Abstract
Patient: Male, 55-year-old
Final Diagnosis: Necrotizing soft tissue infection (NSTI) secondary to herpes zoster in a patient with diabetes mellitus • Staphylococcus aureus and Clostridium perfringens, identified in the cultures from the abscess
Symptoms: Fever • Pain • Swelling
Clinical Procedure: —
Specialty: Dermatology • Infectious Diseases • Surgery
Objective:
Rare disease
Background:
Necrotizing fasciitis is an aggressive type of skin and soft tissue infection that results in necrosis of subcutaneous tissues, including muscle and fascia. Mixed bacteria, including gas-forming organisms, are usually identified. This report describes a 55-year-old male diabetic patient with herpes zoster involving the thoracic dermatomes complicated by skin infection, necrotizing fasciitis, chest wall abscess, and sepsis.
Case Report:
A 55-year-old man with diabetes mellitus presented with thoracic herpes zoster, initially treated with acyclovir and topical agents. He developed swelling, pain, and fever over the left chest, which was unresponsive to topical treatment. Investigations revealed elevated white blood cells and gas on chest X-ray. Computed tomography confirmed a 13×6×11-cm abscess with gas between the latissimus dorsi and serratus anterior muscles, suggesting necrosis. He received intravenous amoxicillin/clavulanic acid and metronidazole and underwent urgent surgical drainage, yielding 200 mL of pus. Cultures identified antibiotic-sensitive Staphylococcus aureus and Clostridium perfringens. Histopathology confirmed necrotizing tissue with acute bacterial inflammation. He was treated postoperatively with dressings and vacuum-assisted closure, followed by sutures, and was discharged in good condition after 16 days.
Conclusions:
This case underscores the aggressive nature and potential complications of necrotizing soft tissue infections in patients with diabetes mellitus and herpes zoster. Prompt recognition, early intervention with appropriate antibiotics, and surgical drainage are crucial in managing such infections effectively. The successful use of vacuum-assisted closure therapy underscores its role in facilitating wound healing after debridement. Clinicians should maintain vigilance for necrotizing infections in similar high-risk patients to ensure early intervention and improve clinical outcomes.
Key words: Chest Pain; Fasciitis, Necrotizing; Herpes Zoster; Soft Tissue Infections
Introduction
Herpes zoster, commonly referred to as shingles, is a viral infection distinguished by a painful skin rash marked by fluid-filled blisters and caused by a reactivation of the varicella-zoster virus, which also causes chickenpox during the initial infection [1,2]. Following recovery from chickenpox, the virus remains latent in the body and can later reactivate as shingles [3]. In 2019, data from the Centers for Disease Control indicated that the annual incidence rate of shingles is less than 6 cases per 1000 persons, with older individuals and women being more susceptible to the condition [4]. Vaccination aids shingles prevention [5], while management includes antiviral drugs, pain relief, and rash covering [6]. Complications can involve postherpetic neuralgia, bacterial infections, vision loss, eye infections, and neurological issues, such as encephalitis and facial paralysis [7].
Individuals with primary varicella infections can develop necrotizing fasciitis, another severe side effect [8,9]. Necrotizing fasciitis is a severe bacterial infection causing rapid soft tissue destruction, often by group A Streptococcus bacteria [10]. Its development is influenced by a number of risk factors, such as impaired immune function resulting from diseases including cancer, diabetes, obesity, alcoholism, intravenous drug use, and peripheral artery disease [11]. Among necrotizing fasciitis cases, diabetes mellitus is the most prevalent predisposing condition and a strong predictor of mortality [12]. Diagnosis involves clinical assessment, imaging techniques, and sometimes tissue biopsy [10,11]. Urgent management includes broad-spectrum antibiotics, surgical removal of infected tissue, and supportive care to address complications, such as shock [10,13,14]. Early intervention is crucial to prevent severe outcomes and mortality [15].
Previous case studies have reported the occurrence of necrotizing fasciitis [16–19]. However, instances of necrotizing fasciitis superimposed on herpes zoster virus (HZV) infection are rare and have been documented in only a few studies [8,9,20]. Furthermore, necrotizing fasciitis occurrences along the upper torso or chest wall are highly uncommon, with only a limited number of reported cases [21,22]. Given its rarity, it is essential to raise awareness about necrotizing fasciitis in this context, as delayed diagnosis can lead to severe morbidity and, in some cases, mortality [10]. This report describes a 55-year-old male diabetic patient with herpes zoster involving the thoracic dermatomes complicated by skin infection, necrotizing fasciitis, chest wall abscess, and sepsis.
