Abstract
Background
Rickettsiae closely related to the Malish strain, the reference Rickettsia conorii strain, include Indian tick typhus rickettsia (ITTR), Israeli spotted fever rickettsia (ISFR), and Astrakhan fever rickettsia (AFR). Although closely related genotypically, they are distinct serotypically. Using multilocus sequence typing (MLST), we have recently found that distinct serotypes may not always represent distinct species within the Rickettsia genus. We investigated the possibility of classifying rickettsiae closely related to R. conorii as R. conorii subspecies as proposed by the ad hoc committee on reconciliation of approaches to bacterial systematics. For this, we first estimated their genotypic variability by using MLST including the sequencing of 5 genes, of 31 rickettsial isolates closely related to R. conorii strain Malish, 1 ITTR isolate, 2 isolates and 3 tick amplicons of AFR, and 2 ISFR isolates. Then, we selected a representative of each MLST genotype and used multi-spacer typing (MST) and mouse serotyping to estimate their degree of taxonomic relatedness.
Results
Among the 39 isolates or tick amplicons studied, four MLST genotypes were identified: i) the Malish type; ii) the ITTR type; iii) the AFR type; and iv) the ISFR type. Among these four MLST genotypes, the pairwise similarity in nucleotide sequence varied from 99.8 to 100%, 99.4 to 100%, 98.2 to 99.8%, 98.4 to 99.8%, and 99.2 to 99.9% for 16S rDNA, gltA, ompA, ompB, and sca4 genes, respectively. Representatives of the 4 MLST types were also classified within four types using MST genotyping as well as mouse serotyping.
Conclusion
Although homogeneous genotypically, strains within the R. conorii species show MST genotypic, serotypic, and epidemio-clinical dissimilarities. We, therefore, propose to modify the nomenclature of the R. conorii species through the creation of subspecies. We propose the names R. conorii subsp. conorii subsp. nov. (type strain = Malish, ATCC VR-613), R. conorii subspecies indica subsp. nov. (type strain = ATCC VR-597), R. conorii subspecies caspia subsp. nov. (type strain = A-167), and R. conorii subspecies israelensis subsp. nov. (type strain = ISTT CDC1). The description of R. conorii is emended to accomodate the four subspecies.
Background
Taxonomic classification of members of the order Rickettsiales was originally based on relatively few phenotypic criteria [1]. Over the past twenty years, the taxonomic classification of the Order Rickettsiales has undergone many changes. On the basis of 16S rDNA sequences, Coxiella burnetii was reclassified within the Legionellaceae [2], Eperythrozoon sp. within the Mycoplasmataceae [3], and Rochalimaea sp., Grahamella sp., and Bartonella sp. within the Bartonellaceae, closely related to Brucella sp [4,5]. Among the remaining members of the order Rickettsiales, the Anaplasma-Ehrlichia clade was recently reorganized into 4 genera [6]; and R. tsutsugamushi was reclassified into a new genus, Orientia [7]. Within the genus Rickettsia, since the pioneering work of Philip in 1978 [8], two rickettsial strains were considered as having different serotypes if they exhibited a specificity difference of ≥ 3 and some authors have considered this to be a useful guide to speciation [9,10]. However, opinions divide as to whether this holds true for rickettsial strains related to Rickettsia conorii (R. conorii) [11]. These include Indian tick typhus rickettsia (ITTR) [12], Israeli spotted fever rickettsia (ISFR) [13-15] and Astrakhan fever rickettsia (AFR) [16-19]. Phylogenetically, these rickettsiae constitute a homogeneous cluster supported by significant bootstrap values and are distinct from other Rickettsia species (Figure 1) [20-22]. Some authors have considered these rickettsial strains as different species and proposed the names R. sharonii and R. caspii for ISFR and AFR, respectively [23,24]. Other authors believe that they belong to a "R. conorii complex" [11,14,15,17,19].
Figure 1.

Unrooted phylogenetic tree derived from the comparison of sequences of the complete gltA gene from rickettsiae closely related to R. conorii and other validated Rickettsia species. The analysis used the Neighbor Joining method and the Kimura 2 parameter as described in the Methods section. Bootstrap values are indicated at the nodes of the phylogenetic tree. GenBank accession numbers are indicated in parentheses for each taxon.
These rickettsiae closely related to R. conorii have been described as the causative agents of Mediterranean spotted fever, Astrakhan fever, Israeli spotted fever, and Indian tick typhus in the Mediterranean basin and Africa, Southern Russia, Middle East, and India, respectively. These rickettsioses are transmitted to humans by Rhipicephalus ticks [1]. Furthermore, most of their clinical features overlap and are characterized by a febrile illness and a generalized maculopapular rash. However, an inoculation eschar is seldom present in Astrakhan fever and Israeli spotted fever but common in Mediterranean spotted fever (Table 1).
Table 1.
Ecological, epidemiological and clinical characteristics of diseases associated with different members of the R. conorii complex
| Rickettsia | Vector tick | Geographic repartition | Human disease name | Fever (%) | Inoculation eschar (%) | Cutaneous rash (%) | Fatal forms | Reference |
| R. conorii, isolates Malish, Moroccan R. conorii, isolate Kenyan tick typhus rickettsia | Rhipicephalus sp., Haemaphysalis leachii | Mediterranean area, Africa | Mediterranean spotted fever, Kenyan tick typhus, South African tick bite fever | 100 | 72 | 97 | Yes | [45,46] |
| Indian tick typhus rickettsia | Rhipicephalus sanguineus, Boophilus microplus, Haemaphysalis leachii | India, Pakistan | Indian tick typhus | 100 | 0 | 100 | No | [47] |
| Astrakhan spotted fever rickettsia | Rhipicephalus sanguineus, R. pumilio | Astrakhan region, Chad, Kosovo | Astrakhan fever | 100 | 23–28 | 100 | No | [16-18,31,32] |
| Israeli tick typhus rickettsia | Rhipicephalus sanguineus | Israel, Portugal | Israeli spotted fever | 100 | 0 | 100 | Yes | [48] |
Recently, we have proposed gene sequence-based criteria for the identification of Rickettsia isolates at the genus, group and species levels and proposed criteria to define species [9]. Using these criteria, we have shown that ITTR, ISFR and AFR could not be considered as distinct species. Instead, they belonged to the R. conorii species [9]. However, these rickettsiae exhibit differentiable serotypes and cause diseases with distinct clinical features in defined geographic locations. The ad hoc committee on reconciliation of approaches to bacterial systematics [25] has proposed that even if related genetically, bacterial isolates within a given species could be considered as distinct subspecies if they differed phenotypically.
In this study, we undertook to examine whether phenotypic differences existed among various R. conorii isolates that would enable to classify them as subspecies. We estimated the degree of genotypic variabilities among 31 isolates of R. conorii, 1 isolate of ITTR, 2 isolates and 3 tick amplicons of AFR, and 2 isolates of ISFR using multi-locus sequence typing (MLST). We incorporated 16S rDNA and gltA genes, as well as 3 membrane-exposed protein-encoding genes ompA, ompB and sca4 (formerly gene D) [26,27] in MLST. To further characterize the specificities of distinct MLST types, we incorporated a prototype isolate from each of these into a multi-spacer typing (MST) assay, which we have previously demonstrated to be more discriminant than MLST at the strain level for R. conorii [28]. Furthermore, mouse serotypes were obtained for each of these MLST types.
