Abstract
Purpose
To determine if early central corneal thickness (CCT) and best-corrected visual acuity (BCVA) changes indicate graft detachment after uncomplicated Descemet membrane endothelial keratoplasty (DMEK).
Methods
In this analysis of our prospectively collected ADDA registry data (https://drks.de/search/de/trial/DRKS00027180), 45 pseudophakic eyes underwent DMEK surgery at the Department of Ophthalmology, RWTH Aachen University. Anterior segment optical coherence tomography (AS-OCT), the presence of stromal ripples on the posterior corneal surface, and BCVA measurements were assessed prior to, 1 day, 1 week, 1 month, and 6 months after surgery.
Results
Eyes were categorized into three groups: no graft detachment (group 1) (20/45; 44.4%), < 1/3 graft detachment (group 2) (14/45; 31.1%), ≥ 1/3 graft detachment followed by rebubbling (group 3) (11/45; 24.4%). Eyes in group 3 had a greater CCT prior to (746.8 ± 95.8 µm vs. 665.0 ± 74.4 µm, P = 0.041), and 1 week (666.8 ± 119.5 µm vs. 556.5 ± 56.8 µm, P = 0.001) after DMEK compared to group 1. By 1 month, CCT in all groups aligned. Comparing prior to and 1 week after DMEK, none of the eyes in group 1 had an increase in CCT, while the CCT increased in 25.0% of eyes in group 2 and 22.2% in group 3. In group 1, 90.0% had a CCT of < 600 µm 1 week after DMEK, compared to only 50.0% in group 2 and 36.4% in group 3. In group 1, 90.0% (18/20) had an improved BCVA 1 week after DMEK, while in groups 2 and 3, 86.7% (12/14) and 18.2% (2/11) improved, respectively. One patient in group 3 showed posterior stromal ripples 1 day and 1 week after DMEK.
Conclusion
If 1 week after uncomplicated DMEK CCT is < 600 µm and has decreased from before surgery, BCVA has improved, and there are no posterior stromal ripples, a graft detachment ≥ 1/3 and the need for rebubbling are very unlikely. In all other cases, meticulous slit-lamp and OCT inspection of the peripheral graft for detachments should be advised.
Keywords: Lamellar corneal surgery, Descemet membrane endothelial keratoplasty, Central corneal thickness, Graft detachment
Introduction
Descemet membrane endothelial keratoplasty (DMEK) has become the gold-standard treatment for corneal endothelial dysfunction such as Fuchs endothelial dystrophy (FED) or bullous keratopathy (BK), as it combines several major advantages over penetrating keratoplasty, including a quicker visual recovery, superior postoperative refractive outcomes, decreased rates of rejection, an increased postoperative wound strength, and better visual acuity results [1–4]. The technique was firstly described by Melles et al. in 2006 and subsequently modified to reduce complications and improve the surgical outcome [5–8].
One of the most common complications following DMEK surgery is graft detachment (2.0–82.0%) [1, 9–15]. The causes are multifactorial and include donor and recipient characteristics, such as donor and recipient age, as well as surgical parameters, such as graft folding and orientation and anterior chamber tamponade [16, 17]. Graft detachments predominantly occur in the first weeks after surgery, so patients must be monitored closely [18, 19]. When the area of graft detachment exceeds approx. 1/3, many institutions, us included, inject air or sulfur hexafloride (SF6) gas into the anterior chamber to facilitate reattachment [10, 15, 20, 21]. This procedure is referred to as rebubbling.
As peripheral detachments can be hard to detect and to make the ophthalmologist’s life easier, it would be very helpful to have week 1 parameters, which would strongly indicate full graft detachment, ideally by only looking at BCVA and a central anterior-segment optical coherence tomography (AS-OCT) scan.
Muijzer et al. established predictive biomarkers by applying a grid to AS-OCT images to divide the cornea in 25 corneal zones. While observing corneal thickness changes in all regions is time consuming, changes in the central corneal thickness (CCT) are quickly and reproducibly detected. Furthermore, another assumed predictive biomarker for graft detachment, the presence of posterior stromal ripples, irregularities in the posterior corneal profile that take the shape of a ripple, were evaluated [22]. Both CCT and presence of central stromal ripples can be detected in single central AS-OCT images and evaluated quickly in daily clinical practice.
In this study, we investigated the occurrence of graft detachment solely following uncomplicated DMEK surgery. The goal was to determine if early CCT, relative and absolute changes in CCT, the posterior corneal profile, and the best-corrected visual acuity (BCVA) translate into practical, clinical biomarkers for graft detachment.
Materials and methods
Study type
This retrospective analysis of the prospective ADDA registry was conducted by the Department of Ophthalmology, RWTH Aachen University GermanClinicalTrialsRegister. [23].
Patient characteristics
The study included 45 eyes undergoing sole DMEK surgery (no combination with other procedures, e.g., cataract surgery (triple DMEK)). Mean age at the time of surgery was 75.1 ± 7.5 (60.9–86.7) years. Twenty-four (53.3%) were female, and 21 (46.7%) were male patients. Forty-three (95.4%) patients were Caucasian, and two (4.6%) were Asian. Surgery was performed on 26 (57.8%) right and 19 (42.2%) left eyes. Thirty-five (77.8%) eyes underwent DMEK because of FED, and ten (22.2%) for BK (Table 1). All patients were pseudophakic. All patients had uncomplicated cataract surgery with in the bag posterior intraocular lens implantation at least 3 months prior to DMEK surgery.
Table 1.