Case Report
A 55-year-old male patient with a known history of diabetes mellitus, which was managed with oral hypoglycemic agents, had a recent hemoglobin A1c level of 7.5%, indicating suboptimal glycemic control. Less than 2 weeks before admission, he received a diagnosis of a herpes zoster infection at thoracic dermatomes T4 and T5 by a certified dermatologist. He was treated with systemic acyclovir plus topical treatment. After this, he began to notice swelling over his left chest with persistent pain and fever at the same thoracic dermatomes. The patient reported that the pain was not responding to some topical medication. After 1 week of persistent symptoms, he presented to the Emergency Department with a massive swelling over the left side of his chest with pus discharge and a foul odor associated with throbbing pain and fever. He had no similar illness before and no history of previous surgery. The patient was lethargic and dehydrated, with poor oral intake.
Vital signs showed high-grade fever and tachycardia but normal blood pressure. Local examination revealed a tender, prominent erythematous swelling measuring approximately 15×12 cm occupying the left posterolateral area of the left chest between the fourth rib superiorly and eighth rib inferiorly, with frank pus discharge and foul odor (Figures 1, 2). The initial blood investigation revealed a white blood cell count of 17.5×109/L and a hemoglobin level of 14 g/dL. The chest X-ray showed suspicious gas in the soft tissues (Figure 3). An urgent contrast-enhanced computed tomography (CT) scan of his chest was performed. It showed subcutaneous, intramuscular abscess collection with gas formation between the muscles of the latissimus dorsi and serratus anterior measuring 13×6×11 cm, with suspicion of necrosis (Figures 4–6). The overlying ribs and lung parenchyma were intact.
Figure 1.

A severe case of necrotizing soft tissue infection characterized by extensive tissue necrosis. The arrow points to an area of purulent discharge, indicating the presence of frank pus. Surrounding tissues exhibit signs of inflammation, including erythema, swelling, and tissue breakdown.
Figure 2.

A necrotizing soft tissue infection is shown, with the arrow indicating a distinct patch of necrosis. The necrotic area demonstrates significant tissue death, surrounded by inflamed and edematous tissue. The infection has caused extensive damage to the skin and underlying tissues, which is evident from the darkened, non-viable tissue in the marked area.
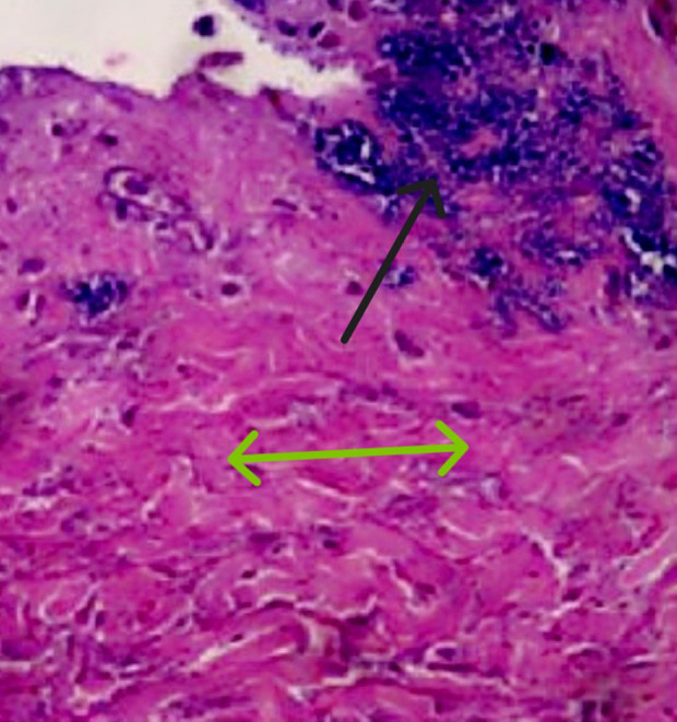
Figure 3.

Photomicrographs depict the histopathological features of necrotizing tissues affected by a necrotizing soft tissue infection. The images reveal extensive tissue necrosis, with large areas of cell death (green arrow). Additionally, there is evidence of acute suppurative inflammation (black arrow), characterized by the presence of numerous neutrophils and bacterial colonies, indicating a severe bacterial infection. These findings are consistent with a diagnosis of necrotizing soft tissue infection and highlight the aggressive nature of the inflammatory response.