Results
MLST-gene sequencing
All five genes studied were amplified from all 36 studied isolates and from 3 of 57 Rhipicephalus pumilio ticks tested. All negative controls remained negative. Four MLST types were identified. Within the first type, which we named Malish type, all R. conorii isolates exhibited identical sequences for each of the five genes tested except isolates Moroccan and M1. These latter isolates showed deletions of 24 and 156 bp, respectively, at the 5'-end of the ompA gene. The second type, the ITTR type, was made of ITTR. This exhibited unique nucleotide substitutions in ompA, ompB and sca4 genes. Within the AFR type, all isolates and tick amplicons tested showed identical sequences of the five genes studied except the Chad isolate which showed subtle nucleotide substitutions in each of them. In this isolate, the pairwise nucleotide similarity with AFR for 16S rDNA, gltA, ompA, ompB and sca4 genes was 99.7, 99.5, 99.5, 99.2, and 99.8 %, respectively. The fourth type, ISFR type, which included both ISFR isolates, showed the same nucleotide substitutions in each of the five genes tested. This differentiated them from other rickettsiae. As representative strains for each MLST genotype, we have chosen R. conorii isolate Malish, ITTR isolate Indian, AFR isolate A-167, and ISFR isolate ISTT CDC1.
Among representatives of the four MLST genotypes, the degree of pairwise nucleotide similarity ranged from 99.8 % between AFR and ISFR to 100 % between R. conorii and ITTR for the 16S rDNA gene (Table 3). For gltA, such similarity ranged from 99.5 % between Malish (or ITTR) and ISFR to 100 % between R. conorii and ITTR. For the 5' end of ompA, the degree of pairwise sequence similarity ranged from 98.1 between AFR and ITTR to 99.8% between R. conorii and ITTR. This pairwise similarity ranged from 98.5 between ITTR and ISFR to 99.8% between R. conorii and ITTR for ompB. For sca4, the pairwise sequence similarity varied from 99.2 between ITTR and ISFR to 99.9% between R. conorii and ITTR.
Table 3.
Pairwise nucleotide sequence similarities among members of the R. conorii complex
| % Similarity | |||
| Rickettsia and gene | ITTR | AFR isolate A-167 | ISFR |
| R. conorii | |||
| 16S rDNA | 100 | 99.9 | 99.8 |
| gltA | 100 | 99.5 | 99.3 |
| ompA | 99.8 | 98.3 | 98.3 |
| ompB | 99.8 | 98.7 | 98.6 |
| sca4 | 99.9 | 99.4 | 99.3 |
| ITTR | |||
| 16S rDNA | 99.9 | 99.8 | |
| gltA | 99.5 | 99.3 | |
| ompA | 98.1 | 98.1 | |
| ompB | 98.6 | 98.5 | |
| sca4 | 99.3 | 99.2 | |
| AFR isolate A-167 | |||
| 16S rDNA | 99.8 | ||
| gltA | 99.7 | ||
| ompA | 98.6 | ||
| ompB | 99.4 | ||
| sca4 | 99.7 | ||
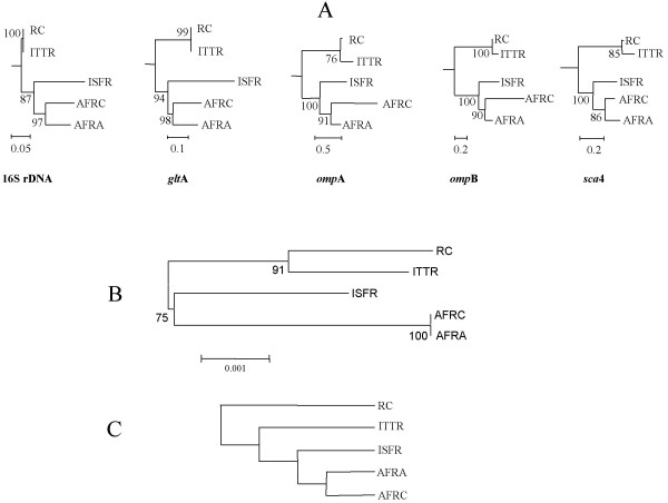
The dendrograms obtained using the three different tree building analysis methods showed similar organization for the five rickettsiae studied. We identified two monophyletic groups with the trees so constructed. One included R. conorii and ITTR and the other, ISFR and AFR (Figure 2A). The clustering of these rickettsiae was supported by high bootstrap values. Both AFR isolates were grouped together for each of the five genes tested.
Figure 2.

A = Unrooted phylogenetic trees derived from the comparison of sequences of the 16S rDNA, gltA, ompA, ompB and sca4 genes using the Neighbor Joining method (A). Bootstraps values are indicated at the nodes of the phylogenetic tree. The scale bars represent the percentage of nucleotide differences. RC = R. conorii; ITTR = Indian tick typhus rickettsia; AFRA = AFR isolate A-167; AFRC = AFR isolate Chad; ISFR = Israeli spotted fever rickettsia. B = Unrooted phylogenetic trees derived from the comparison of concatenated sequences of the dksA / xerC, mppA / purC, and rpmE / tRNA-fMet intergenic spacers using the Neighbor Joining method (B). Bootstraps values are indicated at the nodes of the phylogenetic tree. The scale bars represent the percentage of nucleotide differences. RC = R. conorii; ITTR = Indian tick typhus rickettsia; AFRA = AFR isolate A-167; AFRC = AFR isolate Chad; ISFR = Israeli spotted fever rickettsia. C = Taxonomic dendrogram of rickettsiae closely related to Rickettsia conorii obtained by using the unweighted pair group method based on reactivity of mouse antisera to all tested rickettsiae. RC = R. conorii; ITTR = Indian tick typhus rickettsia; AFRA = AFR isolate A-167; AFRC = AFR isolate Chad; ISFR = Israeli spotted fever rickettsia.
MST genotyping
ITTR showed unique 232-bp dksA / xerC (type P, GenBank accession number AY836513) and 153-bp mppA / purC (type F, AY836517) spacer sequences. However, it also showed a 200-bp rpmE / tRNA-fMet spacer sequence identical to that of R. conorii type B (AY345092); ISFR had unique 232-bp dksA / xerC (type Q, AY836510), 153-bp mppA / purC (type G, AY836514), and 200-bp rpmE / tRNA-fMet (type C, AY836518) spacer sequences; AFR isolates A-167 and Chad showed unique dksA / xerC of 232- (type R, AY836511) and 167-bp (type S, AY836512), respectively. They also showed identical 153-bp mppA / purC (type H, AY836516) and 200-bp rpmE / tRNA-fMet (type D, AY836519) spacer sequences that were different from those of other strains. When combining the genotypes obtained from each of the three spacers into a MST genotype, each of the four rickettsiae showed a distinct MST genotype. The MST genotype so obtained was different from that of R. conorii. However, on pairwise comparisons of the four strains, both AFR strains showed similar spacer types. The phylogenetic tree inferred from the concatenated spacer sequences showed an organization similar to that obtained from MLST when Malish strain was taken as R. conorii type strain (Figure 2B). However, the node where ISFR branched was not supported by a significant bootstrap value.
