Abstract
Background
Acute respiratory disease (ARD) events are often thought to be airway-disease related, but some may be related to quantitative interstitial abnormalities (QIAs), which are subtle parenchymal abnormalities on CT scans associated with morbidity and mortality in individuals with a smoking history.
Purpose
To determine whether QIA progression at CT is associated with ARD and severe ARD events in individuals with a history of smoking.
Materials and Methods
This secondary analysis of a prospective study included individuals with a 10 pack-years or greater smoking history recruited from multiple centers between November 2007 and July 2017. QIA progression was assessed between baseline (visit 1) and 5-year follow-up (visit 2) chest CT scans. Episodes of ARD were defined as increased cough or dyspnea lasting 48 hours and requiring antibiotics or corticosteroids, whereas severe ARD episodes were those requiring an emergency room visit or hospitalization. Episodes were recorded via questionnaires completed every 3 to 6 months. Multivariable logistic regression and zero-inflated negative binomial regression models adjusted for comorbidities (eg, emphysema, small airway disease) were used to assess the association between QIA progression and episodes between visits 1 and 2 (intercurrent) and after visit 2 (subsequent).
Results
A total of 3972 participants (mean age at baseline, 60.7 years ± 8.6 [SD]; 2120 [53.4%] women) were included. Annual percentage QIA progression was associated with increased odds of one or more intercurrent (odds ratio [OR] = 1.29 [95% CI: 1.06, 1.56]; P = .01) and subsequent (OR = 1.26 [95% CI: 1.05, 1.52]; P = .02) severe ARD events. Participants in the highest quartile of QIA progression (≥1.2%) had more frequent intercurrent ARD (incidence rate ratio [IRR] = 1.46 [95% CI: 1.14, 1.86]; P = .003) and severe ARD (IRR = 1.79 [95% CI: 1.18, 2.73]; P = .006) events than those in the lowest quartile (≤−1.7%).
Conclusion
QIA progression was independently associated with higher odds of severe ARD events during and after radiographic progression, with higher frequency of intercurrent severe events in those with faster progression.
Clinical trial registration no. NCT00608764
© RSNA, 2024
Supplemental material is available for this article.
See also the editorial by Little in this issue.
Summary
In individuals with a history of smoking, progression of quantitative interstitial abnormalities at CT was associated with severe acute respiratory events, independent of comorbidities such as emphysema and small airway disease.
Key Results
■ In this secondary analysis of a prospective study including 3972 participants with a history of smoking, quantitative interstitial abnormality progression at longitudinal CT was associated with higher odds of severe acute respiratory disease (ARD) events requiring an emergency room or hospital visit during and after radiographic progression (odds ratio = 1.29 [95% CI: 1.06, 1.56] and 1.26 [95% CI: 1.05, 1.52]; P = .01 and .02, respectively).
■ Those in the highest quartile of quantitative interstitial abnormality progression had more frequent ARD events during radiographic progression (incidence rate ratio = 1.46 [95% CI: 1.14, 1.86]; P = .003).
Introduction
Quantitative interstitial abnormalities (QIAs; previously called interstitial features) are a summative measure of subtle parenchymal features detected by an automated machine learning–based method and are reported as a continuous percentage of CT lung volume (1–3). QIA is measured with a local histogram classification approach, which employs a k-nearest neighbors classifier using the local histogram density measurements combined with the distance from the pleural surface, to identify features on inspiratory CT scans (1). The classifier was initially trained on points visually identified as ground-glass opacities, centrilobular nodules, nodularity, reticulation, linear scarring, subpleural lines, and honeycombing. QIA is associated with decreased lung function at spirometry, reduced exercise capacity, increased respiratory symptoms, and death (1–3). Risk factors for QIA progression include advanced age, female sex, smoking, and the MUC5B polymorphism, which is associated with familial interstitial pneumonia and idiopathic pulmonary fibrosis (1–4). Longitudinal progression of QIA is associated with a faster decline in forced vital capacity, decline in 6-minute walk distance, and increased risk of all-cause mortality (4). Given shared risk factors and radiologic features, QIA is likely a precursor to pulmonary fibrosis or emphysema in some patients.
