar to classic clear cell adenocarcinoma, including PAX8 positivity. It consists of clear cells arranged in nests or trabeculae with a hyalinized stroma. The degree of cytological atypia is much higher than in NA. This case was seen in the bulbous urethra. The patient developed metastasis with the same features. It is called hyalinizing clear cell carcinoma.
Fig. 16.
Fibromyxoid nephrogenic adenoma and hyalinizing clear cell carcinoma
In rare occasions, CCA can mimic metastatic clear cell renal cell carcinoma, mainly for the presence of cells with clear cytoplasm, including PAX8 expression. However, the architecture and marker expression are different between the two types of carcinomas. CAIX is positive in the clear cell renal cell carcinoma and is negative in CCA.
Tumors originating in the accessory glands
Adenocarcinoma originating in the accessory glands, in particular, in the Cowper and Littré glands in men and Skene glands in women is exceedingly rare. The best indicators of accessory gland origin are absence of neoplastic changes in the urethral epithelium and partial involvement of recognizable periurethral glands. Very limited information about biological behavior: prognosis is related to stage.
The Cowper gland adenocarcinoma
The Cowper gland adenocarcinoma occurs in the proximal (bulbomembranous) urethra, and the Littré gland adenocarcinoma originates in the periurethral glands of the penile urethra. These two types of adenocarcinomas can be distinguished on the basis of their location and also morphology [20].
Cowper gland adenocarcinoma usually shows the morphology of adenoid cystic carcinoma, similar to that seen in the salivary glands. This type of tumor is characterized by the chromosomal translocation typically found in the salivary tumor, i.e., MYB-NFIB gene fusion. Mucin either intracytoplasmic or as frank mucinous component, as in adenocarcinoma with enteric features, is rare. Immunohistochemistry shows that the neoplastic cells are CK7 positive and PSA negative [21].
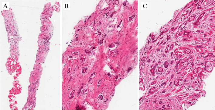
Figure 17A–C show an example of the Cowper gland adenocarcinoma. At low magnification, the neoplasm invades the striated sphincter (external urethral sphincter) (Fig. 17A). The other images show the neoplasms at a higher magnification, and an adenoid cystic pattern is shown, associated with a fibrous stromal reaction, apart from hypoxic areas (Figure 17B and C).
Littré gland adenocarcinoma
The Littré gland adenocarcinoma shows papillary or tubulopapillary architecture. The cells are columnar with abundant cytoplasm and mucinous vacuoles. Nuclei are large and oval, without marked pleomorphism. Rare cases may show morphologic features similar to those originating from the surface, in particular ADC with an enteric pattern. Immunohistochemistry does not help in making a final diagnosis of this type of accessory gland adenocarcinoma. The neoplastic cells are positive for CK7 and negative for PSA [22].
Figure 18A shows images from a biopsy of a neoplasm in the penile urethra. The surface is lined by a squamous epithelium. The subepithelial connective tissue shows an adenocarcinoma with mucous vacuoles (Fig. 18B). Immunohistochemistry shows membranous expression of beta catenin (Fig. 18C) as seen in the primary adenocarcinoma of the urethra. In the subepithelial connective tissue, adjacent to the neoplasia, there are some glandular structures partly lined by a squamous epithelium and, more distantly from the surface, a glandular epithelium. At a higher magnification, the glandular epithelium shows some degree of atypicality. This might represent partial involvement of recognizable periurethral glands.
Fig. 18.
Littré gland adenocarcinoma
Skene gland adenocarcinoma
The Skene gland adenocarcinoma in the female urethra shows histologic similarities with prostatic acinar adenocarcinoma. Various patterns can be seen, such as papillary, tubulopapillary, tubular, solid, and cribriform patterns. The neoplasia is positive immunohistochemically for prostate markers, such as PSA, PSAP, NKX3.1, AMACR, and P501S. Mutation and loss of heterozygosity of the PTEN gene can be detected [23].
These images of Fig. 19A are from a case of Skene gland adenocarcinoma invading the subepithelial connective tissue and the periurethral muscle (T2). The surface epithelium is not affected by the neoplasm (Fig. 19B). Immunohistochemistry shows a diffuse and intense staining for PSA (Fig. 19C). When the neoplasm is located distally, close to the external sphincter, a Bartholin gland carcinoma should be considered in the differential diagnosis. Bartholin gland carcinoma is negative for PSA. This helps in making a final diagnosis. Serum PSA is elevated in women with Skene gland adenocarcinoma. Changes in the serum level are a reliable marker to monitor response to therapy.
