Abstract
Padlock probes (PLPs) are long oligonucleotides, whose ends are complementary to adjacent target sequences. Upon hybridization to the target, the two ends are brought into contact, allowing PLP circularization by ligation. PLPs provide extremely specific target recognition, which is followed by universal amplification and microarray detection. Since target recognition is separated from downstream processing, PLPs enable the development of flexible and extendable diagnostic systems, targeting diverse organisms. To adapt padlock technology for diagnostic purposes, we optimized PLP design to ensure high specificity and eliminating ligation on non-target sequences under real-world assay conditions. We designed and tested 11 PLPs to target various plant pathogens at the genus, species and subspecies levels, and developed a prototype PLP-based plant health chip. Excellent specificity was demonstrated toward the target organisms. Assay background was determined for each hybridization using a no-target reference sample, which provided reliable and sensitive identification of positive samples. A sensitivity of 5 pg genomic DNA and a dynamic range of detection of 100 were observed. The developed multiplex diagnostic system was validated using genomic DNAs of characterized isolates and artificial mixtures thereof. The demonstrated system is adaptable to a wide variety of applications ranging from pest management to environmental microbiology.
INTRODUCTION
The accurate identification and the detection of pathogenic microorganisms or other targets of interest has become increasingly important in clinical diagnostics and pest management strategies. Traditionally, the predominant techniques used to identify pathogens have relied upon culture-based morphological approaches. These classical tools have been complemented in recent years by various culture-independent molecular characterizations, especially those involving PCR amplification of pathogen-specific nucleic acid targets (1,2). Although these approaches are generally effective, they target only a single pathogen per assay, making comprehensive screening of samples laborious and time-consuming.
To increase efficiency, it is desirable to develop multiplex assays that can detect several pathogens simultaneously. Microarrays may enable highly parallel detection of diverse organisms (3). Typically, multiplex strategies involve either amplification with generic primers that target a genomic region containing species-specific information or multiple primer sets. Although such strategies are a marked improvement over traditional PCR-based assays, there are still serious limitations. Targeting a conserved genome region limits the analysis to a taxonomically defined group of pathogens, while combining several primer sets may present a significant technical challenge. Recently, universal amplification coupled with microarray analysis was suggested as an unbiased approach to pathogen detection (4). Although it overcomes the above-mentioned problems, the sensitivity at present is not sufficient for diagnostic purposes.
Padlock probes (PLPs) offer a means of combining pathogen-specific molecular recognition and universal amplification, thereby increasing sensitivity and multiplexing capabilities without limiting the range of potential target organisms. PLPs are long oligonucleotides of ∼100 bases, containing target complementary regions at both their 5′ and 3′ ends (Figure 1). These regions recognize adjacent sequences on the target DNA (5), and between these segments lie universal primer sites and a unique sequence identifier, the so-called ZipCode. Upon hybridization, the ends of the probes get into adjacent position and can be joined by enzymatic ligation. This ligation and the resulting circular molecule can only take place when both end segments recognize their target sequences correctly. Non-circularized probes are removed by exonuclease treatment, while the circularized ones may be amplified by using universal primers. Subsequently, the target-specific products are detected by a universal complementary ZipCode (cZipCode) microarray (6). PLPs have been shown to possess good specificity and very high-multiplexing capabilities in genotyping assays (7). They are promising for multiplex diagnostic analyses, since one can expect limited bias in the universal amplification step because of the use of non-degenerate universal primers and the uniform size of the amplicons. In addition, universal microarrays may provide less non-specific hybridization allowing a higher dynamic range of pathogen detection. Furthermore, the targeted sequences and the probes on the array are independent, making the assay easily modifiable and extendable to include new target pathogens.
Figure 1.
Schematic representation of PLP ligation and real-time PCR to quantify single mismatch discrimination. (A) PLPs contain target-complementary sequences at the 5′ and 3′ ends (T1, T2), flanking the universal primer sites (P1, P2) and the unique identifier ZipCode sequence (Zip). (B) T1 and T2 bind to adjacent sequences on the target, and in the case of a perfect match, the probe may be circularized by a ligase (a). Mismatch-containing molecules are expected to be discriminated, and no ligation should occur (b). (C) Unreacted probes are removed by exonuclease treatment. (D) Circularized probes are amplified using two universal primers and amplification is monitored in real-time using a TaqMan probe. (E) Ligation yields with different target oligonucleotides can be accurately quantified based on the threshold cycle (Ct) values of amplification.
In this study, we set out to adapt the PLP technology for diagnostic purposes. Although PLPs have been demonstrated to be useful for genotyping a large number of single nucleotide polymorphisms (SNPs), here we identify and address several challenges specific to diagnostic applications. First, the amount of target DNA, i.e. genomic DNA of a pathogen, is unknown and can be present in a relatively wide concentration range. In contrast, the input DNA for genotyping is fixed, and one or both of the tested alleles at any locus are always present. Therefore, in genotyping one can seek relative data, such as the signal ratio for the alleles (7), which is not possible in diagnostic assays. To decide unambiguously whether a pathogen is present or absent, one has to be able to define the background signal and reliably distinguish real positive samples. Signals not associated with the presence of the pathogen may stem from various sources. First, if a related microorganism is present at a high density, even a low level of aspecific ligation can result in a significant signal. To assess and address this problem, we evaluated different PLP design strategies to increase ligation specificity. Second, despite the exonuclease treatment, unligated PLPs may give rise to spurious PLP amplicons, especially after many PCR cycles. To define the resulting background signal, no-target samples were processed in the same way, labelled with a different dye and subsequently analysed as a reference sample on the array. This two-colour microarray analysis allowed a clear-cut and unambiguous detection of pathogen-dependent PLP amplicons.
In this paper, we report the application of PLP technology for diagnostic purposes, and present a detection tool based on PLP and microarray for 10 economically important plant pathogens, including oomycetes, fungi and nematodes. We designed and characterized PLPs to target internal transcribed spacer (ITS) sequences of rRNA operons of the selected species. Specificity and sensitivity of the developed assay was demonstrated with individual and mixed target pathogen DNAs.
MATERIALS AND METHODS
Nucleic acids used in the study
The pathogenic organisms were derived from the culture collection of Plant Research International BV (Table 1). Genomic DNAs were extracted as described previously (8). PLPs and target oligonucleotides, listed in Tables 2 and 5, were synthesized by Eurogentec SA (Seraing, Belgium).
Table 1.
