Abstract
Background
Vasculitis encompasses a group of disorders characterized by inflammation of blood vessel walls, leading to diverse clinical presentations on the basis of the size and location of the affected vessels. Gastrointestinal involvement is a known feature of small- and medium-sized vessel vasculitides, typically as part of systemic inflammation. However, isolated vasculitis of the celiac artery is extremely rare and has been scarcely reported in the literature, making this case particularly novel and significant.
Case presentation
We report the case of a 35-year-old Iranian male of Persian ethnicity who presented with a 7-day history of abdominal pain localized to the epigastric and periumbilical regions, accompanied by nausea. On admission, the patient’s vital signs were stable, and clinical examination was unremarkable. Laboratory findings revealed elevated C-reactive protein and erythrocyte sedimentation rate. Contrast-enhanced abdominopelvic computed tomography suggested isolated vasculitis of the celiac artery. Subsequent serological tests showed borderline positive anti-nuclear antibodies, while other specific autoantibodies were negative. On the basis of clinical and radiological findings, the patient was diagnosed with isolated celiac artery vasculitis. Treatment with oral corticosteroids for 10 days led to symptom resolution and normalization of C-reactive protein levels. A follow-up computed tomography scan performed 2 weeks after treatment completion demonstrated complete resolution of inflammatory changes with no residual abnormalities. At 6-month follow-up, the patient remained asymptomatic, with no recurrence of symptoms or complications.
Conclusion
Isolated celiac artery vasculitis is an extremely rare condition that requires high clinical suspicion for timely diagnosis. Early intervention can effectively prevent life-threatening complications and reduce morbidity. This case highlights the importance of recognizing isolated vascular inflammation as a potential diagnosis in patients presenting with unexplained abdominal pain and elevated inflammatory markers.
Keywords: Isolated celiac artery vasculitis, Rare vascular disorders, Gastrointestinal vasculitis, Abdominal pain, Vasculitis
Background
Vasculitis refers to a group of disorders characterized by inflammation of blood vessel walls, leading to a wide range of clinical manifestations depending on the size and location of the affected vessels. It can be classified on the basis of vessel size (small, medium, or large) or the presence of specific immune markers. The symptoms are often nonspecific, such as abdominal pain, nausea, or gastrointestinal (GI) bleeding, which makes early diagnosis challenging.
GI involvement is a recognized feature of systemic vasculitides, particularly in small- and medium-sized vessel vasculitis, and can lead to complications such as ischemia, intestinal perforation, or peritonitis. In rare cases, vasculitis may occur as single-organ vasculitis (SOV), affecting isolated organs such as the GI tract, aorta, or breast, without systemic involvement [1, 2]. Localized vasculitis of the GI tract, though uncommon, can cause significant morbidity and mortality if not promptly recognized and managed.
Diagnostic tools, such as computed tomography (CT), are essential for detecting vascular wall inflammation and identifying associated abnormalities. CT imaging allows for non-invasive evaluation of isolated vasculitis, providing critical information for early diagnosis and intervention [3–5].
Isolated celiac artery vasculitis is extremely rare, with very few cases reported in the existing literature [2]. This report aims to present a rare case of isolated celiac artery vasculitis in a 35-year-old male patient presenting with abdominal pain. It highlights the diagnostic challenges, the role of imaging in early detection, and the favorable outcome following timely corticosteroid therapy.
Case presentation
An Iranian man in his 30s presented to the outpatient emergency department of a medical center in Isfahan with a 7-day history of abdominal pain localized to the epigastric and periumbilical regions, accompanied by nausea. Owing to worsening symptoms, he was referred to our emergency department for further evaluation. The patient reported a similar episode of abdominal pain 1 month prior, which was less severe and resolved without medical consultation or treatment. He denied other symptoms such as weight loss, GI bleeding, fever, skin rashes, joint pain, breathlessness, visual disturbances, or signs of renal involvement.
His medical history included type 2 diabetes mellitus, managed with metformin 500 mg twice daily. There was no family history of autoimmune, vascular, or other relevant conditions.
