Abstract
The identification of the cellular factors that control the transcription regulatory activity of the Epstein-Barr virus C promoter (Cp) is fundamental to the understanding of the molecular mechanisms that control virus latent gene expression. Using transient transfection of reporter plasmids in group I phenotype B-lymphoid cells, we have previously shown that the −248 to −55 region (−248/−55 region) of Cp contains elements that are essential for oriPI-EBNA1-dependent as well as oriPI-EBNA1-independent activation of the promoter. We now establish the importance of this region by a detailed mutational analysis of reporter plasmids carrying Cp regulatory sequences together with or without oriPI. The reporter plasmids were transfected into group I phenotype Rael cells and group III phenotype cbc-Rael cells, and the Cp activity measured was correlated with the binding of candidate transcription factors in electrophoretic mobility shift assays and further assessed in cotransfection experiments. We show that the NF-Y transcription factor interacts with the previously identified CCAAT box in the −71/−63 Cp region (M. T. Puglielli, M. Woisetschlaeger, and S. H. Speck, J. Virol. 70:5758–5768, 1996). We also show that members of the C/EBP transcription factor family interact with a C/EBP consensus sequence in the −119/−112 region of Cp and that this interaction is important for promoter activity. A central finding is the identification of a GC-rich sequence in the −99/−91 Cp region that is essential for oriPI-EBNA1-independent as well as oriPI-EBNA1-dependent activity of the promoter. This region contains overlapping binding sites for Sp1 and Egr-1, and our results suggest that Sp1 is a positive and Egr-1 is a negative regulator of Cp activity. Furthermore, we demonstrate that a reporter plasmid that in addition to oriPI contains only the −111/+76 region of Cp still retains the ability to be activated by EBNA1.
Epstein-Barr virus (EBV) is a human lymphotropic herpesvirus that is the etiologic agent of infectious mononucleosis, a self-limiting lymphoproliferative disorder (35). In addition, EBV is associated with various malignancies, including Burkitt's lymphoma (BL), Hodgkin's disease, nasopharyngeal carcinoma (NPC), and lymphoma in immunocompromised individuals (23). The virus can infect and establish latency in B lymphocytes and is capable of adopting four programs of latency (latency 0, I, II, and III). In healthy individuals, latent EBV infection appears to be primarily confined to resting memory B cells (3). The only EBV gene product that is consistently detected in these cells is LMP2A, a pattern of gene expression at present termed latency 0 (33, 34, 57). In BL biopsies, only EBV nuclear antigen 1 (EBNA1) is expressed (latency I) (44, 57). In Hodgkin's disease, NPC, and T-cell lymphomas, EBNA1 and variable combinations of the three members of the latent membrane protein family (LMP1, LMP2A, and LMP2B) are expressed (latency II) (44, 57). During acute infectious mononucleosis, in lymphoproliferative syndromes in immunocompromised individuals, and in lymphoblastoid cell lines (LCLs), all six nuclear antigens (EBNA1 to EBNA6) are expressed (latency III) (5). In addition, all three LMPs are expressed (20). Cell lines established from BL cells can be divided into three groups (BL I to BL III) depending on the expression of different B-lineage restricted surface antigens (48, 49). Group I BL cell lines retain the phenotype of the original biopsy cell, whereas group II and III BL cell lines express the full spectrum of B-cell activation signals and adhesion molecules. EBV-positive group I BL cell lines present a type I pattern of latent viral gene expression. EBV-positive group II BL cell lines express viral genes in a way that is intermediate between type II and III latency. Viral gene expression in group III BL cell lines and group III phenotype LCLs is an example of type III latency (44, 49).
After in vitro infection of B lymphocytes, EBNA5 and EBNA2 are the first EBV genes expressed from a bicistronic transcription unit under transcriptional control of the W promoter (Wp) in the BamHI W repeat region of the EBV genome (1, 2, 47, 61). Within 36 h there is a switch in promoter usage from Wp to the upstream C promoter (Cp) in the BamHI C region (62). EBNA2 appears to be required for the Wp-to-Cp switch (22, 56, 67, 68). One study supports a model in which EBNA1, expressed by an unknown mechanism at early time points postinfection, also plays an important role in the cascade of events that leads to successful switching from Wp to Cp (53). However, from this study it is unclear whether EBNA1 expression is obligate for the initial upregulation of Cp. Transcription from Cp leads to a concomitant expression of all EBNAs from a polycistronic transcription unit that is spliced to yield the different EBNA molecules (5). The restricted pattern of EBV gene expression in group I BL and NPC cells is associated with a downregulation of Cp and Wp due to hypermethylation (21, 31) and a parallel activation of the Q promoter in the BamHI Q region for selective EBNA1 gene transcription (52, 59, 70). The genome of EBV is maintained in latently infected cells as an episome. EBNA1 activates DNA replication once every cell cycle from the EBV origin of DNA replication, oriP (64–66). The expression of EBNA1 is thus essential to prevent loss of the EBV genome during multiple cell divisions, and EBNA1 is consistently detected in all types of virus latency in growing cells (23). oriP consists of two subelements, the family of repeats and the dyad symmetry, also termed oriPI and oriPII, respectively (41, 43). oriPI comprises 20 copies of a 30-bp repeat that contains the EBNA1 binding motif and acts as an EBNA1-dependent enhancer of transcription from heterologous promoters (42). Notably, EBNA1 does not appear to contain any transactivating domains, but it has been observed to participate in homotypic and heterotypic protein interactions (15, 16) and DNA linking (28).
The regulation of the Cp promoter has been the subject of several investigations, and positive cis-acting transcription regulatory elements have been identified in the regions upstream and downstream of Cp (Fig. 1). oriPI in cis in conjunction with EBNA1 in trans activates Cp (55) and are essential for significant transcription from both Cp and Wp in LCLs (36, 40). A glucocorticoid-responsive element (GRE) has been identified in the Cp upstream region (26). A third cis element identified upstream of Cp is the EBNA2-responsive enhancer (E2RE) (22, 56, 68). Cp also appears to require a properly positioned CCAAT box for optimal activity in LCLs (40). A weakly positive cis element has been identified within the sequences from +2680 to +2880 relative to the Cp transcription initiation site (39). A recent analysis of the Cp region in the genomes of two primate lymphocryptoviruses and the alignment of these sequences with that of EBV Cp has demonstrated preservation of the GRE, the E2RE, and the CCAAT box (17). It is interesting, however, that the comparison revealed several additional conserved stretches of nucleotides, suggesting that there might be other candidate regulatory elements in this region.
FIG. 1.
Sequences involved in the regulation of the EBV Cp. (A) Schematic illustration of the region upstream of Cp. The sequence coordinates are from the DNA sequence of the B95-8 EBV genome (4). The bent arrow indicates the Cp transcription initiation site at position 11336. Boxes indicate the positions of previously identified cis-acting elements, including oriP, which is composed of oriPI (family of repeats [FR]) and oriPII (dyad symmetry [DS]), a GRE, and the E2RE. (B) Fragments of the region upstream of Cp present in different CAT reporter plasmids. (C) Detailed map of upstream Cp-proximal transcriptional elements described in this paper and their relation to fragments present in the different CAT reporter plasmids. Open boxes indicate putative transcriptional elements. Numbers in panels B and C are positions in relation to the Cp transcription initiation site (+1).
The starting point of the present investigation was our previous observation that the −248 to −55 region (−248/−55 region) of Cp contains transcription regulatory elements that activate reporter plasmids in group I phenotype cells. We also showed that the same region seems to be involved in oriPI-EBNA1-induced promoter activation (36). Our finding that Cp exhibits a significant oriPI-EBNA1-independent activity in group I phenotype cells is compatible with the hypothesis that an EBNA1-independent Wp-to-Cp switch might occur in newly infected cells that have not yet adopted the characteristics of a group III phenotype. In the present report we describe the results of a detailed mutational analysis of the −248/−55 Cp region. We have identified promoter-proximal transcriptional elements involved in the activation of Cp both in an oriPI-EBNA1-dependent and an oriPI-EBNA1-independent manner in group I and group III B lymphoid cells.
MATERIALS AND METHODS
Plasmid constructions.
All constructs made were verified by dideoxy sequencing (51) utilizing the Sequenase system (United States Biochemical Corp., Cleveland, Ohio) or the ABI PRISM Big Dye terminator cycle sequencing kit (PE Applied Biosystems). The series of chloramphenicol acetyltransferase (CAT) reporter plasmids with different 5′ deletions of Cp has been described previously (36). The Cp fragment together with the CAT gene was transferred from these constructs as a SalI-BamHI fragment into the pGEM-3zf(+) plasmid (14). The names of the resulting plasmids were changed as follows: pΔC1CAT to pgCp(−55)CAT, pΔC2CAT to pgCp(−248)CAT, pΔC3CAT to pgCp(−1024)CAT, and pΔC4CAT to pgCp(−3889)CAT. The Cp transcription initiation site at position 11336 of strain B95-8 EBV DNA (4) was numbered as +1. Two more 5′ deletion fragments were made, pgCp(−111)CAT and pgCp(−170)CAT, as AluI-SfiI (nucleotides 11225 to 11412) and MvaI-SfiI (nucleotides 11166 to 11412) restriction fragments, respectively, and subcloned into the unique HindIII site immediately upstream of the CAT gene. The 3′ end of the subcloned fragments all contained 76 bp downstream of the Cp transcription initiation site (+76). The plasmids pgCp(−112)CAT, pgCp(−122)CAT, pgCp(−132)CAT, and pgCp(−144)CAT were made by synthesis of double-stranded oligonucleotides that contained sequences from positions −112, −122, −132, and −144, respectively, to the Bsu36I site at position −55 in Cp. The oligonucleotides contained a SalI site in the 5′ end and a Bsu36I site in the 3′ end. They were cloned in pgCp(−111)CAT, replacing the −111/−55 region between the unique SalI and Bsu36I sites.
A series of pgCp(−170)CAT derivatives with different internal mutations, pgCp(−170/m1)CAT to pgCp(−170/m12)CAT, was made by synthesizing four pairs of overlapping, complementary oligonucleotides for each construct, with a SalI site at the 5′ end (−170Cp) and a Bsu36I site at the 3′ end (−55Cp). These double-stranded oligonucleotides were ligated into a SalI-Bsu36I opened pgCp(−248)CAT, replacing the −248/−55 region. Mutations were introduced by using oligonucleotides with purine-pyrimidine transversions in defined regions. (The positions and sequences of the mutations are shown in Fig. 3 and Table 1.) One spontaneous internal deletion mutant that lacked the sequence between −140 and −74 was found and included in the mutation series as Del-1. To make CAT reporter plasmids with specific Sp and Egr mutations, PCR amplifications in two steps were performed with the pgCp(−170)CAT as a template. Primers with specific mutations in the Egr site (ACG to GAT in positions −94 to −92) and the three different Sp sites (CGG to ATT in positions −166 to −164, GCG to TAT in positions −140 to −138, and G to T in position −98) were used. The first round of amplifications was performed with the M13 reverse sequence primer in the pGEM-3zf(+) vector 5′ of the insert and a 3′ primer including the desired mutation, in parallel with a 5′ primer including the mutation together with a 3′ primer in the CAT gene. These two overlapping amplicons were denatured, annealed, and elongated in five cycles and subjected to a second round of amplifications with the M13 reverse sequence primer and the primer in the CAT gene. The resulting fragment was digested with SalI and Bsu36I, isolated, and ligated into a SalI-Bsu36I-opened pgCp(−248)CAT, replacing the −248/−55 region and yielding pgCp(−170/m13)CAT, pgCp(−170/m14)CAT, pgCp(−170/m15)CAT, pgCp(−170/m16)CAT, and pgCp(−170/m17)CAT (Table 1). To study sequence motifs important for the oriPI-EBNA1-mediated activation of Cp, the family of repeats of oriP (oriPI) was excised as an EcoRI-SmaI fragment corresponding to the −4021/−3146 Cp region. PstI linkers were added, and the fragment was ligated to the unique PstI site of the pgCAT reporter constructs that contained the different deleted or mutated Cp fragments, yielding the pgCp(oriPI/…)CAT series of plasmids, where the dots in parentheses stand for the different Cp fragments (see Fig. 7). The deletion of positions −247 to −57 and the introduction of a 3-bp mutation in the Sp binding site in positions −308 to −306 (GCG to TAT) was made in a combined PCR with two pairs of primers. The mutated region was excised as a 190-bp AvrII-Bsu36I fragment and subcloned in two steps into the pgCp(−3889)CAT reporter construct. The new plasmids were designated pgCp(−3889/Del-2)CAT for the construct containing only the −247/−57 deletion and pgCp(−3889/Del-2/m18) CAT for the one containing both the deletion and the 3-bp mutation in the Sp site.
