Abstract
Abstract
Several trials have shown that low-dose computed tomography-based lung cancer screening (LCS) allows a substantial reduction in lung cancer-related mortality, carrying the potential for other clinical benefits. There are, however, some uncertainties to be clarified and several aspects to be implemented to optimize advantages and minimize the potential harms of LCS.
This review summarizes current evidence on LCS, discussing some of the well-established and potential benefits, including lung cancer (LC)-related mortality reduction and opportunity for smoking cessation interventions, as well as the disadvantages of LCS, such as overdiagnosis and overtreatment.
Clinical relevance statement
Different perspectives are provided on LCS based on the updated literature.
Key Points
Lung cancer is a leading cancer-related cause of death and screening should reduce associated mortality.
This review summarizes current evidence related to LCS.
Several aspects need to be implemented to optimize benefits and minimize potential drawbacks of LCS.
Keywords: Lung cancer screening, Low-dose computed tomography, Benefits and harms
Background
Lung cancer (LC) is the leading cause of cancer-related death worldwide [1]. The premise of lung cancer screening (LCS) is that early detection of LC reduces mortality. Indeed, low-dose computed tomography (LDCT)-based LCS showed a 20–39% reduction of LC mortality in heavy smokers [2, 3]. Based on such evidence, LCS has been increasingly endorsed by national stakeholders and international scientific societies [4–6]. Some uncertainties, however, remain and various aspects need to be implemented to optimize benefits and minimize potential drawbacks of LCS [7].
This review summarizes current evidence on LCS, discussing some of the well-established and potential advantages, including LC-related mortality reduction and opportunity for smoking cessation interventions, as well as the disadvantages of LCS, such as overdiagnosis and overtreatment, with only a minor reduction in all-cause mortality. Potential harms associated with false-positive results, downstream procedures, and management of incidental findings are also of concern.
Mortality
Benefits
Reduction of lung-cancer-related mortality
The decrease in LC-related mortality by LDCT-based LCS has been well established by randomized controlled trials (RCTs) and meta-analyses [2, 3, 8]. As recently highlighted by Wolf et al [9], several RCTs reported LC mortality results, but only the National Lung Screening Trial (NLST) and the Dutch–Belgian lung-cancer screening (NELSON) trial were adequately powered to assess the association between LC mortality and an invitation to screening [10]. Namely, the NLST demonstrated a 20% relative reduction in LC mortality at a median of 6.5-years follow‐up [2], while results from the NELSON trial showed an overall 25% relative reduction in LC deaths, with a 24% relative reduction among men and a 33% among women [3]. These more favorable effects of LCS on LC-related mortality among women participants were also demonstrated by the German LCS trial (LUSI) [11] and by the multicentric Italian lung detection (MILD) and BioMILD trials [12].
Harms
Minor reduction in all-cause mortality
Overdiagnosis and overtreatment within a patient population result in decreased disease-related mortality without a corresponding reduction in all-cause mortality. This outcome arises because screening leads to the detection and successful treatment of more cases, thus lowering the number of deaths attributed to that given disease. However, no or only a minor reduction in all-cause mortality is observed. This is often because the disease detected and treated was either not severe enough to significantly impact all-cause mortality or because the life expectancy of the population was already compromised by other substantial comorbidities, leading to deaths from different causes. This phenomenon is exemplified by prostate cancer screening, whereby the increased detection and treatment of prostate cancer leads to a decrease in deaths from prostate cancer but does not affect all-cause mortality rates. The detected cases of prostate cancer often do not pose a high mortality risk, and patients may die from other causes [13, 14].
In the context of LCS, meta-analyses have thus consistently shown a substantial relative reduction in LC-specific mortality [8, 15–18]. Three out of four meta-analyses observed no significant all-cause mortality reduction, with one showing only a slight reduction [8, 16–18]. A recent systematic Cochrane review showed a slight relative decrease in all-cause mortality of about 5% [15].
One large real-world study from China described both a reduction in LC-specific mortality and all-cause mortality, but the effect sizes were minute: the number of subjects who need to be screened to prevent one death due to LC was roughly 1000, and the number of those who would require screening to prevent one death of any cause was approximately 500 [19].
Summary statement: LDCT-based LCS has been proven to reduce LC-related mortality, but a substantial reduction in overall mortality is still to be demonstrated.
Diagnosis and treatment
Benefits
Stage shift towards early-stage lung cancer
Analogously to any screening, LCS favors the shift of the LC stage from advanced forms (stage III–IV) toward early curable disease, with positive implications in terms of survival. Notably, several trials demonstrated that LDCT-based LCS was effective in reducing LC-related mortality due to a “stage shift” toward early-stage disease with 60–70% of LCs detected at stage I [2, 3, 20].
Conservative approach for less aggressive lung cancer
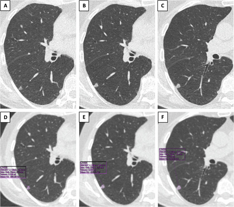
Any screening is supposed to carry the risk of overdiagnosis and overtreatment, whereby cancers that would have not affected life expectancy because of their less aggressive behavior and/or participant’s comorbidities undergo invasive treatment [21]. It has been shown that less aggressive LCs more commonly manifest as subsolid nodules (Fig. 1), reflecting a preinvasive or minimally invasive histology [22–24]. Although subsolid nodules have a higher likelihood of malignancy as compared to solid nodules, they tend to have indolent clinical behavior and long-term survival without intervention [25]. The progression toward more invasive forms is demonstrated by the development of a solid component or by an increase in the size of a pre-existing solid component. As observed by Silva et al [26], these morphological changes, typically occurring at a slow rate, can be safely detected on serial LDCT performed within an LCS setting. Based on current evidence, long-term LCS may offer an opportunity for a more conservative approach to screening detected subsolid nodules.
