Abstract
Background
Deep bite is a common malocclusion characterized by reclining upper front teeth in adolescents and adults. Few studies using Clear Aligners (CA) have successfully corrected severe deep bites. The therapeutic failure was caused by the natural biting force of the patients. Align Technology® (Santa Clara, CA) introduced a specific protocol for Deep Bite correction based on SmartForce Aligner Activation. Specific regions of CA are designed to realize strategic contact areas between CA and the dental element to maximize the predictability of treatment. This study aims to investigate the skeletal and dentoalveolar effects of the SmartForce Aligner Activation Invisalign® G8 protocol in three adolescent patients (two females and one male, aged 11 to 14 years) with severe deep bites.
Case presentation
For each patient, intraoral and extraoral photographs, orthopantomographies, and teleradiographies were compared before and after orthodontic therapy using CA and SmartForce Aligner Activation. After two phases using CA, worn 20/22 hours daily, all patients reached a bilateral molar and canine Class I and flattened Spee curves. Post-treatment lateral teleradiographies showed skeletal, dental, and aesthetic improvements. Moreover, new photographs were collected with a one-year follow-up to appreciate the stability of the results.
Conclusions
Based on these findings, the SmartForce Aligner Activation protocol may be successful in the orthodontic management of deep bite growing patients.
Supplementary Information
The online version contains supplementary material available at 10.1186/s12903-025-05908-4.
Keywords: Deep bite, Clear Aligners, Growing patients, Orthodontics, Interceptive treatment
Background
Deep bite is a common malocclusion in adolescents and adults. It is characterized by reclining upper front teeth (tilted toward the roof of the mouth), which causes oral and aesthetic problems. Clear Aligners (CA) can treat deep bite malocclusion, but few studies have successfully corrected severe deep bites.
Facing deep bite with CA was difficult, due to the natural biting force of patients. This condition opposes the extrusive forces developed by CA on the posterior teeth. In 2014, Invisalign G5 Innovation System was proposed by Align Technology® (Santa Clara, CA) as a new protocol to solve deep bite malocclusion [1]. This treatment is characterized by specific features:
SmartForce pressure areas to obtain a direct intrusion on the long axis of anterior teeth.
Optimized attachments on bicuspids to serve as anchorage.
Precision bite ramps up to 3 mm in depth to allow posterior disocclusion and take advantage of biting forces during intrusion of incisors. Moreover, the bite ramps maintain anterior contact throughout the treatment [2–5].
The resolution of increased overbite with CA was previously evaluated by Khosravi et al. [6]. A bite opening of 1.5 mm median in the deep bite group was reported but mandibular incisor proclination was the primary bite opening mechanism. Still, this study was completed before the introduction of G5.
In 2021, the effects of the Invisalign G5 protocol were compared with the fixed appliance by Moshiri et al. Both systems resulted effective in opening deep bites at dentoalveolar and skeletal levels, showing more skeletal changes in patients treated with fixed appliances. In 2021, the G8 protocol with the new SmartForce Aligner Activation was introduced by Align Technology® to improve the predictability of the results in deep bite cases. Specific regions of CA are designed to provide optimal forces on teeth to guarantee the planned location, direction, and intensity of orthodontic forces. SmartForce Aligner Activation and SmartForce Features can realize a strategic contact area between CA and the dental element to maximize the predictability of treatment.
Invisalign G8 protocol’s improved the predictability of the treatment through four improvements [1]:
-on the lower lateral incisors it was placed the new G8 domed-shaped optimized attachment for the lower lateral incisor to give anchorage during their intrusion and prevent the aligner liftoff, this feature is triggered by the software when the prescribed intrusion is greater than 1 mm for either the adjacent canine or central incisor.
-Invisalign G8 helps to overcorrect the incisors intrusion on initial set up to flatten Curve of Spee. The software makes automatically this activaction.
-automatic placement of precision bite ramps for lower incisor intrusion when lower intrusion is greater than 1,5 mm in deep-bite cases.
-balanced anterior en masse intrusion. With Invisalign G8, en-masse intrusion is calibrated individually per tooth to provide optimal forces for teeth starting at different vertical positions.
Due to the lack of studies, this case series aimed to investigate the skeletal and dentoalveolar effects of the SmartForce Aligner Activation Invisalign® G8 protocol in three adolescent patients with severe deep bites.
Case presentation
Subjects’ selection
The patients were three Caucasian patients with a general medical history negative for illness and allergy. They had not received any previous orthodontic treatment. On clinical examination, the patients showed deep bite malocclusion with an average of 4 mm.
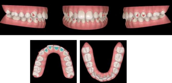
Case 1
The patient was a 14-year-old Caucasian. Facial photographs showed a convex profile because the lower lip of patient was 2 mm behind the Esthetic line of Ricketts [7] (a line drawn from the tip of the nose to the tip of the chin) instead of 1 mm along with with a hypo-divergent growth pattern and a reduced length of the lower third of the face (Fig. 1).
Fig. 1.