For patients with idiopathic pulmonary fibrosis or chronic obstructive pulmonary disease (COPD), one driver of disease progression is acute exacerbations (5,6). Given that QIA and advanced lung diseases are associated with some similar risk factors, there may also be a relationship between acute exacerbation-like events and QIA progression. All people with a history of smoking can have episodes of acute respiratory disease (ARD), which include increased cough and phlegm or shortness of breath that lasts for 48 hours or more and requires corticosteroids or antibiotics (7). Alternatively, the term severe ARD describes episodes that require hospitalization or an emergency room visit. In patients with an underlying diagnosis of COPD and small airways disease, these events are commonly called COPD exacerbations. However, ARD events are present even in people with a smoking history without COPD who show no spirometric obstruction or emphysema at imaging (7–9). In all people with a smoking history, these acute episodes are associated with morbidity and mortality (10,11), including lung function decline (8–12).
Although many ARD events are likely related to airways disease and COPD, some may instead be associated with QIA. Thus, the aim of the current study was to determine whether QIA progression at CT is associated with ARD and severe ARD events in individuals with a history of smoking.
Materials and Methods
Study Design and Participants
This was a secondary analysis of the prospective observational COPDGene Study (ClinicalTrials.gov: NCT00608764) (13) that enrolled 10 198 individuals with a history of smoking from 21 centers in the United States. Inclusion criteria included participant age of 45–80 years, a 10 pack-years or greater smoking history, and self-reported race of non-Hispanic Black or non-Hispanic White. Participants with a history of lung diseases other than COPD and asthma or with interstitial lung disease or bronchiectasis observed at baseline CT were excluded. This study was approved by the institutional review board at all study centers. Additional details are included in Appendix S1.
At baseline visit 1 (November 2007–April 2011) and visit 2 approximately 5 years later (February 2013–July 2017), CT scans and questionnaires, serum laboratory measurements, and spirometry were collected (1,14). ARD and severe ARD events were measured through a longitudinal follow-up program, which conducted questionnaires every 3 to 6 months in between visits 1 and 2 and after visit 2, as previously described (15,16).
Definitions of Terms
Each episode of increased cough and phlegm or shortness of breath that lasted for 48 hours or more and was treated with corticosteroids or antibiotics was classified as an ARD event, and each of these episodes that required hospitalization or an emergency room visit was classified as a severe ARD event (7). QIA and emphysema progression were defined broadly as any increase in amount of QIA and emphysema between visits 1 and 2.
Image Analysis
The percentage of the lung containing QIA and emphysema was assessed using an artificial intelligence model of k-nearest neighbors classifiers of local density histograms and distances from the pleural surface as features on the inspiratory CT scans (200 mA), as previously described and included in Appendix S1 (1,17). Briefly, the radiologic features identified as ground-glass opacities, centrilobular nodules, nodularity, reticulation, linear scarring, subpleural lines, and honeycombing were summed to arrive at the percentage of lung occupied by QIA. Additionally, the radiologic features identified as centrilobular and paraseptal emphysema were summed to arrive at the percentage of lung occupied by emphysema.
For this study, the difference in QIA between visits 1 and 2 was divided by the number of years between the two visits to get an annualized rate of change, acknowledging that progression may not be entirely linear. The annualized rate of progression was similarly calculated for emphysema.
The small conducting airways, where airflow limitation occurs in individuals who smoke, are too small for current standard CT imaging to depict, but several quantitative CT airway metrics are used as surrogates to identify airways disease in a research setting. Two well-described and validated CT-based airway metrics of airway disease from COPDGene were used: the average wall thickness for a hypothetical airway of 10-mm internal lumen perimeter at CT as a measurement of airway wall thickening, or Pi10 (Thirona Software) (18), and the quantitative density measurement of air trapping on localized parametric response mapping of paired inspiratory and expiratory CT scans as a measurement of functional small airways disease, or PRMfSAD (Thirona Software) (19,20).
