Abstract
Background
Malaria is a major global health challenge, and for the elimination and eradication of this disease, transmission-blocking vaccines (TBVs) are a priority. Plasmodium falciparum Generative Cell Specific 1 (PfGCS1), a promising TBV candidate, is essential for gamete fertilization. The HAP2-GCS1 domain of this antigen as well as its cd loop could induce antibodies that partially inhibit transmission of P. falciparum.
Methods
In the current study, a new synthetic fusion antigen containing cd loop and HAP2-GCS1 domain (cd-HAP) of PfGCS1 was evaluated as a transmission blocking vaccine candidate. Initially, the profile of naturally acquired IgG antibodies to the cd-HAP antigen was analysed in Iranian individuals infected with P. falciparum, to confirm that this new fusion protein has the appropriate structure containing common epitopes with the native form of PfGCS1. Then, the immunogenicity of cd-HAP was evaluated in BALB/c mice, using different adjuvant systems such as CpG, MPL, QS-21, and a combination of them (CMQ). Furthermore, the blocking efficacy of polyclonal antibodies induced against these formulations was also assessed by oocyst intensity and infection prevalence in the Standard Membrane Feeding Assay (SMFA).
Results
The naturally acquired antibodies (dominantly IgG1 and IgG3 subclasses) induced in P. falciparum-infected individuals could recognize the cd-HAP antigen which implies that the new fusion protein has a proper conformation that mimics the native structure of PfGCS1. Concerning the immunogenicity of cd-HAP antigen, the highest IgG levels and titers, by a Th1-type immune profile, and elevated antibody avidity were induced in mice immunized with the cd-HAP antigen formulated with a combination of adjuvants (P < 0.0001). Additionally, cytokine profiling of the immunized mice displayed that a high level of IFN-γ response, a Th1-type immune response, was produced by splenocytes from immunized mice that received cd-HAP antigen in combination with CMQ adjuvants (P < 0.0001). This formulation of cd-HAP antigen with CMQ adjuvants could reduce oocyst intensity and infection prevalence by 82%, evidenced by the SMFA and hold significant implications for future malaria vaccine development.
Conclusion
Altogether, the results showed that cd-HAP antigen formulated with a combination of the adjuvants (CMQ), could be a promising formulation to develop a PfGCS1-based transmission-blocking vaccine.
Supplementary Information
The online version contains supplementary material available at 10.1186/s12936-023-04798-7.
Keywords: Malaria vaccine, Cd-HAP antigen, Adjuvants, Immunogenicity, SMFA, Naturally acquired antibodies
Background
Malaria remains a significant public health burden globally, with an estimated 247 million cases and 619,000 deaths reported in 2021 according to the 2022 World Malaria Report of the World Health Organization (WHO) [1, 2]. Despite ongoing efforts to control and eliminate malaria, progress has been uneven, with some regions experiencing frequent cases and deaths in recent years [1]. Strategies for malaria prevention and control, application of insecticide-treated bed nets, indoor residual spraying, and anti-malarial medications encountered challenges such as insecticide and drug resistance, as the significant obstacles to successfully combat malaria [1, 2]. The high burden of malaria and the challenges in controlling the disease highlight the need for effective and safe vaccines to complement existing prevention and control measures and contribute to the long-term reduction, eventual elimination, and eradication of malaria.
Concerning malaria vaccine development, transmission-blocking vaccines (TBVs) play a main role in interrupting malaria transmission [3]. Several TBV candidates have been identified, including those targeting the gametocyte surface protein Pfs48/45 [4], the gametocyte-specific protein Pfs230 [5], the ookinetes surface protein Pfs25 [6], and the gamete fusion protein HAP2 [7]. However, the existing TBV candidates and formulations were not optimal and new candidates or formulations should be evaluated to develop effective TBVs.
Generative Cell Specific 1 (GCS1) or HAP2 antigen is a main TBV candidate antigen, which is present on the surface of male gametocytes and has an essential role in fertilization and is conserved across different Plasmodium species [8, 9]. It has been shown that Plasmodium berghei GCS1 knockout parasites are unable to undergo fertilization [10, 11]. Structurally, GCS1 (HAP2) is a type 1 transmembrane protein containing N-terminal (extra-cellular) and C-terminal (intra-cellular) parts, and the N-terminal fragment has a conserved HAP2-GCS1 domain [12]. It has been shown that either the full N-terminal or the HAP2-GCS1 domain of the GCS1 antigen are critical to undergo fertilization and deletion of each of them leads to 100% inhibition of gamete fusion and zygote formation [12]. In 2013, Miura et al. [13] showed that a partial recombinant protein of the N-terminal of PfGCS1, comprised of the HAP2-GCS1 domain, can induce polyclonal antibodies that partially inhibit oocyst formation in the midgut of Anopheles stephensi in standard membrane feeding assay (SMFA). In addition, in 2017, Angrisano et al. [14] demonstrated that targeting a conserved fusion loop of HAP2 (cd loop) in the N-terminal inhibits the transmission of P. berghei and P. falciparum to Anopheles. Therefore, to have the properties of both the cd loop and HAP2-GCS1 domain, a new fusion protein containing both of them (named: cd-HAP) was designed, as a TBV candidate.
Since the recombinant antigens have poor immunogenicity, to improve the immune responses, different strategies including the addition of adjuvants to vaccine formulations can be used [15, 16]. Adjuvants are essential components of vaccines that can enhance the immunogenicity of antigens and promote protective immune responses [17]. Several types of adjuvants have been extensively studied in preclinical and clinical settings, including CpG, MPL, and QS-21, either alone or in combination [15, 16, 18, 19]. In the context of malaria vaccine development, these adjuvants have been used to enhance the immunogenicity of various antigens and vaccine platforms, including subunit vaccines and viral vectors [20]. Given their proven track record of enhancing vaccine immunogenicity, these adjuvants represent promising tools for improving the efficacy of malaria vaccines [21, 22]. Therefore, in the current study, the immunogenicity of the cd-HAP fusion protein was evaluated as a TBV candidate with formulations containing different adjuvants.
In addition, concerning the development of TBVs, it is crucial to gather data on the naturally acquired immunity against the candidate antigens. Recognition of the target antigen by the naturally acquired antibodies could confirm that the structure of the recombinant antigen resembles the native form of antigen with common epitopes. On the other hand, by measuring the levels of different IgG subclasses in response to a candidate antigen, researchers can gain insight into the type of immune response induced by natural infection. IgG antibodies are the primary mediators of naturally acquired immunity to malaria, and different subclasses of IgG antibodies may have different effector functions against the disease. This information can be used to guide the development and optimization of vaccines based on the candidate antigen. In this regard, evaluating the naturally acquired immunity levels against the candidate antigens in malaria patients is suggested. The data can provide valuable insights into the immune response induced by the vaccine and its potential efficacy in blocking malaria transmission, ultimately paving the way for more effective malaria control and eradication strategies [23].
In this study, in line with WHO recommendations, to develop the TBVs needed to eliminate and eradicate malaria, a new fusion antigen was designed and evaluated. Initially, the naturally acquired antibodies raised to cd-HAP antigen were evaluated in Iranian P. falciparum-infected individuals to investigate if the new fusion protein has the appropriate structure containing common epitopes with the native form of PfGCS1. Then, the vaccine efficacy of the cd-HAP antigen was evaluated by using the different formulations of adjuvants. Mouse groups were immunized with cd-HAP antigen alone or formulated with CpG, MPL, QS-21, or a combination of three adjuvants (CMQ), and the humoral and cellular immune responses were evaluated. The persistence of immune responses to this fusion antigen was also assessed 6 months after the last immunization. Moreover, the functional activity of the induced antibodies to cd-HAP antigen in mice was assessed using the SMFA. The results of the current study have important implications for the design and optimization of the P. falciparum cd-HAP-based malaria vaccine and may ultimately lead to the development of more effective tools for controlling the spread of this devastating disease.
Methods
Expression and purification of cd-HAP protein
To produce the recombinant cd-HAP fusion antigen, a new genetic construct containing cd loop and HAP2-GCS1 domain of PfGCS1 was designed. To design this construct, the cd loop (nt: 675–730; aa: 176–195) was fused to nucleotides 1077–1973 (aa: 311–609) of PfGCS1 antigen (accessible in PlasmoDB at Pf3D7_1014200), containing the HAP2-GCS1 domain. The designed sequence was codon-optimized and synthesized by Biomatik Company. This construct was cloned in BamHI/XhoI restriction sites of pET23a to express the cd-HAP antigen with a C-terminal His-tag. To express the cd-HAP antigen, Escherichia coli BL21(DE3) cells harbouring the pET23a-cd-HAP plasmid were cultured in 0.5 × LB medium at 37 °C and induced with IPTG at a concentration of 0.5 mM after the turbidity absorbance of the medium reached λ600nm = 0.8 (OD). After 18 h of induction, cells were harvested via centrifugation at 7000 rpm, for 15 min. The resulting cell pellet containing inclusion bodies with recombinant cd-HAP was solubilized in a lysis buffer (1% Triton X, 50 mM Tris–HCl, and 500 mM NaCl, pH:7). The pellet was then sonicated for 10 min and the insoluble fraction was washed twice with 1 × phosphate-buffered saline (PBS) before being re-suspended in the second lysis buffer (8 M urea, 20 mM Tris–HCl, 500 mM NaCl, 20 mM Imidazole, 5% Glycerol, 0.5% Tween and 10 mM β-mercaptoethanol at pH:7.5). The re-suspended mixture was then incubated at 4 °C for 90 min with gentle agitation. Following another round of sonication and centrifugation at 7000 rpm for 15 min, the supernatant was collected and incubated with 500 µl Ni–NTA agarose (Qiagen, Hilden, Germany) at 4 °C for 90 min with gentle agitation. Ni–NTA resin was washed with a 100 ml buffer containing 4 M urea, 20 mM Tris–HCl, 750 mM NaCl, 40 mM Imidazole and 10 mM β-mercaptoethanol (pH 7.5). The recombinant protein was eluted using elution buffer containing: 2 M urea, 20 mM Tris–HCl, 300 mM NaCl, 250 mM Imidazole, and 10 mM β-mercaptoethanol (pH:7.2). The purified protein was subjected to step-wise dialysis against a buffer containing 1 M urea, 300 mM NaCl, and 5 mM Immidazol overnight, then 2 h against a buffer containing 300 mM NaCl, and 5 mM Immidazol using a 14-kDa cut-off dialysis bags, after which the desalted protein was analysed on SDS-PAGE, and confirmed by Western blotting with an anti-His antibody (Penta-His Antibody; Qiagen, Germany). The purified protein was quantified using a calorimetric Bradford assay. Lastly, the E. coli endotoxin level was determined using the LAL kit PYROSTAR™ ES-F, FUJIFILM, USA).