Fig. 19.
Skene gland adenocarcinoma
Conclusions
An accurate diagnosis, grading and staging are essential for determining adequate treatment strategies and outcome. An accurate diagnosis can be based on the latest revision of the WHO blue book. Staging is one of the most important prognostic factors (together with tumor location). It is based on the TNM classification of tumors of the urethra (included in the Cancer Staging Manual, Eight Edition, 2017) [24] (Tables 2 and 3). Tumor location is also important in terms of prognosis. Five-year survival in women is 51% for proximal tumors vs. 6% for distal tumors. In men, it is 50% for proximal tumors vs. 20% for distal tumors [25].
Table 2.
Staging of the tumors of the prostatic urethra (pT Category)
| Tis: Carcinoma in situ involving the prostatic urethra or periurethral or prostatic ducts without stromal invasion | |
| T1: Tumor invades urethral subepithelial connective tissue immediately underlying the urothelium | |
| T2: Tumor invades the prostatic stroma surrounding ducts either by direct extension from the urothelial surface or by invasion from prostatic ducts | |
| T3: Tumor invades the periprostatic fat | |
| T4: Tumor invades other adjacent organs (e.g., extraprostatic invasion of the bladder wall, rectal wall) |
Table 3.
Staging of the tumors of the male penile urethra and female urethra (pT Category)
| TX: Primary tumor cannot be assessed | |
| T0: No evidence of primary tumor | |
| Ta: Non-invasive papillary carcinoma | |
| Tis: Carcinoma in situ | |
| T1: Tumor invades subepithelial connective tissue | |
| T2: Tumor invades any of the following: corpus spongiosum, periurethral muscle | |
| T4: Tumor invades adjacent organs (e.g., invasion of the bladder) |
Specimen handling and reporting can be based on the CAP (College of American Pathologists) protocol for the examination of the tumors of the urethra and the reporting guide according to the ICCR (International Collaboration on Cancer Reporting) [26]. The EAU guidelines on primary urethral carcinoma made recommendations for morphologic diagnosis, grading and staging [27]. The recommendation was strong for the 2017 TNM staging and for the most recent WHO blue book revision. In particular, the guidelines suggested that specimen handling should follow the general rules published by the International Collaboration on Cancer Reporting (Also known as ICCR) [28].
Acknowledgements
The cases included in this paper were originally collected from a personal series of one of the authors (RM) and included in a presentation organized by the International Society of Urological Pathology (https://isupweb.org/isup/blog/isup-presents/). The current contribution deals with epithelial tumors only. Nonepithelial tumors will be covered in a separate contribution.
Author contribution
Rodolfo Montironi: contributed to the writing of manuscript; Alessia Cimadamore: contributed to the production of the figures; Antonio Lopez-Beltran, Liang Cheng: critically revised the work.
Funding
Open access funding provided by Università degli Studi di Udine within the CRUI-CARE Agreement.
Declarations
Ethics approval and consent to participate
The author has complied with all ethical standards as outlined on the Virchows Archiv website. Research involving human participants and/or animals is not reported. There was no need for an informed consent.
Conflict of interest
The authors declare no competing interests.
Footnotes
Publisher’s note
Springer Nature remains neutral with regard to jurisdictional claims in published maps and institutional affiliations.
Contributor Information
Alessia Cimadamore, Email: alessia.cimadamore@uniud.it.
Rodolfo Montironi, Email: rodolfo.montironi51@gmail.com.