Statistical Analysis
Continuous annual rates of QIA and emphysema progression served as independent variables in multivariable logistic regression models and zero-inflated negative binomial models. Quartiles of QIA progression served as independent variables in zero-inflated negative binomial models. Multivariable logistic regression models were used to determine the odds of any (one or more) ARD and any severe ARD events. Multivariable zero-inflated negative binomial models were used to determine the incidence rate ratios (IRRs) based on the number of episodes of ARD and severe ARD events within each time period to understand the frequency of events. To understand any differences in the events that occurred during the period in which radiographic progression was assessed (intercurrent) and those that occurred after progression (subsequent), the association of QIA and emphysema progression on events that occurred between visits 1 and 2 and after visit 2 was assessed separately. All models were adjusted for age; sex; race; history of exacerbations in the year before enrollment; baseline QIA, emphysema, smoking status, pack-years, body mass index (calculated as weight in kilograms divided by height in meters squared), and forced expiratory volume in 1 second; and change in emphysema, smoking status, body mass index, forced expiratory volume in 1 second, and scanner manufacturer. Analyses of intercurrent and subsequent events were adjusted for gastroesophageal reflux disease, treatment with proton-pump inhibitor and/or histamine H2 antagonist, and Pi10 and PRMfSAD at visits 1 and 2, respectively, based on findings from prior work (21,22). Given that many individuals who smoke have coexisting vascular disease, and because ARD events have similar initial manifestations to cardiac events, secondary analysis was performed with models adjusted for coronary artery disease, congestive heart failure, diabetes, hypertension, and high cholesterol. Finally, additional models were adjusted for total CT lung volume.
All statistical tests were two sided, and P < .05 was considered to indicate a statistically significant difference. All analyses were performed by one author (B.C.) using R software (version 4.0.3; R Project for Statistical Computing) (23) and RStudio software (version 2021.09.0; Posit) (24).
Results
Participant Characteristics
The COPDGene Study consisted of 10 198 participants at the baseline visit, of whom 6284 returned for a follow-up visit and 3914 either died or did not return for follow-up (Fig 1). Of the participants who returned for a follow-up visit, 5288 received assessment of longitudinal follow-up, 3972 of whom had CT scans from baseline and follow-up. There were 3972 participants (mean age at baseline, 60.7 years ± 8.6 [SD]; 2120 [53.4%] women, 1852 [46.6%] men) with complete data available for analysis (Fig 1), of whom 949 (23.9%) self-reported as non-Hispanic Black and 3023 (76.1%) as non-Hispanic White (Table 1). A total of 1734 of 3972 (43.7%) participants were current smokers, with a mean smoking history of 42.4 pack-years ± 23.1, and the mean body mass index at baseline was 29.1 kg/m2 ± 6.1. Participants had a mean QIA of 6.0% ± 4.5 (Fig 2), mean emphysema of 7.0% ± 13.0, mean Pi10 of 2.3 mm ± 0.6, and mean PRMfSAD of 15.6% ± 12.0. The baseline characteristics of participants with and those without QIA progression are shown in Table S1; participants with progression had a mean of 5.2% ± 3.3 QIA at visit 1, of which 4.5% ± 3.0 (84.9% of QIA) was reticulation, and a mean of 7.7% ± 5.1 QIA at visit 2, of which 6.6% ± 4.6 (85.7% of QIA) was reticulation. Quartiles of QIA progression are shown in Table S2.
Figure 1:

Consolidated Standards of Reporting Trials, or CONSORT, flow diagram of participant inclusion criteria. QIA = quantitative interstitial abnormality.
Table 1:
Participant Characteristics at Visit 1 and Visit 2
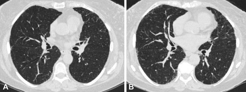
Figure 2:
Axial chest CT scans (0.75-mm section thickness, reconstructed with b31f kernel; Siemens Medical Solutions) at (A) visit 1 and (B) visit 2 at the level of the takeoff of the right middle bronchus of a participant with 1.2 annual percentage quantitative interstitial abnormality progression. The female participant was 62 years old at visit 1 and 67 years old at visit 2 and a current smoker at both visits, with a 47.5 pack-year history at visit 2. This participant had four subsequent acute respiratory disease (ARD) events and three subsequent severe ARD events.
Episodes of ARD
Between visits 1 and 2, 1394 of 3972 (35.1%) participants had one or more ARD events, with mean events of 4.4 ± 4.6 (Table 2, Fig 3). During that period, 627 of 3972 (15.8%) participants had one or more severe ARD events, and those who did had a mean of 2.6 events ± 2.6. After visit 2, 1578 of 3972 (39.7%) participants had one or more ARD events (mean events, 3.9 ± 4.1), and 882 of 3972 (22.2%) participants had one or more severe ARD events (mean events, 2.7 ± 2.6).