Isolates of plant pathogenic species and subgroups used in this study
| Phylum | Order | Species | Isolate |
|---|---|---|---|
| Oomycota | Peronosporales | Phytophthora nicotianae | PRI 28.8 |
| Phytophthora cactorum | PRI 18.1 | ||
| Phytophthora infestans | VK98014 | ||
| Phytophthora sojae | F. Govers 6497 | ||
| Pythium ultimum | N2001/5 | ||
| Basidiomycota | Ceratobasidiales | Rhizoctonia solani AG 4-1 | PRI 4R91 |
| Rhizoctonia solani AG 4-2 | PRI 4R22 | ||
| Ascomycota | Hypocreales | Fusarium oxysporum f. sp. radicis-lycopersici | 364N2 |
| Myrothecium roridum | PRI 15.2 | ||
| Phyllacorales | Verticillium dahliae | 809.97 | |
| Verticillium alboatrum | Vet98/resp.VD5 | ||
| Nematoda | Tylenchida | Meloidogyne hapla | HBA |
Table 2.
PLP P-frag and target oligonucleotides used to characterize ligation specificity
PLP sequence is drawn to show target complementary regions; 5′ and 3′ ends are indicated. Mismatches in the complementary oligonucleotide sequences are emphasized by inverted colours. Lines and slashes indicate continuous sequences.
Table 5.
Target-complementary regions and ZipCode sequences of the developed diagnostic PLPs
| Targeted species/group | 5′ Target complementary sequence (5′–3′) | 3′ Target complementary sequence (5′–3′) | ZipCode sequence (5′–3′) |
|---|---|---|---|
| Phytophthora spp. | TATCTAGTTAAAAGCAGAGACTTTCGTC | CTGCTGAAAGTTGC | GTCACGTATGGTTCGCTGCT |
| P.cactorum | GACTTTCGTCCCCACAGTATAATCAGTATTAAGGAAT | TATCTAGTTAAAAGCAAG | ACTCCAGTGCCAAGTACGAT |
| V.dahliae | TTTATACCAACGATACTTCTGAGTGTT | CATCAGTCTCTCTG | CGTTCCTAAAGCTGAGTCTG |
| P.infestans | TCGATTCGTGGTATGGTTGGCTTCGGCT | CGTTAATGGAGAAATGC | GCACTAACTGGTCTGGGTCA |
| F.oxysporum | GCGAGTCCCAACACCAAGCTGTGCTTG | GGAACGCGAATTAAC_ | ATGCAGCGTAGGTATCGACT |
| M.roridum | CGGTGGTGGCCATGCCGTAAAACACC | ACTCGCATTGGAGCT | AATGCTCACATCGCAGGTAC |
| P.nicotianae | TAGTAGTCTTTTTTTCTTTTAAACCCATTCCTTAAT | GCTTCGGCCTGATT | TCCCGAATGACAAGGCACGA |
| R.solani AG 4-2 | GACTTCTGTCTACTTAATTCATATAAACTCAATT | CTT_CTACTCCCCCTT_ | TGTGATAATTTCGACGAGGC |
| R.solani AG 4-1 | GGTCCAATAAAGTTCCTTCCCCCCTAGAAAA | AGTCCAA_GGAGAGTA___ | ATTAACTCGACTGCCGCGTG |
| Pyt.ultimum | CGAAAAAACGAACGCAACCATGTGAGACACTT | CGACAGATTCTCGAT | TCGCCGTTGGTCTGTATGCA |
| M.hapla | GTTTATCGTTGTGAATGGCTGTCGCTGGTG | ATTCGAATAGTCTCAAC | CTTCGTGGCTAGTCTGTGAC |
Grey boxes indicate polymorphism within the target group. Nucleotides or gaps owing to deletions used to discriminate targets from most similar, non-target sequences are underlined.
Padlock probe design
Relevant nucleic acid sequences derived from GenBank and from independent sequencing studies were aligned by using ClustalW, implemented in BioEdit (http://www.mbio.ncsu.edu/BioEdit/bioedit.html). Diagnostic sequences were identified for each target group. Potential PLP target complementary regions were selected in a way that the discriminatory nucleotides would bind to the 3′ arm region, and to match certain stability criteria (see Results). Melting temperatures (Tms) to characterize binding strengths of arm sequences were calculated using the nearest neighbour method, as implemented in Hyther™ (http://ozone2.chem.wayne.edu/). The prediction parameters were set to match ligation conditions ([Na+] = 0.025 M; [Mg2+] = 0.01 M; T = 65°C and [oligo] = 2.5 × 10−11 M). Specificity was ensured by positioning a strongly destabilizing mismatch at the PLP 3′ end with closely related, non-target sequences. The PLP arm sequences were combined with the universal primer sites (P1: 5′ CTCGACCGTTAGCAGCATGA 3′; P2: 5′ CCGAGATGTACCGCTATCGT 3′) and a ZipCode sequence. The unique identifier was chosen from GeneFlex™ TagArray set (Affymetrix) in a way to minimize PLP secondary structures. Secondary structure predictions were performed by using MFold (http://www.bioinfo.rpi.edu/applications/mfold/). When necessary, PLP arm sequences were also adjusted to avoid strong secondary structures that might interfere with efficient ligation.
Ligation and exonuclease treatment
Genomic DNA was fragmented by digestion using EcoRI, HindIII and BamHI (New England Biolabs) for 30 min, and used as template in the indicated amount. Cycled ligation was performed in 10 μl reaction mixture containing 20 mM Tris–HCl, pH 9.0, 25 mM KCH3COO, 10 mM Mg(CH3COO)2, 10 mM DTT, 1 mM NAD, 0.1% Triton X-100, 20 ng sonicated salm sperm DNA, 2.4 U Taq ligase (New England Biolabs) and 25 pM PLP. For multiplex detection, the concentration of the individual PLPs were adjusted to achieve comparable performance and ranged from 25 to 200 pM. Reaction mixtures were made up on ice and transferred rapidly onto a thermal cycler. After 5 min at 95°C, 20 cycles of 30 s at 95°C and 5 min at 65°C were performed, followed by 15 min inactivation at 95°C. After ligation, 10 μl of exonuclease mixture [10 mM Tris–HCl, pH 9.0, 4.4 mM MgCl2, 0.1 mg/ml BSA, 0.5 U Exonuclease I (USB) and 0.5 U Exonuclease III (USB)] was added to each reaction, and the samples were incubated at 37°C for 2 h, followed by inactivation at 95°C for 2.5 h.