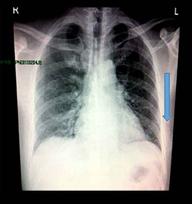
Figure 4.

This chest X-ray reveals the presence of air within the soft tissues, as indicated by the arrow. The radiographic image highlights abnormal radiolucent areas within the soft tissue, suggesting subcutaneous emphysema. This condition is often associated with necrotizing infections, trauma, or other pathological processes that lead to the infiltration of air into the soft tissue compartments.
Figure 5.

This computed tomography scan of the chest highlights an intramuscular abscess, as indicated by the arrow. The abscess appears as a localized collection of fluid within the muscle tissue, surrounded by inflammatory stranding. The inflammatory stranding, visible as streaky areas of increased density, indicates the spread of inflammation into the surrounding tissues.
Figure 6.

This computed tomography scan of the chest illustrates an intramuscular abscess, as indicated by the arrow. The abscess is characterized by a localized collection of fluid within the muscle tissue, accompanied by the formation of gas, which appears as radiolucent areas within the abscess. The presence of gas within the abscess suggests a gas-producing bacterial infection, which can be indicative of a more aggressive or necrotizing infection.
After resuscitation, intravenous antibiotics were started with amoxicillin and clavulanic acid 1 g every 12 h and metronidazole 500 mg every 8 h. The patient was taken to the operating room urgently for incision drainage, with debridement as needed. Intraoperative findings revealed a big abscess cavity with extensive overlying skin necrosis. It was extended down to the serratus anterior as described in the CT scan, with around 200 mL pus drained out (Figure 7). A culture swab was taken, as well as some tissue for histopathology. After drainage of the abscess, extensive debridement was done until we got healthy tissue. The culture result came back as Staphylococcus aureus (confirmed as non-MRSA) and Clostridium perfringens, which were sensitive to the same antibiotics. Histopathology revealed necrotizing tissue with acute suppurative bacterial inflammation (Figure 3). Postoperative recovery was smooth, with daily dressing for 5 days until the wound became clean. The patient was then referred to the plastic surgeon for chest wall defect closure, which was treated with a vacuum for 6 days, and then wound approximation with secondary sutures (Figure 8). The patient was discharged in good condition with complete remission after 16 days of admission.
Figure 7.

This intra-operative photograph captures the surgical procedure for draining an abscess and debriding necrotic tissue. The image shows the surgical field, with the abscess cavity exposed and purulent material being evacuated. Surrounding necrotic and infected tissues are being removed to prevent the spread of infection and promote healing.
Figure 8.

This post-surgical photograph illustrates the application of vacuum-assisted closure (VAC) therapy following the drainage and debridement of an abscess. The VAC device is in place over the surgical site, providing negative pressure to promote wound healing. The transparent dressing and foam interface can be seen covering the wound, helping to remove exudate, reduce edema, and enhance tissue perfusion.
Discussion
This case underscores the essential need for prompt diagnosis, early intervention with appropriate antibiotics, and surgical drainage in the management of necrotizing fasciitis with shingles infection. It highlights the effect of the successful use of vacuum-assisted closure therapy in facilitating wound healing after debridement for a middle-aged male patient with diabetes mellitus who survived severe necrotizing fasciitis of the chest wall following herpes zoster infection.
Due to its rarity, necrotizing fasciitis may not be initially considered in patients who develop bacterial superinfections on HZV infection rashes, which often leads to delayed diagnosis [20]. A study indicates that up to 80% of necrotizing fasciitis-related deaths are attributable to significant delays in diagnosis and surgical intervention [24]. Early detection and treatment are further complicated by frequent misdiagnoses [25]. However, specific signs, such as blistering necrosis, cyanosis, rapid progression, poor response to medication, intense local pain, high fever, tachycardia, hypotension, and altered mental status, can aid in accurate diagnosis [26]. In our case, the presented symptoms, including increased pain that was irresponsive to pain medications, with massive chest swelling that had pus discharge and a foul odor associated with throbbing pain and fever, led to increased suspicion of necrotizing fasciitis and diagnosis.
Studies [20,23] have shown that, upon accurate diagnosis, the implementation of broad-spectrum antibiotics, prompt and vigorous surgical debridement, and excision of any impacted or vulnerable tissue, as used in our case, are essential measures in enhancing the prognosis of patients with necrotizing fasciitis. Thus, the treatment of patients with necrotizing fasciitis must prioritize timely surgical debridement, intravenous antibiotic therapy, and fluid resuscitation [20,23].
