Abstract
Background
Epithelioid angiomyolipoma (EAML) is a rare variant of angiomyolipoma that predominantly consists of epithelioid cells and belongs to the perivascular epithelioid cell neoplasm (PEComa) family. The majority of EAMLs arise in the kidneys, and primary hepatic EAML appears to be much less common than renal EAML. Most PEComas arise sporadically, but may be associated with tuberous sclerosis complex (TSC), an autosomal dominant genetic disorder characterized by germline mutations in the TSC1 or TSC2 genes. However, PEComas have previously been reported in five patients with Li-Fraumeni syndrome (LFS), which is an inherited cancer susceptibility disorder resulting from germline mutations in the TP53 tumor suppressor gene.
Case presentation
We report a 49-year-old female patient with hepatic EAML and pancreatic cancer. Because she had previously been diagnosed with bilateral breast cancer at the age of 30, we performed a comprehensive genetic analysis to identify genetic alterations associated with any cancer predisposition syndrome. Whole-exome sequencing of a blood sample identified a heterozygous germline variant of TP53 (NM_000546.5):c.708C>A, and targeted next-generation sequencing of liver EAML and pancreatic cancer tissue samples demonstrated the same TP53 (NM_000546.5):c.708C>A variant in both. This, plus the patient’s history of early-onset breast cancer, met the 2015 version of the Chompret criteria for diagnosis of LFS.
Conclusions
There have been very few case reports regarding the presence of PEComa in LFS, and to the best of our knowledge, this is the first report of EAML of the liver in a patient with LFS.
Keywords: Angiomyolipoma, Epithelioid angiomyolipoma, Li-Fraumeni syndrome, PEComa
Background
Li-Fraumeni syndrome (LFS) is a rare, autosomal dominant cancer predisposition syndrome that was first described by Frederick P. Li and Joseph F. Fraumeni Jr in 1969 [1, 2]. Germline pathogenic TP53 variants were discovered in 1990 and remain the only known cause of LFS [3]. LFS is characterized by high risks of early-onset malignancy and multiple primary tumors [4]. Sarcoma, breast cancer, leukemia, brain tumors, and adrenocortical carcinomas are the most frequently identified malignant tumors, and these are together referred to as the “LFS core” tumors [5].
Several sets of criteria have been developed to identify families that may have a germline TP53 mutation. The classic LFS definition includes a proband with a sarcoma diagnosed before the age of 45 years, a first-degree relative with any cancer before the age of 45 years, and a first- or second-degree relative with any cancer before the age of 45 years or a sarcoma at any age [6]. More relaxed clinical definitions were described by Birch [7] and Eeles [8], and used to characterize ‘Li-Fraumeni-like syndrome’, which includes features that are not a part of the strict definition. More recently, the French LFS Working Group developed alternative criteria for the identification of patients with TP53 germline mutations, known as the Chompret criteria [9], which were revised in 2015 by Bougeard et al. [10]. The Chompret criteria are more restrictive regarding the type of cancer and age of onset for the proband, but permit a negative family history [5]. These include four clinical situations suggestive of LFS: (1) familial presentation [a proband with an LFS tumor (breast cancer, soft tissue sarcoma, osteosarcoma, CNS tumor, adrenocortical carcinomas, leukemia, or bronchoalveolar lung cancer) of under 46 years of age and one first- or second-degree relative with an LFS tumor under 56 years of age or with multiple tumors], (2) multiple primary tumors (two of which belong to the narrow LFS spectrum, with the first having developed before 46 years of age), (3) rare cancers (adrenocortical carcinomas or choroid plexus carcinoma irrespective of the family history), or (4) early-onset breast cancer (before the age of 31 years).
Perivascular epithelioid cell neoplasms (PEComas) are a family of tumors that comprises angiomyolipoma (AML), clear-cell sugar tumor of the lung, lymphangioleiomyomatosis, primary extrapulmonary sugar tumor, clear-cell myomelanocytic tumor of the falciform ligament/ligamentum teres, and abdominopelvic sarcoma of perivascular epithelioid cells [11]. AML consists of variable amounts of myxomatous, lipoid, and vascular components. The diagnosis of AML requires the identification of immunohistochemical expression of melanocyte markers [12].
