An official website of the United States government
Here's how you know
Official websites use .gov
A
.gov website belongs to an official
government organization in the United States.
Secure .gov websites use HTTPS
A lock (
) or https:// means you've safely
connected to the .gov website. Share sensitive
information only on official, secure websites.
As a library, NLM provides access to scientific literature. Inclusion in an NLM database does not imply endorsement of, or agreement with,
the contents by NLM or the National Institutes of Health.
Learn more:
PMC Disclaimer
|
PMC Copyright Notice
Correspondencia: Dr. Daniel López-Domínguez. Unidad de Ataxias. Unidad de Trastornos del Movimiento. Servicio de Neurología. Hospital Universitari Josep Trueta. Av. de França, s/n. E-17007 Girona. E-mail: dani89ld@hotmail.com
La hiperintensidad reversible en los pedúnculos cerebelosos medios (signo MCP) en la resonancia magnética con signo T2 es un hallazgo infrecuente en neuroimagen de patologías neurodegenerativas y se considera uno de los principales criterios diagnósticos radiológicos del síndrome de temblor/ataxia asociado al X frágil [1]. También se ha descrito en otras entidades, como la atrofia multisistémica, la enfermedad de Wilson, etc. Presentamos un caso de enfermedad de Marchiafava-Bignami en el que se observa el signo MCP de forma reversible.
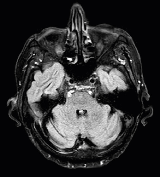
Varón de 59 años, con antecedentes de 40 años de alcoholismo, que presentaba alteración subaguda de la marcha y deterioro cognitivo, que empeoró progresivamente en tres meses, con imposibilidad para caminar, por lo que requirió ingreso hospitalario. En la exploración observamos somnolencia, síndrome cerebeloso (ataxia de la marcha y disartria) y deterioro cognitivo (déficit de memoria, y alteración de la velocidad de procesamiento y de las funciones ejecutivo-atencionales). El estudio analítico mostró deficiencia de ácido fólico y tiamina, y la resonancia magnética cerebral, adelgazamiento global e hiperintensidad de T2 en el esplenio del cuerpo calloso y el signo MCP (Fig. 1).
a) En la resonancia magnética T2WI, se aprecia hiperintensidad en el esplenio del cuerpo calloso en secuencias sagitales. b) En T2-FLAIR también se observa hiperintensidad en el esplenio del cuerpo calloso en secuencias axiales. c) En secuencias axiales DWI, se observa hiperintensidades en pedúnculos cerebelosos medios bilaterales, también conocido como signo MCP. d) En T2-FLAIR también se puede ver el signo MCP.
Al paciente se le diagnosticó demencia y ataxia rápidamente progresiva. El curso subagudo progresivo hizo improbable la etiología cerebrovascular. El estudio del líquido cefalorraquídeo mostró únicamente hiperproteinorraquia, con reacción en cadena de la polimerasa negativa, por lo que se descartó una etiología infecciosa, y un estudio analítico extenso excluyó una etiología inmunomediada. Se consideró etiología neurodegenerativa y se descartó atrofia multisistémica en ausencia de parkinsonismo o disautonomía. Ante el hallazgo del signo MCP, se realizó un estudio genético de la premutación FMR1, con resultado normal [2].
El diagnóstico final fue probable enfermedad de Marchiafava-Bignami de tipo B, basado en los hallazgos clínicos y radiológicos. El tratamiento con suplementación vitamínica mostró una mejoría clínica progresiva, con posible deambulación con un soporte a los dos meses del alta, con persistencia de los síntomas cognitivos. Una resonancia magnética cerebral de seguimiento resaltó la resolución del signo MCP (Fig. 2), pero la persistencia de los hallazgos en el cuerpo calloso (no se muestra en la imagen).
Resonancia magnética de seguimiento que muestra la resolución de la hiperintensidad en los pedúnculos cerebelosos medios (secuencias T2-FLAIR).
