Abstract
Background
The primary indication of infertility is the incapacity to conceive, and in females, the majority of instances of female infertility stem from ovulation disorders. This study evaluated the female fertility-enhancing effects and safety of aqueous leaf extract of Brillantaisia patula (ALEBP) in a cyclophosphamide (CYP) model of sterility in Wistar rats.
Method
Sixty-six female rats randomly allotted to six groups (n = 11) were administered with the appropriate regimen for 21 days and then mated with male rats. Group 1 (control) received distilled water. Groups 2–6 were treated with a single dose (200 mgkg− 1 body weight) of cyclophosphamide intraperitoneally and, in addition, received the same volume (0.5 mL) of distilled water, 18, 36, 72 mgkg− 1 body weight of ALEBP and 200 mg per body weight of vitamin C orally. Mating lasted 11 days; on day 20, the female Wistar rats were sacrificed. Data were analysed using One-way Analysis of Variance (ANOVA) followed by Dunett’s posthoc analysis, and GraphPad (at p < 0.05).
Results
Results herein showed that ALEBP significantly (p < 0.05) increased the diminution in activities/levels of glutathione peroxidase (GPx), reduced glutathione (GSH), total antioxidant capacity (TAC), cholesterol, alkaline phosphatase (ALP), acid phosphatase (ACP), estrogen (ES), and luteinising hormone (LH) induced by cyclophosphamide. ALEBP further reversed the increased level of malondialdehyde (MDA), tumour necrosis factor-α (TNFα), interleukin 8 (IL-8), and follicle-stimulating hormone (FSH) caused by cyclophosphamide (p < 0.05). In addition, ALEBP, while it significantly increased the cyclophosphamide-induced reduction in the number of implantations in each animal, the total number of viable fetuses, the total number of corpora lutea, and the fertility index, also significantly reduced the number of fetal resorptions in each animal and pre-implantation loss that was increased by cyclophosphamide. Moreover, the cyclophosphamide-induced degenerative and necrotic changes in the ovarian cells and uterus were reversed by ALEBP.
Conclusions
Considered as a whole, the aqueous leaf extract of Brillantaisia patula reversed oxidative stress and inflammatory side effects of cyclophosphamide, preserving ovarian function and fertility in the rats. This may suggest its exploration as a safe agent against toxic side effects of chemotherapy and fertility-related disorders of the uterus and ovary.
Keywords: Infertility, Ovarian reserve, Cyclophosphamide-induced ovarian damage, Brillantaisia patula, Cancer therapy, Reproductive health
Background
Infertility is a condition of the reproductive system characterised by the inability to attain a clinical pregnancy after at least 12 months of consistent unprotected sexual intercourse [1]. It is a widespread issue impacting around 10–15% (with estimates ranging from 48 million to 180 million) of couples of reproductive ages globally. Both men and women experience infertility at nearly the same rate [2]. There has been a significant rise in the number of females experiencing infertility, accounting for around 37% of all couples facing infertility. Ovulatory abnormalities are responsible for more than half of these cases [2].
Premature ovarian failure and fertility challenges often result from cancer treatment. Chemotherapy induces the decline of the ovarian reserve, which represents a pool of viable eggs throughout a woman’s reproductive lifespan [3]. Furthermore, cancer therapy using drugs harms the ovaries (causing them to stop releasing eggs) and estrogen which is detrimental to fertility in females [4]. Protecting the ovarian reserve during cancer therapy is a significant consideration to sustain fertility and enhance the well-being of survivors. Investigations using transgenic mouse models have unveiled the involvement of various molecules in preserving the ovarian reserve [5].
The ovarian and oocyte-damaging impacts of cancer treatment drugs are believed to be cumulative and permanent, as the quantity of oocytes is established during fetal development. These drugs induce ovarian toxicity in female patients, exhibiting an age- and dose-dependent pattern, where lower doses lead to persistent amenorrhea, especially in older women [6]. In recent years, the escalating prevalence of fertility disorders and reproductive health complications has garnered significant attention in scientific research. Among the myriad factors contributing to these concerns, the adverse effects of pharmaceutical agents, particularly chemotherapeutic agents like cyclophosphamide, on female reproductive organs have become a subject of paramount importance [4]. Cyclophosphamide, a potent alkylating agent widely employed in cancer therapy, has been associated with harmful impacts on ovarian function, often leading to impaired fertility and reproductive dysfunction [7]. Therefore, it is necessary to screen botanicals for safe and potent agents that can reverse the sterility side effects associated with cancer therapy.
The utilisation of medicinal herbs and herbal remedies is a longstanding tradition, and advancements in contemporary therapeutics have sparked the worldwide utilisation of natural products for treating diverse ailments and medical conditions [8]. Recognising the urgent need to address the reproductive consequences of cyclophosphamide exposure, this explored the potential ameliorative effects of Brillantaisia patula, a botanical agent known for its detoxifying pharmacological properties, on cyclophosphamide-induced ovarian damage. Brillantaisia patula belongs to the Acanthaceae family, a family of dicotyledonous flowering plants commonly known as ewe ọwọ́ by the Yoruba ethnic group of Nigeria. It is a robust shrubby plant 3 m high, primarily familiar in Southwestern Nigeria. B. patula is utilised from Togo, extending to West Cameroons and spanning the Congo basin to Uganda and Angola. In the Southwest of Nigeria, it is taken by barren females to ensure conception while the decocted leaves also ease childbirth and menstrual pains. Other reported ethnomedicinal uses associated with B. patula are treating yaws, rheumatism, and stomachache. In addition, the leaves are used for dressing wounds and as a disinfectant against circumcision infections when mixed with snail shell powder. B. patula leaves also remedy anaemia and malnutrition (when eaten as a vegetable), stomach trouble, chest conditions, and infantile spleen infection. It also serves as a sedative in epilepsy and insanity when instilled into both eyes and nose. The sap alone or its mixture with other decocted leaves or dilution with palm wine can improve abnormal rapid heartbeat [9]. Moreover, the nutritional evaluation of B. patula leaves is rich in crucial mineral elements and essential amino acids [10]. At the same time, the leaf oils were reported to be characterised by a dominance of alcohols [11]. The reported pharmacological activity includes antibacterial [9], anti-plasmodial and analgesic [12], and antiplasmodial [13]. Furthermore, glycosides, phenolics, saponins, alkaloids, flavonoids, and tannins have been reported as secondary metabolites in the leaf extract of B. patula [9]. Recently, Ogunro and Odesola [14] reported the antioxidant and cytoprotective properties of leaf extract of Brillantaisia patula on uterus and ovarian function in a cyclophosphamide model of sterility in rats. However, its specific impact on fertility and post-coital studies, especially in the context of mitigating the adverse effects of cancer therapy drugs like cyclophosphamide, remains a subject of limited exploration.
The ovarian follicle plays a pivotal function in female reproduction, and any disruption in its normal functioning can significantly impact fertility [15]. This study aims to contribute novel insights into the potential protective mechanisms exerted by Brillantaisia patula leaf extract against such cyclophosphamide-induced ovarian damage, shedding light on the intricate interplay between botanical interventions and reproductive health.
The multifaceted approach of this research involved a comprehensive examination of biochemical, histological, and physiological parameters associated with ovarian health. By meticulously assessing markers such as antioxidant enzymes, hormonal levels, inflammatory indices, and reproductive outcomes, the study unravelled the complex dynamics of Brillantaisia patula’s impact on fertility in the face of cyclophosphamide insult. The outcomes of this investigation hold promise for not only advancing the understanding of the intricate mechanisms governing ovarian damage induced by cyclophosphamide but also for unveiling the potential therapeutic avenues offered by Brillantaisia patula in safeguarding female reproductive health. In doing so, this research contributes to the growing body of knowledge to enhance fertility preservation strategies and foster a holistic approach to women’s reproductive well-being in the face of chemotherapeutic challenges.