Real-time PCR
Amplification of ligated PLPs was followed in real-time using an ABI Prism 7700 Sequence Detector System (Applied Biosystems) and the qPCR kit (Eurogentec). Reaction mixtures of 25 μl contained 2.5 μl of 10× real-time buffer, 3 mM MgCl2, 200 nM of each deoxyribonucleoside triphosphate (dNTP), including dTTP/dUTP, 100 nM P-Frag TaqMan probe (5′-FAM-CCCGGTCAACTTCAAGCTCCTAAGCC-TAMRA-3′), 300 nM of primers P1-f20 (5′-CCGAGATGTACCGCTATCGT-3′) and P2-r20 (5′-TCATGCTGCTAACGGTCGAG-3′), 0.6 U Hot Gold Start polymerase, 0.6 U UNG and 3 μl ligation-exo mixture as template. The reaction mixture was initially incubated at 50°C for 2 min, followed by 10 min denaturation at 95°C, and 40 cycles of 15 s at 95°C and 1 min at 60°C. Fluorescence was recorded in the second step of each cycle.
LATE-PCR
For microarray hybridization, circularized PLP probes were amplified in LATE-PCR (linear-after-the-exponential PCR) (9) to produce a large amount of single-stranded DNA (ssDNA) amplicons. Lengths of the primers were adjusted so that they would have similar melting temperatures despite the 10-fold concentration difference. PLPs were amplified in 25 μl reaction mixtures containing 1× Pfu buffer (Stratagene), 200 nM of each dNTP, 500 nM of Cy3-labelled or Cy5-labelled P1-f19 primer (5′-CGAGATGTACCGCTATCGT-3′), 50 nM P2-r20 primer, 0.375 U Pfu (Stratagene) and 3 μl ligation-exo mixture as template. The temperature profile of the reaction was: 5 min at 95°C, 40 cycles of 2 s at 51°C, 5 s at 72°C and 15 s at 95°C, after which the reaction was immediately cooled to 10°C. PLP amplicons were analysed by agarose gel electrophoresis before applying them on array.
Microarray preparation
The cZipCode oligonucleotides (Figure 4) carrying a C12 linker and a 5′ NH2 group were synthesized and spotted on Nexterion MPX-E16 epoxy-coated slides by Isogen B.V. (Utrecht, The Netherlands) according to the manufacturer's instructions (Schott Nexterion). Briefly, 50 nl of 1.5 mM cZipCode solution was spotted using an OmniGrid100 contact-dispensing system (Genomic Solutions) equipped with SMP4 pins (Telechem) at 50% relative humidity. After 1 h incubation at 75% humidity, the uncoupled probes were removed by washing in 300 mM bicine, pH 8.0, 300 mM NaCl and 0.1% SDS for 30 min at 65°C, followed by rinsing with deionized water and drying by spinning at 250 g for 2 min. The arrays were stored in dark, in a desiccator at room temperature until use.
Figure 4.
Layout of multi-chamber universal tag array. Deposition scheme and sequences of cZipCode probes.
Microarray hybridization
Before hybridization, the arrays were washed and the functional groups were blocked according to the manufacturer's instructions. The hybridization mixtures were made up of 5 μl Cy3-labelled sample and 5 μl Cy5-labelled background control sample in 3 M tetra methyl ammonium chloride, 0.1% sarkosyl, 50 mM Tris–HCl, pH 8.0 and 4 mM Na2EDTA. Cy5-labelled hybridization control was added to 20 pM final concentration in 50 μl final volume. For each slide, one of the hybridization samples contained Cy5-labelled and Cy3-labelled amplicons corresponding to the same, positive ligation reaction, which served to correct for dye bias (dye correction sample). The mixtures were heated for 10 min at 99°C and cooled down rapidly on ice. Sixteen-well silicon superstructures (Schott Nexterion) were attached to the arrays to create separate chambers for the subarrays. After adding 40 μl of the samples to each well, the chambers were sealed and the arrays were hybridized at 55°C overnight in high humidity. Afterwards, the isolators were removed, and the slides were washed once at 55°C for 5 min in prewarmed 1× SSC/0.2% SDS, and twice for an additional 1 min at room temperature in 0.1× SSC/0.2% SDS and in 0.1× SSC, respectively. Finally, the slides were dried by spinning at 250 g for 2 min.
Analysis of microarray data
Microarrays were analysed using a confocal ScanArray® 4000 laser scanning system (Packard GSI Lumonics) containing a GreNe 543 nm laser for Cy3 and a HeNe 633 nm laser for Cy5 fluorescence measurement. Laser power was fixed at 70% for both lasers, while photomultiplier tube (PMT) power ranged from 45 to 65%, depending on signal intensity. Fluorescent intensities were quantified by using QuantArray® (Packard GSI Lumonics), and the parameters ‘mean signal–mean local background’ (mean Cy3-B or mean Cy5-B) and the ‘mean local background’ (B) were used in further calculations. Dye correction factor was calculated separately for each slide and scanner setting, based on the subarray to which the same but differently coloured samples were hybridized [averaged (mean Cy3-B)/(mean Cy5-B) based on positive spots]. Assay background for the other subarrays was calculated per spot as ‘mean Cy5-B multiplied by the dye correction factor’. Absolute signal intensity was defined as ‘mean Cy3-B minus assay background’ and was transformed to log scale [signal = log2(absolute signal)]. If ‘mean Cy3-B’was lower than ‘assay background’ signal was evaluated as zero. To evaluate the significance of the signal, we compared it with the corresponding assay background and calculated log2(absolute signal/assay background), which was called reliability factor. The probes were spotted in three times triplicates (nine parallels). After excluding the outliers, signals and reliability factors were averaged for the probes, and standard deviations were calculated. A signal for a probe was called positive if the reliability factor was >1 (i.e. signal was minimum twice the assay background) and the mean Cy3 signal was higher than twice the mean local Cy3 background (cut-off value).
RESULTS
Evaluation of ligation specificity and PLP design strategies
For diagnostic applications, the high-discriminatory power of the ligation is of prime importance, since very similar, non-target DNA molecules can be present potentially in much higher concentration than the target DNA. Therefore, we aimed to optimize the reaction conditions and the PLP design for maximum discrimination of single mismatches, which subsequently could be extrapolated to diagnostic assay design.
To characterize the discriminatory power of ligation under assay conditions, we quantified the circularized PLPs by real-time TaqMan PCR (Figure 1). The quantification range of the real-time PCR was linear over a minimum of five orders of magnitude and the amplification efficiency (E) was found to be 0.81 (Figure 2, inset).
Figure 2.
Amplification curves of a representative experiment to optimize PLP design for mismatch discrimination. The respective ligation targets are indicated for each sample (Table 2). Inset: The calibration curve of the real-time PCR is shown, which was used to determine amplification efficiency (E = 0.81).