Sharma et al proposed that initiating acyclovir within the first 24 h of the appearance of initial rashes can reduce the mortality and morbidity associated with necrotizing fasciitis [27]. However, in our case of necrotizing fasciitis following varicella-zoster infection, the use of acyclovir in necrotizing fasciitis after HZV infection lacked clear guidance. Instead, broad-spectrum antibiotics were administered to the patient right away, and these were later modified to amoxicillin, clavulanic acid, and metronidazole. As a derivative of penicillin, amoxicillin works against both gram-positive and gram-negative bacteria [28]. The spectrum is expanded by clavulanic acid to include strains that produce beta-lactamases, hence encompassing a wider range of bacterial species [29]. This regimen was appropriate for the Staphylococcus aureus and Clostridium perfringens identified in the culture results.
Furthermore, aggressive surgical debridement remains the cornerstone of necrotizing fasciitis therapy, as seen from the findings of this case, and this agrees with findings from previously published cases that revealed the successful use of this surgical intervention for achieving source control [8,9,20]. It is, however, critical to find a balance between insufficient debridement and the removal of healthy tissue. Each case should be carefully evaluated for this delicate balance, and regular explorations should be conducted to minimize morbidity while attaining crucial source control. The present case highlights the rare occurrence of necrotizing fasciitis in the trunk or upper torso, which was exacerbated by the patient having diabetes, a significant risk factor [12,30]. This condition often leads to systemic complications and sepsis, with a high mortality rate of up to 60% for chest wall involvement [22]. According to Gunaratne et al [31], nearly 100% of patients with necrotizing fasciitis die without surgical intervention. This case underscores the critical need for timely surgical intervention, which, along with vacuum-assisted closure therapy, successfully facilitated wound healing post-debridement in our patient.
To conclude, necrotizing fasciitis following primary HZV infection poses a grave threat and demands intensive supportive care, antibiotic treatment, and prompt surgical intervention. Preserving the skin and subcutaneous tissues while ensuring patient safety through vigilant and frequent surgical exploration to achieve effective source control is possible. Maintaining a heightened level of suspicion is crucial for early detection and timely intervention.
Conclusions
Necrotizing fasciitis following HZV infection is a rare but severe complication that can be easily misdiagnosed, leading to significant morbidity and mortality. This case study of a 55-year-old diabetic male patient who developed necrotizing fasciitis after HZV infection underscores the importance of early recognition and prompt surgical intervention. The patient presented with persistent pain, fever, and swelling, which rapidly progressed to sepsis. Imaging and histopathology confirmed the diagnosis of necrotizing fasciitis, necessitating extensive debridement and intravenous antibiotics. Postoperative care and diligent wound management facilitated a smooth recovery, with the patient being discharged in good condition after 16 days. This case highlights the need for a high index of suspicion for necrotizing fasciitis in patients with HZV infection, especially those with underlying conditions, such as diabetes. Clinicians must prioritize early diagnosis, surgical intervention, and stringent infection control measures, coupled with regular monitoring and laboratory evaluations, to effectively manage necrotizing fasciitis and enhance patient outcomes. Effective management of necrotizing fasciitis following HZV infection requires a multidisciplinary approach, starting with early diagnosis and aggressive surgical debridement. Broad-spectrum antibiotics, adjusted based on culture results, are essential. Postoperative wound management, including techniques such as vacuum-assisted closure, is crucial. Regular monitoring and supportive care, along with managing underlying conditions such as diabetes, are vital for recovery. Educating healthcare providers about this potential complication can enhance early detection and improve patient outcomes.
Footnotes
Publisher’s note: All claims expressed in this article are solely those of the authors and do not necessarily represent those of their affiliated organizations, or those of the publisher, the editors and the reviewers. Any product that may be evaluated in this article, or claim that may be made by its manufacturer, is not guaranteed or endorsed by the publisher
Department and Institution Where Work Was Performed
Department of Surgery, Najran University, Najran, Saudi Arabia.
Declaration of Figures’ Authenticity
All figures submitted have been created by the authors who confirm that the images are original with no duplication and have not been previously published in whole or in part.