Epithelioid angiomyolipoma (EAML) is a rare variant of AML that predominantly consists of epithelioid cells [13]. The majority of EAMLs arise in the kidneys, and primary hepatic EAML appears to be much less common than renal EAML [14]. Most PEComas arise sporadically, but may be associated with tuberous sclerosis complex (TSC), an autosomal dominant genetic disorder that is caused by germline mutations in the TSC1 or TSC2 genes [15]. However, PEComas have only been reported in five previous cases of LFS [4, 16–19]. Herein, we report a case of hepatic EAML with concomitant pancreatic cancer in a patient with LFS.
Case presentation
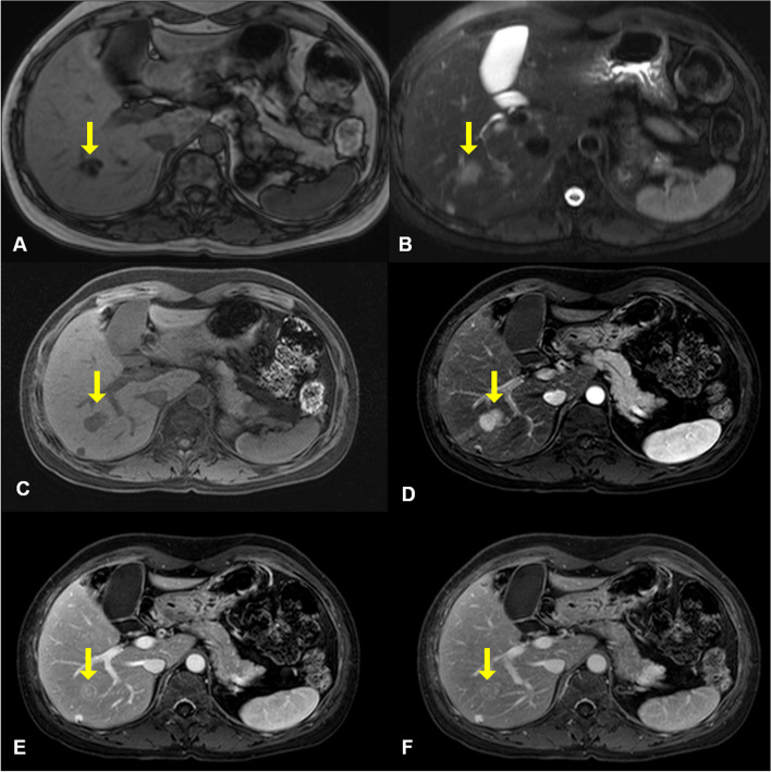
A 49-year-old woman was referred to our institution with a liver mass of 3 cm diameter that was incidentally identified on abdominal computed tomography during a medical check-up. She had been diagnosed with bilateral breast cancer at the age of 30, when she underwent bilateral modified mastectomy. Abdominal MRI revealed two masses in both the liver and pancreas. The mass in the right hepatic lobe (segment 6) demonstrated low signal intensity on T1‑weighted images (Fig. 1A) and intermediate signal intensity on T2‑weighted images (Fig. 1B), and was difficult to differentiate from hepatocellular carcinoma. Dynamic gadoxetic acid-enhanced MRI of the liver mass showed intense enhancement on the arterial phase image, and equivocal washout of the tumor on the portal phase and delayed phase images (Fig. 1C–F). In the pancreatic tail, a subtle high signal intensity lesion was identified on T2‑weighted images (Fig. 2A). Dynamic gadoxetic acid-enhanced MRI of the pancreatic mass showed low signal intensity on the pre-contrast image and low contrast enhancement on the arterial phase image, followed by delayed contrast enhancement on portal phase and delayed phage images (Fig. 2B–E).
Fig. 1.
Abdominal magnetic resonance images of the liver mass. The mass in the right hepatic lobe demonstrated low signal intensity on T1‑weighted images (A) and intermediate signal intensity on T2‑weighted images (B). Dynamic gadoxetic acid-enhanced magnetic resonance images of the liver mass showed low signal intensity on pre-contrast image (C), intense enhancement on the arterial phase image (D), and equivocal washout of the tumor on portal phase (E) and delayed phase (F) images. The yellow arrow indicates the mass
Fig. 2.