La enfermedad de Marchiafava-Bignami es una patología infrecuente (aunque probablemente infradiagnosticada), que afecta con mayor frecuencia a hombres de mediana edad (40-60 años) [1]. Su fisiopatología se desconoce, pero se asocia con alcoholismo crónico y desnutrición (incluyendo déficits vitamínicos, especialmente tiamina) [2], y produce lesiones desmielinizantes que afectan al cuerpo calloso [1,3]. Los pocos casos descritos demuestran una presentación clínica variable [4], que incluye ataxia, deterioro del estado mental, tetraparesia, etc. Dada la sintomatología inespecífica, el diagnóstico en el pasado se basaba en el examen patológico post mortem y actualmente se basa en los hallazgos característicos de neuroimagen (lesiones simétricas del cuerpo calloso). Las lesiones extracallosas, como la afectación de la sustancia blanca cortical/subcortical, se han descrito previamente, pero el signo MCP es infrecuente, con sólo unos pocos casos notificados [1,3,5], que en ocasiones asocian un mal pronóstico [1]. El tratamiento incluye la reconstitución de vitaminas y tratamiento de soporte vital [4]. El pronóstico es malo, con mortalidad hasta en un 21% de los casos [2], y sólo un 8% de los casos tiene una evolución favorable [2,5]. Se ha postulado que el diagnóstico y el tratamiento precoces pueden mejorar el pronóstico [4,5].
En nuestro caso destaca una buena respuesta clínica y radiológica, con resolución del signo MCP tras la suplementación vitamínica. Su resolución, asociada a la mejoría clínica, podría indicar que el signo MCP es un marcador de pronóstico de la enfermedad, aunque es necesaria la descripción de más casos para sacar conclusiones de mayor peso. La presencia del signo MCP también debe sugerir la posibilidad de enfermedad de Marchiafava-Bignami y es necesario realizar un estudio vitamínico-nutricional de forma precoz, ya que se trata de una entidad infrecuente, pero tratable, con un curso potencialmente fatal en ausencia de tratamiento.
Rev Neurol. 2023 Nov 1;77(9):227–228. [Article in English]
Reversible hyperintensity in middle cerebellar peduncles. An infrequent finding in Marchiafava-Bignami disease
Correspondence: Dr. Daniel López-Domínguez. Ataxia Unit. Movement Disorders Unit. Neurology Department. Hospital Universitari Josep Trueta. Av. de França, s/n. E-17007 Girona. E-mail: dani89ld@hotmail.com
Hiperintensity in middle cerebellar peduncles in T2 sign magnetic resonance image (MRI) (MCP-sign) is an infrequent finding, usually in the context of neurodegenerative pathologies, considered a major radiological diagnostic criteria of fragile X-associated tremor ataxia syndrome [1]. It has rarely been described in other entities like multiple system atrophy, Wilson disease, etc. We present a case of Marchiafava-Bignami disease, where reversible MCP-sign is observed.
A 59-year-old male, with 40 years history of alcoholism, presents subacute gait disturbance and cognitive deterioration, progressively worsening over 3 months, with inability to walk, requiring hospital admission. On examination, we observe somnolence, cerebellar syndrome (gait ataxia, dysarthria) and cognitive impairment (recovery-memory deficit, alteration of processing speed and executive-attentional functions). The analytical study showed deficiency of folic acid and thiamine. Brain MRI showed global thinning and T2 hyperintensity at the splenium of the corpus callosum and the MCP-sign (Fig. 1).
a) In T2WI magnetic resonance image, we can see hyperintensity at the splenium of the corpus callosum in sagittal sequences. b) In T2-FLAIR we also observed hyperintensity at the splenium of the corpus callosum in axial sequences sequences. c) In axial DWI sequences, we appreciated hyperintensities in bilateral middle cerebellar peduncles, also known as MCP-sign. d) In T2-FLAIR we also observed the MCP-sign.
