Abstract
Recombinant protein production technology is widely applied to the manufacture of biologics used as drug substances and industrial proteins such as recombinant enzymes and bioactive proteins. Various heterologous protein production systems have been developed using prokaryotic and eukaryotic hosts. Especially methylotrophic yeast in eukaryotic hosts is suggested to be particularly valuable because such systems have the following advantages: protein secretion into culture broth, eukaryotic quality control systems, a post-translational modification system, rapid growth, and established recombinant DNA tools and technologies such as strong promoters, effective selection markers, and gene knock-in and -out systems. Many methylotrophic yeasts such as the genera Candida, Ogataea, and Komagataella have been studied since methylotrophic yeast was first isolated in 1969. The methanol-consumption-related genes in methylotrophic yeast are strongly and strictly regulated under methanol-containing conditions. The well-regulated gene expression systems under the methanol-inducible gene promoter lead to the potential application of heterologous protein production in methylotrophic yeast. In this review, we describe the recent progress of heterologous protein production technology in methylotrophic yeast and introduce Ogataea minuta as an alternative production host as a substitute for K. phaffii and O. polymorpha.
Supplementary Information
The online version contains supplementary material available at 10.1007/s11274-024-04008-9.
Keywords: Komagataella phaffii, Methylotrophic yeast, Ogataea minuta, Ogataea polymorpha, Recombinant protein production
Introduction
Recombinant protein production technologies have been widely applied to the manufacture of biological drug substances and industrial enzymes. Recently, over 200 biopharmaceuticals have been registered and approved by the US Food and Drug Administration (FDA) and the European Medicines Agency; annual sales are expected to exceed US$200 billion within the next 10 years (Kesik-Brodacka 2018). Many industrially valuable enzymes, such as phytases, lipases, mannanases, and xylanases, have been produced at a commercial scale via recombinant protein production technology (Spohner et al. 2015).
In response to the strong demands to boost such production further, several heterologous protein production systems have been established in the following representative hosts: mammalian cells such as Chinese hamster ovary cells, insect cells, yeast, and Escherichia coli. Among these production systems, yeast might be a particularly conventional host for various heterologous protein due to their biological safety, heterologous protein productivity, and economic advantages etc. (Gellissen 2000; Kim et al. 2015).
Since Ogata et al. first isolated methylotrophic yeast in 1969, many methylotrophic yeasts such as the genera Candida, Ogataea, and Komagataella have been reported (Ogata et al. 1969; Raymond et al. 1998; Cereghino and Cregg 2000; Gellissen 2000; Sasano et al. 2008). These methylotrophic yeasts have the unique property of being capable of growth utilizing methanol as the sole carbon source. Therefore, initially, they were expected to be a production host of biomass and single-cell protein (SCP) on media containing inexpensive methanol derived from oil or natural gas (Koti and Keith 1996).
In Komagataella phaffii, a high-cell-density fermentation process through continuous optimized culture containing methanol was developed. However, owing to the drastic increase in the cost of methanol because of the oil crisis in the 1970s, SCP production by methylotrophic yeast became less economically advantageous. Meanwhile, as an alternative usage, K. phaffii has been investigated since the 1980s as a heterologous protein production host (Wegner 1990). Then, alcohol oxidase gene (AOX1) encoding an important methanol-responsive gene, and its promoter, which is commonly used for protein production, were isolated (Ellis et al. 1985). The combination of fermentation techniques developed for SCP manufacture and a tightly regulated strong promoter served as a basis for methylotrophic yeast to be used successfully as a heterologous protein production host.
Methylotrophic yeast systems are desirable from the perspective of biological safety for commercial production. For example, the use of type C phospholipid lipase (EC 3.1.4.3), which is expressed by K. phaffii, for the degumming of edible vegetable oil was granted generally recognized as safe (GRAS) status by the FDA (Ciofalo et al. 2006). These systems also have several other advantages as follows: the ability to secrete proteins into culture broth; a eukaryotic protein quality control system; a post-translational modification system; and rapid growth (Hartner et al. 2008; Zhang et al. 2009).
Against this background, there are numerous points to be considered when attempting to optimize methylotrophic yeast systems (Fig. 1). Among these points, in this review we focus on recent advances in four topics: strain selection, expression promoters, the secretory system, and protease-deficient strains. These were selected because our experience suggests that these issues are particularly important for recombinant protein productivity.
Fig. 1.
Schematic overview of protein secretory pathway: points to consider to develop a refined recombinant protein expression system in methylotrophic yeast
Regarding strain selection, in addition to K. phaffii and Ogataea polymorpha, which are major sources of strains among methylotrophic yeast production hosts, we would like to introduce Ogataea minuta as an alternative. O. minuta is a methylotrophic yeast that we and other researchers have investigated and developed as a recombinant production host. We believe that O. minuta is a noteworthy species because developed strains have been successfully and widely used to express recombinant proteins (Kuroda et al. 2007; Suzuki et al. 2017; Yoko-o et al. 2021; Tsuda et al. 2023).
Strain selection
Many strains have been classified as methylotrophic yeast, but they vary in their characteristics. In this section of the paper, we refer to the background and properties of three methylotrophic yeast species.
Komagataella phaffii
Komagataella phaffii, with the more common synonym Pichia pastoris, is a common methylotrophic yeast employed as a system for expressing recombinant proteins, biopharmaceuticals, and industrial enzymes (Cereghino and Cregg 2000). Several K. phaffii strains have made accessible for research and development (Table 1). All of the strains are derived from NRRL-Y 11430, which was deposited in the ARS Patent Culture Collection by Philips Petroleum (Wegner 1980).
Table 1.
Representative methylotrophic yeasts for heterologous protein expression
| Species | Description | Name | Reference |
|---|---|---|---|
| K. phaffii | Wild-type strains | Y-11430 | NRRLa |
| X-33 | Daly and Hearn (2005) | ||
| Strain with different ability in methanol usage | Mut+ (AOX1+, AOX2+) | Yin et al. (2007) | |
| Muts (AOX1−, AOX2+) | Yin et al. (2007) | ||
| Mut− (AOX1−, AOX2+) | Yin et al. (2007) | ||
| Strains with deficiency in protease activity | SMD1163 strain (his4pep4prb1) | Fickers (2014) | |
| SMD1165 strain(his4prb1) | Fickers (2014) | ||
| SMD1168 strain(his4pep4) | Fickers (2014) | ||
| Strains with deficiency in histidine dehydrogenase | GS115(his4) | Vanz et al. (2012) | |
| KM71(∆aox1 ∆::SARG4 his4 arg4) | Charoenrat et al. (2013) | ||
| O. polymorpha | CBS4732(CCY38-22-2, ATCC34438, NRRL-Y-5445) | Stöckmann et al. (2009) | |
| DL-1(NRRL-Y-7560; ATCC26012) | Stöckmann et al. (2009) | ||
| NCYC495(CBS1976; ATAA14754, NRLLY-1798) | Stöckmann et al. (2009) | ||
| O. methanolica | PMAD11(ade2-11) | Raymond et al. (1998) | |
| C. boidinii | TK62(ura) | Sakai et al. (1999) | |
| O. minuta | O. minuta var. minuta type strain | NBRC0975 | NBRCb |
| NBRC10402 | NBRCb | ||
| NBRC10746 | NBRCb |
aNorthern Regional Research Laboratories
bNational Institute of Technology and Evaluation (NITE) Biological Resource Center
K. phaffii was developed as a platform for SCP production by Philips Petroleum and later used as a basis for the development of a protein production system (Cregg et al. 1985). The advantages of the K. phaffii production system comprise high folding efficiency, high-cell-density fermentation, a strong and highly regulated expression system, genetic stability, robust protein secretion, easy downstream processing, FDA GRAS status, and suitability for the application of useful genome engineering techniques including the recently developed CRISPR/Cas9 gene editing tool (Zhu et al. 2019; Pan et al. 2022). According to Pichia.com, a web platform for posting information about the K. phaffii production system, over 5000 proteins have now been successfully produced by this system (Schwarzhans et al. 2017).
Ogataea polymorpha
Ogataea polymorpha (syn. Hansenula polymorpha) is one of the most important industrially applied non-conventional yeasts (Gellissen 2000). It is a ubiquitous yeast species naturally isolated from spoiled orange juice, maize meal, the gut of various insect species, and soil (Kurtzman et al. 2011). O. polymorpha belongs to the Saccharomycetaceae fungal family, subfamily Saccharomycetoideae (Yamada et al. 1995; Kurtzman et al. 2011).
Most research has been performed with three basic strains designated as O. polymorpha DL-1, CBS4732, and NCYC495 (Table 1). These strains have independent origins and unclear relationships, while exhibiting different features including different numbers of chromosomes. Depending on the strain and separation conditions, between two and seven chromosomes can be distinguished (Marri et al. 1993). Strain CBS4732 (syn. ATCC34438, NRRL-Y-5445; CCY38-22–2) was originally isolated from soil irrigated with distillery effluent in Pernambuco, Brazil (Morais and Maia 1959). Meanwhile, the DL-1 strain (syn. ATCC26012, NRRL-Y-7560) was isolated and characterized from a soil sample (Levine and Cooney 1973). These two strains are those most widely utilized industrially. NCYC495 has been extremely widely used in the laboratory since it was isolated from concentrated orange juice in Florida (Kurtzman et al. 2011).