Ethical considerations
The study subjects included 37 P. falciparum-infected individuals in Chabahar, Sistan and Baluchistan Province in south-eastern Iran (2005–2010), who were confirmed to have anti-PfGCS1 IgG antibodies [24]. All participants provided written informed consent before enrolling in the study, approved by the Ethical Review Committee of Research of the Pasteur Institute of Iran [IR.PII.REC.1399.071]. Blood samples were collected from all participants at admission, and sera were separated by centrifugation and stored at − 20 °C until further analysis.
Assessment of naturally acquired anti-cd-HAP antibodies in P. falciparum infected individuals using ELISA
In this study, the IgG and IgG subclass antibodies to cd-HAP were evaluated in patients infected with P. falciparum (n = 37) that have been confirmed to have anti-PfGCS1 (aa: 311–609 of PfGCS1) IgG antibodies [24] using an indirect enzyme-linked immunosorbent assay (ELISA). To prepare the cd-HAP antigen, the recombinant cd-HAP antigen (aa: 176–195 (cd loop) fused to aa: 311–609 of PfGCS1 antigen containing HAP2-GCS1 domain) was expressed in pET23a-E. coli BL21(DE3) and purified using Ni–NTA agarose. The ELISA was optimized by performing a checkerboard cross-titration assay with varying antigen concentrations (10–2000 ng) and antibody dilutions (1:100–1:3200). MaxiSorp flat-bottom 96-well ELISA plates were coated with cd-HAP antigen at optimized concentration 1000 ng/ml and incubated overnight at 4 °C. After blocking with 2% BSA, serum samples were added at a dilution of 1:600. Anti-human IgG antibody conjugated with horseradish peroxidase (HRP) (Sigma-Aldrich, USA) was added at 1:25,000 dilution. To determine the IgG1, IgG2, IgG3, and IgG4 subclass antibody responses to cd-HAP, biotin-conjugated isotype-specific anti-human IgG subclass antibodies (Sigma-Aldrich Co.) were used at a dilution of 1:2500, followed by streptavidin-conjugated antibody at a concentration of 1:2500 in PBS. TMB (3,3′,5,5′-Tetramethylbenzidine) was used as the substrate for detection, and the reaction was stopped with 2N H2SO4. OD450nm was measured using an ELISA microplate reader (BioTek, Winooski, VT, USA). To establish negative controls, plasma samples from 15 healthy individuals who had not been exposed to malaria and were from non-endemic regions were used. The threshold for positivity (cut-off value) was determined by calculating the mean optical density (OD) of the negative samples plus three standard deviations (SD). Any sample with an OD value higher than the cut-off value was considered a positive responder with anti-cd-HAP IgG subclass antibodies.
Immunization of BALB⁄c mice with cd-HAP antigen in different formulations
Female BALB/c mice were used to generate polyclonal antibodies against cd-HAP. The mice, aged 6–8 weeks and inbred, were randomly divided into 10 groups (n = 9/group, Table 1) and immunized subcutaneously at the base of the tail with cd-HAP (10 μg/mouse/prime and 5 μg/mouse/boost) either alone (Group 1: non-adjuvanted immunized mouse group) or formulated with CpG (10 μg/mouse, vaccine grade type, InvivoGen, San Diego, CA, USA, Group 2), MPL (10 μg/mouse, vaccine grade type, InvivoGen, San Diego, CA, USA, Group 3), QS-21 (10 μg/mouse, vaccine grade type, Alfa Diagnostic Cat No: AV-4010, Group 4), or cd-HAP antigen in combination with 5 μg/mouse CpG, 5 μg/mouse MPL, and 5 μg/mouse QS-21 adjuvants in Group 5, as adjuvanted immunized groups, three times at 14-day intervals. The control groups G6-10 received 1 × PBS alone or each of single adjuvants (G7-G9) or a mixture of three adjuvants (G10). The procedures involving animals were approved by the Committee of Animal Ethics of the Pasteur Institute of Iran (IR.PII.REC.1399.080). Sera were collected from the mice before the first injection [as pre-immune sera/normal mouse sera (NMS)] and on days 10, 24, 38, and 180 after the primary immunization (Table 1) to evaluate anti-cd-HAP antibody responses. The collected serum samples were stored at − 20 °C.
Table 1.
Experimental groups and immunization protocol
| Group no | Antigen/Adjuvant(s) | Ag (μg/mouse) | Adjuvants (μg/mouse) | ||||
|---|---|---|---|---|---|---|---|
| Prime* | Boost1** | Boost 2*** | CpG | MPL | QS-21 | ||
| 1 (n = 9) | cd-HAP/− | 10 | 5 | 5 | – | – | – |
| 2 (n = 9) | cd-HAP/CpG | 10 | 5 | 5 | 10 | – | – |
| 3 (n = 9) | cd-HAP/MPL | 10 | 5 | 5 | – | 10 | – |
| 4 (n = 9) | cd-HAP/QS-21 | 10 | 5 | 5 | – | – | 10 |
| 5 (n = 9) | cd-HAP/CpG + MPL + QS-21 | 10 | 5 | 5 | 5 | 5 | 5 |
| 6 (n = 9) | −/1 × PBS | – | – | – | |||
| 7 (n = 9) | −/CpG | – | – | – | 10 | – | – |
| 8 (n = 9) | −/MPL | – | – | – | – | 10 | – |
| 9 (n = 9) | −/QS-21 | – | – | – | – | – | 10 |
| 10 (n = 9) | −/CpG + MPL + QS-21 | – | – | – | 5 | 5 | 5 |
Female BALB/c mice (n = 90) were distributed into 10 groups and immunized subcutaneously with the antigen alone or in combination with different adjuvants. The control groups received 1 × PBS alone or with each adjuvant. Sera samples were collected from the tail vein on days 10, 24, 38, and 180 after the first immunization for further analysis
*Day 0
**Day 14
***Day 28
Quantification of anti cd-HAP antibody responses using ELISA in immunized BALB/c mice
Anti-cd-HAP IgG in the serum of different mouse groups from pre-immunization, days 10, 24, 38 (n = 9 mouse sera in each group in mentioned time points) and 180 (n = 4 mouse sera in each group) after primary immunization were evaluated using ELISA. Optimized antigen concentrations and the dilution of the primary and secondary antibodies were evaluated by a checkerboard cross-titration assay using different concentrations of antigen and antibody dilutions. The optimized concentration of cd-HAP (1000 ng/ml, 100 ng/well) was added into MaxiSorp flat-bottom 96-well ELISA plates (Jet Biofil, Guangzhou, China) and incubated at 4 °C overnight. After blocking, optimized dilution of serum samples (1:200) was added to the desired wells. After incubation and rinsing of the wells, a secondary HRP-conjugated anti-mouse IgG antibody at 1:25,000 dilution (Sigma-Aldrich Co., USA) was added. Anti-cd-HAP IgG was detected using TMB as a substrate. The reaction was stopped with 2N H2SO4, and the absorbance was measured using an ELISA microplate reader (BioTek, Winooski, VT, USA) at OD450nm. The cut-off values were estimated from the average of the 20 NMS plus three standard deviations (SD). Further, the anti-cd-HAP IgG subclasses (IgG1, IgG2a, IgG2b and IgG3) were evaluated by the ELISA as described above; however, the secondary antibodies specific to mouse IgG1 and IgG3 at 1:2000 dilution, and IgG2a, and IgG2b at 1: 1000 dilution of antibodies were used (Sigma-Aldrich Co.). Subsequently, the plates were incubated with 1:10,000 dilution of anti-goat IgG HRP (Sigma-Aldrich Co., USA) at RT for 1 h. For analysis of the antibodies persistence, the levels of antibodies on day 180 (6 months after immunization) was measured and compared with day 38 (10 days after the second boost) using paired sample t-test.