Fig. 1.
Example of a lung adenocarcinoma presenting as a non-solid nodule at baseline LCS low dose computed tomography (A), which developed a solid component at 12-months follow-up (B). A further increase in nodule size and density is shown in C. Nodule size and density for the three-time points are shown in D–F, respectively
Harms
Overdiagnosis and overtreatment
Overdiagnosis means turning people into patients unnecessarily by identifying medical problems that would have never caused them harm because they would have not become clinically apparent in their lifetime [27]. The classic example is a 90-year-old frail and multimorbid man with newly diagnosed prostate cancer who will unlikely live long enough for the cancer to cause him harm. In the context of LCS, this relates to slow-growing adenocarcinomas [28]. Even if such a cancer is detected early and cured, the patient might die later from a competing cause of death, such as cardiovascular (CV) diseases [21, 29]. The typical consequence of overdiagnosis is overtreatment: an intervention that does not benefit the patient or where the risk of harm from the intervention is likely to outweigh any benefit the patient will receive [30, 31]. In the context of LCS, overtreatment happens when a patient with reduced life expectancy due to substantial comorbidity is screened, diagnosed with non-aggressive LC, and treated with surgery or curative radiation [20, 32–35]. The fact that this problem applies to LCS was recognized almost a quarter of a century ago, as shown in Fig. 2 [29].
Fig. 2.
Graphic representation of the effect of LCS on lung cancer-specific and all-cause mortalities
Calculating the rate of overdiagnosis in screenings is difficult, as the estimation of excess cancers is affected by the length of follow-up periods [36, 37]. It is estimated that almost one in five lung cancers identified through LCS are overdiagnosed [15, 38, 39]. A Cochrane review estimated that seven cases of LC overdiagnosis would occur for every 1000 people screened (95% confidence interval of 2–84 instances of overdiagnosis) [15].
False positive results and downstream procedures
False positive results are abnormalities that turn out not to be diseases after further investigation [27]. The rate of false positives showed significant variation across different studies, likely due to inconsistent radiological definitions of positive results. A review conducted for the U.S. Preventive Services Task Force revealed that false-positive rates ranged from 8% to 49% for baseline screening rounds and from 1% to 29% for subsequent rounds [10]. Three studies investigating the impact of the use of Lung-RADS on false positive rates, observed that even in the case of Lung-RADS use the rates of false positives remained between 10% and 25% [40–42]. An analysis based on NLST data, however, suggested that the implementation of Lung-RADS criteria could prevent approximately one out of four invasive procedures due to false positive results [42].
A real-world analysis conducted through the Veterans Administration demonstrated even higher rates of false-positive results, namely 29% among veterans eligible for LCS and 58% among those who were enrolled (at the baseline round) [43].
In the NLST, 17 in 1000 subjects with false-positive results underwent an invasive diagnostic procedure (needle biopsy, thoracotomy, thoracoscopy, mediastinoscopy, and bronchoscopy), and 0.4 in 1000 suffered from significant complications [33]. A systematic Cochrane review reported that invasive tests were higher in the screened group, in whom, however, the risk of post-surgical mortality was not increased [15]. A real-world LCS study showed substantially higher absolute rates of downstream imaging and invasive procedures in screened patients compared to the NLST: 32% and 3%, respectively. In patients undergoing invasive procedures after abnormal findings, complication rates were substantially higher than those in NLST (31% vs 18% for any complication; 21% vs 9% for major complications) [44].
Psychological harms
It has been demonstrated that subjects who received an indeterminate result after LCS may have short-term increased distress levels [45]. On the other hand, a systematic review has shown that the CT screening group felt less anxious as compared to the control group who were not offered to participate in LCS [15]. In summary, LCS does not seem to have net adverse psychological effects.
Radiation exposure
Several parameters should be considered to evaluate the risk associated with radiation exposure in LCS. These include screening-related factors, such as CT protocols, screening interval and duration, and participant-related factors like age at the enrollment, gender, and tobacco exposure. It is estimated that LCS-related radiation exposure is currently around 1.5 mSv per year, with higher levels to be considered in the case of additional diagnostic CT scans for indeterminate and positive results [5]. Repetitive scans would result in one radiation-related cancer death every 2500 screenees [46], posing the need for radiation dose optimization.
According to the updated literature, the radiation burden from LDCT is probably a minor issue due to currently available ultra-low dose CT protocols [47, 48].
Summary statement: there is growing evidence suggesting that the benefits of LCS go beyond the reduction of LC-related mortality, with the possibility of more conservative approaches for screen-detected LCs. There are, however, several aspects to be implemented to minimize potential drawbacks.
Incidental findings
Benefits
Detection of pulmonary findings with potential clinical significance
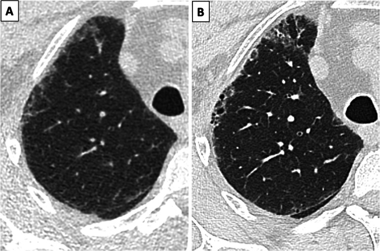
Pulmonary incidental findings are extremely common on LDCT-based LCS, being detected in up to 70% of subjects [49]. Among them, emphysema, and interstitial lung abnormalities (ILA) (Fig. 3) are the most frequently reported.
Fig. 3.