Abdominal magnetic resonance imaging of pancreatic mass. A In the pancreatic tail, a subtle high-signal intensity lesion was identified on T2‑weighted images. Dynamic gadoxetic acid-enhanced magnetic resonance images of the pancreatic mass showed a low signal intensity mass on pre-contrast images (B) and low contrast enhancement on the arterial phase images (C), followed by delayed contrast enhancement on portal phase (D) and delayed phage (E) images. The yellow arrow indicates the mass
The patient subsequently underwent right hepatectomy and distal pancreatectomy. Gross examination of the liver revealed a well-demarcated grayish-white mass (2.2 × 2 × 1.1 cm) abutting the liver capsule. Microscopically, the mass was well circumscribed, with the surrounding liver tissue (Fig. 3A). It was composed of epithelioid cells, along with adipocytes and thin-walled vessels (Fig. 3B). The epithelioid cells contained abundant eosinophilic granular cytoplasm, and the nuclei were large and round, showing mild pleomorphism (Fig. 3C). Neither tumor necrosis nor mitotic figures were observed. Immunohistochemistry showed that the tumor cells were positive for HMB45 and showed focal positivity for SMA, but were negative for S-100, SOX10, hepatocyte antigen, and CK AE1/AE3 (Fig. 3D, E). The histologic features and immunohistochemical profile of the tumor were consistent with EAML.
Fig. 3.
Histological findings for the liver tumor. A The mass was well circumscribed with the surrounding normal liver tissue (magnification × 100). B The mass was composed of epithelioid cells, with adipocytes and thin-walled vessels (magnification × 100). C The epithelioid cells contained abundant eosinophilic granular cytoplasm. The nuclei were plump and round, and showed mild pleomorphism (magnification × 200). Immunohistochemistry showed that the tumor cells were positive for HMB45 (D) and focally positive for SMA (E) (magnification × 200)
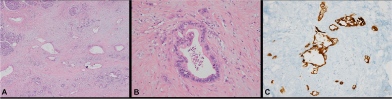
Gross examination of the distal pancreatectomy specimen revealed an ill-defined, grayish-white, solid lesion measuring 1.1 × 1 × 0.8 cm. Histopathologic examination identified the presence of atypical glands with desmoplastic stroma in the pancreatic parenchyma (Fig. 4A). The glands were composed of cells with irregular nuclear membranes, prominent nucleoli, and a tubular growth pattern, which are consistent with a moderately differentiated pancreatic adenocarcinoma (Fig. 4B). The tumor cells were positive for CK7 and negative for CK20 on immunohistochemistry (Fig. 4C).
Fig. 4.
Histological findings for the pancreatic tumor. A The pancreatic parenchyma contained atypical glands with desmoplastic stroma (magnification × 40). B The glands were composed of cells with irregular nuclear membranes, prominent nucleoli, and a tubular growth pattern (magnification × 200). C The tumor cells immunostained positive for CK7 (magnification × 200)
Because of the simultaneous development of multiple primary tumors and the history of early-onset bilateral breast cancer at the age of 30 years in the present patient, the possibility of a genetic tumor predisposition syndrome was suspected. Genetic testing had not been performed when the patient was diagnosed with breast cancer. We analyzed the medical history of the patient’s family in detail, and found that the patient’s father had been diagnosed with esophageal cancer at the age of 45 years and her younger sister had been diagnosed with breast cancer at the age of 40 years. The pedigree of the patient was investigated and is shown in Fig. 5A. Her family history of cancer was suspicious of a familial cancer predisposition syndrome.
Fig. 5.
A The pedigree of the patient. B Whole-exome sequencing of a blood sample showed heterozygous germline variants of TP53 (NM_000546.5):c.708C > A. Targeted next-generation sequencing identified the TP53 (NM_000546.5):c.708C > A variant, which was identical to the patient’s germline mutation, in both the liver EAML (C) and the pancreatic tumor (D), with variant allele frequencies of 53.03% and 51.63%, respectively
We performed whole-exome sequencing of a blood sample from the patient using an Illumina Hiseq 2500 sequencer (Illumina, San Diego, CA, USA). Next-generation sequencing (NGS) identified a heterozygous germline variant of TP53 (NM_000546.5):c.708C > A (Fig. 5B), but no deleterious BRCA1/2 mutation was found. In addition, we performed targeted NGS of the liver EAML and pancreatic tumor. DNA and RNA were extracted and libraries were prepared using an Oncomine Comprehensive Assay Plus (Thermo Fisher Scientific, Waltham, MA, USA), and the products were sequenced using an Ion S5 System (Thermo Fisher Scientific). NGS identified the TP53 (NM_000546.5):c.708C > A variant in both the liver EAML and pancreatic cancer, with a variant allele frequency (VAF) of 53.05% and 51.63%, respectively, and this was identical to the patient’s germline mutation (Fig. 5C, D). The VAF of the TP53 variant also confirmed the presence of a germline mutation of TP53. This, plus the patient’s history of early-onset breast cancer, met the 2015 version of the Chompret criteria for the diagnosis of LFS [10].