Materials and methods
Chemicals
Griess reagents (sulfanilamide and N-(1-naphthyl) ethylenediamine dihydrochloride), thiobarbituric acid (TBA), and Ellman’s reagent (5,5′-dithiobis-(2-nitrobenzoic acid, DTNB) were obtained from Sigma-Aldrich Co. (St. Louis, MO, USA). The interleukin-10 (IL-10) and tumour necrosis factor-alpha (TNF-α) ELISA kits were obtained from ABCAM Scientific, United Kingdom. Vitamin C was gotten from Em-Vitamin C®, Emzor Pharmaceutical Industries Limited, Lagos, Nigeria.
Plant sample and preparation
Leaves of B. patula were harvested fresh at Ademilokun metropolis of Ibadan, Oyo state, Nigeria (Latitude: 7.3775° N; Longitude: 3.9470° E) after which the sample was authenticated (voucher number U.I.H 1079) by a knowledgeable botanist affiliated with the Herbarium in the Department of Plant Biology at the University of Ilorin.
The leaves were prepared following the previous method outlined by Ogunro and Odesola [14]. The fresh leaves were gathered and washed with distilled water to eliminate impurities. Subsequently, the clean leaves underwent oven drying at 40 °C for four days until a consistent weight was achieved. These dried leaves were then finely powdered using an electric blender. A total of 200 g of the resulting powder from the plant material was subjected to extraction in 200 mL of distilled water for 48 h. The extract was filtered through a Buchner funnel with Whatman’s No. 1 filter paper to produce a filtrate. This filtrate was concentrated to dryness using a lyophilising machine, resulting in a powdered sample weighing 25.18 ± 3.4 g.
Experimental procedure
Animal model
Matured female Wistar rats (166.5 ± 1.01 g) and male Wistar rats (172.6 ± 1.15 g) sourced from the Animal House of the Department of Biological Sciences at KolaDaisi University in Ibadan were used in this study. Before the commencement of the study, the animals were maintained at 29° ± 1 °C temperature and 43 ± 2% humidity, with a 12-hour cycle of darkness and light, and access to standardised rat feed and tap water ad libitum for precisely two weeks in a properly aerated animal house. The same conditions were maintained throughout the experiment period, during which the animals were handled and treated according to the standard procedures in the “Principle of Laboratory Animal Care” (NIH Publication No. 85 − 23). The research received approval (FNS/ERC/2022/020B) from the Research Ethics Committee at Ajayi Crowther University.
Vaginal smear cytology and oestrous cycle evaluation
The female rats were observed for their oestrous cycle (using the vaginal smear cytology) before being assigned to groups and at the end of the administration. The cytology protocol followed the previously published method of Okafor et al. [16]. This involved examination of the vaginal secretions from the rats under a light microscope. Vaginal secretions from the rats (held in an unmovable position by a clampdown on a stable flat surface without injury) were obtained by suctioning the cells and vaginal mucus of the rats using a plastic pipette (containing 10 µl of normal saline) inserted into the tip of the vagina. The process was repeated twice every morning at regular hours throughout the smear duration for two 4-day cycles to establish a regular oestrous cycle in each animal. Following microscopic examination of the vaginal secretion secretions, the oestrous cycle phase of the rats was ascertained using the symmetry among the cornified cells (characterised by irregular anucleated cells), epithelial cells (with round and nucleated cells), and leukocytes (the distinctive little round cells).
Treatment grouping
A total of 66 female rats with normal oestrous cyclic were divided into six groups (n = 11) and received the designated doses between 6:00 am and 7:00 am as follows:
Group 1 was the control, and animals therein were treated with 0.5 ml of distilled water. Animals in groups 2–6 were treated with a single dose (200 mgkg− 1 body weight) of cyclophosphamide intraperitoneally and, in addition, orally received the same volume of distilled water (the vehicle solvent), 18 mgkg− 1 body weight of the extract, 36 mgkg− 1 body weight of the extract, 72 mgkg− 1 body weight of the extract and 200 mgkg− 1 body weight of vitamin C respectively for 21 days. The dosage, duration of administration, and experimental design were based on the previous study of Ogunro and Odesola [14].
Fertility study
After the 21 days of treatment had passed, a fertility study was conducted on the female animals during which the female animals were mated with sexually active matured male rats (stimulated by administration of Viagra before pairing of the same strain, ratio 1:1) during which no additional doses were administered after that; instead, they were maintained solely on their rat pellets and water ad libitum. Mating tests were conducted according to the modified procedure described by Ogunro and Yakubu [17]. A receptive female Wistar rat was placed in a cage with a male Wistar rat for 11 days, allowing for the completion of two oestrous cycles. Following this period, the female rats were confirmed to be pregnant using standard pregnancy strips and were allowed to carry the pregnancy for an additional eight days, totalling 19 days. During this period, feed and water were supplied ad libitum. On day 20 post-treatment, the female Wistar rats were sacrificed. Foetal/ anthropometric parameters that included the sample size, number of pregnant animals, average number of implantations in each animal, total number of viable foetuses, number of foetal resorptions in each animal, the total number of corpora lutea, pre-implantation loss, post-implantation loss, fertility index, and changes in body weight were recorded/computed as described by Ogunro and Yakubu [17].
The relative weight ratio was determined as the percentage computation of the ratio of the weight of a specific organ to the weight of the animals. Quantal Pregnancy was computed as the ratio of pregnant animals to the number of mated animals expressed in percentage units. The fertility index was calculated as the ratio of pregnant female animals to the number of paired female animals expressed in percentage. The implantation Index was calculated as the ratio of the total number of implantations in female animals to the number of mated female animals expressed in percentages. The pre-implantation loss was computed as the ratio of the difference between the number of corpora lutea and the number of implantations to the number of corpora lutea expressed in percentage. Post-implantation loss was computed as the ratio of the difference between the total number of implants and the number of viable implants to the total number of implants expressed in percentage. The resorption index was computed as the ratio of the total number of resorption sites to the total number of implantation sites expressed in percentage. The number of resorption sites was calculated as the difference between the number of implantation sites in the control animals and the number of implantations in the test animals [17].
Sacrifice and tissue preparation
The animals were humanely euthanised by cervical dislocation on the 20th day of the fertility study, as previously described by Ogunro and Odesola [14]. Blood was obtained from the rats via the retro-orbital venous plexus and transferred into sample bottles coated with heparin. The blood underwent centrifugation at 3,000 x g for 10 min, resulting in clear plasma. The obtained plasma was then distributed into Eppendorf microliter tubes and stored below 4 °C in a freezer until further hormone studies.
Furthermore, the uterus of each animal was carefully cut open while the pregnancy status and the corpora lutea were recorded. Each nonpregnant uterus underwent a brief staining with around 9% ammonium sulfide to visualise early resorptions. The implants in each rat were enumerated, and each was categorised as a live fetus, dead fetus, or resorption [17]. Foetuses were euthanised by rapid induction of hypothermia. Afterwards, the uterus and ovaries were carefully removed, washed to eliminate blood using cold 0.15% KCl, dried with absorbent paper, weighed, and prepared for antioxidant assays.
Assays
Reproductive parameters
The activities of acid phosphatase (ACP) and alkaline phosphatase (ALP) were determined using Lopez et al. [18], and Roth et al. [19], respectively. The 17β- and 3-β-hydroxysteroid dehydrogenase activities were assessed by the method of de Araujo et al. [20]. The concentration of glucose was quantified according to the method of Barham and Trinder [21], while cholesterol concentration was ascertained using the protocol of Corso et al. [22].
Oxidant and antioxidant markers
Measurement of total antioxidant capacity level
The total antioxidant capacity (TAC) level in the present study was ascertained using the FRAP method described by Piątek-Guziewicz et al. [23] utilising its capacity to reduce ferric ions. The assay involved the reduction of the Fe III-TPTZ complex to Fe II under acidic pH conditions, resulting in the generation of a blue colour detectable at 593 nm. TAC values were estimated using a standard chart with concentrations ranging from 100 to 1000 µmol/L.
