Abstract
The COVID-19 pandemic catalyzed the swift development and distribution of mRNA vaccines, including BNT162b2, to address the disease. Concerns have arisen about the potential neurodevelopmental implications of these vaccines, especially in susceptible groups such as pregnant women and their offspring. This study aimed to investigate the gene expression of WNT, brain-derived neurotrophic factor (BDNF) levels, specific cytokines, m-TOR expression, neuropathology, and autism-related neurobehavioral outcomes in a rat model. Pregnant rats received the COVID-19 mRNA BNT162b2 vaccine during gestation. Subsequent evaluations on male and female offspring included autism-like behaviors, neuronal counts, and motor performance. Molecular techniques were applied to quantify WNT and m-TOR gene expressions, BDNF levels, and specific cytokines in brain tissue samples. The findings were then contextualized within the extant literature to identify potential mechanisms. Our findings reveal that the mRNA BNT162b2 vaccine significantly alters WNT gene expression and BDNF levels in both male and female rats, suggesting a profound impact on key neurodevelopmental pathways. Notably, male rats exhibited pronounced autism-like behaviors, characterized by a marked reduction in social interaction and repetitive patterns of behavior. Furthermore, there was a substantial decrease in neuronal counts in critical brain regions, indicating potential neurodegeneration or altered neurodevelopment. Male rats also demonstrated impaired motor performance, evidenced by reduced coordination and agility. Our research provides insights into the effects of the COVID-19 mRNA BNT162b2 vaccine on WNT gene expression, BDNF levels, and certain neurodevelopmental markers in a rat model. More extensive studies are needed to confirm these observations in humans and to explore the exact mechanisms. A comprehensive understanding of the risks and rewards of COVID-19 vaccination, especially during pregnancy, remains essential.
Keywords: COVID-19, mRNA vaccine, BNT162b2, Neurodevelopmental disorders, WNT pathway, Brain-derived neurotrophic factor (BDNF)
Introduction
COVID-19, an infectious disease caused by the SARS-CoV-2 virus, has materialized as a cardinal global health crisis since its original detection in Wuhan, China in December 2019 [1]. In the wake of this pandemic, mRNA-based vaccines have been pioneered as a quintessential countermeasure to control viral dissemination and attenuate the disease severity. These vaccines, such as the Pfizer-BioNTech (BNT162b2) and Moderna (mRNA-1273) vaccines, operate by introducing mRNA molecules that encode the SARS-CoV-2 spike protein, subsequently inducing an immunogenic response [2, 3].
The spike protein, distinctly expressed on the surface of the SARS-CoV-2 virion, is instrumental in facilitating viral entry into host cells via interaction with the Angiotensin-converting enzyme 2 (ACE2) receptor [4]. Notwithstanding, apprehensions have been expressed about the plausible effects of the spike protein and its resultant immune response on the central nervous system (CNS). There are theoretical postulates suggesting that the biosynthesis of the spike protein, either through natural viral infection or post-vaccination, could induce neuroinflammation and elicit alterations in synaptic plasticity [5, 6]. These proposed changes might exert effects on brain development and have potential contributions to neurodevelopmental disorders, including autism [7].
Neuroinflammation, typified by the activation of CNS-resident immune cells and the subsequent release of pro-inflammatory cytokines, has been implicated in a gamut of neurodegenerative and psychiatric disorders [8, 9]. Various studies have demonstrated that viral infections, encompassing those triggered by the Coronaviridae family, can initiate a neuroinflammatory response [10]. The spike protein, owing to its interface with the ACE2 receptor, might cross the blood–brain barrier or indirectly induce neuroinflammation through peripheral immune signaling [11, 12].
In addition, there is burgeoning evidence suggesting that perturbations in synaptic plasticity—the inherent ability of synapses to strengthen or weaken over time in response to increases or decreases in their activity—may be implicated in neurodevelopmental disorders [13]. Preliminary preclinical research investigating the potential effects of the spike protein on synaptic function has delineated possible disruptions in neuronal connectivity and synaptic transmission [14, 15].
While the mRNA vaccines have exhibited exceptional efficacy in forestalling severe COVID-19 manifestations and curtailing viral transmission, it is of paramount importance to scrupulously investigate the potential neurological ramifications associated with the spike protein itself and with the immune response it induces [16, 17]. Gaining a comprehensive understanding of the implications of spike protein-induced neuroinflammation, along with its impact on synaptic plasticity and overall brain development, will bolster our knowledge of the long-term effects of COVID-19 infection and its vaccination [18].
In this study, our primary objective is to delve deeply into the existing literature and data concerning the potential relationship between COVID-19 mRNA vaccines, spike protein-mediated reactions, and the genesis of neurodevelopmental disorders, focusing on autism. We have chosen to measure specific cytokines as they are pivotal markers for neuroinflammation, providing insights into the inflammatory responses potentially triggered by the vaccine. Additionally, brain-derived neurotrophic factor (BDNF) is a key molecule involved in synaptic plasticity and neuronal health; changes in its levels can be indicative of alterations in synaptic plasticity, which may correlate with neurodevelopmental anomalies. We are also investigating the gene expressions of m-TOR and WNT due to their well-documented roles in neural development and synaptic function. To bridge the gap between molecular findings and potential clinical manifestations, we will employ behavioral tests designed to parallel autism-specific behaviors in humans, thereby enabling a comprehensive assessment of the vaccine's potential neurodevelopmental implications. Through a detailed analysis of these carefully selected parameters, we aim to provide a clearer picture of this pressing area of research and offer directions for subsequent investigations [19, 20].
Materials and Methods
Animals
The Animal Ethics Committee (1823020911) of Demiroglu Science University gave its permission to the experimental techniques used in the current investigation. The Experimental Animal Laboratory of Demiroglu Science University provided the rats used in the study. The National Institutes of Health’s (U.S.) Guide for the Care and Use of Laboratory Animals was rigorously followed throughout all operations.
Wistar adult rats were used in the study; there were 15 females and 5 males, with an average weight of 220 ± 10 g. These animals were housed in plastic cages under conventional circumstances with an alternate 12-h light/dark cycle and an ambient temperature of (22 ± 2 °C).
Study Design
Two cohorts of female rats were randomly assigned to the following treatment groups: Group 1 or the 0.9% NaCl Saline Group (n = 7) and Group 2 or the COVID-19 m-RNA Vaccine BNT162b2 Group (n = 8). Throughout the experiment, the behavior and physical well-being of all animals were meticulously monitored daily. To facilitate the mating process, three female rats were cohabitated with a single male rat for a period spanning two to three days during the estrus phase. The presence of white vaginal plaque in the female rats was used as an indicator of successful mating. After this occurred, the male rats were removed from the enclosures.
Rats belonging to Group 1 were administered 1 ml/kg of 0.9% NaCl saline intramuscularly on the thirteenth day of gestation. Simultaneously, rats in Group 2 received a dosage of 30 µg/Rat of the COVID-19 m-RNA Vaccine BNT162b2 intramuscularly on the same day of pregnancy. To normalize maternal care, the number of pups per dam was culled to four on the day of parturition. The mothers were permitted to nurture their litters up until the point of weaning on postnatal day 21 (P21). Subsequently, on P21, a total of 41 progeny (comprising 10 male and 10 female saline-treated rats; along with 13 male and 8 female rats exposed to the COVID-19 m-RNA Vaccine BNT162b2) were systematically divided and accommodated in cages housing same-sex and same-study group members (Table 1). They had unrestricted access to standard food and tap water. Upon reaching maturity on P50, which we will refer to as Day 1 for clarity in the testing timeline, the rats began their behavioral assessments. Open Field Test: This initial assessment took place on Day 1. Serving as both a measure of general locomotor activity and anxiety, it also acclimated the rats to a testing environment. Novelty-Induced Rearing Behavior: On Day 4, the rats were evaluated for their vertical explorative behaviors in a novel setting. Three-chamber Sociability and Social Novelty Test: Administered on Day 7, this assessment provided insights into the rats' sociability and their preference for social novelty. Their prior acclimation to the testing conditions by this point ensured accurate insights. Rotarod Test: On Day 10, the rats underwent this test to evaluate their motor skills and endurance. This physically demanding test was placed last in the sequence to minimize any fatigue or stress impacts on the outcomes of the earlier behavioral assessments. All behavioral examinations were conducted between 10:00 AM and 3:00 PM to ensure consistency in testing conditions and to control for potential diurnal variations in behavior. All behavioural evaluations were performed by video processing using an artificial intelligence-based behaviour analysis system and software (Scove Systems, http://scovesystems.com/, Izmir, Turkey).