Example of ILA detected on baseline LCS low dose computed tomography (A), with evidence of progression toward over fibrosis at standard dose chest CT (B) performed after 36 months
Regardless of its type and extent, emphysema is reported in 24–63% of LCS participants, in whom the presence of emphysema has been proven to be independently associated with higher rates of LC incidence and mortality as well with increased risk of all-cause and respiratory disease-related mortality [50, 51]. Therefore, the importance of detecting and reporting emphysema in LCS is not so much related to early intervention, which should include referral for clinical and functional assessment of those with moderate-severe (> 25% of lungs involved) emphysema [52], but to the concept of a risk-based approach, whereby higher-risk subjects should be offered shorter screening intervals and long-term screening duration. Aiming at reducing the high intra- and interobserver variability of visual assessment and at improving the work-loads in LCS, several studies tested the performance of a quantitative approach (e.g., based on the percentage of low attenuation areas, %LAA) for both detection and quantification of emphysema in screening cohorts [53–55], demonstrating the feasibility of such approaches. Durawa et al, however, reported that visual assessment of emphysema seems to be superior to automated evaluation in terms of prediction of LC risk in LCS participants [56]. Indeed, the visual quantification of emphysema as mild (< 25%), moderate (25–50%) or severe (> 50%) is highly recommended by the ERS/ESTS/ESTRO/ESR/ESTI/EFOMP statement on management of incidental findings in LDCT-based LCS [52].
ILA is defined as subclinical interstitial changes incidentally detected in subjects undergoing either abdominal or chest CT examination, without any clinical suspicion of underlying interstitial lung disease [57]. The estimated prevalence of ILA in LCS populations ranges between 4% and 20% [58]. The relationship between ILA and LC has been investigated in some LCS trials, and a higher prevalence of LC in screenees with ILA has been established [59], highlighting the importance of a risk-based LCS. Nevertheless, the clinical significance of ILA in the setting of LCS goes beyond the increased risk of LC. Indeed, some morphological subtypes of ILA, namely subpleural fibrotic, are associated with a higher risk of progression toward overt pulmonary fibrosis [60]. Clear guidelines on how ILA should be managed in the setting of LCS are still awaited. Quantification and characterization in non-subpleural, subpleural non-fibrotic and subpleural fibrotic are recommended, but whether the detection of ILA should prompt early referral for respiratory evaluation or managed with surveillance imaging is still to be assessed [52].
Given the LCS eligibility criteria, especially in Western countries, overt pulmonary fibrosis, as well as non-fibrotic smoking-related abnormalities (i.e., respiratory bronchiolitis, RB) can also be detected on LCS LDCT [49]. Whether such abnormalities should be considered “incidental” in heavy smokers is debated.
Improvement of CV risk assessment
LDCT-based LCS allows the detection and quantification of thoracic findings beyond lung parenchyma, including coronary artery calcification (CAC), which is an independent predictor of CV events and mortality [61]. Being LCS participants mostly heavy smokers, coronary calcium is frequently noted on LCS CT scans [62, 63]. Despite initial skepticism around the possibility for CAC quantification on non-ECG gated scans, recent evidence demonstrated the feasibility of CAC measurement on chest LDCT [64]. CAC is commonly scored by the Agatston score [65], which can be assigned either visually or through artificial intelligence (AI)-based automated approaches [54]. There have been numerous studies that investigated the relationship between CAC and LCS across US and Europe, as well as in Asian countries. Results from both the NLST and the Early Lung Cancer Action Project showed a positive correlation between CAC and CV-related mortality [66, 67], while higher CAC scores, namely > 400, were found to be significantly associated with also all-cause mortality in some European trials, including the NELSON, the Danish Lung Cancer Screening trial (DLCST) and the MILD trial [68–70]. Based on this evidence, the ROBINSCA trial has been investigating whether coronary calcium-based management decreases CV-related mortality and morbidity, with preliminary results showing that CAC score classified significantly less high-risk LCS participants as compared to the clinical Systematic Coronary Risk Evaluation (SCORE) [71].
Body composition analysis
There is evidence linking body composition with clinical and prognostic outcomes in LC patients [72]. Several metrics and methods have been proposed to assess body composition, including body mass index and analysis of a single cross-sectional image extracted from either CT or magnetic resonance imaging (MRI) at a certain level (e.g., T12, L1, or L2 vertebral bodies) [73–75]. More recent approaches are based on the automated evaluation of the whole CT or MRI volume data [76]. Although body composition analysis is still very limited in the setting of LCS, it seems to have a potential for targeting higher-risk participants. Indeed, Xu et al have recently observed that an AI-based fully automated measurement of body composition, derived from baseline LDCT evaluation, added predictive value for all-cause mortality, LC-related and CVD-related mortality in the NLST [77].
Harms
Research has shown a significant variation in the rate of incidental findings among different LCS trials, ranging from 4% to 41% [43, 78–84]. This wide range is attributable to the absence of a uniform definition for what represents an incidental finding. Typical incidental findings encompass both thoracic abnormalities, such as CAC, aortic aneurysms, emphysema, ILA, and signs of pulmonary infection [49], as well as extra-thoracic ones, including kidney, breast, adrenal gland, liver, thyroid, pancreas, spine, lymph node masses, nodules, or cysts. These incidental findings often require further diagnostic work-up, such as consultations, additional radiological exams, and even invasive procedures, which come with their economic costs and potential clinical complications. The risk of overdiagnosis and overtreatment in the setting of LCS does not apply only to non-aggressive LCs, but also to incidental findings. The true benefit of incidental findings lies in their potential to prompt beneficial lifestyle changes or medical treatment with a demonstrable positive impact on relevant health outcomes such as overall mortality and quality-adjusted life years. However, the effectiveness of reporting incidental findings on these potential outcomes remains uncertain in LCS.