On admission, the patient’s vital signs were within normal limits. A thorough clinical examination revealed: no signs of necrotic dermal lesions, skin discolorations, ulcers, or arthritis; no nasal deformities, oral ulcers, or ocular abnormalities; and normal findings on cardiac, peripheral vascular, and rheumatologic examinations. Abdominal examination was unremarkable, with no tenderness, rebound tenderness, guarding, or distention. Initial laboratory workup showed elevated C-reactive protein (CRP): 18 mg/L (reference range 0.0–3.0 mg/L); normal erythrocyte sedimentation rate (ESR): 14 mm/hour (reference range 0–20 mm/hour); and mild anemia (hemoglobin 11.5 g/dL, normal range 13–17 g/dL). His white blood cell count, liver function tests, and renal function were within normal limits. Urinalysis was unremarkable. Initial diagnostic workup, including abdominal ultrasound, showed no abnormalities. However, owing to persistent pain, a contrast-enhanced abdominopelvic computed tomography (CT) scan was conducted, revealing soft tissue density and fat stranding in the pre-aortic region encasing the proximal celiac artery. Minimal luminal narrowing of the celiac artery, without evidence of intraluminal thrombosis or aneurysmal dilation (Fig. 1). No signs of fat stranding or inflammatory changes involving the superior mesenteric artery (SMA) or inferior mesenteric artery (IMA) (Figs. 2, 3).The bowel loops appeared normal in thickness and demonstrated appropriate enhancement. These findings were indicative of inflammatory changes localized to the celiac artery. Further serologic testing revealed borderline positive antinuclear antibodies (ANA) at a titer of 1:100, with negative results for anti-Ro/SSA antibodies, anti-La/SSB antibodies, anti-dsDNA antibodies, anti-myeloperoxidase (P-ANCA), anti-proteinase 3 (C-ANCA), and anti-cyclic citrullinated peptide (anti-CCP) antibodies.
Fig. 1.
Flowchart illustrating the clinical course and diagnostic process, emphasizing key milestones in symptom onset, investigation, diagnosis, and treatment to optimize understanding and learning
Fig. 2.

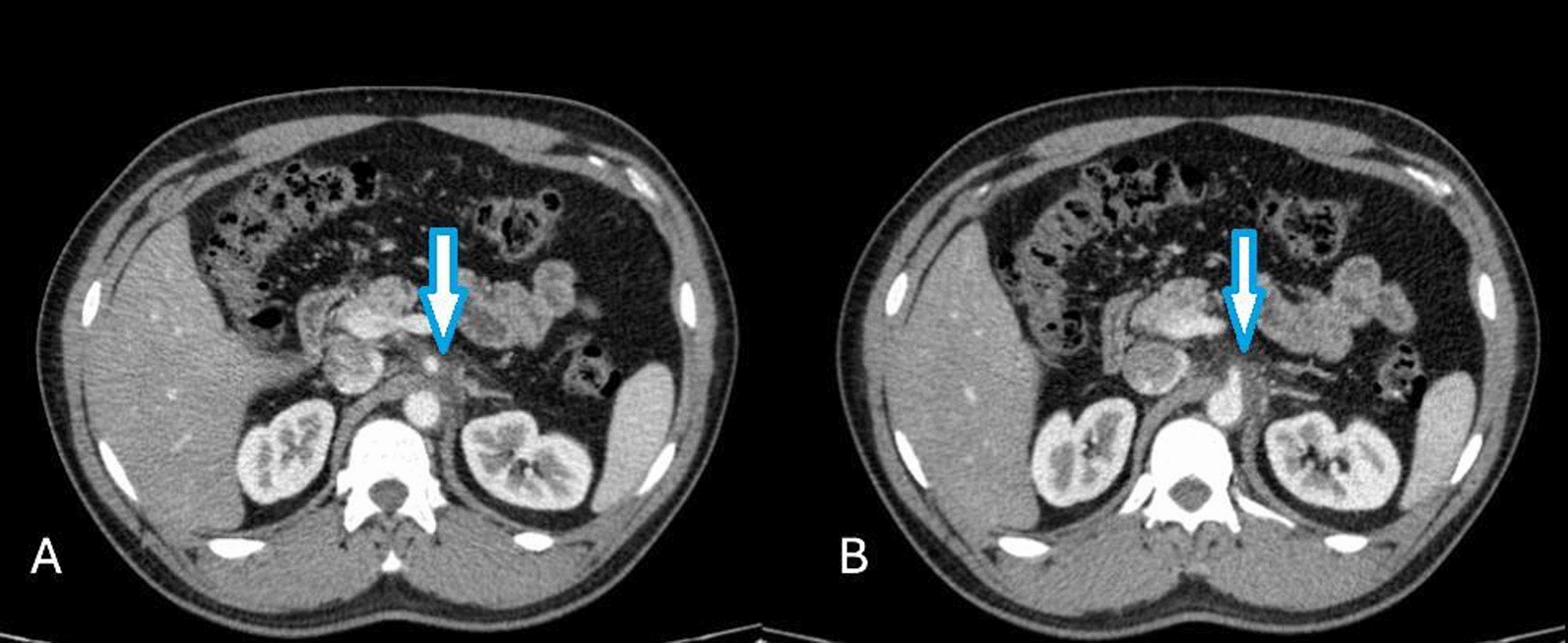
Contrast-enhanced abdominopelvic computed tomography scan in the axial plane (A, B) showing soft tissue density surrounding the origin and proximal portion of the celiac artery, resulting in minimal luminal narrowing (blue arrows). No evidence of aneurysm or dilation is observed along the course of the celiac artery
Fig. 3.

Abdominopelvic computed tomography scan with intravenous contrast in the axial (A) and coronal (B) planes. Minimal luminal narrowing is observed in the proximal celiac artery (A and B, red arrows). C No evidence of peri-aortic inflammatory changes is noted. The superior mesenteric artery and other major branches of the abdominal aorta appear normal