Table 2:
Participant Characteristics between Visits 1 and 2 and after Visit 2
Figure 3:
Schematic shows the measurement of quantitative interstitial abnormality (QIA) progression at CT between visits 1 and 2 and the relative measurements of intercurrent acute respiratory disease (ARD) and subsequent ARD events by means of the longitudinal follow-up (LFU) program questionnaires. Dotted lines for LFU visits are provided as examples; they are not to scale, and not all LFU visits are shown. These questionnaires were conducted every 3 to 6 months between visits 1 and 2 and after visit 2, and they were used to evaluate ARD events and severe ARD events. Intercurrent events are those that occurred during the measurement of QIA progression or between visits 1 and 2; subsequent events are those that occurred after the measurement of QIA progression or after visit 2.
Association of Episodes with QIA or Emphysema Progression
QIA progression was associated with severe ARD events both intercurrently (between visits 1 and 2) and subsequently (after visit 2). Between visits 1 and 2, each annual percentage progression of QIA was associated with 29% higher odds of having one or more intercurrent severe ARD events (odds ratio [OR] = 1.29 [95% CI: 1.06, 1.56]; P = .01) (Table 3, Fig 4). After visit 2, each annual percentage progression of QIA was associated with 18% higher odds of having one or more subsequent ARD event (OR = 1.18 [95% CI: 1.00, 1.40]; P = .05) and 26% higher odds of having one or more subsequent severe ARD event (OR = 1.26 [95% CI: 1.05, 1.52]; P = .02). For emphysema, each annual percentage increase between visits 1 and 2 was associated with 11% higher odds of having one or more intercurrent ARD event (OR = 1.11 [95% CI: 1.03, 1.20]; P = .005) but no evidence of an association was observed with ARD events after visit 2. Furthermore, no evidence of an association was observed between emphysema progression and severe ARD events intercurrently or subsequently.
Table 3:
Multivariable Logistic Regression Analysis Assessing the Association of Any ARD Event and Severe ARD Event with QIAs and Emphysema Progression at CT
Figure 4:
Forest plot shows odd ratios (ORs) of acute respiratory disease (ARD) events and severe ARD events per annual rate of percentage quantitative interstitial abnormality (QIA) and emphysema progression. The annual rate of progression was defined as the increase in percentage of QIA or emphysema between visits 1 and 2, divided by the number of years between visits 1 and 2, respectively. ORs were calculated using an adjusted multivariable logistic regression analysis. Circles represent the ORs, and whiskers represent the 95% CIs. The vertical dotted line represents OR of 1.00.
Faster QIA progression was also associated with an increased frequency of ARD events. In the multivariable zero-inflated negative binomial models, for every 1% higher QIA progression per year, there was a 40% higher rate of intercurrent severe ARD events (IRR = 1.40 [95% CI: 1.09, 1.79]; P = .009) (Table S3). When stratified by quartile, participants in the highest quartile of annual QIA progression (≥1.2%) had 46% more frequent intercurrent ARD events (IRR = 1.46 [95% CI: 1.14, 1.86]; P = .003) and 79% more frequent intercurrent severe ARD events (IRR = 1.79 [95% CI: 1.18, 2.73]; P = .006) than those in the lowest quartile (≤−1.7%) (Table 4). No evidence of an association between emphysema progression and a higher frequency of ARD or severe ARD events during either time period was observed (Table S3). Complete models are shown in Tables S4–S9.
Table 4:
Zero-inflated Negative Binomial Analysis Assessing the Association of ARD and Severe ARD Events Between Visits 1 and 2 with Quartiles of QIAs Progression Measured at CT
In models adjusted for coronary artery disease, congestive heart failure, diabetes, hypertension, and high cholesterol, annual percentage progression of QIA remained associated with higher odds of an intercurrent severe ARD event (OR = 1.28 [95% CI: 1.05, 1.55]; P = .01) and a subsequent severe ARD event (OR = 1.24 [95% CI: 1.03, 1.49]; P = .03) (Tables S10, S11). In models adjusted for total lung volume, annual percentage progression of QIA remained associated with higher odds of an intercurrent severe ARD event (OR = 1.24 [95% CI: 1.01, 1.52]; P = .04) and a subsequent severe ARD event (OR = 1.26 [95% CI: 1.26, 1.55]; P = .02) (Table S12); participants in the highest quartile of annual QIA progression rate had more frequent intercurrent ARD events (IRR = 1.50 [95% CI: 1.15, 1.96]; P = .003) and 79% more frequent intercurrent severe ARD events (IRR = 1.83 [95% CI: 1.17, 2.84]; P = .008) than those in the lowest quartile (Table S13).