Characteristics of patients receiving uncomplicated Descemet membrane endothelial keratoplasty (DMEK)
| Characteristics: | |
|---|---|
| Sex: | |
| Male | 21 (46.67%) |
| Female | 24 (53.33%) |
| Race: | |
| Caucasian | 43 (95.35%) |
| Asian | 2 (4.65%) |
| Right eye | 26 (57.78%) |
| Left eye | 19 (42.22%) |
| CCT (µm) preDMEK | 686.28 ± 87.79 (519.00–945.00) |
| BCVA (logMAR) preDMEK | 0.84 ± 0.43 (0.30–2.00) |
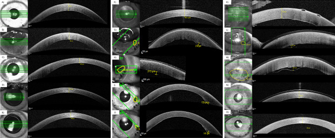
Graft detachment was defined as a gap between the donor graft and the recipient corneal stroma observed in slit lamp examinations and confirmed via AS-OCT (Fig. 1; Spectralis-OCT, Heidelberg Engineering GmbH, Heidelberg, Germany). The area of detachment was encircled in the en face images using the Spectralis-OCT software, as seen in Fig. 1M. By dividing the encircled area of detachment by the total graft area, the proportional detachment was obtained. Graft detachments were subdivided into minor (< 1/3 of the graft) or major (≥ 1/3 of the graft) detachments, with a subsequent indication for a rebubbling (Fig. 1). A successful rebubbling was defined by a complete graft reattachment at the next follow-up. In a modified classification based on the work of Coco et al., the degree of posterior stromal ripples was graded as none, mild, or severe based on their number (0 for none, ≤ 4 for mild, or > 4 for severe) as presented in the single most central cross-sectional AS-OCT image (parameters in Spectralis-OCT: 20° × 10°, 512 A-scans, 41 sections at 139-µm width), as seen in Fig. 2 [22]. To match the term used in the original publication by Coco et al. firstly addressing the appearance of corneal ripples and their relevance for DMEK graft detachments, we choose to use the term posterior stromal ripples, instead of the also commonly used term stromal folds.
Fig. 1.
Central corneal thickness (CCT), area of detachment, and maximum distance of detachment measurements prior to, 1 day, 1 week, 1 month, and 6 months after Descemet membrane endothelial keratoplasty (DMEK) via anterior segment spectral-domain optical coherence tomography (AS-OCT, Heidelberg Engineering, Heidelberg, Germany). A–E No detachment. F–J Graft detachment < 1/3 of graft area. K–O Graft detachment ≥ 1/3 of graft area with subsequent rebubbling. M: Encircled area of detachment in the en face image on the left. Proportional detachment ≥ 1/3 of the graft’s area
Fig. 2.
Presence of posterior stromal ripples after Descemet membrane endothelial keratoplasty (DMEK) via anterior segment spectral-domain optical coherence tomography (AS-OCT, Heidelberg Engineering, Heidelberg, Germany). A Mild posterior stromal ripples 1 week after DMEK. White arrow indicates posterior stromal ripple. B Severe posterior stromal ripples 1 day after DMEK. White arrow indicates posterior stromal ripple
Inclusion criteria
Included were pseudophakic patients undergoing uncomplicated sole DMEK surgery without any intraoperative (e.g., iris damage, bleeding, or additional intraoperative iridectomies) or postoperative complications (e.g., intraocular pressure (IOP) spikes, pronounced intraocular inflammation, and/or fibrin deposition). Rebubbling was not considered a complication.
Exclusion criteria
Excluded were eyes with additional eye diseases apart from FED or BK. Eyes with any prior ocular surgery apart from cataract surgery were also excluded. The eyes received no preoperative eye drops apart from lubricating and/or antibiotic eye drops in case of progressed BK.
Surgical technique
Surgery was performed as previously described [15]. Briefly, two yttrium–aluminum-garnet laser (Visulas YAG II, Carl Zeiss Meditec AG, Jena, Germany) iridotomies were performed inferiorly (usually at 5 and 7 o’clock) at least 24 h prior to DMEK surgery. No intraoperative iridectomies were performed. Transplants were prestripped less than 24 h prior to surgery. DMEK surgery was performed as previously described by Melles et al. [5, 6]. All DMEK surgeries were performed under general anesthesia. Donor grafts had a median diameter of 8.0 (7.25–9.0) mm. The central host DM was stripped under air aiming for a diameter approximately 1.0 mm larger than the donor graft. After buffered saline solution exchange (BSS, Alcon, Fort Worth, USA), the stained (trypan blue, VisionBlue, DORC, Rotterdam, Netherlands) donor graft was injected into the anterior chamber. By carefully impressing and tapping the corneal surface with a shallow anterior chamber, all grafts could be unfolded. An air bubble was injected behind the graft to fixate it. The anterior chamber was then fully filled with SF6 20.0% (Arceole pure SF6, Arcadophta, Toulouse, France). Intraocular pressure (IOP) was estimated by indentation and set to normal levels. In case of low IOP, additional SF6 20.0% was injected, in high IOP released. Finally, a contact lens was placed and dexamethasone dihydrogen phosphate disodium 1.0 mg/ml and gentamicin sulfate 5.0 mg/ml eye drops (Dexa-Gentamicin, Ursapharm, Saarbrücken, Germany) and pilocarpine 20.0 mg/g eye drops (Pilomann 2%, Bausch Lomb, Rochester, USA) were applied.
Rebubbling was performed in supine position under local anesthesia, when more than one-third of the graft was detached between 1 and 4 weeks after DMEK surgery. Following a 23G paracentesis, SF6 20.0% gas was injected to fill the anterior chamber. IOP was checked and a contact lens placed followed by dexamethasone dihydrogen phosphate disodium 1.0 mg/ml and gentamicin sulfate 5.0 mg/ml eye drops and pilocarpine 20.0 mg/g eye drops.
Medication
For the first week after DMEK surgery, patients received dexamethasone dihydrogen phosphate disodium 1.0 mg/ml and gentamicin sulfate 5.0 mg/ml eye drops five times daily and prednisolone acetate 10.0 mg/ml eye drops (Inflanefran forte, Allergan, Dublin, Ireland), five times daily. Additionally, patients received pilocarpine 20.0 mg/g eye drops twice daily until complete resolution of intraocular 20.0% SF6 gas, respectively. After the first month, only prednisolone acetate 10.0 mg/ml eye drops were continued. These were tapered by one drop every month to a maintenance dose of once daily for life.
Examination and follow-up
Eye examinations prior to surgery, 1 day, 1 week, 1 month, and 6 months after surgery were analyzed. This study evaluated CCT measurements via AS-OCT including CCT values, absolute and relative changes in CCT, and area and maximum distance of detachment as well as irregularities in the posterior corneal profile in the shape of ripples. The BCVA was measured using the Snellen visual acuity chart, and we analyzed the results using logarithm of the minimum angle of resolution (logMAR) equivalent units.
Ethics
This study followed the tenets of the Declaration of Helsinki and was approved by the Institutional Ethical Review Board of the RWTH Aachen University. This study was conducted as part of the ADDA registry [23].