Anti- cd-HAP antibody titration and avidity in immunized mice
Titration assay is a common technique used to determine the concentration of a substance in a solution. To perform an antibody titration assay of anti-cd-HAP IgG and its subclasses (IgG1, IgG2a, IgG2b, and IgG3), the ELISA was performed as described above. Briefly, after antigen coating (100 ng/well), a serial dilution (ranging from 1:200 to 1: 409,600) of pooled mouse sera (n = 9) from each group obtained on day 38 after the first immunization was prepared. 100 µl of diluted antibodies were then added to the corresponding wells in a microplate, followed by washing to remove any unbound antibodies. The secondary anti-mouse IgG antibody, conjugated with a peroxidase enzyme, was then added to the wells (at 1:25,000 dilution), and the plate was incubated for 1 h, at RT. Besides, regarding IgG subclasses, after incubation with serial dilutions of pooled sera, the secondary antibodies specific to mouse IgG1 and IgG3 at 1:2000 dilution, and IgG2a, and IgG2b at 1: 1000 dilution of antibodies were used (Sigma-Aldrich Co.) and incubated for 1 h, at RT. After the washing step, anti-goat IgG HRP (Sigma-Aldrich Co.) with 1:10,000 dilution was added and incubated for 1 h, at RT. After a final wash step, the TMB substrate solution was added, which reacted with the conjugated enzyme to produce a detectable signal. The signal intensity was measured using an ELISA microplate reader, and the endpoint titer of sera was determined by the dilution of the primary antibody that produced an OD value above the cut-off, which is estimated from the average of the 20 NMS plus three standard deviations (SD).
To assess the anti-cd-HAP IgG avidity and its subclasses, a modified ELISA was conducted according to the published procedures [25, 26]. Dilutions of individual mouse sera (n = 9) from each group, obtained on day 38 after the first immunization (1:200), were added to two separate microplates, each containing the optimal concentration of antigen (100 ng/well). The ELISA procedure was carried out as described above, but after serum incubation, one plate was washed three times with PBS-T, and the other was washed with buffer containing PBS-T and 5 M urea. The avidity index was measured after subtracting the OD of NMS (background) with the following formula: AI = [(OD450 of the sample with urea)−(OD450 of NMS with urea)]/[(OD450 of the sample without urea)−(OD450 of NMS without urea)] × 100. Low-, intermediate-, and high-avidity anti-cd-HAP-specific antibodies were determined as AI values of < 30%, 30% to 50%, and > 50%, respectively [27].
Cytokine assay
Cytokine profiles, including IFN-γ, TNF, IL-4, and IL-10, were measured and analysed using ELISA kits (R&D Systems, Minneapolis, USA) from supernatants of splenocytes stimulated with cd-HAP in immunized mouse groups on days 38 and 180 after primary immunization. Single-cell suspensions of splenocytes from each mouse group (3 randomly selected mice in each group) were prepared in RPMI 1640 medium (Gibco, Invitrogen, Scotland, UK), and RBCs were removed by ammonium chloride-potassium lysis buffer (pH 7.2). The splenocytes re-suspended in RPMI 1640 medium containing 5% FCS (Fetal Calf Serum, Sigma-Aldrich Co.), 10 mM HEPES (Sigma-Aldrich Co.), penicillin–streptomycin (100 U-100 µg/ml), and 2.3 × 10–2 mM 2-mercaptoethanol (2-ME). 100 µl of cell suspension (3 × 106 cells/ml, 3 × 105 cells/well) were cultured in a flat-bottom 96-well tissue culture plate (Orange Scientific, EU, Belgium) in three replicates in the presence of 100 µl of ConA (5 µg/ml) as the positive control, medium alone as the negative control and cd-HAP antigen (4 µg/ml, optimized concentration). The plate was then incubated in a 5% CO2 incubator in a humidified atmosphere at 37 °C, and supernatants were collected after 24 h for IL-4, 72 h for IL-10 and TNF and 120 h later for IFN-γ measurement and stored at − 70 °C. 100 µL of supernatants were used to measure each cytokine using ELISA kits (R&D Systems, Minneapolis, USA). The concentration of cytokines was calculated based on the standard curves performed in parallel with known concentrations of recombinant mouse IL-4, IL-10, TNF, and IFN-γ for each experiment. For this purpose, 100 µl of the collected supernatants of spleen lymphocytes after culture in the presence of the optimum concentration of cd-HAP (4 µg/ml, 400 ng/well) were analysed using the ELISA method and kit instructions. To remove the backgrounds, the concentration of each cytokine in the negative control (by media) was subtracted from the concentration of the same cytokine of the test group stimulated by antigen (delta IL-4, IL-10, TNF, and IFN-γ). The mean concentration ± SD was recorded for each set of tested samples. IL-4 (humoral immunity index) and IFN-γ (cellular immunity index) were used as indicators of Th2 and Th1 type of immune responses, respectively, while IL-10 and TNF were used to assess the overall immune regulation.
Standard membrane feeding assay
In order to evaluate the inhibitory effects of induced antibodies on oocyst formation, the continuous culture of P. falciparum was used to produce gametocytes in vitro. The gametocytes were produced from the NF54 strain of P. falciparum, generously provided by the Pasteur Institute of Paris, and were continuously cultured in RPMI 1640 medium supplemented with 5% pooled human AB+ serum, 0.2% (wt/vol) AlbuMAX II, 25 mM HEPES, 50 mg/litre of hypoxanthine, 1.96 g/liter of glucose, and 25 mM NaHCO3 at pH 7.2, all of which were optimized for gametocyte production. The gametocyte induction protocol established by Fivelman et al. [28] was followed, and the gametocytes were classified into different stages based on the Carter and Miller guidelines [29]. Mature gametocytes with a male: female ratio of 1: 2–4 were expected to be harvested 12 days after initiation, and their maturity was confirmed using the exflagellation test. The An. stephensi mosquitoes were maintained in the National Insectarium of Iran, Karaj site under controlled conditions of 26 °C temperature and 80% humidity with a 12/12 light/dark cycle. The standard membrane feeding assay (SMFA) technique was used to evaluate the inhibitory effects of antibodies on oocyst formation. Briefly, 4–5-day-old female mosquitoes (≥ 50 per feeding box) were allowed to feed on blood infected with gametocytes and serum from different immunized groups for 30 min. For feeding female An. stephensi, mature stage of P. falciparum NF54 gametocytes were mixed with washed human O + blood group at 50% hematocrit in human AB + serum, and an equal amount of mouse pooled sera from test or control groups were added to the mixture. Pooled pre-immune mice sera (n = 30) was utilized in a control group as normal mouse sera (NMS). Fully fed mosquitoes were selected, and their mid-guts were dissected and stained using 0.2% mercurochrome in 1 × PBS on days 8–10 post-feeding. The stained oocysts were counted under a light microscope after staining with 0.2% mercurochrome diluted in PBS for 10 min. Two independent repeats were performed and the percentage of inhibition in mean oocyst count per mosquito (transmission reducing activity, TRA) was estimated as follows: 100 × [1−(mean number of oocyst in the test group/mean number of oocyst in the control group)]. In addition, the percentage inhibition in the prevalence of infected mosquitoes (transmission-blocking activity, TBA) was calculated as follows: 100 × [1−(proportion of mosquitoes with any oocysts in the test group/proportion of mosquitoes with any oocysts in the control group)].
Statistical analysis
The normality of the data obtained for both humoral and cellular responses was confirmed using the Shapiro–Wilk test. Given the normal distribution of the data, differences in antibody levels and cytokine responses among all mouse groups were evaluated using One-way ANOVA. To account for multiple comparisons following ANOVA, the Bonferroni post hoc test was employed for inter-group comparison. Furthermore, a paired sample t-test was applied to compare antibody levels within each group at different time points (on days 10, 24, 38, and 180) and Bonferroni adjusted P values were reported. P < 0.05 was considered statistically significant.
Regarding SMFA analysis, the Shapiro–Wilk test was performed and the results showed that the data did not follow normal distribution. Therefore, the Kruskal–Wallis H test was employed to evaluate differences in the intensity of oocyst production across different groups. Following the Kruskal–Wallis H test, pairwise comparisons were performed using the Mann–Whitney U test to further investigate differences in oocyst production intensity between test and control groups. In addition, Fisher’s exact test was utilized to examine differences in the frequency of mosquito infection across the groups. All P values were adjusted with Bonferroni correction analysis and the final P values were presented. A confidence level of P < 0.05 was considered statistically significant.
Results
Expression and purification of antigen
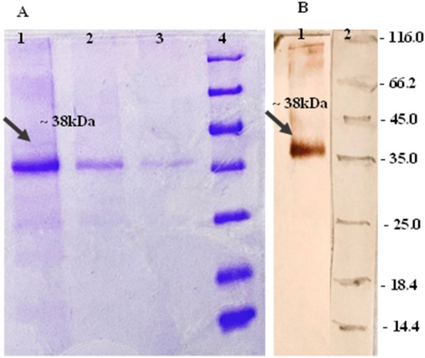
In this study, the expression and purification of cd-HAP antigen were carried out using the pET23a-cd-HAP construct in E. coli BL21(DE3) cells. Following induction with IPTG, the cd-HAP protein was purified and analysed by SDS-PAGE, revealing a single band at the expected molecular weight of 38 kDa confirmed by western blotting using a His-tag-specific antibody, which detected the protein at 16 h after induction. These results demonstrate successful expression and purification of cd-HAP antigen, which can be used for further immunological studies (Fig. 1).
Fig. 1.

SDS-PAGE and Western blot analysis of cd-HAP. A SDS-PAGE analysis of purified cd-HAP (Lanes 1–3), and lane 4: molecular weight protein marker (Fermentas, 116–14.4 kDa). B Western blot analysis of cd-HAP protein with anti-His tag mAb (Lane1) and lane 2: molecular weight protein marker (Fermentas, 116–14.4 kDa)
Confirming the presence of native epitopes on the cd-HAP by P. falciparum infected sera
Among tested sera from P. falciparum malaria patients, all 37 serum samples were able to recognize the cd-HAP antigen (Fig. 2). Analysis of anti-cd-HAP IgG subclasses revealed that IgG3 was the predominant subclass, present in 35 samples (95%, mean OD450nm: 2.3), followed by IgG1, present in 32 samples (86%, mean OD450nm: 1.821). IgG2 was detected in 29 samples (78%, mean OD450nm: 1.00), and IgG4 existed in 14 samples (38%, mean OD450nm: 0.519).