Microimmunofluorescence (MIF) serotyping
When injected into mice, all five rickettsiae tested provoked antibody responses that were detectable by MIF. The endpoint titers and specificity differences (SPDs) were calculated as described in the Methods section. These values are presented in Table 4. The antibody titres obtained in homologous sera were at least one-fold higher than those observed in heterologous sera. The SPDs for heterologous sera varied between 1 and 5. Four serotypes were identified. These included R. conorii, ITTR, both AFR isolates, and ISFR. The dendrogram inferred from the matrix based on SPDs (Figure 2C) showed that ITTR occupied a position that slightly differed from its phylogenetic organization. Instead of forming a cluster with R. conorii, it occupied an intermediate position between R. conorii and ISFR (Figures 2A and 2B).
Table 4.
MIF antibody titers and SPDs from reciprocal cross-reactions of mouse antisera to the members of the Rickettsia conorii complex.
| MIF antibody titer (SPD) of mouse antisera to *: | |||||
| Antigens | R. conorii | ITTR | AFR isolate A-167 | AFR isolate Chad | ISFR |
| R. conorii | 1,024 | 256 (4) | 256 (5) | 256 (5) | 256 (4) |
| ITTR | 512 (4) | 2,048 | 512 (4) | 256 (5) | 256 (5) |
| AFR isolate A-167 | 128 (5) | 256 (4) | 1,024 | 512 (2) | 256 (4) |
| AFR isolate Chad | 128 (5) | 256 (5) | 512 (2) | 1,024 | 256 (4) |
| ISFR | 128 (4) | 128 (5) | 128 (4) | 128 (4) | 512 |
* Titers are the reciprocals of the highest dilution of antisera that gave a positive reaction. SPDs are calculated according to the formula given in the Materials and Methods section.
Discussion
We propose to create subspecies within the R. conorii species to accommodate both the genotypic homogeneity and the serotypic, MST genotypic, geographic and pathogenic diversities of rickettsia strains within this species.
Defining a species within the Rickettsia genus has long been difficult but rickettsiologists have agreed to use mouse serotyping as one criterion [8]. This classification scheme served as a basis for the development of genotypic criteria at the species level [9]. However, confusion still exists about the taxonomic status of rickettsiae. This is especially the case for rickettsiae which are closely related to classic R. conorii isolates. Philip et al. [8], using mouse serotyping, have demonstrated that R. conorii isolates Malish, Moroccan and Kenya were closely related antigenically to ITTR and that they belonged to a single serotype. Using complement fixation, Bozeman et al. [29] were unable to distinguish ITTR from R. conorii isolates. In contrast, others, using mouse polyclonal antibodies [14], and monoclonal antibodies [11], have demonstrated substantial differences between ITTR and R. conorii isolates. ISFR and AFR could not be distinguished using PCR-RFLP [17] until ompA was used as target gene [30]. In 1993, we have demonstrated that AFR differed from both ISFR and R. conorii in terms of SDS-PAGE mobility and PFGE profiles [19]. Although they are difficult to distinguish serologically, the cross-reacting epitopes they share are located on antigenic proteins that differ in SDS-PAGE mobility and hence in molecular weight [19]. In 1995, Walker et al., using serotyping, Western bloting, monoclonal antibody reactivity and PCR amplification of the tandem repeats within ompA, concluded that ISFR belonged to the R. conorii species [15]. In 1998, Dasch and Jackson differentiated R. conorii from ISFR using PCR-RFLP [23]. Recently, using a combination of genotypic criteria, we have demonstrated that the genotypic differences among ITTR, AFR and ISFR were too subtle to classify them as new species [9]. Instead, they belonged to the R. conorii species.
In the present study, we have demonstrated, using MLST, that rickettsiae closely related to R. conorii isolate Malish are very homogeneous. Except isolates Moroccan and M1 which showed one ompA deletion of 24 and 156 bp, respectively, all studied R. conorii isolates had identical sequences for the five genes studied and thus constituted a reliable taxon. The ITTR isolate showed unique sequences of ompA, ompB and sca4 genes. Among isolates and tick amplicons of AFR, the degree of MLST sequence similarity was of 100% except for the Chad isolate which is genotypically slightly different from AFR isolate A-167 [31]. In another study, we have found identical ompA sequences in four tick amplicons from Kosovo and AFR isolate A-167 [32]. We have also observed serologic, antigenic and genetic homogeneities among two tick and one human AFR isolates from Astrakhan [19]. Thus, except the Chad isolate which was slightly different genotypically, AFR, with three strains and ten tick amplicons studied, appeared to form a homogeneous taxon. The two isolates of ISFR tested showed 100% pairwise nucleotide similarity in all five genes studied. As we have compared only two isolates, one may argue that this may not be representative of the diversity of ompA in ISFR. However, Walker et al. found four human ISFR isolates from Israel to be highly homogeneous antigenically as well as genetically [15]. Bacellar et al. described three human isolates of ISFR from Portugal that showed 100% similarity in 16S rDNA, gltA and ompA sequence with those of ISFR isolate ISTTCDC1 [33]. Giammanco et al. identified a tick rickettsial isolate in Italy that had 100% ompA sequence similarity with ISFR isolate ISTTCDC1 [34]. Therefore, it appeared that our ISFR isolates were representatives of the same homogeneous taxon.
In the first part of the study, we have identified four MLST genotypes which were subjected to further evaluation. Among representatives of these MLST genotypes, the minimal pairwise similarity in the nucleotide sequences of 16S rDNA, gltA, ompA, ompB, and sca4 genes between the rickettsial isolates tested and R. conorii, was 99.8%, 99.4%, 98.3%, 98.5%, and 99.3%, respectively. Thus, All four isolates tested fulfilled the criteria to belong to the R. conorii species [9].
Phylogenetically, the members of the R. conorii complex have been demonstrated to form a stable group distinct from other Rickettsia species (Figure 1) [20-22]. We found that within this cluster they consistently formed two phylogenetic clusters (Figure 2A). One of these clusters included R. conorii and ITTR, and the other, AFR isolates and ISFR. Using MST, we identified five genotypes. However, using pairwise comparison of spacer sequences, we identified only four genotypes similar to those obtained by MLST. MST-based phylogeny also demonstrated a similar pattern (Figure 2B). Serotypically, we could identify four serotypes which, according to the definition of species proposed by Philip [8], would classify them as different species: 1) R. conorii isolate Malish; 2) ITTR; 3) AFR; and 4) ISFR. These four serotypes also showed distinct MST genotypes.
We demonstrated a discrepancy between the genotypic homogeneity of these rickettsiae, which classified them within the R. conorii species [9], and their MST genotypic, serotypic, geographic, and pathogenic heterogeneity. For ITTR, an additional discrepancy was observed between its phylogenetic and serotypic classifications (Figures 2A and 2B versus 2C). Such findings are in accordance with those of Walker et al. who had shown substantial differences between ITTR and R. conorii isolates [11]. We also agree with these authors who hypothesized that all members of the "so-called" R. conorii complex belonged to the R. conorii species [15].