Statistics
If not specified, otherwise all values were expressed as the mean ± standard deviation (range min–max). All statistical analyses were performed with GraphPad Prism (GraphPad Prism V9, San Diego, USA). Comparisons between categorical variables were conducted using the Fisher’s exact test or X2-test for multiple comparisons. For continuous measures, the paired and unpaired t-tests or simple one-way ANOVA were used. For values not following a normal Gaussian distribution, Mann–Whitney-U or Wilcoxon signed-rank test was used. A P value of < 0.05 was considered statistically significant.
Results
No significant difference in age, sex, race, or indication for DMEK surgery comparing the three groups mentioned above was observed (Table 2). Twenty-five (55.6%) of 45 eyes showed a graft detachment. In eleven eyes (24.4%), detachment was ≥ 1/3 of the graft’s area subsequently leading to rebubbling. Mean time to rebubbling was 10.5 ± 4.5 (7.0–22.0) days. No eyes received more than one rebubbling. To further evaluate the CCT in association with graft detachment, patients were divided into three groups: no graft detachment (group 1), graft detachment < 1/3 of the area (group 2), and graft detachment ≥ 1/3 of the area, subsequently needing a rebubbling (group 3). One day after surgery, six of 14 patients (42.9%) in group 2 and five of eleven patients (45.5%) in group 3 showed detachment. One week after surgery, 14 of 14 patients (100.0%) in group 2 and eleven of eleven patients (100.0%) in group 3 showed detachment. One month after surgery, eleven of 14 patients (78.6%) in group 2 and two of eleven patients in group 3 showed detachment. Six months after surgery, one of 14 patients in group 2 (18.2%) and no patient in group 3 showed detachment (Table 2).
Table 2.
Characteristics of patients receiving uncomplicated Descemet membrane endothelial keratoplasty (DMEK) in three groups
| Characteristics: | Group 1: no detachment (N = 20/45 (79.4%)) | Group 2: detachment < 1/3 (N = 14/45 (21.6%)) | Group 3: detachment ≥ 1/3 + rebubbling (N = 11/45 (24.4%)) | P-value |
|---|---|---|---|---|
| Age (years) | 74.41 ± 7.17 (62.03–87.25) | 74.80 ± 8.55 (60.85–86.74) | 76.34 ± 6.14 (68.08–85.94) | 0.836 |
| Sex: | ||||
| Male | 10 (50.00%) | 7 (50.00%) | 4 (36.36%) | 0.733 |
| Female | 10 (50.00%) | 7 (50.00%) | 7 (63.64%) | |
| Indication: | ||||
| FED | 15 (75.00%) | 12 (85.71%) | 8 (72.7%) | 0.683 |
| BK | 5 (25.00%) | 2 (14.29%) | 3 (27.3%) | |
| Race: | ||||
| Caucasian | 20 (100.00%) | 14 (100.00%) | 9 (81.81%) | > 0.999 |
| Asian | 0 | 0 | 2 (18.19%) | |
| Right eye | 13 (65.00%) | 7 (50.00%) | 6 (54.55%) | 0.663 |
| Left eye | 7 (35.00%) | 7 (50.00%) | 5 (45.45%) | |
| Time to rebubbling (days) | N/A | N/A | 10.45 ± 4.54 (7.00–22.00) | |
| BCVA (logMAR) | ||||
| PreDMEK | 0.83 ± 0.45 (0.30–2.00)* | 0.82 ± 0.34 (0.40–2.00) | 0.88 ± 0.53 (0.52–2.00)* | * < 0.001 |
| 1 week | 0.45 ± 0.21 (0.22–1.00) | 0.66 ± 0.54 (0.10–1.30) | 1.03 ± 0.21 (0.80–1.30)* | |
| 1 month | 0.36 ± 0.23 (0.10–1.00) | 0.41 ± 0.25 (0.00–0.80) | 0.56 ± 0.30 (0.01–1.00) | |
| 3 months | 0.26 ± 0.16 (0.10–0.60) | 0.24 ± 0.10 (0.10–0.30) | 0.24 ± 0.16 (0.00–0.40) | |
| 6 months | 0.18 ± 0.07 (0.10–0.21) | 0.40 ± 0.18 (0.00–0.40) | 0.21 ± 0.14 (0.00–0.40) | |
| CCT (µm) | ||||
| PreDMEK | 665.00 ± 74.42 (519.00–881.00)* | 672.50 ± 85.44 (569.00–868.00) | 746.80 ± 95.84 (627.00–945.00)* | *0.041 |
| 1 day | 660.80 ± 78.28 (494.00–767.00) | 650.80 ± 102.50 (508.00–812.00) | 702.00 ± 88.85 (599.00–856.00) | |
| 1 week | 556.50 ± 56.84 (443.00–687.00)* | 603.40 ± 81.83 (473.00–772.00) | 666.80 ± 119.50 (476.00–882.00)* | * < 0.001 |
| 1 month | 519.60 ± 28.76 (468.00–586.00) | 538.60 ± 40.58 (481.00–608.00) | 578.40 ± 82.21 (440.00–733.00) | |
| 6 months | 502.30 ± 22.67 (456.00–545.00) | 513.60 ± 24.08 (478.00–550.00) | 538.80 ± 49.87 (450.00–617.00) | |
| Area of detachment (mm2) | ||||
| 1 day | N/A | 1.84 ± 1.94 (0.00–5.46)* | 7.15 ± 7.86 (0.00–18.57)* | * < 0.001 |
| 1 week | 5.54 ± 2.39 (2.50–9.56)* | 23.39 ± 6.09 (11.15–30.40)* | *0.027 | |
| 1 month | 3.10 ± 3.18 (0.00–10.40) | 1.060 ± 2.26 (0.00–6.14) | ||
| 6 months | 0.11 ± 0.41 (0.00–1.54) | 0.00 ± 0.00 (0.00–00.00) | ||
| Maximum distance of detachment (µm) | ||||
| 1 day | N/A | 134.89 ± 123.43 (0.00–322.00) | 174.60 ± 159.58 (0.00–302.00) | |
| 1 week | 230.23 ± 90.36 (126.00–391.00)* | 512.30 ± 239.59 (290.00–1110.00)* | * < 0.001 | |
| 1 month | 167.92 ± 127.36 (0.00–349.00)* | 62.00 ± 132.82 (0.00–360.00)* | *0.037 | |
| 6 months | 10.07 ± 37.68 (0.00–141.00) | 0.00 ± 0.00 (0.00–00.00) | ||
| CCT change (relative in % of initial CCT) | ||||
| PreDMEK–1 week | 84.63 ± 10.42 (58.57–98.42) | 91.92 ± 118.37 (65.08–133.3) | 90.56 ± 15.70 (64.32–122.0) | |