The experimental system to optimize the ligation conditions consisted of PLP P-frag, which targeted the ITS region of Phytophthora fragariae, and of the corresponding synthetic, target and non-target oligonucleotides (Table 2). First, we tested various reaction conditions and found that cycled ligation consisting of 20 cycles of 5 min at 65°C provided good discrimination, sufficient yield of ligation product and freedom from potential secondary structures (data not shown). The reaction mixture also contained 20 ng sonicated salmon sperm DNA, which served to provide a large excess of non-target DNA. All the subsequent experiments were performed under these conditions. Using oligonucleotides D0–D6 as targets, we tested how the discriminatory power of PLP P-frag depended on the type and the position of the mismatch (Table 3). The discrimination factor was defined as the fold-difference in the yield of ligation product with target and mismatched oligonucleotides, as determined by real-time PCR. In agreement with previous results (10), mismatches positioned at the 3′ end of PLP were strongly discriminating, while those at the 5′ end provided much less specificity. The type of the mismatch was also found to be important, although to a lesser extent. In general, it appeared that the nearest neighbour parameters could be indicative of the destabilizing effects of different mismatches. The mismatched nucleotide pairs including cytosines were better discriminated, while the G–T pair (at the 5′ end) hardly affected the ligation efficiency.
Table 3.
Effect of position and type of mismatch on ligation efficiency and mismatch discrimination
| Target oligo | 5′ Arm | 3′ Arm | Ct | ΔCt (Ctx − CtD0) | Discrimination factor | ||
|---|---|---|---|---|---|---|---|
| L (nt) | Tm | L (nt) | Tm | ||||
| D0 | 20 | 59.2 | 19 | 53.1 | 19.6 ± 0.8 | na | na |
| D1 | 20 | 59.2 | 18 | 50.9 | 27.6 ± 0.5 | 8.0 | 115 |
| D2 | 20 | 59.2 | 18 | 50.4 | 28.3 ± 0.4 | 8.7 | 175 |
| D3 | 20 | 59.2 | 18 | 50.9 | 26.6 ± 0.1 | 7.0 | 64 |
| D4 | 19 | 58.4 | 19 | 53.1 | 21.7 ± 0.6 | 2.1 | 4.0 |
| D5 | 19 | 57.4 | 19 | 53.1 | 19.9 ± 0.6 | 0.3 | 1.2 |
| D6 | 19 | 57.9 | 19 | 53.1 | 26.2 ± 0.3 | 6.6 | 50 |
Lengths (L) and melting temperatures (Tms) of PLP target-complementary regions are indicated. The Ct values to quantify ligated PLPs were determined in three independent experiments. The mean values of Ct are shown along with the standard deviations to indicate reproducibility. Discrimination factor was calculated as fold-difference in the yield of ligation product, determined based on ΔCt values and amplification efficiency (E = 0.81).
Next, we examined whether different PLP design strategies could further improve the discriminatory power. Apart from the above-described symmetric design, we tested two asymmetric design principles. Since we used the same PLP, the effect of variable arm lengths was mimicked by changing the probe-complementary sequence of the target oligonucleotides (Table 2). First, we shortened the probe-complementary sequence to the 3′ arm to increase its discriminatory power, with a corresponding lengthening of the 5′ arm-complementary sequence to ensure the stable binding of the probe (oligonucleotides A1 and A1C). The second strategy involved inserting a destabilizing mismatch in the middle of the 3′ arm-complementary sequence, and the binding of the probe was similarly stabilized by lengthening the 5′ arm (oligonucleotides A2 and A2C). As a consequence, the melting temperatures (Tms) of the 5′ arm sequences became higher than the reaction temperature, while those of the 3′ arms were ∼20–30°C below it (Table 4). We believe that these Tm values are only indicative of the real binding conditions, since the hybridization of the 5′ arm of PLP makes the binding of the 3′ arm almost a unimolecular reaction. We hypothesized that such design principles would result in an equilibrium process between a bound and an unbound 3′ arm, which could increase specificity. As expected, both asymmetric design strategies significantly increased the discriminatory power of PLP P-frag against the non-target oligonucleotides with 3′ C–C mismatches (Table 4 and Figure 2). Shortening the 3′ arm sequence proved to be more efficient, since it did not reduce the ligation yield as much as the internal mismatch. Using this strategy we could achieve a discrimination factor of 1477 as compared with 175, provided by the symmetric design. Therefore, we selected this PLP design to generate probes for our diagnostic system to detect plant pathogenic organisms. It is interesting to note that although the internal mismatch resulted in less decrease in Tm than the strategy involving a short 3′ arm sequence, it reduced the ligation efficiency more. We believe this phenomenon is due to the perturbation of dsDNA secondary structure, which could hinder the ligation reaction.
Table 4.
Comparison of PLP design strategies
| Design | Target oligo | 5′ Arm | 3′ Arm | Ct | ΔCt (Ctx − Ct0) | Discrimination factor | ||
|---|---|---|---|---|---|---|---|---|
| L (nt) | Tm | L (nt) | Tm | |||||
| Symmetric | D0 | 20 | 59.2 | 19 | 53.1 | 19.6 ± 0.8 | na | na |
| D2 | 20 | 59.2 | 18 | 50.4 | 28.3 ± 0.4 | 8.7 | 175 | |
| Asymmetric I | A1 | 25 | 67.0 | 15 | 39.6 | 19.6 ± 0.2 | na | na |
| A1C | 25 | 67.0 | 14 | 35.2 | 31.9 ± 0.4 | 12.3 | 1477 | |
| Asymmetric II | A2 | 25 | 67.0 | 18 | 46.8 | 20.8 ± 0.7 | na | na |
| A2C | 25 | 67.0 | 17 | 43.6 | 32.2 ± 0.3 | 11.4 | 866 | |
PLP characteristics are shown as in Table 3. In the calculation of ΔCt, Ct0 refers to Ct of ligation reaction with the respective perfectly matching target.
Design and testing of diagnostic padlock probes
Based on the principles described above, we designed PLPs targeting 10 economically important plant pathogens (Table 5). In each case, we selected discriminatory areas within the ITS regions of rRNA operons because of their high copy number (1), which could significantly increase the sensitivity of the assay. Further, ITS regions have been extensively used in phylogenetic studies (11) and a large number of sequences are available for plant pathogenic organisms, which may ensure reliable assay design. Sequences available in GenBank and those obtained from independent sequencing studies (P. Bonants, unpublished data) were aligned, and diagnostic regions for each target organism were selected. Preferably, we chose regions containing more than one discriminatory nucleotides, and very few polymorphic positions within the targeted species/subgroups. The 3′ arm sequences were selected to be 14–18 nt long and had a Tm ∼40°C (Table 6). In general, the 3′ arm sequence hybridized to the discriminatory region and contained a highly destabilizing mismatch or a gap at the 3′ end when bound to the non-target sequence. The 5′ arm sequences were 27–37 nt long. As an attempt at hierarchical diagnostic analysis, we also designed a genus-specific PLP to target all Phytophthora spp. and discriminate them from related oomycetes. After selecting the target-complementary regions, they were combined with the universal primer site sequences, and a unique ZipCode sequence was selected for each probe.