Conclusion
We have demonstrated that R. conorii and closely related strains exhibit a high level of conservation in nucleotide sequence despite genotypic specificities, and phenotypic specificities including serotyping, epidemiological and clinical characteristics. Therefore, according to the accepted criteria of the ad hoc committee on reconciliation of approaches to bacterial systematics which allow the creation of subspecies for genetically-close isolates which express phenotypic differences [25], we are justified in creating new subspecies for these organisms.
Emendation of the description of Rickettsia conorii
Rickettsia conorii (Brumpt 1932). The characteristics of this taxon are similar to those described by Weiss and Moulder for the species [1]. The species contains four subspecies. The minimal degree of pairwise nucleotide similarity of the R. conorii species is of 99.8 % for 16S rDNA, 99.4 % for gltA, 98.3 % for the 5' end of ompA, 98.6 % for ompB, and 99.3 % for sca4, by comparison with isolate Malish.
Description of Rickettsia conorii subsp. conorii subsp. nov
Rickettsia conorii subsp. conorii (co.no'ri.i N. L. gen. n. conorii, of Conor, in honor of A. Conor who, in collaboration with A. Bruch, provided the first description of fièvre boutonneuse in 1910 [35]). The characteristics are the same as those of the species. Transmitted to humans through the bite of Rhipicephalus sanguineus ticks. Grows in Vero cells at 32°C in antibiotic-free Minimal Essential Medium supplemented with 2 % fetal calf serum and 2 mg/ml L-glutamine.
The type strain is Malish, ATCC VR-613, which was isolated in South Africa by J.H.S. Gear in 1946. This type is the most common and representative of the isolates of R. conorii subsp. conorii subsp. nov. The nucleotide sequence of the 16S rRNA, gltA, ompA, ompB, and sca4 genes have been deposited in the GenBank database under the accession numbers, AF541999, U59730, U43806 [30], AF123721 [22], and AF163008 [20], respectively. To be classified as R. conorii subsp. conorii subsp. nov., a rickettsial isolate should exhibit a minimal pairwise nucleotide sequence similarity of 100%, 100%, 99.9%, 99.9%, and 100% for the 16S rDNA, gltA, ompA, ompB, and sca4 genes, respectively, with those of R. conorii isolate Malish, ATCC VR-613. R. conorii subsp. conorii subsp nov. strain Malish has also been deposited in the official collection of the WHO Collaborative Center for the Diagnosis and Study of Rickettsioses in Marseille, France.
Description of Rickettsia conorii subsp. indica subsp. nov
Rickettsia conorii subsp. indica (in'di.ca N. L. gen. n. indica, from India, where the Rhipicephalus sanguineus tick providing the first isolate was collected). The characteristics are the same as those of the species. Transmitted to humans through the bite of Rhipicephalus sanguineus ticks. Grows in Vero cells at 32°C in antibiotic-free Minimal Essential Medium supplemented with 2 % fetal calf serum and 2 mg/ml L-glutamine.
The type strain is Indian tick typhus, ATCC VR-597, which was isolated from a Rhipicephalus sanguineus tick collected in India by C.B. Philip in 1950. The nucleotide sequence of the 16S rRNA, gltA, ompA, ompB, and sca4 genes have been deposited in the GenBank database under the accession numbers L36107 [36], U59730 [37], U43794 [30], AF123726 [22], and AF163005 [20], respectively. To be classified as R. conorii subsp. indica subsp. nov., a rickettsial isolate should exhibit a minimal pairwise nucleotide sequence similarity of 100%, 100%, 99.9%, 99.9%, and 100% for the 16S rDNA, gltA,ompA, ompB, and sca4 genes, respectively, with those of R. conorii subsp. indica subsp. nov., isolate Indian tick typhus, ATCC VR-597. R. conorii subsp.conorii subsp nov. isolate Indian has also been deposited in the official collections of the WHO Collaborative Center for the Diagnosis and Study of Rickettsioses in Marseille, France; of the WHO and National Reference Collection at the Gamaleya Research Institute, Moscow, Russia, and of the WHO Collaborating Reference Center for Rickettsial and Bartonella-associated Diseases, CDC, Atlanta, USA.
Description of Rickettsia conorii subsp. caspia subsp. nov
Rickettsia conorii subsp. caspia (cas' pi.a N. L. fem.adj. caspia, from Mare Caspium, the Latin name of the Caspian sea where the disease caused by this rickettsia is endemic). The characteristics are the same as those of the species. Transmitted to humans through the bite of Rhipicephalus sanguineus and R. pumilio ticks. Grows in Vero cells at 32°C in antibiotic-free Minimal Essential Medium supplemented with 2 % fetal calf serum and 2 mg/ml L-glutamine.
The type strain is A-167, which was isolated from a Rhipicephalus pumilio tick collected in Astrakhan in 1992. The nucleotide sequence of the 16S rRNA, gltA, ompA, ompB, and sca4 genes have been deposited in the GenBank database under the accession numbers L36100 [36], U59728 [37], U43791 [30], AF123708 [22], and AF163007 [20], respectively. The nucleotide sequence of the 16S rRNA, gltA, ompA, ompB, and sca4 genes of AFR isolate Chad have been deposited in the GenBank database under the accession numbers AF510102 [31], AF510103 [31], AY112668 [31], AY643093, and AY643092, respectively. To be classified as R. conorii subsp. caspia subsp. nov., a rickettsial strain should exhibit a minimal pairwise nucleotide sequence similarity of 99.7%, 99.6%, 99.5%, 98.9%, and 99.6% for the 16S rDNA, gltA, ompA, ompB, and sca4 genes, respectively, with those of R. conorii subsp. caspia subsp. nov., isolate A-167. R. conorii subsp. caspia subsp nov isolate A-167 has been deposited in the official collections of the WHO Collaborative Center for the Diagnosis and Study of Rickettsioses in Marseille, France, and of the WHO Collaborating Reference Center for Rickettsial and Bartonella-associated Diseases, CDC, Atlanta, USA.
Description of Rickettsia conorii subsp. israelensis subsp. nov
Rickettsia conorii subsp. israelensis (is.ra. el en' sis. N. L. gen. n. israelensis, from Israel, where the Rhipicephalus sanguineus tick providing the first isolate was collected). The characteristics are the same as those of the species. Transmitted to humans through the bite of Rhipicephalus sanguineus ticks. Grows in Vero cells at 32°C in antibiotic-free Minimal Essential Medium supplemented with 2 % fetal calf serum and 2 mg/ml L-glutamine.
The type strain is ISTTCDC1, which was isolated from a Rhipicephalus sanguineus tick collected in Israel in 1974. The nucleotide sequence of the 16S rRNA, gltA, ompA, ompB, sca4 genes have been deposited in the GenBank database under the accession numbers L36223 [36], U59727 [37], U43797 [30], AF123712 [22], and AF155058 [20], respectively. To be classified as R. conorii subsp. israelensis subsp. nov., a rickettsial isolate should exhibit a minimal pairwise nucleotide sequence similarity of 100%, 99.7%, 98.9%, 99.5%, and 99.8%, for the 16S rDNA, gltA, ompA, ompB, and sca4 genes, respectively, with those of R. conorii subsp. israelensis subsp. nov., isolate ISTTCDC1. R. conorii subsp. israelensis subsp. Nov. isolate ISTTCDC1 has been deposited in the official collections of the WHO Collaborative Center for the Diagnosis and Study of Rickettsioses in Marseille, France, and of the WHO Collaborating Reference Center for Rickettsial and Bartonella-associated Diseases, CDC, Atlanta, USA.