Pre-treatment intraoral and extraoral photographs and radiographic examination
At intraoral evaluation, the patients showed a strong contact of the mandibular incisors on the palatal mucosa and a deep curve of Spee. Moreover, photographs showed bilateral molar and canine Angle Class II and upper and lower crowding.
Orthopantomography showed a permanent dentition without tooth anomalies. The analysis of virtual models of the arches showed a narrow upper arch. The pre-treatment cephalometric analysis, according to Bjork, showed a skeletal Class II relationship (ANB 8°, Wits 6,5 mm). Referring to the anterior cranial base (SN plane: Sella-Nasion), the patient presented a retruded mandible (SNB 74°), along with a reduction of the angle (FMA) between the mandibular plane (ML) and Frankfort’s plane (FH) at the beginning of treatment (FMA = 19°). The overbite was increased at the beginning of treatment (OB = 7 mm) with retruded upper incisor (Sup/SN = 81°) and forward inclination of the lower incisor (IMPA = 97°). The overjet (OJ = 2 mm) was customary at the beginning of treatment Fig. 1. According to the cervical vertebral maturation method [8], the patient was in a post-pubertal phase (CS5). Treatment goals included improving the soft tissue profile and basal bone relationship through an increase of the mandibular third of the face and a sagittal advancement of the mandible. Correcting Spee’s curve and deep bite and curve involved managing the occlusal plane through the intrusion of mandibular incisors and extrusion of molars.
Treatment alternatives
The first treatment option was the extraction of the first upper premolars, but this choice could flatten the profile. The second option was upper distalization because the upper third molars were absent. Another option of treatment was MA (mandibular advancement feature), but this according to the authors was not the best option for the gravity of malocclusion. Due to severe deep bite the author preferred focused on vertical posterior adjustment to increase vertical posterior dimension giving a correct direction of growth. The major focus was the reduced posterior vertical dimension and in a minor way a sagittal discrepancy that requires starting with MA. Moreover, MA requires more therapy time since it needs a long initial time to eliminate occlusal interference to promote in a second phase mandibular advancement or better initial arch posterior conditions to start with MA, as a matter of fact MA’s precision wings prevent molar’s rotation greater than 20 degree as well as their expansion.
Treatment objectives and treatment plan
Upper and mandibular arch digital impressions and bite registration were taken with an iTero Element intraoral scanner. An Invisalign® “Comprehensive” package was chosen, as it allowed to ask for a multi-phase treatment. The patient wore aligners at least 20/22 hours daily, except for meals and brushing teeth. The patient was motivated to maintain good oral hygiene. The first phase of treatment was performed in the permanent dentition:precision cuts for Class II elastics and horizontal rectangular attachments were placed over mandibular first molars to guarantee the anchorage. Horizontal rectangular attachments were also placed on the second mandibular right bicuspid and left mandibular canine to enhance the anchorage using elastics. A vertical traditional attachment was placed on the second mandibular left bicuspid to allow the derotation. Optimized attachments were placed on the lateral mandibular incisors, the first right and left premolars, and the first left premolar to improve the flattening the curve of Spee and the dental arch espansion. The intrusion of incisors and second molars was planned with the extrusion of second premolars and first molars to level the curve of Spee and increase the posterior vertical dimension. Optimized attachments on the maxillary arch were placed on the first, second premolars, and first molar to increase the predictability of extrusion and levelling the curve of Spee. An anterior extrusion was planned using traditional bite ramps and power ridges. Power ridge are small ridges placed on the aligners surface which applying a gentle pressure on the aligner surface makes incisors proclination more predictable [9].Achieved this objective in the first phase they were not included in the second phase on central incisors to provide their proclination. Like the lower arch, molar extrusion was intended to increase the posterior vertical dimension. Precision cuts were put on maxillary canines for Class II elastics to promote mandibular advancement. Class II elastics (3 M Unitek) 3 mm x128 gr (medium force) worn 20–22 h/day. Figure 2.
Fig. 2.
Treatment plan, phase I
Treatment progress
The first phase finished after six months of therapy and involved 26 aligners with weekly changes. The second phase was of 23 aligners was performed when the patient was 14.8 years old. A 7-day aligner change protocol was adopted. The second phase of treatment involved the same attachments as the first phase, with a new rectangular horizontal attachment on the first right maxillary premolar. Class II elastics were used like the first phase, but cuts for buttons replaced the precision cuts on mandibular first molars. During the first phase of treatment it were placed precision cuts-out on the mandibular first molar to promote mandibular advancement, in the second phase precision cuts-out were replaced by a button cut-out to have a more dental effect such as mandibular molar extrusion and increase in posterior vertical dimension to open the bite. At the same time on the first upper premolar in phase I it was put an optimized attachment for expansion and rotation, in second phase it was replaced by rectangular attachment for its extrusion. She wore aligners 20/22 hours a day in the first phase. The treatment plan was the same as the first phase. Smart Aligners Activation was managed according to G8 protocol, with precision bite ramps on central and lateral incisors to improve anterior intrusion and posterior extrusion. Smart Aligner Activation was performed on mandibular central and lateral incisors and canines. In contrast, in the upper arch, it was applied on central and lateral incisors, first and second premolars, and first molars. Figure 3.