References:
- 1.Nair PA, Patel BC. Herpes zoster (shingles). Treasure Island (FL): StatPearls Publishing; 2023. Available from: https://www.ncbi.nlm.nih.gov/books/NBK441824/ [PubMed] [Google Scholar]
- 2.Cohen JI. Clinical practice: Herpes zoster. N Engl J Med. 2013;369(3):255–63. doi: 10.1056/NEJMcp1302674. [DOI] [PMC free article] [PubMed] [Google Scholar]
- 3.Laemmle L, Goldstein RS, Kinchington PR. Modelling varicella zoster virus persistence and reactivation – closer to resolving a perplexing persistent state. Front Microbiol. 2019;10:1634. doi: 10.3389/fmicb.2019.01634. [DOI] [PMC free article] [PubMed] [Google Scholar]
- 4.Centers for Disease Control Shingles Facts and Stats. 2024. Available from: https://www.cdc.gov/shingles/data-research/index.html.
- 5.Molero M, Guillén SM, Rodríguez-Artalejo F, et al. Status of herpes zoster and herpes zoster vaccines in 2023: A position paper. Rev Esp Quimioter. 2023;36(3):223–35. doi: 10.37201/req/004.2023. [DOI] [PMC free article] [PubMed] [Google Scholar]
- 6.Patil A, Goldust M, Wollina U. Herpes zoster: A review of clinical manifestations and management. Viruses. 2022;14(2):192. doi: 10.3390/v14020192. [DOI] [PMC free article] [PubMed] [Google Scholar]
- 7.Giannelos N, Curran D, Nguyen C, et al. The incidence of herpes zoster complications: A systematic literature review. Infect Dis Ther. 2024;13:1461–86. doi: 10.1007/s40121-024-01002-4. [DOI] [PMC free article] [PubMed] [Google Scholar]
- 8.Ali A, Bayrak E, Mohamud AA, Ali Z. A case report of varicella zoster virus infection progressing to necrotizing fasciitis in an immunocompetent adult. Int Med Case Rep J. 2024;17:105–9. doi: 10.2147/IMCRJ.S421248. [DOI] [PMC free article] [PubMed] [Google Scholar]
- 9.Shaikh N, Amara U, Hussein MI, et al. Varicella zoster viral infection complicating into necrotizing fasciitis: A case report. Clin Case Rep. 2022;10:e06408. doi: 10.1002/ccr3.6408. [DOI] [PMC free article] [PubMed] [Google Scholar]
- 10.Wallace HA, Waheed A, Perera TB. Necrotizing fasciitis. StatPearls Publishing; 2019. Available from: https://www.ncbi.nlm.nih.gov/books/NBK430756/ [PubMed] [Google Scholar]
- 11.Maya S, Beltrán D, Lemercier P, Leiva-Salinas C. Necrotizing fasciitis: An urgent diagnosis. Skeletal Radiol. 2014;43(5):577–89. doi: 10.1007/s00256-013-1813-2. [DOI] [PubMed] [Google Scholar]
- 12.Gore MR. Odontogenic necrotizing fasciitis: A systematic review of the literature. BMC Ear Nose Throat Disord. 2018;18:14. doi: 10.1186/s12901-018-0059-y. [DOI] [PMC free article] [PubMed] [Google Scholar]
- 13.Allaw F, Wehbe S, Kanj SS. Necrotizing fasciitis: An update on epidemiology, diagnostic methods, and treatment. Curr Opin Infect Dis. 2023;37(2):105–11. doi: 10.1097/QCO.0000000000000988. [DOI] [PubMed] [Google Scholar]
- 14.Misiakos EP, Bagias G, Patapis P, et al. Current concepts in the management of necrotizing fasciitis. Front Surg. 2014;1(36):36. doi: 10.3389/fsurg.2014.00036. [DOI] [PMC free article] [PubMed] [Google Scholar]
- 15.Latifi R, Hadeed G, Smith J, et al. Early surgical intervention and its impact on patients presenting with necrotizing soft tissue infections: A single academic center experience. J Emerg Trauma Shock. 2016;9(1):22. doi: 10.4103/0974-2700.173868. [DOI] [PMC free article] [PubMed] [Google Scholar]
- 16.Zeaiter N, Maassarani D, Ghanime G, Sleiman Z. A case report of rapidly necrotizing fasciitis post-falling down treated reconstructively. Cureus. 2022;14(8):e28055. doi: 10.7759/cureus.28055. [DOI] [PMC free article] [PubMed] [Google Scholar]