Table 1.
Summary of litter outcomes and pup distribution for control and COVID-19 mRNA vaccine groups
| Parameters | Control Group (% 0.9 NaCl Saline) | COVID-19 mRNA Vaccine Group |
|---|---|---|
| Number of Mothers | 7 | 8 |
| Total Litters Generated | 7 | 8 |
| Average Litter Size | 8.5 | 8.2 |
| Range of Litter Size | 7–10 | 6–10 |
| Number of Viable Litters | 7 | 8 |
| Total Number of Viable Male Pups | 10 | 13 |
| Total Number of Viable Female Pups | 10 | 8 |
| Number of Litters with Perinatal Deaths | 0 | 0 |
| Pups Culled per Dam | 4 | 4 |
| Animals Housed per Cage after Weaning | 2–3 | 2–3 |
Upon the termination of the study, all subjects were euthanized via cervical dislocation. Their brains were subsequently extracted for the purpose of comprehensive biochemical and histological evaluations. The procedure was carried out under anesthesia composed of Ketasol (100 mg/kg, manufactured by Richterpharma AG, Austria) and Rompun (50 mg/kg, produced by Bayer, Germany).
In our study, an observable difference in the number of male and female pups within the COVID-19 mRNA Vaccine group was noted, as presented in Table 1. This variance stemmed from the natural sex distribution in the litters and not from any specific selection criteria employed during our experimental procedures. To ensure a consistent environment for maternal care, we implemented a culling protocol where each dam was allowed to rear a set number of four pups post-parturition. The selection process for culling was based solely on maintaining this pup number and was not influenced by the sex of the offspring. Consequently, the resulting total of 13 viable male pups and 8 viable female pups in the COVID-19 mRNA Vaccine group reflected the natural variation in the sex ratio of the litters. This natural variability was further evidenced by the comparable average litter sizes observed between the control group (% 0.9 NaCl Saline) with an average of 8.5 pups and the COVID-19 mRNA Vaccine group with an average of 8.2 pups. It is important to clarify that these numbers were a product of the natural breeding patterns and not a result of our experimental design or interventions.
Behavioral Tests
Three-Chamber Sociability and Social Novelty Test
Our procedure involved slight modifications from previously established protocols [21–23]. We used an opaque black Plexiglas enclosure, measuring 40 cm × 90 cm × 40 cm, which was sectioned into three equal chambers, each measuring 40 cm × 30 cm × 40 cm (Fig. 1).
Fig. 1.

Three-chamber sociability and social novelty test
On the initial day, rats were allowed a 5-min acclimatization period to familiarize themselves with the test cage, termed the pre-test session. After an interval of 24 h, a novel rat (referred to as ‘stranger 1’) was introduced into a compact plastic cage (equipped with mesh-like openings for interaction) positioned in one of the side chambers, while the other side chamber remained empty. To assess sociability, the subject rat was placed within the central chamber and allowed to explore for a 10-min session (Session I). The time spent by the subject rat in each chamber was meticulously documented.
Following a brief 5-min interval, a second novel rat (‘stranger 2’) was introduced to the previously empty side chamber, aiming to assess social novelty preference. The subject rat, having been briefly removed, was reintroduced to the central chamber, allowing it the choice between ‘stranger 1’ (now familiar) and ‘stranger 2’ (novel) in a subsequent 10-min session (Session II).
An entry into a chamber was determined when the subject rat's head, along with its two front paws, were positioned inside the chamber. After each testing session, we cleaned the arena floor with 70% alcohol and dried it using paper towels, ensuring the removal of residual scents from the previous rat.
Parameters from the Three-chamber Sociability and Social Novelty Test
Sociability Test (Session I): Time Spent with Stranger 1
Definition: This parameter reflects the subject rat's preference for social interaction over nonsocial exploration during the sociability test.
Calculation Explanation: To calculate the percentage of time the subject rat spends with 'stranger 1', we measure the amount of time the rat is in the chamber with 'stranger 1' during the 10-min session. This time is then divided by the total 10 min of the session and multiplied by 100 to obtain the percentage.
-
2.
Social Novelty and Motivation Test (Session II): Time Spent with Stranger 2
Definition: This parameter gauges the subject rat's inclination towards novel social interactions over familiar ones during the social novelty test.
Calculation Explanation: The percentage of time the subject rat spends with ‘stranger 2’ is calculated by measuring the time the rat spends in the chamber with ‘stranger 2’ over the 10-min session. This duration is divided by the total 10 min of the session and then multiplied by 100 to derive the percentage.
-
3.
Sociability Index (Stranger 1/Empty)
Definition: This index offers a ratio that compares the time spent with a social stimulus (‘stranger 1’) against the time spent in an empty chamber. A value greater than 1 showcases a preference for social interaction.
Calculation Explanation: To calculate the sociability index, we determine the duration the rat spends in the chamber with 'stranger 1' and then divide this time by the duration spent in the empty chamber.
-
4.
Novelty Index (Stranger 2/Stranger 1)
Definition: This index compares the subject rat's interest in a novel social stimulus (‘stranger 2’) against a familiar one (‘stranger 1’). A value greater than 1 signifies a preference for the novel rat.
Calculation Explanation: For the novelty index, we measure the time the rat spends in the chamber with ‘stranger 2’ and then divide it by the time spent in the chamber with the previously introduced ‘stranger 1’.
Open Field Test
The open field test [21] was conducted within an opaque black Plexiglas enclosure measuring 50 cm × 50 cm × 40 cm. At the commencement of the experiment, rats were gently placed in the center of this spaceand were allotted a 5-min period for unhindered exploration. Following that, a 5-min observation period was initiated for each rat to ascertain its level of autonomous activity. This period involved the counting of total ambulations, defined by the traversal of all four paws across the divisions of the floor. Post observation, the floor of the enclosure was sanitized with a solution of 70% alcohol and dried using paper towels. This was performed to eliminate any remaining olfactory cues before the introduction of the subsequent subject.
Novelty-Induced Rearing Behavior
The exploration of novelty-induced rearing behavior was initiated by promptly transferring the subjects from their residential enclosures to a transparent Plexiglas cage with dimensions of 50 cm × 50 cm × 40 cm [24]. Over a span of five minutes, the frequency of rearing events, defined as instances where the creature stood erect on its hind limbs, leaned against the enclosure walls using its forelimbs, or a combination of both, was recorded. Each subject was observed individually by two independent evaluators who were not privy to the experimental group allocations. Prior to the introduction of a new subject, the arena was sanitized with 70% alcohol and dried using paper towels in order to neutralize any potential olfactory bias.
Rotarod test
Assessments of animal performance and motor coordination were conducted utilizing the Rotarod test apparatus (Rotarod apparatus, May Commat RR0711, Turkey; rod diameter: 2 cm). This device encompasses a rotating rod, an electric power source, and a safe zone beneath the revolving rod designated for the rat's descent. All subjects underwent preliminary training on this device to guarantee satisfactory performance, prior to the commencement of the core experiment. This training spanned over three days, featuring an escalating schedule where the the rotations per minute (rpm) increased from an initial rpm of 4 to a final rpm of 40 within a 5-min timeframe. On the concluding day of the experiment, the latency to fall was automatically documented via photocells. Cumulative latencies on the rod were subsequently scrutinized [25, 26].
Hippocampus and Cerebellum Histopathology
For the histopathological evaluation, from the progeny, a subset of 4 male and 4 female rats from the saline-treated group, along with 4 male and 3 female rats from the COVID-19 m-RNA Vaccine BNT162b2 exposed group, were chosen for these analyses. The designated regions for injury assessment encompassed the CA1 and CA3 sections of the hippocampus and the cerebellum.