FIG. 3.
Transcriptional elements involved in the regulation of Cp. (A) Sequence of the promoter-proximal region between positions −171 and −55 relative to the Cp transcription initiation site (+1). Boxes indicate putative transcriptional elements. The corresponding transcription factors shown to bind to the regions are indicated at the top of the panel. Del-1 was the result of a spontaneous internal deletion between positions −140 and −74. The unmutated sequence of Del-1 is represented by a solid line and the deleted sequence is represented by a dotted line. (B) Activity of pgCp(−170/…)CAT reporter plasmids (Table 1 and Fig. 3A) in the Rael cell line. CAT activities are percentages of the activity obtained with the wild-type pgCp(−170)CAT. The 100% value corresponds to acetylation of 3.6% of the substrate; the background level was 0.2%. The values are means of five independent transfection series. Error bars indicate standard errors of the means.
TABLE 1.
Mutated sequences in pgCp(−170/…)CAT and pgCp(oriPI/−170/…)CAT reporter constructsa
| Mutant | Positionb relative to Cp | Mutated sequence (5′-3′) |
|---|---|---|
| m1 | −170/−156 | ACTTATTTTAGTTTA |
| m2 | −157/−143 | TACCCTTTTGAAGCA |
| m3 | −142/−137 | TTTATT |
| m4 | −136/−122 | TCGGCCGGCATAAGG |
| m5 | −127/−113 | ATAAGGTAGGCATAC |
| m6 | −108/−97 | ACTGGCCGGATA |
| m7 | −99/−88 | ATAAACATCAGG |
| m8 | −91/−84 | CAGGTCCC |
| m9 | −79/−72 | GCTAAAGG |
| m10 | −76/−68 | AAAGGCCAA |
| m11 | −63/−56 | TTATTAAA |
| m12 | −62/−57 | TATTAA |
| m13 | −94/−92 | GAT |
| m14 | −98 | T |
| m15 | −166/−164 | ATT |
| m16 | −166/−164, −140/−138 | ATT, TAT |
| m17 | −166/−164, −140/−138, −98 | ATT, TAT, T |
| m18 | −308/−306 | TAT |
| Del-1 | −139/−75 | Deletion |
| Del-2 | −247/−57 | Deletion |
For each plasmid name, the dots in parentheses are replaced by the appropriate mutant name, e.g., pgCp(−170/m1)CAT.
In base pairs.
FIG. 7.
The minimal oriP-responsive region of Cp contains sequences between positions −111 and +76 relative to the Cp transcription initiation site as shown by analysis of the activity of pgCp(oriPI/…)CAT reporter plasmids in the Rael and cbc-Rael cell lines. The values are means of at least two independent transfection series with double samples. Error bars indicate standard errors of the means.
The expression vector for Egr-1 was made by using a random hexamer primer to synthesize cDNA from total RNA prepared from cbc-Rael cells as described by Chirgwin et al. (7). This cDNA was amplified in two steps with Egr-1-specific primers. In the second round of amplifications, the 5′ primer contained an EcoRI site and the 3′ primer contained a SalI site. The PCR products were digested with EcoRI and SalI and separated on an agarose gel, and the band corresponding to the expected full length was excised and isolated by isotachophoresis (37). The purified fragment was cloned into the pCI expression vector (Promega, Madison, Wis.) directly in the right orientation under the control of the cytomegalovirus immediate-early enhancer/promoter. Protein expression was verified by transfection of Rael cells, and analysis of cell extracts was carried out by sodium dodecyl sulfate-polyacrylamide gel electrophoresis and immunoblotting (data not shown). The pPacSp1, pPacSp3, and parent pPac expression vectors for transfection of SL2 insect cells were kindly provided by G. Suske (Klinikum der Philipps-Universität Marburg, Marburg, Germany). The EBNA1 expression vector was constructed by utilization of the pPacSp1 that contains the Drosophila ubx leader for efficient gene expression. The EBNA1-encoding sequence was prepared as two fragments divided by the unique NcoI site at position 108064 in the B95-8 genome (4). The first 160 bp of the EBNA1 exon was PCR amplified, introducing an XhoI site 5′ of codon 11 of the EBNA1 gene (position 107980 in the EBV genome). A cloned BamHI K fragment of the EBV genome was used as a template, and the sequence of the 5′ PCR primer was 5′-CGGGATCCCTCGAGGGAAATGGCCTAGGAGAGA-3′ (the EBV sequence is underlined). The amplified material was cleaved with XhoI and NcoI, generating a 90-bp fragment. An NcoI-AccI fragment (nucleotides 108064 to 109951) was excised from the BamHI K fragment, and XhoI linkers were added to the AccI end. The two fragments were ligated at the NcoI site and cloned into the XhoI-digested pPacSp1 plasmid, replacing the Sp1 gene. The plasmid was designated pPacEBNA1. EBNA1 expression was verified by transfection of SL2 cells and analysis of cell extracts by sodium dodecyl sulfate-polyacrylamide gel electrophoresis and immunoblotting (data not shown). Intranuclear expression of EBNA1 in transfected SL2 cells was confirmed by immunostaining using polyclonal human serum CW with high titers of antibody to EBNA1, diluted 1:10, 1:50, and 1:200, and fluorescein isothiocyanate-conjugated secondary (F0202; DAKO, Glostrup, Denmark) and tertiary (F0205; DAKO) antibodies diluted 1:50 (data not shown).
Cell culture, transient transfections, and CAT assay.
Rael is an EBV-positive BL cell line with a group I phenotype (24). The cbc-Rael line was obtained by in vitro infection of cord blood cells with the Rael virus strain and has a group III phenotype (13). Cells were grown as suspension cultures in RPMI 1640 (Gibco, Life Technologies Inc., Gaithersburg, Md.) supplemented with 10% fetal calf serum (Gibco, Life Technologies Inc.), streptomycin, and penicillin. Schneider's Drosophila line 2 (SL2) is a Drosophila cell line that lacks endogenous Sp factors (9). The SL2 cells were cultured in room temperature in Schneider's Drosophila medium (Gibco, Life Technologies Inc.) supplemented with 10% fetal calf serum (Gibco, Life Technologies Inc.), streptomycin, and penicillin. The Rael cell line was transfected by the DEAE-dextran method (30) or by electroporation (38) with a Gene Pulser system (Bio-Rad laboratories, Hercules, Calif.). Transfections were performed with 5 × 106 cells and 10 μg of the reporter plasmids. The cbc-Rael cell line was transfected by electroporation (38) with a Gene Pulser system using 7 × 106 cells and 14 or 20 μg of the reporter plasmids. Three days after transfection, the cells were harvested. Cell extracts were prepared by three rounds of freezing and thawing and analyzed for CAT activity as described by Ricksten et al. (45). Storage phosphor screens were exposed, scanned in a PhosphorImager (Molecular Dynamics, Sunnyvale, Calif.), and quantified using ImageQuant software (Molecular Dynamics). The SL2 cells were cotransfected with 10 μg of different CAT reporter constructs and various amounts of either pPacSp1, pPacSp3, pPacEBNA1 or the parent pPac in 60-mm dishes using the calcium phosphate-DNA precipitation method (11). Cells were harvested 2 days after transfection. Cell extracts were prepared and the CAT activity was analyzed as described above.
EMSAs.
Nuclear extracts were prepared essentially as described by Dignam et al. (10) except that antipain (5 μg/ml), leupeptin (5 μg/ml), and aprotinin (2 μg/ml) were added to the buffer in the final homogenization and dialysis steps and phenylmethylsulfonyl fluoride was replaced by Pefabloc (0.5 mM). Aliquots were frozen in liquid nitrogen and stored at −80°C. Three different double-stranded, blunt-ended, synthetic oligonucleotides were used as probes in electrophoretic mobility shift assay (EMSAs): (−80/−55)Cp (nucleotides 11256 to 11281), (−107/−84)Cp (nucleotides 11229 to 11252), and (−150/−105)Cp (nucleotides 11186 to 11231). In competition experiments, the following double-stranded consensus oligonucleotides were used: AP-2/Sp consensus, 5′-ACGGGCCGCGGGCGGTCAGTTCGATC-3′; AP-1 consensus, 5′-CGCTTGATGACTCAGCCGGAA-3′; C/EBP consensus, 5′-TGCAGATTGCGCAATCTGCA-3′; PEA3 consensus, 5′-GTATCTAAGGAAGTAGATAC-3′; Myb consensus, 5′-ATCACGTCAGTTATCTGCAT-3′; and Egr consensus, 5′-GGATCCAGCGGGGGCGAGCGGGGGCGA-3′. The nonspecific competitor was either an unrelated DNA sequence or, in the case of the (−150/−105)Cp probe, the −150/−105 region of Cp transversely mutated. One strand of the oligonucleotide probe was labeled with [γ-32P]ATP (6,000 Ci/mmol; NEN Life Science Products, Brussels, Belgium) using polynucleotide kinase (Boehringer Mannheim GmbH, Mannheim, Germany) and annealed to the complementary strand. The labeled probe was purified by electrophoresis in an 8% polyacrylamide gel in TBE (0.1 M Tris, 0.1 M boric acid, 2 mM EDTA; pH 8.3). The wet gel was autoradiographed, and the DNA fragment was excised, electroeluted by isotachophoresis (37), and precipitated. Binding reactions were carried out in a volume of 30 μl containing 10 mM Tris-HCl (pH 7.5), 50 mM NaCl, 1 mM dithiothreitol, 1 mM EDTA, 5% glycerol, various amounts of poly(dA-dT) or poly(dI-dC) (2 to 4 μg), 5 fmol of labeled probe (approximately 70,000 cpm), and various amounts of crude nuclear extracts from Rael or cbc-Rael cells (5 to 10 μg). In competition experiments, 1 to 10 pmol of unlabeled oligonucleotides was added to the reaction mixture. After incubation at room temperature for 30 min, the samples were loaded on a 6% polyacrylamide gel (acrylamide-bisacrylamide, 29:1) in TGE (25 mM Tris-HCl, 0.19 M glycin, 1 mM EDTA; pH 8.3). After electrophoresis, gels were dried and autoradiographed. The supershift experiments were performed as described above for the EMSAs except that 2 to 10 μl of the respective antibody was added after the incubation at room temperature. A second incubation was carried out at 4°C for 2 h before the samples were loaded onto the gel. Antibodies used for supershift experiments were NF-Y (PharMingen, San Diego, Calif.), NF-1 (sc-870X), YY1 (sc-1703X), Sp1 (sc-59X), Sp3 (sc-644X), Egr-1 (sc-110X), Egr-2 (sc-190X), C/EBPα (sc-61X), C/EBPβ (sc-150X), C/EBPγ (sc-7659X), C/EBPδ (sc-636X), and C/EBPɛ (sc-158X) (Santa Cruz Biotechnology Inc., Santa Cruz, Calif.).