Assessment of reduced glutathione level
This study utilised the method outlined by Jollow et al. [24] to assess glutathione levels in the ovarian and uterine tissues. Each sample aliquot underwent deproteinisation by adding an equal volume of 4% sulfosalicylic acid, followed by centrifugation at 10,000 rpm for 15 min at 4 °C. Subsequently, 50 µL of the obtained supernatants were mixed with DTNB (10 mM, 4.5 mL). The absorbance was measured at a wavelength of 412 nm, and the results were quantified and expressed in µmol/mg protein.
Assessment of glutathione peroxidase activity
The method of Rotruck et al. [25] was used to estimate the activity of GPx. The reaction mixture contained Tris–HCl buffer (0.4 ml), GSH (0.2 ml), sodium azide (0.1 ml), water (0.1 ml), H2O2 (0.1 ml), and supernatant. The mixture was incubated at 37 °C for 15 min, after which TCA (0.5 ml) was added and centrifuged. Precisely 2 ml Na2HPO4⋅2H2O and 0.5 ml Ellman’s reagent were added to 0.5 ml of the supernatant. The absorbance was read at 420 nm, and the activity of GPx was expressed as µmol/min/mg protein.
Measurement of MDA concentration
The level of malondialdehyde was estimated in the ovarian tissue by adopting the Buege and Aust [26] method. The reaction mixture comprised the homogenate (0.4 mL), Tris-KCl buffer (1.6 mL), 30% TCA (0.5 mL), and 0.75% TBA (0.5 mL). The absorbance was measured at a wavelength of 532 nm using a spectrophotometer. The malondialdehyde (MDA) formed calculation, indicative of lipid peroxidation status, was performed by considering the molar extinction coefficient of 1.56 × 105 m− 1cm− 1, estimated as µmol MDA mg− 1 protein.
Analysis of proinflammatory cytokines
Concentrations of tumour necrosis factor-α (TNF-α) and interleukin-10 (IL-10) were evaluated using enzyme-linked immunosorbent assay (ELISA) kits (USCN, Wuhan, China) by the manufacturer’s instructions. Subsequently, the outcomes were presented in pg/mL.
Hormonal assay
The FSH, LH, and estrogen levels were assessed using enzyme-linked immunosorbent assay (ELISA) kits from ABCAM Scientific Corporation in the UK. The manufacturer’s guidelines were followed for the measurement using a microplate reader (Stat Fax 4200).
Histopathological study for the ovaries and uterus
As previously described by Ogunro and Odesola [14]The uterine and ovarian tissues fixed in Bouin’s solution were cut into 5 μm thick sections, deparaffinised, and subjected to Haematoxylin and Eosin staining for histopathological evaluation. Microscopic examination of tissue microanatomy was conducted using an Olympus CH light microscope (Olympus, Tokyo, Japan). Photomicrographs were captured with a Samsung HMX-F90 Camcorder (Samsung, Vietnam) by experienced pathologists blinded to the specific treatment groups.
Statistical analysis of data
The findings were presented as Mean ± SEM, and significant differences among the distinct treatment groups were determined using One-way Analysis of Variance (ANOVA) followed by Dunett’s posthoc analysis. Statistical significance among groups was considered when p < 0.05 using GraphPad Prism 6.0 for all treatment comparisons.
Results
ALEBP modulated reproductive indices in cyclophosphamide-induced sterile Wistar rats 20 days post-coitus
Figure 1 illustrates the impact of Brillantaisia patula leaf extract on the activity/concentrations of glucose, 3-β-HSD, ALP, ACP, cholesterol, and 17-β-HSD in female Wistar rats that were sterile due to cyclophosphamide. When compared to the control rats, rats given cyclophosphamide alone showed a significant (p <0.05) reduction in the uterine and ovarian activities of ALP (Fig. 1A), ACP (Fig. 1B), 3-β-HSD (Fig. 1E), and 17-β-HSD (Fig. 1F), as well as in the levels of glucose (Fig. 1D) and cholesterol (Fig. 1C). In contrast, when compared to the rats administered with cyclophosphamide alone, the co-administration of Brillantaisia patula leaf extract (18 mgkg-1, 36 mgkg-1, and 72 mgkg-1 body weight) significantly abolished the cyclophosphamide-mediated alteration in activities/levels of ALP (Fig. 1A), ACP (Fig. 1B), cholesterol (Fig. 1C), glucose (Fig. 1D), 3-β-HSD (Fig. 1E), and 17-β-HSD (Fig. 1F). In addition, when compared with the cyclophosphamide and Brillantaisia patula leaf extract co-treated groups, the co-administration of cyclophosphamide and vitamin C demonstrated similar treatment-related effects.
Fig. 1.
20 days post-coital impacts of leaf extract of Brillantaisia patula on uterine and ovarian function indices of cyclophosphamide-treated rats. Alkaline phosphatase activity (A), Acid phosphatase activity (B), Cholesterol level (C), Glucose level (D), 3-β Hydroxysteroid dehydrogenase activity (E), and 3-β Hydroxysteroid dehydrogenase activity (F) of rats after treatment with single dose of cyclophosphamide (200 mg/kg body weight) alone or co-administered with leaf extract of Brillantaisia patula (18, 36 and 72 mg/kg body weight) or Vitamin C (200 mg/kg body weight) for 21 days. Data are presented as Mean ± SEM of 11 rats per group. Values that differ significantly from the control at p < 0.05 are indicated by *; and from the cyclophosphamide-treated group by#
20 days post-coital effect of ALEBP on antioxidant/inflammation markers in cyclophosphamide-induced sterile rats
After 20 days of coital activity in this study, the impact of leaf extract of Brillantaisia patula on some antioxidant and inflammation biomarkers in the uterus and ovary of rats administered with cyclophosphamide is depicted in Fig. 2. In the uterine and ovarian tissue of the animals treated with cyclophosphamide alone, there were significant (p < 0.05) reductions in the uterine and ovarian activities/level of GPx (Fig. 2A), TAC (Fig. 2B), and GSH (Fig. 2C) compared to the control group, but a corresponding increase in the concentrations of TNF-α (Fig. 2D), IL-10 (Fig. 2E), and MDA (Fig. 2F). In contrast, cyclophosphamide co-administered with Brillantaisia patula leaf extract (18 mgkg− 1, 36 mgkg− 1 and 72 mgkg− 1 body weight) or cyclophosphamide co-administered with vitamin C significantly increased ovarian and uterine activities/level of GPx, TAC, and GSH, but concurrently decreased TNF-α, IL-10, and MDA levels/activity when compared with rats treated with cyclophosphamide alone (p < 0.05).
Fig. 2.
20 days post-coital effects of leaf extract of Brillantaisia patula on oxidative damages and inflammation in the uterus and ovary of cyclophosphamide-treated rats. Glutathione peroxidase activity (A), Total antioxidant capacity (B), Reduced glutathione level (C), Tumour necrosis factor-α level (D), Interleukin-10 level (E), and MDA level (F) of rats after treatment with a single dose of cyclophosphamide (200 mg/kg body weight) alone or co-administered with leaf extract of Brillantaisia patula (18, 36 and 72 mg/kg body weight) or Vitamin C (200 mg/kg body weight) for 21 days. Data are presented as Mean ± SEM of 11 rats per group. Values that differ significantly from the control at p < 0.05 are indicated by *; and from the cyclophosphamide-treated group by#
20 days post-coitus effect of Brillantaisia patula on reproductive hormones of cyclophosphamide-induced sterile Wistar rats
After 20 days of mating with male rats, Fig. 3 shows the impact of Brillantaisia patula leaf extract on the hormones of female Wistar rats exposed to cyclophosphamide. Cyclophosphamide considerably (p < 0.05) decreased the levels of estrogen (Fig. 3A) and luteinising hormone (Fig. 3B) in the blood in contrast to the control, but it increased the amount of follicle-stimulating hormone (Fig. 3C). Nevertheless when compared to rats administered cyclophosphamide alone, the concentration of these hormones in rats co-administered with cyclophosphamide and Brillantaisia patula leaf extract (18 mgkg− 1, 36 mgkg− 1 and 72 mgkg− 1 body weight) was reversed (p < 0.05). Rats that received cyclophosphamide and vitamin C showed a similar decline trend (as animals co-administered cyclophosphamide and 72 mgkg-1 body weight of the extract, p < 0.05) compared to rats that received cyclophosphamide alone.