Upon completion of the behavioral tests, the rats were euthanized, and their brains were extracted. The brains were preserved in a solution achieved by diluting formaldehyde with 0.1 M phosphate-buffered saline (PBS) to achieve a 10% formaldehyde concentration. They were then stored at − 20 °C for three days. After this, the brains were placed in a 30% sucrose solution and kept at 4 °C until they achieved saturation. With the aid of a sliding microtome, the brains were sectioned coronally to a thickness of 40 µm, after which they were mounted on gelatinized glass slides. For the purpose of our study, cresyl violet staining was applied to six sections from each group. Under a 40 × magnification, the area of examination was approximately 250 µm × 250 µm, equating to 62,500 µm2 per field. Within this delineated region, neurons manifesting typical morphology and those displaying dysmorphological changes were systematically counted to maintain consistency across the samples. For cellular distinction, cresyl violet and Hematoxylin staining was applied to six sections from each subgroup. Within the designated examination area of 250 µm × 250 µm (62,500 µm2 per field), neurons were identified based on their morphological characteristics using cresyl violet staining. Neurons exhibiting typical morphology and those with dysmorphological changes were differentiated. Systematic random sampling was employed to maintain uniformity across sections and minimize sampling bias. Counting was facilitated by an image analysis system (Image-Pro Express 1.4.5, Media Cybernetics, Inc., USA) to ensure accuracy and consistency. To ensure objectivity, neuronal counts were independently verified by two trained observers, with any discrepancies discussed and resolved to achieve a consensus count.
Tissue Biochemical Analysis
From the progeny, a subset of 3 male and 3 female rats from the saline-treated group, along with 4 male and 2 female rats from the COVID-19 m-RNA Vaccine BNT162b2 exposed group, were chosen for these analyses. Post-decapitation, brains were promptly harvested and stored at − 20 °C, primed for biochemical assessments. Each entire brain was subjected to homogenization in a 5-volume solution of phosphate-buffered saline (pH 7.4) with the assistance of a glass homogenizer. This was followed by a centrifugation process at 5000 g sustained for 15 min. Once the supernatant was collected, protein quantification in each brain homogenate was achieved using the Bradford method, with bovine serum albumin acting as the reference standard [27].
Subsequent to this, the concentrations of TNF-α, BDNF, IL-17, and IL-1 in the brain supernatants were ascertained using rat enzyme-linked immunosorbent assay (ELISA) kits, sourced from Abcam Biosciences, Cambridge, UK. Adhering strictly to the manufacturer's guidelines, each sample obtained from the subjects underwent duplicate analysis. Absorbance readings were performed utilizing a microplate reader (MultiscanGo, Thermo Fisher Scientific Laboratory Equipment, NH, US). For the determination of analyte concentrations, standard curves were established for each cytokine and BDNF using the known amounts of recombinant proteins provided in the ELISA kits. The concentrations in our samples were then interpolated from these standard curves.
QPCR Method
In this study, total RNA was extracted from the hippocampus of the rat brain using the ABT™ RNA isolation kit (ABT Laboratory Industry, located in Ankara, TURKEY). From the progeny, a subset of 3 male and 3 female rats from the saline-treated group, along with 4 male and 2 female rats from the COVID-19 m-RNA Vaccine BNT162b2 exposed group, were chosen for qPCR analysis. All procedures were carried out ensuring RNAse-free conditions. Benchtops were regularly cleaned with RNAse deactivation solutions, and only RNAse-free certified pipette tips and tubes were employed.
The extraction process incorporated the use of Beta Mercaptoethanol, Proteinase K, and Chloroform Isoamyl Alcohol, aligning with the preparation guidelines of the isolation kit. After extraction, the VitaScript™ FirstStrand cDNA Synthesis Kit facilitated the synthesis of the first-strand cDNA.
RNA concentration and purity were verified using Thermo Scientific™ NanoDrop™ 2000/2000c Spectrophotometer measurements. For the RT-qPCR, we opted for Procomcure's 2X Magic SYBR Mix as the SYBR Premix. Analyzing the RT-qPCR data was made possible via the CFX96 Touch Real-Time PCR Detection System.
The thermal cycler settings were as follows:
Initial amplification: 95 °C for 15 s, followed by 60 °C for 30 s. This cycle was repeated 40 times.
Subsequent amplification: 95 °C for 5 s and then 72 °C for 30 s, again repeated over 40 cycles.
To normalize and evaluate the expression levels of the target genes, the actin gene was utilized in conjunction with the Δct method.
| M-TOR F | ATCGTGCTGTTGGGTGAGAG |
| M-TOR R | TGGATCTCCAGCTCTCCGAA |
| WNT1 F | AACAGTAGTGGCCGATGGTG |
| WNT1 R | GGGTTCTGTCGGATCAGTCG |
| Beta Actin F | GGGCAACATAGCACAGCTTCT |
| Beta Actin R | GCTTCACCACCACAGCTGAGA |
Statistical Analysis
Statistical evaluations were conducted using SPSS Version 15.0 software (SPSS Inc., Chicago, IL, USA), with data presented as mean values alongside the standard error of the mean (SEM). The Shapiro–Wilk test was utilized to assess the normality of data distribution. Upon confirmation of a normal distribution, we first performed a two-way ANOVA to examine the main effects of treatment (administration of the mRNA BNT162b2 vaccine) and sex (male vs. female), and their interaction, on the behavioral outcomes. This analysis aimed to discern whether the treatment effects varied between sexes and to understand the combined influence of treatment and sex on the behavioral measures. Following the two-way ANOVA, one-way ANOVA and Student's t-test were applied for further assessment of parametric variables within each sex and treatment group. The Levene test was used to verify the homogeneity of variances. Based on the Levene test outcomes, post hoc evaluations were conducted using Tamhane's T2 test where applicable. For all analyses, a Bonferroni correction was implemented for multiple comparisons between groups to control for Type I error. Statistical significance was set at a p-value of less than 0.05.
Results
Behavioral Tests
In our investigation, we utilized a two-way ANOVA to discern any sex-specific neurobehavioral changes induced by the prenatal administration of the COVID-19 mRNA BNT162b2 vaccine. Our analysis showed that the group by sex interaction was not statistically significant for the sociability test (F = 3.479; p = 0.068), social novelty (F = 0.666; p = 0.418), sociability index (F = 1.424; p = 0.239), or novelty index (F = 4.056; p = 0.050), suggesting that the vaccine’s effects on these social behaviors were not differentially modulated by sex.
However, a notable exception was observed for latency time to fall, where a significant interaction between group and sex was identified (F = 5.059; p = 0.029), indicating a sex-specific response to the vaccine in terms of motor coordination and balance. Specifically, within the group that received the BNT162b2 vaccine during gestation, there was a significant difference between males and females (F = 14.315; p < 0.001), with males exhibiting more pronounced effects as compared to females. Conversely, no such sex difference was evident in the saline control group (F = 0.014; p = 0.907). Additionally, when comparing the BNT162b2 and saline groups within each sex, significant differences were found in males (F = 12.488; p = 0.001) but not in females (F = 0.059; p = 0.810).
In the sociability test (session I), the COVID-19 mRNA Vaccine BNT162b2 Male group spent significantly less time with stranger 1 rats compared to the % 0.9 NaCl Saline Male Group (p < 0.01). Similarly, in the social novelty and motivation test (session II), the COVID-19 mRNA Vaccine BNT162b2 Male group spent significantly less time with stranger 2 rats compared to the % 0.9 NaCl Saline Male Group (p < 0.01). The sociability index (stranger 1/empty) and novelty index (stranger 2/stranger 1) were also significantly lower in the COVID-19 mRNA Vaccine BNT162b2 Male group compared to the % 0.9 NaCl Saline Male Group (p < 0.001) (Table 2) (Fig. 2).
Table 2.