RESULTS
Activity of proximal Cp sequence elements in group I and III B cells.
In a previous report it was shown that the −248/−55 region of the Cp (BCR2) promoter contains transcriptional elements that activate reporter plasmids in cells expressing BL group I phenotype and are involved in oriPI-EBNA1-induced promoter activation (36). This region was subjected to further analysis by creating a series of reporter plasmids, pgCp(−3889)CAT, pgCp(−1024)CAT, pgCp(−248)CAT, pgCp(−170)CAT, pgCp(−144)CAT, pgCp(−132)CAT, pgCp(−122)CAT, pgCp(−111)CAT, and pgCp(−55)CAT, containing 5′-deletion-containing fragments of the Cp region. The reporter plasmids were transfected into the group I phenotype Rael cell line and the group III phenotype cbc-Rael cell line. The plasmid with the shortest fragment that could still induce expression of the reporter gene in Rael cells contained the −144/+76 part of the Cp region (Fig. 2). The activity of the reporter plasmids increased with increasing length of the fragments to reach a maximum level with the pgCp(−3889)CAT construct, which encompassed oriPI in its natural configuration. Moreover, pgCp(−3889)CAT was the only plasmid in the deletion series that displayed significant reporter gene expression in cbc-Rael cells (Fig. 2), corroborating our earlier observation that oriPI is essential for detectable Cp activity in cells expressing a group III phenotype (36).
FIG. 2.
Activity of pgCp(…)CAT reporter plasmids in the Rael and cbc-Rael cell lines. CAT activities are percentages of the activity obtained with pgCp(−3889)CAT. The 100% values correspond to acetylation of 16.2 and 1.4%, respectively, of the substrate; the background level was 0.2%. The values are means of at least two independent transfection series with double samples. Error bars indicate standard errors of the means.
To identify the individual transcription factors and the corresponding binding sites important for the activity of the −144/+76 Cp construct in the Rael cell line, a series of derivatives of the pgCp(−170)CAT plasmid with point mutations at selected positions (Table 1 and Fig. 3A) was created. As a generic term we used the designations pgCp(−170/m1)CAT to pgCp(−170/m12)CAT, where m1 to m12 are mutant designations. The activity of the resulting plasmids in Rael cells was reduced or abolished by several of the mutations (Fig. 3B). The point mutations in the m3-, m4-, m5-, m7-, m10-, and m11-containing plasmids and the deletion mutation in the Del-1 plasmid reduced the CAT activity to background levels. Mutations in the m1 and m6 constructs reduced the activity to approximately 60 and 35%, respectively, of that of the wild type. The results are consistent with the notion that the −142/−92 and −71/−63 regions of Cp contain elements that are essential for promoter activity in BL group I cells. A database search revealed the presence of possible binding sites for several transcription factors in the two regions (Fig. 3A).
Sp1 binding site in the −141/−136 region of Cp.
A putative Sp factor binding site was found at positions −141/−136 of the Cp region. EMSA analysis using Rael nuclear extracts and a probe corresponding to the −150/−105 Cp region revealed six specific complexes (Fig. 4A). A minor band was assumed to correspond to a nonspecific complex since it did not disappear after the addition of excess amounts of unlabeled probe in competition experiments (Fig. 4A, lane 2). Competition experiments with an excess of an oligonucleotide that contained a consensus Sp binding site suggested that at least three of the bands contained factors that belong to the Sp family. The same bands were abolished by competition with a (−150/−125)Cp oligonucleotide. The two fastest-moving bands were not affected by competition with the (−150/−125)Cp oligonucleotide but were removed by a (−130/−105)Cp oligonucleotide as well as a C/EBP consensus oligonucleotide. The slowest-moving minor band displayed the same behavior. To establish the identity of the factors in the complexes, antibody supershift analysis was performed. Both anti-Sp1 and anti-Sp3 antibodies gave rise to supershifted bands (Fig. 4B, lanes 2 and 3). cbc-Rael nuclear extract gave rise to the same binding pattern regarding the Sp factor complexes (data not shown). It should be noted that a putative Sp site was also found at positions −168 to −163. The site was investigated with EMSA using a probe corresponding to the region from position −171 to −143. Antibody supershift analysis showed one specific Sp1-containing complex and two specific Sp3-containing complexes with nuclear extracts from Rael and cbc-Rael (data not shown). However, judging from the results of the deletion and site-directed mutational analyses described above, this Sp site was not essential for Cp activity.
FIG. 4.
Identification of transcription factors that interact with the Sp and C/EBP motifs in the −150/−105 region in the group I BL cell line Rael. A 32P-labeled double-stranded synthetic oligonucleotide corresponding to the −150/−105 region was incubated with nuclear extracts from Rael cells. The reaction mixtures were analyzed by EMSA. (A) Competition experiments. Lane 1, binding pattern obtained with the nuclear extract. Competition reactions were carried out with an excess of unlabeled competitors as indicated below the autoradiogram and as described in Materials and Methods. Six complexes (solid arrows) are considered specific and designated Sp and C/EBP, since they were abolished by Sp and C/EBP consensus sequences. One noncompetable, nonspecific band is indicated by a dashed arrow. (B) Supershift analysis. Seven complexes (solid arrows) are considered specific and designated Sp1, Sp3, and C/EBP. Identification of the C/EBP isoform that bind to the −119/−112 sequence was determined by addition of specific antibodies to C/EBPα, -β, -γ, -δ, and -ɛ, respectively. The positions of the antibody-shifted complexes are shown by arrowheads. The dashed arrow indicates a nonspecific band. As a control, the anti-Sp1, anti-Sp3, anti-C/EBPβ, and anti-C/EBPγ antibodies were incubated alone with the labeled oligonucleotide. There was no nonspecific binding from the antibody preparations to the oligonucleotide (data not shown). The Sp1 and Sp3 supershifts were confirmed by incubation of the labeled oligonucleotide and nuclear extracts with a mixture of anti-Sp1 and anti-Sp3 antibodies, which shifted all Sp-specific bands (data not shown).
C/EBP binding site in the −119/−112 region of Cp.
A putative C/EBP binding site was found in the −119/−112 Cp region. EMSA analysis using Rael nuclear extracts and a probe corresponding to the −150/−105 Cp region revealed six specific complexes (Fig. 4A). The two fastest-moving bands were not affected by competition with an oligonucleotide corresponding to the −150/−125 Cp region but were removed by an oligonucleotide corresponding to the −130/−105 region and by a C/EBP consensus motif-containing oligonucleotide. The slowest-moving minor band displayed the same behavior. To establish the identity of the factors in the complexes, antibody supershift analysis was performed (Fig. 4B). Antibodies against different C/EBP isoforms were used and C/EBPγ shifted the two fastest-moving complexes as well as the slowest-moving band. C/EBPβ also shifted a part of the second fastest-moving band. Nuclear extract from cbc-Rael contained less C/EBP and gave rise to weaker C/EBP complexes. In cbc-Rael nuclear extracts, only C/EBPγ could be detected by antibody supershift analysis (data not shown). We conclude that the C/EBPβ and C/EBPγ transcription factors are both present in Rael cells, in contrast to cbc-Rael cells, which contain only C/EBPγ. Furthermore, the factors interact with the C/EBP binding site in the −119/−112 Cp region, and judging from the mutational analysis (m5) (Fig. 3), this interaction is essential for the Cp activity.
Sp1 binding site in the −99/−95 Cp region.
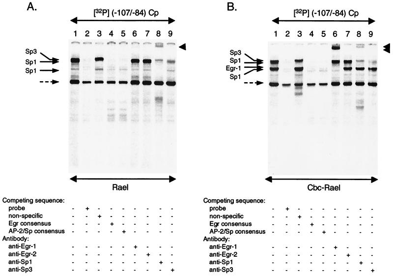
The binding of transcription factors to the putative Sp site in the −99/−95 Cp region was investigated with EMSA and antibody supershift analysis using a probe corresponding to the −107/−84 Cp region and nuclear extracts of Rael and cbc-Rael cells. Two major and one minor EMSA bands were evident in the Rael extracts (Fig. 5A). A fourth band was assumed to represent nonspecific complex formation, since it was not removed by the addition of excess amounts of unlabeled probe. The major band with the lowest mobility was composed of two poorly separated bands, both of which could be removed by AP-2/Sp consensus and Egr consensus oligonucleotides (Fig. 5, lanes 4 and 5). Antibody supershift analysis showed that anti-Sp1 antibodies removed one of the bands in the double band as well as the minor band and that anti-Sp3 antibodies reacted with the other band in the double complex (Fig. 5, lanes 8 and 9). Addition of antibodies against two other transcription factors, Egr-1 and Egr-2, did not affect any of the complexes obtained with the Rael cells (Fig. 5A, lanes 7 to 9). cbc-Rael extracts gave rise to the same binding pattern regarding the Sp complexes (Fig. 5B). In summary, our results demonstrate that the Sp1 and Sp3 transcription factors are present in Rael and cbc-Rael and interact with the Sp binding sites in the −168/−163, −141/−136, and −99/−95 Cp regions.
FIG. 5.
Identification of transcription factors that bind to the −107/−84 region. A 32P-labeled double-stranded synthetic oligonucleotide corresponding to the −107/−84 region was incubated with nuclear extracts from Rael (A) and cbc-Rael (B) cells. The reaction mixtures were analyzed by EMSA. Lanes 1, binding pattern obtained with the nuclear extract; lanes 2 to 5, patterns obtained with a 400-fold excess of unlabeled competitors indicated below the autoradiogram; lanes 6 to 9, patterns obtained after incubation with the antibodies indicated below the autoradiogram. The specific complexes are indicated by solid arrows. One band that was not abolished by competition or antibody reactions is indicated by a dashed arrow.
Egr-1 binding site in the −99/−91 region of Cp.
The EMSA pattern obtained with nuclear extracts of cbc-Rael cells and the (−107/−84)Cp probe (Fig. 5B) contained an extra band in addition to those identified as being the result of the binding of the Sp1 and Sp3 factors in the Rael extracts. This complex was shown to contain the Egr-1 transcription factor by competition experiments and antibody supershift analysis. We conclude that cbc-Rael contains the Egr-1 transcription factor and that Egr-1 interacts with the overlapping binding sites for Sp1/Sp3 and Egr-1 in the −99/−91 Cp region.
CCAAT box in the −71/−63 region of Cp.
The −71/−63 Cp region contains a CCAAT box consensus sequence. A detailed mutation analysis defined the sequence necessary for the activating capability of the element as that between positions −71 and −63 (5′-AACCAATTG-3′) (Fig. 3 and 6). Transcription factors binding to this sequence were identified with EMSA using a probe corresponding to the −80/−55 Cp region and nuclear extracts from Rael and cbc-Rael cells (Fig. 6). Two complexes, one major and one minor, were detected and considered to be specific. Competition experiments with oligonucleotides containing mutations m10, m11, and m12 (Table 1) showed that m10 and m11 could not remove any of the bands while m12 competed for both specific bands. The difference in the positions of the mutations is only 1 bp from the CCAAT box in the 3′ direction. This corresponds well with the activity data shown in Fig. 3B, where m10 and m11 abolished activity of the reporter plasmids. m12, on the other hand, did not interfere with the CCAAT box, and the reporter plasmid with this mutation was fully active. Notably, a standard CCAAT consensus sequence oligonucleotide could not remove any of the bands, which confirms that the whole sequence between positions −71 and −63 is necessary for complex formation. To identify the binding transcription factors, antibody supershift analysis was performed with commercially available antibodies. The complexes were supershifted by an anti-NF-Y antibody (Fig. 6A and B, lanes 9). Antibodies against three other CCAAT box binding factors (C/EBP, NF-1, and YY1) did not interact with the complexes. Taken together, our results demonstrate that the NF-Y transcription factor is present both in Rael and cbc-Rael and that it interacts with the CCAAT box containing sequence in the −71/−63 Cp region.