References
- 1.Swartz MA, Porter MP, Lin DW, Weiss NS. Incidence of primary urethral carcinoma in the United States. Urology. 2006;68(6):1164–1168. doi: 10.1016/j.urology.2006.08.1057. [DOI] [PubMed] [Google Scholar]
- 2.Wenzel M, Nocera L, Collà Ruvolo C, et al. Incidence rates and contemporary trends in primary urethral cancer. Cancer Causes Control. 2021;32:627–634. doi: 10.1007/s10552-021-01416-2. [DOI] [PMC free article] [PubMed] [Google Scholar]
- 3.Rabbani F. Prognostic factors in male urethral cancer. Cancer. 2011;117(11):2426–2434. doi: 10.1002/cncr.25787. [DOI] [PubMed] [Google Scholar]
- 4.Aleksic I, Rais-Bahrami S, Daugherty M, Agarwal PK, Vourganti S, Bratslavsky G. Primary urethral carcinoma: a surveillance, epidemiology, and end results data analysis identifying predictors of cancer-specific survival. Urol Ann. 2018;10(2):170–174. doi: 10.4103/UA.UA_136_17. [DOI] [PMC free article] [PubMed] [Google Scholar]
- 5.Farrell MR, Xu JT, Vanni AJ. Current perspectives on the diagnosis and management of primary urethral cancer: a systematic review. Res Rep Urol. 2021;13:325–334. doi: 10.2147/RRU.S264720. [DOI] [PMC free article] [PubMed] [Google Scholar]
- 6.Damotte D, Chretien Y, Dufour B, Brousse N. Paget’s disease of the prostatic urethra revealing a bladder carcinoma. Histopathology. 1998;33(5):492–494. doi: 10.1046/j.1365-2559.1998.0491g.x. [DOI] [PubMed] [Google Scholar]
- 7.Chen YL, Chian JH, Hsiao PJ. Mucin-producing urothelial-type adenocarcinoma of the prostate as a mimicker of colonic adenocarcinoma: a case report and review of the literature. Int J Surg Pathol. 2012;20(2):191–195. doi: 10.1177/1066896911414272. [DOI] [PubMed] [Google Scholar]
- 8.Wiener JS, Liu ET, Walther PJ. Oncogenic human papillomavirus type 16 is associated with squamous cell cancer of the male urethra. Cancer Res. 1992;52(18):5018–5023. [PubMed] [Google Scholar]
- 9.Wiener JS, Walther PJ. A high association of oncogenic human papillomaviruses with carcinomas of the female urethra: polymerase chain reaction-based analysis of multiple histological types. J Urol. 1994;151(1):49–53. doi: 10.1016/s0022-5347(17)34870-x. [DOI] [PubMed] [Google Scholar]
- 10.Ortiz-Brüchle N, Wucherpfennig S, Rose M, et al. Molecular characterization of Muellerian tumors of the urinary tract. Genes (Basel) 2021;12(6):880. doi: 10.3390/genes12060880. [DOI] [PMC free article] [PubMed] [Google Scholar]
- 11.Banthia R, Singh UP, Danish N, Lal H. Primary mucinous cell adenocarcinoma of female urethra. BMJ Case Rep. 2022;15(10):e248507. doi: 10.1136/bcr-2021-248507. [DOI] [PMC free article] [PubMed] [Google Scholar]
- 12.Dimitroulis D, Patsouras D, Katsargyris A, Charalampoudis P, Anastasiou I, Kouraklis G. Primary enteric-type mucinous adenocarcinoma of the urethra in a patient with ulcerative colitis. Int Surg. 2014;99(5):669–672. doi: 10.9738/INTSURG-D-13-00073.1. [DOI] [PMC free article] [PubMed] [Google Scholar]
- 13.Suzuki K, Morita T, Tokue A. Primary signet ring cell carcinoma of female urethra. Int J Urol. 2001;8(9):509–512. doi: 10.1046/j.1442-2042.2001.00361.x. [DOI] [PubMed] [Google Scholar]
- 14.Rao Q, Williamson S, Lopez-Beltran A, et al. Distinguishing primary adenocarcinoma of the urinary bladder from secondary involvement by colorectal adenocarcinoma: extended immunohistochemical profiles emphasizing novel markers. Mod Pathol. 2013;26:725–732. doi: 10.1038/modpathol.2012.229. [DOI] [PubMed] [Google Scholar]