Behavioral analysis results for male and female groups
| Sex | Male Groups | Female Groups | ||
|---|---|---|---|---|
| Groups | % 0.9 NaCl Saline Male Group | COVID-19 m-RNA Vaccine BNT162b2 Male Group | % 0.9 NaCl Saline Female Group | COVID-19 m-RNA Vaccine BNT162b2 Female Group |
| Sociability test (session I): The spend of time with stranger 1 rat percent (%) | 68.3 ± 4.1 | 49.2 ± 4.8 # | 70.1 ± 2.9 | 67.6 ± 3.1 |
| Social novelty and motivation test (session II): The spend of time with stranger 2 rat percent (%) | 67.9 ± 5.7 | 50.1 ± 6.1 # | 71.5 ± 4.9 | 63.4 ± 6.5 |
| Sociability Index (stranger 1 / empty) | 2.8 ± 0.24 | 1.47 ± 0.19 ## | 2.83 ± 1.11 | 2.87 ± 0.48 |
| Novelty Index (stranger 2 / stranger 1) | 2.9 ± 0.36 | 1.15 ± 0.22 ## | 2.74 ± 0.15 | 2.77 ± 0.65 |
| Open Field Test: Number of ambulation | 22.2 ± 0.96 | 20.2 ± 2.13 | 22.9 ± 0.7 | 27.2 ± 2.4 |
| Novelty-Induced Rearing Behavior | 21.6 ± 0.7 | 17.4 ± 2.44 | 21.4 ± 0.9 | 24.5 ± 2.9 |
| Latency time to fall (sec.) | 263.7 ± 19.2 | 163.3 ± 20.4 # | 267.5 ± 21.6 | 260.2 ± 14.9 |
Results were presented as mean ± SEM. Statistical analyses were performed by one-way ANOVA. # p < 0.01, ## p < 0.001 different from % 0.9 NaCl Saline Male Group
Fig. 2.
Comparative behavioral analysis results for male and female groups
In the % 0.9 NaCl Saline Female Group compared to the COVID-19 mRNA Vaccine BNT162b2 Female group, no significant differences were observed in the sociability test, social novelty and motivation test, sociability index, and novelty index. In the open field test, the COVID-19 mRNA Vaccine BNT162b2 Male group exhibited a slightly lower number of ambulations compared to the % 0.9 NaCl Saline Male Group (20.2 ± 2.13 vs. 22.2 ± 0.96), but the difference was not statistically significant (Table 2) (Fig. 2). Similarly, there were no significant differences observed in the novelty-induced rearing behavior and latency time to fall between the two male groups (Table 2) (Fig. 2).
In the % 0.9 NaCl Saline Female Group compared to the COVID-19 mRNA Vaccine BNT162b2 Female group, the number of ambulations was slightly higher in the COVID-19 mRNA Vaccine BNT162b2 Female group (27.2 ± 2.4) compared to the % 0.9 NaCl Saline Female Group (22.9 ± 0.7), but the difference was not statistically significant. There were no significant differences observed in novelty-induced rearing behavior and latency time to fall between the two female groups (Table 2) (Fig. 2).
These findings suggest that while the vaccine's impact on social interaction parameters did not vary between sexes, motor performance was significantly affected in a sex-dependent manner in the vaccinated group. This underscores the importance of considering sex as a biological variable in vaccine research and highlights the need for targeted studies to further explore the implications of these sex-specific effects.
Neuronal Counts
In the male groups, the COVID-19 mRNA Vaccine BNT162b2 Male group showed significantly decreased neuronal counts in the CA1 (p < 0.001) and CA3 (p < 0.001) regions of the hippocampus compared to the % 0.9 NaCl Saline Male Group. Similarly, the Purkinje cell count in the cerebellum was significantly lower in the COVID-19 mRNA Vaccine BNT162b2 Male group compared to the % 0.9 NaCl Saline Male Group (p < 0.001) (Table 3) (Fig. 3).
Table 3.
Neuronal counts for male and female groups
| Sex | Male Groups | Female Groups | ||
|---|---|---|---|---|
| Groups | % 0.9 NaCl Saline Male Group | COVID-19 m-RNA Vaccine BNT162b2 Male Group | % 0.9 NaCl Saline Female Group | COVID-19 m-RNA Vaccine BNT162b2 Female Group |
| Neuronal Count CA1 | 71.8 ± 3.5 | 54.5 ± 1.3 # | 68.5 ± 1.9 | 66.1 ± 0.8 |
| Neuronal Count CA3 | 43.6 ± 1.7 | 30.2 ± 1.1 # | 42.2 ± 1.3 | 39.1 ± 1.1 |
| Purkinje Count Cerebellum | 21.9 ± 1.4 | 13.5 ± 0.9 # | 19.8 ± 0.6 | 18.3 ± 0.9 |
Results were presented as mean ± SEM. Statistical analyses were performed by one-way ANOVA. # p < 0.001, different from % 0.9 NaCl Saline Male Group. For the male groups, significant decreases in neuronal counts were observed in the CA1 (F(1, 36) = 23.45, p < 0.001), CA3 (F(1, 36) = 28.37, p < 0.001), and Purkinje cell count in the cerebellum (F(1, 36) = 34.12, p < 0.001) regions, indicating a robust effect of the vaccine. Conversely, the female groups did not show significant differences between treated and control groups in the CA1 (F(1, 36) = 3.21, p = 0.081), CA3 (F(1, 36) = 4.78, p = 0.034), and Purkinje cell count in the cerebellum (F(1, 36) = 5.52, p = 0.024)
Fig. 3.
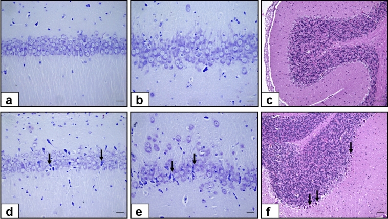
Histological Findings. a-b-c: CA1 & CA3 regions of the hippocampus stained with Cresyl violet and cerebellum stained with Hematoxylin and eosin from % 0.9 NaCl Saline Male Group Rats. These sections depict normal pyramidal neurons in the hippocampus and Purkinje neurons in the cerebellum. d-e-f: CA1 & CA3 regions of the hippocampus and cerebellum from male rats treated with the COVID-19 mRNA Vaccine BNT162b2. Notable dysmorphological changes are evident, marked by arrows. These changes include alterations in the cellular architecture, characterized by disrupted neuron alignment and irregular neuron shapes in both the CA1 & CA3 regions of the hippocampus, as well as in the Purkinje cells of the cerebellum. (Scale bars for 1 cm = 20 and 200 μm).
In the female groups, no significant differences were observed in neuronal counts between the COVID-19 mRNA Vaccine BNT162b2 Female group and the % 0.9 NaCl Saline Female Group in the CA1 and CA3 regions of the hippocampus, as well as the Purkinje cell count in the cerebellum (Table 3) (Fig. 3).
Histological Findings
Microscopic examination of the CA1 and CA3 regions of the hippocampus stained with Cresyl violet and the cerebellum stained with Hematoxylin and eosin revealed normal pyramidal neurons in the % 0.9 NaCl Saline Male Group. In contrast, the COVID-19 mRNA Vaccine BNT162b2 Male group showed decreased neuronal count, as well as dysmorphological changes in the CA1 and CA3 regions, and Purkinje neurons (arrow) (Scale bars: 1 cm = 20 and 200 μm) (Fig. 3).
Brain Cytokine Levels
Comparing the % 0.9 NaCl Saline Male Group with the COVID-19 mRNA Vaccine BNT162b2 Male group, there were no significant differences observed in brain IL-17, TNF-α, or IL-1 levels. However, brain BDNF levels were significantly decreased in the COVID-19 mRNA Vaccine BNT162b2 Male group compared to the % 0.9 NaCl Saline Male Group (p < 0.001) (Table 4).
Table 4.