FIG. 6.
Identification of transcription factors that bind to the −80/−55 region. A 32P-labeled double-stranded synthetic oligonucleotide corresponding to the −80/−55 region was incubated with nuclear extracts from Rael (A) and cbc-Rael (B) cells. Lanes 1, binding pattern obtained with the nuclear extract; lanes 2 to 6, patterns obtained with a 400-fold excess of unlabeled competitors indicated below the autoradiogram (in lanes 3 to 5, the competitors include the mutations m10, m11, and m12, respectively [Table 1]); lanes 7 to 10, patterns obtained after incubation with antibodies against four different CCAAT box binding factors. The position of the anti-NF-Y antibody-shifted complex is shown by an arrowhead. One band that was not abolished by competition or antibody reactions is indicated by a dashed arrow.
Sequence elements involved in oriPI-EBNA1-induced activation of Cp.
It is a well-established fact that oriPI functions as a transcriptional enhancer of the Cp and is necessary for detectable Cp activity in cells expressing a group III phenotype (36, 40, 42, 55). The mechanism for the interaction between the oriPI-EBNA1 complex and Cp is, however, not understood at the molecular level. We have chosen a strictly reductionistic approach to this presumably complex problem with the intention to identify the minimal Cp promoter still possessing the ability to be activated by oriPI-EBNA1 in the proper cellular environment. To that end, an EBV DNA fragment containing the oriPI family of repeats was inserted 5′ of the Cp fragments in the deletion series of reporter plasmids described above. Transfection of the resulting reporter plasmids into Rael and cbc-Rael cells revealed that the pgCp(oriPI/−111)CAT plasmid and plasmids with longer Cp inserts were activated in both cell lines and that the pgCp(oriPI/−55)CAT plasmid remained inactive (Fig. 7). The results suggested that the minimal sequences necessary for oriPI-EBNA1-induced Cp activation are located in the −111/+76 Cp region. To map this region in greater detail, we inserted the oriPI fragment immediately 5′ of the −170 position in the previously described series of reporter plasmids with point mutations in Cp (Table 1 and Fig. 3A) and transfected the resulting plasmids into Rael and cbc-Rael cells. Among plasmids with mutations in the −111/−55 Cp region, reporter gene expression was abolished by the m7, m10, and m11 point mutations and the Del-1 deletion both in Rael cells and in cbc-Rael cells (Fig. 8). Mutation m6 reduced the activity to approximately 45% of that of the wild type. The data suggest that the −108/−92 and −71/−63 regions of Cp are important for the oriPI-EBNA1-induced activation of the minimal Cp promoter. Notably, these regions are the same as those that were found to be essential for the oriPI-EBNA1-independent Cp stimulation examined in Rael cells (Fig. 3B).
FIG. 8.
Regions required for oriPI-EBNA1-mediated Cp activation in the context of the −170/+76 promoter regulatory region determined by measuring activity of pgCp(oriPI/−170/…)CAT reporter plasmids with mutations (as detailed in Table 1 and Fig. 3) in the Rael and cbc-Rael cell lines. CAT activities are percentages of the activity obtained with the wild-type construct, pgCp(oriPI/−170)CAT. The 100% values correspond to 18.7 and 13.3% acetylation, respectively. The values are means of at least four independent transfection series. Error bars indicate standard errors of the means.
We also addressed the question of whether mutations in the −170/+76 fragment of Cp that abolished the activity of the reporter plasmids also had an effect in the context of the full-length promoter region. The point mutations with the lowest activity in the −170/+76 Cp context (m4, m5, m7, and m11) were introduced into the pgCp(−1024)CAT, pgCp(oriPI/−1024)CAT, and pgCp(−3889)CAT plasmids, and the resulting plasmids were transfected into Rael and cbc-Rael cells (Fig. 9A and B). The results with Rael cells showed that every mutation decreased the activity of the three reporter plasmids (Fig. 9A), although not quite to the same level as that obtained with the corresponding mutated pgCp(−170)CAT derivatives. Mutations m10 and m11 diminished the activity of the mutated pgCp(−1024)CAT to approximately 14% of that of the wild-type plasmid, and mutations m4 and m5 diminished it to approximately 33%. The activity pattern was largely similar in the two series of oriPI-containing constructs. In cbc-Rael cells, the pgCp(−1024)CAT plasmid and its mutated derivatives were inactive, since they lack oriPI (Fig. 9B). The pgCp(oriPI/−1024)CAT plasmid was active, but the four mutated derivatives were all heavily repressed, with a residual activity in the range of 1 to 8%. Surprisingly, the wild-type pgCp(−3889)CAT plasmid had a distinctly lower activity than the pgCp(oriPI/−1024)CAT construct, although the relative effects of the mutations were similar. We speculated that this might be either the effect of low transfection efficiency of this plasmid in cbc-Rael cells because of its comparatively large size (8,765 bp) or the result of the presence of negative transcription elements in the −3889/−1024 region of Cp. To test this hypothesis, an unrelated, non-EBV fragment of 1,820 bp was inserted immediately 3′ of the CAT gene in pgCp(oriPI/−1024)CAT, resulting in a plasmid of approximately the same size as pgCp(−3889)CAT. Transfection of this construct into cbc-Rael cells showed that its activity was 16% of that of the pgCp(oriPI/−1024)CAT plasmid, i.e., of about the same order of magnitude as the activity obtained with pgCp(−3889)CAT (Fig. 9C). We conclude that the most likely explanation for the low level of reporter gene activity measured after transfection of pgCp(−3889)CAT in cbc-Rael cells compared with that obtained with pgCp(oriPI/−1024)CAT was a low transfection efficiency. Moreover, the effects of the m4, m5, m7, and m11 mutations in Cp on oriPI-EBNA1-induced activation of the promoter seem to be similar in the context of the short (−170/+76) and the native (−3889/+76) promoter regulatory regions. m5 affected the C/EBP binding site, m7 affected the promoter-proximal Sp binding site, and m10 affected the CCAAT box. We have also shown that m11 interfered with the CCAAT box (Fig. 6). The low activity obtained with the m4 mutation in both the −170/+76 and the full-length context is due to either interference with the Sp binding site at position −141/−136 or diminished binding of a factor not identified by us. We favor the former explanation, since there were no additional complexes in the EMSA of this region except from the Sp-containing complexes (Fig. 4 and data not shown).
FIG. 9.
Regions required for oriPI-EBNA1-mediated Cp activation in the context of the native (−3889/+76) promoter regulatory region. Activity of pgCp(…)CAT reporter plasmids with mutations (Table 1 and Fig. 3) in the Rael (A) and cbc-Rael (B) cell lines. The values are means of at least four independent transfection series. Error bars indicate standard errors of the means. (C) The low activity of the pgCp(−3889)CAT reporter plasmid in cbc-Rael is due to low transfection efficiency. An unrelated non-EBV DNA fragment (ext.) was inserted 3′ of the CAT gene in pgCp(oriPI/−1024)CAT. CAT activities of the indicated plasmids were compared after transfection of cbc-Rael cells. Results are percentages of the activity obtained with pgCp(oriPI/−1024)CAT. Error bars indicate standard errors of the means.
Transcription factors involved in oriP-EBNA1-induced activation of Cp.
The results obtained so far led us to conclude that the −142/−92 and −71/−63 Cp regions are important for the oriPI-EBNA1-mediated induction of the promoter in reporter plasmids. Elements downstream of position −111 seem to be of particular significance, since a reporter construct which, in addition to oriPI, contained only the −111/+76 part of Cp was induced in both Rael and cbc-Rael cells. The −71/−63 Cp region contains a CCAAT box, and NF-Y was shown to be the factor involved in binding to this region in both Rael and cbc-Rael cells, as described above (Fig. 6). The −99/−95 Cp region contains overlapping Sp and Egr-1 binding sites. Both Rael and cbc-Rael cells contain Sp1 and Sp3 transcription factors binding to this site. Moreover, cbc-Rael but not Rael cells contain the Egr-1 factor, which binds to its recognition site. The overlapping binding sites for Sp1/Sp3 and Egr-1 were both affected by m7 in the series of point mutations in the −170/−55 Cp region. To determine the contribution to the regulation of the reporter gene of each of the two factors, point mutations, which would preferentially interfere with the binding of one or the other of the two transcription factors, were introduced into the binding motifs in EMSA probes in the −107/−84 Cp region. The probe with the Egr-1 mutation (m13) (Table 1) did not bind Egr-1 in cbc-Rael nuclear extracts but bound the Sp factors (data not shown). The intensity of the Sp-specific band was, however, lower with the Egr-1 mutated probe than with the wild-type probe, and we infer that the Egr-1 mutation also resulted in a slightly reduced Sp binding. The Sp mutation (m14) (Table 1), on the other hand, decreased the binding of the Sp factors to the EMSA probe substantially, although not completely, but did not affect the binding of Egr-1 in cbc-Rael extracts (data not shown). To determine the effect of the mutated factor binding sites on promoter activity, derivatives of pgCp(−170)CAT and pgCp(oriPI/−170)CAT were made in which the mutations had been included in the −170/+76 Cp fragment. The results of transfection of the mutated reporter plasmids into Rael and cbc-Rael cells showed that the Egr mutation (m13) decreased the Cp activity in the oriPI-containing reporter plasmids to approximately 50% of the activity of the wild-type construct (Fig. 10A and B). This reduction may be due to the reduced binding of Sp1 to the Egr-1 mutated sequence, as reported above. The Sp mutation (m14) was almost as effective as m7 in abolishing Cp activity in both Rael and cbc-Rael cells.
FIG. 10.
Effects of specific mutations of the overlapping Egr-1 and Sp binding sites on Cp activity in Rael cells. (A and B) Activity of pgCp(−170/…)CAT and pgCp(oriPI/−170/…)CAT reporter plasmids with mutations m7, m13, and m14 (Table 1) in the Rael (A) and cbc-Rael (B) cell lines. CAT activities are percentages of the activity obtained with the wild-type construct including oriPI, pgCp(oriPI/−170)CAT. The 100% values correspond to 71.4 and 41.6% acetylation, respectively. The values are means of at least four independent transfection series. Error bars indicate standard errors of the means. (C and D) Effects of Egr-1 on Cp activity without and with oriPI. Increasing amounts of the Egr-1 expression vector pCI/Egr-1 were cotransfected with pgCp(−170)CAT and pgCp(−170/m13)CAT (C) and pgCp(oriPI/−170)CAT and pgCp(oriPI/−170/m13)CAT (D). The total amount of expression vector was adjusted with pCI empty vector to 3 pmol in each transfection. The values are means of at least three independent transfection series. Error bars indicate standard errors of the means.
