Abstract
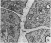
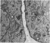
The effect of ice encasement on the physiological, metabolic, and ultrastructural properties of winter wheat (Triticum aestivum L.) grown under field conditions was examined by artificially encasing winter wheat in ice during early winter. Cold hardiness and survival of ice-encased seedlings declined less rapidly in Kharkov, a cold-hardy cultivar than in Fredrick, a less hardy cultivar. Ethanol did not accumulate in non-iced seedlings, but increased rapidly upon application of an ice sheet. Lactic acid accumulated in both cultivars during late autumn, prior to ice encasement, and elevated levels of lactic acid were maintained throughout the winter in seedlings from both iced and non-iced plots. The rate of O2 consumption of shoot tissue of seedlings from non-iced plots remained relatively constant throughout the winter, but declined rapidly in seedlings from ice encased plots. Major ultrastructural changes did not occur in shoot apex cells of non-iced winter wheat seedlings during cold hardening under field conditions. However, the imposition of an ice cover in early January resulted in a proliferation of the endoplasmic reticulum membrane system of the cells, frequently resulting in the formation of concentric whorls of membranes, often enclosing cytoplasmic organelles. Electrondense areas within the cytoplasm which appeared to be associated with the expanded endoplasmic reticulum were also frequently observed.
Full text
PDF





Images in this article
Selected References
These references are in PubMed. This may not be the complete list of references from this article.
- Andrews C. J., Pomeroy M. K. Mitochondrial Activity and Ethanol Accumulation in Ice-encased Winter Cereal Seedlings. Plant Physiol. 1977 Jun;59(6):1174–1177. doi: 10.1104/pp.59.6.1174. [DOI] [PMC free article] [PubMed] [Google Scholar]
- Platt-Aloia K. A., Thomson W. W. An ultrastructural study of two forms of chilling-induced injury to the rind of grapefruit (Citrus paradisi, Macfed). Cryobiology. 1976 Feb;13(1):95–106. doi: 10.1016/0011-2240(76)90164-4. [DOI] [PubMed] [Google Scholar]
- Podibelkowska M., Zarska-Maciejewska B., Kacperska-Palacz A. Morphology of protoplast as affected by an inhibition of respiration. Protoplasma. 1975;83(3):201–208. doi: 10.1007/BF01282553. [DOI] [PubMed] [Google Scholar]
- Pomeroy M. K., Andrews C. J. Effect of Temperature on Respiration of Mitochondria and Shoot Segments from Cold hardened and Nonhardened Wheat and Rye Seedlings. Plant Physiol. 1975 Nov;56(5):703–706. doi: 10.1104/pp.56.5.703. [DOI] [PMC free article] [PubMed] [Google Scholar]