O. polymorpha is an attractive recombinant production host because this system has several advantages, including suitability for the application of genetic engineering tools, FDA GRAS status, high-cell-density fermentation, thermotolerance (capable of growing at temperatures ranging from 30 to 50 °C), ability to use multiple carbon sources, and relatively low hyper-mannosylation. Therefore, the O. polymorpha production host system is suitable for human-like glycoproteins and extensively used for the production of therapeutics and antivirals (Manfrão-Netto et al. 2019).
Ogataea minuta
Ogataea minuta is a methylotrophic yeast that belongs to the Ogataea clade, closely related to O. polymorpha (Tsuda et al. 2023). Three strains, as described below, have been classified as O. minuta var. minuta, which have been deposited at the National Institute of Technology and Evaluation (NITE) as the Biological Resource Center, NITE (NBRC) collection (https://www.nite.go.jp/en/index.html) (Table 1).
One of these strains is NBRC 0975, derived from NRRL Y-441 in the Agricultural Research Service (ARS) Culture Collection at the Northern Regional Research Laboratory (NRRL), which was isolated from fermented mushrooms (Wickerham 1951). Another of these strains is NBRC 10402, derived from ATCC 26176 in the American Type Culture Collection (ATCC), which was isolated from a rotten azalea flower by Oki et al. (1972). The third strain, NBRC 10746, is derived from DSM 70718 in the German Collection of Microorganisms and Cell Cultures (DSMZ), which was isolated from forest soil by Henninger and Windisch (1975).
These strains were historically deposited as O. minuta var. minuta in the NBRC collection. However, in a phylogenetic tree created by neighbor-joining analysis based on sequence analysis of the long LSU D1/D2 domain of each strain, NBRC 10402 and NBRC 10746 were grouped into different clusters far from NBRC 0975, a type strain of O. minuta var. minuta, indicating that NBRC 0975 is quite different from NBRC 10402 and NBRC 10746. Among these strains, we have reported that NBRC 10746 is the most attractive option as a parental strain for further development of an optimal host strain because of the high productivity per cell and adequate cell mass (Tsuda et al. 2023). Genetically engineered O. minuta has been adopted as a recombinant production host for several proteins including novel reporter proteins, enzymes, and antibodies (Kuroda et al. 2006; Suzuki et al. 2017; Yoko-o et al. 2021; Tsuda et al. 2023).
Expression promoters
Several promoters are now available for use in methylotrophic yeast production systems. In K. phaffii, the constitutive glyceraldehyde-3-phosphate dehydrogenase (KpGAP) promoter and the methanol-inducible alcohol oxidase I (KpAOX1) promoter are the most popular (Yan et al. 2022a, b). For optimizing recombinant protein production, the selection of an appropriate promoter is critical. For example, when the recombinant protein of interest is toxic, an inducible promoter is preferable because this enables avoidance of stress on the cells caused by accumulation of the expressed protein during the growth phase (Ahmad et al. 2014). In this section of the paper, we describe recent advances in unique promoters adopted in methylotrophic yeast production systems.
Constitutive promoters
Generally, constitutive promoters are adopted for the stable and continuous production of recombinant proteins during fermentation. In K. phaffii, it has been reported that the KpGAP, KpGCW, KpTEF, and KpPGK promoters are major constitutive promoters (Yan et al. 2022a, b). Among these, the KpGAP promoter has been commonly used as a strong promoter. However, it was reported that the expression level associated with the KpGAP promoter decreased by two-thirds in glycerol-containing medium and one-third in methanol-containing medium (Cereghino and Cregg 2000). Therefore, there has been demand for alternative constitutive promoters and those promoters that have been developed have been reviewed (Yan et al. 2022a, b).
The KpGCW promoter was proposed as a stronger promoter than the KpGAP one. Indeed, it was reported that EGFP production by the KpGCW promoter was tenfold and fivefold higher than that by the KpGAP promoter, in glycerol-containing or methanol-containing medium and glucose-containing medium, respectively (Ahmad et al. 2014). Meanwhile, via a random mutagenesis-based approach, genetic engineering of the KpGAP promoter was attempted to generate a functional KpGAP promoter library featuring a wide range of activity. This resulted in several stronger promoter variants being developed, the strongest of which showed activity almost 20-fold that of the wild-type promoter (Qin et al. 2011). Furthermore, a regulatory library of the KpGAP promoter was obtained by engineering of the putative transcription factor binding genome region, with activity ranging from 0.4- to 3.1-fold higher than that with the original promoter (Ata et al. 2017).
In O. polymorpha, the OpGAP promoter was the first identified and the only major constitutive promoter (Heo et al. 2003). Recently, in response to demand for alternative constitutive promoters, Yan et al. (2022a, b) characterized 10 constitutive promoters. Among these, the OpGCW promoter showed 1.3-fold higher activity than the OpGAP promoter in glucose-containing medium and stable strong activity with various carbon sources (Yan et al. 2022a, b). In O. minuta, the OmGAP and OmPGK promoters are available (Suzuki et al. 2017; Yoko-o et al. 2021). Kuroda et al. (2006) evaluated the activity of β-galactosidase expressed by the OmGAP and OmAOX promoters in glucose-containing, glycerol-containing, and methanol-containing media. The OmGAP promoter constitutively expressed with any carbon sources. By contrast, the OmAOX promoter was inducible with only methanol (Kuroda et al. 2006).
Inducible promoters
The availability of methanol-inducible promoters is one of the most advantageous features of methylotrophic yeast production systems. Methylotrophic yeast species share the methanol utilization (MUT) pathway, which has been well refined and integrated to assimilate and dissimilate methanol (Hartner and Glieder 2006). In K. phaffii, KpAOX1 is the first-step enzyme in the MUT pathway to oxidize methanol to formaldehyde (Yan et al. 2022a, b). Since first being employed for recombinant protein production in 1987, the KpAOX1 promoter is used as an attractive promoter in K. phaffii due to its unique feature of being highly suppressed by glucose and glycerol and strongly induced by methanol (Tschopp et al. 1987; Ahmad et al. 2014).
The regulatory mechanism of KpAOX1 was investigated, which resulted in the identification of cooperative active transcription factors, KpMIT1, KpMXR1, and KpPRM1 (Wang et al. 2016a, b). KpMXR1 plays a critical role as the regulator of some genes involved in methanol utilization and other regulatory systems (Lin-Cereghino et al. 2006). By the overexpression of KpMXR1 and following inhibition of glycerol transporter 1, the expression level of KpAOX1 was shown to be upregulated in glycerol-containing and glycerol plus methanol-containing media (Zhan et al. 2017). The synthetic positive feedback circuit of Mxr1 driven by a weak KpAOX2 promoter enhanced recombinant protein production efficiency (Chang et al. 2018). Furthermore, a synthetic KpAOX1 promoter library was generated by deleting or duplicating transcription factor binding sites, showing a 1.6-fold higher protein production level than the native promoter (Hartner et al. 2008).
A synthetic core promoter and variants that were designed using a consensus sequence were developed to generate a library with diverse sequences exhibiting different properties (Vogl et al. 2014). Promoter engineering by high resolution systematic mutagenesis was performed to reveal the AOX1 core promoter sequence (Portela et al. 2018). To regulate expression of the AOX1 promoter, manipulating poly (dA:dT) tracts was conducted to generate 34 variants with n 0.25 and 3.5 fold of the wild-type promoter activity (Yang et al. 2018). Besides the KpAOX1 promoter, to identify alternative methanol-inducible promoters, transcriptional expression analysis was conducted in K. phaffii under various carbon sources. Fifteen different promoters, which are involved in the MUT pathway and response to methanol at different expression levels, were identified. Among these promoters, the promoter of KpCAT, which is a gene encoding an enzyme that catalyzes the conversion of hydrogen peroxide produced by methanol oxidation into water and oxygen in methanol metabolism, showed strong methanol induction and the highest expression level. The KpCAT promoter can also be induced by oleic acid at a similar expression level to methanol. Therefore, the KpCAT promoter would be a promising alternative inducible promoter in methanol-deficient conditions (Vogl et al. 2018).
Vogl et al. (2020) introduced orthologous promoters derived from a related methylotrophic yeast species, O. polymorpha, into K. phaffii. The promoter of OpMOX, which is a homologous gene to KpAOX1, and the promoter of OpFMD, which is a gene encoding formate dehydrogenase, presented production levels similar to and threefold higher than that of KpAOX1, respectively. These results suggested that orthologous promoters in other eukaryotic hosts sometimes surpass endogenous promoters due to an otherwise unobtainable regulatory control (Vogl et al. 2020).