Since Egr-1 gene expression is associated with latency III EBV gene expression and is abolished in group I phenotype cells, an Egr-1 expression vector was created to investigate the effect of Egr-1 on the pgCp(−170)CAT plasmid in the group I phenotype Rael environment. The Egr-1 expression vector was based on cDNA from cbc-Rael cells and was used for cotransfections in Rael cells. Results showed that increasing amounts of Egr-1 decreased the activity of pgCp(−170)CAT to background levels (Fig. 10C). This resembles the situation in cbc-Rael cells, where the −170Cp construct was inactive. The construct with oriPI, pgCp(oriPI/−170)CAT, was also downregulated by cotransfection with the Egr-1 expression vector but to a lesser extent (Fig. 10D). However, a reporter construct in which the Egr site was mutated, pgCp(−170/m13)CAT, was also downregulated to the background level, and the activity of the corresponding construct with oriPI, pgCp(oriPI/−170/m13)CAT, was decreased to 21% of the activity when no Egr-1 was added (Fig. 10C and D). Taken together, the data indicate that Egr-1 represses Cp activity, but the mechanism for this repression remains unclear and is discussed below.
To study the effects of the Sp factors, we employed SL2 insect cells, which do not express the Sp family of transcription factors. The pgCp(oriPI/−170)CAT plasmid was cotransfected with expression vectors for Sp1 and Sp3 into the SL2 cells. Results showed that Sp1 could activate Cp whereas Sp3 could not (Fig. 11A). When pgCp(oriPI/−170/m14)CAT, where the proximal Sp site was mutated, was introduced into cotransfection experiments, Sp1 still could activate this construct, although not to the same level as the wild type. The −170Cp fragment contains two more Sp sites, which might contribute to the remaining activity of the mutated construct. To test if the upstream Sp sites could compensate for the mutated proximal Sp site in SL2 cells, additional Sp mutations were created, rendering pgCp(oriPI/−170/m15)CAT, pgCp(oriPI/−170/m16)CAT, and pgCp(oriPI/−170/m17)CAT (Table 1). pgCp(oriPI/−170/m3)CAT was also included in this series of transfections, since mutation m3 affects the −141/−136 Sp site. The results demonstrate that the different Sp sites to some extent could compensate for each other when one Sp site was mutated and that mutations of all three sites were necessary for a significant reduction of Cp activity in SL2 cells (Fig. 11C). We conclude that Sp1 is an important factor for activation of Cp. To study Sp1 effects in conjunction with EBNA1 an EBNA1 expression vector for SL2 cells was constructed. SL2 cells were cotransfected with the pgCp(oriPI/−170)CAT reporter construct and various amounts of the Sp1 and EBNA1 expression vectors (Fig. 12). The results presented in Fig. 12 indicate that EBNA1 in conjunction with increasing amounts of Sp1 generated a significant increase in Cp activation compared to the effects of Sp1 alone. Notably, the results also show that EBNA1 alone failed to activate an oriPI-containing Cp reporter construct. Sp1 thus seems to be an essential factor for the transactivation functions of oriPI-EBNA1. The relatively low transactivation efficiency by EBNA1 in these experiments could reflect its inability to enter the nucleus or its low level of expression. Another explanation would be that additional factors, not expressed in SL2 cells, are important for efficient oriPI-EBNA1-induced Cp activation. We favor the latter explanation, since intranuclear EBNA1 expression was readily detected in 7% of the transfected SL2 cells (data not shown).
FIG. 11.
Sp1 activates Cp. (A) The reporter plasmid pgCp(oriPI/−170)CAT was cotransfected with pPac (empty vector), pPacSp1 (expression vector for Sp1), and pPacSp3 (expression vector for Sp3) in SL2 cells. CAT activities are percentages of the activity obtained with pgCp(oriPI/−170)CAT cotransfected with pPacSp1. (B) Schematic presentation of the three Sp sites in the pgCp(oriPI/−170)CAT reporter construct and the specific mutations introduced, yielding the pgCp(oriPI/−170/…)CAT plasmid series (Table 1). (C) The reporter plasmids were cotransfected with pPac and pPacSp1 in SL2 cells. CAT activities are percentages of the activity obtained with the wild-type construct pgCp(oriPI/−170)CAT cotransfected with pPacSp1. The values are means of at least three independent transfection series. Error bars indicate standard errors of the means.
FIG. 12.
EBNA1-induced transactivation of pgCp(oriPI/−170)CAT requires Sp1. (A) The reporter plasmid pgCp(oriPI/−170)CAT was cotransfected with increasing amounts of pPacSp1 and a constant amount of pPacEBNA1 (1 μg, 0.16 pmol) or pPac (empty vector). The total amount of expression vector was adjusted with pPac to 0.64 pmol in each experiment. CAT activities are percentages of the activity obtained with pgCp(oriPI/−170)CAT cotransfected with 1 μg of pPacSp1. The values are means of at least three independent transfection series. Error bars indicate standard errors of the means. (B) The reporter plasmid pgCp(oriPI/−170)CAT was cotransfected with increasing amounts of the EBNA1 expression vector pPacEBNA1 and a constant amount of pPacSp1 (1 μg, 0.16 pmol) or pPac (empty vector). The total amount of expression vector was adjusted with pPac to 0.64 pmol in each experiment. CAT activities are percentages of the activity obtained with the pgCp(oriPI/−170)CAT cotransfected with 1 μg of pPacEBNA1. The values are means of at least three independent transfection series. Error bars indicate standard errors of the means.
The results reported here are in apparent contradiction to a previous report which states that the −245/−45 region of Cp does not encompass elements important for Cp activity, except for the CCAAT box at position −65 (40). However, in that study, a Cp mutant in which the −245/−45 region was deleted retained most of the wild-type activity. This was explained as being due to the concomitant translocation of an upstream silent CCAAT box to the approximate position of the active CCAAT box removed by the deletion. It should be noted, however, that the deletion of the −245/−45 region not only translocated the CCAAT box but also moved an upstream Sp element to approximately the same position as that occupied by the essential −99/−93 site in the wild-type reporter plasmid. We hypothesized that this translocation could compensate for the lost Sp sites in the −245/−45 deletion-containing construct. To test this hypothesis, we made two new constructs based on the pgCp(−3889)CAT plasmid. In one construct, we deleted the sequence between −247 and −57, resulting in the pgCp(−3889/Del-2)CAT plasmid. In the other variant, the upstream Sp consensus sequence was mutated in addition to the deletion, resulting in the pgCp(−3889/Del-2/m18)CAT plasmid (Table 1). In our hands, Cp activities of the −247/−57 deletion-containing reporter plasmid in Rael and cbc-Rael cells were only 15 and 25% of those of the wild-type construct, respectively (Fig. 13). Mutation of the translocated upstream Sp site reduced the activity of the reporter plasmid even further. This effect was most pronounced in Rael cells, in which the activity of pgCp(−3889/Del-2/m18)CAT was completely abolished. In cbc-Rael cells, the reporter showed a residual activity of 15% of the activity of the wild-type construct. Taken together, these results confirm that the Sp elements identified in this work are important for both basal and oriPI-EBNA1-induced Cp activity.
FIG. 13.
Effect on the activity of pgCp(−3889)CAT reporter plasmid of a −247/−57 deletion mutation alone (Del-2) and in combination with a 3-bp mutation of an upstream Sp site (Del-2/m18) in Rael and cbc-Rael cells. CAT activities are percentages of the activity obtained with the wild-type construct, pgCp(−3889)CAT. The 100% values correspond to 356% (measured value times dilution factor) and 10% acetylation for Rael and cbc-Rael, respectively. The values are means of two and four independent transfection series, respectively. Error bars indicate standard errors of the means.
DISCUSSION
Although the patterns of EBV promoter usage in alternative forms of virus latency in vitro have been well characterized, the cellular controls of virus promoter activity are still poorly understood. The identification of the cellular factors that control the transcription regulatory activity of Cp is fundamental to the understanding of the molecular mechanisms that control virus latent gene expression. In this study we have made a detailed mutational analysis of the promoter-proximal Cp region and identified transcriptional elements important for oriPI-EBNA1-independent and -dependent promoter stimulation. We confirm the previous report of the dependence of Cp on a properly positioned CCAAT box (40), and we extend these results by demonstrating that the NF-Y transcription factor interacts with the CCAAT box-containing sequence in the −71/−63 Cp region. We also show that members of the C/EBP transcription factor family interact with a C/EBP consensus sequence in the −119/−112 region of Cp and that this interaction is important for promoter activity. Our main finding, however, is the identification of a GC-rich sequence in the −99/−91 Cp region that is essential for Cp activity as well as for the transactivating properties of the oriPI-EBNA1 complex. This region contains overlapping binding sites for the Sp1 and Egr-1 transcription factors, and our results indicate that Sp1 is a positive and Egr-1 is a negative regulator of Cp activity. Furthermore, an EBV DNA segment, which in addition to oriPI only contains the −111/+76 part of Cp, is defined as a minimal Cp promoter, as it still possesses the ability to be activated by EBNA1 in the proper cellular environment.
Previous studies in this field have demonstrated the presence of relatively few positive cis-acting transcriptional elements upstream of Cp (Fig. 1). In 1989, Sugden and Warren showed that Cp is dependent on oriP in cis and EBNA1 in trans for its efficient expression (55). These results were extended by our group and by Puglielli et al., who demonstrated that oriP is essential for detectable transcription from Cp in transient-transfection experiments in group III BL cell lines and LCLs (36, 40). A positive GRE was identified in the region approximately 850 bp upstream of Cp (26), but its importance for transcription activation from Cp has been questioned, since deletion of this region did not affect the activity of Cp (40). An EBNA2-responsive element that contains one RBP-Jκ binding site was found at a position about 375 bp upstream of Cp (22, 56, 68). The significance of this putative EBNA2-inducible enhancer has also been questioned, but a recent report strongly argues for an important role of this element in regulating Cp activity in a viral context (67). Cp has also been shown to require a CCAAT box positioned at bp −65 for activation of EBNA gene transcription (40). In addition, sequences downstream of Cp have been examined for promoter regulatory elements, and the results indicate that there may be a weak Cp-activating cis element within the +2680 to +2880 Cp region (39).
In a previous paper it was reported that the −248/−55 region of the Cp promoter contains transcription regulatory elements that activate reporter plasmids in group I phenotype cells. In addition, sequences in this region seem to be important for oriPI-EBNA1-mediated upregulation of Cp activity (36). In the present study, the individual cis elements in the −248/−55 region were identified by deletion and site-directed mutation analysis using reporter plasmids that contained fragments of the Cp region with and without oriPI. The activity of the reporter plasmids was determined in transient transfections into the group I phenotype Rael and the group III phenotype cbc-Rael cell lines. The results show that there is an oriPI-EBNA1-independent Cp stimulation in Rael cells and that the −144/+76 part of the Cp region contains elements that are sufficient for a significant Cp activation in this group I phenotype cell line (Fig. 2). Mutation analysis mapped the individual transcriptional elements to the −142/−92 and −71/−63 Cp regions (Fig. 3). The pgCp(−3889)CAT construct, which encompasses oriPI in its natural configuration, was the only plasmid in the deletion series that displayed significant reporter gene expression in cbc-Rael cells (Fig. 2), corroborating our earlier observation that oriPI is essential for detectable Cp activity in cells expressing a group III phenotype (36). To identify transcriptional elements involved in oriPI-EBNA1-mediated Cp upregulation, we employed deletion analysis. The results showed that the minimal oriPI-EBNA1-responsive Cp region comprises sequences between positions −111 and +76 (Fig. 7). Mutation analysis indicated that the −108/−92 and −71/−63 Cp regions are essential for oriPI-EBNA1-induced activation of the minimal Cp promoter (Fig. 8). As discussed above, these regions are also essential for oriPI-EBNA1-independent Cp activation in group I phenotype cells. The only qualitative difference between oriPI-EBNA1-dependent and oriPI-EBNA1-independent Cp activation in Rael cells is that the minimal oriPI-EBNA1-responsive promoter requires only the −111/+76 Cp region for activation whereas sequences up to −144 are needed for detectable promoter activity in constructs lacking oriPI. The interpretation of the data for identification of specific target sequences directly involved in the interaction with the oriPI-EBNA1 complex is for this reason difficult. The enhancing effect of oriPI-EBNA1 may be direct, through interaction with the transcriptional elements identified here, or indirect, through interaction with, for example, components of the basal transcription machinery. None of the mutations resulted in a selective abolishment of oriPI-EBNA1-induced promoter activation without affecting the oriPI-EBNA1-independent Cp activity. Also, we have not been able to identify a transcriptional element(s) that would explain the difference in oriPI-EBNA1 dependence of Cp activity between group I and III phenotype B cells. In the light of a recent report (27), the very low activity of oriPI-less Cp reporter constructs in cbc-Rael cells could be interpreted as being due to a low transfection efficiency. In the case of oriPI-containing reporter plasmids, the transfection efficiency and thus the measured reporter activity are increased by an enhanced oriPI-EBNA1-mediated nuclear import of the plasmids. However, this effect does not impede the interpretation of the activity data when they are compared within a series of reporter plasmids that all contain oriPI, since mutations of the regulatory sequences in the promoter-proximal Cp region do not significantly interfere with the nuclear import of the plasmids.