On the basis of the clinical and radiological findings, the patient was diagnosed with isolated celiac vasculitis. This condition represents a rare form of vasculitis affecting the celiac artery without systemic involvement or the presence of other known vasculitis syndromes.
The patient was treated with oral methylprednisolone 50 mg daily for 10 days. Within 3 days of initiating treatment, the patient reported significant relief of abdominal pain, and complete resolution of pain was achieved by the end of the therapy course. CRP also decreased to normal levels. Steroid therapy was gradually tapered over the following months.
A follow-up CT scan 2 weeks after completing treatment showed complete resolution of the inflammatory changes, with no residual abnormalities. The patient remained asymptomatic during follow-up visit after 6 months, with no recurrence of symptoms or complications (Fig. 4).
Fig. 4.

Abdominopelvic computed tomography scan with intravenous contrast shows the soft tissue around the celiac appears to be resolved, with no evidence of inflammation in the surrounding fat. No significant stenosis is observed in the celiac pathway
Discussion and conclusion
Vasculitides are a rare group of diseases characterized by inflammation of blood vessel walls, leading to changes in vascular integrity, blood flow, and potential damage to dependent organs [3, 6]. Chronic inflammation can result in arterial wall thickening, luminal narrowing, or occlusion. In some cases, it weakens the medial layer, predisposing to aneurysm formation [7, 8]. Vasculitis is classified as primary (idiopathic, likely autoimmune) or secondary, which may be associated with malignancies, infections, connective tissue diseases, drug exposure, or environmental factors. Primary vasculitis is further subdivided by the size of the vessels affected: large, medium, or small. Each type exhibits distinct clinical features based on the involved vascular territory and pathophysiology [4, 9, 10].
The exact mechanism underlying vasculitis remains unclear but is thought to involve immune cell infiltration, proinflammatory cytokine release, immune complex deposition, and autoantibody activity. These processes can lead to vascular injury, stenosis, occlusion, or aneurysm formation, with clinical manifestations varying depending on the size and location of the vessels affected [4, 11]. Abdominal symptoms such as pain, nausea, vomiting, and GI bleeding are common in vasculitis involving medium and small vessels, often indicating significant disease severity or systemic involvement [1, 4, 5].