In O. polymorpha, several methanol-inducible promoters are available for heterologous protein production, such as OpMOX, OpFLD, and OpDAS (the promoter of the dihydroxyacetone synthase gene) (Manfrão-Netto et al. 2019). These promoters show similar features to the KpAOX1 promoter in terms of strength and inductivity; on the other hand, they are quite different in terms of transcriptional regulation in response to carbon sources. As described above, the expression of KpAOX1 was strictly suppressed by glucose and glycerol, while the expression of OpMOX was not suppressed by glycerol (Manfrão-Netto et al. 2019).
Recently, 22 promoters, which are involved in the MUT pathway, precursor supply pathway, and reactive oxygen defense pathway, were identified for fine-tuning protein production in O. polymorpha (Yan et al. 2022a, b). In O. minuta, the OmAOX promoter and other MUT-related promoters, including the OmDAS and OmFDH promoters, are available for heterologous protein production same to other methylotrophic yeast (Kuroda et al. 2006). Yoko-o et al. (2021) revealed that the OmAOX promoter in O. minuta was suppressed by glycerol as well as glucose, and was similar to KpAOX1 in terms of responsiveness to a carbon source, although O. minuta was closely related to O. polymorpha taxonomically. We cloned three OmAOX promoters from three O. minuta strains, evaluated the heterologous protein production ability of these three strains, and reported that NBRC 10746 showed the best performance (Tsuda et al. 2023).
Secretory system
One of the major advantages of using K. phaffii as a production host is its ability to secrete recombinant protein with high titer, proper folding, post-translational processing, and biological activity into the culture broth (Ahmad et al. 2014). The initial step of the secretory pathway is the transport of a newly synthesized protein into the endoplasmic reticulum (ER). Upon entering the ER, the protein undergoes several modifications including signal peptide removal, N-glycosylation, and disulfide bond formation to fold into its native state. When the protein is misfolded or aggregated in the ER, the unfolded protein response (UPR) pathway, which is responsible for the induction of genes involved in protein folding, is triggered. In parallel to the UPR pathway, ER-associated degradation by the proteasome resolves clogged protein secretion pathways. Therefore, proper folding of proteins in the ER is quite important for the efficient production of recombinant proteins (Damasceno et al. 2007, 2012; Braakman and Hebert 2013). In this section of the paper, we provide an overview of the topic of post-translational modification, including secretion signal sequences, folding chaperones, and engineered glycosylation.
Secretion signal sequences
A signal peptide usually fused at the N-terminal of a newly synthesized protein plays an important role in directing the secretion of the protein. The alpha-mating factor pre-pro leader sequence (α-MF) derived from S. cerevisiae is the most commonly employed signal peptide in several yeast recombinant production systems, including K. phaffii, O. polymorpha, and O. minuta (Damasceno et al. 2012; Manfrão-Netto et al. 2019; Tsuda et al. 2023). α-MF is composed of two domains: the pre-region that is responsible for directing the nascent protein into the ER, where it is then cleaved by signal peptidase, and the pro-region, which plays a role in transfer of the protein from the ER to the Golgi apparatus where it is finally cleaved by the endoprotease KEX2. The remaining two Glu-Ala repeats in the pro-peptide are trimmed by STE13 to generate mature α-MF (Julius et al. 1983).
While α-MF was adapted as a secretion signal, it was commonly reported that the N-terminal of the recombinant protein was non-homologous due to incomplete STE13 processing. To improve the processing of α-MF, co-overexpression of HAC1, a transcription factor in the UPR pathway, with the membrane protein adenosine A2 receptor was conducted (Guerfal et al. 2010). Furthermore, α-MF has been refined through codon optimization, directed evolution, addition of spacer sequences, and site-directed mutagenesis. Among generated variants, deletion of amino acids 57–70, corresponding to the predicted 3rd alpha helix of α-mating factor secretion signal, increased secretion of reporter proteins (Lin-Cereghino et al. 2013; Duan et al. 2019). Meanwhile, there is a possibility that α-MF causes protein aggregation, limiting export from the ER. Therefore, a hybrid secretion signal possessing the S. cerevisiae OST1 signal sequence followed by the α-MF pro-region was proposed to facilitate co-translational translocation into the ER (Barrero et al. 2018). As an alternative secretion signal peptide, several native signal sequences derived from highly secreted proteins accomplished the secretion of a recombinant protein (Damasceno et al. 2012). Recently, several endogenous signal peptides including DAN4, GAS1, MSB2, and FRE2 were identified via secretome and genome analyses in K. phaffii (Duan et al. 2019).
Folding chaperones
A possible strategy to promote the processing and folding of proteins, to increase the yield and quality of recombinant protein production, is reinforcement of the function of ER-resident chaperones. In K. phaffii, it has been reported that increased production or secretion of a recombinant protein was achieved by co-expression of the following ER chaperones: a homolog of the mammalian immunoglobulin-binding protein (BiP/KAR2), protein disulfide isomerase (PDI), redox control and oxidative stress enzymes including ERO1, GPX1, AHA1, PRX1, YAP1, or YPT6, heat shock proteins such as Dnaj, Peptidyl prolyl cis–trans isomerase (PPI), the UPR transcription factor HAC1, the kinase/RNase IRE1, or newly identified co-chaperones (Huangfu et al. 2016; Raschmanová et al. 2021). Recently, three endogenous folding factors, MPD1, a member of the PDI family; PDI2, a protein disulfide isomerase; and SIL1, a nucleotide exchange factor for BiP/KAR2, were identified by prediction based on an analysis of the secretome and genome of K. phaffii. Among these factors, co-expression of SIL1, which is required for protein translocation into the ER, showed the most significant effect of achieving a 3.3-fold increase of protein production (Duan et al. 2019). Suzuki et al. (2017) overexpressed genes cloned from O. minuta, including OmERO1, OmEUG1, OmHSP104, OmKAR2, OmMPD1, OmPDI1, and OmSCJ1, which encode proteins homologous to chaperones of S. cerevisiae, and evaluated their effects of increasing the production of active and intact antibodies. By the co-expression of three selected chaperones, namely, OmERO1, OmKAR2, and OmPDI1, which showed positive effects in a previous study, the resulting strain achieved 16-fold higher antibody production than the control parental strain (Suzuki et al. 2017).
Engineered glycosylation
Glycosylation is an important post-translational modification involved in the proper folding and physiological activity of proteins (Fidan and Zhan 2015). Although the yeast system was expected to be an effective recombinant protein production host, the sugar chains produced in yeast are composed of mannose polymers (hyper-mannosylation), which is quite different from the case in humans and is associated with a shorter half-life in serum with strong immunogenicity in mammals (Ballou 1990; Khandekar et al. 2001).
In this section of the paper, we describe various efforts aimed at humanization of the glycosylation pathway in yeast to overcome this drawback. Regarding N-glycosylation, since OCH1 encoding α-1,6-mannosyltransferase, which is the initial enzyme of the hyper-mannosylation pathway, was identified in S. cerevisiae, an OCH1-, MNN1-, and MNN4-deficient strain was developed. MNN1 is the gene encoding the α-1,3-mannosyltransferase that elongates the outer-chain and inner-core oligosaccharides. MNN4 is the gene encoding a deduced mannosyltransferase and a positive regulator of another mannosylphosphate transferase. The resulting triple-gene-knockout strain can express an intermediate N-glycan structure, Man5GlcNAc2, identical to the human-type structure (Nagasu et al. 1992; Chiba et al. 1998). A similar OCH1 deletion approach was attempted in K. phaffii, O. polymorpha, and O. minuta (Kuroda et al. 2006; Hamilton and Gerngross 2007; Cheon et al. 2012). For further humanization of the N-glycosylation pathways in K. phaffii, screening of combinatorial libraries, consisting of anchored domains of Golgi- and ER-localized proteins and catalytic domains of several glycosyltransferases and glycosidases from many species, was conducted. The resulting strain, which lacked KpOCH1 and has five properly localized active eukaryotic proteins, namely, mannosidases I and II, N-acetylglucosaminyl transferases I and II, and uridine 5ʹ-diphosphate (UDP)-N-acetylglucosamine transporter, successfully expressed human-type N-glycans N-acetylglucosamine2-mannose3-N-acetylglucosamine2 (GlcNAc2Man3GlcNAc2) (Hamilton et al. 2003).
As another approach, “GlycoSwitch” technology, which consists of KpOCH1 disruption and the stepwise introduction of heterologous glycosylation enzymes, was proposed to convert the wild-type strain into a genetically engineered strain that modified its glycoproteins with asialo complex-type N-glycans Gal2GlcNAc2Man3GlcNAc2 (Jacobs et al. 2009). In O. polymorpha, recombinant glycoprotein production was attempted, with the resulting glycoprotein showing 27% lower glycosylation than the glycoprotein expressed in S. cerevisiae. In addition, this glycoprotein with low glycosylation expressed in O. polymorpha was not recognized by anti-α-1,3-mannose antibody, although the control glycoprotein expressed in S. cerevisiae was positively detected (Kim et al. 2004). These results suggested the possibility that the recombinant glycoprotein expressed in O. polymorpha was not immunogenic (Ballou 1990). Less mannosylation in O. polymorpha would be due to the fact that the glycosylation pathway did not add α-1,3-linked residues (Kunze et al. 2009).
