Abstract
Introduction
Anorexia Nervosa (AN) is a complex psychiatric illness, characterized by a high risk of developing cardiovascular complications. Given the high risk of vascular diseases in patients with AN, we can assume that patients with severe AN have a high risk of developing ischemic stroke. However, to the best of our knowledge, no reports of patients with AN presenting with ischemic stroke have been published, other than a report of the development of IS during refeeding therapy in patients with severe AN.
Case presentation
The present case report is aimed at describing the characteristics of an ischemic stroke occurring in a 19-year-old university student who had a 6-month history of AN. She was a non-smoker, had no relevant medical history and no family history of stroke. Upon hospital admission due to symptoms of stroke (aphasia and facial droop), she exhibited severe malnutrition with a BMI of 12.8 kg/m2. Computerized tomography imaging revealed occlusion of the left M2 branch and a congruous extensive area of hypoperfusion. Further investigations ruled out all common causes of stroke: she had no vascular stenosis, no heart diseases or arrhythmias, and no shunts, and gave negative results in autoimmune, toxicological and thrombophilia screenings.
Conclusion
Clinicians should suspect development of severe complications, including ischemic stroke, in patients with severe AN. Further extensive group studies or group-based studies are needed to elucidate the etiology of ischemic stroke in patients with severe AN. This will enable us to develop more precise and effective interventions.
Graphical Abstract
Keywords: Anorexia Nervosa, Eating disorders, Ischemic stroke, Intravenous thrombolysis, Cardiovascular complications
Introduction
Stroke remains nowadays one of the leading causes of death and disability worldwide [1, 2]. There are two main types of stroke: ischemic and hemorrhagic strokes [3]. Ischemic strokes (IS) are more frequent and are caused by a disruption of blood supply to certain brain regions, leading to a lack of oxygen and subsequent loss of function and death of brain tissue [4]. In general, the causes of IS are classified under four categories: atherosclerosis, cardiac embolism, small vessel disease, and others [4]. Stroke in young people, defined as stroke occurring in patients younger than 55 years, represents an estimated 10–15% of all strokes, resulting in about two million young adults affected by stroke worldwide every year [5–7]. Yet, in up to 35% of all cases with ischemic stroke at a young age, no clear cause can be identified through clinical work-up or the use of stroke TOAST classification [8, 9], resulting in the diagnosis of cryptogenic stroke. Cryptogenic stroke is characterized by higher rates of recurrence than those with other causes [10, 11].
Anorexia nervosa (AN) is a complex psychiatric illness characterized by severe nutritional restriction that can pose a risk to the individual’s life [12]. Patients affected by AN frequently develop severe complications, including hepatic dysfunction, respiratory failure, and cardiac disease [13–16]. Complications related to AN seem to also involve the circulatory system, occurring in up to 87% of patients at some stage of the illness [17]. This seems to reflect the body’s attempt to preserve energy and compensate for poor nutrition and a lower blood volume [18]. Cardiovascular complications involve functional and structural cardiac abnormalities, as well as aberrations of heart rate and rhythm [19]. Peripheral vascular anomalies are also frequently seen in patients with AN, mostly related to cold intolerance and poor peripheral circulation, suggesting heat-preserving vasoconstriction [17, 19]. Recent studies in fact suggest that patients with severe AN frequently have arteriosclerotic damage and experience venous thromboembolism [20, 21]. Some complications eventually lead to fatal outcomes despite careful treatments [22].
Considering the high risk of vascular disease in patients with AN, we can assume that patients with severe AN also have a high risk of developing IS. However, to the best of our knowledge, no reports of patients with AN presenting with IS have been published, other than a report of the development of IS during refeeding therapy in patients with severe AN [23].
This case report offers a brief overview of a case of hospital admission due to a stroke in a 19-year-old patient suffering from AN, in the absence of other organic risk factors or laboratory findings that could justify the event.
Methods
The authors assert that all procedures contributing to this work comply with the ethical standards of the relevant national and institutional committees on human experimentation and with the Helsinki Declaration of 1975, as revised in 2008. Written informed consent was obtained from the patients for publication of this report and any accompanying images.