Fig. 2.
Analysis of cd-HAP-specific IgG subclasses antibody responses in P. falciparum-infected patients in malaria endemic area from Iran. A Optical density (OD) values for IgG subclasses in 37 serum samples positive for anti-cd-HAP IgG. IgG3 was the most prevalent subclass, followed by IgG1, IgG2, and IgG4. B Prevalence of IgG subclasses in the same samples, showing that IgG3 and IgG1 were the most prevalent subclasses
Evaluation of the anti cd-HAP IgG levels and its subclasses in immunized BALB/c mice
To evaluate the immunogenicity of cd-HAP antigen formulated with different adjuvants in BALB/c mice, following a two-boost regimen, the levels of anti-cd-HAP IgG antibodies were measured using ELISA. The results demonstrated a significant increase in the levels of anti-cd-HAP IgG antibodies on days 24 and 38, compared to day 10 after primary immunization, in all immunized mouse groups receiving cd-HAP antigen alone or formulated with adjuvants (P < 0.0001 by a paired-sample t-test). The groups that received cd-HAP formulated with three adjuvants (CMQ, group 5) and QS-21 (Group 4) exhibited the highest levels of anti-cd-HAP IgG antibodies (mean OD450nm = 2.83 and 2.76, respectively), while the group that received cd-HAP alone had the lowest level (mean OD450nm = 1.09) (P < 0.0001, One-way ANOVA, Fig. 3). Among mice immunized with cd-HAP formulated with individual adjuvants, Group 4 (cd-HAP /QS-21) indicated a significant increase in the level of anti-cd-HAP IgG compared to Group 2 (cd-HAP/CpG) and Group 3 (cd-HAP/MPL) on day 38 of the first immunization (P < 0.0001, Bonferroni post hoc test). The data derived from multiple comparisons of means, conducted using the Bonferroni post hoc test for anti-cd-HAP IgG subclasses among vaccine groups on day 38 after primary immunization, are detailed in Fig. 4D. Among adjuvanted groups, on day 180, the level of anti-cd-HAP IgG antibodies decreased in all groups relative to day 38 after the first immunization. (P < 0.05 by a paired-sample t-test; Fig. 3). However, groups 4 and 5 receiving cd-HAP antigen with QS-21 and CMQ, respectively, had still higher levels of anti-cd-HAP IgG antibodies relative to other immunized groups on day 180 (P < 0.0001, One-way ANOVA, Fig. 3).
Fig. 3.

Evaluation of anti-cd-HAP IgG antibody levels in vaccinated mouse groups. The mouse groups were immunized subcutaneously with recombinant cd-HAP alone or in combination with different adjuvants, including CpG, MPL, QS-21, and CMQ (CpG/MPL/QS-21), while control groups received 1 × PBS, CPG (10 µg), MPL (10 µg), QS-21(10 µg) or CMQ mixture (5 µg of each adjuvant). Anti-cd-HAP IgG antibody levels were measured at various time points, including days 10, 24, 38, and 180, after the first immunization in each mouse group using ELISA. The total IgG antibody levels showed significant differences between different immunization time points in each vaccine group (P < 0.05, paired-sample t-test). On day 38, the anti-cd-HAP IgG antibody levels among the vaccinated mouse groups were significantly different (P < 0.0001, One-way ANOVA test), with the highest level observed in group receiving cd-HAP in combination with CMQ or QS-21 adjuvants. Multiple comparison analysis was used to identify the statistical differences between anti-cd-HAP IgG antibodies among groups on day 38 (Bonferroni post hoc test, *P < 0.0001). The bars and error bars represent the mean OD450 values and standard deviations (SD) for individual mice in each group, respectively
Fig. 4.
Analysis of anti-cd-HAP IgG subclasses profiles, persistence and evaluation the Th1/Th2 ratios. A The profile of anti- cd-HAP IgG subclasses among vaccinated mouse groups for 9 individual mice (day 38) and 3 individual mice (day 180) in each group, respectively. The bars and error bars show the mean OD450 values and standard deviations (SD). B, C the Th1/Th2 ratio was calculated for each group on day 38 after the first immunization. One-way ANOVA analysis showed significant mean difference for the level of anti-cd-HAP IgG1, IgG2a, IgG2b, and IgG3 antibodies between vaccine groups 1–5 (P < 0.0001). D The Table shows multiple comparisons of means performed by Bonferroni post hoc test for anti-cd-HAP IgG subclasses among vaccine groups on day 38 after primary immunization
The anti-cd-HAP IgG subclasses in sera from immunized mouse groups were analysed at two distinct time points: 38 days and 180 days after primary immunization. On day 38, Group 5 (cd-HAP/CMQ) showed the highest level of anti-cd-HAP IgG2a with a mean OD450nm of 2.25. However, Group 4 (cd-HAP/QS-21) had the highest levels of IgG1 and IgG2b with mean OD450nm values of 2.071 and 2.2, respectively. The lowest level of IgG1 was found in Group 3 (cd-HAP/MPL) with a mean OD450nm of 0.564. Group 1 (cd-HAP antigen alone) showed the lowest levels of IgG2a and IgG2b antibodies with mean OD450nm values of 0.237 and 0.348, respectively (P < 0.001, One-way ANOVA, Fig. 4A).
On day 180, all vaccinated mouse groups showed a significant decrease in subclass levels compared to day 38. Among these groups, Group 4 (cd-HAP/QS-21) showed the least reduction in IgG1 (32% reduction), while Group 5 (cd-HAP/CMQ) showed the least reduction in both IgG2a (28% reduction) and IgG2b (40% reduction) (P < 0.001, One-way ANOVA, Fig. 4A).
To assess the type of antibody response, the Th1/Th2 Ratio (the IgG2a/IgG1 and the IgG2b/IgG1) was measured in immunized mouse groups (Fig. 4B, C). The Th1/Th2 ratio (IgG2a/IgG1 and IgG2b/IgG1) shows which type of immune response has been induced by the vaccine formulations [30, 31]. The results demonstrated a significant variation in the ratios of examined mouse groups (P < 0.0001, One-way ANOVA). The mouse group receiving the cd-HAP antigen along with the combination adjuvants (CMQ) showed the highest IgG2a/IgG1 ratio (1.62; P < 0.05) when compared to other immunized mouse groups on day 38 (P < 0.05, Bonferroni post hoc test) (Fig. 4B). On the other hand, the highest and comparable IgG2b/IgG1 ratio was observed in the mouse groups that received cd-HAP plus QS-21 or CMQ (Fig. 4C).
Adjuvant formulation enhances avidity of anti-cd-HAP IgG antibodies in immunized mice
In this experiment, mice receiving cd-HAP antigen with different formulations displayed low- or intermediate-avidity anti-cd-HAP IgG antibodies (Table 2). Multiple comparisons of the antibody avidity index (AI) among the adjuvanted immunized groups 2–5 showed that the avidity of anti-cd-HAP IgG antibodies in mouse group 5 (cd-HAP/CMQ) was significantly higher than those in mouse groups 2 and 3 (cd-HAP /MPL and cd-HAP /CpG) on day 38 after the first immunization (P < 0.0001, Bonferroni post hoc test). All immunized groups elicited high avidity IgG1 antibodies. Mouse Groups 4 and 5 receiving cd-HAP with QS-21 and CMQ adjuvants, respectively exhibited high avidity IgG2a antibodies. Mouse Group 5 received cd-HAP with CMQ adjuvants and exhibited the highest AI for the IgG2b subclass. The highest AI for the IgG, IgG2a, and IgG2b subclass antibodies was observed in mouse group 5, which received cd-HAP in the CMQ adjuvants. However, none of the immunized groups had high-avidity IgG, IgG2b, or IgG3 antibodies.
Table 2.
Mean Avidity indices of elicited anti-cd-HAP IgG, IgG1, IgG2a, and IgG2b antibodies in sera from each immunized mouse group (n = 9 in each group)
| Total IgG (%) | IgG1 (%) | IgG2a (%) | IgG2b (%) | IgG3 (%) | |
|---|---|---|---|---|---|
| cd-HAP | 21 | 56 | 25 | 24 | 7 |
| cd-HAP + CpG | 22 | 68 | 32 | 30 | 31 |
| cd-HAP + MPL | 15 | 63 | 18 | 21 | 11 |
| cd-HAP + QS-21 | 44 | 85 | 55 | 40 | 43 |
| cd-HAP + CMQ | 49 | 82 | 60 | 44 | 42 |
The AI was determined by dividing the OD value of urea-treated serum samples by that of untreated samples, after substracting the OD of NMS (background), then multiplying by 100. Antibodies with AI values less than 30%, between 30 and 50%, and above 50% were considered low-avidity, intermediate-avidity, and high-avidity, respectively [27]
Titration assay reveals adjuvanted cd-HAP formulations elicit strong and specific humoral immune response
The end-point titers of anti-cd-HAP IgG, IgG1, IgG2a, and IgG2b antibodies were measured by ELISA on day 38 after the first immunization in all five immunized mouse groups. The results showed that the highest end-point titers of anti-cd-HAP total IgG, IgG2a, and IgG2b antibodies were observed in the mouse Group 5 (cd-HAP/CMQ) (204,800 for IgG, and 409,600 for IgG2a and IgG2b, Fig. 5) with the same end-point titer of IgG2b for group 4 (cd-HAP/QS-21). In contrast, the lowest end-point titers of IgG (3200) was detected in the mouse Groups 1 (cd-HAP antigen alone) and 3 (cd-HAP/MPL). Among immunized mice, group 1, which received the cd-HAP antigen alone, had the lowest end-point titers for IgG2a (400) and IgG2b (1600) antibodies. The highest end-point titer of IgG1 was observed in the mouse Groups 2 and 4 (409,600) followed by Group 5 (102,400). However, the lowest end-point titer of IgG1 was detected in mouse groups receiving cd-HAP/MPL (3200) and cd-HAP (25,600) (Fig. 5).
