Abstract
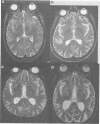
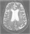
OBJECTIVES: To compare the results of clinical assessment and MRI with neuropathological findings in the diagnosis of HIV and cytomegalovirus (CMV) associated CNS disease. METHODS: A retrospective study of 35 patients infected with HIV who were examined at necropsy between four and 70 (median 20) days after neurological assessment and MRI. RESULTS: Of the 35 patients, 19 had diffuse white matter hyperintensity on T2 weighted MRI, six of whom also had focal lesions. Nine other patients had focal white matter lesions and seven had changes in cortical atrophy only. Necropsy in the 19 with diffuse white matter hyperintensity showed HIV leukoencephalopathy (HIVLEP) with encephalitis in 10, CMV encephalitis in three, both HIVLEP/HIV encephalitis and CMV encephalitis in one, lymphoma in three, and non-specific inflammation in two. Necropsy in the 16 other patients without diffuse white matter hyperintensity showed CMV encephalitis in six, HIV encephalitis (without HIVLEP) in two, CMV encephalitis and HIVLEP/HIV encephalitis in one, non-HIV associated abnormalities in five, herpes simplex encephalitis in one, and lymphoma in one. CMV DNA was detected in CSF of five of seven patients with CMV encephalitis and in two of two with CMV associated polyradiculopathy but without CMV encephalitis. Diffuse white matter hyperintensity on MRI had a sensitivity of 100%, a specificity of 66.6%, and a positive predictive value of 58% for diagnosis of HIVLEP. CONCLUSION: Diffuse white matter hyperintensity on MRI can be due to either HIV or CMV associated pathology or non-specific abnormalities.
Full text
PDF





Images in this article
Selected References
These references are in PubMed. This may not be the complete list of references from this article.
- Aurelius E., Johansson B., Sköldenberg B., Forsgren M. Encephalitis in immunocompetent patients due to herpes simplex virus type 1 or 2 as determined by type-specific polymerase chain reaction and antibody assays of cerebrospinal fluid. J Med Virol. 1993 Mar;39(3):179–186. doi: 10.1002/jmv.1890390302. [DOI] [PubMed] [Google Scholar]
- Budka H., Wiley C. A., Kleihues P., Artigas J., Asbury A. K., Cho E. S., Cornblath D. R., Dal Canto M. C., DeGirolami U., Dickson D. HIV-associated disease of the nervous system: review of nomenclature and proposal for neuropathology-based terminology. Brain Pathol. 1991 Apr;1(3):143–152. doi: 10.1111/j.1750-3639.1991.tb00653.x. [DOI] [PubMed] [Google Scholar]
- Chrysikopoulos H. S., Press G. A., Grafe M. R., Hesselink J. R., Wiley C. A. Encephalitis caused by human immunodeficiency virus: CT and MR imaging manifestations with clinical and pathologic correlation. Radiology. 1990 Apr;175(1):185–191. doi: 10.1148/radiology.175.1.2315479. [DOI] [PubMed] [Google Scholar]
- Cinque P., Brytting M., Vago L., Castagna A., Parravicini C., Zanchetta N., D'Arminio Monforte A., Wahren B., Lazzarin A., Linde A. Epstein-Barr virus DNA in cerebrospinal fluid from patients with AIDS-related primary lymphoma of the central nervous system. Lancet. 1993 Aug 14;342(8868):398–401. doi: 10.1016/0140-6736(93)92814-a. [DOI] [PubMed] [Google Scholar]
- Ciricillo S. F., Rosenblum M. L. Use of CT and MR imaging to distinguish intracranial lesions and to define the need for biopsy in AIDS patients. J Neurosurg. 1990 Nov;73(5):720–724. doi: 10.3171/jns.1990.73.5.0720. [DOI] [PubMed] [Google Scholar]
- Davies J., Everall I. P., Lantos P. L. Post mortem examinations of HIV infected patients: a nationwide survey. J Clin Pathol. 1993 Dec;46(12):1076–1079. doi: 10.1136/jcp.46.12.1076. [DOI] [PMC free article] [PubMed] [Google Scholar]
- Esiri M. M., Scaravilli F., Millard P. R., Harcourt-Webster J. N. Neuropathology of HIV infection in haemophiliacs: comparative necropsy study. BMJ. 1989 Nov 25;299(6711):1312–1315. doi: 10.1136/bmj.299.6711.1312. [DOI] [PMC free article] [PubMed] [Google Scholar]
- Fox J. D., Brink N. S., Zuckerman M. A., Neild P., Gazzard B. G., Tedder R. S., Miller R. F. Detection of herpesvirus DNA by nested polymerase chain reaction in cerebrospinal fluid of human immunodeficiency virus-infected persons with neurologic disease: a prospective evaluation. J Infect Dis. 1995 Oct;172(4):1087–1090. doi: 10.1093/infdis/172.4.1087. [DOI] [PubMed] [Google Scholar]