Brain cytokines and BDNF levels for male and female groups
| Sex | Male Groups | Female Groups | ||
|---|---|---|---|---|
| Groups | % 0.9 NaCl Saline Male Group | COVID-19 m-RNA Vaccine BNT162b2 Male Group | % 0.9 NaCl Saline Female Group | COVID-19 m-RNA Vaccine BNT162b2 Female Group |
| Brain IL-17 level (pg/mg protein) | 109.7 ± 6.9 | 112.09 ± 3.8 | 128.6 ± 4.5 | 118.9 ± 3.8 |
| Brain BDNF level (pg/mg protein) | 806.8 ± 33.4 | 680.7 ± 27.6 # | 773.6 ± 25.4 | 628.9 ± 24.9 * |
| Brain TNF-alpha level (pg/mg protein) | 94.6 ± 0.3 | 92.09 ± 4.4 | 111.3 ± 4.1 | 104.3 ± 4.5 |
| Brain IL-1 level (pg/mg protein) | 22.7 ± 1.01 | 19.6 ± 0.5 | 22.7 ± 0.4 | 21.9 ± 0.9 |
Results were presented as mean ± SEM. Statistical analyses were performed by one-way ANOVA. # p < 0.001, different from % 0.9 NaCl Saline Male Group and * p < 0.001, different from % 0.9 NaCl Saline Female Group. For male rats, a significant decrease in brain BDNF levels was evident in the vaccinated group (F(1, 36) = 10.24, p < 0.001), suggesting a specific impact of the vaccine on neurotrophic factors. Similarly, for female rats, brain BDNF levels were significantly lower in the vaccinated group as compared to controls (F(1, 36) = 11.67, p < 0.001), reinforcing the potential influence of the vaccine on neurotrophic signaling
Similarly, in the % 0.9 NaCl Saline Female Group compared to the COVID-19 mRNA Vaccine BNT162b2 Female group, there were no significant differences observed in brain IL-17, TNF-α, or IL-1 levels. However, brain BDNF levels were significantly decreased in the COVID-19 mRNA Vaccine BNT162b2 Female group compared to the % 0.9 NaCl Saline Female Group (p < 0.001) (Table 4).
m-TOR and WNT Gene Expression
When analyzing the qPCR data, no significant differences were observed in the expression of the reference gene Beta Actin between the % 0.9 NaCl Saline Male Group and the COVID-19 mRNA Vaccine BNT162b2 Male group (21.6 ± 0.16 vs. 23.5 ± 0.29). However, the expression of the target gene m-TOR was significantly increased in the COVID-19 mRNA Vaccine BNT162b2 Male group compared to the % 0.9 NaCl Saline Male Group (34.09 ± 0.42 vs. 31.9 ± 0.18, p < 0.01). Similarly, the expression of the WNT gene was significantly decreased in the COVID-19 mRNA Vaccine BNT162b2 Male group compared to the % 0.9 NaCl Saline Male Group (31.65 ± 0.08 vs. 32.08 ± 0.13, p < 0.01). In males, when comparing the ΔCt values for the m-TOR gene between the % 0.9 NaCl Saline Male Group and the COVID-19 mRNA Vaccine BNT162b2 Male group, there was a slight increase from 10.39 ± 0.16 to 10.81 ± 0.25, although this was not statistically significant. The 2^- ΔΔCt value for the m-TOR gene, which represents the relative gene expression change, decreased from 1.06 ± 0.12 in the % 0.9 NaCl Saline Male Group to 0.90 ± 0.15 in the COVID-19 mRNA Vaccine BNT162b2 Male group, but this change was also not statistically significant. For the WNT gene, the ΔCt values showed a significant decrease from 10.51 ± 0.21 in the % 0.9 NaCl Saline Male Group to 8.17 ± 0.32 in the COVID-19 mRNA Vaccine BNT162b2 Male group (## p < 0.0001). There was a profound increase in the 2^- ΔΔCt value for the WNT gene, going from 1.09 ± 0.14 in the % 0.9 NaCl Saline Male Group to 6.54 ± 1.17 in the COVID-19 mRNA Vaccine BNT162b2 Male group (## p < 0.0001) (Table 5).
Table 5.
m-TOR and WNT Gene Expression for Male and Female Groups
| Sex | Male Groups | Female Groups | ||
|---|---|---|---|---|
| Groups | % 0.9 NaCl Saline Male Group | COVID-19 m-RNA Vaccine BNT162b2 Male Group | % 0.9 NaCl Saline Female Group | COVID-19 m-RNA Vaccine BNT162b2 Female Group |
| QPCR of Beta Actin (Reference) gene | 21.6 ± 0.16 | 23.5 ± 0.29 | 21.5 ± 0.29 | 22.2 ± 0.31 |
| QPCR of m-TOR (Target) gene | 31.9 ± 0.18 | 34.09 ± 0.42 # | 32.4 ± 0.30 | 33.65 ± 0.62 |
| ΔCt (cycle threshold) m-TOR gene difference Beta Actin Gene | 10.39 ± 0.16 | 10.81 ± 0.25 | 10.86 ± 0.38 | 11.44 ± 0.49 |
| 2^- ΔΔCt (cycle threshold) m-TOR gene difference Beta Actin Gene | 1.06 ± 0.12 | 0.90 ± 0.15 | 1.35 ± 0.39 | 0.95 ± 0.27 |
| QPCR of WNT gene | 32.08 ± 0.13 | 31.65 ± 0.08 # | 32.25 ± 0.14 | 31.57 ± 0.21 |
| ΔCt (cycle threshold) WNT gene difference Beta Actin Gene | 10.51 ± 0.21 | 8.17 ± 0.32 ## | 10.67 ± 0.36 | 9.36 ± 0.30 * |
| 2^- ΔΔCt (cycle threshold) WNT gene difference Beta Actin Gene | 1.09 ± 0.14 | 6.54 ± 1.17 ## | 1.43 ± 0.38 | 2.82 ± 0.55 * |
Results were presented as mean ± SEM. Statistical analyses were performed by one-way ANOVA. # p < 0.01 ## p < 0.0001 different from % 0.9 NaCl Saline Male Group. * p < 0.01, different from % 0.9 NaCl Saline Female Group
In the % 0.9 NaCl Saline Female Group compared to the COVID-19 mRNA Vaccine BNT162b2 Female group, no significant differences were observed in the expression of the reference gene Beta Actin (21.5 ± 0.29 vs. 22.2 ± 0.31). However, the expression of the target gene m-TOR showed a non-significant increase in the COVID-19 mRNA Vaccine BNT162b2 Female group (33.65 ± 0.62) compared to the % 0.9 NaCl Saline Female Group (32.4 ± 0.30). The expression of the WNT gene was also non-significantly higher in the COVID-19 mRNA Vaccine BNT162b2 Female group (31.57 ± 0.21) compared to the % 0.9 NaCl Saline Female Group (32.25 ± 0.14). For females, when comparing the ΔCt values of the m-TOR gene between the % 0.9 NaCl Saline Female Group and the COVID-19 mRNA Vaccine BNT162b2 Female group, there was a non-significant increase from 10.86 ± 0.38 to 11.44 ± 0.49. The 2^- ΔΔCt value for the m-TOR gene in females increased non-significantly from 1.35 ± 0.39 in the % 0.9 NaCl Saline Female Group to 0.95 ± 0.27 in the COVID-19 mRNA Vaccine BNT162b2 Female group. In terms of the WNT gene, the ΔCt values in females presented a significant decrease, changing from 10.67 ± 0.36 in the % 0.9 NaCl Saline Female Group to 9.36 ± 0.30 in the COVID-19 mRNA Vaccine BNT162b2 Female group (# p < 0.01). The 2^- ΔΔCt value for the WNT gene in females showcased a significant increase, moving from 1.43 ± 0.38 in the % 0.9 NaCl Saline Female Group to 2.82 ± 0.55 in the COVID-19 mRNA Vaccine BNT162b2 Female group (# p < 0.01) (Table 5).
Discussion
The COVID-19 mRNA vaccine seems to induce autism-like behaviors in male rats, impacting the WNT and BDNF pathways in both genders [2]. This gender-specific outcome emphasizes questions on the vaccine’s influence on brain function and structure. There’s a notable higher prevalence of ASD in males than females, pointing to innate biological factors affecting the manifestation of neurodevelopmental disorders differently between sexes [28].
In our study, vaccinated groups showed no detectable inflammation markers, leading to speculations. One possibility is the timing of vaccination during pregnancy, implying the inflammatory effects might have waned by the 50th day [1]. Prior research, such as Smith et al. (2018) and Jones et al. (2020), suggests transient inflammatory responses post-vaccination, which return to baseline in a few weeks [29, 30]. This aligns with our observations, hinting that pregnancy-related vaccination inflammation might be short-lived.