The TP53 (NM_000546.5):c.708C > A variant has not been reported to be associated with LFS. In COSMIC database, 19 tumor samples with this variant were identified, but none of them were confirmed as germline mutation. Based on the molecular and clinical findings, the ACMG classification of TP53 (NM_000546.5):c.708C > A in this proband was “likely pathogenic” because it is a nonsense mutation that causes the tyrosine residue at codon 236 to be mutated to create a stop codon (PVS1), and this is not found in gnomAD exomes or genomes (PM2_supporting).
One month following surgery, the patient underwent adjuvant chemotherapy with 5-fluorouracil once, and she remained no recurrence. However, 4 years later, a depressed lesion of her stomach was identified by esophagogastroduodenoscopy (Fig. 6A). Histopathological examination of the lesion led to a diagnosis of a primary stomach cancer of a poorly-cohesive carcinoma type (Fig. 6B). Therefore, she underwent subtotal gastrectomy and the final pathological TNM classification was pT1 N1 M0. Adjuvant therapy for gastric carcinoma was not considered and she remained alive with no recurrence during 3 years of follow-up.
Fig. 6.
A Esophagogastroduodenoscopy revealed the presence of a depressed lesion in the stomach. B Histopathological examination of the lesion revealed poorly cohesive cancer cells with a signet ring cell-like morphology
Discussion
PEComas are rare mesenchymal tumors of uncertain malignant potential [18]. Although most PEComas occur sporadically, a subset of PEComas (~ 10%) may be associated with TSC, an autosomal dominant multisystemic neurocutaneous disorder [17, 19]. The most common genetic alteration present in sporadic or hereditary PEComas is a loss of function of the TSC1 (~ 27%) or TSC2 (~ 73%) genes, leading to the activation of mTOR signaling, which may represent a therapeutic target [11, 15, 20]. In addition, a gene rearrangement affecting transcription factor binding to IGHM enhancer 3 (TFE3) has been reported in a small subset of patients with PEComa (approximately 23% of cases) [11, 20]. This has substantial clinical significance because these tumors may not be responsive to mTOR inhibition. Finally, a RAD51B translocation has been identified in three patients with uterine PEComa [11].
EAML is a variant of AML with a predominantly epithelioid histology that belongs to the PEComa family. EAML is known to be more aggressive and more closely associated with TSC [21]. Lee et al. [12] reported that the recurrence or metastasis rate of hepatic EAML is 9.3%, which is lower than that for renal AML (30%). TSC was reported to be associated with hepatic EAML in approximately 6.2% of patients.
Somatic TP53 mutations have also been described in patients with PEComa. In a series of eight EAMLs (five in the kidneys, and one each in the heart, liver, and uterus), TP53 mutations were identified in one patient with hepatic EAML and two with renal EAML [22]. Furthermore, TP53 mutations may be linked to the malignant transformation of PEComa. In a TSC patient with a renal AML, a missense TP53 mutation was identified in the malignant epithelioid components, but not in the typical AML components, which may suggest a role for TP53 in the malignant transformation of AML [23]. Recently, Akumulla et al. reported the comprehensive genomic profiling of 31 metastatic PEComas, in which a total of 100 genomic alterations were identified. The most commonly affected genes were TP53 (45.2%), TSC2 (32.3%), RB1 (25.8%), CDKN2A (19.3%), TFE3 (16.1%), ATRX (9.6%), TSC1 (9.6%), and CD36, FLCN, NF1, and SMARCB1 (6.4% each). TFE3 rearrangements have also been identified in 16% of the tumors [24].