Fig. 5.
Endpoint titration of anti-cd-HAP IgG, IgG1, IgG2a, and IgG2b antibodies in different vaccine groups. Mouse sera from groups 1–5 were analysed by ELISA with dilutions ranging from 1:200 to 1:409,600. The titers were determined as the last dilution with an OD450 nm above the corresponding cut-off value for each antibody subclass: IgG (0.26), IgG1 (0.2), IgG2a (0.16), and IgG2b (0.15). The cut-off values are indicated with a horizontal line. The highest endpoint titers of anti-cd-HAP total IgG, IgG2a, and IgG2b were observed in group 5 (cd-HAP/CMQ), while the lowest endpoint titers for IgG were detected in groups 1 (cd-HAP alone) and 3 (cd-HAP/MPL)
Cytokine production analysis reveals potent Th1 immune response induced by cd-HAP formulated with CMQ adjuvants
Cytokine production was measured in the supernatants of in vitro splenocyte cultures stimulated with cd-HAP antigen in immunized mouse groups (3 randomly selected mice from each group at each time point) on days 38 and 180 after the primary immunization. Analysis of cytokine profiles revealed significant levels of IFN-γ in all immunized Groups 1–5, compared to the mouse control groups on both days 38 and 180 after the primary immunization (P < 0.0001, One-way ANOVA, Fig. 6A). The highest levels of IFN-γ production was detected in immunized mouse Group 5 (cd-HAP/CMQ = 2140 pg/ml), and the lowest levels of IFN-γ production were detected in mouse Group 3 (cd-HAP/MPL = 453.9 pg/ml) and non-adjuvanted mouse Group 1 (cd-HAP = 538.76 pg/ml) on days 38 of the primary immunization (P < 0.0001, One-way ANOVA, Fig. 6A). Furthermore, among single adjuvanted immunized Groups 2–4, the level of IFN-γ in Group 2 receiving antigen plus CpG was significantly higher than that in Groups 3 and 4 receiving antigen plus MPL and QS-21, respectively, on both days 38 and 180 after the primary immunization (P < 0.0001, Bonferroni post hoc test, Fig. 6A). The level of IFN-γ significantly decreased in immunized mouse Groups 2 (cd-HAP/CpG), 4 (cd-HAP/QS-21), and 5 (cd-HAP/CMQ) on day 180 after the primary immunization (P < 0.05, paired sample t-test, Fig. 6A), but the highest level of IFN-γ was still observed in mouse Group 5 (cd-HAP/CMQ) relative to other immunized mouse groups on day 180 (1639.61 pg/ml, P < 0.0001, One-way ANOVA, Fig. 6A).
Fig. 6.
Cytokine responses were evaluated in immunized and control groups (3 randomly selected mice from each group at each time point) on days 38 and 180 after primary immunization. Mean cytokine responses for IFN-γ, TNF, IL-10, and IL-4 in the presence of cd-HAP antigen are shown in (A–D), respectively. To remove the backgrounds, the concentration of each cytokine in negative control (by media) was subtracted from the concentration of the same cytokine of test group stimulated by antigen and delta IFN-γ, TNF, IL-10, and IL-4 were presented in the figures. One-way ANOVA analysis showed significant mean difference for the level of IFN-γ, TNF, and IL-10 cytokines between vaccine groups 1–5. *P < 0.0001. The bars and error bars show the mean concentrations (pg/ml) of relevant cytokines and standard deviations (SD), respectively. Cytokine levels were shown on day 180 compared to day 38. E The IFN-γ/IL-4 and TNF/IL-4 ratio values, as an indicator of Th1/Th2 immune response, was calculated for each group on day 38
Analysis of TNF production on day 38 after primary immunization revealed a significant difference between mouse groups 1–5 receiving different formulations of cd-HAP antigen and the control groups 6–10 (P < 0.0001, One-way ANOVA, Fig. 6B). The highest and lowest levels of TNF were produced by mouse Group 5 (cd-HAP/CMQ: 968.6 and 416 pg/ml) and Group 1 (cd-HAP: 407.2 and 134.3 pg/ml) on days 38 and 180 of the primary immunization, respectively (P < 0.05, One-way ANOVA, Fig. 6B). The level of TNF in mouse Group 5 (cd-HAP/CMQ: 968.6 pg/ml) was significantly higher than single adjuvanted immunized mouse Groups 2–4 (cd-HAP/MPL: 735.55 pg/ml, cd-HAP/CpG 534.36 pg/ml, and cd-HAP/QS-21 758.09 pg/ml) on day 38 of the primary immunization (P < 0.05, Bonferroni post hoc test, Fig. 6B). Comparing the level of TNF production on day 180, in all immunized mouse Groups 1–5 revealed that the highest level of TNF was still produced by the splenocytes of the mice receiving cd-HAP with CMQ adjuvants (Fig. 6B).
IL-10 production, as a regulatory cytokine, was low (< 200 pg/ml) in all immunized mice (1–5) and control (6–10) groups (< 50 pg/ml) on days 38 and 180 of the primary immunization. However, there was a significant difference in the level of IL-10 between immunized mouse Groups 1–5 on day 38 after primary immunization (mean IL-10 concentration: 10–172 pg/ml) (P < 0.0001, One-way ANOVA, Fig. 6C). Regarding the analysis of IL-4 secretion as a Th2 type response, low levels of IL-4 with no significant difference were detected in different immunized (1–5) and control (6–10) mouse groups at both time points, on days 38 and 180 (Fig. 6D).
The ratios of IFN-γ/IL-4 and TNF/IL-4 were calculated to assess the ratio of Th1 to Th2 immune responses induced by different formulations of antigen/adjuvant(s). Among immunized mouse groups, the highest IFN-γ/IL-4 ratio was observed in mice immunized with cd-HAP formulated with the combination of adjuvants (CMQ) on day 38 after the primary immunization, indicating a predominant Th1 response. Among the mice receiving cd-HAP antigen formulated with single adjuvants, the highest ratio of IFN-γ/IL-4 and TNF/IL-4 was observed in Group 2 receiving cd-HAP/CpG formulation. In contrast, these ratios in mice immunized with cd-HAP/MPL and cd-HAP alone showed the lowest ratio of Th1/Th2 immune responses among immunized mouse groups. The ratios of TNF/IL-4 showed a similar trend, with the highest ratio observed in the cd-HAP/CMQ group on day 38, followed by cd-HAP/CpG. These results suggest that the combination of cd-HAP with CMQ adjuvants is a potent inducer of Th1 immune responses.
Eliciting anti-cd-HAP antibodies in mice reduces P. falciparum oocyst formation in An. stephensi midgut using the SMFA
The present study aimed to investigate the inhibitory effects of anti-cd-HAP polyclonal antibodies elicited from immunized mouse groups on the development of P. falciparum NF54 parasites in An. stephensi mosquitoes using the SMFA. The pooled sera of the immunized mouse Groups 1–5, which received cd-HAP antigen alone or in combination with different adjuvants, including cd-HAP, cd-HAP/CpG, cd-HAP/MPL, cd-HAP/QS-21, and cd-HAP/CMQ, respectively, were distinctly tested for their inhibitory activity. Similar oocyst intensity and infection prevalence were observed in mosquitoes fed by blood meal containing normal mouse serum (NMS) or serum from control groups 6–10 (Additional file 1: Fig. S1). This observation indicates that the collected sera from adjuvanted control groups had no inhibitory effect on parasite development in the mosquito. The results revealed that the induced antibodies in different mouse groups had varying levels of transmission-reducing activity (TRA) of P. falciparum infection in An. stephensi mosquitoes. The mouse sera collected from all adjuvanted immunized groups showed significant TRA (G2: 68.17%, G3: 65.22%, G4: 75.80%, and G5: 81.18%) in comparison to the control group (adjusted P < 0.05, Mann–Whitney test, Fig. 7). Interestingly, administration of cd-HAP antigen with CMQ (G5) showed significant TRA relative to G1 immunized with antigen alone (adjusted P = 0.015). In particular, the polyclonal anti-cd-HAP antibodies from the mouse Group 5 (cd-HAP/CMQ) exhibited the highest TRA (81.18%) (Fig. 7). Furthermore, transmission-blocking activity (TBA) of sera in different mouse groups revealed that among the immunized groups, the highest and lowest TBA was detected in mouse Groups 5 (cd-HAP/CMQ, 57.76%) and 1 (cd-HAP, 30.30%), respectively. The infection rate in mosquitoes fed by blood meal containing NMS was 69.86%. The proportion of infected mosquitoes in all adjuvanted immunized groups was significantly different from the control group fed by NMS (adjusted P < 0.05, Fisher’s exact test, Fig. 7).
Fig. 7.