Summary statement: although chest LDCT allows the detection of abnormalities besides pulmonary nodules, further research is needed to assess the effectiveness of reporting such findings. Also, a clear definition of incidental findings in the setting of LCS is still to be provided.
Smoking cessation
Smoking cessation deserves a separate discussion as no real harm can be identified relating to such a topic, which is considered the most important behavior change to reduce LC-specific mortality in LCS cohorts [85–87]. LCS attendance may provide an excellent opportunity for smoking cessation intervention as participants are likely to be more concerned with their health as compared to the eligible non-screening participants. Indeed, some research suggests that LCS represents a “teachable moment” for smoking cessation, whereby current smokers screenees might be particularly receptive to offers of assistance to quit smoking [88]. Various studies, including RCTs, have demonstrated that integrated—rather than delivered within usual care services—and more intensive smoking cessation interventions (i.e., multiple counseling classes with or without pharmacological therapies) are more effective in motivating screening participants to quit smoking as compared to less intensive interventions. Recently published results from the Korean Lung Cancer Screening Project (K-LUCAS) showed that 24.3% of participants had stopped smoking after 6 months from the initial screening [89]. Similarly, the DLCST reported smoking cessation rates of 10.9% at 1-year follow-up [32], the UK Lung Cancer Screening Trial (UKLS) and the German LUSI trial reported rates of 23.6% and 12.8% at 2 years, respectively [90, 91], while the Italian Lung Study (ITALUNG) a rate of 20, 8% at 4 years after baseline [92]. Based on such evidence, recent guidelines released across Europe and the USA strongly recommend incorporating smoking cessation interventions into LCS programs [4, 5, 9]. Nevertheless, there is still little guidance on how such interventions ought to be delivered and limited evidence exists on the effectiveness of different approaches, with only a few trials testing different smoking cessation strategies [92–94].
Conclusion
LCS has been proven to reduce LC-related mortality, with still controversial evidence on the effect on all-cause mortality reduction. LCS can offer an opportunity for CV diseases and respiratory diseases secondary prevention but carries the risk of false-positive results leading to unnecessary tests and invasive procedures for both non-aggressive lung cancer and incidental findings. Further research into personalized screening intervals and risk prediction models is needed to enhance the benefit-to-harm ratio.
Abbreviations
- CAC
Coronary artery calcification
- CV
Cardiovascular
- ILA
Interstitial lung abnormalities
- LC
Lung cancer
- LCS
Lung cancer screening
- LDCT
Low-dose computed tomography
- MILD
Multicentric Italian lung detection
- MRI
Magnetic resonance imaging
- NLST
National Lung Screening Trial
- RCTs
Randomized controlled trials
Funding
Open access funding provided by Università degli Studi di Parma within the CRUI-CARE Agreement.
Compliance with ethical standards
Guarantor
The scientific guarantor of this publication is Roberta Eufrasia Ledda.
Conflict of interest
The authors of this manuscript declare no relationships with any companies whose products or services may be related to the subject matter of the article.
Statistics and biometry
Not applicable.
Informed consent
Not applicable.
Ethical approval
Institutional Review Board approval was not required because this is a review article.
Study subjects or cohorts overlap
Not applicable.
Methodology
Review article
Footnotes
Publisher’s Note Springer Nature remains neutral with regard to jurisdictional claims in published maps and institutional affiliations.
References
- 1.Sung H, Ferlay J, Siegel RL et al (2021) Global cancer statistics 2020: GLOBOCAN estimates of incidence and mortality worldwide for 36 cancers in 185 countries. CA Cancer J Clin 71:209–249 [DOI] [PubMed] [Google Scholar]
- 2.National Lung Screening Trial Research Team et al (2011) Reduced lung-cancer mortality with low-dose computed tomographic screening. N Engl J Med 365:395–409 [DOI] [PMC free article] [PubMed] [Google Scholar]
- 3.de Koning HJ, van der Aalst CM, de Jong PA et al (2020) Reduced lung-cancer mortality with volume CT screening in a randomized trial. N Engl J Med 382:503–513 [DOI] [PubMed] [Google Scholar]
- 4.Baldwin D, O’Dowd E, Tietzova I et al (2023) Developing a Pan-European technical standard for a comprehensive high-quality lung cancer CT screening program. An ERS technical standard. Eur Respir J 18:2300128 [DOI] [PubMed]
- 5.Kauczor HU, Baird A-M, Blum TG et al (2020) ESR/ERS statement paper on lung cancer screening. Eur Radiol 30:3277–3294 [DOI] [PubMed] [Google Scholar]