PEComas arising from various organs have been reported in five patients with LFS to date [4, 16–19]. Neofytou et al. reported two concurrent primary PEComas, of the liver and right kidney, in a 24-year-old patient [16], Jasim et al. described an adrenal EAML in a 26-year-old patient [4], Galera López et al. reported the simultaneous diagnosis of PEComa of the liver in two siblings with LFS [17], Butz et al. reported a metastatic PEComa of the thigh muscle of a patient with LFS that harbored a novel TP53 germline splice mutation [18], and Caliskan et al. reported a uterine PEComa in a patient with LFS [19]. In the present case, liver EAML occurred alongside pancreatic cancer and LFS. We did not identify any genetic alterations in the previously reported PEComa-associated genes, including TSC1, TSC2, TFE3, and RAD51B, by whole-exome sequencing of a blood sample and targeted sequencing of the liver EAML.
LFS is a hereditary cancer susceptibility disorder that results from germline mutations of the TP53 tumor suppressor gene [16]. The tumors present in LFS vary with respect to their type and prevalence during the life of patients. Compared with the general population, the prevalence of cancer is extremely high during childhood (0–15 years), with the forms of cancer including adrenal cortical carcinoma, choroid plexus carcinoma, rhabdomyosarcoma, or medulloblastoma; intermediate during early adulthood (16–50 years), with the forms of cancer including breast cancer, osteosarcoma, soft tissue sarcomas, leukemia, astrocytoma, and glioblastoma, and colorectal and lung cancer; and low during late adulthood (> 50 years), with the forms of cancer including pancreatic and prostate cancer [25].
Recently, with the increasing use of high-throughput genetic testing, individuals with a pathogenic/likely pathogenic (P/LP) TP53 variant who do not meet the clinical LFS genetic testing criteria are being identified, and these show a less penetrant phenotype [26]. Therefore, the expansion of the concept of LFS to a wider cancer predisposition syndrome by the use of the terms “heritable TP53-related cancer (hTP53rc) syndrome”, by the European Reference Network GENTURIS, or “Li-Fraumeni spectrum” has been recently proposed [27, 28].
A recent observational cohort study regarding the incidence and patterns of cancer in individuals with P/LP germline TP53 variants showed that those with LFS were at a nearly 24-times higher incidence of any cancer than the general population [29]. In addition, the prevalence of the germline P/LP TP53 carrier status in the general population was recently estimated to be within the range of 1:3,555–5,476 [30]. The genetic testing criteria for the TP53 gene have been extensively discussed during the past three decades, and for most tumors, based on family and individual cancer histories suggestive of the presence of such a syndrome, germline testing is recommended [28, 31, 32].
We have identified the germline TP53 (NM_000546.5):c.708C > A mutation as a novel pathogenic alteration associated with liver EAML associated with LFS in a patient. Although it has been reported in the COSMIC database, none of them were confirmed as germline mutation. Because the present patient met the 2015 version of the Chompret criteria in addition to having a mutation in her TP53 gene, she was diagnosed with LFS [10].
Because TP53 is a tumor suppressor gene that contributes to oncogenesis by regulating cell cycle arrest, apoptosis, and DNA repair, the targeting of TP53 mutations may represent an appropriate strategy [33]. Recently, the small molecule p53 activator, PC14586, received a fast-track designation by the FDA for the treatment of advanced tumors with a TP53 Y220C mutation [33]. However, currently, there are no special recommendations for the treatment of LFS. During the treatment of the tumor in LFS, exposure to radiotherapy and genotoxic chemotherapies should be minimized to avoid the subsequent development of primary tumors, and particularly within the radiotherapy field [27]. Therefore, surgical or ablative therapies should be used in preference, with radiotherapy being avoided when possible and non-genotoxic chemotherapies being used according to the most recent guidelines [27].
In the present study, we have described the rare occurrence of a liver EAML in a patient with LFS that harbors a novel nonsense TP53 mutation. Liver EAMLs are rare tumors belonging to the PEComa family that are associated with hereditary cancer predisposition disorders, and in particular TSC. Rarely, PEComas may be present alongside LFS. Therefore, it is important to make an appropriate diagnosis of PEComa for the patient and to screen members of their family who are at risk.
Acknowledgements
Not applicable.