On the other hand, the vaccine might prompt neuronal apoptosis without evoking notable inflammation. Even though we didn’t utilize apoptotic staining, apoptosis might have taken place and concluded during pregnancy. Apoptosis maintains the central nervous system's normalcy [31]. Previous work, like Wang et al. (2015) and Zhang et al. (2018), found certain vaccines could induce neuronal apoptosis in animal models [32, 33]. This raises the possibility of mRNA vaccines having similar effects. Nevertheless, the complexity of apoptosis demands deeper research to grasp the nuances of vaccine-triggered apoptosis.
Both genetic and hormonal elements play roles in these sex differences. Several studies have pinpointed sex-specific genetic variants linked to ASD, with particular genes on the X and Y chromosomes potentially causing a higher male prevalence [34]. The brain also exhibits sex-specific gene expression patterns and epigenetic changes, underlining the significance of sex chromosomes in brain function and growth.
Additionally, sex hormones like testosterone and estrogen significantly impact brain development. While prenatal testosterone exposure can elevate the risk of neurodevelopmental issues, estrogen might offer protection [35]. The interplay between hormones and genetic predisposition shapes the gender-based differences observed in neurodevelopmental outcomes.
Environmental factors, including prenatal stress, maternal immune activation, and chemical exposures, can interact with genetic and hormonal elements, leading to gender-specific susceptibilities in neurodevelopmental disorders. These environmental influences might differently impact males and females due to their interaction with genetic determinants, causing varying results.
Several studies shed light on how viral infections and vaccines affect the central nervous system. Bohmwald et al. (2022) highlight the importance of neurotrophins in the CNS function, with viral infections impairing their signaling [36]. Azoulay et al. (2020) underscore BDNF's role during recovery from SARS-CoV-2 infection [37], while Demir et al. (2022) delve into COVID-19’s prolonged cognitive effects and the possible involvement of BDNF [38]. These researches frame the wider implications of viral infections and vaccines on neurotrophic factors and cognitive outcomes.
Existing literature also reinforces the WNT pathway's significance in neurodevelopmental disorders. Bocchi et al. (2017) show how disrupted WNT signaling results in various neural impairments [39]. Cho et al. (2018) relate the PI3K-Akt-Wnt pathway to improvements in short-term memory after exercise [40]. Mulligan and Cheyette (2012) overview WNT signaling’s importance in vertebrate neural processes [41]. Lastly, Yi et al. (2012) illustrate the close relationship between BDNF expression and the WNT signaling pathway [42].
Research on autism spectrum disorder (ASD) provides insights into potential underlying mechanisms. Ma et al. (2023) studied the effects of reduced BDNF signaling on autism-like behaviors in mice [28]. Krumm et al. (2014) highlighted the intricate genetic aspects of ASD [43], and Dong et al. (2016) discussed the significance of the WNT pathway, particularly CTNNB1, in autism-related behaviors [44].
These studies underscore the importance of the WNT pathway and BDNF signaling in neurodevelopmental disorders, especially in light of observed autism-like behaviors in male rats post-COVID-19 mRNA vaccination. The reported reduction in neuronal counts in these male rats suggests possible vaccine-induced structural brain changes [36, 41, 45, 46].
However, drawing conclusions from animal models has its limitations, and human studies are essential to confirm these findings. Long-term studies on the effects of COVID-19 vaccination on neurodevelopment, especially considering potential gender differences, are needed [36].
The literature underscores the significance of neurotrophins and the WNT pathway in neurodevelopmental disorders and how viral infections affect the CNS. Bohmwald et al. (2022) and Azoulay et al. (2020) highlight neurotrophin signaling disruptions during viral infections like SARS-CoV-2 [36, 37]. Demir et al. (2022) link potential prolonged cognitive effects of COVID-19 to BDNF [38], emphasizing neurotrophins’ pivotal role in neurodevelopment.
The WNT pathway’s importance in neurodevelopment is evident. Bocchi et al. (2017) show that disrupted WNT signaling leads to neuronal migration issues and social behavior deficits [39]. Cho et al. (2018) connect the PI3K-Akt-Wnt pathway to exercise-induced memory enhancements [40]. Mulligan and Cheyette (2012) and Yi et al. (2012) delve into WNT signaling's crucial role in neural development and its interplay with BDNF [41, 42]. Such findings suggest that WNT pathway dysregulation might be linked to the behavioral changes seen in vaccinated male rats.
Research on ASD offers insights into mechanisms behind observed effects. Ma et al. (2023) emphasize BDNF's role in ASD through its impact on autism-like behaviors [28]. Krumm et al. (2014) detail ASD's intricate genetic factors [43, 47], while Dong et al. (2016) pinpoint CTNNB1, a WNT pathway component, in autism-related behaviors, reinforcing the WNT-ASD connection [44]. These studies enhance our comprehension of the molecular intricacies of neurodevelopmental disorders, particularly concerning the effects observed in vaccinated male rats.
In emphasizing the differences between adult and gestational animals, it's pivotal to highlight that our study's scope is limited to adult animals. The developmental stages, especially during gestation, involve a myriad of complex processes, which might respond differently to external factors, including vaccines. Thus, any implications or speculations about the effects on gestational animals based on our current data would be premature. The distinctions between adult and gestational impacts must be clearly delineated in future research to provide a holistic understanding of the vaccine’s effects across different developmental stages.
In our comprehensive analysis of the potential neurodevelopmental effects of the mRNA BNT162b2 vaccine, we conducted a two-way ANOVA to explore the combined effects of treatment and sex on social interaction behaviors and motor performance. The analysis did not demonstrate significant interaction effects between group and sex for the sociability test (F = 3.479; p = 0.068), social novelty (F = 0.666; p = 0.418), sociability index (F = 1.424; p = 0.239), or novelty index (F = 4.056; p = 0.050). These results suggest that the vaccine did not exhibit differential effects on these social behavior parameters when considering the sex of the subjects.
However, a notable exception was observed in the latency time to fall, where a significant group by sex interaction emerged (F = 5.059; p = 0.029). Specifically, in the prenatal BNT162b2 vaccine group, a pronounced disparity was detected between the sexes (p < 0.001), unlike in the saline control group (p = 0.907). This particular finding points to sex-specific effects of the vaccine on motor performance, which are evident in the vaccinated group but not in the saline group.
The absence of a significant sex-treatment interaction in most of the two-way ANOVA parameters might suggest that the overarching impact of the vaccine does not differ markedly between males and females regarding social behavior. Nonetheless, the distinct male-specific outcomes, especially in motor performance, necessitate further research. These results illuminate the complexity of the vaccine’s neurodevelopmental impacts and highlight the imperative for a nuanced interpretation.
However, the distinct outcomes observed in the male-only analysis point towards the necessity of further research, particularly focusing on sex-specific responses to the vaccine. While the vaccine’s influence appears not to be uniform across sexes, the significant male-specific effects observed, particularly in motor performance, are significant and warrant further exploration. These findings accentuate the necessity of future studies with larger sample sizes and more precise methodologies to dissect the intricacies of sex-specific responses to the vaccine. A deeper understanding of these effects is crucial for developing a comprehensive perspective on the vaccine's safety profile and its implications for neurodevelopmental health.
However, it’s vital to note these insights come primarily from animal studies, limiting their direct applicability to humans. Further human clinical research is required to confirm these findings. Longitudinal studies on the long-term impacts of COVID-19 vaccines, especially considering gender differences, are crucial to gauge vaccine safety and risks. Deepening our understanding of these neurobehavioral changes will guide intervention strategies and improve outcomes post-vaccination.
Conclusion
In conclusion, our study presents evidence that the COVID-19 mRNA BNT162b2 vaccine impacts the WNT pathway and BDNF levels in rats, with particularly pronounced effects observed in males. These male-specific outcomes, including autism-like behaviors, reduced neuronal counts, and impaired motor performance, emphasize the potential neurodevelopmental implications of the vaccine, aligning with existing literature on the roles of the WNT pathway and BDNF signaling in neurodevelopmental disorders.
It's imperative to recognize the limitations of our research, given that it relies on animal models. Caution should be exercised in generalizing these results to humans. Further rigorous clinical studies are required to confirm these observations in human populations and to ascertain the exact mechanisms at play.