Table 6.
Design and experimental characteristics of the PLP set
| Name | 5′ Arm | 3′ Arm | Closest non-target relative | No. of discr.nt | Sensitivity (fM) | Discriminatory range | ||
|---|---|---|---|---|---|---|---|---|
| L (nt) | Tm (°C) | L (nt) | Tm (°C) | |||||
| PLP P-spp | 29 | 60.0 | 14 | 39.5 | Pythium splendens | 1 | 2 | 105 |
| PLP P-cac | 37 | 65.8 | 18 | 39.6 | Phytophthora nicotianae | 2 | 20 | 105 |
| PLP V-dahl | 28 | 58.3 | 14 | 35.4 | Verticillium alboatrum | 2 | 2 | 105 |
| PLP P-inf | 28 | 68.9 | 17 | 44.0 | Phytophthora sojae | 3 | 2 | 105 |
| PLP F-oxy | 27 | 68.9 | 15 | 41.5 | Fusarium equiseti | 3 | 2 | 105 |
| PLP Myr-ror | 27 | 69.0 | 15 | 46.5 | Myrothecium verrucaria | 5 | 0.2 | 107 |
| PLP P-nic | 36 | 61.0 | 14 | 43.6 | Phytophthora cactorum | 7 | 2 | 106 |
| PLP Rhiz-4-2 | 36 | 59.2 | 15 | 41.0 | Rhizoctonia solani AG 4-1 | 7 | 2 | nt |
| PLP Rhiz-4-1 | 32 | 66.2 | 15 | 39.5 | Rhizoctonia solani AG 4-2 | 8 | 2 | nt |
| PLP Pyt-u | 32 | 66.2 | 15 | 40.6 | Pythium splendens | 10 | 0.2 | nt |
| PLP Mel-h | 30 | 65.7 | 17 | 41.1 | Meloidogyne incognita | 15 | 2 | nt |
Probes were named after the targeted species/subgroup. Lengths (L) and melting temperatures (Tms) of PLP target-complementary regions are indicated. The number of nucleotides discriminating the targeted sequence from that of the known most similar, non-target organism is shown for each PLP. Sensitivity was defined as the lowest concentration of perfectly matching oligonucleotide that could be detected under standard assay conditions. Discriminatory range gives the magnitude difference between the lowest detectable concentrations of target and of non-target oligonucleotides.
The developed probes were tested for sensitivity and discriminatory power using synthetic oligonucleotides representing target nucleic acids and the most similar non-target sequences. Our rationale to test PLPs with oligonucleotides was that it was easy to implement and provided reliable data to compare PLP properties. Further, identification of certain subtypes often requires extensive characterization, while other isolates, mostly those of the closely related non-target organism, might be exotic and difficult to obtain. Therefore, we propose that an initial testing of PLPs with target and non-target oligonucleotides could be adapted as a standard approach.
As the final analysis was to be performed on array, we chose the LATE-PCR protocol (9) to achieve efficient amplification and produce large amount of ssDNA in one step, which is ideal for microarray hybridization. In all the subsequent experiments this method was used to amplify ligated PLPs.
Fixed amounts of PLPs were ligated on their respective target and the related, but non-target oligonucleotides, present in a wide concentration range (Figure 3A). Sensitivity of PLP detection was defined as the lowest amount of target oligonucleotide that resulted in a positive signal as assessed by gel electrophoresis. The magnitude difference between the lowest amount of the target and that of the non-target oligonucleotide that gave positive signal was called ‘discriminatory range’. These experimental characteristics along with the design parameters for each PLP are shown in Table 6.
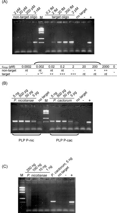
Figure 3.
Sensitivity and discriminatory range of diagnostic PLPs were assessed by using synthetic complementary oligonucleotides and genomic DNAs. (A) PLP P-inf was ligated on serial dilutions of oligonucleotides representing closely related, non-target and target sequences, respectively. Reactions were scored as either negative or positive, as shown in the table below (‘nt’ stands for ‘not tested’). Detection threshold is indicated by an asterisk and the magnitude of discriminatory range is shown. (B) Detection of dilution series of P.nicotianae and P.cactorum genomic DNAs using the corresponding PLPs. Template DNAs are indicated on the top, while the used PLPs are shown on the bottom. (C) Ligation of PLP P-cac on genomic DNA of P.nicotianae does not result in a positive signal even in the presence of a very high amount of DNA. Template DNAs are shown on the top.
In order to extrapolate these values to the expected specificity in real-world assays, we also tested PLP sensitivity and discriminatory range with a dilutions series of genomic DNA. Since the isolate of Pyt.splendens (GenBank accession no. AF310336) that is the most similar non-target organism for PLP Phyt-spp was not available, we performed this experiment with PLP P-cac, which discriminates P.cactorum and P.nicotianae species based on two nucleotides. Both PLP P-cac and PLP P-nic could successfully detect their targets using 5 pg of genomic DNA, which corresponds to ∼100 genome equivalents (12) (Figure 3B). This experiment proved that the probes have similar and sufficient sensitivities, and the genomic DNAs were of good quality. However, ligation of PLP P-cac even on very high amounts of P.nicotianae genomic DNA (250 ng) did not give rise to any discernible PLP amplicons, indicating strict specificity (Figure 3C). Since the discriminatory range of PLP P-cac was among the lowest of those of the designed PLP set, we concluded that all the probes must be specific to their cognate genomic DNA target.
Validation—PLP-based multiplex detection of plant pathogenic organisms
A mixture of the developed 11 PLPs was ligated on various genomic DNAs, treated with exonucleases, and subjected to LATE-PCR using Cy3-labelled forward primer. The labelled PLP amplicons were analysed on multi-chamber, low-density universal microarrays, which enabled the simultaneous assay of 16 samples on a single slide (Figure 4). The tag array used in our experiments contained 30 probes in 9 replicates, together with 90 hybridization control probes distributed over the deposition area. This layout allows for the future extension of the PLP set to target other pathogens and enables high-throughput screening.