Discussion
Acute respiratory disease (ARD) events are often thought to be associated with airway disease, but some may be associated with quantitative interstitial abnormalities (QIAs), which are subtle parenchymal abnormalities on CT scans associated with morbidity and mortality in individuals with a smoking history. Our study aimed to determine whether QIA progression at CT was associated with ARD and severe ARD events in individuals with a history of smoking. In models adjusted for contributing comorbidities, including emphysema, spirometric obstruction, small airways disease (airway wall thickness standardized for an airway with internal perimeter of 10 mm, functional small airways disease measured by parametric response mapping), smoking status, treated and untreated gastroesophageal reflux disease, and cardiac risk factors, we found that QIA progression was independently associated with increased odds of one or more severe ARD events, both intercurrently (during the time of radiographic progression) and subsequently (after radiographic progression) (odds ratio [OR] = 1.29 [95% CI: 1.0, 1.56]; P = .01 and OR = 1.26 [95% CI: 1.05, 1.52]; P = .02, respectively). Additionally, greater QIA progression was associated with more frequent ARD and severe ARD events intercurrently (incidence rate ratio [IRR] = 1.46 [95% CI: 1.14, 1.86]; P = .003 and IRR = 1.79 [95% CI: 1.18, 2.73]; P = .006, respectively).
Prior work showed that QIA is a sensitive measure that encompasses several heterogeneous CT features that collectively have detrimental clinical impact (1–4,25–28). The association of QIA progression with acute events in the intercurrent period suggests that some QIAs represent areas of active disease and inflammation, and the association with events in the subsequent period suggests QIAs may additionally represent irreversible changes that continue to cause symptoms and exacerbations after radiographic progression. These findings support the notion that QIAs encapsulate several different smoking-related processes with heterogeneous radiographic findings (the concept of “dirty chest”) (29) and progression, as well as variations in clinical course.
Interestingly, the effect sizes of the associations between emphysema progression and ARD events were smaller compared with QIA progression and ARD events and were also limited to the intercurrent period and nonsevere events. Prior work has shown that interstitial lung abnormality progression compared with emphysema progression measured with a deep learning approach is associated with higher mortality (30). Our findings suggest that even with shared risk factors and clinical similarities, QIA is a parenchymal CT entity distinct from small airways disease and emphysema, with important clinical implications.
A recent study using micro-CT and histologic examination found that patients with idiopathic pulmonary fibrosis have disease in the small airways, including airway wall thickening and luminal distortion, when compared with controls (31). This study suggests that idiopathic pulmonary fibrosis is not just an alveolar and interstitial disease but that its pathogenesis may be more multifaceted and involve the terminal bronchioles as well. The role of small airway disease is not clear yet in participants with QIA, who have a smoking history and CT abnormalities but no diagnosis of idiopathic pulmonary fibrosis or interstitial lung disease.
This study had limitations. First, as this is a prospective longitudinal observational study, we cannot conclude a causal relationship with certainty. There were multiple steps for quality control and harmonization of the scans across participants and between visits, but residual differences contributing to bias may remain. Second, QIA progression was studied as a continuous measure, and a minimal clinically important difference value has not been defined. Although we adjusted for many confounders, including underlying gastroesophageal reflux disease, cardiac disease, or obesity, unmeasured confounders may remain, including additional extrapulmonary or incidental causes of atelectasis, such as neurologic deficits. Third, ARD events were measured by questionnaires every 3–6 months, raising potential for recall bias. Fourth, although we adjusted for many possible covariates and used the zero-inflated negative binomial model to account for frequent zeros and the widely dispersed data, we may have nonetheless lost some temporal information on the relationship between QIA progression and ARD events given the large time span. Fifth, we did not have clinical information from the time of each ARD or severe ARD event, which would have allowed for adjudication of events. Last, as these analyses were performed in one cohort, they should be replicated in other cohorts.
In conclusion, we found that quantitative interstitial abnormality (QIA) progression is associated with higher odds of severe acute respiratory disease (ARD) events both during the time of radiographic progression, with higher incidence in those with faster progression, and after radiographic progression. These results suggest that QIA progression may represent changes in several parenchymal processes that have short-term intercurrent as well as long-term subsequent impacts on patient symptoms and exacerbations. Future studies incorporating mechanistic and omics data may be used to gain biologic and clinical insight into the associations of QIA and severe ARD events, and future studies should use micro-CT imaging to understand the role of the small airways in QIA progression. Severe ARD events may be a sign of disease activity and a source of morbidity at the earliest stages of parenchymal lung injury, and thus, some patients with QIA progression may merit more aggressive monitoring and earlier intervention.