- 17.Marginean E, Venter C, Domuta M, et al. Necrotizing fasciitis of the neck: Case presentation. J Mind Med Sci. 2017;4(2):198–202. [Google Scholar]
- 18.Dapunt U, Klingmann A, Schmidmaier G, Moghaddam A. Necrotising fasciitis. BMJ Case Rep. 2013;2013 doi: 10.1136/bcr-2013-201906. bcr2013201906. [DOI] [PMC free article] [PubMed] [Google Scholar]
- 19.Paula FM, Pinheiro EA, Oliveira VM de, et al. A case report of successful treatment of necrotizing fasciitis using negative pressure wound therapy. Medicine. 2019;98(2):e13283. doi: 10.1097/MD.0000000000013283. [DOI] [PMC free article] [PubMed] [Google Scholar]
- 20.Can B, Gözel B. Necrotizing fasciitis after herpes zoster infection: a rare case with diagnostic difficulties. Cureus. 2022;14(5):e24805. doi: 10.7759/cureus.24805. [DOI] [PMC free article] [PubMed] [Google Scholar]
- 21.Petreanu CA, Constantin T, Iosifescu R, et al. Necrotizing fasciitis of the chest wall: A clinical case report and literature review. Exp Ther Med. 2022;23(1):90. doi: 10.3892/etm.2021.11013. [DOI] [PMC free article] [PubMed] [Google Scholar]
- 22.Barbosa RF, Pinho CJ, Costa-Ferreira A, et al. Microsurgical reconstruction of chest wall defect after necrotizing fasciitis. Microsurgery. 2006;26(7):519–23. doi: 10.1002/micr.20280. [DOI] [PubMed] [Google Scholar]
- 23.Ha KY, Tyring SK. Vibrio vulnificus necrotizing fasciitis preceding herpes zoster. Proc (Bayl Univ Med Cent) 2013;26(1):55–57. doi: 10.1080/08998280.2013.11928921. [DOI] [PMC free article] [PubMed] [Google Scholar]
- 24.Raksha R, Varsha S, Rajagopalan S. Necrotizing soft tissue infection at an uncommon site following tooth extraction. Int Surg J. 2019;6(12):4557. [Google Scholar]
- 25.Navinan MR, Yudhishdran J, Kandeepan T, Kulatunga A. Necrotizing fasciitis – a diagnostic dilemma: two case reports. J Med Case Rep. 2014;8(1):229. doi: 10.1186/1752-1947-8-229. [DOI] [PMC free article] [PubMed] [Google Scholar]
- 26.Shirley R, Mackey S, Meagher P. Necrotising fasciitis: A sequelae of varicella-zoster infection. J Plast Reconstr Aesthet Surg. 2011;64(1):123–27. doi: 10.1016/j.bjps.2010.03.031. [DOI] [PubMed] [Google Scholar]
- 27.Sharma A, Agarwal S, Sharma A, Kumar M. Varicella gangrenosum in adult: A fatal chickenpox complication. BMJ Case Rep. 2019;12(4):e226363. doi: 10.1136/bcr-2018-226363. [DOI] [PMC free article] [PubMed] [Google Scholar]
- 28.Soares GMS, Figueiredo LC, Faveri M, et al. Mechanisms of action of systemic antibiotics used in periodontal treatment and mechanisms of bacterial resistance to these drugs. J Appl Oral Sci. 2012;20(3):295–309. doi: 10.1590/S1678-77572012000300002. [DOI] [PMC free article] [PubMed] [Google Scholar]
- 29.Evans J, Hannoodee M, Wittler M. Amoxicillin clavulanate. Treasure Island (FL): StatPearls Publishing; 2021. Available from: https://pubmed.ncbi.nlm.nih.gov/30844191/ [PubMed] [Google Scholar]
- 30.Cheng NC, Tai HC, Chang SC, et al. Necrotizing fasciitis in patients with diabetes mellitus: Clinical characteristics and risk factors for mortality. BMC Infect Dis. 2015;15:417. doi: 10.1186/s12879-015-1144-0. [DOI] [PMC free article] [PubMed] [Google Scholar]
- 31.Gunaratne DA, Tseros EA, Hasan Z, et al. Cervical necrotizing fasciitis: Systematic review and analysis of 1235 reported cases from the literature. Head Neck. 2018;40(9):2094–102. doi: 10.1002/hed.25184. [DOI] [PubMed] [Google Scholar]