There are three putative Sp factor binding motifs at positions −168 to −163, −141 to −136, and −99 to −95. Mutation of the −168/−163 site resulted in a pronounced effect on Cp activity only in cbc-Rael cells (Fig. 8). Protein binding studies employing EMSAs and supershift experiments identified Sp1 and Sp3 as components of the EMSA complexes with oligonucleotides that spanned the −168/−163, −141/−136, and −99/−95 regions. The importance of the Sp elements for Cp activity has been further assessed in the SL2 cell line that lacks the Sp family of transcription factors (Fig. 11). The pgCp(oriPI/−170)CAT reporter plasmid was cotransfected with the expression vector for Sp1 and Sp3. The results showed that Sp1, but not Sp3, can activate Cp. EBNA1, on the other hand, failed to activate Cp by itself despite the presence of oriPI in the reporter plasmid. However, when expression vectors for both Sp1 and EBNA1 were cotransfected with the reporter plasmid, the concerted effects of Sp1 and EBNA1 resulted in an approximately twofold increase in Cp activation compared to the effect of Sp1 alone. In this context, it is important to note that the measured EBNA1 effect is due to intranuclear upregulation of Cp, since there is no detectable increase in nuclear import of oriP-containing reporter plasmids in cells that do not contain preexisting EBNA1 (27). In conclusion, the central finding in these experiments is that expression of Sp1 seems to be essential for the oriPI-EBNA1 enhancer effect on Cp activity, at least in the cellular environment provided in the SL2 cells.
A database search revealed the presence of a C/EBP consensus sequence at positions −119 to −112 of the Cp region. Antibody supershift analysis showed that members of the C/EBP family bound to this site, and site-directed mutation resulted in the reduction of Cp activity to background levels (Fig. 3 and 8). Notably, the −111/+76 Cp region does not encompass the C/EBP site but is still oriPI-EBNA1 responsive. The C/EBP site is therefore interpreted to be less important for oriPI-EBNA1-mediated activation of Cp. It is, however, clearly important for oriPI-EBNA1-independent Cp activity.
We conclude that the −141/−136 and −99/−95 Cp regions contain Sp factor binding sites that are essential for activity of the minimal Cp promoter in group I phenotype cells. The −99/−95 Sp site together with the CCAAT box at bp −65 and the TATAA box seem to be sufficient for an oriPI-EBNA1-induced promoter activation in the −111/+76 Cp context. A recent report comparing Cp regulatory sequences in other lymphocryptoviruses shows that the C/EBP site, the −99/−95 Sp site, the CCAAT box, and the TATAA box are highly conserved, strengthening the idea that these sites are biologically important (17). Sp1 and Sp3 are factors that bind to GC boxes and related motifs in a wide range of cellular genes. Sp1 is known to be a strong activator of gene expression in mammalian cells, whereas Sp3 seems to be an inhibitory member of the Sp family consistent with the results presented in Fig. 11 (19). We have, however, no indications that Sp3 exerts any significant repressive effect on Cp activity (Fig. 11A). An interesting feature of the Sp1 molecule is its ability to link DNA molecules to which it binds (54). This is a property that Sp1 shares with EBNA1, whose DNA-linking regions have been extensively studied by Mackey and Sugden (28). The linking regions of EBNA1 may mediate several types of molecular interactions. EBNA1 has been shown to interact homotypically to mediate linking of the oriPI and oriPII DNA regions (29). EBNA1 has also been reported to participate in heterotypic protein interactions (28). Since there are no EBNA1 binding sites in the vicinity of Cp, heterotypic interactions with other DNA binding proteins (for example, Sp1) would be a possible mechanism for the oriPI-EBNA1-mediated upregulation of Cp. Another possibility would be heterotypic interactions with proteins that bind to DNA indirectly, such as components of the basal transcription machinery, or proteins associated with the nuclear matrix. In a recent study, EBNA1 has been shown to interact strongly with the cellular protein P32/TAP, and the deletion of the P32/TAP-interactive region of EBNA1 severely diminished EBNA1 transactivation of a reporter plasmid that contained the thymidine kinase promoter and EBNA1 binding sites from oriPI (60). Furthermore, P32/TAP is known to interact with the general transcription factor TFIIB and presumably contributes to the efficient recruitment of this factor to the transcription initiation complex (69).
Interestingly, there was a difference in the binding pattern in EMSA of nuclear extracts from Rael and cbc-Rael cells with a probe that contained sequences between positions −107 and −84. Apart from Sp1 and Sp3, identified both in Rael and cbc-Rael, there was an additional band in cbc-Rael. This complex was demonstrated by competition experiments and antibody supershift analysis to contain the Egr-1 factor (Fig. 5). The binding sites for Sp1 and Egr-1 overlap each other, suggesting that the factors may compete for binding (Fig. 3). Egr-1 is a nuclear protein that belongs to a family of transcription factors with a conserved zinc finger DNA binding motif (18). It is not expressed in mature resting B cells in vivo but is upregulated after EBV infection and immortalization in vitro. Constitutive activation of Egr-1 gene expression is invariably associated with a latency III EBV gene expression phenotype (6). In contrast, Egr-1 expression is abolished in group I BL cell lines irrespective of the EBV genome-carrying status. The potential interplay between Sp1 and Egr-1 was investigated by introduction of point mutations into the binding motifs in EMSA probes, which would preferentially interfere with the binding of one or the other of the two transcription factors. The mutations were introduced in oriPI-containing reporter plasmids, and the Egr-1 mutation (m13) reduced the Cp activity to approximately 50% of wild-type activity in Rael and cbc-Rael cells, whereas the Sp mutation (m14) almost completely abolished Cp activity (Fig. 10A and B). An EMSA with a labeled double-stranded oligonucleotide containing the m13 mutation indicated that the Egr-1 mutation not only abolished Egr-1 binding but also reduced the Sp1 binding (data not shown). We interpret the reduced promoter activity of the Egr-1 mutated reporter plasmid as the result of diminished Sp1 binding. The cotransfection experiments suggested that ectopic overexpression of Egr-1 in Rael cells negatively modulated the activity of Cp (Fig. 10C and D). The Egr-1 mutated reporter construct was, however, also downregulated by overexpression of Egr-1. This might indicate either that the downregulating effect of Egr-1 on Cp promoter activity is indirect or that the Egr-1 mutation allows a certain degree of binding at high levels of Egr-1. Overlapping Egr-1 and Sp1 sites have been identified in several genes, which in at least two cases were found to be positively regulated by both factors (8, 12). In a recent report, however, Sp1 and Egr-1 have been shown to have opposing effects on the regulation of the rat multidrug resistance gene PgP2/mdr1b (58).
During fine mapping of the −170/+76 region by mutation analysis, an additional promoter-proximal element essential for promoter activity and oriPI-EBNA1-induced upregulation of the promoter was detected (Fig. 3). It contains sequences between positions −71 and −63, where a CCAAT motif is situated. This is in agreement with results obtained by Puglielli et al. showing that Cp activity appears to be highly dependent on the presence of a properly positioned CCAAT box (40). By using EMSA of nuclear extracts from Rael and cbc-Rael cells with a double-stranded oligonucleotide that contained the CCAAT sequence, followed by antibody supershift analysis, the transcription factor NF-Y was found to bind to this region (Fig. 6). NF-Y is a member of the CCAAT box binding family of proteins and binds to the CCAAT motif found in many eukaryotic RNA polymerase II-dependent genes. It is thought to play a general role in transcriptional regulation and seems to act by recruiting upstream DNA binding transcription factors to the proximal promoter complex (32, 63). Recently, a physical interaction between NF-Y and Sp1 was demonstrated (46). The ability of NF-Y to affect upstream protein-DNA interactions and interact with Sp1 makes it an interesting candidate for being a part of the supposedly large multimeric protein complex that seems to be involved in the interaction between the oriPI-EBNA1 complex and the Cp promoter.
It is clear that the cis- and trans-acting regulatory elements of the oriP and Cp regions interact in a very complex manner with the transcription initiation complex in the in vivo situation. This is illustrated by, among other things, the fact that more than six EBNA1 binding sites in oriPI are required in order to obtain EBNA1-induced transactivation of Cp (unpublished experiments). Taken together, the facts that (i) EBNA1 does not contain a recognizable transactivating domain, (ii) EBNA1 binding sites are not present in the promoter-proximal region of Cp, (iii) complexes of EBNA1 homodimers can link separated DNA regions, and (iv) EBNA1 homodimers can interact with cellular proteins (28) suggest that EBNA1 may activate Cp transcription via heterotypic interaction with cellular factors bound to the promoter region. We have identified a number of cellular factors essential for Cp activity, and oriPI-EBNA1-mediated enhancement of Cp activity. Sp1 seems to be of particular importance. It is still an open question whether the interaction between Sp1 and the oriPI-EBNA1 complex is a direct or indirect. A conceivable model would be that Sp1 recruits the oriPI-EBNA1 complex to the promoter-proximal region. This might in turn lead to the recruitment of P32/TAP and TFIIB to the transcription initiation complex. However, recent reports indicate that Sp1 may act within the framework of a multimeric complex designated CRSP (cofactors required for Sp1) (50). CRSP is a large complex of nine subunits with Mrs ranging from 33,000 to 200,000. Obviously, we do not exclude the possibility that CRSP is also required for the oriPI-EBNA1-induced activation of Cp. Furthermore, the important roles of chromatin structure and remodeling in gene regulation have become increasingly clear. In a simplified model, two events are needed for initiation of transcription to occur: (i) relief by modifying enzymes and remodeling factors of nucleosome-induced repression and (ii) interaction of the transcription initiation complex and accessory factors with the promoter in the exposed DNA (25). In the present work we have focused on the latter of these two events. Whether any of the factors identified here as participating in the oriPI-EBNA1-induced activation of Cp interacts with chromatin-modifying coactivators remains to be established.
ACKNOWLEDGMENTS
We thank Guntram Suske for the Sp1 and Sp3 expression vectors.
This study was supported by grants from the Swedish Medical Research Council (project 5667), the Swedish Cancer Society, and the Sahlgrenska University Hospital.