Fig. 3.
Treatment plan, phase II
Results
A clinical examination showed at the end of the second set of aligners:
-Molar and canine Class I on the right and left sides.
-Anterior upper and lower intrusion, along with proper incisor inclination and correct overjet and overbite;.
-Spee curve flattened (using the Clincheck’s grid tool, it was possible to add a add a quantitative analysis of the Spee curve flattening comparing data before and after treatment): Start of treatment. 2,5 mm, end of treatment 0,20 mm.
-
-Increase of vertical dimension through anterior intrusion and posterior extrusion of molars and premolars.
Follow-up orthopantomography showed good root parallelism without any sign of apical root resorption or bone resorption.
Post-treatment lateral teleradiography showed skeletal, dental, and aesthetic changes (Table 1; Fig. 4).
-Skeletal outcomes: cephalometric analysis, according to Bjork, showed a skeletal Class II relationship (ANB 6,7°, Wits:3 mm). Referring to the anterior cranial base (SN plane: Sella-Nasion), there was a slight mandibular advancement (SNB = 74,3°) and vertical position of the mandible with an increase of the angle (FMA) between the mandibular plane (ML) and Frankfort’s plane (FH) at the end of treatment (FMA = 21°).
-Dental outcomes: the inclination of upper incisors increased at the end of treatment (Sup/SN = 89°) with a flat curve of Spee and properly overjet (OJ = 3 mm) and overbite (OB = 4 mm). The inclination of mandibular incisors increased at the end of treatment (IMPA = 103°) with an increased inclination of the upper incisor (Sup/SN = 89°).
-Aesthetic outcomes: the soft tissue changes involved a straight profile with the jaws proportionately positioned in the sagittal plane. On a frontal view, it was observed an increase in the anterior vertical dimension and an ideal smile arc.
Table 1.
Cephalometric values in case I
| Values | Pre-treatment | Post-treatment | Mean | SD |
|---|---|---|---|---|
| SNA(degrees) | 82 | 81 | 81,5 | 3,7 |
| SNB(degrees) | 74 | 74,3 | 74,15 | 3,8 |
| ANB(degrees) | 8 | 6,7 | 7,35 | 1,8 |
| FMA(degrees) | 19 | 21 | 20 | 4 |
| U1/SN (degrees) | 81 | 89 | 85 | 6,6 |
| IMPA(degree) | 97 | 103 | 100 | 3,5 |
| Wits (mm) | 6,5 | 3 | 4,7 | 1,7 |
| Overjet (mm) | 2 | 3 | 2,5 | 2 |
| Overbite (mm) | 7 | 4 | 5,5 | 5,5 |
Legend: SNA, Sella-Nasion-Subspinale Angle (S: Sella; N:Nasion; A:subspinale point); SNB, Sella-Nasion-Supramentale Angle (S: Sella; N:Nasion; B:supramentale point); ANB, Subspinale- Nasion-Supramentale Angle; FMA, Frankfort Mandibular Plane Angle; U1- SN, Upper Incisor to Sella-Nasion Angle; IMPA, Incisor Mandibular Plane Angle; Wits, Wits Appraisal; Overjet, horizontal overlap of the incisors; Overbite, vertical overlap of the incisors
Fig. 4.
Post-treatment intraoral and extraoral photographs, and radiographic examination
Post-treatment lateral teleradiography showed a significant improvement in the sagittal bone relationship, an increase in the vertical dimension, and a correct inclination of upper and mandibular incisors. A good proportion of the upper and mandibular arch width and shape and a flat Spee curve were achieved. The Spee curve flattening was achieved through posterior extrusion and anterior intrusion enhanced by the Invisalign® G8 Smartforce Aligner Activation. Functional and esthetic outcomes were stable at one-year follow-up (Fig. 5).
Fig. 5.

One-year follow-up and superimposition of dental arches before and after orthodontic therapy
Case 2
The patient was a 12-year-old Caucasian female. Facial photographs showed a convex profile because the lower lip of patient was 2 mm behind the Esthetic line of Ricketts [7] (a line drawn from the tip of the nose to the tip of the chin) instead of 1 mm along with a hypo-divergent growth pattern and a reduced length of the lower third of the face (Fig. 6). Intraoral photographs showed increased overbite with a deep curve of Spee, a strong contact of the mandibular incisors on the palatal mucosa, and upper and lower crowding. The upper right lateral incisor was extruded with a negative inclination. Moreover, photographs showed bilateral molar and canine Angle Class I. The orthopantomography revealed a permanent dentition without tooth anomalies. The pre-treatment cephalometric analysis, according to Bjork, showed a skeletal Class I relationship (ANB 2°, Wits: -1 mm). Referring to the anterior cranial base (SN plane: Sella-Nasion), the patient presented an average position of the mandible (SNB 78°), with a normal angle (FMA) between the mandibular plane (ML) and Frankfort’s plane (FH) at the beginning of treatment (FMA = 23°). The overbite was increased at the beginning of treatment (OB = 5 mm) with the normal position of the upper incisor (Sup/SN = 105°) and normal inclination of the lower incisor (IMPA = 87°) (Fig. 6). At the same time, the overjet was normal (OJ = 2 mm). According to the cervical vertebral maturation method [1], the patient was in a pre-pubertal phase (CS2). Treatment goals included correcting Spee’s curve and deep bite and curve and managing the occlusal plane through the intrusion of mandibular incisors and extrusion of molars and premolars. (Fig. 6).