Localized gastrointestinal vasculitis, or single-organ vasculitis (SOV), is a rare manifestation, primarily affecting the breast, aorta, gastrointestinal tract, or genitourinary system. SOV has a relatively favorable prognosis compared with systemic vasculitis, especially when focal, and may resolve with medical or surgical management. However, focal GI vasculitis can progress to systemic disease, necessitating close monitoring [2, 4, 5, 12]. The prevalence of localized GI vasculitis is low in Western populations. However, it appears more common in regions such as the Middle East and Asia, potentially owing to environmental or genetic factors [8, 13, 14].
Isolated celiac artery vasculitis is extremely rare, with limited cases reported in literature. The celiac artery, originating from the abdominal aorta, is a critical vessel supplying the upper abdominal organs. In this case, the patient presented with localized inflammation surrounding the proximal celiac artery, identified on CT imaging as soft tissue density and fat stranding with minimal luminal narrowing. No evidence of thrombosis or aneurysmal dilation was observed [4].
In a similar case reported in literature, a patient presented with severe left-sided abdominal pain and tenderness. Computed tomography angiography (CTA) revealed a 0.7 cm × 0.6 cm celiac artery aneurysm accompanied by significant narrowing. Marked wall thickening and inflammatory changes observed in imaging suggested underlying vasculitis. The celiac artery diameter measured 1.9 cm, and duplex ultrasound demonstrated elevated peak systolic velocity (PSV). The patient was managed with a 30-day course of prednisone, after which, follow-up CTA showed near-complete resolution of the celiac artery stenosis. This highlights the potential role of vasculitis in similar presentations and emphasizes the efficacy of corticosteroid therapy in managing such cases [8]. The presented case of isolated celiac vasculitis shares similarities with a previously reported case, including localized abdominal pain, imaging findings suggesting vascular inflammation, and a favorable response to corticosteroid therapy. However, key differences were noted: our patient exhibited only minimal luminal narrowing without aneurysmal changes, and borderline positive ANA. Unlike the 30-day prednisone regimen in the reported case, our patient was treated successfully with a shorter course of methylprednisolone followed by tapering. This highlights the variability in presentation and severity of isolated celiac vasculitis, while reinforcing the importance of a multimodal diagnostic approach and individualized corticosteroid therapy for optimal outcomes.
A comparison with another reported case of presumed celiac artery vasculitis in a patient with a history of ulcerative colitis (UC), managed with infliximab and azathioprine, reveals several parallels and distinctions. Similar to our case, the patient presented with abdominal pain and imaging findings of inflammation around the celiac artery. Both cases lacked significant systemic symptoms and had negative autoimmune markers, complicating the diagnostic process. Both patients were treated with corticosteroids, achieving symptom resolution and favorable outcomes on follow-up imaging. Notably, the other patient had ischemic changes in the gastroesophageal junction, a feature absents in our case. These comparisons highlight the diverse presentations and diagnostic challenges of celiac artery vasculitis, underscoring the role of corticosteroids in effective management [15].
The diagnosis of vasculitis can be challenging due to its nonspecific symptoms and imaging findings, often mimicking other conditions, such as infections, malignancies, or thromboembolic disorders. Computed tomography (CT) is a valuable diagnostic tool, providing high spatial resolution to assess vascular wall changes and localized inflammation. Other imaging modalities, such as Doppler ultrasound, angiography, or magnetic resonance imaging (MRI), can further characterize vascular involvement and complications. Laboratory investigations, including inflammatory markers (for example, ESR and CRP) and autoantibody profiles (for example, ANCA subtypes), are essential for differential diagnosis and evaluation of systemic involvement [1, 4, 10].
In this case, the patient’s laboratory findings were unremarkable except for an elevated CRP level and borderline ANA titer, while specific autoantibodies associated with systemic vasculitis were negative. The absence of systemic symptoms or other organ involvement supported the diagnosis of isolated celiac vasculitis. Treatment with methylprednisolone resulted in rapid clinical improvement, and follow-up imaging showed resolution of inflammation. Corticosteroids are the cornerstone of vasculitis management, effectively controlling inflammation without the need for invasive procedures.