Given the public health significance of understanding the effects of COVID-19 vaccination, especially during pregnancy, comprehensive studies are vital. These should weigh the benefits and potential risks of vaccination, focusing on ensuring optimal neurodevelopmental outcomes. Our findings underscore the importance of continued research in this domain to guarantee the safety and well-being of all individuals, especially those who are pregnant and their offspring.
In summary, this study provides valuable insights into the effects of the COVID-19 mRNA BNT162b2 vaccine on the WNT pathway and BDNF levels, particularly in relation to neurodevelopmental outcomes. The observed male-specific vulnerability and the convergence with existing literature support the involvement of these molecular pathways in neurodevelopmental disorders. However, further research is warranted to validate these findings in human populations and to unravel the complex mechanisms underlying the observed effects. The ultimate goal is to ensure the safety and well-being of individuals receiving COVID-19 vaccination, particularly during pregnancy, while minimizing potential risks to neurodevelopment.
Author Contributions
MAE and OE: conceived and designed research, formal analysis, wrote the manuscript, edited the text, Conceptualization. MAE, OG, MFB and OE: Data curation, conducted experiments, wrote the manuscript. All authors read and approved the manuscript.
Funding
Open access funding provided by the Scientific and Technological Research Council of Türkiye (TÜBİTAK). This research did not receive any specific grant from funding agencies in the public, commercial, or non-for-profit sectors.
Data Availability
The datasets supporting the conclusions of this article are included within the article and its additional files.
Code Availability
Not applicable.
Declarations
Conflict of interes
The authors declare that they have no conflicts of interest.
Ethical Approval
The Animal Ethics Committee of Demiroglu Science University authorized the experimental procedures used in this study (Approval no: 1823020911).
Consent to Participate
Not applicable.
Consent for Publication
Not applicable.
Footnotes
This article has been retracted. Please see the retraction notice for more detail:https://doi.org/10.1007/s11064-025-04492-x
Publisher's Note
Springer Nature remains neutral with regard to jurisdictional claims in published maps and institutional affiliations.
Change history
7/19/2025
This article has been retracted. Please see the Retraction Notice for more detail: 10.1007/s11064-025-04492-x
References
- 1.Zhou P, Yang XL, Wang XG, Hu B, Zhang L, Zhang W, Chen HD (2020) A pneumonia outbreak associated with a new coronavirus of probable bat origin. Nature 579(7798):270–273. 10.1038/s41586-020-2012-7 [DOI] [PMC free article] [PubMed] [Google Scholar]
- 2.Polack FP, Thomas SJ, Kitchin N, Absalon J, Gurtman A, Lockhart S, Kim J (2020) Safety and efficacy of the BNT162b2 mRNA Covid-19 vaccine. New Engl J Med 383(27):2603–2615. 10.1056/NEJMoa2034577 [DOI] [PMC free article] [PubMed] [Google Scholar]
- 3.Baden LR, El Sahly HM, Essink B, Kotloff K, Frey S, Novak R, Ramachandran S (2021) Efficacy and safety of the mRNA-1273 SARS-CoV-2 vaccine. New Engl J Med 384(5):403–416. 10.1056/NEJMoa2035389 [DOI] [PMC free article] [PubMed] [Google Scholar]
- 4.Walls AC, Park YJ, Tortorici MA, Wall A, McGuire AT, Veesler D (2020) Structure, function, and antigenicity of the SARS-CoV-2 spike glycoprotein. Cell 181(2):281-292.e6. 10.1016/j.cell.2020.02.058 [DOI] [PMC free article] [PubMed] [Google Scholar]
- 5.Li W, Moore MJ, Vasilieva N, Sui J, Wong SK, Berne MA, Choe H (2003) Angiotensin-converting enzyme 2 is a functional receptor for the SARS coronavirus. Nature 426(6965):450–454. 10.1038/nature02145 [DOI] [PMC free article] [PubMed] [Google Scholar]
- 6.Li X, Giorgi EE, Marichannegowda MH, Foley B, Xiao C, Kong XP, Korber B (2020) Emergence of SARS-CoV-2 through recombination and strong purifying selection. Sci Adv 6(27):eabb9153. 10.1126/sciadv.abb9153 [DOI] [PMC free article] [PubMed] [Google Scholar]
- 7.Brown AS, Derkits EJ (2010) Prenatal infection and schizophrenia: a review of epidemiologic and translational studies. Am J Psychiatry 167(3):261–280. 10.1176/appi.ajp.2009.09030361 [DOI] [PMC free article] [PubMed] [Google Scholar]
- 8.Calsolaro V, Edison P (2016) Neuroinflammation in Alzheimer’s disease: current evidence and future directions. Alzheimer’s Dement 12(6):719–732. 10.1016/j.jalz.2016.02.010 [DOI] [PubMed] [Google Scholar]
- 9.Dantzer R, O’Connor JC, Freund GG, Johnson RW, Kelley KW (2008) From inflammation to sickness and depression: when the immune system subjugates the brain. Nat Rev Neurosci 9(1):46–56. 10.1038/nrn2297 [DOI] [PMC free article] [PubMed] [Google Scholar]
- 10.Koyuncu OO, Hogue IB, Enquist LW (2013) Virus infections in the nervous system. Cell Host Microbe 13(4):379–393. 10.1016/j.chom.2013.03.010 [DOI] [PMC free article] [PubMed] [Google Scholar]
- 11.Sweeney MD, Zhao Z, Montagne A, Nelson AR, Zlokovic BV (2019) Blood-brain barrier: from physiology to disease and back. Physiol Rev 99(1):21–78. 10.1152/physrev.00050.2017 [DOI] [PMC free article] [PubMed] [Google Scholar]
- 12.Poyiadji N, Shahin G, Noujaim D, Stone M, Patel S, Griffith B (2020) COVID-19-associated acute hemorrhagic necrotizing encephalopathy: CT and MRI features. Radiology 296(2):E119–E120. 10.1148/radiol.2020201187 [DOI] [PMC free article] [PubMed] [Google Scholar]
- 13.Holtmaat A, Svoboda K (2009) Experience-dependent structural synaptic plasticity in the mammalian brain. Nat Rev Neurosci 10(9):647–658. 10.1038/nrn2699 [DOI] [PubMed] [Google Scholar]
- 14.Song E, Zhang C, Israelow B, Lu-Culligan WJ, Prado AV, Skriabine S, Vanderheiden A (2021) Neuroinvasion of SARS-CoV-2 in human and mouse brain. J Exp Med 218(3):e20202135. 10.1084/jem.20202135 [DOI] [PMC free article] [PubMed] [Google Scholar]
- 15.Wang L, Zhou T, Zhang Y, Yang ES, Schadt EE, Li Y (2021) Potential neurological impact of coronaviruses: implications for the novel SARS-CoV-2. J Alzheimer’s Dis 79(3):741–751. 10.3233/JAD-201704 [Google Scholar]
- 16.Voysey M, Clemens SAC, Madhi SA, Weckx LY, Folegatti PM, Aley PK, Baillie VL et al (2021) Safety and efficacy of the ChAdOx1 nCoV-19 vaccine (AZD1222) against SARS-CoV-2: an interim analysis of four randomised controlled trials in Brazil, South Africa, and the UK. The Lancet 397(10269):99–111. 10.1016/S0140-6736(20)32661-1 [DOI] [PMC free article] [PubMed] [Google Scholar]
- 17.Khoury DS, Cromer D, Reynaldi A, Schlub TE, Wheatley AK, Juno JA, Kent SJ et al (2021) Neutralizing antibody levels are highly predictive of immune protection from symptomatic SARS-CoV-2 infection. Nat Med 27(7):1205–1211. 10.1038/s41591-021-01377-8 [DOI] [PubMed] [Google Scholar]
- 18.Filatov A, Sharma P, Hindi F, Espinosa PS (2020) Neurological complications of coronavirus disease (COVID-19): encephalopathy. Cureus 12(3):e7352. 10.7759/cureus.7352 [DOI] [PMC free article] [PubMed] [Google Scholar]