Fig. 6.
Pre-treatment intraoral and extraoral photographs, and radiographic examination
Treatment plan
Upper and mandibular arch digital impressions and bite registration were taken with an iTero Element intraoral scanner. An Invisalign® “Comprehensive” package was chosen, as it allowed to ask for a multi-phase treatment. The patient wore aligners at least 20/22 hours daily, except for meals and brushing teeth. The patient was motivated to maintain good oral hygiene. The first phase of treatment was performed in the permanent dentition: optimized attachments, to increase the predictability of the dental extrusion, were placed on the upper and lower canines, as well as on the lower right first premolar and the upper left first premolar. The intrusion of mandibular incisors and the extrusion of second premolars and first molars were planned to level the curve of Spee. The Invisalign® G8 SmartForce Aligner Activation was managed to improve anterior intrusion and posterior extrusion (Fig. 7).
Fig. 7.
Treatment plan, phase I
An anterior intrusion was planned using precision bite ramps. The lower arch, molar, and premolar extrusions were intended to increase the posterior vertical dimension. The first phase finished after five months of therapy with 19 aligners and weekly changes. The second phase was of 20 aligners scheduled when the patient was 13.5 years old. A 7-day aligner change protocol was adopted. The second phase of treatment involved the same attachments of the first phase, with power ridges on central mandibular incisors till the ninth aligner. Power ridge are small ridges placed on the aligners surface which applying a gentle pressure on the aligner surface makes incisors proclination more predictable [9]. She wore aligners 20/22 hours a day in the first phase. The treatment plan was the same as the first phase. To improve anterior intrusion and posterior extrusion, the Invisalign ® G8 SmartForce Aligner Activation was performed on mandibular central and lateral incisors (Fig. 8).
Fig. 8.
Treatment plan, phase II. Post-treatment intraoral and extraoral photographs and radiographic examination
Results
At the end of the second set of aligners, clinical examination showed:
-Molar and canine Class I on right and left sides.
-Anterior upper and lower intrusion.
-Correct overjet and overbite.
-
-Spee curve flattened (using the Clincheck’s grid tool, it was possible to add a add a quantitative analysis of the Spee curve flattening comparing data before and after treatment):
Start of treatment 2,5 mm, end of treatment 0,75 mm.
-Increase of vertical dimension through anterior intrusion and posterior extrusion of molars and premolars. Follow-up orthopantomography showed good root parallelism without any sign of apical root resorption or bone resorption. Post-treatment lateral teleradiography showed skeletal, dental, and aesthetic changes (Table 2; Fig. 9).
-Skeletal outcomes: according to Bjork, the cephalometric analysis showed a skeletal Class I relationship (ANB 2°, Wits: -1,5 mm). Referring to the anterior cranial base (SN plane: Sella-Nasion), there was slight mandibular advancement (SNB = 79°) and an increase in the vertical dimension. The angle (FMA) between the mandibular plane (ML) and Frankfort’s plane (FH) at the end of treatment was 24° degrees.
-Dental outcomes: the inclination of upper incisors increased at the end of treatment (Sup/SN = 106°) with a flat curve of Spee with overjet (OJ = 3 mm) and reduced overbite (OB = 3 mm). The inclination of mandibular incisors increased at the end of treatment (IMPA = 88°) with an increased inclination of the upper incisors (Sup/SN = 106°).
-Aesthetics outcomes: the soft tissue changes involved a straight profile with the jaws proportionately positioned in the sagittal plane. On a frontal view, the patient showed an increase in the anterior vertical dimension and an ideal smile arc.
Table 2.
Cephalometric values
| Values | Pre-treatment | Post-treatment | Mean | SD |
|---|---|---|---|---|
| SNA(degrees) | 81 | 81 | 81 | 3,7 |
| SNB(degrees) | 78 | 79 | 78,5 | 3,8 |
| ANB(degrees) | 3 | 2 | 3,5 | 1,8 |
|
FMA (degrees) |
23 | 24 | 23,5 | 4 |
| U1/SN (degrees) | 105 | 106 | 105,5 | 6,6 |
| IMPA(degree) | 87 | 88 | 87,5 | 3,5 |
| Wits (mm) | -1 | -1,5 | -1,25 | 1,7 |
| Overjet (mm) | 2 | 3 | 2,5 | 2 |
| Overbite (mm) | 5 | 3 | 4 | 5,5 |
Legend: SNA, Sella-Nasion-Subspinale Angle (S: Sella; N:Nasion; A:subspinale point); SNB, Sella-Nasion-Supramentale Angle (S: Sella; N:Nasion; B:supramentale point); ANB, Subspinale- Nasion-Supramentale Angle; FMA, Frankfort Mandibular Plane Angle; U1- SN, Upper Incisor to Sella-Nasion Angle; IMPA, Incisor Mandibular Plane Angle; Wits, Wits Appraisal; Overjet, horizontal overlap of the incisors; Overbite, vertical overlap of the incisors
Fig. 9.