REFERENCES
- 1.Alfieri C, Birkenbach M, Kieff E. Early events in Epstein-Barr virus infection of human B lymphocytes. Virology. 1991;181:595–608. doi: 10.1016/0042-6822(91)90893-g. [DOI] [PubMed] [Google Scholar]
- 2.Allday M J, Crawford D H, Griffin B E. Epstein-Barr virus latent gene expression during the initiation of B cell immortalization. J Gen Virol. 1989;70:1755–1764. doi: 10.1099/0022-1317-70-7-1755. [DOI] [PubMed] [Google Scholar]
- 3.Babcock G J, Decker L L, Volk M, Thorley-Lawson D A. EBV persistence in memory B cells in vivo. Immunity. 1998;9:395–404. doi: 10.1016/s1074-7613(00)80622-6. [DOI] [PubMed] [Google Scholar]
- 4.Baer R, Bankier A T, Biggin M D, Deininger P L, Farrell P J, Gibson T J, Hatfull G, Hudson G S, Satchwell S C, Seguin C, et al. DNA sequence and expression of the B95-8 Epstein-Barr virus genome. Nature. 1984;310:207–211. doi: 10.1038/310207a0. [DOI] [PubMed] [Google Scholar]
- 5.Bodescot M, Perricaudet M, Farrell P J. A promoter for the highly spliced EBNA family of RNAs of Epstein-Barr virus. J Virol. 1987;61:3424–3430. doi: 10.1128/jvi.61.11.3424-3430.1987. [DOI] [PMC free article] [PubMed] [Google Scholar]
- 6.Calogero A, Cuomo L, D'Onofrio M, de Grazia U, Spinsanti P, Mercola D, Faggioni A, Frati L, Adamson E D, Ragona G. Expression of Egr-1 correlates with the transformed phenotype and the type of viral latency in EBV genome positive lymphoid cell lines. Oncogene. 1996;13:2105–2112. [PubMed] [Google Scholar]
- 7.Chirgwin J M, Przybyla A E, MacDonald R J, Rutter W J. Isolation of biologically active ribonucleic acid from sources enriched in ribonuclease. Biochemistry. 1979;18:5294–5299. doi: 10.1021/bi00591a005. [DOI] [PubMed] [Google Scholar]
- 8.Cornwell M M, Smith D E. SP1 activates the MDR1 promoter through one of two distinct G-rich regions that modulate promoter activity. J Biol Chem. 1993;268:19505–19511. [PubMed] [Google Scholar]
- 9.Courey A J, Tjian R. Analysis of Sp1 in vivo reveals multiple transcriptional domains, including a novel glutamine-rich activation motif. Cell. 1988;55:887–898. doi: 10.1016/0092-8674(88)90144-4. [DOI] [PubMed] [Google Scholar]
- 10.Dignam J D, Lebovitz R M, Roeder R G. Accurate transcription initiation by RNA polymerase II in a soluble extract from isolated mammalian nuclei. Nucleic Acids Res. 1983;11:1475–1489. doi: 10.1093/nar/11.5.1475. [DOI] [PMC free article] [PubMed] [Google Scholar]
- 11.Di Nocera P P, Dawid I B. Transient expression of genes introduced into cultured cells of Drosophila. Proc Natl Acad Sci USA. 1983;80:7095–7098. doi: 10.1073/pnas.80.23.7095. [DOI] [PMC free article] [PubMed] [Google Scholar]
- 12.Ebert S N, Wong D L. Differential activation of the rat phenylethanolamine N-methyltransferase gene by Sp1 and Egr-1. J Biol Chem. 1995;270:17299–17305. doi: 10.1074/jbc.270.29.17299. [DOI] [PubMed] [Google Scholar]
- 13.Ernberg I, Falk K, Minarovits J, Busson P, Tursz T, Masucci M G, Klein G. The role of methylation in the phenotype-dependent modulation of Epstein-Barr nuclear antigen 2 and latent membrane protein genes in cells latently infected with Epstein-Barr virus. J Gen Virol. 1989;70:2989–3002. doi: 10.1099/0022-1317-70-11-2989. [DOI] [PubMed] [Google Scholar]
- 14.Fåhraeus R, Jansson A, Sjöblom A, Nilsson T, Klein G, Rymo L. Cell phenotype-dependent control of Epstein-Barr virus latent membrane protein 1 gene regulatory sequences. Virology. 1993;195:71–80. doi: 10.1006/viro.1993.1347. [DOI] [PubMed] [Google Scholar]
- 15.Fischer N, Kremmer E, Lautscham G, Mueller-Lantzsch N, Grasser F A. Epstein-Barr virus nuclear antigen 1 forms a complex with the nuclear transporter karyopherin alpha2. J Biol Chem. 1997;272:3999–4005. doi: 10.1074/jbc.272.7.3999. [DOI] [PubMed] [Google Scholar]
- 16.Frappier L, O'Donnell M. Overproduction, purification, and characterization of EBNA1, the origin binding protein of Epstein-Barr virus. J Biol Chem. 1991;266:7819–7826. [PubMed] [Google Scholar]
- 17.Fuentes-Pananá E M, Swaminathan S, Ling P D. Transcriptional activation signals found in the Epstein-Barr virus (EBV) latency C promoter are conserved in the latency C promoter sequences from baboon and rhesus monkey EBV-like lymphocryptoviruses (cercopithicine herpesviruses 12 and 15) J Virol. 1999;73:826–833. doi: 10.1128/jvi.73.1.826-833.1999. [DOI] [PMC free article] [PubMed] [Google Scholar]
- 18.Gashler A, Sukhatme V P. Early growth response protein 1 (Egr-1): prototype of a zinc-finger family of transcription factors. Prog Nucleic Acid Res Mol Biol. 1995;50:191–224. doi: 10.1016/s0079-6603(08)60815-6. [DOI] [PubMed] [Google Scholar]
- 19.Hagen G, Muller S, Beato M, Suske G. Sp1-mediated transcriptional activation is repressed by Sp3. EMBO J. 1994;13:3843–3851. doi: 10.1002/j.1460-2075.1994.tb06695.x. [DOI] [PMC free article] [PubMed] [Google Scholar]
- 20.Hudson G S, Farrell P J, Barrell B G. Two related but differentially expressed potential membrane proteins encoded by the EcoRI Dhet region of Epstein-Barr virus B95-8. J Virol. 1985;53:528–535. doi: 10.1128/jvi.53.2.528-535.1985. [DOI] [PMC free article] [PubMed] [Google Scholar]
- 21.Jansson A, Masucci M, Rymo L. Methylation of discrete sites within the enhancer region regulates the activity of the Epstein-Barr virus BamHI W promoter in Burkitt lymphoma lines. J Virol. 1992;66:62–69. doi: 10.1128/jvi.66.1.62-69.1992. [DOI] [PMC free article] [PubMed] [Google Scholar]
- 22.Jin X W, Speck S H. Identification of critical cis elements involved in mediating Epstein-Barr virus nuclear antigen 2-dependent activity of an enhancer located upstream of the viral BamHI C promoter. J Virol. 1992;66:2846–2852. doi: 10.1128/jvi.66.5.2846-2852.1992. [DOI] [PMC free article] [PubMed] [Google Scholar]
- 23.Kieff E. Epstein-Barr virus and its replication. In: Fields B N, Knipe D M, Howley P M, editors. Fields virology. 3rd ed. Philadelphia, Pa: Lippincott-Raven Publishers; 1996. pp. 2343–2396. [Google Scholar]
- 24.Klein G, Dombos L, Gothoskar B. Sensitivity of Epstein-Barr virus (EBV) producer and non-producer human lymphoblastoid cell lines to superinfection with EB-virus. Int J Cancer. 1972;10:44–57. doi: 10.1002/ijc.2910100108. [DOI] [PubMed] [Google Scholar]
- 25.Kornberg R D. Eukaryotic transcriptional control. Trends Cell Biol. 1999;9:M46–M49. [PubMed] [Google Scholar]
- 26.Kupfer S R, Summers W C. Identification of a glucocorticoid-responsive element in Epstein-Barr virus. J Virol. 1990;64:1984–1990. doi: 10.1128/jvi.64.5.1984-1990.1990. [DOI] [PMC free article] [PubMed] [Google Scholar]
- 27.Längle-Rouault F, Patzel V, Benavente A, Taillez M, Silvestre N, Bompard A, Sczakiel G, Jacobs E, Rittner K. Up to 100-fold increase of apparent gene expression in the presence of Epstein-Barr virus oriP sequences and EBNA1: implications of the nuclear import of plasmids. J Virol. 1998;72:6181–6185. doi: 10.1128/jvi.72.7.6181-6185.1998. [DOI] [PMC free article] [PubMed] [Google Scholar]
- 28.Mackey D, Sugden B. The linking regions of EBNA1 are essential for its support of replication and transcription. Mol Cell Biol. 1999;19:3349–3359. doi: 10.1128/mcb.19.5.3349. [DOI] [PMC free article] [PubMed] [Google Scholar]
- 29.Mackey D, Sugden B. Studies on the mechanism of DNA linking by Epstein-Barr virus nuclear antigen 1. J Biol Chem. 1997;272:29873–29879. doi: 10.1074/jbc.272.47.29873. [DOI] [PubMed] [Google Scholar]
- 30.McCutchan J H, Pagano J S. Enhancement of the infectivity of simian virus 40 deoxyribonucleic acid with diethylaminoethyl-dextran. J Natl Cancer Inst. 1968;41:351–357. [PubMed] [Google Scholar]
- 31.Minarovits J, Hu L F, Minarovits-Kormuta S, Klein G, Ernberg I. Sequence-specific methylation inhibits the activity of the Epstein-Barr virus LMP 1 and BCR2 enhancer-promoter regions. Virology. 1994;200:661–667. doi: 10.1006/viro.1994.1229. [DOI] [PubMed] [Google Scholar]
- 32.Mitchell P J, Tjian R. Transcriptional regulation in mammalian cells by sequence-specific DNA binding proteins. Science. 1989;245:371–378. doi: 10.1126/science.2667136. [DOI] [PubMed] [Google Scholar]
- 33.Miyashita E M, Yang B, Babcock G J, Thorley-Lawson D A. Identification of the site of Epstein-Barr virus persistence in vivo as a resting B cell. J Virol. 1997;71:4882–4891. doi: 10.1128/jvi.71.7.4882-4891.1997. [DOI] [PMC free article] [PubMed] [Google Scholar]
- 34.Miyashita E M, Yang B, Lam K M, Crawford D H, Thorley-Lawson D A. A novel form of Epstein-Barr virus latency in normal B cells in vivo. Cell. 1995;80:593–601. doi: 10.1016/0092-8674(95)90513-8. [DOI] [PubMed] [Google Scholar]
- 35.Niederman J C, McCollum R W, Henle G, Henle W. Infectious mononucleosis. Clinical manifestations in relation to EB virus antibodies. JAMA. 1968;203:205–209. doi: 10.1001/jama.203.3.205. [DOI] [PubMed] [Google Scholar]
- 36.Nilsson T, Sjöblom A, Masucci M G, Rymo L. Viral and cellular factors influence the activity of the Epstein-Barr virus BCR2 and BWR1 promoters in cells of different phenotype. Virology. 1993;193:774–785. doi: 10.1006/viro.1993.1186. [DOI] [PubMed] [Google Scholar]
- 37.Öfverstedt L G, Hammarström K, Balgobin N, Hjerten S, Pettersson U, Chattopadhyaya J. Rapid and quantitative recovery of DNA fragments from gels by displacement electrophoresis (isotachophoresis) Biochim Biophys Acta. 1984;782:120–126. doi: 10.1016/0167-4781(84)90014-9. [DOI] [PubMed] [Google Scholar]