- 6.Silvestri GA, Goldman L, Tanner NT et al (2023) Outcomes from more than 1 million people screened for lung cancer with low-dose CT imaging. Chest 64:241–251 [DOI] [PMC free article] [PubMed]
- 7.Lam S, Bai C, Baldwin DR et al (2024) Current and future perspectives on computed tomography screening for lung cancer: a roadmap from 2023 to 2027 from the International Association for the study of lung cancer. J Thorac Oncol 19:36–51 [DOI] [PMC free article] [PubMed] [Google Scholar]
- 8.Field JK, Vulkan D, Davie MPA et al (2021) Lung cancer mortality reduction by LDCT screening: UKLS randomised trial results and international meta-analysis. Lancet Reg Health Eur 10:100179 [DOI] [PMC free article] [PubMed] [Google Scholar]
- 9.Wolf AMD, Oeffinger KC, Shih TY-C et al (2024) Screening for lung cancer: 2023 guideline update from the American Cancer Society. CA Cancer J Clin 74:50–81 [DOI] [PubMed] [Google Scholar]
- 10.Jonas DE, Reuland DS, Reddy SM et al (2021) Screening for lung cancer with low-dose computed tomography: updated evidence report and systematic review for the US preventive services task force. JAMA 325:971–987 [DOI] [PubMed] [Google Scholar]
- 11.Becker N, Motsch E, Trotter A et al (2020) Lung cancer mortality reduction by LDCT screening-Results from the randomized German LUSI trial. Int J Cancer 146:1503–1513 [DOI] [PubMed] [Google Scholar]
- 12.Ruggirello M, Valsecchi C, Ledda RE et al (2023) Long-term outcomes of lung cancer screening in males and females. Lung Cancer 185:107387 [DOI] [PMC free article] [PubMed] [Google Scholar]
- 13.Ilic D, Djulbegovic M, Jung JH et al (2018) Prostate cancer screening with prostate-specific antigen (PSA) test: a systematic review and meta-analysis. BMJ 362:k3519 [DOI] [PMC free article] [PubMed] [Google Scholar]
- 14.Fenton JJ, Weyrich MS, Durbin S, Liu Y, Bang H, Melnikow J (2018) Prostate-specific antigen-based screening for prostate cancer: evidence report and systematic review for the US preventive services task force. JAMA 319:1914–1931 [DOI] [PubMed] [Google Scholar]
- 15.Bonney A, Malouf R, Marchal C et al (2022) Impact of low-dose computed tomography (LDCT) screening on lung cancer-related mortality. Cochrane Database Syst Rev 8:Cd013829 [DOI] [PMC free article] [PubMed] [Google Scholar]
- 16.Passiglia F, Cinquini M, Bertolaccini L et al (2021) Benefits and harms of lung cancer screening by chest computed tomography: a systematic review and meta-analysis. J Clin Oncol 39:2574–2585 [DOI] [PubMed] [Google Scholar]
- 17.Hoffman RM, Atallah RP, Struble RD, Badgett RG (2020) Lung cancer screening with low-dose CT: a meta-analysis. J Gen Intern Med 35:3015–3025 [DOI] [PMC free article] [PubMed] [Google Scholar]
- 18.Ebell MH, Bentivegna M, Hulme C (2020) Cancer-specific mortality, all-cause mortality, and overdiagnosis in lung cancer screening trials: a meta-analysis. Ann Fam Med 18:545–552 [DOI] [PMC free article] [PubMed] [Google Scholar]
- 19.Li N, Tan F, Chen W et al (2022) One-off low-dose CT for lung cancer screening in China: a multicentre, population-based, prospective cohort study. Lancet Respir Med 10:378–391 [DOI] [PubMed] [Google Scholar]
- 20.Pastorino U, Rossi M, Rosato V et al (2012) Annual or biennial CT screening versus observation in heavy smokers: 5-year results of the MILD trial. Eur J Cancer Prev 21:308–315 [DOI] [PubMed] [Google Scholar]
- 21.Callister MEJ, Sasieni P, Robbins HA (2021) Overdiagnosis in lung cancer screening. Lancet Respir Med 9:7–9 [DOI] [PMC free article] [PubMed] [Google Scholar]
- 22.Heidinger BH, Anderson KR, Nemec U et al (2017) Lung adenocarcinoma manifesting as pure ground-glass nodules: correlating CT size, volume, density, and roundness with histopathologic invasion and size. J Thorac Oncol 12:1288–1298 [DOI] [PubMed] [Google Scholar]
- 23.Yip R, Wolf A, Tam K et al (2016) Outcomes of lung cancers manifesting as nonsolid nodules. Lung Cancer 97:35–42 [DOI] [PubMed] [Google Scholar]
- 24.Kakinuma R, Noguchi M, Ashizawa K et al (2016) Natural history of pulmonary subsolid nodules: a prospective multicenter study. J Thorac Oncol 11:1012–1028 [DOI] [PubMed] [Google Scholar]
- 25.Ricciardi S, Booton R, Petersen RH et al (2021) Managing of screening-detected sub-solid nodules-a European perspective. Transl Lung Cancer Res 10:2368–2377 [DOI] [PMC free article] [PubMed] [Google Scholar]
- 26.Silva M, Prokop M, Jacobs C et al (2018) Long-term active surveillance of screening detected subsolid nodules is a safe strategy to reduce overtreatment. J Thorac Oncol 13:1454–1463 [DOI] [PubMed] [Google Scholar]
- 27.Brodersen J, Schwartz LM, Heneghan C, O’Sullivan JW, Aronson JK, Woloshin S (2018) Overdiagnosis: What it is and what it isn’t. BMJ Evid Based Med 23:1–3 [DOI] [PubMed] [Google Scholar]
- 28.Infante M, Berghmans T, Heuvelmans MA, Hillerdal G, Oudkerk M (2013) Slow-growing lung cancer as an emerging entity: from screening to clinical management. Eur Respir J 42:1706–1722 [DOI] [PubMed] [Google Scholar]
- 29.Patz Jr EF, Goodman PC, Bepler G (2000) Screening for lung cancer. N Engl J Med 343:1627–1633 [DOI] [PubMed] [Google Scholar]
