Full text
PDF





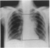
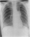
Images in this article
Selected References
These references are in PubMed. This may not be the complete list of references from this article.
- Coleman D. G., Beck E. J., Peters B. S., Harris J. R., Pinching A. J. Changing disease patterns in AIDS. BMJ. 1992 Mar 28;304(6830):839–839. doi: 10.1136/bmj.304.6830.839-a. [DOI] [PMC free article] [PubMed] [Google Scholar]
- Kaplan L. D., Abrams D. I., Feigal E., McGrath M., Kahn J., Neville P., Ziegler J., Volberding P. A. AIDS-associated non-Hodgkin's lymphoma in San Francisco. JAMA. 1989 Feb 3;261(5):719–724. [PubMed] [Google Scholar]
- Poelzleitner D., Huebsch P., Mayerhofer S., Chott A., Zielinski C. Primary pulmonary lymphoma in a patient with the acquired immune deficiency syndrome. Thorax. 1989 May;44(5):438–439. doi: 10.1136/thx.44.5.438. [DOI] [PMC free article] [PubMed] [Google Scholar]
- Sider L., Weiss A. J., Smith M. D., VonRoenn J. H., Glassroth J. Varied appearance of AIDS-related lymphoma in the chest. Radiology. 1989 Jun;171(3):629–632. doi: 10.1148/radiology.171.3.2717733. [DOI] [PubMed] [Google Scholar]
- Ziegler J. L., Beckstead J. A., Volberding P. A., Abrams D. I., Levine A. M., Lukes R. J., Gill P. S., Burkes R. L., Meyer P. R., Metroka C. E. Non-Hodgkin's lymphoma in 90 homosexual men. Relation to generalized lymphadenopathy and the acquired immunodeficiency syndrome. N Engl J Med. 1984 Aug 30;311(9):565–570. doi: 10.1056/NEJM198408303110904. [DOI] [PubMed] [Google Scholar]