In the last few decades, recombinant glycoprotein production systems using genetically engineered O. polymorpha strains have been developed, with the resulting strains lacking important genes that encode enzymes involved in the hyper-mannosylation pathway: OpOCH1 and OpALG1 encoding dolichyl-phosphate-mannose-dependent α-1,3-mannosyltransferase. However, these strains harbor the human gene encoding β-1,2-N-acetylglucosaminyltransferase I. The hybrid-type glycans with a monoantennary N-acetylglucosamine (GlcNAc1Man5GlcNAc2 and GlcNAc1Man3GlcNAc2) were successfully expressed in glycol-engineered O. polymorpha strains (Kim et al. 2006). Kuroda et al. (2006) chose O. minuta as a production system to minimize the steps in the disruption and introduction of genes related to sugar chain processing because, as revealed by nuclear magnetic resonance analysis, the assumed sugar chain structure of O. minuta was simpler than that of S. cerevisiae. The resulting genetically engineered O. minuta strain lacked OmOCH1 and contained α-1,2-mannosidase, producing a human-compatible glycoprotein Man5GlcNAc2. Whether there were any OmMNN1 gene homologs in O. minuta was unclear. This indicated that it was possible to retain the step of gene disruption of OmMNN1, encoding α-1,3-mannosyltransferase, as an advantageous feature of O. minuta (Kuroda et al. 2006).
In contrast to N-glycosylation, engineering of O-glycans is more challenging because the PMT gene, encoding O-mannosyltransferases as the initial reaction enzyme of O-mannosylation, is essential for yeast cell survival. Recently, a sialylated α-dystroglycan-type O-linked glycan was produced by co-expression of an α-1,2-mannosidase and protein-O-linked-mannose β-1,2-N-acetylglucosaminyltransferase I in K. phaffii, which previously underwent genetic engineering of the N-linked glycosylation pathway (Hamilton et al. 2013). When antibody production was attempted in O. minuta, abnormal O-mannosylation on the secreted antibody was detected. By adding an inhibitor of PMT1 activity [5-(3,4-bis-phenylmethoxyphenylmethylene)-4-oxo-2-thioxo-3-thiazo-lidineacetic acid; R3A-1c], this modification was partially suppressed (Kuroda et al. 2008).
Protease-deficient strains
Yeast heterologous protein production systems are well known for high production yields, but it was also reported that yeast systems sometimes present strong protease activity, which may cause degradation of the expressed protein. The yeast vacuole in particular contains several proteases, such as proteinase A, proteinase B, carboxypeptidases, and aminopeptidases, which are responsible for extensive protein degradation (Hazel et al. 1996). To suppress protease activity, several approaches have been attempted, including changing the cultivation conditions, pH, temperature, and so on, or adding casamino acids and peptone (Werten et al. 1999). However, in some cases, it remained difficult to completely prevent proteolytic degradation. Therefore, the protease-deficient host strain was proposed to achieve high productivity of intact recombinant protein and employed for commercial production (Gleeson et al. 1998; Fickers 2014; Wang et al. 2016a, b). In this section of the paper, we describe protease-deficient strains.
In many cases, several proteases are responsible for the degradation of expressed proteins. Therefore, multiple-protease-deficient strains are recommended to prevent degradation (Table 1). Among them, the PEP4- and PRB1-knockout strains are still the most effective and widely employed (Ahmad et al. 2014). In O. polymorpha, the PEP4 gene encoding proteinase A was cloned and characterized (Bae et al. 2005). In O. minuta, it was not clear what kinds of protease-deficient hosts were consistently effective in producing heterologous proteins. Kuroda et al. (2007) revealed that PEP4, PRB1, and YPS1 protease-deficient O. minuta strains were effective for intact antibody production. However, protease-deficient strains generally show slower growth rates, lower transformation efficiency, greater susceptibility to mechanical stresses, and reduced viability (Lin-Cereghino and Lin-Cereghino 2007). Hence, we were interested in the essential protease that is most responsible for protein degradation in the O. minuta production system.
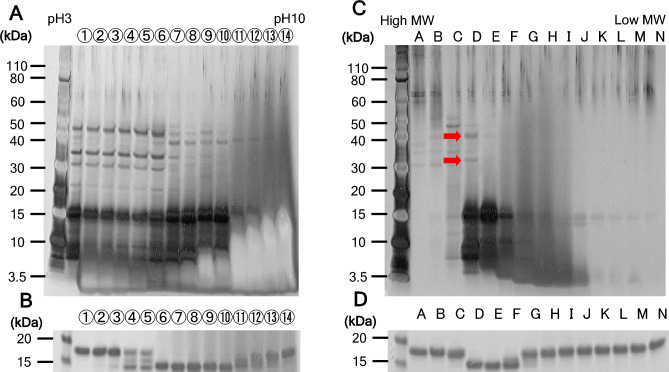
Since the limited proteolysis was investigated against the model recombinant protein secreted in cultured broth, we tried to identify the protease from candidate proteins, which were partially fractionated using isoelectric focusing and size exclusion chromatography, by LC/MS–MS analysis. A fermented broth that contains secreted proteins including potential protease was loaded to Rotofor column (Bio-Rad Laboratories, Inc., Hercules, CA, USA) fractionated by a free-solution pH gradient. Silver staining of protein pools fractionated by isoelectric focusing showed various protein bands (Fig. 2A). The protein degradation assay against the model substrate protein was demonstrated and the limited proteolysis was detected by SDS-PAGE with CBB staining. Each fraction corresponding to lanes 6–10 showed the complete model protein degradation (Fig. 2B). Although lanes 6–10 was further purified by Superdex 75 gel filtration (Cytiva, Uppsala, Sweden), multiple protein bands were still investigated on SDS-PAGE (Fig. 2C). Lanes D-E completely showed model protein degradation in protein degradation assay (Fig. 2D). Unique bands showing molecular weights of 30 and 40 kDa that were highlighted by red arrows in Fig. 2C were analyzed by LC/MS–MS and identified as Prb1 protein. As a result, OmPRB1 protein was certainly identified from the partially purified fraction. OmPRB1-coding region was cloned and the OmPRB1-deficient strain was successively generated for further studies. A degradation of secreted proteins including model protein expressed in vivo that was cleaved in the parental strain tended to be suppressed in OmPRB1-deficient strain (Fig. 3A, B). Additionally, degradation of a secreted IgG1-model antibody—especially heavy chain degradation in the parental strain almost prevented in the OmPRB1-deficient strain (Fig. 3C). The OmPrb1-deficient strain could grow as well as the parental strain (data not shown). These results suggested that the OmPrb1-deficient strain was a suitable production host in O. minuta. In contrast, in K. phaffii, 28 multi-protease-deficient strains were created and showed robust growth behavior (Ahmad et al. 2014).
Fig. 2.
A Silver staining/SDS-PAGE analysis under reducing conditions of proteins fractionated by isoelectric focusing. B CBB staining/SDS-PAGE analysis under reducing conditions of protein degradation assay samples. C Silver staining/SDS-PAGE analysis under reducing conditions of fractions by size exclusion chromatography from protein pool of proteolytic activity showing lanes (Fig. 2A, lanes 6–10). Red arrows indicate the MS-analyzed protein band. D CBB staining/SDS-PAGE under reducing conditions of protein degradation assay sample
Fig. 3.
A CBB staining/SDS-PAGE analysis under reducing conditions of secreted recombinant protein. B Western blot/SDS-PAGE analyses under reducing conditions of secreted recombinant protein. C Western blot/SDS-PAGE analyses under non-reducing (Left) and reducing (Right) conditions of secreted antibody
Conclusion
Methylotrophic yeasts are employed as reliable hosts for producing many recombinant proteins, from the preparation of laboratory test samples to the manufacturing of industrial products including biopharmaceuticals and enzymes. However, to express recombinant proteins of suitably high quality and yield, some issues remain to be resolved. In particular, practical trying out of strain selection using actual protein of interest might be the better way to achieve high productivity considering that the productivity in one strain can be quite good, that in another may not be. For example, the comparison of full-length antibody production levels demonstrated by several methylotrophic yeasts was shown as a case study (Table 2). Therefore, we proposed O. minuta as an alternative production host in this overview describing characteristic features of three methylotrophic species. We additionally pointed out that the methylotrophic yeast Candida boidinii is also well investigated and available as a recombinant production host (Yurimoto 2009) (Table 1). Owing to the differences in features among methylotrophic yeasts, the production host should be carefully selected. To resolve other issues, it would be effective to focus on the expression promoters, secretory system, protease-deficient strains, and the availability of genetically engineered strains. In addition to these approaches, optimization of culture medium, fermentation process and strain design including metabolic pathway engineering could be effective in refining the methylotrophic yeast heterologous protein production system. From a bioeconomy perspective, these yeast systems should also develop to produce the desired bioproduct with sustainable manufacturing process in an environmentally friendly manner (Tülek et al. 2021; Ergün et al. 2021, 2022; Çaloğlu and Binay 2023). Regarding gene editing techniques, the recently established CRISPR/Cas9 system has been rapidly developed and widely adopted as a powerful and accurate tool in K. phaffii and O. polymorpha (Weninger et al. 2016; Manfrão-Netto et al. 2019). Unfortunately, in O. minuta, the CRISPR/Cas9 system has not been established, although this is eagerly anticipated. In this review, we introduced important considerations for the optimization of recombinant production systems. We hope that this review contributes to achieving the full potential of methylotrophic yeasts for optimized heterologous protein production.