Fig. 3.
20 days post-coital effects of Brillantaisia patula leaf extract on serum hormone levels in rats with cyclophosphamide-induced ovarian damage. Estrogen level (A), Luteinising hormone level (B), and Follicle Stimulating Hormone level (C) of rats after treatment with a single dose of cyclophosphamide (200 mg/kg body weight) alone or co-administered with leaf extract of Brillantaisia patula (18, 36 and 72 mg/kg body weight) or Vitamin C (200 mg/kg body weight) for 21 days. Data are presented as Mean ± SEM of 11 rats per group. Values that differ significantly from the control at p < 0.05 are indicated by*; and from the cyclophosphamide-treated group by#
Effect of leaf extract of Brillantaisia patula on post-coital parameters in cyclophosphamide-induced sterile Wistar rats
Table 1 shows the reproductive effect of Brillantaisia patula leaf extracts 20 days post-coitus in Wistar rats made sterile with cyclophosphamide. Compared to control animals given distilled water, cyclophosphamide significantly decreased the number of implantations, viable foetuses, total number of corpora lutea, fertility index, and body weight. However, it increased the fetal resorptions in each animal and the percentage of pre-implantation loss. In contrast, these parameters were reversed by co-administration of cyclophosphamide and the three doses of Brillantaisia patula leaf extract (18 mgkg− 1, 36 mgkg− 1 and 72 mgkg− 1 body weight). The differences are primarily prominent in the animals co-treated with cyclophosphamide and 72 mgkg− 1 body weight of the extract. Animals administered cyclophosphamide alone, for example, had a 0% fertility index; in contrast, animals co-administered cyclophosphamide, and 72 mgkg− 1 body weight of the extract had a 91% fertility rate, which contrasted favourably with animals given with distilled water alone. Rats that received cyclophosphamide and vitamin C showed a similar reversal tendency (as animals co-administered cyclophosphamide and 72 mgkg-1 body weight of the extract) compared to rats that received cyclophosphamide alone.
Table 1.
Effect of leaf extract of Brillantaisia patula on post-coital parameters in cyclophosphamide-induced sterile Wistar rats
| Parameters/Groups | Control (0.5 ml distilled water) |
Cyclophosphamide (200 mgkg− 1 body weight) | ||||
|---|---|---|---|---|---|---|
| Distilled water | 18 mgkg− 1body weight Extract | 36 mgkg− 1body weight Extract | 72 mgkg− 1body weight Extract | 200 mgkg− 1body weight of vitamin C | ||
| Sample size | 11 | 11 | 11 | 11 | 11 | 11 |
| Numbers of pregnant animals | 11/11 | 0/11 | 4/11 | 8/11 | 10/11 | 10/11 |
| Average number of implantations in each animal |
9.636 ± 0.02a (10,8,10,10,9,11,9,10,9,12,8) |
0 ± 0.00b (0,0,0,0,0,0,0,0,0,0,0) |
3.272 ± 0.00d (3,8,2,0,4,9,4,3,2,1,0) |
6.363 ± 0.01e (7,8,6,10,9,2,6,6,7,36,) |
8.909 ± 0.02c (12,7,8,10,8,10,7,10,10,8,8) |
8.727 ± 0.02c (8,10,8,8,7,6,10,9,12,10,8) |
| Total number of implants | 106 | 0 | 36 | 70 | 98 | 96 |
| Total numbers of viable foetuses | 106 | 0 | 33 | 69 | 95 | 93 |
| Number of foetal resorptions in each animal | 0 | 0 | 0 | 1 | 1 | 1 |
| Total number of corpora lutea | 110 | 34 | 45 | 74 | 102 | 102 |
| Pre-implantation loss (%) | 3.6 | 100 | 20 | 5.4 | 9.8 | 5.8 |
| Post-implantation loss (%) | 0 | 0 | 8.3 | 1.4 | 3.06 | 3.13 |
| Fertility index (%) | 100 | 0 | 36.36 | 72.73 | 90.91 | 90.91 |
| Initial body weight (g) | 166.9 ± 1.01a | 169.4 ± 1.29b | 167.5 ± 1.30ac | 166.9 ± 1.40a | 166.3 ± 1.20a | 165.5 ± 1.20c |
| Final body weight (g) | 169.6 ± 1.85a | 167.9 ± 1.34b | 169.2 ± 1.72a | 169.2 ± 1.56a | 168.8 ± 1.44ac | 168.0 1.44c |
| Body weight change | 2.70 | -1.50 | 1.70 | 2.33 | 2.51 | 2.50 |
Data are presented as Mean ± SEM (n = 11); Significantly different test values for each outcome are indicated by distinct superscripts (p < 0.05)
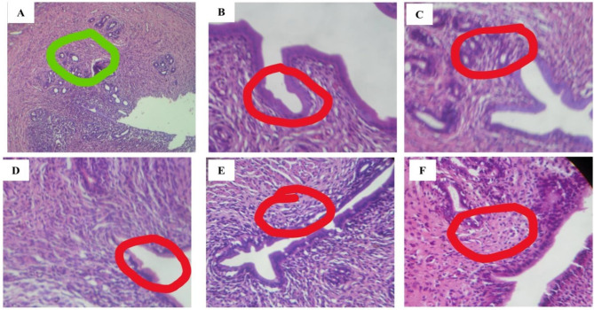
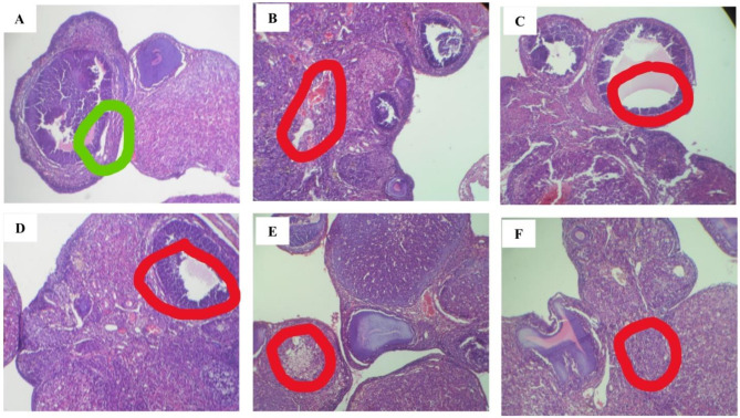
20 days post-coital effect of ALEBP on the histology of the uterus and ovary of Wistar rats exposed to cyclophosphamide
Figures 4 and 5 show the photomicrographs (x400; H & E) on the 20 days post-coital effect of the leaf extract of Brillantaisia patula on the uterus and ovaries of female Wistar rats subjected to cyclophosphamide. The control rats that were given distilled water had typical proliferative phases in their uterine histoarchitecture (Fig. 4A). Animals subjected to 200 mgkg− 1 body weight of cyclophosphamide showed architecture changes, with the epithelium’s short cuboidal lining (Fig. 4B). Furthermore, rats treated with cyclophosphamide plus the extract (18 mgkg− 1, 36 mgkg− 1, and 72 mgkg− 1 body weight) or vitamin C showed standard epithelial lining and architecture (Fig. 4C- F). In addition, the ovaries of the rats exposed to 200 mgkg− 1 body weight of cyclophosphamide showed architecture changes with the short cuboidal lining of the epithelium (Fig. 5B). Still, the ovary of the control animals showed developing follicles devoid of recent gestation (Fig. 5A). In addition, ovarian follicles with normal to moderate architecture were seen in rats subjected to cyclophosphamide and the extract (18 mgkg− 1, 36 mgkg− 1, and 72 mgkg− 1 body weight) or vitamin C. (Fig. 5C- F).
Fig. 4.