| 1 week–1 month | 94.02 ± 7.58 (76.71–110.20)* | 90.39 ± 10.86 (74.35–108.92) | 79.59 ± 10.39 (69.05–94.02)* | *0.006 |
| CCT change (absolute in µm decrease) | ||||
| PreDMEK–1 week | − 108.50 ± 86.29 (− 11.00 to − 365.00) | 64.23 ± 125.61 (193.00 to − 271.00) | 70.80 ± 115.01 (159.00 to − 264.00) | |
| 1 week–1 month | 36.84 ± 45.15 (45.00 to − 160.00) | 64.79 ± 72.78 (45.00 to − 198.00) | 93.60 ± 77.39 (− 25.00–255.00) | |
| Presence of posterior stromal ripples | ||||
| PreDMEK | ||||
| Mild | 3 | 3 | 2 | 0.566 |
| Severe | 3 | 1 | 3 | |
| 1 day | ||||
| Mild | 6 | 3 | 3 | > 0.999 |
| Severe | 1 | 0 | 1 | |
| 1 week | ||||
| Mild | 2 | 2 | 2 | > 0.999 |
| Severe | 0 | 1 | 1 | |
* represents a P-value < 0.05
Eyes in group 3 had a greater CCT prior to (746.8 ± 95.8 (627.0–945.0) µm vs. 665.0 ± 74.4 (519.0–881.0) µm, P = 0.041), and 1 week (666.8 ± 119.5 (476.0–882.0) µm vs. 556.5 ± 56.8 (443.0–687.0) µm, P = 0.001) after DMEK surgery compared to eyes in group 1 (Fig. 3, Table 2). After 1 month, CCT in all groups aligned (Fig. 3).
Fig. 3.
Central corneal thickness (CCT) prior to and after Descemet membrane endothelial keratoplasty (DMEK) at various time points in µm in three groups (no detachment: no graft detachment; detachment < 1/3: graft detachment < 1/3 of graft area; detachment ≥ 1/3 + rebubbling: graft detachment ≥ 1/3 of graft area with subsequent rebubbling). Error bars indicate standard deviation (SD). *No detachment vs. detachment ≥ 1/3 + rebubbling: P = 0.041; †no detachment vs. detachment ≥ 1/3 + rebubbling: P = 0.001
In group 1, 90.0% (2/20) of eyes had a CCT of less than 600.0 µm 1 week after DMEK, while only 50.0% (7/14) in group 2 and 36.4% (4/11) in group 3 were less than 600.0 µm. In group 1, maximum CCT 1 week after DMEK was 678.0 µm, while maximum CCT in groups 2 and 3 was 772.0 µm and 882.0 µm, respectively.
Comparing prior to and 1 week after DMEK, none of the eyes in group 1 showed an increase in CCT, while 25.0% of eyes in group 2 and 22.2% in group 3 showed an increase in CCT over this time period (Table 2). The relative change in CCT was greater from 1 week to 1 month comparing group 1 and group 3 (94.0 ± 7.6 (76.7–110.2) % vs. 79.6 ± 10.4 (69.1–94.0) %; Fig. 4).
Fig. 4.
Relative central corneal thickness (CCT) 1 week vs. 1 month after Descemet membrane endothelial keratoplasty (DMEK) in three groups (no detachment: no graft detachment; detachment < 1/3: graft detachment < 1/3 of graft area; detachment ≥ 1/3 + rebubbling: graft detachment ≥ 1/3 of graft area with subsequent rebubbling). Median is indicated with horizontal line the box. Bottom of the box represents first quartile and top third quartile. Whiskers indicate 10th to 90th percentile. Outliers are indicated with black dots. *P = 0.006
Comparing the area of graft detachment in groups 2 and 3, a greater detached area was measured one day (1.8 ± 1.9 (0.0–5.5) mm2 vs. 7.2 ± 7.9 (0.0–18.6) mm2, P < 0.001) and 1 week after surgery (5.5 ± 2.4 (2.5–9.6) mm2 vs. 23.4 ± 6.1 (11.2–30.4) mm2, P = 0.027) in group 3 (Fig. 5, Table 2). Examining the maximum distance of the transplant to the host stroma in graft detachments in groups 2 and 3, the distance was greater in group 3 after 1 week (230.2 ± 90.4 (126.0–391.0) µm vs. 512.3 ± 239.6 (290.0–1110.0) µm, P < 0.001), while after 1 month, it was greater in group 2 (167.9 ± 127.4 (0.0–349.0) µm vs. 62.0 ± 132.8 (0.0–360.0) µm, P = 0.037; Fig. 6, Table 2).
Fig. 5.
Area of graft detachment after Descemet membrane endothelial keratoplasty (DMEK) at various time points in µm in two groups (detachment < 1/3: graft detachment < 1/3 of graft area; detachment ≥ 1/3 + rebubbling: graft detachment ≥ 1/3 of graft area with subsequent rebubbling). Error bars indicate standard deviation (SD). *Detachment < 1/3 vs. detachment ≥ 1/3 + rebubbling: P < 0.001; †detachment < 1/3 vs. detachment ≥ 1/3 + rebubbling: P = 0.027
Fig. 6.
Maximum distance of graft detachment after Descemet membrane endothelial keratoplasty (DMEK) at various time points in µm in two groups (detachment < 1/3: graft detachment < 1/3 of graft area; detachment ≥ 1/3 + rebubbling: graft detachment ≥ 1/3 of graft area with subsequent rebubbling). Error bars indicate standard deviation (SD). *Detachment < 1/3 vs. detachment ≥ 1/3 + rebubbling: P < 0.001; †detachment < 1/3 vs. detachment ≥ 1/3 + rebubbling: P = 0.037
Posterior stromal ripples were present in all groups prior to DMEK surgery (Table 2). A difference in the presence of posterior stromal ripples from before to 1 day and 1 week after DMEK surgery was not found (P > 0.999). Severe posterior stromal ripples both 1 day and 1 week after surgery were only seen in a patient in group 3.