This case highlights the importance of early recognition and treatment of isolated vasculitis to prevent severe complications, such as ischemia or organ damage. While isolated celiac vasculitis is rare, it should be considered in the differential diagnosis of unexplained abdominal pain, particularly when imaging reveals vascular abnormalities.
Given the significant morbidity and mortality associated with vasculitis, especially in the first year following diagnosis, close monitoring is crucial [16]. In our case, the patient remained asymptomatic during 3 months of follow-up, with no progression to systemic vasculitis. However, long-term surveillance is recommended for similar cases.
This report underscores the rarity and diagnostic challenges of isolated celiac vasculitis. One of the limitations of this case report is the lack of angiographic imaging, which is a definitive method for evaluating vascular abnormalities in vasculitis. Owing to limited access to this modality, a definitive diagnosis via angiography was not obtained.
Isolated celiac artery vasculitis (ICAV) is a rare and challenging condition that primarily affects the celiac artery without systemic involvement. Early recognition of ICAV is critical and relies on a combination of clinical, radiological, and serological findings. Gastrointestinal symptoms, such as abdominal pain and nausea, can be nonspecific, necessitating thorough diagnostic evaluations, including CT imaging, which plays a pivotal role in identifying localized vascular inflammation. CT scans can reveal key signs such as soft tissue density, fat stranding, and arterial narrowing, helping to confirm the diagnosis. Steroid therapy has proven effective in treating isolated vasculitis, leading to significant symptom improvement and normalization of inflammatory markers. Follow-up assessments, including CT scans and clinical evaluations, are essential to ensure complete resolution and to monitor for potential recurrence.
Acknowledgements
This research did not receive any specific grant from any funding agency in the public, commercial, or not-for-profit sector.
Abbreviations
- ANA
Antinuclear antibodies
- CCP
Cyclic citrullinated peptide
- CRP
C-reactive protein
- CT
Computed tomography
- ESR
Erythrocyte sedimentation rate
- GI
Gastrointestinal
- IMA
Inferior mesenteric artery
- PSV
Peak systolic velocity
- SMA
Superior mesenteric artery
- SOV
Single-organ vasculitis
- UC
Ulcerative colitis
- ICAV
Isolated celiac artery vasculitis
Author contributions
MG, AH, and PT planned the study, researched the data, and wrote the manuscript. MG and AH reviewed and edited the manuscript.
Funding
No funds, grants, or other support were received during the preparation of this manuscript.
Availability of data and materials
All data and materials are available from the corresponding author upon request.
Declarations
Ethics approval and consent to participate
This case report did not need approval from an ethics committee since it involved one patient. In addition, informed consent to participate was obtained from the patient.
Consent for publication
Written informed consent was obtained from the patient for publication of this case report and any accompanying images. A copy of the written consent is available for review by the Editor-in-Chief of this journal.
Competing interests
The authors have no relevant financial or nonfinancial interests to disclose.
Footnotes
Publisher’s Note
Springer Nature remains neutral with regard to jurisdictional claims in published maps and institutional affiliations.