The COPDGene Study (NCT00608764) is supported by National Heart, Lung, and Blood Institute (U01 HL089897 and U01 HL089856) and by the COPD Foundation through contributions made to an industry advisory board composed of AstraZeneca, Bayer Pharmaceuticals, Boehringer-Ingelheim, Genentech, GlaxoSmithKline, Novartis, Pfizer, and Sunovion.
Disclosures of conflicts of interest: B.C. Grants from NIH NLHBI (F32-HL167486) and the American Lung Association; consulting fees from Quantitative Imaging Solutions unrelated to this work. A.A.D. Grants from National Heart, Lung, and Blood Institute (R01-HL149861, R01-HL164824); pending patent for Methods and Compositions Relating to Airway Dysfunction at the U.S. patents and trademark office. Ruben San José Estépar No relevant relationships. N.E. No relevant relationships. V.C. No relevant relationships. M.K.H. Institution received grant from NIH and Novartis, Sunovion, Nuvaira, Sanofi, AstraZeneca, Boehringer Ingelheim, Gala Therapeutics, Biodesix, the COPD Foundation, and the American Lung Association; author received royalties or licenses from UptoDate, WW Norton; consulting fees from GlaxoSmithKline, AstraZeneca, Boehringer Ingelheim, Cipla, Chiesi, Novartis, Pulmonx, Teva, Verona, Merck, Mylan, Sanofi, Roche, DevPro, Aerogen, Polarian, Regeneron, Amgen, Altesa Biopharma; payment or honoraria from Medscape, NACE, MDBriefcase, Integrity, and Medwi; institution received funds for participation on a Data Safety Monitoring Board or Advisory Board from Novartis and Medtronic; board member of COPD Foundation; stock in Altesa and Meissa vaccines. G.R.W. Grants from NHLBI (P01-HL114501, R01-HL116931), Department of Defense, and Boehringer-Ingelheim; author received consultancy fees from Vertex Pharmaceuticals and Intellia Therapeutics, advisory board fees from Pieris Therapeutics and Sanofi/Regeneron; travel support for advisory board from Sanofi/Regeneron; is a cofounder and equity share holder in Quantitative Imaging Solutions, a company that provides consulting services for image and data analytics; spouse works for Biogen. Raúl San José Estépar Grants from NHLBI (R01-HL116931, R21-HL140422, R01-HL149877); author received contract to serve as Image Core for a study for a study from Lung Biotechnology and Insmed and sponsored research agreement from Boehringer Ingelheim; consulting fees from LeukoLabs; three patents for Lung Cancer Risk Prediction space; board member of Fundacion M+Vision; co-founder and stock holder in the imaging analytics company in the lung cancer space (Quantitative Imaging Solutions). S.Y.A. Grant from NHLBI (K08HL145118) Pulmonary Fibrosis Foundation; consulting fees from Vertex Pharmaceuticals, Verona Pharmaceuticals, Triangulate Knowledge; one patent related to automated CT analysis and lung cancer prediction; scientific advisor/ownerships for Quantitative Imaging Solutions.