Table 2.
Comparison of full-length antibody production levels in methylotrophic yeasts
| Species | Antibody | Genotype | Titer (mg/ml) | Description | Reference |
|---|---|---|---|---|---|
| K. phaffii | Anti-RSV mAb | och1Δ, algΔ::MNSI/GnTI/GnTII/GalT | 1600 | Glycoengineed human-type N-glycan | Ye et al. (2011) |
| O. polymorpha | Herceptin | och1Δ::pTDH3 > HC/LC, yps1Δ, pep4Δ, prb1Δ | Detectable by Western blot | Protease deficient strain | Jiang et al. (2019) |
| O. minuta | IgG1-model antibody | och1Δ, pep4Δ, prb1Δ, yps1Δ, ura3Δ:: pTDH1 > Hc, ade1Δ::pTDH1 > Lc | 10 | Protease deficient strain | Kuroda et al. (2007) |
| och1Δ, yps1Δ, ade1Δ::pTDH1 > Lc, hyg:: pTDH1 > Hc | 20 | Protease deficient strain | Kuroda et al. (2008) | ||
| och1Δ, yps1Δ, ade1Δ::pTDH1 > Lc, hyg:: pTDH1 > Hc | 60 | Protease deficient strain, R3ADa was added | Kuroda et al. (2008) | ||
| och1Δ, yps1Δ, ade1Δ::pTDH1 > Lc, uraΔ::OmPDI/OmERO1/OmKAR2, zeo:: pTDH1 > Hc | 30 | Protease deficient strain, R3ADa was added, co-overexpression of chaperones | Suzuki et al. (2017) |
aA rhodanine-3-acetic acid derivative, the Pmt inhibitor
Supplementary Information
Below is the link to the electronic supplementary material.
Author contributions
All authors wrote the main manuscript text and prepared Figures and the table. All authors reviewed the manuscript.
Funding
The authors declare that this research was funded by Daiichi Sankyo Co., Ltd.
Data availability
No datasets were generated or analysed during the current study.
Declarations
Competing interests
The authors are employees of Daiichi Sankyo Co., Ltd.
Footnotes
Publisher's Note
Springer Nature remains neutral with regard to jurisdictional claims in published maps and institutional affiliations.
References
- Ahmad M, Hirz M, Pichler H, Schwab H. Protein expression in Pichia pastoris: recent achievements and perspectives for heterologous protein production. Appl Microbiol Biotechnol. 2014;98:5301–5317. doi: 10.1007/s00253-014-5732-5. [DOI] [PMC free article] [PubMed] [Google Scholar]
- Ata Ö, Prielhofer R, Gasser B, Mattanovich D, Çalık P. Transcriptional engineering of the glyceraldehyde-3-phosphate dehydrogenase promoter for improved heterologous protein production in Pichia pastoris. Biotechnol Bioeng. 2017;114:2319–2327. doi: 10.1002/bit.26363. [DOI] [PubMed] [Google Scholar]
- Bae JH, Sohn JH, Rhee SK, Choi ES. Cloning and characterization of the Hansenula polymorpha PEP4 gene encoding proteinase A. Yeast. 2005;22:147–173. doi: 10.1002/yea.1193. [DOI] [PubMed] [Google Scholar]
- Ballou CE. Isolation, characterization, and properties of Saccharomyces cerevisiae mnn mutants with nonconditional protein glycosylation defects. Methods Enzymol. 1990;185:440–470. doi: 10.1016/0076-6879(90)85038-p. [DOI] [PubMed] [Google Scholar]
- Barrero JJ, Casler JC, Valero F, Ferrer P, Glick BS. An improved secretion signal enhances the secretion of model proteins from Pichia pastoris. Microb Cell Fact. 2018;17:161. doi: 10.1186/s12934-018-1009-5. [DOI] [PMC free article] [PubMed] [Google Scholar]
- Braakman I, Hebert DN. Protein folding in the endoplasmic reticulum. Cold Spring Harb Perspect Biol. 2013;5(5):a013201. doi: 10.1101/cshperspect.a013201. [DOI] [PMC free article] [PubMed] [Google Scholar]
- Çaloğlu B, Binay B. Utilization potential of agro-industrial by-products and waste sources: Laccase production in bioreactor with Pichia pastoris. Biochem Eng J. 2023;193:108854. doi: 10.1016/j.bej.2023.108854. [DOI] [Google Scholar]
- Cereghino JL, Cregg JM. Heterologous protein expression in the methylotrophic yeast Pichia pastoris. FEMS Microbiol Rev. 2000;24(1):45–66. doi: 10.1111/j.1574-6976.2000.tb00532.x. [DOI] [PubMed] [Google Scholar]
- Charoenrat T, Khumruaengsri N, Promdonkoy P, Rattanaphan N, Eurwilaichitr L, Tanapongpipat S, Roongsawang N. Improvement of recombinant endoglucanase produced in Pichia pastoris KM71 through the use of synthetic medium for inoculum and pH control of proteolysis. J Biosci Bioeng. 2013;116(2):193–198. doi: 10.1016/j.jbiosc.2013.02.020. [DOI] [PubMed] [Google Scholar]
- Chang CH, Hsiung HA, Hong KL, Huang CT. Enhancing the efficiency of the Pichia pastoris AOX1 promoter via the synthetic positive feedback circuit of transcription factor Mxr1. BMC Biotechnol. 2018;18:81. doi: 10.1186/s12896-018-0492-4. [DOI] [PMC free article] [PubMed] [Google Scholar]
- Cheon SA, Kim H, Oh DB, Kwon O, Kang HA. Remodeling of the glycosylation pathway in the methylotrophic yeast Hansenula polymorpha to produce human hybrid-type N-glycans. J Microbiol. 2012;50(2):341–348. doi: 10.1007/s12275-012-2097-2. [DOI] [PubMed] [Google Scholar]
- Chiba Y, Suzuki M, Yoshida S, Yoshida A, Ikenaga H, Takeuchi M, Jigami Y, Ichishima E. Production of human compatible high mannose-type (Man5GlcNAc2) sugar chains in Saccharomyces cerevisiae. J Biol Chem. 1998;273(41):26298–26304. doi: 10.1074/jbc.273.41.26298. [DOI] [PubMed] [Google Scholar]
- Ciofalo V, Barton N, Kreps J, Coats I, Shanahan D. Safety evaluation of a lipase enzyme preparation, expressed in Pichia pastoris, intended for use in the degumming of edible vegetable oil. Regul Toxicol Pharmacol. 2006;45(1):1–8. doi: 10.1016/j.yrtph.2006.02.001. [DOI] [PubMed] [Google Scholar]
- Cregg JM, Barringer KJ, Hessler AY, Madden KR. Pichia pastoris as a host system for transformations. Mol Cell Biol. 1985;5(12):3376–3385. doi: 10.1128/mcb.5.12.3376-3385.1985. [DOI] [PMC free article] [PubMed] [Google Scholar]
- Daly R, Hearn MT (2005) Expression of heterologous proteins in Pichia pastoris: a useful experimental tool in protein engineering and production. J Mol Recognit. 18(2):119-138. 10.1002/jmr.687 [DOI] [PubMed]
- Damasceno LM, Anderson KA, Ritter G, Cregg JM, Old LJ, Batt CA. Co-overexpression of chaperones for enhanced secretion of a single-chain antibody fragment in Pichia pastoris. Appl Microbiol Biotechnol. 2007;74(2):381–389. doi: 10.1007/s00253-006-0652-7. [DOI] [PubMed] [Google Scholar]
- Damasceno LM, Huang CJ, Batt CA. Protein secretion in Pichia pastoris and advances in protein production. Appl Microbiol Biotechnol. 2012;93(1):31–39. doi: 10.1007/s00253-011-3654-z. [DOI] [PubMed] [Google Scholar]
- De Morais JOF, Maia MHD. Estudos de microorganismos encontrados em leitos de despejos de caldas de destilarias de Pernambuco. II. Uma nova especie de Hansenula: H. polymorpha. Anais de Escola Superior de Quimica da Universidade do Recife. 1959;1:15–20. [Google Scholar]
- Duan G, Ding L, Wei D, Zhou H, Chu J, Zhang S, Qian J. Screening endogenous signal peptides and protein folding factors to promote the secretory expression of heterologous proteins in Pichia pastoris. J Biotechnol. 2019;306:193–202. doi: 10.1016/j.jbiotec.2019.06.297. [DOI] [PubMed] [Google Scholar]