References
- 1.Hur JH, Chun EJ, Kwag HJ, Yoo JY, Kim HY, Kim JJ, et al. CT features of vasculitides based on the 2012 International Chapel hill consensus conference revised classification. Korean J Radiol. 2017;18(5):786–98. [DOI] [PMC free article] [PubMed] [Google Scholar]
- 2.Ali S, Doniparthi M, Asado N, Borgen K, Shapiro A. Isolated celiac artery vasculitis presenting as ileus in a patient with ulcerative colitis. ACG Case Rep J. 2024;11(4): e01335. [DOI] [PMC free article] [PubMed] [Google Scholar]
- 3.Alkhader A, Saleh N, Mansour MM, Hussein O, Saad B. Expect the unexpected: a rare case of isolated superior mesenteric artery vasculitis. Cureus. 2023;15(6):7–9. [DOI] [PMC free article] [PubMed] [Google Scholar]
- 4.Amouei M, Momtazmanesh S, Kavosi H, Davarpanah AH, Shirkhoda A, Radmard AR. Imaging of intestinal vasculitis focusing on MR and CT enterography: a two-way street between radiologic findings and clinical data. Insights Imag. 2022. 10.1186/s13244-022-01284-7. [DOI] [PMC free article] [PubMed] [Google Scholar]
- 5.Salvarani C, Calamia KT, Crowson CS, Miller DV, Broadwell AW, Hunder GG, et al. Localized vasculitis of the gastrointestinal tract: a case series. Rheumatology. 2010;49(7):1326–35. [DOI] [PubMed] [Google Scholar]
- 6.Müller-Ladner U. Vasculitides of the gastrointestinal tract. Best Pract Res Clin Gastroenterol. 2001;15(1):59–82. [DOI] [PubMed] [Google Scholar]
- 7.Rits Y, Oderich GS, Bower TC, Miller DV, Cooper L, Ricotta JJ, et al. Interventions for mesenteric vasculitis. J Vasc Surg. 2010;51(2):392-400.e2. 10.1016/j.jvs.2009.08.082. [DOI] [PubMed] [Google Scholar]
- 8.Chait J, Pavalonis A, Rajaee S, Hingorani A, Ascher E. Celiac artery vasculitis. Ann Vasc Surg. 2019;56:354.e17-354.e19. 10.1016/j.avsg.2018.08.106. [DOI] [PubMed] [Google Scholar]
- 9.Arteritis T. Imaging of pulmonary and abdominal manifestations of primary vasculitis. Rev Colomb Radiol. 2020;31(3):5389–95. [Google Scholar]
- 10.Allam MN, Baba Ali N, Mahmoud AK, Scalia IG, Farina JM, Abbas MT, et al. Multi-modality imaging in vasculitis. Diagnostics. 2024;14(8):838. [DOI] [PMC free article] [PubMed] [Google Scholar]
- 11.Nienhuis PH, Praagh Van GD, Glaudemans AW, Brouwer E, Slart RH. A review on the value of imaging in differentiating between large vessel vasculitis and atherosclerosis. J Pers Med. 2021. 10.3390/jpm11030236. [DOI] [PMC free article] [PubMed] [Google Scholar]
- 12.Allu SS, Tiriveedhi K. Isolated multifocal superior mesenteric artery vasculitis with coexisting superior mesenteric vein thrombosis: a unique coincidence. Cureus. 2021;13(10):2–5. [DOI] [PMC free article] [PubMed] [Google Scholar]
- 13.Pagnoux C, Mahr A, Cohen P, Guillevin L. Presentation and outcome of gastrointestinal involvement in systemic necrotizing vasculitides: analysis of 62 patients with polyarteritis nodosa, microscopic polyangiitis, Wegener granulomatosis, Churg-Strauss syndrome, or rheumatoid arthritis-associated. Medicine (Baltimore). 2005;84(2):115–28. [DOI] [PubMed] [Google Scholar]
- 14.Bossone E, Pluchinotta FR, Andreas M, Blanc P, Citro R, Limongelli G, et al. Aortitis. Vascul Pharmacol. 2016;80:1–10. [DOI] [PubMed] [Google Scholar]
- 15.Ali S, Doniparthi M, Asado N, Borgen K, Shapiro A. Isolated celiac artery vasculitis presenting as ileus in a patient with ulcerative colitis. ACG Case Rep J. 2024;11(4): e01335. 10.14309/crj.0000000000001335. [DOI] [PMC free article] [PubMed] [Google Scholar]
- 16.Garvey TD, Warrington KJ. Isolated gastrointestinal vasculitis. In: Salvarani C, Boiardi L, Muratore F, editors. Large and medium size vessel and single organ vasculitis. Cham: Springer; 2021. p. 211–23. [Google Scholar]
Associated Data
This section collects any data citations, data availability statements, or supplementary materials included in this article.
Data Availability Statement
All data and materials are available from the corresponding author upon request.