Inhibition of P. falciparum NF54 parasite development by anti-cd-HAP polyclonal antibodies in An. stephensi mosquitoes. Mouse sera from different vaccine groups (groups 1 to 5), collected on day 38 after the first immunization, were pooled (n = 9) and combined with mature P. falciparum NF54 cultured gametocytes. The mixture was then fed to An. stephensi mosquitoes (n = 50/cup) in standard membrane feeding assays (SMFAs). Negative control was conducted using pooled normal mouse serum (NMS) (n = 30 randomly selected from 160 female BALB/c mice before immunization). Oocyst counts, which indicate the successful development of P. falciparum in An. stephensi mosquitoes, were recorded by dissecting the mosquitoes’ midguts on days 9 to 10 after feeding. Two separate membrane feeds were done for each vaccine group (groups 1 to 5) and the oocyst counts were pooled for statistical analysis. The dots on the graph represent the oocyst count distribution. The table provides information on the prevalence of infected mosquitoes in each group, the range and mean number of oocysts, the percent inhibition relative to the NMS control group, and multiple comparisons between different vaccine groups and the NMS control group. Statistical analysis was conducted using the Mann–Whitney U test and Fisher’s exact test to estimate the differences in infection intensity and prevalence, respectively. All P values were adjusted with Bonferroni correction analysis. P < 0.05 was considered statistically significant and shown in bold
Discussion
According to WHO malaria guidance (2023), global efforts must be made to control and eliminate malaria in accordance with the Global Technical Strategy for Malaria 2016–2030 (GTS). Conferring to GTS, malaria cases and deaths must be reduced by 90% by 2030. To this aim, vaccine development is indispensable, and since 2021, the WHO recommended RTS,S as the only available vaccine, to reduce the death and severe P. falciparum malaria in moderate to high transmission areas. However, for elimination and eradication strategies, TBVs are in priority to interrupt transmission. In this regard, the current study was designed to evaluate a new fusion protein (cd-HAP), as a TBV candidate antigen.
Antibody responses induced by recombinant proteins must be able to recognize the native form of the antigen on the parasite in order to be effective [32]. Interestingly, all positive sera for PfGCS1, were able to recognize the new fusion cd-HAP antigen, implying that native epitopes of PfGCS1 are recognized by cd-HAP antigen. Furthermore, analysis of the profile of IgG subclasses in the current study, demonstrated the high levels of anti-cd-HAP IgG3, IgG1, and IgG2 antibodies in response to malaria infection that is consistent with previous studies conducted with other antigens [33–35]. IgG1 and IgG3 antibodies are known to activate complement-mediated lysis of the parasite, and they also promote phagocytosis and killing of the parasite by macrophages and other phagocytic cells [36, 37], even in the midgut of mosquitoes [38, 39]. In the current investigation, the high level of naturally acquired anti-cd-HAP IgG1 and IgG3 antibodies emphasizes that the new fusion protein has the common epitopes with the native PfGCS1 for these opsonizing antibodies. Hence, they might act by opsonizing of microgametes in the midgut of Anopheles, helping for transmission inhibition.
For a TBV candidate antigen to be effective, it should have the capacity to stimulate the production of transmission-blocking antibodies [40]. Previous studies have shown that the antibodies against antigens of gametocytes are associated with reduced gametocyte density in malaria patients [41]. The results of the current study showed that cd-HAP antigen formulated with a combination of adjuvants (CMQ) induced the highest level (mean OD450nm: 2.83) and titer (204,800) of anti-cd-HAP IgG antibodies with the highest transmission-reducing activity 81.18%, suggesting that this formulation is more potent than single adjuvant formulations (65.22–75.80%) for transmission-reducing activity (P < 0.05). This result is consistent with the previous study with Pfs25/Pvs25 antigens that have shown potent humoral immunity is required for successful malaria transmission-blocking immunity [42].
Analysis of the IgG subclasses revealed the highest levels (OD450nm: 2.25) and titer (409,600) of anti-cd-HAP IgG2a antibodies in the mice receiving cd-HAP antigen formulated with a combination of adjuvants (CMQ), suggesting that this formulation may favor the induction of potent Th1 immune responses. The high levels of anti-cd-HAP IgG2a antibodies in mice receiving the cd-HAP antigen with the combination of adjuvants (CMQ), is consistent with the findings of other studies which have reported that the use of some combination of adjuvants can result in improving the immunogenicity compared to the single adjuvants [18, 43, 44]. Previous studies revealed that Th1-type antibodies (IgG2a and IgG2b) play a main role in transmission immunity by opsonizing the gametes, followed by phagocytosis by leukocytes [38, 39]. The obtained results revealed that this fusion protein formulated with CMQ adjuvants can elicit cytophilic anti-cd-HAP IgG antibodies (IgG2a and IgG2b) that may lead to the opsonizing of microgametes in mosquito host, followed by phagocytosis. Besides, all mouse IgG antibodies except IgG1 have functional activity via complement activation [45]. Regarding Pfs230 as another TBV candidate, it has been shown that a strong Th1-type immune response with high levels of IgG2a and IgG2b has functional activity due to complement activation, leading to gamete lysis [46, 47]. The observed high levels of IgG2a and IgG2b in groups with higher transmission-blocking activity in this study may suggest a potential role of complement activation in transmission-blocking immunity induced by different formulations of cd-HAP antigen with adjuvants, although further investigation is needed to confirm this conclusion.
It was interesting that mice immunized with the cd-HAP antigen plus CMQ adjuvants exhibited higher avidity indices for anti-cd-HAP IgG (49%), IgG2a (60%), and IgG2b (44%) antibodies compared to mice immunized with the cd-HAP antigen alone or in combination with single adjuvants. So, this formulation may support the maturation of immune responses and the production of high-avidity antibodies. Furthermore, the obtained results indicate that mouse group 5 with a higher avidity index of IgG, IgG2a, and IgG2b antibodies had more transmission-blocking activity than other groups. This finding is in accordance with a previous study that investigated the blocking activity of antibodies induced against different formulations of Pfs25 antigen, and revealed that mouse groups with high avidity antibodies had more transmission-blocking activity [48].
There are pieces of evidence for cell-mediated immunity to be effective in reducing malaria transmission. Some of the released cytokines, such as IFN-γ, caused by cellular immunity can help with antibody production and also antibody switching that can help in inducing the cytophilic antibodies [49]. As mentioned above, cytophilic antibodies are effective components in transmission-blocking immunity, through the effect on gametes in the mosquito midgut. In addition, it has been shown that some cytokines such as IFN-γ and TNF can reduce the infectivity of gametocytes [50, 51].
Conclusion
This study showed that the new fusion protein, cd-HAP antigen, has an appropriate conformation with common epitopes with native antigens on the male gametocytes. cd-HAP antigen formulated with a combination of adjuvants (CMQ) can induce potent Th1 immune responses with inhibitory antibodies for oocyst formation, implying that this fusion protein acts as an appropriate TBV candidate. The obtained findings also underscore the critical role of adjuvants in augmenting the efficacy of the immune response elicited by the antigen and demonstrated 81.18% transmission-reducing activity. These results with other similar results of the previous studies [18, 19, 52] contribute to the growing body of evidence that supports the use of vaccines in interrupting malaria disease transmission. In addition, the results emphasize the importance of adjuvant selection in optimizing antigen immunogenicity and efficacy. To increase the blocking efficacy of this formulation, the addition of other TBV candidate antigens and the evaluation of the safety and efficacy of that are suggested.
Supplementary Information
Additional file 1. Oocyst number development in normal mouse sera (NMS) compared to control groups 6-10 using standard membrane feeding assay (SMFA). Mouse sera from naïve mice or different control groups 6-10, collected on day 38 after the first immunization combined with mature P. falciparum NF54 cultured gametocytes. The mixture was then fed to An. stephensi mosquitoes in SMFA. Oocyst counts were recorded by dissecting the mosquitoes’ midguts on days 8 to 10 after feeding. The dots on the graph represent the oocyst count distribution, and the horizontal dashed lines represent for oocysts mean. No significant mean oocyst difference was observed between different control groups and NMS (P > 0.05, Mann–Whitney U test).
Acknowledgements
We gratefully acknowledge the staff of Iranian blood transfusion Organization for providing human blood and serum samples.
Author contributions
AAM and SZ conceptualized the project. AAM and ZP acquired funding to support the project. ZP, LN, JJS, HY, SP, MS, AR and AAM contributed in the lab experiments. ZP, LN, NDD and AAM performed the formal analysis. Project was supervised and validated by AAM and SZ Writing the original draft of the manuscript was done by ZP, AAM and LN. AAM and SZ reviewed and edited the manuscript. All authors reviewed the final version of the manuscript.
Funding
This work was financially supported by a Grant (No. 1215) from the Pasteur Institute of Iran (Tehran) to AA. Mehrizi, and by a Ph.D. scholarship to Z. Pourhashem. Also, this study received financial award from Iran National Science Foundation: INSF (No. 99014037).
Data availability
All data will be available by the corresponding author (Dr. Abouie Mehrizi, Email: abouei@gmail.com) under request.
Declarations
Ethics approval and consent to participate
All animal procedures were approved by the Committee of Animal Ethics of Pasteur Institute of Iran (IR.PII.REC.1399.080). All the experiments were performed and reported in accordance with relevant guide-lines and regulations of ethics committee of the Pasteur Institute of Iran. All methods are reported in accordance with ARRIVE guidelines (https://arriveguidelines.org) for the reporting of animal experiments.
Competing interests
The authors declare no competing interests.
Footnotes
Publisher's Note
Springer Nature remains neutral with regard to jurisdictional claims in published maps and institutional affiliations.
Contributor Information
Sedigheh Zakeri, Email: zakeris@yahoo.com.