Methods
Rickettsial strains
All rickettsial strains tested and their original sources are listed in Table 2. Rickettsial isolates for which sequences were not available were grown in Vero cell monolayers at 32°C in 150 cm2-cell culture flasks as previously described [37]. When Gimenez staining demonstrated the cells have been infected heavily, they were harvested using sterile glass beads and centrifuged at 12,000 g for 10 min, resuspended in fresh medium and stored at -70°C until purification of nucleic acid was carried out. All rickettsial stocks were tested and shown to be free of Mycoplasma sp using a 16S rDNA-based PCR assay as previously described [38].
Table 2.
Rickettsial isolates included in the study
| Strain (ATCC number) | Original source | Geographical origin | Human disease | Passage history* | Strain provided by | Reference |
| R. conorii | ||||||
| Moroccan (VR-141) | Unknown | Morocco | Mediterranean spotted fever | 118 | ATCC | [49] |
| Malish (VR-613) | Unknown | South Africa | Mediterranean spotted fever | 67 | ATCC | Gear |
| Kenya | Haemaphysalis leachii | Kenya | Kenya tick typhus | 17 | G. Dasch ¶ | [49] |
| M1 | Rhipicephalus sanguineus | Georgia, former Soviet Union | 12 | Gamaleya Institute, Moscow | [50] | |
| Zim 1 | Rhipicephalus simus | Zimbabwe | 10 | P.J. Kelly ** | [10] | |
| Zim C | Haemaphysalis leachii | Zimbabwe | 8 | P.J. Kelly ** | [51] | |
| URRCSpain3 | Human | Spain | Mediterranean spotted fever | 20 | PS ‡ | |
| 16-B | Human | Spain | Mediterranean spotted fever | 20 | † | [52] |
| Spain96 | Human | Spain | Mediterranean spotted fever | 5 | N. Cardenosa ¶¶ | [53] |
| Portugal454 | Human | Portugal | Mediterranean spotted fever | 4 | F. Bacellar † † | PS ‡ |
| Portugal821 | Human | Portugal | Mediterranean spotted fever | 4 | F. Bacellar † † | PS ‡ |
| Portugal162 | Human | Portugal | Mediterranean spotted fever | 4 | F. Bacellar † † | PS ‡ |
| Portugal5 | Human | Portugal | Mediterranean spotted fever | 4 | PS ‡ | |
| URRCFrance1 | Human | France | Mediterranean spotted fever | 4 | † | PS ‡ |
| URRCFrance2 | Human | France | Mediterranean spotted fever | 4 | † | PS ‡ |
| URRCFranceFEe4 | Human | France | Mediterranean spotted fever | 4 | † | PS ‡ |
| URRCFranceFEe5 | Human | France | Mediterranean spotted fever | 4 | † | PS ‡ |
| URRCFranceFEe6 | Human | France | Mediterranean spotted fever | 4 | † | PS ‡ |
| URRCFranceE7 | Human | France | Mediterranean spotted fever | 4 | † | PS ‡ |
| URRCFranceFEe8 | Human | France | Mediterranean spotted fever | 4 | † | PS ‡ |
| URRCFranceF9 | Human | France | Mediterranean spotted fever | 4 | † | PS ‡ |
| URRCFrance10 | Human | France | Mediterranean spotted fever | 4 | † | PS ‡ |
| URRCFranceFE11 | Human | France | Mediterranean spotted fever | 4 | † | PS ‡ |
| URRCFranceFE17 | Human | France | Mediterranean spotted fever | 4 | † | PS ‡ |
| URRCAlgeria18 | Human | Algeria | Mediterranean spotted fever | 4 | † | PS ‡ |
| URRCFranceFEe25 | Human | France | Mediterranean spotted fever | 4 | † | PS ‡ |
| URRCTunisia28 | Human | Tunisia | Mediterranean spotted fever | 4 | † | PS ‡ |
| URRCCroatia29 | Human | Croatia | Mediterranean spotted fever | 4 | † | PS ‡ |
| URRCFranceFEe31 | Human | France | Mediterranean spotted fever | 4 | † | PS ‡ |
| URRCFranceFEe32 | Human | France | Mediterranean spotted fever | 4 | † | PS ‡ |
| AH | Human | France | Mediterranean spotted fever | 7 | † | PS ‡ |
| Indian tick typhus rickettsia | ||||||
| Indian (VR-597) | Rhipicephalus sanguineus | India | Indian tick typhus | 20 | ATCC | [12] |
| Astrakhan fever rickettsia | ||||||
| A-167 | Rhipicephalus pumilio | Astrakhan region, former Soviet Union | Astrakhan fever | 15 | † | [19] |
| Chad | Human | Chad | Unnamed spotted fever | 4 | † | [31] |
| Israeli spotted fever rickettsia | ||||||
| ISTT CDC1 | Rhipicephalus sanguineus | Israel | Israeli spotted fever | 35 | G. Dasch ¶ | [14] |
| P426 | Human | Portugal | Unnamed spotted fever | 6 | F. Bacellar † † | [33] |
* The passage history refers to the number of passages of the strain on Vero cells (ATCC CRL-1587)
¶ Centers for Disease Control, Atlanta, GA, U.S.A.
† Isolated in our laboratory
‡ PS = present study
** Veterinary Teaching Hospital, Massey University, Palmerston North, New Zealand
¶¶Programa Asistencial de Malalties Infeccioses I Seccio de Microbiologia, Corporacio Sanitaria Parc Tauli, Sabadell, Barcelona, Spain
† † Centro de Estudos de Vectores e Doenças Infecciosas, Instituto Nacional de Saúde Dr. Ricardo Jorge, Aguas de Moura, Portugal
Nucleic acid purification, PCR amplification and sequencing
When available, we used gene sequences present in GenBank. The accession numbers for these sequences are reported at the end of the manuscript. Missing sequences were obtained in this study. Genomic DNA was extracted from 200 μl of rickettsial suspension and from 57 Rhipicephalus pumilio ticks collected in Astrakhan [19] using the QIAamp Tissue Kit (Qiagen, Hilden, Germany) according to the manufacturer's instructions. For MLST, we used the previously described primers and PCR conditions to amplify 1,424-bp, 1,134-bp, 590-bp, 4,890-bp, and 3,028-bp fragments of the 16S rDNA [36], gltA [37], ompA [30], ompB [22] and sca4 [20] genes, respectively, of 29 of 36 rickettsial isolates tested for which no sequences were available in GenBank, and 57 R. pumilio ticks. In addition, we amplified and sequenced the ompB and sca4 genes of AFR isolate Chad which had not been determined previously. Primers were purchased from Eurogentec (Seraing, Belgium). PCR reactions were carried out in a Peltier model PTC-200 thermal cycler (MJ Research, Watertown, MA). Each PCR included a negative (distilled water) and a positive control (DNA extracted from R. montanensis isolate 2–4–6 using the QIAamp Tissue Kit [Qiagen]). PCR products were visualized after electrophoresis on a 1% agarose gel. Each amplicon was purified for sequencing using the QIAquick Spin PCR Purification Kit (Qiagen) according to the manufacturer's instructions. Sequencing reactions were carried out using PCR primers and the D-rhodamine terminator cycle DNA sequencing Kit (Applied Biosystems, Foster City, California) according to the manufacturer' instructions. Sequencing reaction products were resolved by electrophoresis with an ABI Prism 3100 Automated Sequencer (Applied Bioystems). Each base position was established twice in both the forward and reverse directions.