Case report
We present the case of a female patient, university student and classical ballet dancer, of 19 years old. Her social network was described as stable and she lived with her family. Non-smoker. She denied using alcohol or other substances. No past history of neurological or cardiovascular diseases. She had no family history of stroke. She denied taking chronic medications. She had been treated for AN, Restrictive type, by a private psychotherapist and nutritionist for about six months. The onset of the symptoms of the eating disorder was reported around the age of 13, when in her ballet class environment food rules were imposed with the aim of encouraging thinness. In the six months prior to hospital admission there had been a weight loss of approximately 22 kg. At the moment of the admission, she suffered from severe malnutrition: her BMI was 12.8 kg/m2 (height, 174.5 cm; weight, 39 kg). She was not known to the local public psychiatric services. The case is graphically summarized in Fig. 1.
Fig. 1.
Case summary
The patient arrived at the local hospital emergency department (Maggiore Hospital, Bologna, Italy) by ambulance, accompanied by her parents. About an hour and a half earlier, in her home, she had suddenly presented a speech disorder and an asymmetrical mouth droop. Upon entering the emergency room, she had a blood pressure of 110/80 mmHg, a heart rate of 44 beats per minute and an oxygen saturation in the ambient area of 98%. Her electrocardiogram showed sinus bradycardia, with prolonged QT and nonspecific junctional ST depression. According to the neurological objective examination (performed at the bedside) she appeared alert and able to carry out simple orders in the absence of stenic, sensory or coordination deficits in her limbs. She evidently had a deficit in the right VII cranial nerve, severe motor aphasia and dysarthria. No deficits in ocular movements and vision, nor hemi-neglect, emerged. According to the National Institute of Health Stroke Scale (NIHSS) she had a score 7. The blood tests carried out at the time of access revealed no significant anomalies other than hypercholesterolemia, which had already been diagnosed in routine blood tests (total cholesterol 354 mg/dL with LDL 237 mg/dL).
According to protocol, she underwent an encephalic computerized tomography (CT) without contrast, followed by a perfusion CT with contrast and a triphasic CT angiography of the neck and intracranial vessels. This procedure showed the absence of intracranial hemorrhages and occlusion of the left M2 branch with a congruous and extensive area of hypoperfusion, with a favorable perfusion pattern. In the absence of contraindications, she was treated with intravenous thrombolysis with recombinant tissue plasminogen activator (rtPA) 0.9 mg/kg (10% in bolus and the remaining in infusion over one hour), followed by angiography with thrombectomy by aspiration of the clot in the occluded vessel which led to complete revascularization. She was later admitted to the stroke unit.
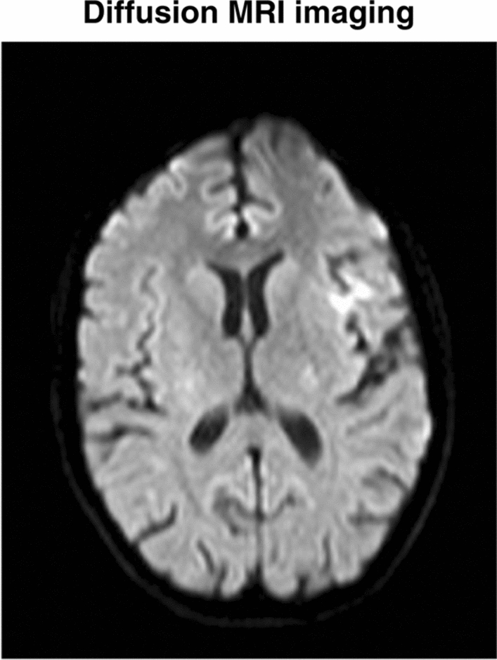
Upon admission to the stroke unit, she had an NIHSS score of 2 and a persisting deficit affecting the VII cranial nerve. This picture rapidly improved until normalization with an NIHSS score of 0. The neuroradiological investigations, in particular the brain magnetic resonance imaging (MRI), showed an ischemic lesion in the left insulae and fronto-opercolar cortex, no longer symptomatic at the time of the scan. In figures reported below diffusion MRI and perfusion CT results are shown (Figs. 2 and 3).
Fig. 2.

MRI diffusion imaging that shows the appearance of an ischemic lesion in the left insulae and fronto-opercolar cortex
Fig. 3.