Post-treatment intraoral and extraoral photographs, and radiographic examination
Clinical and radiological evaluations showed a significant improvement in the sagittal bone relationship, an increase in the vertical dimension, and a correct inclination of upper and mandibular incisors. A good proportion of the upper and mandibular arch width and shape and a flat Spee curve were achieved. The Spee curve improvements were achieved through poster extrusion and anterior intrusion enhanced by the Invisalign® G8 Smartforce Aligner Activation. Functional and esthetic outcomes were stable at one-year follow-up (Fig. 10).
Fig. 10.
One-year follow up
Case 3
The patient was an 11-year-old Caucasian male. Facial photographs revealed a convex profile because the lower lip of patient was 2 mm behind the Esthetic line of Ricketts [7] (a line drawn from the tip of the nose to the tip of the chin) instead of 1 mm along with with a hypo-divergent growth pattern and a reduced length of the lower third of the face (Fig. 11). Intraoral photographs showed increased overbite with a deep curve of Spee, a strong contact of the mandibular incisors on the palatal mucosa, and upper and lower crowding. Clinical evaluation revealed bilateral molar and canine Angle Class II. Looking at the lateral photographs, the distance between the inferior lip and Ricketts’s facial aesthetic line was 2 mm instead of 1 mm [7]. Moreover, the nasolabial angle was 118 degrees instead of 112 degrees. Orthopantomography revealed a permanent dentition without tooth anomalies; the analysis of virtual models of the arches showed a narrow upper arch. (Fig. 11). The pre-treatment cephalometric analysis, according to Bjork, showed a skeletal Class II relationship (ANB 5°, Wits: 4 mm). Referring to the anterior cranial base (SN plane: Sella-Nasion), the patient presented a retruded position of the mandible (SNB 76°), with a reduced angle (FMA) between the mandibular plane (ML) and Frankfort’s plane (FH) at the beginning of treatment (FMA = 19°). The overbite was increased at the beginning of treatment (OB = 6 mm) with retruded upper incisors (Sup/SN = 98°) and forward inclination of the lower incisor (IMPA = 95°) (Table 3). At the same time, the overjet was increased (OJ = 1,5 mm). According to the cervical vertebral maturation method [1], the patient was between CS3 and CS4. Treatment goals included correcting Spee’s curve and deep bite, managing the occlusal plane through the intrusion of mandibular incisors and extrusion of molars and premolars.
Fig. 11.
Pre-treatment intraoral and extraoral photographs, and radiographic examination
Table 3.
Cephalometric values
| Values | Pre-treatment | Post-treatment | Mean | SD |
|---|---|---|---|---|
| SNA(degrees) | 82 | 82 | 82 | 3,7 |
| SNB(degrees) | 76 | 78 | 77 | 3,8 |
| ANB(degrees) | 6 | 4 | 5 | 1,8 |
| FMA(degrees) | 19 | 21 | 20 | 4 |
| U1/SN (degrees) | 98 | 101 | 99 | 6,6 |
| IMPA(degree) | 95 | 96 | 95 | 3,5 |
| Wits (mm) | 4 | 2 | 3 | 1,7 |
| Overjet (mm) | 1,5 | 2 | 1,7 | 2 |
| Overbite (mm) | 6 | 3 | 4,5 | 5,5 |
Legend: Sella-Nasion-Subspinale Angle (S: Sella; N:Nasion; A:subspinale point); SNB, Sella-Nasion-Supramentale Angle (S: Sella; N:Nasion; B:supramentale point); ANB, Subspinale- Nasion-Supramentale Angle; FMA, Frankfort Mandibular Plane Angle; U1- SN, Upper Incisor to Sella-Nasion Angle; IMPA, Incisor Mandibular Plane Angle; Wits, Wits Appraisal; Overjet, horizontal overlap of the incisors; Overbite, vertical overlap of the incisors
Treatment alternatives
The first treatment option was to extract the first upper premolars, but this choice could flatten the profile. The second option was upper distalization because of the absence of the upper third molar. However, this could flatten the profile similarly, so the best option was to promote mandibular advancement by Class II elastics. Another option of treatment was MA (mandibular advancement feature), but this according to the authors was not the best option due to gravity of malocclusion. Due to severe deep bite the author preferred focused on vertical posterior adjustment to increase vertical posterior dimension giving a correct direction of growth. The major focus was the reduced posterior vertical dimension and in a minor way a sagittal discrepancy that requires starting with MA. Moreover, MA feature, requires more therapy time since it needs a long initial time to eliminate occlusal interference to promote in a second phase mandibular advancement or better initial arch posterior conditions to start with MA.
