Full text
PDFPage 203

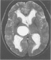
Images in this article
Selected References
These references are in PubMed. This may not be the complete list of references from this article.
- BUCY P. C., HANDA H. Benign cysts of the brain simulating brain tumor. J Neurosurg. 1956 Sep;13(5):489–499. doi: 10.3171/jns.1956.13.5.0489. [DOI] [PubMed] [Google Scholar]
- Friede R. L., Yasargil M. G. Supratentorial intracerebral epithelial (ependymal) cysts: review, case reports, and fine structure. J Neurol Neurosurg Psychiatry. 1977 Feb;40(2):127–137. doi: 10.1136/jnnp.40.2.127. [DOI] [PMC free article] [PubMed] [Google Scholar]
- Ghatak N. R., Hirano A., Kasoff S. S., Zimmerman H. M. Fine structure of an intracerebral epithelial cyst. J Neurosurg. 1974 Jul;41(1):75–82. doi: 10.3171/jns.1974.41.1.0075. [DOI] [PubMed] [Google Scholar]
- Haddad F. S., Abla A., Allam C. Ependymal brain cyst. Surg Neurol. 1982 Oct;18(4):246–249. doi: 10.1016/0090-3019(82)90332-9. [DOI] [PubMed] [Google Scholar]
- Numaguchi Y., Connolly E. S., Kumra A. K., Vargas E. F., Gum G. K., Mizushima A. Computed tomography and MR imaging of thalamic neuroepithelial cysts. J Comput Assist Tomogr. 1987 Jul-Aug;11(4):583–585. doi: 10.1097/00004728-198707000-00004. [DOI] [PubMed] [Google Scholar]