- 30.Katz MH, Grady D, Redberg RF (2013) Undertreatment improves, but overtreatment does not. JAMA Intern Med 173:93 [DOI] [PubMed] [Google Scholar]
- 31.Rogers WA (2014) Avoiding the trap of overtreatment. Med Educ 48:12–14 [DOI] [PubMed] [Google Scholar]
- 32.Ashraf H, Saghir Z, Dirksen A et al (2014) Smoking habits in the randomised Danish lung cancer screening trial with low-dose CT: final results after a 5-year screening programme. Thorax 69:574–579 [DOI] [PubMed] [Google Scholar]
- 33.Aberle DR, Adams AM, Berg CD et al (2011) Reduced lung-cancer mortality with low-dose computed tomographic screening. N Engl J Med 365:395–409 [DOI] [PMC free article] [PubMed] [Google Scholar]
- 34.Gohagan J, Marcus P, Fagerstrom R, Pinsky P, Kramer B, Prorok P (2004) Baseline findings of a randomized feasibility trial of lung cancer screening with spiral CT scan vs chest radiograph: the lung screening study of the National Cancer Institute. Chest 126:114–121 [DOI] [PubMed] [Google Scholar]
- 35.Infante M, Lutman FR, Cavuto S et al (2008) Lung cancer screening with spiral CT: baseline results of the randomized DANTE trial. Lung Cancer 59:355–363 [DOI] [PubMed] [Google Scholar]
- 36.Li M, Zhang L, Charvat H et al (2022) The influence of postscreening follow-up time and participant characteristics on estimates of overdiagnosis from lung cancer screening trials. Int J Cancer 151:1491–1501 [DOI] [PMC free article] [PubMed] [Google Scholar]
- 37.González Maldonado S, Motsch E, Trotter A et al (2021) Overdiagnosis in lung cancer screening: estimates from the German lung cancer screening intervention trial. Int J Cancer 148:1097–1105 [DOI] [PubMed] [Google Scholar]
- 38.Patz Jr EF, Pinsky P, Gatsonis C et al (2014) Overdiagnosis in low-dose computed tomography screening for lung cancer. JAMA Intern Med 174:269–274 [DOI] [PMC free article] [PubMed] [Google Scholar]
- 39.Thalanayar PM, Altintas N, Weissfeld JL, Fuhrman CR, Wilson DO (2015) Indolent, potentially inconsequential lung cancers in the Pittsburgh lung screening study. Ann Am Thorac Soc 12:1193–1196 [DOI] [PMC free article] [PubMed] [Google Scholar]
- 40.Chung K, Jacobs C, Scholten ET et al (2017) Lung-RADS category 4X: Does it improve prediction of malignancy in subsolid nodules? Radiology 284:264–271 [DOI] [PubMed] [Google Scholar]
- 41.Pinsky PF, Bellinger CR, Miller Jr DP (2018) False-positive screens and lung cancer risk in the National Lung Screening Trial: implications for shared decision-making. J Med Screen 25:110–112 [DOI] [PubMed] [Google Scholar]
- 42.Pinsky PF, Gierada DS, Black W et al (2015) Performance of Lung-RADS in the National Lung Screening Trial: a retrospective assessment. Ann Intern Med 162:485–491 [DOI] [PMC free article] [PubMed] [Google Scholar]
- 43.Kinsinger LS, Anderson C, Kim J et al (2017) Implementation of lung cancer screening in the veterans health administration. JAMA Intern Med 177:399–406 [DOI] [PubMed] [Google Scholar]
- 44.Rendle KA, Saia CA, Vachani A et al (2024) Rates of downstream procedures and complications associated with lung cancer screening in routine clinical practice : a retrospective cohort study. Ann Intern Med 177:18–28 [DOI] [PMC free article] [PubMed] [Google Scholar]
- 45.van den Bergh KA, Essink-Bot ML, Borsboom GJ et al (2010) Short-term health-related quality of life consequences in a lung cancer CT screening trial (NELSON). Br J Cancer 102:27–34 [DOI] [PMC free article] [PubMed] [Google Scholar]
- 46.Bach PB, Mirkin JN, Oliver TK et al (2012) Benefits and harms of CT screening for lung cancer: a systematic review. JAMA 307:2418–2429 [DOI] [PMC free article] [PubMed] [Google Scholar]
- 47.Milanese G, Ledda RE, Sabia F et al (2023) Ultra-low dose computed tomography protocols using spectral shaping for lung cancer screening: Comparison with low-dose for volumetric LungRADS classification. Eur J Radiol 161:110760 [DOI] [PubMed] [Google Scholar]
- 48.Pozzessere C, von Garnier C, Beigelman-Aubry C (2023) Radiation exposure to low-dose computed tomography for lung cancer screening: Should we be concerned? Tomography 9:166–177 [DOI] [PMC free article] [PubMed] [Google Scholar]
- 49.Chung JH, Richards JC, Koelsch TL, MacMahon H, Lynch DA (2018) Screening for lung cancer: incidental pulmonary parenchymal findings. AJR Am J Roentgenol 210:503–513 [DOI] [PubMed] [Google Scholar]
- 50.Adams SJ, Stone E, Baldwin DR, Vliegenthart R, Lee P, Fintelmann FJ (2023) Lung cancer screening. Lancet 401:390–408 [DOI] [PubMed] [Google Scholar]
- 51.Yong PC, Sigel K, de-Torres JP et al (2019) The effect of radiographic emphysema in assessing lung cancer risk. Thorax 74:858–864 [DOI] [PubMed] [Google Scholar]
- 52.O’Dowd EL, Tietzova I, Bartlett E et al (2023) ERS/ESTS/ESTRO/ESR/ESTI/EFOMP statement on management of incidental findings from low dose CT screening for lung cancer. Eur Respir J 62:2300533 [DOI] [PubMed]