For each gene, the pairwise sequence similarity among studied isolates and tick amplicons was estimated using the multisequence alignment program CLUSTAL W [39]. Each isolate or tick amplicon exhibiting specific nucleotide substitutions within one or more of the five genes studied was considered a different MLST genotype. Then, we selected a representative isolate of each MLST genotype for further tests. When a MLST genotype incorporated more than one isolate, we selected the type strain or the first strain described in the literature as representative strain. In addition to AFR isolate A-167, we incorporated AFR isolate Chad in the phylogenetic study and the mouse immunization and MST assays because MLST sequence differences between both isolates were due to nucleotide substitutions as well as deletions.
Distance matrices generated by DNADIST were determined under the assumptions of Kimura and were used to infer dendrograms by the neighbor-joining method [40] using the PHYLIP version 3.4 software package [41]. Dendrograms were also constructed by data processing with the maximum-likehood and parsimony methods (DNAML and DNAPARS, respectively, in PHYLIP). A bootstrap analysis based on 100 randomly generated trees using SEQBOOT and CONSENSE in PHYLIP was performed to estimate the node reliability of the trees obtained by three phylogenetic methods [42].
Multi-spacer typing (MST)
We amplified and sequenced the dksA / xerC, mppA / purC, and rpmE / tRNA-fMet intergenic spacers for each of R. conorii isolate Malish, ITTR, ISFR, and AFR isolates A-167 and Chad. Primers and methods were those described previously [28]. Subsequently, spacer sequences were concatenated and used to infer the phylogenetic relationships among strains tested using the neighbor-joining method [40] as described above.
Mouse immunization
For each R. conorii isolate Malish, ITTR, ISFR, and AFR isolates A-167 and Chad, five BALB/c mice were inoculated intravenously (tail vein) with purified bacterial suspension (0.1 ml containing 104 bacteria). The concentration of rickettsial suspensions was estimated using a plaque assay as previously described [43]. On day 7, mice were boosted with a similar inoculum. On day 10, mice were anesthetized and exsanguinated by cardiac puncture [8]. Sera from each group of five mice were pooled and stored at -20°C until used for microimmunofluorescence (MIF) serotyping.
MIF serotyping
The MIF test was performed and the SPD was calculated using the method of Philip et al. [8]. Each of the five rickettsiae tested was compared with each other. The highest serum dilutions giving positive reactions were recorded as endpoint titer: SPD = (Aa + Bb) - (Ab + Ba), where Aa or Bb is -log2 of the endpoint titer between serum A or B and homologous antigen a or b and Ab or Ba is -log2 of the endpoint titer of serum A or B against heterologous antigen b or a. If the SPD was less than 3, the two isolates were assumed to belong to the same serotype. If the SPD was ≥ 3, the isolates were assumed to belong to different serotypes. The SPDs were used to construct a matrix, and then a dendrogram was constructed from the matrix by the unweighted pair group method with arithmetic mean (UPGMA) available in the MEGA2 software package [44].
Authors' contributions
The individual parts of the work presented in the paper were conducted as follows: YZ and PEF carried out the molecular genetic studies, analyzed the sequences and drafted the manuscript. ME participated in the design of the study and helped to draft the manuscript. DR conceived the study, and participated in its design and coordination and helped to draft the manuscript. All authors read and approved the final manuscript.
Acknowledgments
Acknowledgements
We are grateful to Drs N. Fetisova and I.V. Tarasevich for R. pumilio ticks. We thank Drs G.A. Dasch, E. Shaw and M. Khan for reading and corrections of the manuscript.
Contributor Information
Yong Zhu, Email: zhuyong65@yahoo.com.
Pierre-Edouard Fournier, Email: Pierre-Edouard.Fournier@medecine.univ-mrs.fr.
Marina Eremeeva, Email: mge6@cdc.gov.
Didier Raoult, Email: didier.raoult@medecine.univ-mrs.fr.
References
- Weiss E, Moulder JW. Order I Rickettsiales, Gieszczkiewicz 1939. In: Krieg NR and Holt JG, editor. Bergey's manual of systematic bacteriology. 1. Baltimore, Williams and Wilkins; 1984. pp. 687–703. [Google Scholar]
- Weisburg WG, Dobson ME, Samuel JE, Dasch GA, Mallavia LP, Baca O, Mandelco L, Sechrest JE, Weiss E, Woese CR. Phylogenetic diversity of the rickettsiae. J Bacteriol. 1989;171:4202–4206. doi: 10.1128/jb.171.8.4202-4206.1989. [DOI] [PMC free article] [PubMed] [Google Scholar]
- Neimark H, Johansson KE, Rikihisa Y, Tully JG. Proposal to transfer some members of the genera Haemobartonella and Eperythrozoon to the genus Mycoplasma with descriptions of 'Candidatus Mycoplasma haemofelis', 'Candidatus Mycoplasma haemomuris', 'Candidatus Mycoplasma haemosuis' and 'Candidatus Mycoplasma wenyonii'. Int J Syst Evol Microbiol. 2001;51:891–899. doi: 10.1099/00207713-51-3-891. [DOI] [PubMed] [Google Scholar]
- Birtles RJ, Harrison TG, Saunders NA, Molyneux DH. Proposals to unify the genera Grahamella and Bartonella, with descriptions of Bartonella talpae comb.nov., Bartonella peromysci comb. nov., and three new species, Bartonella grahamii sp. nov., Bartonella taylorii sp. nov., and Bartonella doshiae sp. nov. Int J Syst Bacteriol. 1995;45:1–8. doi: 10.1099/00207713-45-1-1. [DOI] [PubMed] [Google Scholar]
- Brenner DJ, O'Connor SP, Winkler HH, Steigerwalt AG. Proposals to unify the genera Bartonella and Rochalimaea, with descriptions of Bartonella quintana comb. nov., Bartonella vinsonii comb. nov., Bartonella henselae comb. nov., and Bartonella elizabethae comb. nov., and to remove the family Bartonellaceae from the order Rickettsiales. Int J Syst Bacteriol. 1993;43:777–786. doi: 10.1099/00207713-43-4-777. [DOI] [PubMed] [Google Scholar]
- Dumler JS, Barbet AF, Bekker CPJ, Dasch GA, Palmer GH, Ray SC, Rikihisa Y, Rurangirwa FR. Reorganisation of genera in the families Rickettsiaceae and Anaplasmataceae in the order Rickettsiales : unification of some species of Ehrlichia with Anaplasma, Cowdria with Ehrlichia and Ehrlichia with Neorickettsia, descriptions of six new species combinations and designation of Ehrlichia equi and 'HGE agent' as subjective synonyms of Ehrlichia phagocytophila. Int J Syst Evol Microbiol. 2001;51:2145–2165. doi: 10.1099/00207713-51-6-2145. [DOI] [PubMed] [Google Scholar]
- Tamura A, Ohashi N, Urakami H, Miyamura S. Classification of Rickettsia tsutsugamushi in a new genus, Orientia gen nov, as Orientiatsutsugamushi comb. nov. Int J Syst Bacteriol. 1995;45:589–591. doi: 10.1099/00207713-45-3-589. [DOI] [PubMed] [Google Scholar]
- Philip RN, Casper EA, Burgdorfer W, Gerloff RK, Hugues LE, Bell EJ. Serologic typing of rickettsiae of the spotted fever group by micro-immunofluorescence. J Immunol. 1978;121:1961–1968. [PubMed] [Google Scholar]
- Fournier PE, Dumler JS, Greub G, Zhang J, Yimin W, Raoult D. Gene sequence-based criteria for the identification of new Rickettsia isolates and description of Rickettsia heilongjiangensis sp. nov. J Clin Microbiol. 2003;41:5456–5465. doi: 10.1128/JCM.41.12.5456-5465.2003. [DOI] [PMC free article] [PubMed] [Google Scholar]
- Kelly PJ, Mason PR. Serological typing of spotted fever group rickettsia isolates from Zimbabwe. J Clin Microbiol. 1990;28:2302–2304. doi: 10.1128/jcm.28.10.2302-2304.1990. [DOI] [PMC free article] [PubMed] [Google Scholar]
- Walker DH, Liu QH, Yu XJ, Li H, Taylor C, Feng HM. Antigenic diversity of Rickettsia conorii. Am J Trop Med Hyg. 1992;47:78–86. doi: 10.4269/ajtmh.1992.47.78. [DOI] [PubMed] [Google Scholar]
- Philip CB, Hughes LE, Rao KNA, Kalra SL. Studies on "Indian tick typhus" and its relation to other human, typhus-like rickettsioses: 1958. 1958. p. 571. (Arquivos do V Congresso Internacional de Microbiologia, Rio de Janeiro, 17-24 de Augosto 1950).