Perfusion CT imaging RAPID software showing “penumbra”. (CBF, cerebral blood flow; Tmax, time to maximum)
The patient underwent multiple tests aimed at defining the origin of the ischemic stroke. An angiogram of the neck and intracranial vessels showed no significant stenosis. No signs of heart disease or arrhythmias with potential for embolism were found, as assessed via transthoracic and transesophageal echocardiogram and 24 h and 7 day Holter ECG recording (MYATRIA study approved by the hospital ethics committee for which the patient gave her consent). Right to left shunts were also ruled out with a transcranial color doppler ultrasound, and toxicological, autoimmune and thrombophilia screening tests gave negative results.
Antiplatelet therapy with acetylsalicylic acid (100 mg/die) and atorvastatin (20 mg/die) was started for secondary prevention of ischemic stroke of undetermined origin. On the sixth day of hospitalization, she was transferred to Internal Medicine.
Hospitalization in internal medicine lasted 74 days, in which the primary objective was to contrast malnutrition and dehydration by monitoring refeeding. Nutritional therapy was administered both orally and parenterally. For the entire duration of hospitalization, as well as upon discharge, the patient firmly refused to take psychopharmacological drugs; both antidepressants, prescribed to manage mood swings and significant anxiety crises triggered by meals, and sedatives, prescribed to counteract persistent insomnia. From the clinical interviews carried out, it was not possible to fully understand the reason for such strong opposition to psychiatric therapy, leaving only the hypothesis of the presence of stigma towards the status of psychiatric patient. After reaching a weight of 43 kg (BMI 14.2 kg/m2), the patient was transferred to a local residential center specialized in the treatment of EDs.
Discussion
In this case report, we presented a young patient with severe AN who had an ischemic stroke defined as cryptogenic.
Recent studies have reported wide variation in the geographic incidence of stroke in young adults, with results ranging from 5/100,000 cases per year in Europe, to 20/100,000 in North America, and up to 100/100,000 in Africa [24]. The higher incidence of stroke in low-income countries compared to high-income countries may be partially explained by geographically dependent etiological differences (including the presence of rheumatic heart disease) and by lower identification of vascular risk factors due to limited resources [7, 8, 25]. Several studies have shown an increased incidence in recent years of stroke in those younger than 55 years of age [26–29]. Possible causes for increased incidence, as proposed by Farah and colleagues, are an increased prevalence of certain risk factors and of illicit drug use in the general population [30]. At the same time, the introduction of MRI scans and increased awareness of stroke symptoms may also have contributed to higher incidence [30]. Identification of causes and risk factors of ischemic stroke in young adults is key to speed up diagnosis and optimize treatment. Conventional risk factors such as hypertension, central obesity, dyslipidemia, cardiac causes, smoking, drinking alcohol, and psychosocial stress are also important for stroke in those younger than 45 years of age [31]. A recent study conducted by Ekker and colleagues identified Coca-Cola consumption, vigorous physical exercise, sexual activity, illicit drug use, and a feverish state as specific potential trigger factors for stroke in the young population [32].
The patient presented in this report underwent multiple tests aimed at defining the cause of the ischemic stroke, but they all gave negative results. Our extensive work-up revealed no source of embolism. Given the absence of smoking and other behaviors considered at risk for the development of stroke, as well as the absence of elements such as obesity, hypertension, and previous cardiovascular diseases, we hypothesize that the condition of AN is at the basis of this ischemic manifestation. In particular, AN, in its restrictive form, can lead to dehydration dependent on the reduction of fluid intake and the marked suppression of the thirst stimulus [33, 34]. Dehydration, leading to high plasma osmolality, is a potential contributing factor for cerebral ischemia [35, 36]. High plasma osmolality may manifest as orthostatic intolerance and may cause a decreased cerebral blood flow with orthostatic changes [37, 38]. This is accentuated by possible concomitant bradycardia (defined by the 2018 bradycardia guidelines as a non-physiological sinus rate lower than 50 bpm), an element that often characterizes the clinical picture of AN, which is considered a compensatory adaptation within the starved body, mediated by increased vagal tone, in order to preserve energy [17, 39, 40]. In fact, the patient described accessed the emergency room with a heart rate of 44 beats per minute. High tonicity can also lead to an increase in blood viscosity, due to an increase of the hematocrit. As the Hagen-Poiseuille equation states, high blood viscosity translates into an impaired cerebral blood flow, which can be linked to an increased risk of ischemic stroke [41, 42]. Dehydration could also trigger the coagulation cascade by activating the autonomic sympathetic system [43].