The BCVA was better in group 1 compared to group 3 1 week after DMEK surgery (0.45 ± 0.21 (0.22–1.00) logMAR vs. 1.03 ± 0.21 (0.80–1.30) logMAR, P = 0.002; Fig. 7, Table 2). In group 1, 90.0% (18/20) showed better BCVA 1 week after DMEK, while in groups 2 and 3, 86.7% (12/14) and 18.2% (2/11) improved in BCVA. In all groups, BCVA was 0.19 ± 0.11 (0.00–0.40) logMAR at the last visit 6 months after surgery.
Fig. 7.
Best-corrected visual acuity after Descemet membrane endothelial keratoplasty (DMEK) at various time points in µm in two groups (detachment < 1/3: graft detachment < 1/3 of graft area; detachment ≥ 1/3 + rebubbling: graft detachment ≥ 1/3 of graft area with subsequent rebubbling). Error bars indicate standard deviation (SD). *No detachment vs. detachment ≥ 1/3 + rebubbling: P < 0.001
Discussion
Graft detachment is a common complication after DMEK surgery [24, 25]. The detection of an early graft detachment after DMEK surgery is essential for a successful outcome as it might demand a rebubbling [1, 19]. In this study on 45 eyes undergoing uncomplicated DMEK surgery, 25 (55.6%) showed graft detachment, with 11 (24.4%) eyes needing rebubbling due to detachment ≥ 1/3 of the graft’s area (group 3). Those eyes had a greater CCT prior to and 1 week after DMEK compared to eyes without any detachment (group 1). One week after uncomplicated DMEK, 90.0% of patients in group 1 had a CCT smaller than 600.0 µm and an improved BCVA. A CCT greater than 700.0 µm and an increase in CCT at 1 week only occurred in graft detachment (groups 2 and 3). Stromal ripples were present in all groups prior to DMEK surgery; severe posterior stromal ripples 1 day and 1 week after surgery were only present in a patient in group 3.
While the reported occurrence of graft detachments varies in the literature (2.0–82.0%) [1, 9–14], our findings match those reported by Muijzer et al. (50.8% graft detachment, 26.2% rebubbling) and Guindolet et al. (36.0% rebubbling) [26, 27]. Yeh et al. also reported overall detachment of approx. 50.0% over the course of 6 months, with 33.0% showing graft detachment of more than 1/3 of the graft’s area [28]. Differences in reported detachment rates could relate to possible risk factors reported in the literature, including donor characteristics, such as donor age or low endothelial cell density; recipient factors, such as recipient age; and surgical parameters, such as descemetorhexis diameter, graft decentration, anterior chamber tamponade agent, postoperative intraocular pressure, and surgeon experience [16]. Overall, agreement on these risk factors across reports was weak [16].
Reports on the CCT 1 week after DMEK surgery are scarce. Guindolet et al. reported that the preoperative CCT was not significantly different between the group that required rebubbling (624 ± 92 µm) compared to the one that did not (660.0 ± 120.0 µm; P = 0.340) [27]. Contrarily, we found greater preoperative CCT values in eyes in group 3 (746.8 ± 95.8 µm, group 3) compared with eyes in group 1 (665.0 ± 74.4 µm, group 1; P = 0.041). While CCT in eyes without rebubbling matched those in our study without any detachment, CCT in eyes with rebubbling differed greatly. This could have been caused by a wider variety of included patients, since only graft preparation failures and inverted grafts were excluded [27]. CCT measurements 1 week after DMEK were not reported [27].
Coco et al. reported absolute CCT values at approx. 3 days after DMEK only in relation to the presence of stromal ripples, not in relation to graft detachment nor subsequent rebubbling (no stromal ripples: 624.3 ± 80.2 μm; mild stromal ripples: 707.6 ± 62.9 μm; moderate/severe stromal ripples: 757.4 ± 125.1 μm; P < 0.001 one-way ANOVA) [22]. While an exact comparison to our data is impossible, the CCT range matched our findings.
Muijzer et al. performed pachymetry mapping showing an increase in local corneal thickness in zones with a graft detachment [26]. One day after surgery, the mean corneal thickness over all zones was higher in eyes that developed a graft detachment compared with subjects without a graft detachment (745.0 ± 82.4 µm vs. 805.4 ± 98.03 µm, P = 0.015) [26]. Importantly, within subjects who developed a graft detachment, the corneal zones in which the graft detached were thicker compared with zones in which the graft remained attached; conversely, the thickness of corneal zones in which the graft remained attached in the detachment group did not differ compared with the corneal thickness in subjects without a graft detachment [26]. While predictability of graft detachment using this method was valid, no correlation to the necessity for rebubbling was made [26]. Furthermore, absolute values on the CCT were not reported for any time [26]. Dirisamer et al. found that corneal thickness was increased in corneal quadrants with detached grafts compared with adjacent corneal quadrants with attached grafts [29]. A greater CCT in eyes with graft detachment as detected in our data supports this finding.
In our study, a relative and absolute increase in CCT after 1 week was only present in eyes in groups 2 and 3. Interestingly, Guindolet et al. reported that a decrease in the CCT after 1 day was associated with a lower risk for rebubbling, and that an increase of 20.0% of the CCT was associated with an increased risk for rebubbling [27]. This is supported by our data on the 1-week examination, where a decrease in relative/absolute CCT and a CCT of less than 700 µm was associated with graft attachment without the need for rebubbling. In a subgroup analysis regarding preoperative CCT, Guindolet et al. showed no difference in the rebubbling rate between patients with CCT greater than 700.0 µm and those with a CCT less than 700.0 µm [27]. While in our study the CCT was greater in eyes in group 3 compared to eyes in group 1, all groups contained eyes with CCT greater 700.0 µm prior to surgery. Guindolet et al. suggested introducing indices of CCT increase to predict a detachment risk in clinical practice [27].