- 38.Potter H, Weir L, Leder P. Enhancer-dependent expression of human kappa immunoglobulin genes introduced into mouse pre-B lymphocytes by electroporation. Proc Natl Acad Sci USA. 1984;81:7161–7165. doi: 10.1073/pnas.81.22.7161. [DOI] [PMC free article] [PubMed] [Google Scholar]
- 39.Puglielli M T, Desai N, Speck S H. Regulation of EBNA gene transcription in lymphoblastoid cell lines: characterization of sequences downstream of BCR2 (Cp) J Virol. 1997;71:120–128. doi: 10.1128/jvi.71.1.120-128.1997. [DOI] [PMC free article] [PubMed] [Google Scholar]
- 40.Puglielli M T, Woisetschlaeger M, Speck S H. oriP is essential for EBNA gene promoter activity in Epstein-Barr virus-immortalized lymphoblastoid cell lines. J Virol. 1996;70:5758–5768. doi: 10.1128/jvi.70.9.5758-5768.1996. [DOI] [PMC free article] [PubMed] [Google Scholar]
- 41.Rawlins D R, Milman G, Hayward S D, Hayward G S. Sequence-specific DNA binding of the Epstein-Barr virus nuclear antigen (EBNA-1) to clustered sites in the plasmid maintenance region. Cell. 1985;42:859–868. doi: 10.1016/0092-8674(85)90282-x. [DOI] [PubMed] [Google Scholar]
- 42.Reisman D, Sugden B. trans activation of an Epstein-Barr viral transcriptional enhancer by the Epstein-Barr viral nuclear antigen 1. Mol Cell Biol. 1986;6:3838–3846. doi: 10.1128/mcb.6.11.3838. [DOI] [PMC free article] [PubMed] [Google Scholar]
- 43.Reisman D, Yates J, Sugden B. A putative origin of replication of plasmids derived from Epstein-Barr virus is composed of two cis-acting components. Mol Cell Biol. 1985;5:1822–1832. doi: 10.1128/mcb.5.8.1822. [DOI] [PMC free article] [PubMed] [Google Scholar]
- 44.Rickinson A B, Kieff E. Epstein-Barr virus. In: Fields B N, Knipe D M, Howley P M, editors. Fields virology. 3rd ed. Philadelphia, Pa: Lippincott-Raven Publishers; 1996. pp. 2397–2446. [Google Scholar]
- 45.Ricksten A, Olsson A, Andersson T, Rymo L. The 5′ flanking region of the gene for the Epstein-Barr virus-encoded nuclear antigen 2 contains a cell type specific cis-acting regulatory element that activates transcription in transfected B-cells. Nucleic Acids Res. 1988;16:8391–8410. doi: 10.1093/nar/16.17.8391. [DOI] [PMC free article] [PubMed] [Google Scholar]
- 46.Roder K, Wolf S S, Larkin K J, Schweizer M. Interaction between the two ubiquitously expressed transcription factors NF-Y and Sp1. Gene. 1999;234:61–69. doi: 10.1016/s0378-1119(99)00180-8. [DOI] [PubMed] [Google Scholar]
- 47.Rooney C, Howe J G, Speck S H, Miller G. Influence of Burkitt's lymphoma and primary B cells on latent gene expression by the nonimmortalizing P3J-HR-1 strain of Epstein-Barr virus. J Virol. 1989;63:1531–1539. doi: 10.1128/jvi.63.4.1531-1539.1989. [DOI] [PMC free article] [PubMed] [Google Scholar]
- 48.Rowe M, Rooney C M, Rickinson A B, Lenoir G M, Rupani H, Moss D J, Stein H, Epstein M A. Distinctions between endemic and sporadic forms of Epstein-Barr virus-positive Burkitt's lymphoma. Int J Cancer. 1985;35:435–441. doi: 10.1002/ijc.2910350404. [DOI] [PubMed] [Google Scholar]
- 49.Rowe M, Rowe D T, Gregory C D, Young L S, Farrell P J, Rupani H, Rickinson A B. Differences in B cell growth phenotype reflect novel patterns of Epstein-Barr virus latent gene expression in Burkitt's lymphoma cells. EMBO J. 1987;6:2743–2751. doi: 10.1002/j.1460-2075.1987.tb02568.x. [DOI] [PMC free article] [PubMed] [Google Scholar]
- 50.Ryu S, Zhou S, Ladurner A G, Tjian R. The transcriptional cofactor complex CRSP is required for activity of the enhancer-binding protein Sp1. Nature. 1999;397:446–450. doi: 10.1038/17141. [DOI] [PubMed] [Google Scholar]
- 51.Sanger F, Nicklen S, Coulson A R. DNA sequencing with chain-terminating inhibitors. Proc Natl Acad Sci USA. 1977;74:5463–5467. doi: 10.1073/pnas.74.12.5463. [DOI] [PMC free article] [PubMed] [Google Scholar]
- 52.Schaefer B C, Strominger J L, Speck S H. Redefining the Epstein-Barr virus-encoded nuclear antigen EBNA-1 gene promoter and transcription initiation site in group I Burkitt lymphoma cell lines. Proc Natl Acad Sci USA. 1995;92:10565–10569. doi: 10.1073/pnas.92.23.10565. [DOI] [PMC free article] [PubMed] [Google Scholar]
- 53.Schlager S, Speck S H, Woisetschlager M. Transcription of the Epstein-Barr virus nuclear antigen 1 (EBNA1) gene occurs before induction of the BCR2 (Cp) EBNA gene promoter during the initial stages of infection in B cells. J Virol. 1996;70:3561–3570. doi: 10.1128/jvi.70.6.3561-3570.1996. [DOI] [PMC free article] [PubMed] [Google Scholar]
- 54.Su W, Jackson S, Tjian R, Echols H. DNA looping between sites for transcriptional activation: self-association of DNA-bound Sp1. Genes Dev. 1991;5:820–826. doi: 10.1101/gad.5.5.820. [DOI] [PubMed] [Google Scholar]
- 55.Sugden B, Warren N. A promoter of Epstein-Barr virus that can function during latent infection can be transactivated by EBNA-1, a viral protein required for viral DNA replication during latent infection. J Virol. 1989;63:2644–2649. doi: 10.1128/jvi.63.6.2644-2649.1989. [DOI] [PMC free article] [PubMed] [Google Scholar]
- 56.Sung N S, Kenney S, Gutsch D, Pagano J S. EBNA-2 transactivates a lymphoid-specific enhancer in the BamHI C promoter of Epstein-Barr virus. J Virol. 1991;65:2164–2169. doi: 10.1128/jvi.65.5.2164-2169.1991. [DOI] [PMC free article] [PubMed] [Google Scholar]
- 57.Thorley-Lawson D A, Miyashita E M, Khan G. Epstein-Barr virus and the B cell: that's all it takes. Trends Microbiol. 1996;4:204–208. doi: 10.1016/s0966-842x(96)90020-7. [DOI] [PubMed] [Google Scholar]
- 58.Thottassery J V, Sun D, Zambetti G P, Troutman A, Sukhatme V P, Schuetz E G, Schuetz J D. Sp1 and egr-1 have opposing effects on the regulation of the rat Pgp2/mdr1b gene. J Biol Chem. 1999;274:3199–3206. doi: 10.1074/jbc.274.5.3199. [DOI] [PubMed] [Google Scholar]
- 59.Tsai C N, Liu S T, Chang Y S. Identification of a novel promoter located within the Bam HI Q region of the Epstein-Barr virus genome for the EBNA 1 gene. DNA Cell Biol. 1995;14:767–776. doi: 10.1089/dna.1995.14.767. [DOI] [PubMed] [Google Scholar]
- 60.Wang Y, Finan J E, Middeldorp J M, Hayward S D. P32/TAP, a cellular protein that interacts with EBNA-1 of Epstein-Barr virus. Virology. 1997;236:18–29. doi: 10.1006/viro.1997.8739. [DOI] [PubMed] [Google Scholar]
- 61.Woisetschlaeger M, Jin X W, Yandava C N, Furmanski L A, Strominger J L, Speck S H. Role for the Epstein-Barr virus nuclear antigen 2 in viral promoter switching during initial stages of infection. Proc Natl Acad Sci USA. 1991;88:3942–3946. doi: 10.1073/pnas.88.9.3942. [DOI] [PMC free article] [PubMed] [Google Scholar]
- 62.Woisetschlaeger M, Yandava C N, Furmanski L A, Strominger J L, Speck S H. Promoter switching in Epstein-Barr virus during the initial stages of infection of B lymphocytes. Proc Natl Acad Sci USA. 1990;87:1725–1729. doi: 10.1073/pnas.87.5.1725. [DOI] [PMC free article] [PubMed] [Google Scholar]
- 63.Wright K L, Vilen B J, Itoh-Lindstrom Y, Moore T L, Li G, Criscitiello M, Cogswell P, Clarke J B, Ting J P. CCAAT box binding protein NF-Y facilitates in vivo recruitment of upstream DNA binding transcription factors. EMBO J. 1994;13:4042–4053. doi: 10.1002/j.1460-2075.1994.tb06721.x. [DOI] [PMC free article] [PubMed] [Google Scholar]
- 64.Yates J, Warren N, Reisman D, Sugden B. A cis-acting element from the Epstein-Barr viral genome that permits stable replication of recombinant plasmids in latently infected cells. Proc Natl Acad Sci USA. 1984;81:3806–3810. doi: 10.1073/pnas.81.12.3806. [DOI] [PMC free article] [PubMed] [Google Scholar]
- 65.Yates J L, Guan N. Epstein-Barr virus-derived plasmids replicate only once per cell cycle and are not amplified after entry into cells. J Virol. 1991;65:483–488. doi: 10.1128/jvi.65.1.483-488.1991. [DOI] [PMC free article] [PubMed] [Google Scholar]
- 66.Yates J L, Warren N, Sugden B. Stable replication of plasmids derived from Epstein-Barr virus in various mammalian cells. Nature. 1985;313:812–815. doi: 10.1038/313812a0. [DOI] [PubMed] [Google Scholar]
- 67.Yoo L, Speck S H. Determining the role of the Epstein-Barr virus Cp EBNA2-dependent enhancer during the establishment of latency by using mutant and wild-type viruses recovered from cottontop marmoset lymphoblastoid cell lines. J Virol. 2000;74:11115–11120. doi: 10.1128/jvi.74.23.11115-11120.2000. [DOI] [PMC free article] [PubMed] [Google Scholar]
- 68.Yoo L I, Mooney M, Puglielli M T, Speck S H. B-cell lines immortalized with an Epstein-Barr virus mutant lacking the Cp EBNA2 enhancer are biased toward utilization of the oriP-proximal EBNA gene promoter Wp1. J Virol. 1997;71:9134–9142. doi: 10.1128/jvi.71.12.9134-9142.1997. [DOI] [PMC free article] [PubMed] [Google Scholar]
- 69.Yu L, Loewenstein P M, Zhang Z, Green M. In vitro interaction of the human immunodeficiency virus type 1 Tat transactivator and the general transcription factor TFIIB with the cellular protein TAP. J Virol. 1995;69:3017–3023. doi: 10.1128/jvi.69.5.3017-3023.1995. [DOI] [PMC free article] [PubMed] [Google Scholar]
- 70.Zetterberg H, Stenglein M, Jansson A, Ricksten A, Rymo L. Relative levels of EBNA1 gene transcripts from the C/W, F and Q promoters in Epstein-Barr virus-transformed lymphoid cells in latent and lytic stages of infection. J Gen Virol. 1999;80:457–466. doi: 10.1099/0022-1317-80-2-457. [DOI] [PubMed] [Google Scholar]