Abbreviations
- LFS
Li-Fraumeni syndrome
- PEComas
Perivascular epithelioid cell neoplasms
- AML
Angiomyolipoma
- EAML
Epithelioid angiomyolipoma
- TSC
Tuberous sclerosis complex
- VAF
Variant allele frequency
- TFE3
Transcription factor binding to IGHM enhancer 3
- P/LP
Pathogenic/likely pathogenic
Authors’ contributions
Ok-Jun Lee and Seung-Myoung Son designed the study; Yaewon Yang acquired clinical data; Chang Gok Woo and Jisun Lee performed the pathological examination and imaging examination; Seung-Myoung Son wrote the manuscript; Chang Gok Woo and Seung-Myoung Son performed the experimental operation and data analysis, and Ok-Jun Lee revised the manuscript. All authors issued final approval for the version to be submitted.
Funding
This research was supported by the Regional Innovation Strategy (RIS) through the National Research Foundation of Korea (NRF) funded by the Ministry of Education (MOE) (2021RIS-001).
Availability of data and materials
Not applicable.
Declarations
Ethics approval and consent to participate
This study adhered to the guidelines established by the Declaration of Helsinki and was approved by the Institutional Review Board of Chungbuk National University Hospital (Cheongju, Korea, IRB No: 2023–01-018).
Consent for publication
Not applicable.
Competing interests
The authors declare no competing interests.
Footnotes
Publisher’s Note
Springer Nature remains neutral with regard to jurisdictional claims in published maps and institutional affiliations.
References
- 1.Li FP, Fraumeni JF., Jr Soft-tissue sarcomas, breast cancer, and other neoplasms. A familial syndrome? Ann Intern Med. 1969;71(4):747–52. doi: 10.7326/0003-4819-71-4-747. [DOI] [PubMed] [Google Scholar]
- 2.Li FP, Fraumeni JF., Jr Rhabdomyosarcoma in children: epidemiologic study and identification of a familial cancer syndrome. J Natl Cancer Inst. 1969;43(6):1365–1373. [PubMed] [Google Scholar]
- 3.Malkin D, Li FP, Strong LC, Fraumeni JF, Jr, Nelson CE, Kim DH, et al. Germ line p53 mutations in a familial syndrome of breast cancer, sarcomas, and other neoplasms. Science. 1990;250(4985):1233–1238. doi: 10.1126/science.1978757. [DOI] [PubMed] [Google Scholar]
- 4.Jasim S, Tamboli P, Lee S-C, Strong LC, Elsayes K, Ayala-Ramirez M, et al. Epithelioid angiomyolipoma in a patient with li-fraumeni syndrome: rare pathologic diagnosis. AACE Clin Case Rep. 2016;2:e251–e255. doi: 10.4158/EP15957.CR. [DOI] [Google Scholar]
- 5.Gonzalez KD, Noltner KA, Buzin CH, Gu D, Wen-Fong CY, Nguyen VQ, et al. Beyond Li Fraumeni Syndrome: clinical characteristics of families with p53 germline mutations. J Clin Oncol. 2009;27(8):1250–1256. doi: 10.1200/JCO.2008.16.6959. [DOI] [PubMed] [Google Scholar]
- 6.Li FP, Fraumeni JF, Jr, Mulvihill JJ, Blattner WA, Dreyfus MG, Tucker MA, et al. A cancer family syndrome in twenty-four kindreds. Cancer Res. 1988;48(18):5358–5362. [PubMed] [Google Scholar]
- 7.Birch JM, Hartley AL, Tricker KJ, Prosser J, Condie A, Kelsey AM, et al. Prevalence and diversity of constitutional mutations in the p53 gene among 21 Li-Fraumeni families. Cancer Res. 1994;54(5):1298–1304. [PubMed] [Google Scholar]
- 8.Eeles RA. Germline mutations in the TP53 gene. Cancer Surv. 1995;25:101–124. [PubMed] [Google Scholar]
- 9.Chompret A, Abel A, Stoppa-Lyonnet D, Brugieres L, Pages S, Feunteun J, et al. Sensitivity and predictive value of criteria for p53 germline mutation screening. J Med Genet. 2001;38(1):43–47. doi: 10.1136/jmg.38.1.43. [DOI] [PMC free article] [PubMed] [Google Scholar]