Our study showed that in groups 2 and 3, the area and maximum detachment distance increased from 1 day to 1 week after surgery, followed by a consecutive decrease to 6 months after surgery. In a prospective study, Yeh et al. described a “biphasic” adherence pattern: initial attachment within the first hour after surgery in the majority of eyes, followed by a partial detachment in approx. 1/3 of the eyes at 1 week and a recovery of graft adherence at 1 to 6 months [28]. In eyes with less than 1/3 of the graft’s area detached, we found similar results: both max. area and distance of detachment were largest 1 week after surgery and decrease afterwards. Also, our data agreed with a 100.0% negative predictive value of AS-OCT scans 1 week and 1 month after DMEK surgery: If graft attachment (group 1) or graft detachment in less than 1/3 of the graft’s area (group 2) was recorded, a detachment of over 1/3 of the area did not occur after 6 months [28]. Hence, the 1-week and 1-month postoperative AS-OCT scan showed good sensitivity. Spontaneous graft detachment after 1 month after DMEK was not reported by groups previously mentioned, yet rare cases of late graft detachment exist [30]. We would argue that in cases of good visual recovery and inconspicuous slit-lamp examination, a AS-OCT is not mandatory on examinations past 1 month after surgery.
In a study on 111 eyes receiving DMEK surgery, Kramer et al. found a difference of BCVA improvement of 0.22 logMAR in favor of eyes with spontaneous graft adherence without intervention compared to eyes needing rebubbling 6 months after surgery (P = 0.048) [31]. While in our study no difference was found after 6 months, BCVA was higher 1 week after DMEK surgery in eyes without detachment (group 1) compared to eyes receiving rebubbling (group 3, P < 0.001). One month after surgery, no difference between groups was found, hinting at a quick recovery in eyes receiving rebubbling. Yeh et al. reported 44.0% of eyes receiving rebubbling reached a BCVA better or equal to approx. 0.2 logMAR 6 months after DMEK, while in our study, 75.0% of patients receiving rebubbling reached a BCVA better or equal to approx. 0.2 logMAR 6 months after surgery. Overall, a swift and excellent visual recovery has been described for DMEK, with and without rebubbling [15, 32, 33]. Furthermore, Dunker et al. found no relationship between the timing of rebubbling (i.e., within 1 week or longer) and incidence of graft failure, likely leading to BCVA decline [16].
An assumed predictive biomarker for graft detachment is the presence of stromal ripples, irregularities in the posterior corneal profile that assumed the shape of a ripple briefly after DMEK [22]. Coco et al. found that the presence of stromal ripples was significantly associated with the risk of graft detachments requiring rebubbling at any time, the risk of detachment of previously attached grafts, the risk of detachment worsening over time, and a higher CCT in mild or severe ripples compared with the absence of ripples [22]. In their study, OCT imaging was performed 2.9 ± 2.4 days after surgery. Consequently, when posterior stromal ripples are present, patients should be monitored more closely and managed on an individual basis as is the case with larger graft detachments [22]. Furthermore, stromal ripples were positively correlated with the CCT of patients after DMEK surgery [22]. However, whether they appeared first and lead to a problem with graft attachment or if they were a consequence of subclinical detachment is still not known [22]. While Coco et al. did not show if posterior stromal ripples were present before surgery, we looked for ripples in preoperative OCT images. In all three groups of our study, stromal ripples occurred prior to surgery. In some cases, complete resolution of severe stromal ripples occurred within 1 day after surgery; in others, an increase of severity over the course of 1 week was seen. One eye showed severe posterior stromal ripples both 1 day and 1 week after surgery. This very eye needed subsequent rebubbling. As our data reinforces, it remains uncertain if stromal ripples were the cause or consequence of a graft detachment. Further studies are needed to evaluate the cause of stromal ripples, and if preoperative or intraoperative factors influence their development [22].
As a limitation to our study, we chose to only include uncomplicated DMEK cases with limited concomitant diseases. That allowed us to reduce confounding factors yet limited the analysis of additional risk factors. Even though AS-OCT is the most common tool used for CCT measurement post DMEK, as it also allows the reliable visualization of graft detachments, other tools of CCT measurement such as ultrasound pachymetry or Scheimpflug camera (Pentacam) imaging have to be evaluated for their agreement with AS-OCT CCT values in attached and detached DMEK situations and for their suitability to predict different graft conditions, as we did in this study for AS-OCT.
If 1 week after uncomplicated DMEK CCT is < 600 µm and has decreased from before surgery, BCVA has improved, and there are no posterior stromal ripples, a graft detachment ≥ 1/3 and the need for rebubbling are very unlikely. In all other cases, meticulous slit-lamp and OCT inspection of the peripheral graft for detachments should be advised.
Author contribution
All authors contributed to the study conception and design. Material preparation, data collection and analysis were performed by Tibor Lohmann and Matthias Fuest. The first draft of the manuscript was written by Tibor Lohmann and all authors commented on previous versions of the manuscript. All authors read and approved the final manuscript.
Funding
Open Access funding enabled and organized by Projekt DEAL.
Declarations
Ethics approval
This study followed the tenets of the Declaration of Helsinki and was approved by the Institutional Ethical Review Board of the RWTH Aachen University. This study was conducted as part of the ADDA registry [23].
Consent to participate
Informed consent was obtained from all individual participants included in the study. The conducted research followed informed consent: “Informed Consent is the decision, which must be written, dated and signed, to take part in a clinical trial, taken freely after being duly informed of its nature, significance, implications and risks and appropriately documented, by any person capable of giving consent or, where the person is not capable of giving consent, by his or her legal representative; if the person concerned is unable to write, oral consent in the presence of at least one witness may be given in exceptional cases, as provided for in national legislation.”
Conflict of interest
The authors declare no competing interests.
Footnotes
Publisher's Note
Springer Nature remains neutral with regard to jurisdictional claims in published maps and institutional affiliations.