- Ellis SB, Brust PF, Koutz PJ. Isolation of alcohol oxidase and two other methanol regulatable genes from the yeast Pichia pastoris. Mol Cell Biol. 1985;5(5):1111–1121. doi: 10.1128/mcb.5.5.1111-1121.1985. [DOI] [PMC free article] [PubMed] [Google Scholar]
- Ergün BG, Berrios J, Binay B, Fickers P. Recombinant protein production in Pichia pastoris: from transcriptionally redesigned strains to bioprocess optimization and metabolic modelling. FEMS Yeast Res. 2021;21(7):foab057. doi: 10.1093/femsyr/foab057. [DOI] [PubMed] [Google Scholar]
- Ergün BG, Laçın K, Çaloğlu B, Binay B. Second generation Pichia pastoris strain and bioprocess designs. Biotechnol Biofuels Bioprod. 2022;15(1):150. doi: 10.1186/s13068-022-02234-7. [DOI] [PMC free article] [PubMed] [Google Scholar]
- Fickers P. Pichia pastoris: a workhorse for recombinant protein production. Curr Res Microbiol Biotechnol. 2014;2:354–363. [Google Scholar]
- Fidan O, Zhan J. Recent advances in engineering yeast for pharmaceutical protein production. RSC Adv. 2015;5:86665–86674. doi: 10.1039/C5RA13003D. [DOI] [Google Scholar]
- Gellissen G. Heterologous protein production in methylotrophic yeasts. Appl Microbiol Biotechnol. 2000;54(6):741–750. doi: 10.1007/s002530000464. [DOI] [PubMed] [Google Scholar]
- Gleeson MA, White CE, Meininger DP, Komives EA. Generation of protease-deficient strains and their use in heterologous protein expression. Methods Mol Biol. 1998;103:81–94. doi: 10.1385/0-89603-421-6:81. [DOI] [PubMed] [Google Scholar]
- Guerfal M, Ryckaert S, Jacobs PP, Ameloot P, Van Craenenbroeck K, Derycke R, Callewaert N. The HAC1 gene from Pichia pastoris: characterization and effect of its overexpression on the production of secreted, surface displayed and membrane proteins. Microb Cell Fact. 2010;9:49. doi: 10.1186/1475-2859-9-49. [DOI] [PMC free article] [PubMed] [Google Scholar]
- Hamilton SR, Gerngross TU. Glycosylation engineering in yeast: the advent of fully humanized yeast. Curr Opin Biotechnol. 2007;18(5):387–392. doi: 10.1016/j.copbio.2007.09.001. [DOI] [PubMed] [Google Scholar]
- Hamilton SR, Bobrowicz P, Bobrowicz B, Davidson RC, Li H, Mitchell T, Nett JH, Rausch S, Stadheim TA, Wischnewski H, Wildt S, Gerngross TU. Production of complex human glycoproteins in yeast. Science. 2003;301(5637):1244–1246. doi: 10.1126/science.1088166. [DOI] [PubMed] [Google Scholar]
- Hamilton SR, Cook WJ, Gomathinayagam S, Burnina I, Bukowski J, Hopkins D, Schwartz S, Du M, Sharkey NJ, Bobrowicz P, Wildt S, Li H, Stadheim TA, Nett JH. Production of sialylated O-linked glycans in Pichia pastoris. Glycobiology. 2013;23(10):1192–1203. doi: 10.1093/glycob/cwt056. [DOI] [PubMed] [Google Scholar]
- Hartner FS, Glieder A. Regulation of methanol utilisation pathway genes in yeasts. Microb Cell Fact. 2006;5:39. doi: 10.1186/1475-2859-5-39. [DOI] [PMC free article] [PubMed] [Google Scholar]
- Hartner FS, Ruth C, Langenegger D, Johnson SN, Hyka P, Lin-Cereghino GP, Lin-Cereghino J, Kovar K, Cregg JM, Glieder A. Promoter library designed for fine-tuned gene expression in Pichia pastoris. Nucleic Acids Res. 2008;36(12):1–15. doi: 10.1093/nar/gkn369. [DOI] [PMC free article] [PubMed] [Google Scholar]
- Henninger W, Windisch S. Pichia lindnerii sp. n., eine neue methanol assimilierende hefe aus erde. Arch Microbiol. 1975;105:47–48. doi: 10.1007/BF00447111. [DOI] [PubMed] [Google Scholar]
- Heo JH, Hong WK, Cho EY, Kim MW, Kim JY, Kim CH, Rhee SK, Kang HA. Properties of the Hansenula polymorpha-derived constitutive GAP promoter, assessed using an HSA reporter gene. FEMS Yeast Res. 2003;4(2):175–184. doi: 10.1016/S1567-1356(03)00150-8. [DOI] [PubMed] [Google Scholar]
- Huangfu J, Xu Y, Li C, Li J. Overexpressing target helper genes enhances secretion and glycosylation of recombinant proteins in Pichia pastoris under simulated microgravity. J Ind Microbiol Biotechnol. 2016;43(10):1429–1439. doi: 10.1007/s10295-016-1817-8. [DOI] [PubMed] [Google Scholar]
- Jacobs PP, Geysens S, Vervecken W, Contreras R, Callewaert N. Engineering complex-type N-glycosylation in Pichia pastoris using GlycoSwitch technology. Nat Protoc. 2009;4:58–70. doi: 10.1038/nprot.2008.213. [DOI] [PubMed] [Google Scholar]
- Jiang H, Horwitz AA, Wright C, Tai A, Znameroski EA, Tsegaye Y, Warbington H, Bower BS, Alves C, Co C, Jonnalagadda K, Platt D, Walter JM, Natarajan V, Ubersax JA, Cherry JR, Love JC. Challenging the workhorse: Comparative analysis of eukaryotic micro-organisms for expressing monoclonal antibodies. Biotechnol Bioeng. 2019;116(6):1449–1462. doi: 10.1002/bit.26951. [DOI] [PMC free article] [PubMed] [Google Scholar]
- Julius D, Blair L, Brake A, Sprague G, Thorner J. Yeast α factor is processed from a larger precursor polypeptide: the essential role of a membrane-bound dipeptidyl aminopeptidase. Cell. 1983;32(3):839–852. doi: 10.1016/0092-8674(83)90070-3. [DOI] [PubMed] [Google Scholar]
- Kesik-Brodacka M. Progress in biopharmaceutical development. Biotechnol Appl Biochem. 2018;65(3):306–322. doi: 10.1002/bab.1617. [DOI] [PMC free article] [PubMed] [Google Scholar]
- Khandekar SS, Silverman C, Wells-Marani J, Bacon AM, Birrell H, Brigham-Burke M, DeMarini DJ, Jonak ZL, Camilleri P, Fishman-Lobell J. Determination of carbohydrate structures N-linked to soluble CD154 and characterization of the interactions of CD40 with CD154 expressed in Pichia pastoris and Chinese hamster ovary cells. Protein Expr Purif. 2001;23(2):301–310. doi: 10.1006/prep.2001.1501. [DOI] [PubMed] [Google Scholar]
- Kim MW, Rhee SK, Kim JY, Shimma Y, Chiba Y, Jigami Y, Kang HA. Characterization of N-linked oligosaccharides assembled on secretory recombinant glucose oxidase and cell wall mannoproteins from the methylotrophic yeast Hansenula polymorpha. Glycobiology. 2004;14(3):243–251. doi: 10.1093/glycob/cwh030. [DOI] [PubMed] [Google Scholar]
- Kim MW, Kim EJ, Kim JY, Park JS, Oh DB, Shimma Y, Chiba Y, Jigami Y, Rhee SK, Kang HA. Functional characterization of the Hansenula polymorpha HOC1, OCH1, and OCR1 genes as members of the yeast OCH1 mannosyltransferase family involved in protein glycosylation. J Biol Chem. 2006;281(10):6261–6272. doi: 10.1074/jbc.M508507200. [DOI] [PubMed] [Google Scholar]
- Kim H, Yoo SJ, Kang HA. Yeast synthetic biology for the production of recombinant therapeutic proteins. FEMS Yeast Res. 2015;15(1):1–16. doi: 10.1111/1567-1364.12195. [DOI] [PubMed] [Google Scholar]
- Koti S, Keith EK. Pichia pastoris. In: Wolf K, editor. Nonconventional yeasts in biotechnology: a handbook. Berlin: Springer; 1996. pp. 203–204. [Google Scholar]
- Kunze G, Kang HA, Gellissen G. Hansenula polymorpha (Pichia angusta): biology and applications. In: Satyanarayana T, Kunze G, editors. Yeast biotechnology: diversity and applications. Dordrecht: Springer; 2009. pp. 47–64. [Google Scholar]