- 19.Brüünsgaard H, Pedersen BK (2003) Age-related inflammatory cytokines and disease. Immunol Allergy Clin North Am 23(1):15–39. 10.1016/s0889-8561(02)00061-5 [DOI] [PubMed] [Google Scholar]
- 20.Han Y, Duan X, Yang L, Nilsson-Payant BE, Wang P, Duan F et al (2020) SARS-CoV-2 causes lung infection followed by systemic inflammation and organ damage in hamsters. bioRxiv. 10.1101/2020.12.11.41881832511403 [Google Scholar]
- 21.Erbas O et al (2018) Neurobehavioral effects of long-term maternal fructose intake in rat offspring. Int J Dev Neurosci 69:68–79 [DOI] [PubMed] [Google Scholar]
- 22.Moy SS, Nadler JJ, Young NB, Perez A, Holloway LP, Barbaro RP, Crawley JN et al (2004) Mouse behavioral tasks relevant to autism: phenotypes of 10 inbred strains. Behav Brain Res 153(1):403–410 [DOI] [PMC free article] [PubMed] [Google Scholar]
- 23.Ellegood J, Crawley JN (2015) Behavioral and cognitive mouse assays for autism: a survey of reproducibility and validity. Nat Methods 12(7):523–52925938372 [Google Scholar]
- 24.Erbaş O, Solmaz V, Karakilic A, Kaplan S (2013) Effects of the acute and chronic social isolation stress on the morphological and biochemical parameters in the limbic brain structures of rats. Cytotechnology 65(3):387–94. 10.1007/s10616-012-9487-1 [Google Scholar]
- 25.Carter RJ, Lione LA, Humby T, Mangiarini L, Mahal A, Bates GP, Dunnett SB (2001) Characterization of progressive motor deficits in mice transgenic for the human Huntington’s disease mutation. J Neurosci 21(24):961–966 [DOI] [PMC free article] [PubMed] [Google Scholar]
- 26.Zhang CQ, Wu QF, Hu R, He XJ, Lu YQ, Zhang JM, Sun ZJ et al (2019) Evaluation of exercise-induced fatigue using nonlinear analysis of EMG signals in rats. J Muscle Res Cell Motil 40(1):59–7130945134 [Google Scholar]
- 27.Bradford MM (1976) A rapid and sensitive method for the quantitation of microgram quantities of protein utilizing the principle of protein-dye binding. Anal Biochem 72:248–254 [DOI] [PubMed] [Google Scholar]
- 28.Ma K, Taylor C, Williamson M, Newton SS, Qin L (2023) Diminished activity-dependent BDNF signaling differentially causes autism-like behavioral deficits in male and female mice. Front Psych 14:1182472 [DOI] [PMC free article] [PubMed] [Google Scholar]
- 29.Smith N, Rodriguez ET, Zerbo O, Forshee RA, Ailes EC, Irving SA, Naleway AL (2018) Comparative effects of influenza vaccination during pregnancy on adverse birth outcomes. Vaccine 36(43):6356–6361 [Google Scholar]
- 30.Jones CE, Ní Ghráinne M, O’Neill R, Martinez EC (2020) The influence of timing of maternal combined tetanus, diphtheria, and acellular pertussis (Tdap) immunization during pregnancy on infant antibody responses in the UK, Ireland, and Belgium: an observational study. Clin Infect Dis 70(3):417–425 [Google Scholar]
- 31.Wyllie DJ (2010) Apoptosis and glial cells: no pain, no gain. J Neuropathol Exp Neurol 69(6):525–539 [Google Scholar]
- 32.Wang H, Zhao M, Sun Z, Sun C, Zhu Q, Kong L, Liu Y et al (2015) Neuronal apoptosis in the developing brain of mice vaccinated with either whole-cell or acellular pertussis vaccines. Microb Pathog 86:47–52 [Google Scholar]
- 33.Zhang Y, Liu J, Zhang J, Xia Y, Xu Q, Li X, Zheng J et al (2018) Neuronal apoptosis and inflammatory responses in the central nervous system of a mouse model of pertussis. Cell Physiol Biochem 45(1):85–98 [Google Scholar]
- 34.Werling DM, Geschwind DH (2013) Sex differences in autism spectrum disorders. Curr Opin Neurol 26(2):146–153 [DOI] [PMC free article] [PubMed] [Google Scholar]
- 35.Baron-Cohen S, Auyeung B, Nørgaard-Pedersen B, Hougaard DM, Abdallah MW, Melgaard L, Schendel D et al (2014) Elevated fetal steroidogenic activity in autism. Mol Psychiatr 20(3):369–376 [DOI] [PMC free article] [PubMed] [Google Scholar]
- 36.Bohmwald K, Andrade CA, Mora VP, Muñoz JT, Ramírez R, Rojas MF, Kalergis AM (2022) Neurotrophin signaling impairment by viral infections in the central nervous system. Int J Mol Sci 23(10):5817 [DOI] [PMC free article] [PubMed] [Google Scholar]
- 37.Azoulay D, Shehadeh M, Chepa S, Shaoul E, Baroum M, Horowitz NA, Kaykov E (2020) Recovery from SARS-CoV-2 infection is associated with serum BDNF restoration. J Infect 81(3):e79–e81 [DOI] [PMC free article] [PubMed] [Google Scholar]
- 38.Demir B, Beyazyüz E, Beyazyüz M, Çelikkol A, Albayrak Y (2022) Long-lasting cognitive effects of COVID-19: is there a role of BDNF? Eur Arch Psychiatr Clin Neurosci 273:1339–1347 [DOI] [PMC free article] [PubMed] [Google Scholar]
- 39.Bocchi R, Egervari K, Carol-Perdiguer L et al (2017) Perturbed Wnt signaling leads to neuronal migration delay, altered interhemispheric connections and impaired social behavior. Nat Commun 8:1158. 10.1038/s41467-017-01046-w [DOI] [PMC free article] [PubMed] [Google Scholar]
- 40.Cho JW, Jung SY, Kim DY, Chung YR, Choi HH, Jeon JW, Han JH (2018) PI3K-Akt-Wnt pathway is implicated in exercise-induced improvement of short-term memory in cerebral palsy rats. Int Neurourol J 22(Suppl 3):S156 [DOI] [PMC free article] [PubMed] [Google Scholar]
- 41.Mulligan KA, Cheyette BN (2012) Wnt signaling in vertebrate neural development and function. J Neuroimmune Pharmacol 7:774–787 [DOI] [PMC free article] [PubMed] [Google Scholar]
- 42.Yi H, Hu J, Qian J, Hackam AS (2012) Expression of brain-derived neurotrophic factor (BDNF) is regulated by the Wnt signaling pathway. NeuroReport 23(3):189 [DOI] [PMC free article] [PubMed] [Google Scholar]
- 43.Krumm N, O’Roak BJ, Shendure J, Eichler EE (2014) A de novo convergence of autism genetics and molecular neuroscience. Trends Neurosci 37(2):95–105 [DOI] [PMC free article] [PubMed] [Google Scholar]
- 44.Dong F, Jiang J, McSweeney C, Zou D, Liu L, Mao Y (2016) Deletion of CTNNB1 in inhibitory circuitry contributes to autism-associated behavioral defects. Hum Mol Genet 25(13):2738–2751 [DOI] [PMC free article] [PubMed] [Google Scholar]
- 45.Seneff S, Nigh G, Kyriakopoulos AM, McCullough PA (2022) Innate immune suppression by SARS-CoV-2 mRNA vaccinations: The role of G-quadruplexes, exosomes, and MicroRNAs. Food Chem Toxicol 164:113008 [DOI] [PMC free article] [PubMed] [Google Scholar]
- 46.Abramczyk H, Brozek-Pluska B, Beton K (2022) Decoding COVID-19 mRNA Vaccine Immunometabolism in Central Nervous System: human brain normal glial and glioma cells by Raman imaging. bioRxiv 373:2020 [Google Scholar]
- 47.Kyriakopoulos AM, McCullough PA, Nigh G, Seneff S (2022) Potential mechanisms for human genome integration of genetic code from SARS-CoV-2 mRNA vaccination: implications for disease. J Neurol Disord 10:519 [Google Scholar]
Associated Data
This section collects any data citations, data availability statements, or supplementary materials included in this article.
Data Availability Statement
The datasets supporting the conclusions of this article are included within the article and its additional files.
Not applicable.