Histopathological slides depicting the 20 days post-coital impact of B. patula leaf extract on uterine architecture in rats subjected to cyclophosphamide (x400; H & E). A: Control group animals administered 0.5 mL of distilled water displayed normal architecture, characterized by a proliferative phase endometrium and a normal epithelial lining; B: Rats exposed to 200 mg/kg body weight of cyclophosphamide exhibited altered architecture with a shortened cuboidal epithelial lining; C: Rats exposed to cyclophosphamide and treated with 18 mg/kg body weight of the leaf extract displayed normal architecture with an improved epithelial lining; D: Rats exposed to cyclophosphamide and treated with 36 mg/kg body weight of the leaf extract showed normal architecture with a normal epithelial lining; E: Rats exposed to cyclophosphamide and treated with 72 mg/kg body weight of the leaf extract demonstrated normal architecture with a normal epithelial lining; and F: Rats exposed to cyclophosphamide and treated with 200 mg/kg body weight of vitamin C showcased normal architecture with a normal epithelial lining
Fig. 5.
Histopathological slides depicting the 20 days post-coital impact of B. patula leaf extract on the ovarian architecture of rats subjected to cyclophosphamide (x400; H & E). A: Control group animals administered 0.5 mL of distilled water exhibited normal histoarchitecture characterized by the ovarian cortex containing developing follicles without recent gestation; B: Rats exposed to 200 mg/kg body weight of cyclophosphamide displayed disrupted architecture with absence of developing follicles in the ovaries; C: Rats exposed to cyclophosphamide and treated with 18 mg/kg body weight of the leaf extract exhibited moderate histoarchitecture, with a reduction in developing ovarian follicles; D: Rats exposed to cyclophosphamide and treated with 36 mg/kg body weight of the leaf extract displayed preserved histoarchitecture with the presence of developing Corpus luteum; E: Rats exposed to cyclophosphamide and treated with 72 mg/kg body weight of the leaf extract demonstrated normal architecture with developing ovarian follicles; and F: Rats exposed to cyclophosphamide and treated with 200 mg/kg body weight of vitamin C showcased ovarian cortex with developing follicles
Discussion
The findings of this study shed light on the intricate relationship between Brillantaisia patula leaf extract and cyclophosphamide-induced ovarian damage using vitamin C as a reference drug, offering valuable insights into potential fertility interventions.
Cyclophosphamide is employed in the treatment of diverse cancer types. Nonetheless, it can diminish ovarian function and decrease fertility rates [27]. Cyclophosphamide works by increasing oxygen-free radicals’ production. Oxidative stress occurs when equilibrium favours free radicals (such as reactive oxygen species) production over the antioxidant mechanisms [28]. Cyclophosphamide triggers inflammation as part of the immune response to infection, tissue damage, or chemical toxicity, involving the expression of cytokines as immunomodulatory agents. Programmed cell death can also be enhanced by increased cytokines expression in cells by activating IFN-α and IFN-γ [27]. Oxidative stress is associated with decreased fertility in animal and in-vitro models. In females, the imbalance between pro-oxidants and antioxidants can lead to several reproductive disorders, such as endometriosis, preeclampsia, polycystic ovary syndrome (PCOS), and unexplained infertility [29]. Oxidative stress may also lead to embryo fragmentation and the formation of numerous developmental abnormalities, and one of the essential reasons for spontaneous and recurrent miscarriage [30]. In this study, the antioxidant and inflammatory markers assessed, such as GPx, TAC, GSH, TNF-alpha, IL-8, and MDA, provide a comprehensive view of the impact of cyclophosphamide toxicity on ovarian and uterine functions. Brillantaisia patula leaf extract emerges as a potential protective agent, which is evident in the restoration of antioxidant defences and the modulation of inflammatory markers.
The observed decrease in uterine and ovarian activities of ALP, ACP, 3-β-HSD, and 17-β-HSD, along with altered cholesterol and glucose levels in rats exposed to cyclophosphamide alone, underscores the systemic toxicity of cyclophosphamide, adversely impacting key reproductive parameters. Altered activities of ALP and ACP in the uterus and ovaries indicated potential disruption in cellular processes and tissue homeostasis. These enzymes are involved in various cellular functions (including ovulation, oocyte maturation, germinal vesicle breakdown, and mitotic divisions), and their decrease may reflect cellular damage or impaired function. Reduction in the activities of these enzymes suggests an impact on steroid hormone metabolism [17]. 3-β-HSD is crucial for synthesising active sex hormones, while 17-β-HSD converts fewer active hormones to their more potent forms. Any disturbance in these enzymes may lead to hormonal imbalance and compromised reproductive function [31]. A decrease in cholesterol levels may indicate disrupted lipid metabolism. Cholesterol is a precursor for steroid hormones, and alterations in its levels can affect hormone production. Additionally, it may reflect disturbances in overall metabolic processes [32]. Reduced glucose levels may suggest impaired energy metabolism [17]. The cyclophosphamide-induced toxicity in this study might impact glucose homeostasis, potentially leading to hypoglycemia. Brillantaisia patula leaf extract intervention mitigated these effects, as indicated by improvements in these indices. The ability of Brillantaisia patula leaf extract to mitigate the decrease in ALP and ACP activities might indicate a protective role in reducing inflammation and oxidative stress induced by cyclophosphamide [33]. Brillantaisia patula may have regulatory effects on 3-β-HSD and 17-β-HSD activities, potentially helping to maintain steroid hormone balance. This could contribute to preserving reproductive function in the condition of cyclophosphamide-induced disruption [34]. The plant extract might counteract the decrease in cholesterol and glucose levels, suggesting a role in supporting metabolic processes. This could involve mechanisms such as improving energy utilisation and maintaining lipid homeostasis [17]. Brillantaisia patula leaf extract, like vitamin C, may exert protective effects on uterine and ovarian tissues, preventing or mitigating the damage caused by cyclophosphamide. This could involve mechanisms such as reducing inflammation, oxidative stress, or promoting tissue regeneration [35, 36].
Cyclophosphamide is known to disrupt ovarian function and may lead to a decrease in estrogen levels. This hormonal disruption caused by cyclophosphamide suggests profound effects on the menstrual cycle, ovulation, and overall reproductive health [37]. The toxicity elicited by cyclophosphamide may have impacted the regulation of LH and FSH, two key hormones involved in the menstrual cycle, since LH triggers ovulation, while FSH stimulates the growth of ovarian follicles [38]. In this study, the administration of the leaf extract might have helped maintain or restore estrogen levels, potentially counteracting the decrease induced by cyclophosphamide due to the bioactive compounds in the plant extract that possibly interacted with estrogen receptors or modulated estrogen synthesis. The leaf extract could also have influenced the secretion and regulation of LH and FSH. It might be that it acted on the hypothalamus and pituitary gland, which control the release of these hormones, which ultimately helped in maintaining their balance and ensured proper ovarian function in this study [39]. By mitigating inflammation and oxidative stress caused by cyclophosphamide, the leaf extract could have helped to protect ovarian tissues and maintained the normal functioning of hormone-secreting cells [40]. Brillantaisia patula extract can be said to possess anti-inflammatory and antioxidant properties. This study’s findings further prove that the leaf extract may have contributed to hormonal homeostasis by exerting regulatory effects on different endocrine system components. This could involve feedback mechanisms that influence the production and release of reproductive hormones [39]. It is also possible that Brillantaisia patula leaf extract contains compounds with phytoestrogen properties, which mimicked or modulated the effects of estrogen in the present study, thereby contributing to estrogenic activity and helping in maintaining hormonal balance [41]. Brillantaisia patula leaf extract administration may have played an active role in mitigating the hormonal alterations induced by cyclophosphamide toxicity. The plant extract possibly acted through multiple mechanisms, including estrogen regulation, modulation of LH and FSH, anti-inflammatory and antioxidant effects, and overall hormonal balance. Notably, alterations in hormonal levels, including estrogen, LH, and FSH, suggest a multifaceted interplay between cyclophosphamide toxicity and the protective effects of Brillantaisia patula, potentially influencing the regulation of reproductive hormones [38].