- Kuroda K, Kobayashi K, Tsumura H, Komeda T, Chiba Y, Jigami Y. Production of Man5GlcNAc2-type sugar chain by the methylotrophic yeast Ogataea minuta. FEMS Yeast Res. 2006;6(7):1052–1062. doi: 10.1111/j.1567-1364.2006.00116.x. [DOI] [PubMed] [Google Scholar]
- Kuroda K, Kitagawa Y, Kobayashi K, Tsumura H, Komeda T, Mori E, Motoki K, Kataoka S, Chiba Y, Jigami Y. Antibody expression in protease-deficient strains of the methylotrophic yeast Ogataea minuta. FEMS Yeast Res. 2007;7(8):1307–1316. doi: 10.1111/j.1567-1364.2007.00291.x. [DOI] [PubMed] [Google Scholar]
- Kuroda K, Kobayashi K, Kitagawa Y, Nakagawa T, Tsumura H, Komeda T, Shinmi D, Mori E, Motoki K, Fuju K, Sakai T, Nonaka K, Suzuki T, Ichikawa K, Chiba Y, Jigami Y. Efficient antibody production upon suppression of O mannosylation in the yeast Ogataea minuta. Appl Environ Microbiol. 2008;74(2):446–453. doi: 10.1128/AEM.02106-07. [DOI] [PMC free article] [PubMed] [Google Scholar]
- Kurtzman CP, Fell JW, Boekhout T. The yeasts: a taxonomic study. 5. Amsterdam: Elsevier Science Publishers; 2011. [Google Scholar]
- Levine DW, Cooney CL. Isolation and characterization of a thermotolerant methanol-utilizing yeast. Appl Microbiol. 1973;26(6):982–990. doi: 10.1128/am.26.6.982-990.1973. [DOI] [PMC free article] [PubMed] [Google Scholar]
- Lin-Cereghino J, Lin-Cereghino GP. Vectors and strains for expression. Methods Mol Biol. 2007;389:11–26. doi: 10.1007/978-1-59745-456-8_2. [DOI] [PubMed] [Google Scholar]
- Lin-Cereghino GP, Godfrey L, de la Cruz BJ, Johnson S, Khuongsathiene S, Tolstorukov I, Yan M, Lin-Cereghino J, Veenhuis M, Subramani S, Cregg JM. Mxr1p, a key regulator of the methanol utilization pathway and peroxisomal genes in Pichia pastoris. Mol Cell Biol. 2006;26(3):883–897. doi: 10.1128/MCB.26.3.883-897.2006. [DOI] [PMC free article] [PubMed] [Google Scholar]
- Lin-Cereghino GP, Stark CM, Kim D, Chang J, Shaheen N, Poerwanto H, Agari K, Moua P, Low LK, Tran N, Huang AD, Nattestad M, Oshiro KT, Chang JW, Chavan A, Tsai JW, Lin-Cereghino J. The effect of α-mating factor secretion signal mutations on recombinant protein expression in Pichia pastoris. Gene. 2013;519(2):311–317. doi: 10.1016/j.gene.2013.01.062. [DOI] [PMC free article] [PubMed] [Google Scholar]
- Manfrão-Netto JHC, Gomes AMV, Parachin NS. Advances in using Hansenula polymorpha as chassis for recombinant protein production. Front Bioeng Biotechnol. 2019;7:94. doi: 10.3389/fbioe.2019.00094. [DOI] [PMC free article] [PubMed] [Google Scholar]
- Marri L, Rossolini GM, Satta G. Chromosome polymorphisms among strains of Hansenula polymorpha (syn. Pichia angusta) Appl Environ Microbiol. 1993;59(3):939–941. doi: 10.1128/aem.59.3.939-941.1993. [DOI] [PMC free article] [PubMed] [Google Scholar]
- Nagasu T, Shimma Y, Nakanishi Y, Kuromitsu J, Iwama K, Nakayama K, Suzuki K, Jigami Y. Isolation of new temperature-sensitive mutants of Saccharomyces cerevisiae deficient in mannose outer chain elongation. Yeast. 1992;8(7):535–547. doi: 10.1002/yea.320080705. [DOI] [PubMed] [Google Scholar]
- Ogata K, Ohsugi M, Nishikawa H. A yeast capable of utilizing methanol. Agric Biol Chem. 1969;33(10):1519–1520. doi: 10.1080/00021369.1969.10859497. [DOI] [Google Scholar]
- Oki T, Kouno K, Kitai A, Ozaki A. New yeasts capable of assimilating methanol. J Gen Appl Microbiol. 1972;18:295–305. doi: 10.2323/jgam.18.295. [DOI] [Google Scholar]
- Pan Y, Yang J, Wu J, Yang L, Fang H. Current advances of Pichia pastoris as cell factories for production of recombinant protein. Front Microbiol. 2022;13:1059777. doi: 10.3389/fmicb.2022.1059777. [DOI] [PMC free article] [PubMed] [Google Scholar]
- Portela RMC, Vogl T, Ebner K, Oliveira R, Glieder A. Pichia pastoris Alcohol Oxidase 1 (AOX1) core promoter engineering by high resolution systematic mutagenesis. Biotechnol J. 2018;13(3):e1700340. doi: 10.1002/biot.201700340. [DOI] [PubMed] [Google Scholar]
- Qin X, Qian J, Yao G, Zhuang Y, Zhang S, Chu J. GAP promoter library for fine-tuning of gene expression in Pichia pastoris. Appl Environ Microbiol. 2011;77(11):3600–3608. doi: 10.1128/AEM.02843-10. [DOI] [PMC free article] [PubMed] [Google Scholar]
- Raschmanová H, Weninger A, Knejzlik Z, Melzoch K, Kovai K. Engineering of the unfolded protein response pathway in Pichia pastoris: enhancing production of secreted recombinant protein. Appl Microbiol Biotechnol. 2021;105:4397–4414. doi: 10.1007/s00253-021-11336-5. [DOI] [PMC free article] [PubMed] [Google Scholar]
- Raymond CK, Bukowski T, Holderman SD, Ching AF, Vanaja E, Stamm MR. Development of the methylotrophic yeast Pichia methanolica for the expression of the 65 kilodalton isoform of human glutamate decarboxylase. Yeast. 1998;14(1):11–23. doi: 10.1002/(SICI)1097-0061(19980115)14:1<11::AID-YEA196>3.0.CO;2-S. [DOI] [PubMed] [Google Scholar]
- Sakai Y, Yoshida H, Yurimoto H, Yoshida N, Fukuya H, Takabe K, Kato N. Production of fungal fructosyl amino acid oxidase useful for diabetic diagnosis in the peroxisome of Candida boidinii. FEBS Lett. 1999;459(2):233–237. doi: 10.1016/s0014-5793(99)01245-4. [DOI] [PubMed] [Google Scholar]
- Sasano Y, Yurimoto H, Yanaka M, Sakai Y. Trm1p, a Zn(II)2Cys6-type transcription factor, is a master regulator of methanol-specific gene activation in the methylotrophic yeast Candida boidinii. Eukaryot Cell. 2008;7(3):527–536. doi: 10.1128/EC.00403-07. [DOI] [PMC free article] [PubMed] [Google Scholar]
- Schwarzhans JP, Luttermann T, Geier M, Kalinowski J, Friehs K. Towards systems metabolic engineering in Pichia pastoris. Biotechnol Adv. 2017;35(6):681–710. doi: 10.1016/j.biotechadv.2017.07.009. [DOI] [PubMed] [Google Scholar]
- Spohner SC, Müller H, Quitmann H, Czermak P. Expression of enzymes for the usage in food and feed industry with Pichia pastoris. J Biotechnol. 2015;202:118–134. doi: 10.1016/j.jbiotec.2015.01.027. [DOI] [PubMed] [Google Scholar]
- Stöckmann C, Scheidle M, Dittrich B, Merckelbach A, Melmer G, Klee D, Büchs J, Kang HA, Gellissen G. Process development in Hansenula polymorpha and Arxula adeninivorans, a re-assessment. Microb Cell Fact. 2009;18(8):22. doi: 10.1186/1475-2859-8-22. [DOI] [PMC free article] [PubMed] [Google Scholar]
- Suzuki T, Baba S, Ono M, Nonaka K, Ichikawa K, Yabuta M, Ito R, Chiba Y. Efficient antibody production in the methylotrophic yeast Ogataea minuta by overexpression of chaperones. J Biosci Bioeng. 2017;124(2):156–163. doi: 10.1016/j.jbiosc.2017.03.001. [DOI] [PubMed] [Google Scholar]
- Tschopp JF, Sverlow G, Kosson R, Craig W, Grinna L. High-level secretion of glycosylated invertase in the methylotrophic yeast, Pichia pastoris. Nat Biotechnol. 1987;5:1305–1308. doi: 10.1038/nbt1287-1305. [DOI] [Google Scholar]