- Cwikel BJ, Ighbarieh J, Sarov I. Antigenic polypeptides of Israeli spotted fever isolates compared with other spotted fever group rickettsiae. Ann N Y Acad Sci. 1990;590:381–388. doi: 10.1111/j.1749-6632.1990.tb42244.x. [DOI] [PubMed] [Google Scholar]
- Goldwasser RA, Steiman Y, Klingberg W, Swartz TA, Klingberg MA. The isolation of strains of rickettsiae of the spotted fever group in Israel and their differentiation from other members of the group by immunofluorescence methods. Scand J Infect Dis. 1974;6:53–62. doi: 10.3109/inf.1974.6.issue-1.10. [DOI] [PubMed] [Google Scholar]
- Walker DH, Feng HM, Saada J, Croquet-Valdes P, Radulovic S, Popov VL, Manor E. Comparative antigenic analysis of spotted fever group rickettsiae from Israel and other closely related organisms. Am J Trop Med Hyg. 1995;52:569–576. doi: 10.4269/ajtmh.1995.52.569. [DOI] [PubMed] [Google Scholar]
- Tarasevich IV, Makarova V, Fetisova NF, Stepanov A, Mistkarova E, Balayeva NM, Raoult D. Astrakhan fever: a new spotted fever group rickettsiosis. Lancet. 1991;337:172–173. doi: 10.1016/0140-6736(91)90833-B. [DOI] [PubMed] [Google Scholar]
- Drancourt M, Beati L, Tarasevich IV, Raoult D. Astrakhan fever rickettsia is identical to Israeli tick typhus rickettsia, a genotype of the Rickettsia conorii complex. J Infect Dis. 1992;165:1167–1168. doi: 10.1093/infdis/165.6.1167. [DOI] [PubMed] [Google Scholar]
- Tarasevich IV, Makarova VA, Fetisova NF, Stepanov AV, Miskarova ED, Raoult D. Studies of a "new" rickettsiosis, "Astrakhan" spotted fever. Eur J Epidemiol. 1991;7:294–298. doi: 10.1007/BF00145681. [DOI] [PubMed] [Google Scholar]
- Eremeeva ME, Beati L, Makarova VA, Fetisova NF, Tarasevich IV, Balayeva NM, Raoult D. Astrakhan fever rickettsiae: antigenic and genotypic of isolates obtained from human and Rhipicephalus pumilio ticks. Am J Trop Med Hyg. 1994;51:697–706. doi: 10.4269/ajtmh.1994.51.697. [DOI] [PubMed] [Google Scholar]
- Sekeyova Z, Roux V, Raoult D. Phylogeny of Rickettsia spp. inferred by comparing sequences of 'gene D', which encodes an intracytoplasmic protein. Int J Syst Evol Microbiol. 2001;51:1353–1360. doi: 10.1099/00207713-51-4-1353. [DOI] [PubMed] [Google Scholar]
- Fournier PE, Roux V, Raoult D. Phylogenetic analysis of spotted fever group rickettsiae by study of the outer surface protein rOmpA. Int J Syst Bacteriol. 1998;48:839–849. doi: 10.1099/00207713-48-3-839. [DOI] [PubMed] [Google Scholar]
- Roux V, Raoult D. Phylogenetic analysis of members of the genus Rickettsia using the gene encoding the outer-membrane protein rOmpB (ompB) Int J Syst Evol Microbiol. 2000;50:1449–1455. doi: 10.1099/00207713-50-4-1449. [DOI] [PubMed] [Google Scholar]
- Dasch GA, Jackson LM. Genetic analysis of isolates of the spotted fever group of rickettsiae belonging to the R.conorii complex. Ann N Y Acad Sci. 1998;29:11–20. doi: 10.1111/j.1749-6632.1998.tb11028.x. [DOI] [PubMed] [Google Scholar]
- Kelly DJ, Richards AL, Temenak J, Strickman D, Dasch GA. The past and present threat of rickettsial diseases to military medicine and international public health. Clin Infect Dis. 2002;Suppl 4:145–169. doi: 10.1086/339908. [DOI] [PubMed] [Google Scholar]
- Wayne LG, Brenner DJ, Colwell RR, Grimont PAD, Kandler O, Krichevsky MI, Moore LH, Moore WEC, Murray RGE, Stackebrandt E, Starr MP, Truper HG. Report of the Ad hoc committee on reconciliation of approaches to bacterial systematics. Int J Syst Bact. 1987;37:463–464. [Google Scholar]
- Andersson SG, Zomorodipour A, Andersson JO, Sicheritz-Ponten T, Alsmark UC, Podowski RM, Naslund AK, Eriksson AS, Winkler HH, Kurland CG. The genome sequence of Rickettsia prowazekii and the origin of mitochondria. Nature. 1998;396:133–140. doi: 10.1038/24094. [DOI] [PubMed] [Google Scholar]
- Ogata H, Audic S, Renesto-Audiffren P, Fournier PE, Barbe V, Samson D, Roux V, Cossart P, Weissenbach J, Claverie JM, Raoult D. Mechanisms of evolution in Rickettsia conorii and R. prowazekii. Science. 2001;293:2093–2098. doi: 10.1126/science.1061471. [DOI] [PubMed] [Google Scholar]
- Fournier PE, Zhu Y, Ogata H, Raoult D. Use of highly variable intergenic spacer sequences for multispacer typing of Rickettsia conorii strains. J Clin Microbiol. 2004;42:5757–5766. doi: 10.1128/JCM.42.12.5757-5766.2004. [DOI] [PMC free article] [PubMed] [Google Scholar]
- Bozeman FM, Humphries JW, Campbell JM, O'Hara PL. Laboratory studies of the spotted fever group of rickettsiae. In: Wisseman CLJ, editor. Symposium on the spotted fever group of rickettsiae. Washington,D.C., Walter Reed Army Medical Center; 1960. pp. 7–11. (Commission on Rickettsial Diseases). [Google Scholar]
- Roux V, Fournier PE, Raoult D. Differentiation of spotted fever group rickettsiae by sequencing and analysis of restriction fragment length polymorphism of PCR amplified DNA of the gene encoding the protein rOmpA. J Clin Microbiol. 1996;34:2058–2065. doi: 10.1128/jcm.34.9.2058-2065.1996. [DOI] [PMC free article] [PubMed] [Google Scholar]