Because of the great sensitivity of microarray detection, we found that significant fluorescent signal could be detected even when target DNA was absent from the ligation reaction. Since our results indicated that the ligation reaction is highly specific, we concluded that the observed signal must have been derived from the amplification of unligated PLPs that had not been completely removed by exonuclease treatment (‘background amplification’). This ‘assay background signal’ was comparable with that measured in the absence of ligase, suggesting a ligation-independent mechanism (data not shown). To correct for the ligation-independent signal and to define the detection threshold of the assay, we incorporated a background control sample, which contained no target DNA in the ligation and was subjected to the same treatment. It was labelled with Cy5 and hybridized to each array together with the Cy3-labelled PLP amplicons. The assay background signal, measured in the Cy5 channel and corrected for dye bias, was deducted from the Cy3 signal for each spot. Further, we calculated a reliability factor characterizing the ratio of signal and assay background [log2 (absolute signal/assay background)].
Using the developed PLP set, we tested genomic DNAs from a panel of well-characterized isolates of plant pathogenic organisms (Tables 1 and 7; Figure 5A–G). In each case, 1 ng genomic DNA could be specifically and reliably detected without any cross-reaction. All the Phytophthora species were correctly recognized by PLP Phyt-spp, including P.cactorum, which contained two adjacent mismatches with the 5′ arm sequence of the probe (Table 5). This polymorphism was apparently well tolerated, resulting in a positive signal. For four probes (PLPs P-cac, P-nic, P-inf and V-dahl) analysis was also performed with the DNA of a very closely related organism (Table 6), but no cross-reaction was observed, indicating excellent specificity. When there was no cognate target DNA present for any of the PLPs, we observed a certain level of Cy3 signal for some of the probes. They were, however, well below the threshold, correctly identifying the samples as negative. In the presence of ligation target, PLPs were circularized and could serve as a template in PCR. Consequently, amplification of the ligated PLPs proceeded efficiently, suppressing the ligation-independent amplification, and the corresponding signal for the non-cognate probes was reduced. Thus, using the above-described correction method, zero signal was scored for most probes when there was ligation target present, owing to subtraction of assay background signal.
Table 7.
Pathogen detection using the developed multiplexed PLP set as analysed on microarrays
For each sample and probe combination the mean signal (±SD) of nine replicates is shown in the upper row left, where signal was calculated as log2 (mean Cy3 − local background − assay background). Reliability of the method was evaluated by calculating log2 (absolute signal/assay background) for each spot, which is called reliability factor. Means (±SD) are shown in the lower row, aligned to right. Criteria for positivity were: mean Cy3 > 2* mean Cy3 local background (cut-off value) and reliability factor > 1. Positive signals are highlighted and shown in boldface.
Figure 5.
Detection of genomic DNAs corresponding to individual (A–G) and complex pathogen samples (H–I) on a universal microarray. The analysed targets were as follows: (A) P.cactorum, 1 ng; (B) P.nicotianae, 1 ng; (C) P.sojae, 1 ng; (D) R.solani AG 4-2, 1 ng; (E) Mel.hapla, 1 ng; (F) F.oxysporum, 1 ng; (G) M.roridum, 1 ng; (H) Pyt.ultimum, 500 pg; Mel.hapla, 500 pg and P.nicotianae, 500 pg; (I) P.infestans, 500 pg; R.solani AG 4-2, 500 pg and M.roridum, 500 pg; (J) P.cactorum, 500 pg; R.solani AG 4-1, 500 pg and V.dahliae, 500 pg; (K) F.oxysporum, 0.5 pg and M.roridum, 500 pg; and (L) F.oxysporum, 500 pg and M.roridum, 5 pg.
Next, we evaluated the ability of the developed diagnostic system to detect several pathogens in parallel. Mixtures of equal amounts of genomic DNAs representing three targeted organisms were tested (Figure 5H–J). In two out of three cases, the pathogens were correctly and unambiguously identified by all four cognate probes, resulting in detection at the genus and species/subgroup level. The components of the third mixture, P.cactorum, R.solani AG 4-1 and V.dahliae, were also correctly identified by using the species/subgroup-specific probes. The PLP Phyt-spp signal, however, was below the threshold, most probably owing to the two adjacent mismatches with P.cactorum DNA.
To explore the sensitivity of the system in a multiplexed setting, we tested the detection threshold for F.oxysporum and M.roridum in the presence of a large excess of the other target DNA (Figure 5K–L). As little as 0.5 pg of F.oxysporum DNA could be detected in the presence of 500 pg M.roridum DNA, corresponding to a dynamic range of 1000. In a reverse situation, the detection threshold was 5 pg for M.roridum in the presence of 500 pg Fusarium DNA, indicating that a reciprocal dynamic range of 100 is achievable using this system.
DISCUSSION
In this study, we investigated the diagnostic application of PLPs in a multiplex setting for the first time. Based on our findings, we developed an assay based on PLP and universal microarray for the detection of several important plant pathogens.
The possibility to detect a mutant allele in 500-times excess wild-type sequence was demonstrated previously (13). No multiplex PLP-based diagnostic system was, however, developed and characterized to date. For genotyping, versatile and highly multiplexed PLP-based assays were developed (7,14,15). In these assays, however, the discrimination power of PLPs was found to be much lower. Hardenbol et al. (7) reported an average ratio of maximum allele signal versus maximum non-allele signal of only 17. The striking discrepancy probably arises from the fact that in a highly multiplexed reaction, positive signals are decreased due to competition, while background signals increase cumulatively. Although the reported discrimination is sufficient for reliable allele calls in a highly multiplexed setting, diagnostic assays require a much higher discriminatory range.
To adapt PLP technology for multiplexed pathogen detection, we, therefore aimed to increase PLP discriminatory power and to reduce and/or to manage assay background. To these ends, we tested different PLP design strategies and determined the discriminatory power by real-time PCR. We found that asymmetric PLP design, in which a long 5′ arm serves as an anchor sequence and the binding of a short 3′ arm is an equilibrium process, could increase mismatch discrimination by almost one order of magnitude. Faruqi and co-workers (16) also demonstrated the superiority of asymmetric PLP design. Their assay conditions and evaluation method, however, were very different from those used in this study. We set our conditions according to the planned multiplex detection system, so that the results could be directly extrapolated. A further advantage of the asymmetric design is that while the 3′ arm may ensure excellent specificity, the binding of the long 5′ arm is quite stable and might tolerate potential mismatches caused by polymorphisms within the target group.
We targeted the ITS region of rRNA operons for pathogen detection because of their high copy number and the large database of sequences for this region to aid assay design. Based on alignments of several hundred sequences, 11 PLPs were designed to detect economically important plant pathogens at genus, species and subspecies level. Since many of the isolates whose sequences were used in the design process were not available, we carried out the initial PLP testing by using complementary oligonucleotides. These tests showed that the PLPs had comparable sensitivity and a discriminatory range of 105–107 and above. PLP P-cac, one of the probes with the lowest discriminatory range, was further tested for specificity using genomic DNAs. The probe proved to be perfectly specific: no cross-reaction was observed with 105 times higher amount of non-cognate DNA than the demonstrated sensitivity toward its target. This amount was much higher than what one may expect in real-world samples, suggesting that no false ligation is likely to occur in a real assay.