Evaluating antioxidant and inflammatory indices in the context of cyclophosphamide toxicity and the protective effects of Brillantaisia patula leaf extract in this study provides valuable insights into the impact on ovarian and uterine functions. Cyclophosphamide induces oxidative stress by generating reactive oxygen species (ROS) [28]. A decrease in GPx, TAC, and GSH activity/levels suggests impaired antioxidant defence mechanisms, leading to an imbalance in redox homeostasis [42]. With its antioxidant properties, the leaf extract may have enhanced these antioxidant indices, scavenged the ROS, supported GPx activity, contributed to overall antioxidant capacity, and helped maintain GSH levels, thereby protecting ovarian and uterine tissues from oxidative damage [35]. Cyclophosphamide often triggers an inflammatory response, increasing pro-inflammatory cytokine levels such as TNF-alpha and IL-8. Elevated levels of these cytokines give more credence to inflammation, tissue damage, and disruption of reproductive functions in this study [43]. Brillantaisia patula leaf extract’s anti-inflammatory properties may have counteracted cyclophosphamide’s effects by inhibiting the release of TNF-alpha and IL-8, attenuating inflammation and potentially protecting ovarian and uterine tissues from inflammatory damage [43]. Furthermore, MDA is a marker of lipid peroxidation, indicating cellular damage due to oxidative stress. Increased MDA levels in this study due to cyclophosphamide toxicity suggest heightened lipid peroxidation, which can negatively affect cell membranes and overall tissue integrity [44]. By enhancing antioxidant defences, Brillantaisia patula leaf extract may have reduced the MDA levels, reflecting a protective effect against lipid peroxidation. This further suggests a contribution to maintaining the structural integrity of ovarian and uterine tissues. Evaluating antioxidant and inflammatory indices provided a comprehensive understanding of the oxidative and inflammatory status induced by cyclophosphamide toxicity and the protective effects of Brillantaisia patula leaf extract in this study. The findings suggest that leaf extracts like vitamin C, mitigated oxidative stress, enhanced antioxidant defences, and suppressed inflammatory markers, collectively contributing to preserving ovarian and uterine functions. This dual action on both antioxidant and inflammatory pathways reinforced the potential therapeutic role of the leaf extract of Brillantaisia patula in mitigating the adverse effects of cyclophosphamide on female reproductive health. A similar pattern of results of leaf extract of Brillantaisia patula was reported by Akpovwehwee et al. [33] for these antioxidant parameters.
Changes in parameters such as the number of implantations, viable fetuses, post-implantation loss, total number of corpora lutea, fertility index, percentage of pre-implantation loss, and number of resorbed/dead fetuses provide valuable insights into female fertility and reproductive health [17]. A decrease in the number of implantations, viable fetuses, post-implantation loss, total number of corpora lutea and fertility index suggests cyclophosphamide toxicity. It may negatively impact fetal growth and development [45]. Decrease in the number of implantations, viable fetuses, and implantation loss by cyclophosphamide provide information on the negative impact on implantation, fetal viability, and potential complications during pregnancy [46]. The decrease in corpora lutea formation and fertility index by cyclophosphamide is associated with altered ovulation and the overall reproductive performance of the female rats in this study [47]. The increase in pre-implantation loss due to cyclophosphamide toxicity indicated failure at the early stages of pregnancy, possibly during fertilisation or early embryo development [48]. Improvement in these parameters (number of implantations, viable fetuses, post-implantation loss, and number of resorbed/dead fetuses) by Brillantaisia patula leaf extract suggests supportive interventions on maternal health, which can influence the reproductive success of females. Increased implantations and viable fetuses, along with reduced post-implantation loss and resorbed/dead fetuses, may indicate enhanced reproductive success and maternal well-being by Brillantaisia patula leaf extract. Also, the increase in corpora lutea formation and fertility index may suggest a positive influence on the ovulatory processes and overall reproductive health in this study, as corroborated by an increase in fertility index, which can be linked to improved fertility. The contrary decrease in the percentage of pre-implantation loss by Brillantaisia patula leaf extract suggests a positive influence on reproductive processes at early stages, thereby enhancing the fertility potential of the female animals [17]. The observed improvements, like that of vitamin C in these parameters, suggest a positive influence on fertility, offering promise for Brillantaisia patula as a potential therapeutic agent.
The histological examination of the ovaries and uterus is crucial for correlating visual changes with the biochemical and physiological parameters measured in the study. The histological examination corroborated the indication of oxidative stress and damage in the ovaries from the biochemical and physiological parameters due to cyclophosphamide toxicity, which revealed structural alterations such as degeneration, atrophy, or disrupted follicular development [14]. Improved histological features, including preserved follicular architecture, reduced degeneration, and increased numbers of healthy follicles, aligned with the extract’s potential protective effects against cyclophosphamide-induced damage. Inflammation or changes in uterine function from the biochemical markers were further corroborated by the histological examination of cyclophosphamide toxicity as indicated by the altered endometrial structure, glandular disturbances, or increased inflammatory infiltrates [14]. However, the improved uterine histology reflected the extract’s ability to mitigate inflammation, maintain glandular integrity, and support overall tissue architecture. Furthermore, this study’s histological examination provided insights into the structural changes associated with alterations in fertility indices, including the number of implantations, viable fetuses, and pre-implantation loss. As observed in histology, the extract’s protective effects aligned with improved fertility indices and reduced pre-implantation loss. The histological assessment of the ovary and uterus of the animals in this study elucidated the presence of inflammatory cells and tissue integrity, aligning with the levels of inflammatory markers measured biochemically. A reduction in inflammatory parameters also corresponded to the anti-inflammatory effects of Brillantaisia patula leaf extract. Also, the improved tissue architecture, reduced degeneration, and preserved cellular structures in histology corresponded with restoring biochemical parameters such as antioxidant enzyme activities, hormonal levels, and inflammatory markers. Overall, the histological examination in the study served as a visual validation of the biochemical and physiological changes. Consistency between histological improvements and modulation of the biochemical parameters supported the notion that Brillantaisia patula leaf extract can mitigate cyclophosphamide-induced damage, promote tissue recovery, and potentially enhance fertility in the female reproductive organs [34, 49].
Conclusion
The results herein demonstrated that leaf extract of Brillantaisia patula mitigated oxidative stress, restored hormonal balance, and improved reproductive outcomes, as evidenced by enhanced antioxidant defences, normalised hormonal levels, and positive effects on various reproductive indices. Histological examinations correlated with biochemical and physiological findings, indicating reduced tissue damage in the ovaries and uterus. These encouraging results underscore the potential of leaf extract of Brillantaisia patula as a therapeutic agent for preserving ovarian function and fertility in the face of cyclophosphamide insult, paving the way for further mechanistic investigations and potential clinical applications.
Acknowledgements
Conception and design, OBO; Acquisition of data, OBO and BEO; Analysis, interpretation of data and drafting the manuscript, OBO and BEO; Revising for intellectual content, OBO. Final approval, OBO and BEO. All authors read and agreed for the manuscript to be published. The authors appreciate the technical support from Dr Mojisola E. Karigidi of the Department of Biological Sciences, KolaDaisi University, Ibadan, Nigeria.
Abbreviations
- ALEBP
Aqueous leaf extract of Brillantaisia patula
- CYP
cyclophosphamide
- ANOVA
One-way Analysis of Variance
- GPx
glutathione peroxidase
- GSH
reduced glutathione
- TAC
total antioxidant capacity
- ALP
cholesterol, alkaline phosphatase
- ACP
acid phosphatase
- ES
estrogen
- LH
luteinising hormone
- MDA
malondialdehyde
- TNFα
tumour necrosis factor-α
- IL-8
interleukin 8
- FSH
follicle-stimulating hormone
- TBA
thiobarbituric acid
- TAC
total antioxidant capacity
- DTNB
Ellman’s reagent
- ELISA
enzyme-linked immunosorbent assay
- H&E
Hematoxylin and Eosin
- H&EPCOS
polycystic ovary syndrome
Author contributions
Conception and design, OBO; Acquisition of data, OBO; Analysis, interpretation of data, and drafting the manuscript, OBO and EBO; Revising for intellectual content, OBO. Final approval, OBO and EBO. All authors read and agreed for the manuscript to be published.