- 53.Sorensen L, Nielsen M, Petersen J, Pedersen JH, Dirksen A, de Bruijne M (2020) Chronic obstructive pulmonary disease quantification using CT texture analysis and densitometry: results from the Danish lung cancer screening trial. AJR Am J Roentgenol 214:1269–1279 [DOI] [PubMed] [Google Scholar]
- 54.Balbi M, Sabia F, Ledda RE et al (2023) Automated coronary artery calcium and quantitative emphysema in lung cancer screening: association with mortality, lung cancer incidence, and airflow obstruction. J Thorac Imaging 38:W52–W63 [DOI] [PMC free article] [PubMed] [Google Scholar]
- 55.Labaki WW, Xia M, Murray S et al (2021) Quantitative emphysema on low-dose CT imaging of the chest and risk of lung cancer and airflow obstruction: an analysis of the national lung screening trial. Chest 159:1812–1820 [DOI] [PMC free article] [PubMed] [Google Scholar]
- 56.Durawa A, Dziadziuszko K, Jelitto-Goeska M, Szurowska E (2020) Emphysema—the review of radiological presentation and its clinical impact in the LDCT screening era. Clin Imaging 64:85–91 [DOI] [PubMed] [Google Scholar]
- 57.Hatabu H, Hunninghake GM, Lynch DA (2019) Interstitial lung abnormality: recognition and perspectives. Radiology 291:1–3 [DOI] [PubMed] [Google Scholar]
- 58.Balata H, Punjabi A, Chaudhuri N et al (2023) The detection, assessment and clinical evolution of interstitial lung abnormalities identified through lung cancer screening. ERJ Open Res 9:00632-2022 [DOI] [PMC free article] [PubMed]
- 59.Whittaker Brown S-A, Padilla M, Mhango G et al (2019) Interstitial lung abnormalities and lung cancer risk in the National Lung Screening Trial. Chest 156:1195–1203 [DOI] [PubMed] [Google Scholar]
- 60.Hata A, Hino T, Yanagawa M et al (2022) Interstitial lung abnormalities at CT: subtypes, clinical significance, and associations with lung cancer. Radiographics 42:1925–1939 [DOI] [PMC free article] [PubMed] [Google Scholar]
- 61.Grundy SM, Stone NJ, Bailey AL et al (2018) AHA/ACC/AACVPR/AAPA/ABC/ACPM/ADA/AGS/APhA/ASPC/NLA/PCNA guideline on the management of blood cholesterol: a report of the American College of Cardiology/American Heart Association Task Force on clinical practice guidelines. J Am Coll Cardiol 73:e285–e350. 2019 [DOI] [PubMed] [Google Scholar]
- 62.Balata H, Blandin Knight S, Barber P et al (2018) Targeted lung cancer screening selects individuals at high risk of cardiovascular disease. Lung Cancer 124:148–153 [DOI] [PubMed] [Google Scholar]
- 63.Mascalchi M, Puliti D, Romei C et al (2021) Moderate-severe coronary calcification predicts long-term cardiovascular death in CT lung cancer screening: the ITALUNG trial. Eur J Radiol 145:110040 [DOI] [PubMed] [Google Scholar]
- 64.Ravenel JG, Nance JW (2018) Coronary artery calcification in lung cancer screening. Transl Lung Cancer Res 7:361–367 [DOI] [PMC free article] [PubMed] [Google Scholar]
- 65.Agatston AS, Janowitz WR, Hildner FJ, Zusmer NR, Viamonte Jr M, Detrano R (1990) Quantification of coronary artery calcium using ultrafast computed tomography. J Am Coll Cardiol 15:827–832 [DOI] [PubMed] [Google Scholar]
- 66.Shemes J, Henschke CI, Shaham D et al (2010) Ordinal scoring of coronary artery calcifications on low-dose CT scans of the chest is predictive of death from cardiovascular disease. Radiology 257:541–548 [DOI] [PubMed] [Google Scholar]
- 67.Watts Jr JR, Sonavane SK, Snell-Bergeon J, Nath H (2015) Visual scoring of coronary artery calcification in lung cancer screening computed tomography: association with all-cause and cardiovascular mortality risk. Coron Artery Dis 26:157–162 [DOI] [PubMed] [Google Scholar]
- 68.Jacobs PC, Gondrie MJA, van der Graaf Y et al (2012) Coronary artery calcium can predict all-cause mortality and cardiovascular events on low-dose CT screening for lung cancer. AJR Am J Roentgenol 198:505–511 [DOI] [PubMed] [Google Scholar]
- 69.Sverzellati N, Cademartiri F, Bravi F et al (2012) Relationship and prognostic value of modified coronary artery calcium score, FEV1, and emphysema in lung cancer screening population: the MILD trial. Radiology 262:460–467 [DOI] [PubMed] [Google Scholar]
- 70.Rasmussen T, Køber L, Abdulla J et al (2015) Coronary artery calcification detected in lung cancer screening predicts cardiovascular death. Scand Cardiovasc J 49:159–167 [DOI] [PubMed] [Google Scholar]
- 71.van der Aalst CM, Denissen SJAM, Vonder M et al (2020) Screening for cardiovascular disease risk using traditional risk factor assessment or coronary artery calcium scoring: the ROBINSCA trial. Eur Heart J Cardiovasc Imaging 21:1216–1224 [DOI] [PubMed] [Google Scholar]
- 72.Troschel AS, Troschel FM, Best TD et al (2020) Computed tomography-based body composition analysis and its role in lung cancer care. J Thorac Imaging 35:91–100 [DOI] [PubMed] [Google Scholar]
- 73.Shah NR, Braverman ER (2012) Measuring adiposity in patients: the utility of body mass index (BMI), percent body fat, and leptin. PLoS One 7:e33308 [DOI] [PMC free article] [PubMed] [Google Scholar]