Treatment plan
Upper and mandibular arch digital impressions and bite registration were taken with an iTero Element intraoral scanner. An Invisalign® “Comprehensive” package was chosen, as it allowed to ask for a multi-phase treatment. The patient wore aligners at least 20/22 hours a day, except for meals and teeth brushing. The patient was motivated to maintain good oral hygiene. The first phase of treatment was performed in the permanent dentition: optimized attachments, to increase dental expansion and extrusion, were placed on the upper right and left second premolars, and on the first left molar and the upper left lateral incisor to guarantee a better root control. Traditional horizontal attachments were placed on the upper right first molar to improve dental extrusion and upper left canine to allow good root control and the anchorage. On the upper right canine, there was a conventional vertical attachment to enhance the anchorage of elastics. For the same reason, traditional horizontal attachments were placed on the lower first molars and second left premolar. Optimized attachments were placed on lateral lower incisors, first and second right premolars, and right canine to promote the flattening of the curve of Spee. For this reason, in the mandibular arch, an intrusion of incisors and extrusion of second premolars and first molars to level the curve of Spee were planned anterior intrusion in the upper arch. To improve anterior intrusion and posterior extrusion, the Invisalign® G8 SmartForce Aligner Activation on upper incisors, first and second premolars, and first molars in the right and left upper arch, along with precision bite ramps in the upper arch was managed. The aim was to increase posterior vertical dimension through the anterior intrusion of incisors and posterior extrusion of molars and premolars (Fig. 12). Cuts for bottoms were put on the lower first right and left molars, with precision cuts on the upper first right and left premolars for Class II elastics to promote mandibular advancement. Class II elastics (3 M Unitek) 3 mm x128 gr (medium force) worn 20–22 h/day. The first phase finished after six months of therapy and involved 31 aligners with weekly changes.
Fig. 12.

Treatment plan, phase I
The second phase, 30 aligners, started when the patient was 11.6 years old and lasted seven months. A 7-day aligner change protocol was adopted. The second phase of treatment involved the same attachments of the first phase with the addition of optimized attachments on the left lower canine and on the upper right lateral incisor for root control movement whereas on the right upper lateral incisor, a new optimized attachment to foster the root control.
The patient wore aligners for 20/22 hours daily as the first phase and class II 3mmx184 gr (high force) elastics (3 M Unitek) for 20/22 hours. The treatment plan was the same as the first phase. To improve anterior intrusion and posterior extrusion, Invisalign® G8 SmartForce aligner activation was performed on maxillary incisors, first molars, and first and second premolars on the right and left sides (Fig. 13).
Fig. 13.
Treatment plan, phase II
The third phase involved 15 aligners and started when the patient was 12.6 years old. This phase was performed without attachments. The patient wore aligners 2/3 hours/day and all nights with a change every 21/28 days. The third phase was a dynamic maintenance which consist in wearing aligners during the night and three hours a day for final finishing to drive natural growth of patient.
Results
At the end of the third set of aligners, clinical examination showed:
-Molar and canine Class I on right and left sides.
-Anterior upper and lower intrusion.
-Correct overjet and overbite.
-The curve of Spee flattened (using the Clincheck’s grid tool, it was possible to add a add a quantitative analysis of the Spee curve flattening comparing data before and after treatment), start of treatment 3 mm, end of treatment 0,75 mm;.
-Increase of vertical dimension through anterior intrusion and posterior extrusion of molars and premolars.
-Alignment of upper and lower arches.
Follow-up orthopantomography showed good root parallelism without apical root resorption or bone resorption. Post-treatment lateral teleradiography showed skeletal, dental, and aesthetic changes (Table 3; Fig. 14).
-Skeletal outcomes: according to Bjork, the cephalometric analysis showed a skeletal Class I relationship (ANB 4°, Wits: 2 mm). Referring to the anterior cranial base (SN plane: Sella-Nasion), there was mandibular advancement (SNB = 78°) and an increase in the vertical dimension. The angle (FMA) between the mandibular plane (ML) and Frankfort’s plane (FH) at the end of treatment was 21°.
-Dental outcomes: the inclination of upper incisors increased at the end of treatment (Sup/SN = 101°) along with a flat curve of Spee with overjet (OJ = 2 mm) and reduced overbite (OB = 3 mm). The inclination of mandibular incisors increased at the end of treatment (IMPA = 96°).
-Aesthetics outcomes: the soft tissue changes involved a straight profile with the jaws proportionately positioned in the sagittal plane. On a frontal view, the patient showed an increase in anterior vertical dimension along with an ideal smile arc.
Fig. 14.
Post-treatment intraoral-extraoral photographs, and radiographic examination
Clinical and radiological evaluations showed a significant improvement in the sagittal bone relationship, an increase in the vertical dimension, and a correct inclination of upper and lower incisors (Table 3). A good proportion of the upper and mandibular arch width and shape and a flat Spee curve were achieved. The Spee curve improvements were achieved through posterior extrusion and anterior intrusion enhanced by the Invisalign® G8 SmartForce Aligner Activation. Functional and esthetic outcomes were stable at one-year follow-up (Fig. 15).