An altered lipid profile (in the form of hypercholesterolemia) in AN is associated with increased cardiovascular risk [44, 45]. High serum total cholesterol has been found in patients with AN since 1965 [46]. It has been discovered that hypercholesterolemia in AN patients does not depend on de novo synthesis, even if a secondary synthesis linked to the hyperglycemia consequent to the increased level of cortisol is considered possible [47, 48]. Nestel and colleagues related hypercholesterolemia in AN to diminished cholesterol and bile acid turnover as a mechanism that compensates reduced caloric intake [49]. Moreover, a high level of cholesterol esterase transfer protein activity was demonstrated [50]. Elevated cholesterol levels are associated to an increased risk of stroke incidence since, in addition to extracranial atherosclerosis, hyperlipidemia promotes cervical and coronary atherosclerosis, which predisposes to atherothrombotic and cardioembolic stroke [51]. In our patient, no alterations in the hematocrit or coagulation cascade were found, just as no evidence of atherosclerosis was found.
Conclusion
In order to prevent the development of organic complications, which can be so complex as to threaten the survival of the individual, it becomes of primary importance to attempt to prevent AN from evolving into severe or enduring forms. Indeed, approximately 20% of individuals diagnosed with AN are estimated to relapse into a long-lasting disorder [52, 53]. Therefore, it is of paramount importance to identify and diagnose the disorder as early as possible [54, 55] and to initiate an integrated and patient-centred approach that can effectively address the multiple challenges posed by AN [56–58].
In conclusion, we report here the case of a patient with severe AN who had an episode of ischemic stroke. Our extensive clinical workup was not able to determine the etiology of ischemia. The etiology of the event remains undetermined at this time. This case provides novel insights: clinicians should suspect development of severe complications, including ischemic stroke, in patients with severe AN. Further extensive group studies or group-based studies are needed to elucidate the etiology of ischemic stroke in patients with severe AN. This will enable us to develop more precise and effective interventions.
Acknowledgements
Authors do thank Fondazione Gruber Onlus for constant support.
Author contributions
Conception of the work: MF, ARA; design of the work: MF; Acquisition, analysis, interpretation of data: MF, AG; Drafted the work: MF, STV, WC; Revision of the work: AZ, ARA, DRD.
Funding
Not applicable.
Availability of data and materials
The data used during the current study are available from the corresponding author on reasonable request.
Declarations
Ethics approval and consent to participate
Written informed consent was obtained from the patients for collecting data.
Consent for publication
Written informed consent was obtained from the patients for publication of this report and any accompanying images.
Competing interests
The authors declare that they have no competing interests.
Footnotes
Publisher's Note
Springer Nature remains neutral with regard to jurisdictional claims in published maps and institutional affiliations.
References
- 1.GBD Stroke Collaborators. Global, regional, and national burden of stroke, 1990–2016: a systematic analysis for the global burden of disease study 2016. Lancet Neurol. 2019;18(5):439–58. 10.1016/S1474-4422(19)30034-1 [DOI] [PMC free article] [PubMed] [Google Scholar]