- 74.Shen W, Punyanitya M, Wang Z et al (2004) Total body skeletal muscle and adipose tissue volumes: estimation from a single abdominal cross-sectional image. J Appl Physiol (1985) 97:2333–2338 [DOI] [PubMed] [Google Scholar]
- 75.Zeng Q, Wang L, Dong S et al (2021) CT-derived abdominal adiposity: distributions and better predictive ability than BMI in a nationwide study of 59,429 adults in China. Metabolism 115:154456 [DOI] [PubMed] [Google Scholar]
- 76.Xu K, Gao R, Tang Y et al (2022) Extending the value of routine lung screening CT with quantitative body composition assessment. Proc SPIE Int Soc Opt Eng 12032:120321L [DOI] [PMC free article] [PubMed]
- 77.Xu K, Khan MS, Li TZ et al (2023) AI body composition in lung cancer screening: added value beyond lung cancer detection. Radiology 308:e222937 [DOI] [PMC free article] [PubMed] [Google Scholar]
- 78.Morgan L, Choi H, Reid M, Khawaja A, Mazzone PJ (2017) Frequency of incidental findings and subsequent evaluation in low-dose computed tomographic scans for lung cancer screening. Ann Am Thorac Soc 14:1450–1456 [DOI] [PubMed] [Google Scholar]
- 79.Field JK, Duffy SW, Baldwin DR et al (2016) The UK lung cancer screening trial: a pilot randomised controlled trial of low-dose computed tomography screening for the early detection of lung cancer. Health Technol Assess 20:1–146 [DOI] [PMC free article] [PubMed] [Google Scholar]
- 80.Nguyen XV, Davies L, Eastwood JD, Hoang JK (2017) Extrapulmonary findings and malignancies in participants screened with chest CT in the National Lung Screening Trial. J Am Coll Radiol 14:324–330 [DOI] [PubMed] [Google Scholar]
- 81.O’Grady TJ, Kitahara CM, DiRienzo AG, Boscoe FP, Gates MA (2014) Randomization to screening for prostate, lung, colorectal and ovarian cancers and thyroid cancer incidence in two large cancer screening trials. PLoS One 9:e106880 [DOI] [PMC free article] [PubMed] [Google Scholar]
- 82.Pinsky PF, Gierada DS, Hocking W, Patz Jr EF, Kramer BS (2014) National Lung Screening Trial findings by age: Medicare-eligible versus under-65 population. Ann Intern Med 161:627–633 [DOI] [PMC free article] [PubMed] [Google Scholar]
- 83.Swensen SJ, Jett JR, Sloan JA et al (2002) Screening for lung cancer with low-dose spiral computed tomography. Am J Respir Crit Care Med 165:508–513 [DOI] [PubMed] [Google Scholar]
- 84.Wilson DO, Weissfeld JL, Fuhrman CR et al (2008) The Pittsburgh Lung Screening Study (PLuSS): outcomes within 3 years of a first computed tomography scan. Am J Respir Crit Care Med 178:956–961 [DOI] [PMC free article] [PubMed] [Google Scholar]
- 85.Kathuria H, Detterbeck FC, Fathi JT et al (2017) Stakeholder research priorities for smoking cessation interventions within lung cancer screening programs. An official American Thoracic Society Research statement. Am J Respir Crit Care Med 196:1202–1212 [DOI] [PMC free article] [PubMed] [Google Scholar]
- 86.Borondy Kitts AK, McKee AB, Regis SM, Wald C, Flacke S, McKee BJ (2016) Smoking cessation results in a clinical lung cancer screening program. J Thorac Dis 8:S481–S487 [DOI] [PMC free article] [PubMed] [Google Scholar]
- 87.Tanner NT, Kanodra NM, Gebregziabher M et al (2016) The association between smoking abstinence and mortality in the National Lung Screening Trial. Am J Respir Crit Care Med 193:534–541 [DOI] [PubMed] [Google Scholar]
- 88.Taylor KL, Cox LS, Zincke N, Metha L, McGuire C, Gelmann E (2007) Lung cancer screening as a teachable moment for smoking cessation. Lung Cancer 56:125–134 [DOI] [PubMed] [Google Scholar]
- 89.Kim Y, Lee J, Lee E et al (2024) Strategies to improve smoking cessation for participants in lung cancer screening program: analysis of factors associated with smoking cessation in Korean Lung Cancer Screening Project (K-LUCAS). Cancer Res Treat 56:92–103 [DOI] [PMC free article] [PubMed] [Google Scholar]
- 90.Brain K, Carter B, Lifford KJ et al (2017) Impact of low-dose CT screening on smoking cessation among high-risk participants in the UK Lung Cancer Screening Trial. Thorax 72:912–918 [DOI] [PMC free article] [PubMed] [Google Scholar]
- 91.Bade M, Bähr V, Brandt U et al (2016) Effect of smoking cessation counseling within a randomised study on early detection of lung cancer in Germany. J Cancer Res Clin Oncol 142:959–968 [DOI] [PMC free article] [PubMed] [Google Scholar]
- 92.Pistelli F, Aquilini F, Falaschi F et al (2020) Smoking cessation in the ITALUNG lung cancer screening: What does “teachable moment” mean? Nicotine Tob Res 22:1484–1491 [DOI] [PubMed] [Google Scholar]
- 93.Pastorino U, Ladisa V, Trussardo S et al (2022) Cytisine therapy improved smoking cessation in the randomized screening and multiple intervention on lung epidemics lung cancer screening trial. J Thorac Oncol 17:1276–1286 [DOI] [PubMed] [Google Scholar]
- 94.Park ER, Gareen IF, Japuntich S et al (2015) Primary care provider-delivered smoking cessation interventions and smoking cessation among participants in the National Lung Screening Trial. JAMA Intern Med 175:1509–1516 [DOI] [PMC free article] [PubMed] [Google Scholar]



