Abstract
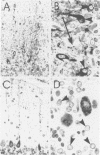
Rabies virus is a highly neuronotropic virus and glial cell infection is not prominent in the central nervous system (CNS). Paraffin-embedded tissues from the cerebella of skunks experimentally infected with either a skunk salivary gland isolate of street rabies virus or the challenge virus standard (CVS) strain of fixed rabies virus were examined with immunoperoxidase staining for rabies virus antigen by using an anti-rabies virus nucleocapsid protein monoclonal antibody. A skunk infected with street rabies virus showed prominent infection of Bergmann glia. Although infected Purkinje cells were observed, they usually demonstrated a relatively small amount of antigen in their perikarya. A CVS-infected skunk showed many intensely labeled Purkinje cells and a relatively small number of infected Bergmann glia. These findings indicate that although rabies virus is a highly neuronotropic virus, street rabies virus strains do not always demonstrate strict neuronotropism in the central nervous system.
Full text
PDF


Images in this article
Selected References
These references are in PubMed. This may not be the complete list of references from this article.
- Bourgon A. R., Charlton K. M. The demonstration of rabies antigen in paraffin-embedded tissues using the peroxidase-antiperoxidase method: a comparative study. Can J Vet Res. 1987 Jan;51(1):117–120. [PMC free article] [PubMed] [Google Scholar]
- Feiden W., Feiden U., Gerhard L., Reinhardt V., Wandeler A. Rabies encephalitis: immunohistochemical investigations. Clin Neuropathol. 1985 Jul-Aug;4(4):156–164. [PubMed] [Google Scholar]
- Feiden W., Kaiser E., Gerhard L., Dahme E., Gylstorff B., Wandeler A., Ehrensberger F. Immunohistochemical staining of rabies virus antigen with monoclonal and polyclonal antibodies in paraffin tissue sections. Zentralbl Veterinarmed B. 1988 May;35(4):247–255. doi: 10.1111/j.1439-0450.1988.tb00494.x. [DOI] [PubMed] [Google Scholar]
- Fekadu M., Chandler F. W., Harrison A. K. Pathogenesis of rabies in dogs inoculated with an Ethiopian rabies virus strain. Immunofluorescence, histologic and ultrastructural studies of the central nervous system. Arch Virol. 1982;71(2):109–126. doi: 10.1007/BF01314881. [DOI] [PubMed] [Google Scholar]
- Hattwick M. A., Hochberg F. H., Landrigan P. J., Gregg M. B. Skunk-associated human rabies. JAMA. 1972 Oct 2;222(1):44–47. [PubMed] [Google Scholar]
- Jackson A. C., Ye H., Phelan C. C., Ridaura-Sanz C., Zheng Q., Li Z., Wan X., Lopez-Corella E. Extraneural organ involvement in human rabies. Lab Invest. 1999 Aug;79(8):945–951. [PubMed] [Google Scholar]
- Krebs J. W., Smith J. S., Rupprecht C. E., Childs J. E. Rabies surveillance in the United States during 1998. J Am Vet Med Assoc. 1999 Dec 15;215(12):1786–1798. [PubMed] [Google Scholar]
- MATSUMOTO S. ELECTRON MICROSCOPE STUDIES OF RABIES VIRUS IN MOUSE BRAIN. J Cell Biol. 1963 Dec;19:565–591. doi: 10.1083/jcb.19.3.565. [DOI] [PMC free article] [PubMed] [Google Scholar]
- Müller T., Kettenmann H. Physiology of Bergmann glial cells. Int Rev Neurobiol. 1995;38:341–359. doi: 10.1016/s0074-7742(08)60530-9. [DOI] [PubMed] [Google Scholar]
- Smart N. L., Charlton K. M. The distribution of Challenge virus standard rabies virus versus skunk street rabies virus in the brains of experimentally infected rabid skunks. Acta Neuropathol. 1992;84(5):501–508. doi: 10.1007/BF00304469. [DOI] [PubMed] [Google Scholar]
- Stebbins E. L., Perkins J. E., Rogers E. S., Champlin R. D., Ames W. R. Prevalence of Pneumococcus Carriers: Specific Types in Epidemic and Non-Epidemic Areas. Am J Public Health Nations Health. 1940 Apr;30(4):349–360. doi: 10.2105/ajph.30.4.349. [DOI] [PMC free article] [PubMed] [Google Scholar]