Abbreviations:
- ARD
- acute respiratory disease
- COPD
- chronic obstructive pulmonary disease
- IRR
- incidence rate ratio
- OR
- odds ratio
- QIA
- quantitative interstitial abnormality
References
- 1. Ash SY , Harmouche R , Ross JC , et al . The Objective Identification and Quantification of Interstitial Lung Abnormalities in Smokers . Acad Radiol 2017. ; 24 ( 8 ): 941 – 946 . [DOI] [PMC free article] [PubMed] [Google Scholar]
- 2. Ash SY , Harmouche R , Putman RK , et al . Clinical and Genetic Associations of Objectively Identified Interstitial Changes in Smokers . Chest 2017. ; 152 ( 4 ): 780 – 791 . [DOI] [PMC free article] [PubMed] [Google Scholar]
- 3. Ash SY , Harmouche R , Ross JC , et al . Interstitial Features at Chest CT Enhance the Deleterious Effects of Emphysema in the COPDGene Cohort . Radiology 2018. ; 288 ( 2 ): 600 – 609 . [DOI] [PMC free article] [PubMed] [Google Scholar]
- 4. Choi B , Adan N , Doyle TJ , et al . Quantitative Interstitial Abnormality Progression and Outcomes in the Genetic Epidemiology of COPD and Pittsburgh Lung Screening Study Cohorts . Chest 2023. ; 163 ( 1 ): 164 – 175 . [DOI] [PMC free article] [PubMed] [Google Scholar]
- 5. Song JW , Hong SB , Lim CM , Koh Y , Kim DS . Acute exacerbation of idiopathic pulmonary fibrosis: incidence, risk factors and outcome . Eur Respir J 2011. ; 37 ( 2 ): 356 – 363 . [DOI] [PubMed] [Google Scholar]
- 6. Collard HR , Ryerson CJ , Corte TJ , et al . Acute Exacerbation of Idiopathic Pulmonary Fibrosis. An International Working Group Report . Am J Respir Crit Care Med 2016. ; 194 ( 3 ): 265 – 275 . [DOI] [PubMed] [Google Scholar]
- 7. Bowler RP , Kim V , Regan E , et al . Prediction of acute respiratory disease in current and former smokers with and without COPD . Chest 2014. ; 146 ( 4 ): 941 – 950 . [DOI] [PMC free article] [PubMed] [Google Scholar]
- 8. Woodruff PG , Couper D , Han MK . Symptoms in Smokers with Preserved Pulmonary Function . N Engl J Med 2016. ; 375 ( 9 ): 896 – 897 . [DOI] [PubMed] [Google Scholar]
- 9. Regan EA , Lynch DA , Curran-Everett D , et al . Clinical and Radiologic Disease in Smokers With Normal Spirometry . JAMA Intern Med 2015. ; 175 ( 9 ): 1539 – 1549 . [DOI] [PMC free article] [PubMed] [Google Scholar]
- 10. Seemungal TA , Donaldson GC , Paul EA , Bestall JC , Jeffries DJ , Wedzicha JA . Effect of exacerbation on quality of life in patients with chronic obstructive pulmonary disease . Am J Respir Crit Care Med 1998. ; 157 ( 5 Pt 1 ): 1418 – 1422 . [DOI] [PubMed] [Google Scholar]
- 11. Soler-Cataluña JJ , Martínez-García MA , Román Sánchez P , Salcedo E , Navarro M , Ochando R . Severe acute exacerbations and mortality in patients with chronic obstructive pulmonary disease . Thorax 2005. ; 60 ( 11 ): 925 – 931 . [DOI] [PMC free article] [PubMed] [Google Scholar]
- 12. Dransfield MT , Kunisaki KM , Strand MJ , et al . Acute Exacerbations and Lung Function Loss in Smokers with and without Chronic Obstructive Pulmonary Disease . Am J Respir Crit Care Med 2017. ; 195 ( 3 ): 324 – 330 . [DOI] [PMC free article] [PubMed] [Google Scholar]
- 13. Regan EA , Hokanson JE , Murphy JR , et al . Genetic epidemiology of COPD (COPDGene) study design . COPD 2010. ; 7 ( 1 ): 32 – 43 . [DOI] [PMC free article] [PubMed] [Google Scholar]
- 14. Diaz AA , Strand M , Coxson HO , et al . Disease Severity Dependence of the Longitudinal Association Between CT Lung Density and Lung Function in Smokers . Chest 2018. ; 153 ( 3 ): 638 – 645 . [DOI] [PMC free article] [PubMed] [Google Scholar]
- 15. Stewart JI , Moyle S , Criner GJ , et al . Automated telecommunication to obtain longitudinal follow-up in a multicenter cross-sectional COPD study . COPD 2012. ; 9 ( 5 ): 466 – 472 . [DOI] [PMC free article] [PubMed] [Google Scholar]