- 2.Katan M, Luft A. Global burden of stroke. Semin Neurol. 2018;38(2):208–11. 10.1055/s-0038-1649503 [DOI] [PubMed] [Google Scholar]
- 3.Abdu H, Tadese F, Seyoum G. Comparison of ischemic and hemorrhagic stroke in the medical ward of Dessie referral hospital, Northeast Ethiopia: a retrospective study. Neurol Res Int. 2021;2021:9996958. 10.1155/2021/9996958 [DOI] [PMC free article] [PubMed] [Google Scholar]
- 4.Jensen M, Thomalla G. Causes and secondary prevention of acute ischemic stroke in adults. Hamostaseologie. 2020;40(1):22–30. 10.1055/s-0039-1700502 [DOI] [PubMed] [Google Scholar]
- 5.Jacob MA, Ekker MS, Allach Y, Cai M, Aarnio K, Arauz A, et al. Global differences in risk factors, etiology, and outcome of ischemic stroke in Young adults-a worldwide meta-analysis: the GOAL initiative. Neurology. 2022;98(6):e573–88. 10.1212/WNL.0000000000013195 [DOI] [PMC free article] [PubMed] [Google Scholar]
- 6.Feigin VL, Roth GA, Naghavi M, Parmar P, Krishnamurthi R, Chugh S, et al. Global burden of stroke and risk factors in 188 countries, during 1990–2013: a systematic analysis for the global burden of disease study 2013. Lancet Neurol. 2016;15(9):913–24. 10.1016/S1474-4422(16)30073-4 [DOI] [PubMed] [Google Scholar]
- 7.Boot E, Ekker MS, Putaala J, Kittner S, Leeuw FED, Tuladhar AM. Ischaemic stroke in young adults: a global perspective. J Neurol Neurosurg Psychiatry. 2020;91(4):411–7. 10.1136/jnnp-2019-322424 [DOI] [PubMed] [Google Scholar]
- 8.Ekker MS, Verhoeven JI, Schellekens MMI, Boot EM, van Alebeek ME, Brouwers PJAM, et al. Risk factors and causes of ischemic stroke in 1322 young adults. Stroke. 2023;54(2):439–47. 10.1161/STROKEAHA.122.040524 [DOI] [PMC free article] [PubMed] [Google Scholar]
- 9.Adams HP, Bendixen BH, Kappelle LJ, Biller J, Love BB, Gordon DL, et al. Classification of subtype of acute ischemic stroke. Definitions for use in a multicenter clinical trial. TOAST. Trial of Org 10172 in acute stroke treatment. Stroke. 1993;24(1):35–41. 10.1161/01.STR.24.1.35 [DOI] [PubMed] [Google Scholar]
- 10.Perera KS, de Sa BD, Rao-Melacini P, Taylor A, Cheng A, Hankey GJ, et al. Evaluating rates of recurrent ischemic stroke among young adults with embolic stroke of undetermined source: the young ESUS longitudinal cohort study. JAMA Neurol. 2022;79(5):450–8. 10.1001/jamaneurol.2022.0048 [DOI] [PMC free article] [PubMed] [Google Scholar]
- 11.Nassif M, Annink M, Yang H, Rettig T, Roos Y, van den Brink R, et al. Long-term (>10-year) clinical follow-up after young embolic stroke/TIA of undetermined source. Int J Stroke. 2021;16(1):7–11. 10.1177/1747493019884520 [DOI] [PMC free article] [PubMed] [Google Scholar]
- 12.DSM Library [Internet]. [cited 2023 Apr 30]. Diagnostic and Statistical Manual of Mental Disorders. Available from: https://dsm.psychiatryonline.org/doi/book/10.1176/appi.books.9780890425787
- 13.Romero-Canyas R, Downey G, Reddy KS, Rodriguez S, Cavanaugh TJ, Pelayo R. Paying to belong: when does rejection trigger ingratiation? J Pers Soc Psychol. 2010;99(5):802. 10.1037/a0020013 [DOI] [PMC free article] [PubMed] [Google Scholar]
- 14.Kerem NC, Riskin A, Averin E, Srugo I, Kugelman A. Respiratory acidosis in adolescents with anorexia nervosa hospitalized for medical stabilization: a retrospective study. Int J Eat Disord. 2012;45(1):125–30. 10.1002/eat.20911 [DOI] [PubMed] [Google Scholar]
- 15.Casiero D, Frishman WH. Cardiovascular complications of eating disorders. Cardiol Rev. 2006;14(5):227. 10.1097/01.crd.0000216745.96062.7c [DOI] [PubMed] [Google Scholar]