Fig. 15.
Post-treatment intraoral-extraoral photographs and superimposition of dental arches before and after orthodontic therapy
Discussion
Many authors reported that three elements which determine dental occlusal relationships are (1) potential differential maxillary and mandibular skeletal growth expressed along the occlusal plane; (2) the natural change in the cant of the occlusal plane during growth and development; and (3) the Leeway space [8]. Occlusal plane inclination develops an anterior rotation during growth, both concerning the cranial base, Frankfort plane, and palatal plane [9]. Each degree of occlusal plane rotation will result in a half-millimeter change in the dental occlusal relationship [10]. Class II facial types show an anterior rotation of the occlusal plane and mandible [11]. These characteristics are detected also in short-face patients. Therefore, interceptive treatment is essential to control the vertical growth of upper teeth in growing patients [12]. According to many authors, the mandibular growth is inversely proportional to the amount of change in the inclination of the occlusal plane, during the orthodontic therapy of Class II patients [11, 13]. Blundell et al., evaluating 102 patients, affirmed that the G8 Smartforce Aligner Activation can enhance overbite reduction in growing patients [2]. Similar results were found by Moshiri et al., detecting an improvement in lower incisor intrusion using the G8 protocol [1]. This case series shows the reduction of deep bite in three adolescent patients with an average of 2,5 mm, despite the muscular forces that close the bite in hypo-divergent patients. The treatment plan involving posterior extrusion, anterior intrusion, and Class II elastics caused an increase in posterior vertical dimension and rotation of the mandible (Tables 1, 2 and 3). In the past, treating a malocclusion with a deep bite with CA was challenging and time-consuming [14, 15]. Today, the G8 protocol with the SmartForce Aligner Activation represents an efficient technique to manage and intercept this malocclusion. Following this plan, selected regions of CA are shaped to plan specific forces to minimize unwanted movements. Furthermore, specific strategic contact areas are realized to obtain predictable treatment.
The correction of occlusal interference gave correct input to natural mandibular growth promoting its advancement. Functional and esthetic outcomes were stable at one-year follow-up (Fig. 5–Figs. 10, 11, 12, 13, 14 and 15) in all patients of this study. Referring to the treated cases, the duration of therapy (about 18 months) was in line with conventional approaches.
In all three patients, the axial intrusion of upper and incisors was obtained by means of G8 protocol’s improvements:
-on the lower lateral incisors was placed the new G8 domed-shaped optimized attachment for the lower lateral incisor to give anchorage during their intrusion and prevent the aligner liftoff, this feature is triggered by the software when the prescribed intrusion is greater than 1 mm for either the adjacent canine or central incisor.
-Invisalign G8 helps to overcorrect the incisors intrusion to flatten Curve of Spee. The software makes automatically this activaction.
-automatic placement of precision bite ramps for lower incisor intrusion when lower intrusion is greater than 1,5 mm.
-balanced anterior en masse intrusion. With Invisalign G8, en-masse intrusion is calibrated individually per tooth to provide optimal forces for teeth starting at different vertical positions. Leveling the curve of Spee is another result that occurs supporting the anterior intrusion of this protocol: contouring select areas of CA guarantees the final flattening of this curve. In all three patients, the SmartForce Aligner Activation was applied on the upper and lower central and lateral incisors, upper and lower premolars, and upper and lower molars to level with more control and predictability the curve of Spee.
The patient showed in case 1 was in a post pubertal phase (CS5) this means that the forward positioning of the mandible observed post-treatment was a result of appliance therapy and partly to residual growth. Patients showed in case 2 and 3, instead, were in a pubertal phase so this means that the final position of the mandible was due not only to therapy but also to their natural growth. Treatment plan provided to eliminate occlusal interference that hindered mandibular advancement.
The correction of occlusal interference gave correct input to natural mandibular growth promoting its advancement. Functional and esthetic outcomes were stable at one-year follow-up (Fig. 5–Figs. 10, 11, 12, 13, 14 and 15) in all patients of this study. Referring to the treated cases, the duration of therapy (about 18 months) was in line with conventional approaches.
Conclusions
This study presents the findings of a Comprehensive treatment using CA for correcting deep bite malocclusion in teenage patients. While it is essential to wait for longer follow-up before making definitive recommendations, our study suggests that using the G8 protocol with the SmartForce Aligner Activation may help address sagittal growth development and achieve reasonable vertical control of the occlusal plane. However, the main limitation of our study is the small sample size. Further research is needed to investigate the effectiveness of aligner treatment in controlling the vertical occlusal plane in growing patients.
Electronic supplementary material
Below is the link to the electronic supplementary material.
Acknowledgements
Not applicable.