Akram Abouie Mehrizi, Email: abouei@gmail.com, Email: abouei@pasteur.ac.ir.
References
- 1.Murray CJL, Callender CSKH, Kulikoff XR, Srinivasan V, Abate D, Abate KH, et al. Population and fertility by age and sex for 195 countries and territories, 1950–2017: a systematic analysis for the Global Burden of Disease Study 2017. Lancet. 2018;392:1995–2051. doi: 10.1016/S0140-6736(18)32278-5. [DOI] [PMC free article] [PubMed] [Google Scholar]
- 2.WHO . World malaria report 2022. Geneva: World Health Organization; 2022. [Google Scholar]
- 3.Dinglasan RR, Jacobs-Lorena M. Flipping the paradigm on malaria transmission-blocking vaccines. Trends Parasitol. 2008;24:364–370. doi: 10.1016/j.pt.2008.05.002. [DOI] [PMC free article] [PubMed] [Google Scholar]
- 4.Vermeulen AN, Ponnudurai T, Beckers PJ, Verhave JP, Smits MA, Meuwissen JH. Sequential expression of antigens on sexual stages of Plasmodium falciparum accessible to transmission-blocking antibodies in the mosquito. J Exp Med. 1985;162:1460–1476. doi: 10.1084/jem.162.5.1460. [DOI] [PMC free article] [PubMed] [Google Scholar]
- 5.Bustamante W, Keister M. Differential ability of specific regions of Plasmodium falciparum sexual-stage antigen, Pfs230, to induce malaria transmission-blocking immunity. Parasite Immunol. 2000;22:373–380. doi: 10.1046/j.1365-3024.2000.00315.x. [DOI] [PubMed] [Google Scholar]
- 6.Barr PJ, Green KM, Gibson HL, Bathurst IC, Quakyi IA, Kaslow DC. Recombinant Pfs25 protein of Plasmodium falciparum elicits malaria transmission-blocking immunity in experimental animals. J Exp Med. 1991;174:1203–1208. doi: 10.1084/jem.174.5.1203. [DOI] [PMC free article] [PubMed] [Google Scholar]
- 7.Dinglasan RR, Kalume DE, Kanzok SM, Ghosh AK, Muratova O, Pandey A, et al. Disruption of Plasmodium falciparum development by antibodies against a conserved mosquito midgut antigen. Proc Natl Acad Sci USA. 2007;104:13461–13466. doi: 10.1073/pnas.0702239104. [DOI] [PMC free article] [PubMed] [Google Scholar]
- 8.Feng J, Dong X, Pinello J, Zhang J, Lu C, Iacob RE, et al. Fusion surface structure, function, and dynamics of gamete fusogen HAP2. Elife. 2018;7:e39772. doi: 10.7554/eLife.39772. [DOI] [PMC free article] [PubMed] [Google Scholar]
- 9.Draper SJ, Angov E, Horii T, Miller LH, Srinivasan P, Theisen M, et al. Recent advances in recombinant protein-based malaria vaccines. Vaccine. 2015;33:7433–7443. doi: 10.1016/j.vaccine.2015.09.093. [DOI] [PMC free article] [PubMed] [Google Scholar]
- 10.Liu Y, Tewari R, Ning J, Blagborough AM, Garbom S, Pei J, et al. The conserved plant sterility gene HAP2 functions after attachment of fusogenic and Plasmodium gametes membranes in Chlamydomonas. Genes Dev. 2008;22:1051–1068. doi: 10.1101/gad.1656508. [DOI] [PMC free article] [PubMed] [Google Scholar]
- 11.Hirai M, Arai M, Mori T, Miyagishima S, Kawai S, Kita K, et al. Report male fertility of malaria parasites is determined by GCS1, a plant-type reproduction factor. Curr Biol. 2008;18:607–613. doi: 10.1016/j.cub.2008.03.045. [DOI] [PubMed] [Google Scholar]
- 12.Mori T, Hirai M, Kuroiwa T, Miyagishima SY. The functional domain of gcs1-based gamete fusion resides in the amino terminus in plant and parasite species. PLoS ONE. 2010;5:e15957. doi: 10.1371/journal.pone.0015957. [DOI] [PMC free article] [PubMed] [Google Scholar]
- 13.Miura K, Takashima E, Deng B, Tullo G, Diouf A, Moretz SE, et al. Functional comparison of Plasmodium falciparum transmission-blocking vaccine candidates by the standard membrane-feeding assay. Infect Immun. 2013;81:4377–4382. doi: 10.1128/IAI.01056-13. [DOI] [PMC free article] [PubMed] [Google Scholar]
- 14.Angrisano F, Sala KA, Da DF, Grishin NV, Snell WJ, Blagborough AM, et al. Targeting the conserved fusion loop of HAP2 inhibits the transmission of Plasmodium berghei and falciparum. Cell Rep. 2017;21:2868–78. doi: 10.1016/j.celrep.2017.11.024. [DOI] [PMC free article] [PubMed] [Google Scholar]
- 15.Chen K, Wang N, Zhang X, Wang M, Liu Y, Shi Y. Potentials of saponins-based adjuvants for nasal vaccines. Front Immunol. 2023;14:1153042. doi: 10.3389/fimmu.2023.1153042. [DOI] [PMC free article] [PubMed] [Google Scholar]
- 16.O’Hagan DT, Fox CB. New generation adjuvants–from empiricism to rational design. Vaccine. 2015;33:B14–B20. doi: 10.1016/j.vaccine.2015.01.088. [DOI] [PubMed] [Google Scholar]
- 17.Pulendran B, Arunachalam PS, O’Hagan DT. Emerging concepts in the science of vaccine adjuvants. Nat Rev Drug Discov. 2021;20:454–75. doi: 10.1038/s41573-021-00163-y. [DOI] [PMC free article] [PubMed] [Google Scholar]
- 18.Pirahmadi S, Zakeri S, Mehrizi AA, Djadid ND, Raz A-A, Sani JJ. Combining monophosphoryl lipid A (MPL), CpG oligodeoxynucleotide (ODN), and QS-21 adjuvants induces strong and persistent functional antibodies and T cell responses against cell-traversal protein for ookinetes and sporozoites (CelTOS) of Plasmodium falciparum in BALB/c mice. Infect Immun. 2019;87:e00911–e918. doi: 10.1128/IAI.00911-18. [DOI] [PMC free article] [PubMed] [Google Scholar]
- 19.Pirahmadi S, Zakeri S, Mehrizi A, Djadid ND, Raz A-A, Sani J, et al. Cell-traversal protein for ookinetes and sporozoites (CelTOS) formulated with potent TLR adjuvants induces high-affinity antibodies that inhibit Plasmodium falciparum infection in Anopheles stephensi. Malar J. 2019;18:146. doi: 10.1186/s12936-019-2773-3. [DOI] [PMC free article] [PubMed] [Google Scholar]
- 20.Akache B, Stark FC, Agbayani G, Renner TM, McCluskie MJ. Adjuvants: engineering protective immune responses in human and veterinary vaccines. Methods Mol Biol. 2022;2412:179–231. doi: 10.1007/978-1-0716-1892-9_9. [DOI] [PubMed] [Google Scholar]
- 21.Reed SG, Orr MT, Fox CB. Key roles of adjuvants in modern vaccines. Nat Med. 2013;19:1597–1608. doi: 10.1038/nm.3409. [DOI] [PubMed] [Google Scholar]
- 22.Honda Y, Lyons AB, Petrovsky N, Heinzel S. New-age vaccine adjuvants: friend or foe? BioPharm Int. 2007;20:24–33. [Google Scholar]
- 23.Ledford H. Vaccine made of live malaria parasites shows early success. Nature. 2021 doi: 10.1038/d41586-021-01806-1. [DOI] [PubMed] [Google Scholar]
- 24.Zahedi F, Abouie Mehrizi A, Sardari S, Alemzadeh I. Design and development of a self-assembling protein nanoparticle displaying PfHAP2 antigenic determinants recognized by natural acquired antibodies. PLoS ONE. 2022;17:e0274275. doi: 10.1371/journal.pone.0274275. [DOI] [PMC free article] [PubMed] [Google Scholar]
- 25.Perciani CT, Peixoto PS, Dias WO, Kubrusly FS, Tanizaki MM. Improved method to calculate the antibody avidity index. J Clin Lab Anal. 2007;21:201–206. doi: 10.1002/jcla.20172. [DOI] [PMC free article] [PubMed] [Google Scholar]
- 26.Correa VA, Rodrigues TS, Portilho AI, de Lima GT, De Gaspari E. Modified ELISA for antibody avidity evaluation: the need for standardization. Biomed J. 2021;44:433–8. doi: 10.1016/j.bj.2020.10.009. [DOI] [PMC free article] [PubMed] [Google Scholar]
- 27.Suárez-Mutis MC, Cuervo P, Leoratti F, Moraes-Avila SL, Ferreira AW, Fernandes O, et al. Cross sectional study reveals a high percentage of asymptomatic Plasmodium vivax infection in the Amazon Rio Negro area, Brazil. Rev Inst Med Trop Sao Paulo. 2007;49:159–164. doi: 10.1590/S0036-46652007000300005. [DOI] [PubMed] [Google Scholar]
- 28.Fivelman QL, McRobert L, Sharp S, Taylor CJ, Saeed M, Swales CA, et al. Improved synchronous production of Plasmodium falciparum gametocytes in vitro. Mol Biochem Parasitol. 2007;154:119–123. doi: 10.1016/j.molbiopara.2007.04.008. [DOI] [PubMed] [Google Scholar]
- 29.Carter R, Miller LH. Evidence for environmental modulation of gametocytogenesis in Plasmodium falciparum in continuous culture. Bull World Health Organ. 1979;57:37–52. [PMC free article] [PubMed] [Google Scholar]