- 16.Marcolini F, Ravaglia A, TempiaValenta S, Bosco G, Marconi G, Sanna F, et al. Severe-enduring anorexia nervosa (SE-AN): a case series. J Eat Disord. 2023;11(1):208. 10.1186/s40337-023-00925-6 [DOI] [PMC free article] [PubMed] [Google Scholar]
- 17.Friars D, Walsh O, McNicholas F. Assessment and management of cardiovascular complications in eating disorders. J Eat Disord. 2023;30(11):13. 10.1186/s40337-022-00724-5 [DOI] [PMC free article] [PubMed] [Google Scholar]
- 18.Sharp CW, Freeman CP. The medical complications of anorexia nervosa. Br J Psychiatry. 1993;162:452–62. 10.1192/bjp.162.4.452 [DOI] [PubMed] [Google Scholar]
- 19.Sachs KV, Harnke B, Mehler PS, Krantz MJ. Cardiovascular complications of anorexia nervosa: a systematic review. Int J Eat Disord. 2016;49(3):238–48. 10.1002/eat.22481 [DOI] [PubMed] [Google Scholar]
- 20.Tonhajzerova I, Mestanikova A, Jurko A, Grendar M, Langer P, Ondrejka I, et al. Arterial stiffness and haemodynamic regulation in adolescent anorexia nervosa versus obesity. Appl Physiol Nutr Metab. 2020;45(1):81–90. 10.1139/apnm-2018-0867 [DOI] [PubMed] [Google Scholar]
- 21.Abdelhadi Z, Bladbjerg EM, Jensen DM, Schousboe A, Støving RK. Venous thromboembolism in anorexia nervosa: four cases from a specialized unit. Indication for thromboprophylaxis? Eat Weight Disord. 2020;25(6):1833–7. 10.1007/s40519-019-00830-5 [DOI] [PubMed] [Google Scholar]
- 22.Castellini G, Caini S, Cassioli E, Rossi E, Marchesoni G, Rotella F, et al. Mortality and care of eating disorders. Acta Psychiatr Scand. 2023;147(2):122–33. 10.1111/acps.13487 [DOI] [PMC free article] [PubMed] [Google Scholar]
- 23.Mimura Y, Shimizu Y, Oi H, Kurose S, Kudo S, Takata T, et al. Case series: ischemic stroke associated with dehydration and arteriosclerosis in individuals with severe anorexia nervosa. J Eat Disord. 2021;9(1):39. 10.1186/s40337-021-00393-w [DOI] [PMC free article] [PubMed] [Google Scholar]
- 24.Sarfo FS, Ovbiagele B, Gebregziabher M, Wahab K, Akinyemi R, Akpalu A, et al. Stroke among young West Africans. Stroke. 2018;49(5):1116–22. 10.1161/STROKEAHA.118.020783 [DOI] [PMC free article] [PubMed] [Google Scholar]
- 25.Cabral NL, Freire AT, Conforto AB, dos Santos N, Reis FI, Nagel V, et al. Increase of stroke incidence in young adults in a middle-income country. Stroke. 2017;48(11):2925–30. 10.1161/STROKEAHA.117.018531 [DOI] [PubMed] [Google Scholar]
- 26.Tibæk M, Dehlendorff C, Jørgensen HS, Forchhammer HB, Johnsen SP, Kammersgaard LP. Increasing incidence of hospitalization for stroke and transient ischemic attack in young adults: a registry-based study. J Am Heart Assoc. 2016;5(5):e003158. 10.1161/JAHA.115.003158 [DOI] [PMC free article] [PubMed] [Google Scholar]
- 27.Rosengren A, Giang KW, Lappas G, Jern C, Torén K, Björck L. Twenty-four-year trends in the incidence of ischemic stroke in Sweden from 1987 to 2010. Stroke. 2013;44(9):2388–93. 10.1161/STROKEAHA.113.001170 [DOI] [PubMed] [Google Scholar]
- 28.Béjot Y, Daubail B, Jacquin A, Durier J, Osseby GV, Rouaud O, et al. Trends in the incidence of ischaemic stroke in young adults between 1985 and 2011: the Dijon stroke registry. J Neurol Neurosurg Psychiatry. 2014;85(5):509–13. 10.1136/jnnp-2013-306203 [DOI] [PubMed] [Google Scholar]
- 29.Kissela BM, Khoury JC, Alwell K, Moomaw CJ, Woo D, Adeoye O, et al. Age at stroke. Neurology. 2012;79(17):1781–7. 10.1212/WNL.0b013e318270401d [DOI] [PMC free article] [PubMed] [Google Scholar]