Funding
This research was not funded.
Data availability
Data would be made available upon reasonable request.
Declarations
Ethics approval
The “Research Ethic Committee” of Ajayi Crowther University (FNS/ERC/2022/020B) approved the study. It was conducted according to guidelines on the care and use of laboratory animals.
Consent to participate
The “Research Ethic Committee” of Ajayi Crowther University (FNS/ERC/2022/020B) deemed this unnecessary.
Consent for publication
Not applicable.
Competing interests
The authors declare no competing interests.
Footnotes
Publisher’s note
Springer Nature remains neutral with regard to jurisdictional claims in published maps and institutional affiliations.
References
- 1.Carson SA, Kallen AN. Diagnosis and management of infertility: a review. JAMA. 2021;326:65–76. [DOI] [PMC free article] [PubMed] [Google Scholar]
- 2.Akalewold M, Yohannes GW, Abdo ZA, Hailu Y, Negesse A. Magnitude of infertility and associated factors among women attending selected public hospitals in Addis Ababa, Ethiopia: a cross-sectional study. BMC women’s health. 2022;22:11. [DOI] [PMC free article] [PubMed] [Google Scholar]
- 3.Sonigo C, Beau I, Binart N, Grynberg M. The Impact of Chemotherapy on the Ovaries: Molecular Aspects and the Prevention of Ovarian Damage. Int J Mol Sci. 2019;20. [DOI] [PMC free article] [PubMed]
- 4.Bhardwaj JK, Bikal P, Sachdeva SN. Chemotherapeutic drugs induced female reproductive toxicity and treatment strategies. J Biochem Mol Toxicol. 2023;37:e23371. [DOI] [PubMed] [Google Scholar]
- 5.Bellusci G, Mattiello L, Iannizzotto V, Ciccone S, Maiani E, Villani V, et al. Kinase-independent inhibition of cyclophosphamide-induced pathways protects the ovarian reserve and prolongs fertility. Cell Death Dis. 2019;10:726. [DOI] [PMC free article] [PubMed] [Google Scholar]
- 6.Oktem O, Kim SS, Selek U, Schatmann G, Urman B. Ovarian and Uterine Functions in Female Survivors of Childhood Cancers. Oncologist. 2018;23:214–24. [DOI] [PMC free article] [PubMed] [Google Scholar]
- 7.Spears N, Lopes F, Stefansdottir A, Rossi V, De Felici M, Anderson RA, et al. Ovarian damage from chemotherapy and current approaches to its protection. Hum Reprod Update. 2019;25:673–93. [DOI] [PMC free article] [PubMed] [Google Scholar]
- 8.Eddouks M, Chattopadhyay D, De Feo V, Cho WC. Medicinal plants in the prevention and treatment of chronic diseases. Evidence-based complementary and alternative medicine : eCAM. 2012;2012:458274.
- 9.Faparusi F, Bello-Akinosho MM, Oyede RT, Adewole A, Bankole PO, Ali FF. Phytochemical Screening and Antibacterial Activity of Brillantaisia patula Leaf. Res J Phytochemistry. 2012;6:9–12. [Google Scholar]
- 10.Akinsola AF, Olatunde OC, Osasona I, Sekayo OF, Omotayo FO. Nutritional Evaluation of Brillantaisia patula Leaves. Asian Plant Res J. 2021;8:63–73. [Google Scholar]
- 11.Moronkola OD, Zaki FU, Adeleke O. Esse ntial oils of stem and leaf from nigerian brillantaisia patula t. and. var. J Essent Oil-Bearing Plants. 2009;12:569–73. [Google Scholar]
- 12.Makambila-Koubemba M-C, Mbatchi B, Ardid D, Gelot A, Henrion C, Janisson R, et al. Pharmacological studies of ten medicinal plants used for analgesic purposes in Congo Brazzaville. Int J Pharmacol. 2011;7:608–15. [Google Scholar]
- 13.Mbatchi SF, Mbatchi B, Banzouzi JT, Bansimba T, Nsonde Ntandou GF, Ouamba JM, et al. In vitro antiplasmodial activity of 18 plants used in Congo Brazzaville traditional medicine. J Ethnopharmacol. 2006;104:168–74. [DOI] [PubMed] [Google Scholar]
- 14.Ogunro OB, Odesola AF. Antioxidant and Cytoprotective Properties of Leaf Extract of Brillantaisia patula on Uterus and Ovarian Function in Cyclophosphamide Model of Gonadal Toxicity in Rats. KolaDaisi Univ J Appl Sci. 2023;1:105–18. [Google Scholar]
- 15.Silva ABP, Carreiró F, Ramos F, Sanches-Silva A. The role of endocrine disruptors in female infertility. Mol Biol Rep. 2023;50:7069–88. [DOI] [PMC free article] [PubMed] [Google Scholar]
- 16.Okafor IA, Nnamah US, Nnaka J. The fertility assessment of normal cyclic Wistar rats following the administration of methanolic extract of Portulaca oleracea: an experimental study. Middle East Fertility Soc J. 2021;26.
- 17.Ogunro O, Yakubu M. Antifertility effects of 60-day oral gavage of ethanol extract of Spondias mombin leaves in guinea pigs: A biochemical, reproductive and histological study. Asian Pac J Reprod. 2021;10:56–67. [Google Scholar]
- 18.Lopez J, Carl A, Burtis, Edward R, Ashwood DE, Bruns, editors. Tietz Textbook of Clinical Chemistry and Molecular Diagnosis (5th edition). Indian Journal of Clinical Biochemistry. 2013;28:104–5.