- Fournier PE, Xeridat B, Raoult D. Isolation of a rickettsia from a patient in Chad which is related to Astrakhan fever rickettsia. Ann N Y Acad Sci. 2003;990:152–157. doi: 10.1111/j.1749-6632.2003.tb07356.x. [DOI] [PubMed] [Google Scholar]
- Fournier PE, Durand JP, Rolain JM, Camicas JL, Tolou H, Raoult D. Detection of Astrakhan fever rickettsia from ticks in Kosovo. Ann N Y Acad Sci. 2003;990:158–161. doi: 10.1111/j.1749-6632.2003.tb07357.x. [DOI] [PubMed] [Google Scholar]
- Bacellar F, Beati L, Franca A, Pocas J, Regnery R, Filipe A. Israeli spotted fever rickettsia (Rickettsia conorii complex) associated with human disease in Portugal. Emerg Infect Dis. 1999;5:835–836. doi: 10.3201/eid0506.990620. [DOI] [PMC free article] [PubMed] [Google Scholar]
- Giammanco G, Mansueto S, Ammatuna P, Vitale G. Israeli spotted fever Rickettsia in Sicilian Rhipicephalus sanguineus ticks. Emerg Infect Dis. 2003;9:892–893. doi: 10.3201/eid0907.030109. [DOI] [PMC free article] [PubMed] [Google Scholar]
- Conor A, Bruch A. Une fièvre éruptive observée en Tunisie. Bull Soc Pathol Exot Filial. 1910;8:492–496. [Google Scholar]
- Roux V, Raoult D. Phylogenetic analysis of the genusRickettsia by 16S rDNA sequencing. Res Microbiol. 1995;146:385–396. doi: 10.1016/0923-2508(96)80284-1. [DOI] [PubMed] [Google Scholar]
- Roux V, Rydkina E, Eremeeva M, Raoult D. Citrate synthase gene comparison, a new tool for phylogenetic analysis, and its application for the rickettsiae. Int J Syst Bact. 1997;47:252–261. doi: 10.1099/00207713-47-2-252. [DOI] [PubMed] [Google Scholar]
- Uphoff CC, Drexler HG. Detection of mycoplasma contaminations in cell cultures by PCR analysis. Hum Cell. 1999;12:229–236. [PubMed] [Google Scholar]
- Thompson JD, Higgins DG, Gibson TJ. CLUSTAL W: improving the sensitivity of progressive multiple sequence alignment through sequence weighting, position-specific gap penalties and weight matrix choice. Nucleic Acids Res. 1994;22:4673–4680. doi: 10.1093/nar/22.22.4673. [DOI] [PMC free article] [PubMed] [Google Scholar]
- Kimura M. A simple method for estimating evolutionary rate of base substitutions through comparative studies of nucleotide sequences. J Mol Evol. 1980;16:111–120. doi: 10.1007/BF01731581. [DOI] [PubMed] [Google Scholar]
- Felsenstein J. PHYLIP-Phylogeny Inference Package (version 3.2) Cladistics. 1989;5:164–166. [Google Scholar]
- Brown JKM. Bootstrap hypothesis tests for evolutionary trees and other dendograms. Proc Natl Acad Sci U S A. 1994;91:12293–12297. doi: 10.1073/pnas.91.25.12293. [DOI] [PMC free article] [PubMed] [Google Scholar]
- Wisseman CLJ, Waddell AD, Walsh WT. In vitro studies of the action of antibiotics on Rickettsia prowazekii by two basic methods of cell culture. J Infect Dis. 1974;130:564–574. doi: 10.1093/infdis/130.6.564. [DOI] [PubMed] [Google Scholar]
- Kumar S, Tamura K, Jakobsen IB, Nei M. MEGA2: molecular evolutionary genetics analysis software. Bioinformatics. 2001;17:1244–1245. doi: 10.1093/bioinformatics/17.12.1244. [DOI] [PubMed] [Google Scholar]
- Raoult D, Weiller PJ, Chagnon A, Chaudet H, Gallais H, Casanova P. Mediterranean spotted fever: clinical, laboratory and epidemiological features of 199 cases. Am J Trop Med Hyg. 1986;35:845–850. doi: 10.4269/ajtmh.1986.35.845. [DOI] [PubMed] [Google Scholar]
- de Sousa R, Nobrega SD, Bacellar F, Torgal J. Mediterranean spotted fever in Portugal: risk factors for fatal outcome in 105 hospitalized patients. Ann N Y Acad Sci. 2003;990:285–294. doi: 10.1111/j.1749-6632.2003.tb07378.x. [DOI] [PubMed] [Google Scholar]
- Jayaseelan E, Rajendran SC, Shariff S, Fishbein D, Keystone JS. Cutaneous eruptions in Indian tick typhus. Int J Dermatol. 1991;30:790–794. doi: 10.1111/j.1365-4362.1991.tb04788.x. [DOI] [PubMed] [Google Scholar]
- Gross EM, Yagupsky P. Israeli rickettsial spotted fever in children. A review of 54 cases. Acta Trop. 1987;44:91–96. [PubMed] [Google Scholar]
- Bell EJ, Stoenner HG. Immunologic relationships among the spotted fever group of rickettsias determined by toxin neutralisation tests in mice with convalescent animal serums. J Immunol. 1960;84:171–182. [PubMed] [Google Scholar]
- Golinevitch H. A propos de la différenciation de quelques rickettsies du groupe de la fièvre pourprée à tiques. Arch Inst Pasteur Tunis. 1960;37:13–22. [Google Scholar]
- Drancourt M, Kelly PJ, Regnery RL, Raoult D. Identification of spotted fever group rickettsiae using polymerase chain reaction and restriction-endonuclease length polymorphism analysis. Acta Virol. 1992;36:1–6. [PubMed] [Google Scholar]
- Espejo-Arenas E, Raoult D. First isolates of Rickettsia conorii in Spain using a centrifugation-shell vial assay. J Infect Dis. 1989;159:1158–1159. doi: 10.1093/infdis/159.6.1158. [DOI] [PubMed] [Google Scholar]
- Cardenosa N, Roux V, Font B, Sanfeliu I, Raoult D, Segura F. Short report: isolation and identification of two spotted fever group rickettsial strains from patients in Catalonia, Spain. Am J Trop Med Hyg. 2000;62:142–144. doi: 10.4269/ajtmh.2000.62.142. [DOI] [PubMed] [Google Scholar]