- 30.Farah M, Næss H, Waje-Andreassen U, Nawaz B, Fromm A. Comparison between first-ever ischemic stroke in young adults in 1988–1997 and 2008–2017. Vasc Health Risk Manag. 2023;19:231–5. 10.2147/VHRM.S398127 [DOI] [PMC free article] [PubMed] [Google Scholar]
- 31.Khan M, Wasay M, O’Donnell MJ, Iqbal R, Langhorne P, Rosengren A, et al. Risk factors for stroke in the young (18–45 Years): a case-control analysis of INTERSTROKE data from 32 countries. Neuroepidemiology. 2023;57(5):275–83. 10.1159/000530675 [DOI] [PubMed] [Google Scholar]
- 32.Ekker MS, Verhoeven JI, Rensink KML, Schellekens MMI, Boot EM, van Alebeek ME, et al. Trigger factors for stroke in young adults: a case-crossover study. Neurology. 2023;100(1):e49-61. 10.1212/WNL.0000000000201341 [DOI] [PubMed] [Google Scholar]
- 33.Oliveira J, Cordás TA. The body asks and the mind judges: food cravings in eating disorders. Encephale. 2020;46(4):269–82. 10.1016/j.encep.2020.01.003 [DOI] [PubMed] [Google Scholar]
- 34.Speranza E, Marra M, De Filippo E, De Caprio C, Sammarco R, Morlino D, et al. Nutritional indicators and metabolic alterations in outpatients with anorexia nervosa: a retrospective study. Eat Weight Disord. 2021;26(8):2693–9. 10.1007/s40519-021-01121-8 [DOI] [PMC free article] [PubMed] [Google Scholar]
- 35.Rodriguez GJ, Cordina SM, Vazquez G, Suri MFK, Kirmani JF, Ezzeddine MA, et al. The hydration influence on the risk of stroke (THIRST) study. Neurocrit Care. 2009;10(2):187–94. 10.1007/s12028-008-9169-5 [DOI] [PubMed] [Google Scholar]
- 36.Bhalla A, Sankaralingam S, Dundas R, Swaminathan R, Wolfe CD, Rudd AG. Influence of raised plasma osmolality on clinical outcome after acute stroke. Stroke. 2000;31(9):2043–8. 10.1161/01.STR.31.9.2043 [DOI] [PubMed] [Google Scholar]
- 37.Carter R, Cheuvront SN, Vernieuw CR, Sawka MN. Hypohydration and prior heat stress exacerbates decreases in cerebral blood flow velocity during standing. J Appl Physiol. 2006;101(6):1744–50. 10.1152/japplphysiol.00200.2006 [DOI] [PubMed] [Google Scholar]
- 38.Cox JR, Admani AK, Agarwal ML, Abel P. Postural hypotension: body fluid compartments and electrolytes. Age Age. 1973;2(2):112–20. 10.1093/ageing/2.2.112 [DOI] [PubMed] [Google Scholar]
- 39.Neale J, Hudson LD. Anorexia nervosa in adolescents. Br J Hosp Med. 2020;81(6):1–8. 10.12968/hmed.2020.0099 [DOI] [PubMed] [Google Scholar]
- 40.Kusumoto FM, Schoenfeld MH, Barrett C, Edgerton JR, Ellenbogen KA, Gold MR, et al. 2018 ACC/AHA/HRS guideline on the evaluation and management of patients with bradycardia and cardiac conduction delay. J Am Coll Cardiol. 2019;74(7):e51-156. 10.1016/j.jacc.2018.10.044 [DOI] [PubMed] [Google Scholar]
- 41.Gagnon DR, Zhang TJ, Brand FN, Kannel WB. Hematocrit and the risk of cardiovascular disease–the Framingham study: a 34-year follow-up. Am Heart J. 1994;127(3):674–82. 10.1016/0002-8703(94)90679-3 [DOI] [PubMed] [Google Scholar]
- 42.Heros RC, Korosue K. Hemodilution for cerebral ischemia. Stroke. 1989;20(3):423–7. 10.1161/01.STR.20.3.423 [DOI] [PubMed] [Google Scholar]
- 43.Yun AJ, Lee PY, Bazar KA. Clinical benefits of hydration and volume expansion in a wide range of illnesses may be attributable to reduction of sympatho-vagal ratio. Med Hypotheses. 2005;64(3):646–50. 10.1016/j.mehy.2004.07.014 [DOI] [PubMed] [Google Scholar]
- 44.García-Rubira JC, Hidalgo R, Gómez-Barrado JJ, Romero D, Cruz Fernández JM. Anorexia nervosa and myocardial infarction. Int J Cardiol. 1994;45(2):138–40. 10.1016/0167-5273(94)90270-4 [DOI] [PubMed] [Google Scholar]