References
- 1.Deng SX, Lee WB, Hammersmith KM, Kuo AN, Li JY, Shen JF, Weikert MP, Shtein RM (2018) Descemet membrane endothelial keratoplasty: safety and outcomes: a report by the American Academy of Ophthalmology. Ophthalmology 125:295–310. 10.1016/j.ophtha.2017.08.015 10.1016/j.ophtha.2017.08.015 [DOI] [PubMed] [Google Scholar]
- 2.Anshu A, Price MO, Tan DT, Price FW Jr (2012) Endothelial keratoplasty: a revolution in evolution. Surv Ophthalmol 57:236–252. 10.1016/j.survophthal.2011.10.005 10.1016/j.survophthal.2011.10.005 [DOI] [PubMed] [Google Scholar]
- 3.Hamzaoglu EC, Straiko MD, Mayko ZM, Sáles CS, Terry MA (2015) The first 100 eyes of standardized Descemet stripping automated endothelial keratoplasty versus standardized Descemet membrane endothelial keratoplasty. Ophthalmology 122:2193–2199. 10.1016/j.ophtha.2015.07.003 10.1016/j.ophtha.2015.07.003 [DOI] [PubMed] [Google Scholar]
- 4.Flockerzi E, Turner C, Seitz B, Collaborators GSG (2023) Descemet’s membrane endothelial keratoplasty is the predominant keratoplasty procedure in Germany since 2016: a report of the DOG-section cornea and its keratoplasty registry. Br J Ophthalmol. 10.1136/bjo-2022-323162 10.1136/bjo-2022-323162 [DOI] [PMC free article] [PubMed] [Google Scholar]
- 5.Melles GR, Ong TS, Ververs B, van der Wees J (2006) Descemet membrane endothelial keratoplasty (DMEK). Cornea 25:987–990. 10.1097/01.ico.0000248385.16896.34 10.1097/01.ico.0000248385.16896.34 [DOI] [PubMed] [Google Scholar]
- 6.Dapena I, Moutsouris K, Droutsas K, Ham L, van Dijk K, Melles GR (2011) Standardized “no-touch” technique for Descemet membrane endothelial keratoplasty. Arch Ophthalmol (Chicago, Ill: 1960) 129:88–94. 10.1001/archophthalmol.2010.334 10.1001/archophthalmol.2010.334 [DOI] [PubMed] [Google Scholar]
- 7.Brissette A, Conlon R, Teichman JC, Yeung S, Ziai S, Baig K (2015) Evaluation of a new technique for preparation of endothelial grafts for Descemet membrane endothelial keratoplasty. Cornea 34:557–559. 10.1097/ico.0000000000000394 10.1097/ico.0000000000000394 [DOI] [PubMed] [Google Scholar]
- 8.Yoeruek E, Bayyoud T, Hofmann J, Bartz-Schmidt KU (2013) Novel maneuver facilitating Descemet membrane unfolding in the anterior chamber. Cornea 32:370–373. 10.1097/ICO.0b013e318254fa06 10.1097/ICO.0b013e318254fa06 [DOI] [PubMed] [Google Scholar]
- 9.Monnereau C, Quilendrino R, Dapena I, Liarakos VS, Alfonso JF, Arnalich-Montiel F, Böhnke M, Pereira NC, Dirisamer M, Parker J, Droutsas K, Geerling G, Gerten G, Hashemi H, Kobayashi A, Naveiras M, Oganesyan O, Orduña Domingo E, Priglinger S, Stodulka P, Torrano Silva J Jr, Venzano D, Vetter JM, Yiu E, Melles GR (2014) Multicenter study of Descemet membrane endothelial keratoplasty: first case series of 18 surgeons. JAMA ophthalmology 132:1192–1198. 10.1001/jamaophthalmol.2014.1710 10.1001/jamaophthalmol.2014.1710 [DOI] [PubMed] [Google Scholar]
- 10.Melles GR, Ong TS, Ververs B, van der Wees J (2008) Preliminary clinical results of Descemet membrane endothelial keratoplasty. Am J Ophthalmol 145:222–227. 10.1016/j.ajo.2007.09.021 10.1016/j.ajo.2007.09.021 [DOI] [PubMed] [Google Scholar]
- 11.Maier AK, Gundlach E, Schroeter J, Klamann MK, Gonnermann J, Riechardt AI, Bertelmann E, Joussen AM, Torun N (2015) Influence of the difficulty of graft unfolding and attachment on the outcome in Descemet membrane endothelial keratoplasty. Graefes Arch Clin Exp Ophthalmol 253:895–900. 10.1007/s00417-015-2939-9 10.1007/s00417-015-2939-9 [DOI] [PubMed] [Google Scholar]
- 12.Fritz M, Grewing V, Gruber M, Wagner H, Zander D, Lapp T, Lang SJ, Heinzelmann-Mink S, Maier PC, Reinhard T, Wacker K (2021) Rotational alignment of corneal endothelial grafts and risk of graft detachment after Descemet membrane endothelial keratoplasty: a double-masked pseudo-randomized study. Acta Ophthalmol 99:e1334–e1339. 10.1111/aos.14849 10.1111/aos.14849 [DOI] [PubMed] [Google Scholar]
- 13.Siggel R, Adler W, Stanzel TP, Cursiefen C, Heindl LM (2016) Bilateral Descemet membrane endothelial keratoplasty: analysis of clinical outcome in first and fellow eye. Cornea 35:772–777. 10.1097/ico.0000000000000811 10.1097/ico.0000000000000811 [DOI] [PubMed] [Google Scholar]
- 14.Parekh M, Leon P, Ruzza A, Borroni D, Ferrari S, Ponzin D, Romano V (2018) Graft detachment and rebubbling rate in Descemet membrane endothelial keratoplasty. Surv Ophthalmol 63:245–250. 10.1016/j.survophthal.2017.07.003 10.1016/j.survophthal.2017.07.003 [DOI] [PubMed] [Google Scholar]
- 15.Lohmann T, Baumgarten S, Plange N, Walter P, Fuest M (2021) Effects of uncomplicated Descemet membrane endothelial keratoplasty on the central retinal thickness. Graefes Arch Clin Exp 259:2731–2741. 10.1007/s00417-021-05203-2 10.1007/s00417-021-05203-2 [DOI] [PMC free article] [PubMed] [Google Scholar]
- 16.Dunker S, Winkens B, van den Biggelaar F, Nuijts R, Kruit PJ, Dickman M (2021) Rebubbling and graft failure in Descemet membrane endothelial keratoplasty: a prospective Dutch registry study. Br J Ophthalmol. 10.1136/bjophthalmol-2020-317041 10.1136/bjophthalmol-2020-317041 [DOI] [PMC free article] [PubMed] [Google Scholar]