- 15.Hale CS, Huang H, Melamed J, Xu R, Roberts L, Wieczorek R, Pei Z, Lee P. Urethral adenocarcinoma associated with intestinal-type metaplasia, case report and literature review. Int J Clin Exp Pathol. 2013;6(8):1665–1670. [PMC free article] [PubMed] [Google Scholar]
- 16.Cimadamore A, Scarpelli M, Cheng L, Lopez-Beltran A, Montironi R. Extramammary Paget disease of the penis closely mimicking the penile analogue of stratified mucin-producing intraepithelial lesion. Minerva Urol Nefrol. 2019;71(\):189–190. doi: 10.23736/S0393-2249.18.03145-4. [DOI] [PubMed] [Google Scholar]
- 17.Herawi M, Drew PA, Pan CC, Epstein JI. Clear cell adenocarcinoma of the bladder and urethra: cases diffusely mimicking nephrogenic adenoma. Hum Pathol. 2010;41(4):594–601. doi: 10.1016/j.humpath.2009.10.011. [DOI] [PubMed] [Google Scholar]
- 18.Oliva E, Young RH. Clear cell adenocarcinoma of the urethra: a clinicopathologic analysis of 19 cases. Mod Pathol. 1996;9(5):513–520. [PubMed] [Google Scholar]
- 19.Hartmann A, Junker K, Dietmaier W, et al. Molecular evidence for progression of nephrogenic metaplasia of the urinary bladder to clear cell adenocarcinoma. Hum Pathol. 2006;37(1):117–120. doi: 10.1016/j.humpath.2005.09.013. [DOI] [PubMed] [Google Scholar]
- 20.Chughtai B, Sawas A, O'Malley RL, Naik RR, Ali Khan S, Pentyala S. A neglected gland: a review of Cowper’s gland. Int J Androl. 2005;28(2):74–77. doi: 10.1111/j.1365-2605.2005.00499.x. [DOI] [PubMed] [Google Scholar]
- 21.Zhang M, Pettaway C, Vikram R, Tamboli P. Adenoid cystic carcinoma of the urethra/Cowper’s gland with concurrent high-grade prostatic adenocarcinoma: a detailed clinicopathologic case report and review of the literature. Hum Pathol. 2016;58:138–144. doi: 10.1016/j.humpath.2016.07.027. [DOI] [PubMed] [Google Scholar]
- 22.Raspollini MR, Carini M, Montironi R, Cheng L, Lopez-Beltran A. Mucinous Adenocarcinoma of the male urethra: a report of two cases. Anal Quant Cytopathol Histpathol. 2015;37(4):267–272. [PubMed] [Google Scholar]
- 23.Slopnick EA, Bagby C, Mahran A, Nagel C, Garcia J, El-Nashar S, Hijaz AK. Skene's gland malignancy: a case report and systematic review. Urology. 2022;165:36–43. doi: 10.1016/j.urology.2022.02.004. [DOI] [PubMed] [Google Scholar]
- 24.Amin MB, Edge SB, Greene FL, et al. eds. AJCC Cancer Staging Manual. 8. New York, NY: Springer; 2017. [Google Scholar]
- 25.Traboulsi SL, Witjes JA, Kassouf W. Contemporary management of primary distal urethral cancer. Urol Clin North Am. 2016;43(4):493–503. doi: 10.1016/j.ucl.2016.06.010. [DOI] [PubMed] [Google Scholar]
- 26.Paner GP, McKenney JK, Zhou M et al (2019) Protocol for the examination of resection specimens from patients with carcinoma of the urethra and periurethral glands. Version: Urethra Resection 4.0.2.0 Protocol Posting Date: August 2019. https://documents.cap.org/protocols/cp-urinary-urethra-resection-19-4020.pdf
- 27.Gakis G, Witjes JA, Compérat E, Cowan NC, De Santis M, Lebret T, Ribal MJ, Sherif AM, European Association of Urology EAU guidelines on primary urethral carcinoma. Eur Urol. 2013;64(5):823–830. doi: 10.1016/j.eururo.2013.03.044. [DOI] [PubMed] [Google Scholar]
- 28.Grignon D, Brimo F, Comperat E, Delahunt B, Koch M, Lopez-Beltran A, Reuter V, Samaratunga H, Shanks J, Tsuzuki T, van der Kwast T, Varma M, Srigley JR. Carcinoma of the urethra, histopathology reporting guide, urethrectomy specimen, 1st edition. Sydney, Australia: International Collaboration on Cancer Reporting; 2018. [Google Scholar]



