- 19.Roth TL, Stoops MA, Robeck TR, Ball RL, Wolfe BA, Finnegan MV, et al. Alkaline phosphatase is an indicator of true ejaculation in the rhinoceros. Theriogenology. 2010;74:1701–6. [DOI] [PubMed] [Google Scholar]
- 20.de Araújo VGB, de Oliveira RS, Gameleira KPD, Cruz CB, Lofrano-Porto A. Deficiência de 3β-hidroxiesteroide desidrogenase tipo 2 em teste de triagem neonatal. Arq Bras Endocrinol Metabol. 2014;58:650–5. [DOI] [PubMed] [Google Scholar]
- 21.Barham D, Trinder P. An improved colour reagent for determining blood glucose by the oxidase system. Analyst. 1972;97:142–5. [DOI] [PubMed] [Google Scholar]
- 22.Corso G, Papagni F, Gelzo M, Gallo M, Barone R, Graf M, et al. Development and Validation of an Enzymatic Method for Total Cholesterol Analysis Using Whole Blood Spot. J Clin Lab Anal. 2016;30:517–23. [DOI] [PMC free article] [PubMed] [Google Scholar]
- 23.Piątek-Guziewicz A, Zagrodzki P, Paśko P, Krośniak M, Mach T, Zwolińska-Wcisło M. Ferric reducing ability of plasma and assessment of selected plasma antioxidants in adults with celiac disease. Folia Med Cracov. 2017;57:13–26. [PubMed] [Google Scholar]
- 24.Jollow DJ, Mitchell JR, Jampaglione N, Gillette JR. Bromobenzene-induced liver necrosis. Protective role of glutathione and evidence for 3,4-bromobenzene oxide as the hepatotoxic metabolite. Pharmacology. 1974;11:151–69. [DOI] [PubMed] [Google Scholar]
- 25.Rotruck JT, Pope AL, Ganther HE, Swanson AB, Hafeman DG, Hoekstra WG. Selenium: Biochemical Role as a Component of Glutathione Peroxidase. Science. 1973;179:588–90. [DOI] [PubMed] [Google Scholar]
- 26.Buege JA, Aust SD. Biomembranes - Part C: Biological Oxidations. Methods Enzymol. 1978;52:302–10. [DOI] [PubMed] [Google Scholar]
- 27.Raeeszadeh M, Saleh Hosseini SM, Amiri AA. Impact of Co-Administration of N-Acetylcysteine and Vitamin E on Cyclophosphamide-Induced Ovarian Toxicity in Female Rats. J Toxicol. 2022;2022:9073405. [DOI] [PMC free article] [PubMed] [Google Scholar]
- 28.Jeelani R, Khan SN, Shaeib F, Kohan-Ghadr H-R, Aldhaheri SR, Najafi T, et al. Cyclophosphamide and acrolein induced oxidative stress leading to deterioration of metaphase II mouse oocyte quality. Free Radic Biol Med. 2017;110:11–8. [DOI] [PMC free article] [PubMed] [Google Scholar]
- 29.Agarwal A, Aponte-Mellado A, Premkumar BJ, Shaman A, Gupta S. The effects of oxidative stress on female reproduction: A review. Reproductive Biology Endocrinol. 2012;10:1. [DOI] [PMC free article] [PubMed] [Google Scholar]
- 30.Wojsiat J, Korczyński J, Borowiecka M, Żbikowska HM. The role of oxidative stress in female infertility and in vitro fertilization. Postepy Hig Med Dosw(Online). 2017;71:359–66. [DOI] [PubMed] [Google Scholar]
- 31.Kemiläinen H, Adam M, Mäki-Jouppila J, Damdimopoulou P, Damdimopoulos AE, Kere J, et al. The Hydroxysteroid (17β) Dehydrogenase Family Gene HSD17B12 Is Involved in the Prostaglandin Synthesis Pathway, the Ovarian Function, and Regulation of Fertility. Endocrinology. 2016;157:3719–30. [DOI] [PubMed] [Google Scholar]
- 32.Arias A, Quiroz A, Santander N, Morselli E, Busso D. Implications of High-Density Cholesterol Metabolism for Oocyte Biology and Female Fertility. Front Cell Dev Biology. 2022;10. [DOI] [PMC free article] [PubMed]
- 33.Akporhuarho Anigboro A, Avwioroko OJ, Tonukari NJ. Brillantasia patula Aqueous Leaf Extract Averts Hyperglycermia, Lipid Peroxidation, and Alterations in Hematological Parameters in Alloxan-Induced Diabetic Rats. Int J Biomedical Sci Eng. 2018;6:43–51. [Google Scholar]
- 34.Ogunro OB. Redox-regulation and anti-inflammatory system activation by quercetin-3-O- β - D -glucopyranoside-rich fraction from Spondias mombin leaves: biochemical, reproductive and histological study in rat model of dichlorvos toxicity. RPS Pharm Pharmacol Rep. 2023;2:1–19. [Google Scholar]
- 35.Ogunro OB, Fakayode AE, Batiha GE-S. Involvement of Antioxidant in the Prevention of Cellular Damage. In: Sabuncuoğlu S, Yalcinkaya A, editors. Importance of Oxidative Stress and Antioxidant System in Health and Disease. Rijeka: IntechOpen; 2022. [Google Scholar]
- 36.Asejeje FO, Ogunro OB, Asejeje GI, Adewumi OS, Abolaji AO. An assessment of the ameliorative role of hesperidin in Drosophila melanogaster model of cadmium chloride-induced toxicity. Comp Biochem Physiol Part - C: Toxicol Pharmacol. 2023;263 January 2023:109500. [DOI] [PubMed]
- 37.Abogresha NM, Mohammed SS, Hosny MM, Abdallah HY, Gadallah AM, Greish SM. Diosmin Mitigates Cyclophosphamide Induced Premature Ovarian Insufficiency in Rat Model. Int J Mol Sci. 2021;22. [DOI] [PMC free article] [PubMed]
- 38.Abdel-Aziz AM, Mohamed ASM, Abdelazem O, Okasha AMM, Kamel MY. Cilostazol protects against cyclophosphamide-induced ovarian toxicity in female rats: role of cAMP and HO-1. Toxicol Mech Methods. 2020;30:526–35. [DOI] [PubMed] [Google Scholar]
- 39.Medeiros MM, Silveira VA, Menezes AP, Carvalho RC. Risk factors for ovarian failure in patients with systemic lupus erythematosus. Brazilian J Med Biol Res = Revista brasileira de pesquisas medicas e biologicas. 2001;34:1561–8. [DOI] [PubMed] [Google Scholar]
- 40.Chen Y, Zhao Y, Miao C, Yang L, Wang R, Chen B, et al. Quercetin alleviates cyclophosphamide-induced premature ovarian insufficiency in mice by reducing mitochondrial oxidative stress and pyroptosis in granulosa cells. J Ovarian Res. 2022;15:138. [DOI] [PMC free article] [PubMed] [Google Scholar]
- 41.Domínguez-López I, Yago-Aragón M, Salas-Huetos A, Tresserra-Rimbau A, Hurtado-Barroso S. Effects of Dietary Phytoestrogens on Hormones throughout a Human Lifespan: A Review. Nutrients. 2020;12. [DOI] [PMC free article] [PubMed]
- 42.Ojo OA, Nwafor-Ezeh PI, Rotimi DE, Iyobhebhe M, Ogunlakin AD, Ojo AB. Apoptosis, inflammation, and oxidative stress in infertility: A mini review. Toxicol Rep. 2023;10:448–62. [DOI] [PMC free article] [PubMed] [Google Scholar]
- 43.Ozer M, Ince S, Gundogdu B, Aktas M, Uzel K, Gursul C, et al. Effect of thiamine pyrophosphate on cyclophosphamide-induced oxidative ovarian damage and reproductive dysfunction in female rats. Advances in clinical and experimental medicine. official organ Wroclaw Med Univ. 2022;31:129–37. [DOI] [PubMed] [Google Scholar]
- 44.Cengiz M, Sahinturk V, Yildiz SC, Şahin İK, Bilici N, Yaman SO, et al. Cyclophosphamide induced oxidative stress, lipid per oxidation, apoptosis and histopathological changes in rats: Protective role of boron. J Trace Elem Med Biol. 2020;62:126574. [DOI] [PubMed] [Google Scholar]
- 45.Meirow D, Epstein M, Lewis H, Nugent D, Gosden RG. Administration of cyclophosphamide at different stages of follicular maturation in mice: effects on reproductive performance and fetal malformations. Hum Reprod (Oxford England). 2001;16:632–7. [DOI] [PubMed] [Google Scholar]
- 46.Oliveira RJ, Salles MJS, da Silva AF, Kanno TYN, Lourenço ACDS, Freiria GA, et al. Effects of the polysaccharide beta-glucan on clastogenicity and teratogenicity caused by acute exposure to cyclophosphamide in mice. Regulat Toxicol Pharmacol. 2009;53:164–73. [DOI] [PubMed] [Google Scholar]
- 47.Jiang M, Wang W, Zhang J, Wang C, Bi Y, Li P, et al. Protective Effects and Possible Mechanisms of Actions of Bushen Cuyun Recipe on Diminished Ovarian Reserve Induced by Cyclophosphamide in Rats. Front Pharmacol. 2020;11:546. [DOI] [PMC free article] [PubMed] [Google Scholar]
- 48.Salian SR, Uppangala S, Cheredath A, D’Souza F, Kalthur G, Nayak VC, et al. Early prepubertal cyclophosphamide exposure in mice results in long-term loss of ovarian reserve and impaired embryonic development and blastocyst quality. PLoS ONE. 2020;15:e0235140. [DOI] [PMC free article] [PubMed] [Google Scholar]
- 49.Ahmed MS, Massoud AH, Derbalah AS, Al-Brakati A, Al-Abdawani MA, Eltahir HA et al. Biochemical and Histopathological Alterations in Different Tissues of Rats Due to Repeated Oral Dose Toxicity of Cymoxanil. Anim : open access J MDPI. 2020;10. [DOI] [PMC free article] [PubMed]
Associated Data
This section collects any data citations, data availability statements, or supplementary materials included in this article.
Data Availability Statement
Data would be made available upon reasonable request.