- Gozlan J., el Amrani M., Baudrimont M., Costagliola D., Salord J. M., Duvivier C., Picard O., Meyohas M. C., Jacomet C., Schneider-Fauveau V. A prospective evaluation of clinical criteria and polymerase chain reaction assay of cerebrospinal fluid for the diagnosis of cytomegalovirus-related neurological diseases during AIDS. AIDS. 1995 Mar;9(3):253–260. [PubMed] [Google Scholar]
- Grant A. D., Fox J. D., Brink N. S., Miller R. F. Detection of varicella-zoster virus DNA using the polymerase chain reaction in an immunocompromised patient with transverse myelitis secondary to herpes zoster. Genitourin Med. 1993 Aug;69(4):273–275. doi: 10.1136/sti.69.4.273. [DOI] [PMC free article] [PubMed] [Google Scholar]
- Gray F., Gherardi R., Scaravilli F. The neuropathology of the acquired immune deficiency syndrome (AIDS). A review. Brain. 1988 Apr;111(Pt 2):245–266. doi: 10.1093/brain/111.2.245. [DOI] [PubMed] [Google Scholar]
- Holland N. R., Power C., Mathews V. P., Glass J. D., Forman M., McArthur J. C. Cytomegalovirus encephalitis in acquired immunodeficiency syndrome (AIDS). Neurology. 1994 Mar;44(3 Pt 1):507–514. doi: 10.1212/wnl.44.3_part_1.507. [DOI] [PubMed] [Google Scholar]
- Kalayjian R. C., Cohen M. L., Bonomo R. A., Flanigan T. P. Cytomegalovirus ventriculoencephalitis in AIDS. A syndrome with distinct clinical and pathologic features. Medicine (Baltimore) 1993 Mar;72(2):67–77. [PubMed] [Google Scholar]
- Lantos P. L., McLaughlin J. E., Schoitz C. L., Berry C. L., Tighe J. R. Neuropathology of the brain in HIV infection. Lancet. 1989 Feb 11;1(8633):309–311. doi: 10.1016/s0140-6736(89)91316-0. [DOI] [PubMed] [Google Scholar]
- Levy R. M., Bredesen D. E., Rosenblum M. L. Neurological manifestations of the acquired immunodeficiency syndrome (AIDS): experience at UCSF and review of the literature. J Neurosurg. 1985 Apr;62(4):475–495. doi: 10.3171/jns.1985.62.4.0475. [DOI] [PubMed] [Google Scholar]
- Lucas S. B. HIV and the necropsy. J Clin Pathol. 1993 Dec;46(12):1071–1075. doi: 10.1136/jcp.46.12.1071. [DOI] [PMC free article] [PubMed] [Google Scholar]
- Miller R. F., Lucas S. B., De Cock K. M., Hay R. J. Disseminated cryptococcal infection despite treatment for cryptococcal meningitis. Genitourin Med. 1995 Jun;71(3):187–192. doi: 10.1136/sti.71.3.187. [DOI] [PMC free article] [PubMed] [Google Scholar]
- Mitchell S. M., Fox J. D., Tedder R. S., Gazzard B. G., Lightman S. Vitreous fluid sampling and viral genome detection for the diagnosis of viral retinitis in patients with AIDS. J Med Virol. 1994 Aug;43(4):336–340. doi: 10.1002/jmv.1890430404. [DOI] [PubMed] [Google Scholar]
- Paley M. N., Chong W. K., Wilkinson I. D., Shepherd J. K., Clews A. M., Sweeney B. J., Hall-Craggs M. A., Kendall B. E., Newman S. P., Harrison M. J. Cerebrospinal fluid-intracranial volume ratio measurements in patients with HIV infection: CLASS image analysis technique. Radiology. 1994 Mar;190(3):879–886. doi: 10.1148/radiology.190.3.8115644. [DOI] [PubMed] [Google Scholar]
- Perrons C. J., Fox J. D., Lucas S. B., Brink N. S., Tedder R. S., Miller R. F. Detection of polyomaviral DNA in clinical samples from immunocompromised patients: correlation with clinical disease. J Infect. 1996 May;32(3):205–209. doi: 10.1016/s0163-4453(96)80020-x. [DOI] [PubMed] [Google Scholar]
- Snider W. D., Simpson D. M., Nielsen S., Gold J. W., Metroka C. E., Posner J. B. Neurological complications of acquired immune deficiency syndrome: analysis of 50 patients. Ann Neurol. 1983 Oct;14(4):403–418. doi: 10.1002/ana.410140404. [DOI] [PubMed] [Google Scholar]
- Vinters H. V., Kwok M. K., Ho H. W., Anders K. H., Tomiyasu U., Wolfson W. L., Robert F. Cytomegalovirus in the nervous system of patients with the acquired immune deficiency syndrome. Brain. 1989 Feb;112(Pt 1):245–268. doi: 10.1093/brain/112.1.245. [DOI] [PubMed] [Google Scholar]
- Whiteman M. L., Post M. J., Berger J. R., Tate L. G., Bell M. D., Limonte L. P. Progressive multifocal leukoencephalopathy in 47 HIV-seropositive patients: neuroimaging with clinical and pathologic correlation. Radiology. 1993 Apr;187(1):233–240. doi: 10.1148/radiology.187.1.8451420. [DOI] [PubMed] [Google Scholar]