- 10.Bougeard G, Renaux-Petel M, Flaman JM, Charbonnier C, Fermey P, Belotti M, et al. Revisiting Li-fraumeni syndrome from TP53 mutation carriers. J Clin Oncol. 2015;33(21):2345–2352. doi: 10.1200/JCO.2014.59.5728. [DOI] [PubMed] [Google Scholar]
- 11.Thway K, Fisher C. PEComa: morphology and genetics of a complex tumor family. Ann Diagn Pathol. 2015;19(5):359–368. doi: 10.1016/j.anndiagpath.2015.06.003. [DOI] [PubMed] [Google Scholar]
- 12.Lee SY, Kim BH. Epithelioid angiomyolipoma of the liver: a case report. Clin Mol Hepatol. 2017;23(1):91–94. doi: 10.3350/cmh.2017.0011. [DOI] [PMC free article] [PubMed] [Google Scholar]
- 13.Nonomura A, Enomoto Y, Takeda M, Takano M, Morita K, Kasai T. Angiomyolipoma of the liver: a reappraisal of morphological features and delineation of new characteristic histological features from the clinicopathological findings of 55 tumours in 47 patients. Histopathology. 2012;61(5):863–880. doi: 10.1111/j.1365-2559.2012.04306.x. [DOI] [PubMed] [Google Scholar]
- 14.Yamasaki S, Tanaka S, Fujii H, Matsumoto T, Okuda C, Watanabe G, et al. Monotypic epithelioid angiomyolipoma of the liver. Histopathology. 2000;36(5):451–456. doi: 10.1046/j.1365-2559.2000.00848.x. [DOI] [PubMed] [Google Scholar]
- 15.Martignoni G, Pea M, Reghellin D, Zamboni G, Bonetti F. PEComas: the past, the present and the future. Virchows Arch. 2008;452(2):119–132. doi: 10.1007/s00428-007-0509-1. [DOI] [PMC free article] [PubMed] [Google Scholar]
- 16.Neofytou K, Famularo S, Khan AZ. PEComa in a young patient with known li-fraumeni syndrome. Case Rep Med. 2015;2015:906981. doi: 10.1155/2015/906981. [DOI] [PMC free article] [PubMed] [Google Scholar]
- 17.Galera Lopez MDM, Marquez Rodas I, Agra Pujol C, Garcia Perez A, Velasco Sanchez E, Alvarez AR. Simultaneous diagnosis of liver PEComa in a family with known Li-Fraumeni syndrome: a case report. Clin Sarcoma Res. 2020;10(1):24. doi: 10.1186/s13569-020-00143-7. [DOI] [PMC free article] [PubMed] [Google Scholar]
- 18.Butz H, Lovey J, Szentkereszty M, Bozsik A, Toth E, Patocs A. Case Report: A Novel Pathomechanism in PEComa by the Loss of Heterozygosity of TP53. Front Oncol. 2022;12:849004. doi: 10.3389/fonc.2022.849004. [DOI] [PMC free article] [PubMed] [Google Scholar]
- 19.Caliskan S, Akar OS, Gun S, Kefeli M. Malignant Perivascular Epithelioid Cell Tumor (PEComa) of the Uterus as Part of the Hereditary Cancer Syndrome: A Case Diagnosed with Multiple Malignancies. Turk Patoloji Derg. 2022;39(3):212. doi: 10.5146/tjpath.2022.01592. [DOI] [PMC free article] [PubMed] [Google Scholar]
- 20.Agaram NP, Sung YS, Zhang L, Chen CL, Chen HW, Singer S, et al. Dichotomy of genetic abnormalities in pecomas with therapeutic implications. Am J Surg Pathol. 2015;39(6):813–825. doi: 10.1097/PAS.0000000000000389. [DOI] [PMC free article] [PubMed] [Google Scholar]
- 21.Martignoni G, Pea M, Bonetti F, Zamboni G, Carbonara C, Longa L, et al. Carcinomalike monotypic epithelioid angiomyolipoma in patients without evidence of tuberous sclerosis: a clinicopathologic and genetic study. Am J Surg Pathol. 1998;22(6):663–672. doi: 10.1097/00000478-199806000-00003. [DOI] [PubMed] [Google Scholar]
- 22.Bing Z, Yao Y, Pasha T, Tomaszewski JE, Zhang PJ. p53 in pure epithelioid PEComa: an immunohistochemistry study and gene mutation analysis. Int J Surg Pathol. 2012;20(2):115–122. doi: 10.1177/1066896912441829. [DOI] [PubMed] [Google Scholar]