- 17.Kuerten D, Plange N, Koch EC, Koutsonas A, Walter P, Fuest M (2015) Central corneal thickness determination in corneal edema using ultrasound pachymetry, a Scheimpflug camera, and anterior segment OCT. Graefes Arch Clin Exp Ophthalmol 253:1105–1109. 10.1007/s00417-015-2998-y 10.1007/s00417-015-2998-y [DOI] [PubMed] [Google Scholar]
- 18.Fu L, Hollick EJ (2022) Rebubbling and graft detachment in Descemet membrane endothelial keratoplasty using a standardised protocol. Eye (London, England). 10.1038/s41433-022-02362-2 [DOI] [PMC free article] [PubMed]
- 19.Fernández López E, Baydoun L, Gerber-Hollbach N, Dapena I, Liarakos VS, Ham L, Melles GR (2016) Rebubbling techniques for graft detachment after Descemet membrane endothelial keratoplasty. Cornea 35:759–764. 10.1097/ico.0000000000000829 10.1097/ico.0000000000000829 [DOI] [PubMed] [Google Scholar]
- 20.Hesse M, Kuerten D, Walter P, Plange N, Johnen S, Fuest M (2017) The effect of air, SF6 and C3F8 on immortalized human corneal endothelial cells. Acta Ophthalmol 95:e284–e290. 10.1111/aos.13256 10.1111/aos.13256 [DOI] [PubMed] [Google Scholar]
- 21.Fuest M, Mehta JS (2017) Descemet membrane splitting following deep anterior lamellar keratoplasty. JAMA Ophthalmol 135:e170656. 10.1001/jamaophthalmol.2017.0656 10.1001/jamaophthalmol.2017.0656 [DOI] [PubMed] [Google Scholar]
- 22.Coco G, Levis HJ, Borgia A, Romano D, Pagano L, Virgili G, Kaye SB, Romano V (2023) Posterior stromal ripples increase risk of Descemet’s membrane endothelial keratoplasty graft detachment worsening over time. Acta Ophthalmol 101:e205–e214. 10.1111/aos.15250 10.1111/aos.15250 [DOI] [PubMed] [Google Scholar]
- 23.GermanClinicalTrialsRegister. https://drks.de/search/de/trial/DRKS00027180. Accessed 10 Dec 2023
- 24.Dirisamer M, van Dijk K, Dapena I, Ham L, Oganes O, Frank LE, Melles GR (2012) Prevention and management of graft detachment in Descemet membrane endothelial keratoplasty. Arch Ophthalmol (Chicago, Ill: 1960) 130:280–291. 10.1001/archophthalmol.2011.343 10.1001/archophthalmol.2011.343 [DOI] [PubMed] [Google Scholar]
- 25.Guerra FP, Anshu A, Price MO, Giebel AW, Price FW (2011) Descemet’s membrane endothelial keratoplasty: prospective study of 1-year visual outcomes, graft survival, and endothelial cell loss. Ophthalmology 118:2368–2373. 10.1016/j.ophtha.2011.06.002 10.1016/j.ophtha.2011.06.002 [DOI] [PubMed] [Google Scholar]
- 26.Muijzer MB, Noordmans HJ, Delbeke H, Dickman MM, Nuijts R, Dunker S, Imhof SM, Wisse RPL (2023) Establishing a biomarker for the prediction of short-term graft detachment after Descemet membrane endothelial keratoplasty. Cornea 42:204–210. 10.1097/ico.0000000000003006 10.1097/ico.0000000000003006 [DOI] [PubMed] [Google Scholar]
- 27.Guindolet D, Disegni H, Martin GC, Azar G, Hardy S, Cochereau I, Gabison EE (2023) Predictive factors of graft detachment and rebubbling after Descemet membrane endothelial keratoplasty. Int Ophthalmol 43:1511–1521. 10.1007/s10792-022-02547-4 10.1007/s10792-022-02547-4 [DOI] [PubMed] [Google Scholar]
- 28.Yeh RY, Quilendrino R, Musa FU, Liarakos VS, Dapena I, Melles GR (2013) Predictive value of optical coherence tomography in graft attachment after Descemet’s membrane endothelial keratoplasty. Ophthalmology 120:240–245. 10.1016/j.ophtha.2012.08.011 10.1016/j.ophtha.2012.08.011 [DOI] [PubMed] [Google Scholar]
- 29.Dirisamer M, Dapena I, Ham L, van Dijk K, Oganes O, Frank LE, van der Wees J, Melles GR (2011) Patterns of corneal endothelialization and corneal clearance after Descemet membrane endothelial keratoplasty for fuchs endothelial dystrophy. Am J Ophthalmol 152:543-555.e541. 10.1016/j.ajo.2011.03.031 10.1016/j.ajo.2011.03.031 [DOI] [PubMed] [Google Scholar]
- 30.Friedrich M, Son HS, Khoramnia R, Auffarth GU, Augustin VA (2023) Late central graft detachment due to double endothelial layer after repeat Descemet membrane endothelial keratoplasty. Am J Ophthalmol Case Rep 32:101883. 10.1016/j.ajoc.2023.101883 10.1016/j.ajoc.2023.101883 [DOI] [PMC free article] [PubMed] [Google Scholar]
- 31.Kramer N, Unterlauft JD, Girbardt C (2023) The need of rebubbling in case of small graft detachments after Descemet membrane endothelial keratoplasty (DMEK). Eur J Ophthalmol 33:1347–1353. 10.1177/11206721221146579 10.1177/11206721221146579 [DOI] [PMC free article] [PubMed] [Google Scholar]
- 32.Vasiliauskaitė I, Oellerich S, Ham L, Dapena I, Baydoun L, van Dijk K, Melles GRJ (2020) Descemet membrane endothelial keratoplasty: ten-year graft survival and clinical outcomes. Am J Ophthalmol 217:114–120. 10.1016/j.ajo.2020.04.005 10.1016/j.ajo.2020.04.005 [DOI] [PubMed] [Google Scholar]
- 33.Schaub F, Enders P, Snijders K, Schrittenlocher S, Siebelmann S, Heindl LM, Bachmann BO, Cursiefen C (2017) One-year outcome after Descemet membrane endothelial keratoplasty (DMEK) comparing sulfur hexafluoride (SF(6)) 20% versus 100% air for anterior chamber tamponade. Br J Ophthalmol 101:902–908. 10.1136/bjophthalmol-2016-309653 10.1136/bjophthalmol-2016-309653 [DOI] [PubMed] [Google Scholar]