Abbreviations
- CA
Clear Aligners
- MA
Mandibular Advancement feature
Author contributions
Conceptualization, S.M. and V.V., methodology, S.M. and V.V..; software, S.M.,.; validation, V.V. and D.G; formal analysis, D.G.,; investigation, V.V.; resources, S.M.; data curation, D.G.; writing—original draft preparation, V.V.; writing—review and editing. V.V., S.M. and D.G.; visualization, V.V.; supervision, S.M..; project administration, V.V., S.M. and D.G. All authors have read and agreed to the published version of the manuscript.
Funding
This research received no external funding.
Data availability
Data and materials supporting the results or analyses presented in the present paper are available upon reasonable request to the corresponding author.
Declarations
Ethics approval and consent to participate
The study was conducted in accordance with the Declaration of Helsinki. The authors declare they have ethics approval and consent to publish their personal and clinical details in this case series. This study was approved by the Ethics Committee on Human Research of the European University of Valencia, Spain. The ethical approval was obtained before accessing retrospective data. (reference number: CI/2023 − 358).
Consent for publication
Legal guardians of the patients gave written informed consent for their personal or clinical details along with any identifying images to be published in this study consent to publish their personal and clinical details in this case series.
Competing interests
The authors declare no competing interests.
Footnotes
Publisher’s note
Springer Nature remains neutral with regard to jurisdictional claims in published maps and institutional affiliations.
References
- 1.Moshiri M, Kravitz ND, Nicozisis J, Miller S. Invisalign eighth-generation features for deep-bite correction and posterior arch expansion. Semin Orthod Volume. 2021;27(3):175–8.
- 2.Blundell HL, Weir T, Meade MJ. Deep overbite reduction in adolescent patients treated with invisalign: A retrospective analysis. J Orthod Dentofac Orthop 2024;:S0889-5406(24)00276-2. [DOI] [PubMed]
- 3.Henick D, Dayan W, Dunford R, Warunek S, Al-Jewair T. Effects of invisalign (G5) with virtual bite ramps for skeletal deep overbite malocclusion correction in adults. Angle Orthod. 2021;91(2):164–70. 10.2319/072220-646. [DOI] [PMC free article] [PubMed] [Google Scholar]
- 4.Greco M, Rombolà A. Precision bite ramps and aligners: an elective choice for deep bite treatment. OrthodAm J Orthod Dentofac Orthop. 20222023;49(2):213–20. [DOI] [PubMed]
- 5.Shahabuddin N, Kang J, Jeon HH. Predictability of the deep overbite correction using clear aligners. Am J Orthod Dentofac Orthop. 2023;163(6):793–801. [DOI] [PubMed] [Google Scholar]
- 6.Khosravi R, Cohanim B, Hujoel P, Daher S, Neal M, Liu W, Huang G. Management of overbite with the invisalign appliance. Am J Orthod Dentofac Orthop. 2017;151(4):691–e6992. [DOI] [PubMed] [Google Scholar]
- 7.Ricketts RM. Esthetics, environment, and the law of lip relation. Am J Orthod. 1968;54:272–89. [DOI] [PubMed] [Google Scholar]
- 8.Baccetti T, Franchi L, McNamara JA Jr. An improved version of the cervical vertebral maturation (CVM) method for assessing mandibular growth. Angle Orthod. 2002;72(4):316–23. [DOI] [PubMed] [Google Scholar]
- 9.Simon M, Keilig L, Schwarze J, Jung BA, Bourauel C. Treatment outcome and efficacy of an aligner technique–regarding incisor torque, premolar derotation and molar distalization. BMC Oral Health 2014 Jun 11;14:68. [DOI] [PMC free article] [PubMed]
- 10.Janson G, Sathler R, Fernandes TMF, Castello Branco NC, Freitas MR. Correction of class II malocclusion with class II elastics: a systematic review. Am J Orthod Dentofac Orthop. 2013;143:383–92. [DOI] [PubMed] [Google Scholar]
- 11.Vukusic N, Mureti L. Change in the inclination of the occlusal plane during craniofacial growth and development. Coll Antropol. 2000;24:145–50. [PubMed] [Google Scholar]
- 12.Braun S, Legan HL. Changes in occlusion related to the cant of the occlusal plane. Am J Orthod Dentofac Orthop. 1997;111:184–8. [DOI] [PubMed] [Google Scholar]
- 13.Li JL, Kau CH, Wang M. Changes of occlusal plane inclination after orthodontic treatment in different dentoskeletal frames. Prog Orthod. 2014;15:41. [DOI] [PMC free article] [PubMed] [Google Scholar]
- 14.Tovstein BC. Behavior of the occlusal plane and related structures in the treatment of class II malocclusion. Angle Orthod. 1955;25:189–98. [Google Scholar]
- 15.Tanaka EM, Sato S. Longitudinal alteration of the occlusal plane and development of different dentoskeletal frames during growth. Am J Orthod Dentofac Orthop. 2008;134:e6021–1. [DOI] [PubMed]
Associated Data
This section collects any data citations, data availability statements, or supplementary materials included in this article.
Supplementary Materials
Data Availability Statement
Data and materials supporting the results or analyses presented in the present paper are available upon reasonable request to the corresponding author.