- Tsuda M, Nakatani Y, Baba S, Tanaka I, Ichikawa K, Nonaka K, Ito R, Yoko-o T, Chiba Y. Selection of the methylotrophic yeast Ogataea minuta as a high-producing host for heterologous protein expression. J Biosci Bioeng. 2023;135(3):196–202. doi: 10.1016/j.jbiosc.2022.12.006. [DOI] [PubMed] [Google Scholar]
- Tülek A, Karataş E, Çakar MM, Aydın D, Yılmazcan Ö, Binay B. Optimisation of the production and bleaching process for a new laccase from Madurella mycetomatis, expressed in Pichia pastoris: from secretion to yielding prominent. Mol Biotechnol. 2021;63(1):24–39. doi: 10.1007/s12033-020-00281-9. [DOI] [PubMed] [Google Scholar]
- Van Den Hazel HB, Kielland-Brandt MC, Winther JR. Review: biosynthesis and function of yeast vacuolar proteases. Yeast. 1996;12(1):1–16. doi: 10.1002/(sici)1097-0061(199601)12:1<1::aid-yea902>3.0.co;2-n. [DOI] [PubMed] [Google Scholar]
- Vanz AL, Lünsdorf H, Adnan A, Nimtz M, Gurramkonda C, Khanna N, Rinas U. Physiological response of Pichia pastoris GS115 to methanol-induced high level production of the Hepatitis B surface antigen: catabolic adaptation, stress responses, and autophagic processes. Microb Cell Fact. 2012;8(11):103. doi: 10.1186/1475-2859-11-103. [DOI] [PMC free article] [PubMed] [Google Scholar]
- Vogl T, Ruth C, Pitzer J, Kickenweiz T, Glieder A. Synthetic core promoters for Pichia pastoris. ACS Synth Biol. 2014;3(3):188–191. doi: 10.1021/sb400091p. [DOI] [PMC free article] [PubMed] [Google Scholar]
- Vogl T, Kickenweiz T, Pitzer J, Sturmberger L, Weninger A, Biggs BW, Köhler EM, Baumschlager A, Fischer JE, Hyden P, Wagner M, Baumann M, Borth N, Geier M, Ajikumar PK, Glieder A. Engineered bidirectional promoters enable rapid multi-gene co-expression optimization. Nat Commun. 2018;12(1):1287. doi: 10.1038/s41467-021-21369-z. [DOI] [PMC free article] [PubMed] [Google Scholar]
- Vogl T, Fischer JE, Hyden P, Wasmayer R, Sturmberger L, Glieder A. Orthologous promoters from related methylotrophic yeasts surpass expression of endogenous promoters of Pichia pastoris. AMB Express. 2020;10(1):38. doi: 10.1186/s13568-020-00972-1. [DOI] [PMC free article] [PubMed] [Google Scholar]
- Wang M, Jiang S, Wang Y. Recent advances in the production of recombinant subunit vaccines in Pichia pastoris. Bioengineered. 2016;7(3):155–165. doi: 10.1080/21655979.2016.1191707. [DOI] [PMC free article] [PubMed] [Google Scholar]
- Wang X, Wang Q, Wang J, Bai P, Shi L, Shen W, Zhou M, Zhou X, Zhang Y, Cai M. Mit1 transcription factor mediates methanol signaling and regulates the alcohol oxidase 1 (AOX1) promoter in Pichia pastoris. J Biol Chem. 2016;291(12):6245–6261. doi: 10.1074/jbc.M115.692053. [DOI] [PMC free article] [PubMed] [Google Scholar]
- Wegner GH. Emerging applications of the methylotrophic yeasts. FEMS Microbiol Rev. 1990;7(3–4):279–283. doi: 10.1111/j.1574-6968.1990.tb04925.x. [DOI] [PubMed] [Google Scholar]
- Wegner EH (1980) A process for producing single cell protein material and culture. European patent EP0017853B2
- Weninger A, Hatzl AM, Schmid C, Vogl T, Glieder A. Combinatorial optimization of CRISPR/Cas9 expression enables precision genome engineering in the methylotrophic yeast Pichia pastoris. J Biotechnol. 2016;235:139–149. doi: 10.1016/j.jbiotec.2016.03.027. [DOI] [PubMed] [Google Scholar]
- Werten MW, van den Bosch TJ, Wind RD, Mooibroek H, de Wolf FA. High-yield secretion of recombinant gelatins by Pichia pastoris. Yeast. 1999;15(11):1087–1096. doi: 10.1002/(SICI)1097-0061(199908)15:11<1087::AID-YEA436>3.0.CO;2-F. [DOI] [PubMed] [Google Scholar]
- Wickerham LJ (1951) Taxonomy of yeasts. United States Department of Agriculture, Technical Bulletin No. 1029, Washington, DC
- Yamada Y, Matsuda M, Maeda K, Mikata K. The phylogenetic relationships of methanol-assimilating yeasts based on the partial sequences of 18S and 26S ribosomal RNAs: the proposal of Komagataella gen. nov. (Saccharomycetaceae) Biosci Biotechnol Biochem. 1995;59:439–444. doi: 10.1271/bbb.59.439. [DOI] [PubMed] [Google Scholar]
- Yan C, Yu W, Yao L, Guo X, Zhou YJ, Gao J. Expanding the promoter toolbox for metabolic engineering of methylotrophic yeasts. Appl Microbiol Biotechnol. 2022;106(9–10):3449–3464. doi: 10.1007/s00253-022-11948-5. [DOI] [PubMed] [Google Scholar]
- Yan C, Yu W, Zhai X, Yao L, Guo X, Gao J, Zhou YJ. Characterizing and engineering promoters for metabolic engineering of Ogataea polymorpha. Synth Syst Biotechnol. 2022;7(1):498–505. doi: 10.1016/j.synbio.2021.12.005. [DOI] [PMC free article] [PubMed] [Google Scholar]
- Yang J, Cai H, Liu J, Zeng M, Chen J, Cheng Q, Zhang L. Controlling AOX1 promoter strength in Pichia pastoris by manipulating poly (dA:dT) tracts. Sci Rep. 2018;8(1):1401. doi: 10.1038/s41598-018-19831-y. [DOI] [PMC free article] [PubMed] [Google Scholar]
- Ye J, Ly J, Watts K, Hsu A, Walker A, McLaughlin K, Berdichevsky M, Prinz B, Sean Kersey D, d'Anjou M, Pollard D, Potgieter T. Optimization of a glycoengineered Pichia pastoris cultivation process for commercial antibody production. Biotechnol Prog. 2011;27(6):1744–1750. doi: 10.1002/btpr.695. [DOI] [PubMed] [Google Scholar]
- Yin J, Li G, Ren X, Herrler G. Select what you need: a comparative evaluation of the advantages and limitations of frequently used expression systems for foreign genes. J Biotechnol. 2007;127(3):338–347. doi: 10.1016/j.jbiotec.2006.07.012. [DOI] [PubMed] [Google Scholar]
- Yoko-o T, Komatsuzaki A, Yoshihara E, Zhao S, Umemura M, Gao XD, Chiba Y. Regulation of alcohol oxidase gene expression in methylotrophic yeast Ogataea minuta. J Biosci Bioeng. 2021;132(5):437–444. doi: 10.1016/j.jbiosc.2021.08.001. [DOI] [PubMed] [Google Scholar]
- Yurimoto H. Molecular basis of methanol-inducible gene expression and its application in the methylotrophic yeast Candida boidinii. Biosci Biotechnol Biochem. 2009;73(4):793–800. doi: 10.1271/bbb.80825. [DOI] [PubMed] [Google Scholar]
- Zhan C, Yang Y, Zhang Z, Li X, Liu X, Bai Z. Transcription factor Mxr1 promotes the expression of Aox1 by repressing glycerol transporter 1 in Pichia pastoris. FEMS Yeast Res. 2017 doi: 10.1093/femsyr/fox015. [DOI] [PubMed] [Google Scholar]
- Zhang AL, Luo JX, Zhang TY, Pan YW, Tan YH, Fu CY, Tu FZ. Recent advances on the GAP promoter derived expression system of Pichia pastoris. Mol Biol Rep. 2009;36(6):1611–1619. doi: 10.1007/s11033-008-9359-4. [DOI] [PubMed] [Google Scholar]
- Zhu T, Sun H, Wang M, Li Y. Pichia pastoris as a versatile cell factory for the production of industrial enzymes and chemicals: current status and future perspectives. Biotechnol J. 2019;14(6):1–13. doi: 10.1002/biot.201800694. [DOI] [PubMed] [Google Scholar]
Associated Data
This section collects any data citations, data availability statements, or supplementary materials included in this article.
Supplementary Materials
Data Availability Statement
No datasets were generated or analysed during the current study.