The PLP design and the assay procedures were streamlined to provide reliable performance. New probes are incorporated into the multiplex set only after they were proven to have sufficient sensitivity and specificity in the oligonucleotide test. The ligated PLPs were amplified in LATE-PCR, a one-tube method to produce large amount of ssDNA amplicons, which are ideal for microarray hybridization. Furthermore, since there is linear amplification after the exponential phase in LATE-PCR, it better reflects the initial template ratios even at end-point detection (9). We believe this property could be exploited in the future for semi-quantitative pathogen detection. The labelled PLP amplicons were analysed on 16-well microarrays, enabling sufficient throughput. In the near future, 48-well and later 96-well formats are expected to become available, thereby fulfilling the need for high-throughput sample analysis on low-density arrays (Schott Nexterion). Finally, we proposed a novel approach to analyse diagnostic microarrays. Assay background was determined and used as reference for each array feature using a differently labelled no-target control sample. Such an analysis helped to manage the background signal of the method and provided reliable discrimination of positive and negative samples.
Assay background has been observed in many signal amplification-based detection systems, and was identified as a limitation to sensitivity (17). Attempts to reduce the background usually involved removing the unreacted probes using enzymatic treatment or affinity purification or both, so that they could not participate as template in the subsequent amplification step (18). In our assay, we applied an extensive exonuclease treatment, which had been described to efficiently remove >99% of the linear probes (7). In a different system, a combination of more than one methods to select for the specific probe–target hybrids and the use of a strictly ligation-dependent probe replication allowed Tyagi et al. (19) to achieve a practically background-free signal amplification. Similarly, introduction of an additional affinity-purification step by using biotinylated capture probes is expected to further reduce the background in our assay, resulting in an increased sensitivity.
The developed multiplex detection system was validated with characterized isolates representing target organisms as well as closely related, non-target relatives. In addition, artificial mixtures of pathogen genomic DNAs were tested. In all cases, the targeted pathogens were correctly identified and discriminated from the related organisms. The components of the artificial mixtures were also correctly described, although we observed the loss of one probe signal owing to polymorphism. The PLP Phyt-spp genus-specific probe recognizes a conserved region that is identical in all species of Phytophthora except P.cactorum. The specificity criteria for that probe were quite strict: it was designed to discriminate a single mismatch at the 3′ end, while it had to tolerate the two adjacent mismatches at the 5′ region. Based on the oligonucleotide test, it fulfilled the first criterion. It also detected P.cactorum DNA when present as a single pathogen, but its signal was below threshold in a multiplex setting. Nonetheless, the performance of that probe indicated a great flexibility in PLP design with respect to specificity and mismatch tolerance. Since the probe sequence is a perfect match with all other Phytophthora species, our assay can provide a reliable indication of the presence of other pathogens belonging to this genus.
The sensitivity and dynamic range of detection was determined using F.oxysporum and M.roridum genomic DNAs. Target DNAs of 0.5–5 pg could be detected in the presence of a large excess of the other target DNA, with a dynamic range of 100–1000. It is important to note that in all the assays an even larger amount of non-target DNA (20 ng) was always present, which did not interfere with detection. The sensitivity and dynamic range of the developed method compare favourably with those of other diagnostic microarrays. When a community is characterized based on a conserved region amplified by PCR, an organism representing ∼5% of the targeted group is expected to be detected on short oligonucleotide microarrays (20). Ligation detection reaction (LDR) also provided a dynamic range of 20 (21). Long oligonucleotide microarrays allowed the detection of microbes present at levels as low as 1% of the targeted community (22). However, they could not discriminate closely related sequences (3). The sensitivity of these systems, among other factors, is dependent on the PCR step. The detection threshold for various plant pathogenic fungi in an ITS PCR and array-based assay ranged from 0.35 to 2.5 pg in a singleplex system (23), which is comparable with the sensitivity of the presented system in a multiplex setting.
In this study, we described a PLP-based multiplex diagnostic system. The presented method offers numerous advantages over other approaches. There is no practical restrain on the selection of the targeted pathogens. One may enlarge or reduce the PLP set at any time to increase the range of detected organisms or to focus on a particular group. Using PLPs and universal arrays, target recognition becomes independent of the downstream processes, including amplification and array analysis, reducing cost and allowing multipurpose applications.
Acknowledgments
The authors wish to acknowledge the contribution of Isogen Inc. (Utrecht, The Netherlands) to the production of microarrays used in this study. We would like to thank Drs George Kowalchuk and Mats Nilsson for their helpful suggestions concerning the manuscript. Marianna Szemes was supported by Marie Curie Fellowship (QLK4-CT-2001-51872) during the course of this project. The authors thank the Dutch Ministry of Agriculture, Nature and Food Quality (DWK program 397III) and the Product Board for Horticulture (Productschap Tuinbouw) for financial support. Funding to pay the Open Access publication charges for this article was provided by Plant Research International BV.
Conflict of interest statement. Ulf Landegren is one of the founders and owners of the company ParAllele Bioscience, Inc, that has licensed rights to the padlock probe technology, invented in his laboratory. He is also a cofounder and one of the owners of Olink AB, which holds some other rights to the padlock technology. The other authors declare no conflicts of interest.