- 30.Cribbs DH, Ghochikyan A, Vasilevko V, Tran M, Petrushina I, Sadzikava N, et al. Adjuvant-dependent modulation of Th1 and Th2 responses to immunization with β-amyloid. Int Immunol. 2003;15:505–514. doi: 10.1093/intimm/dxg049. [DOI] [PMC free article] [PubMed] [Google Scholar]
- 31.Cao H, Yang S, Wang Y, Luan N, Yin X, Lin K, et al. An established Th2-oriented response to an alum-adjuvanted SARS-CoV-2 subunit vaccine is not reversible by sequential immunization with nucleic acid-adjuvanted Th1-oriented subunit vaccines. Vaccines. 2021;9:1261. doi: 10.3390/vaccines9111261. [DOI] [PMC free article] [PubMed] [Google Scholar]
- 32.Bousema T, Drakeley C. Epidemiology and infectivity of Plasmodium falciparum and Plasmodium vivax gametocytes in relation to malaria control and elimination. Clin Microbiol Rev. 2011;24:377–410. doi: 10.1128/CMR.00051-10. [DOI] [PMC free article] [PubMed] [Google Scholar]
- 33.Duah NO, Weiss HA, Jepson A, Tetteh KKA, Whittle HC, Conway DJ. Heritability of antibody isotype and subclass responses to Plasmodium falciparum antigens. PLoS ONE. 2009;4:e7381. doi: 10.1371/journal.pone.0007381. [DOI] [PMC free article] [PubMed] [Google Scholar]
- 34.Kwenti TE, Kukwah TA, Kwenti TDB, Nyassa BR, Dilonga MH, Enow-Orock G, et al. Comparative analysis of IgG and IgG subclasses against Plasmodium falciparum MSP-119 in children from five contrasting bioecological zones of Cameroon. Malar J. 2019;18:16. doi: 10.1186/s12936-019-2654-9. [DOI] [PMC free article] [PubMed] [Google Scholar]
- 35.Saavedra-Langer R, Marapara J, Valle-Campos A, Durand S, Vásquez-Chasnamote ME, Silva H, et al. IgG subclass responses to excreted-secreted antigens of Plasmodium falciparum in a low-transmission malaria area of the Peruvian Amazon. Malar J. 2018;17:328. doi: 10.1186/s12936-018-2471-6. [DOI] [PMC free article] [PubMed] [Google Scholar]
- 36.Osier FHA, Feng G, Boyle MJ, Langer C, Zhou J, Richards JS, et al. Opsonic phagocytosis of Plasmodium falciparum merozoites: mechanism in human immunity and a correlate of protection against malaria. BMC Med. 2014;12:108. doi: 10.1186/1741-7015-12-108. [DOI] [PMC free article] [PubMed] [Google Scholar]
- 37.Healer J, McGuinness D, Hopcroft P, Haley S, Carter R, Riley E. Complement-mediated lysis of Plasmodium falciparum gametes by malaria-immune human sera is associated with antibodies to the gamete surface antigen Pfs230. Infect Immun. 1997;65:3017–3023. doi: 10.1128/iai.65.8.3017-3023.1997. [DOI] [PMC free article] [PubMed] [Google Scholar]
- 38.Lensen AH, de Vegte M, Van Gemert GJ, Eling WM, Sauerwein RW. Leukocytes in a Plasmodium falciparum-infected blood meal reduce transmission of malaria to Anopheles mosquitoes. Infect Immun. 1997;65:3834–3837. doi: 10.1128/iai.65.9.3834-3837.1997. [DOI] [PMC free article] [PubMed] [Google Scholar]
- 39.Sinden RE, Smalley ME. Gametocytes of Plasmodium falciparum: phagocytosis by leucocytes in vivo and in vitro. Trans R Soc Trop Med Hyg. 1976;70:344–345. doi: 10.1016/0035-9203(76)90096-1. [DOI] [PubMed] [Google Scholar]
- 40.de Jong RM, Tebeje SK, Meerstein-Kessel L, Tadesse FG, Jore MM, Stone W, et al. Immunity against sexual stage Plasmodium falciparum and Plasmodium vivax parasites. Immunol Rev. 2020;293:190–215. doi: 10.1111/imr.12828. [DOI] [PMC free article] [PubMed] [Google Scholar]
- 41.Saeed M, Roeffen W, Alexander N, Drakeley CJ, Targett GAT, Sutherland CJ. Plasmodium falciparum antigens on the surface of the gametocyte-infected erythrocyte. PLoS ONE. 2008;3:e2280. doi: 10.1371/journal.pone.0002280. [DOI] [PMC free article] [PubMed] [Google Scholar]
- 42.Miura K, Keister DB, Muratova OV, Sattabongkot J, Long CA, Saul A. Transmission-blocking activity induced by malaria vaccine candidates Pfs25/Pvs25 is a direct and predictable function of antibody titer. Malar J. 2007;6:107. doi: 10.1186/1475-2875-6-107. [DOI] [PMC free article] [PubMed] [Google Scholar]
- 43.RTS,S Clinical Trials Partnership Efficacy and safety of RTS, S/AS01 malaria vaccine with or without a booster dose in infants and children in Africa: final results of a phase 3, individually randomised, controlled trial. Lancet. 2015;386:31–45. doi: 10.1016/S0140-6736(15)60721-8. [DOI] [PMC free article] [PubMed] [Google Scholar]
- 44.Brod F, Miura K, Taylor IJ, Li Y, Salman AM, Spencer AJ, et al. Combination of RTS, S and Pfs25-IMX313 induces a functional antibody response against malaria infection and transmission in mice. Front Immunol. 2018;9:2780. doi: 10.3389/fimmu.2018.02780. [DOI] [PMC free article] [PubMed] [Google Scholar]
- 45.Mershon KL, Morrison SL. Antibody-complement interaction. In: An Z, editor. Therapeutic monoclonal antibodies from bench to clinic. Hoboken: John Wiley & Sons Inc.; 2009. pp. 371–383. [Google Scholar]
- 46.Scaria PV, Rowe CG, Chen BB, Muratova OV, Fischer ER, Barnafo EK, et al. Outer membrane protein complex as a carrier for malaria transmission blocking antigen Pfs230. NPJ Vaccines. 2019;4:24. doi: 10.1038/s41541-019-0121-9. [DOI] [PMC free article] [PubMed] [Google Scholar]
- 47.Read D, Lensen AHW, Begarnie S, Haley S, Raza A, Carter R. Transmission-blocking antibodies against multiple, non-variant target epitopes of the Plasmodium falciparum gamete surface antigen Pfs230 are all complement-fixing. Parasite Immunol. 1994;16:511–519. doi: 10.1111/j.1365-3024.1994.tb00305.x. [DOI] [PubMed] [Google Scholar]
- 48.Patra KP, Li F, Carter D, Gregory JA, Baga S, Reed SG, et al. Alga-produced malaria transmission-blocking vaccine candidate Pfs25 formulated with a human use-compatible potent adjuvant induces high-affinity antibodies that block Plasmodium falciparum infection of mosquitoes. Infect Immun. 2015;83:1799–1808. doi: 10.1128/IAI.02980-14. [DOI] [PMC free article] [PubMed] [Google Scholar]
- 49.King T, Lamb T. Interferon-γ: the Jekyll and Hyde of malaria. PLoS Pathog. 2015;11:e1005118. doi: 10.1371/journal.ppat.1005118. [DOI] [PMC free article] [PubMed] [Google Scholar]
- 50.de Naotunne TS, Karunaweera ND, Mendis KN, Carter R. Cytokine-mediated inactivation of malarial gametocytes is dependent on the presence of white blood cells and involves reactive nitrogen intermediates. Immunology. 1993;78:555. [PMC free article] [PubMed] [Google Scholar]
- 51.Naotunne TDS, Karunaweera ND, Del Giudice G, Kularatne MU, Grau GE, Carter R, et al. Cytokines kill malaria parasites during infection crisis: extracellular complementary factors are essential. J Exp Med. 1991;173:523–529. doi: 10.1084/jem.173.3.523. [DOI] [PMC free article] [PubMed] [Google Scholar]
- 52.Raz A, Dinparast Djadid N, Zakeri S. Molecular characterization of the carboxypeptidase B1 of Anopheles stephensi and its evaluation as a target for transmission-blocking vaccines. Infect Immun. 2013;81:2206–2216. doi: 10.1128/IAI.01331-12. [DOI] [PMC free article] [PubMed] [Google Scholar]
Associated Data
This section collects any data citations, data availability statements, or supplementary materials included in this article.
Supplementary Materials
Additional file 1. Oocyst number development in normal mouse sera (NMS) compared to control groups 6-10 using standard membrane feeding assay (SMFA). Mouse sera from naïve mice or different control groups 6-10, collected on day 38 after the first immunization combined with mature P. falciparum NF54 cultured gametocytes. The mixture was then fed to An. stephensi mosquitoes in SMFA. Oocyst counts were recorded by dissecting the mosquitoes’ midguts on days 8 to 10 after feeding. The dots on the graph represent the oocyst count distribution, and the horizontal dashed lines represent for oocysts mean. No significant mean oocyst difference was observed between different control groups and NMS (P > 0.05, Mann–Whitney U test).
Data Availability Statement
All data will be available by the corresponding author (Dr. Abouie Mehrizi, Email: abouei@gmail.com) under request.