- 16. Lowe KE , Regan EA , Anzueto A , et al . COPDGene® 2019: Redefining the Diagnosis of Chronic Obstructive Pulmonary Disease . Chronic Obstr Pulm Dis (Miami) 2019. ; 6 ( 5 ): 384 – 399 . [DOI] [PMC free article] [PubMed] [Google Scholar]
- 17. Ross JC , San Jose Estepar R , Kindlmann G , et al . Automatic lung lobe segmentation using particles, thin plate splines, and maximum a posteriori estimation . Med Image Comput Comput Assist Interv 2010. ; 13 ( Pt 3 ): 163 – 171 . [DOI] [PMC free article] [PubMed] [Google Scholar]
- 18. Grydeland TB , Dirksen A , Coxson HO , et al . Quantitative computed tomography measures of emphysema and airway wall thickness are related to respiratory symptoms . Am J Respir Crit Care Med 2010. ; 181 ( 4 ): 353 – 359 . [DOI] [PubMed] [Google Scholar]
- 19. Galbán CJ , Han MK , Boes JL , et al . Computed tomography-based biomarker provides unique signature for diagnosis of COPD phenotypes and disease progression . Nat Med 2012. ; 18 ( 11 ): 1711 – 1715 . [DOI] [PMC free article] [PubMed] [Google Scholar]
- 20. Maselli DJ , Yen A , Wang W , et al . Small Airway Disease and Emphysema Are Associated with Future Exacerbations in Smokers with CT-derived Bronchiectasis and COPD: Results from the COPDGene Cohort . Radiology 2021. ; 300 ( 3 ): 706 – 714 . [DOI] [PMC free article] [PubMed] [Google Scholar]
- 21. Han MK , Kazerooni EA , Lynch DA , et al . Chronic obstructive pulmonary disease exacerbations in the COPDGene study: associated radiologic phenotypes . Radiology 2011. ; 261 ( 1 ): 274 – 282 . [DOI] [PMC free article] [PubMed] [Google Scholar]
- 22. McDonough JE , Yuan R , Suzuki M , et al . Small-airway obstruction and emphysema in chronic obstructive pulmonary disease . N Engl J Med 2011. ; 365 ( 17 ): 1567 – 1575 . [DOI] [PMC free article] [PubMed] [Google Scholar]
- 23. R Core Team . R: A Language and Environment for Statistical Computing . Vienna, Austria: : R Foundation for Statistical Computing; , 2020. . [Google Scholar]
- 24. RStudioTeam . RStudio: Integrated Development for R . Boston, Mass: : RStudio, PBC; ; 2020. . [Google Scholar]
- 25. Ash SY , Harmouche R , Putman RK , et al . Association between acute respiratory disease events and the MUC5B promoter polymorphism in smokers . Thorax 2018. ; 73 ( 11 ): 1071 – 1074 . [DOI] [PMC free article] [PubMed] [Google Scholar]
- 26. Choi B , San José Estépar R , Godbole S , et al . Plasma metabolomics and quantitative interstitial abnormalities in ever-smokers . Respir Res 2023. ; 24 ( 1 ): 265 . [DOI] [PMC free article] [PubMed] [Google Scholar]
- 27. Liu GY , Colangelo LA , Ash SY , et al . Computed tomography measure of lung injury and future interstitial features: the CARDIA Lung Study . ERJ Open Res 2023. ; 9 ( 3 ): 00004 – 2023 . [DOI] [PMC free article] [PubMed] [Google Scholar]
- 28. Choi B , Liu GY , Sheng Q , et al . Proteomic Biomarkers of Quantitative Interstitial Abnormalities in COPDGene and CARDIA Lung Study . Am J Respir Crit Care Med 2024. . 10.1164/rccm.202307-1129OC. Published online January 29, 2024. [DOI] [PMC free article] [PubMed] [Google Scholar]
- 29. Kirchner J , Goltz JP , Lorenz F , Obermann A , Kirchner EM , Kickuth R . The “dirty chest”–correlations between chest radiography, multislice CT and tobacco burden . Br J Radiol 2012. ; 85 ( 1012 ): 339 – 345 . [DOI] [PMC free article] [PubMed] [Google Scholar]
- 30. Ash SY , Choi B , Oh A , Lynch DA , Humphries SM . Deep Learning Assessment of Progression of Emphysema and Fibrotic Interstitial Lung Abnormality . Am J Respir Crit Care Med 2023. ; 208 ( 6 ): 666 – 675 . [DOI] [PMC free article] [PubMed] [Google Scholar]
- 31. Verleden SE , Tanabe N , McDonough JE , et al . Small airways pathology in idiopathic pulmonary fibrosis: a retrospective cohort study . Lancet Respir Med 2020. ; 8 ( 6 ): 573 – 584 . [DOI] [PMC free article] [PubMed] [Google Scholar]