REFERENCES
- 1.Atkins S.D., Clark I.M. Fungal molecular diagnostics: a mini review. J. Appl. Genet. 2004;45:3–15. [PubMed] [Google Scholar]
- 2.Lopez M.M., Bertolini E., Olmos A., Caruso P., Gorris M.T., Llop P., Penyalver R., Cambra M. Innovative tools for detection of plant pathogenic viruses and bacteria. Int. Microbiol. 2003;6:233–243. doi: 10.1007/s10123-003-0143-y. [DOI] [PubMed] [Google Scholar]
- 3.Bodrossy L., Sessitsch A. Oligonucleotide microarrays in microbial diagnostics. Curr. Opin. Microbiol. 2004;7:245–254. doi: 10.1016/j.mib.2004.04.005. [DOI] [PubMed] [Google Scholar]
- 4.Vora G.J., Meador C.E., Stenger D.A., Andreadis J.D. Nucleic acid amplification strategies for DNA microarray-based pathogen detection. Appl. Environ. Microbiol. 2004;70:3047–3054. doi: 10.1128/AEM.70.5.3047-3054.2004. [DOI] [PMC free article] [PubMed] [Google Scholar]
- 5.Nilsson M., Malmgren H., Samiotaki M., Kwiatkowski M., Chowdhary B.P., Landegren U. Padlock probes: circularizing oligonucleotides for localized DNA detection. Science. 1994;265:2085–2088. doi: 10.1126/science.7522346. [DOI] [PubMed] [Google Scholar]
- 6.Shoemaker D.D., Lashkari D.A., Morris D., Mittmann M., Davis R.W. Quantitative phenotypic analysis of yeast deletion mutants using a highly parallel molecular bar-coding strategy. Nature Genet. 1996;14:450–456. doi: 10.1038/ng1296-450. [DOI] [PubMed] [Google Scholar]
- 7.Hardenbol P., Baner J., Jain M., Nilsson M., Namsaraev E.A., Karlin-Neumann G.A., Fakhrai-Rad H., Ronaghi M., Willis T.D., Landegren U., Davis R.W. Multiplexed genotyping with sequence-tagged molecular inversion probes. Nat. Biotechnol. 2003;21:673–678. doi: 10.1038/nbt821. [DOI] [PubMed] [Google Scholar]
- 8.Bonants P., Hagenaar-de Weerdt M., van Gent-Pelzer M., Lacourt I., Cooke D., Duncan J. Detection and identification of Phytophthora fragariae Hickman by the polymerase chain reaction. Eur. J. Plant Pathol. 1997;103:345–355. [Google Scholar]
- 9.Sanchez J.A., Pierce K.E., Rice J.E., Wangh L.J. Linear-after-the-exponential (LATE)-PCR: an advanced method of asymmetric PCR and its uses in quantitative real-time analysis. Proc. Natl Acad. Sci. USA. 2004;101:1933–1938. doi: 10.1073/pnas.0305476101. [DOI] [PMC free article] [PubMed] [Google Scholar]
- 10.Luo J., Bergstrom D.E., Barany F. Improving the fidelity of Thermus thermophilus DNA ligase. Nucleic Acids Res. 1996;24:3071–3078. doi: 10.1093/nar/24.15.3071. [DOI] [PMC free article] [PubMed] [Google Scholar]
- 11.Cooke D.E.L., Drenth A., Duncan J.M., Wagels G., Brasier C.M. A molecular phylogeny of Phytophthora and related oomycetes. Fungal Genet. Biol. 2000;30:17–32. doi: 10.1006/fgbi.2000.1202. [DOI] [PubMed] [Google Scholar]
- 12.Kamoun S. Molecular genetics of pathogenic oomycetes. Eukaryot. Cell. 2003;2:191–199. doi: 10.1128/EC.2.2.191-199.2003. [DOI] [PMC free article] [PubMed] [Google Scholar]
- 13.Thomas D.C., Nardone G.A., Randall S.K. Amplification of padlock probes for DNA diagnostics by cascade rolling circle amplification or the polymerase chain reaction. Arch. Pathol. Lab. Med. 1999;123:1170–1176. doi: 10.1043/1543-2165-123.20.1170. [DOI] [PubMed] [Google Scholar]
- 14.Baner J., Isaksson A., Waldenstrom E., Jarvius J., Landegren U., Nilsson M. Parallel gene analysis with allele-specific padlock probes and tag microarrays. Nucleic Acids Res. 2003;31:e103. doi: 10.1093/nar/gng104. [DOI] [PMC free article] [PubMed] [Google Scholar]
- 15.Alsmadi O.A., Bornarth C.J., Song W., Wisniewski M., Du J., Brockman J.P., Faruqi A.F., Hosono S., Sun Z., Du Y., et al. High accuracy genotyping directly from genomic DNA using a rolling circle amplification based assay. BMC Genomics. 2003;4:e21. doi: 10.1186/1471-2164-4-21. [DOI] [PMC free article] [PubMed] [Google Scholar]
- 16.Faruqi A.F., Hosono S., Driscoll M.D., Dean F.B., Alsmadi O., Bandaru R., Kumar G., Grimwade B., Zong Q., Sun Z., et al. High-throughput genotyping of single nucleotide polymorphisms with rolling circle amplification. BMC Genomics. 2001;2:e4. doi: 10.1186/1471-2164-2-4. [DOI] [PMC free article] [PubMed] [Google Scholar]
- 17.Lomeli H., Tyagi S., Pritchard C.G., Lizardi P.M., Kramer F.R. Quantitative assays based on the use of replicatable hybridization probes. Clin. Chem. 1989;35:1826–1831. [PubMed] [Google Scholar]
- 18.Zhang D.Y., Brandwein M., Hsuih T.C., Li H. Amplification of target-specific, ligation-dependent circular probe. Gene. 1998;211:277–285. doi: 10.1016/s0378-1119(98)00113-9. [DOI] [PubMed] [Google Scholar]
- 19.Tyagi S., Landegren U., Tazi M., Lizardi P.M., Kramer F.R. Extremely sensitive, background-free gene detection using binary probes and beta replicase. Proc. Natl Acad. Sci. USA. 1996;93:5395–5400. doi: 10.1073/pnas.93.11.5395. [DOI] [PMC free article] [PubMed] [Google Scholar]
- 20.Bodrossy L., Stralis-Pavese N., Murrell J.C., Radajewski S., Weilharter A., Sessitsch A. Development and validation of a diagnostic microbial microarray for methanotrophs. Environ. Microbiol. 2003;5:566–582. doi: 10.1046/j.1462-2920.2003.00450.x. [DOI] [PubMed] [Google Scholar]
- 21.Castiglioni B., Rizzi E., Frosini A., Sivonen K., Rajaniemi P., Rantala A., Mugnai M.A., Ventura S., Wilmotte A., Boutte C., et al. Development of a universal microarray based on the ligation detection reaction and 16S rrna gene polymorphism to target diversity of cyanobacteria. Appl. Environ. Microbiol. 2004;70:7161–7172. doi: 10.1128/AEM.70.12.7161-7172.2004. [DOI] [PMC free article] [PubMed] [Google Scholar]
- 22.Denef V.J., Park J., Rodrigues J.L., Tsoi T.V., Hashsham S.A., Tiedje J.M. Validation of a more sensitive method for using spotted oligonucleotide DNA microarrays for functional genomics studies on bacterial communities. Environ. Microbiol. 2003;5:933–943. doi: 10.1046/j.1462-2920.2003.00490.x. [DOI] [PubMed] [Google Scholar]
- 23.Lievens B., Brouwer M., Vanachter A.C., Levesque C.A., Cammue B.P., Thomma B.P. Design and development of a DNA array for rapid detection and identification of multiple tomato vascular wilt pathogens. FEMS Microbiol. Lett. 2003;223:113–122. doi: 10.1016/S0378-1097(03)00352-5. [DOI] [PubMed] [Google Scholar]