The patient was diagnosed with rapidly progressive dementia and ataxia. Progressive subacute course made cerebrovascular etiology unlikely. Cerebrospinal fluid study showed only hyperproteinorrachia, with negative polymerase chain reaction, so infectious etiology is ruled out. A comprehensive analytical study ruled out immune-mediated etiology. We considered neurodegenerative etiology, multiple system atrophy is ruled out in the absence of parkinsonism or dysautonomia. Given the finding of MCP-sign, we performed a genetic study of the FMR1 premutation, with no alterations [2].
Final diagnostic judgement was probable MBD type-B, based on clinical and radiological findings. Treatment with vitamin supplementation showed progressive clinical improvement, being able to walk with one support two months after discharge, with persistence of the cognitive symptoms. A follow-up brain MRI highlights the resolution of MCP sign (Fig. 2), but persistence of the findings in the corpus callosum (not shown on the image).
A follow-up brain magnetic resonance image showed the resolution of the hyperintensity in middle cerebellar peduncles (in T2-FLAIR sequences).
Marchiafava-Bignami disease is an infrequent pathology (although probably underdiagnosed), affecting most frequently middle-aged male (40-60 years of age) [1]. Its pathophysiology is unknown, it is associated with chronic alcoholism and malnutrition (including vitamin deficiencies, especially thiamine) [2], producing demyelinating lesions involving the corpus callosum [1,3]. The few cases described demonstrate a variable clinical presentation [4], including ataxia, impairment of mental status, tetraparesis, etc. Given the non-specific symptomatology, the diagnosis in the past was based on post mortem pathological examination, and currently is based on the characteristic neuroimaging findings (symmetric lesions of the corpus callosum). Extracallosal lesions such as cortical/subcortical white matter lesions are well documented, but the MCP-sign is rare, with only a few cases reported [1,3,5], occasionally associating poor prognosis [1]. Treatment includes vitamin reconstitution and supportive care [4]. The prognosis is poor, with death in up to 21% of cases [2], and only 8% of cases have a favorable outcome [2,5]. It has been postulated that early diagnosis and treatment may improve the prognosis [4,5].
In our case, good clinical and radiological response stands out, with resolution of the MCP-sign after vitamin supplementation, its resolution associated with clinical improvement could indicate that MCP-sign is a marker of prognosis of the disease, although the description of more cases is necessary to draw more weighty conclusions. The presence of MCP-sign should also suggest the possibility of Marchiafava-Bignami disease, and early vitamin and nutritional assessment should be performed, being an infrequent but treatable entity, with a potentially fatal course in the absence of treatment.
Bibliografía/References
1.She Y, Cheng Z, Dai T, Nie H. Bilateral middle cerebellar peduncles involvement a malnourished man with Marchiafava-Bignami disease. Neurol Sci. 2019;40:433–5. doi: 10.1007/s10072-018-3608-7. [DOI] [PubMed] [Google Scholar]
2.Pere J, Luis MB, Grimanesa-Lázaro L, Scollo S, Tamargo A, Tamargo Agustina, et al. Marchiafava-Bignami disease associated with spinal involvement. Case Rep Neurol Med. 2020;2020:8867383. doi: 10.1155/2020/8867383. [DOI] [PMC free article] [PubMed] [Google Scholar]
3.Bellido S, Navas I, Aranda MA, Ginestal R, Venegas B. Unusual MRI findings in a case of Marchiafava Bignami disease. Neurology. 2012;78:1537. doi: 10.1212/WNL.0b013e3182553ced. [DOI] [PubMed] [Google Scholar]
4.Menon B, Sowmya Chowdary M, Hima Bindu A, Rani U. Marchiafava Bignami disease–An alcohol related medical emergency. Int J Epilepsy. 2015;2:51–3. [Google Scholar]
5.Tung CS, Wu SL, Tsou JC, Hsu SP, Kuo HC, Tsui HW. Marchiafava-Bignami disease with widespread lesions and complete recovery. Am J Neuroradiol. 2010;31:1506–7. doi: 10.3174/ajnr.A1897. [DOI] [PMC free article] [PubMed] [Google Scholar]