- 23.Kawaguchi K, Oda Y, Nakanishi K, Saito T, Tamiya S, Nakahara K, et al. Malignant transformation of renal angiomyolipoma: a case report. Am J Surg Pathol. 2002;26(4):523–529. doi: 10.1097/00000478-200204000-00017. [DOI] [PubMed] [Google Scholar]
- 24.Akumalla S, Madison R, Lin DI, Schrock AB, Yakirevich E, Rosenzweig M, et al. Characterization of clinical cases of malignant pecoma via comprehensive genomic profiling of DNA and RNA. Oncology. 2020;98(12):905–912. doi: 10.1159/000510241. [DOI] [PubMed] [Google Scholar]
- 25.Amadou A, Achatz MIW, Hainaut P. Revisiting tumor patterns and penetrance in germline TP53 mutation carriers: temporal phases of Li-Fraumeni syndrome. Curr Opin Oncol. 2018;30(1):23–29. doi: 10.1097/CCO.0000000000000423. [DOI] [PubMed] [Google Scholar]
- 26.Rana HQ, Gelman R, LaDuca H, McFarland R, Dalton E, Thompson J, et al. Differences in TP53 mutation carrier phenotypes emerge from panel-based testing. J Natl Cancer Inst. 2018;110(8):863–870. doi: 10.1093/jnci/djy001. [DOI] [PubMed] [Google Scholar]
- 27.Frebourg T, BajalicaLagercrantz S, Oliveira C, Magenheim R, Evans DG, European Reference Network G Guidelines for the Li-Fraumeni and heritable TP53-related cancer syndromes. Eur J Hum Genet. 2020;28(10):1379–86. doi: 10.1038/s41431-020-0638-4. [DOI] [PMC free article] [PubMed] [Google Scholar]
- 28.Kratz CP, Freycon C, Maxwell KN, Nichols KE, Schiffman JD, Evans DG, et al. Analysis of the Li-Fraumeni spectrum based on an international germline tp53 variant data set: an international agency for research on cancer tp53 database analysis. JAMA Oncol. 2021;7(12):1800–1805. doi: 10.1001/jamaoncol.2021.4398. [DOI] [PMC free article] [PubMed] [Google Scholar]
- 29.de Andrade KC, Khincha PP, Hatton JN, Frone MN, Wegman-Ostrosky T, Mai PL, et al. Cancer incidence, patterns, and genotype-phenotype associations in individuals with pathogenic or likely pathogenic germline TP53 variants: an observational cohort study. Lancet Oncol. 2021;22(12):1787–1798. doi: 10.1016/S1470-2045(21)00580-5. [DOI] [PMC free article] [PubMed] [Google Scholar]
- 30.de Andrade KC, Frone MN, Wegman-Ostrosky T, Khincha PP, Kim J, Amadou A, et al. Variable population prevalence estimates of germline TP53 variants: a gnomAD-based analysis. Hum Mutat. 2019;40(1):97–105. doi: 10.1002/humu.23673. [DOI] [PMC free article] [PubMed] [Google Scholar]
- 31.El-Deiry WS, Goldberg RM, Lenz HJ, Shields AF, Gibney GT, Tan AR, et al. The current state of molecular testing in the treatment of patients with solid tumors, 2019. CA Cancer J Clin. 2019;69(4):305–343. doi: 10.3322/caac.21560. [DOI] [PMC free article] [PubMed] [Google Scholar]
- 32.Daly MB, Pal T, Berry MP, Buys SS, Dickson P, Domchek SM, et al. Genetic/familial high-risk assessment: breast, ovarian, and pancreatic, version 2.2021, nccn clinical practice guidelines in oncology. J Natl Compr Canc Netw. 2021;19(1):77–102. doi: 10.6004/jnccn.2021.0001. [DOI] [PubMed] [Google Scholar]
- 33.Duffy MJ, Tang M, Rajaram S, O'Grady S, Crown J. Targeting mutant p53 for cancer treatment: moving closer to clinical use? Cancers (Basel) 2022;14(18):4499. doi: 10.3390/cancers14184499. [DOI] [PMC free article] [PubMed] [Google Scholar]
Associated Data
This section collects any data citations, data availability statements, or supplementary materials included in this article.
Data Availability Statement
Not applicable.