- 45.Bankier B, Littman AB. Psychiatric disorders and coronary heart disease in women—a still neglected topic: review of the literature from 1971 to 2000. Psychother Psychosom. 2002;71(3):133–40. 10.1159/000056280 [DOI] [PubMed] [Google Scholar]
- 46.Klinefelter HF. Hypercholesterolemia in anorexia nervosa. J Clin Endocrinol Metab. 1965;25(11):1520–1. 10.1210/jcem-25-11-1520 [DOI] [PubMed] [Google Scholar]
- 47.Feillet F, Feillet-Coudray C, Bard JM, Parra HJ, Favre E, Kabuth B, et al. Plasma cholesterol and endogenous cholesterol synthesis during refeeding in anorexia nervosa. Clin Chim Acta. 2000;294(1–2):45–56. 10.1016/S0009-8981(99)00256-9 [DOI] [PubMed] [Google Scholar]
- 48.Schmalbach I, Herhaus B, Pässler S, Runst S, Berth H, Wolff-Stephan S, et al. Cortisol reactivity in patients with anorexia nervosa after stress induction. Transl Psychiatry. 2020;10(1):275. 10.1038/s41398-020-00955-7 [DOI] [PMC free article] [PubMed] [Google Scholar]
- 49.Nestel PJ. Cholesterol metabolism in anorexia nervosa and hypercholesterolemia. J Clin Endocrinol Metab. 1974;38(2):325–8. 10.1210/jcem-38-2-325 [DOI] [PubMed] [Google Scholar]
- 50.Rigaud D, Tallonneau I, Vergès B. Hypercholesterolaemia in anorexia nervosa: frequency and changes during refeeding. Diabetes Metab. 2009;35(1):57–63. 10.1016/j.diabet.2008.08.004 [DOI] [PubMed] [Google Scholar]
- 51.Menet R, Bernard M, ElAli A. Hyperlipidemia in stroke pathobiology and therapy: insights and perspectives. Front Physiol. 2018;15(9):488. 10.3389/fphys.2018.00488 [DOI] [PMC free article] [PubMed] [Google Scholar]
- 52.Nagy H, Paul T, Jain E, Loh H, Kazmi SH, Dua R, et al. A clinical overview of anorexia nervosa and overcoming treatment resistance. Avicenna J Med. 2023;13(1):3–14. 10.1055/s-0042-1758859 [DOI] [PMC free article] [PubMed] [Google Scholar]
- 53.Steinhausen HC. Outcome of eating disorders. Child Adolesc Psychiatr Clin N Am. 2009;18(1):225–42. 10.1016/j.chc.2008.07.013 [DOI] [PubMed] [Google Scholar]
- 54.Neubauer K, Weigel A, Daubmann A, Wendt H, Rossi M, Löwe B, et al. Paths to first treatment and duration of untreated illness in anorexia nervosa: are there differences according to age of onset? Eur Eat Disord Rev. 2014;22(4):292–8. 10.1002/erv.2300 [DOI] [PubMed] [Google Scholar]
- 55.Volpe U, Monteleone AM, Ricca V, Corsi E, Favaro A, Santonastaso P, et al. Pathways to specialist care for eating disorders: an Italian multicentre study. Eur Eat Disord Rev. 2019;27(3):274–82. 10.1002/erv.2669 [DOI] [PubMed] [Google Scholar]
- 56.Calugi S, El Ghoch M, Dalle GR. Intensive enhanced cognitive behavioural therapy for severe and enduring anorexia nervosa: a longitudinal outcome study. Behav Res Ther. 2017;89:41–8. 10.1016/j.brat.2016.11.006 [DOI] [PubMed] [Google Scholar]
- 57.Marcolini F, Ravaglia A, TempiaValenta S, Bosco G, Marconi G, De Ronchi D, et al. Severe enduring anorexia nervosa (SE-AN) treatment options and their effectiveness: a review of literature. J Eat Disord. 2024;12(1):48. 10.1186/s40337-024-01006-y [DOI] [PMC free article] [PubMed] [Google Scholar]
- 58.Treasure J, Stein D, Maguire S. Has the time come for a staging model to map the course of eating disorders from high risk to severe enduring illness? An examination of the evidence. Early Interv Psychiatry. 2015;9(3):173–84. 10.1111/eip.12170 [DOI] [PubMed] [Google Scholar]
Associated Data
This section collects any data citations, data availability statements, or supplementary materials included in this article.
Data Availability Statement
The data used during the current study are available from the corresponding author on reasonable request.


