Abstract
Background
Senescence in stem cells and progenitor cells can be particularly detrimental because these cells are essential for tissue renewal and overall organismal homeostasis. In mesenchymal stromal cells (MSCs), which comprise a heterogeneous mix of stem cells, progenitors, fibroblasts, and other stromal cells, senescence poses a significant challenge, as it impairs their ability to support tissue repair and maintenance. This decline in regenerative capacity can contribute to aging-related diseases, impaired wound healing, and degenerative disorders.
One hallmark of senescence is resistance to apoptosis, mediated by activation of anti-apoptotic pathways. Consequently, senotherapeutics have emerged as a promising strategy to selectively eliminate senescent cells and promote healthy aging. Plant secondary metabolites, notably polyphenols and terpenes, exhibit diverse effects on living organisms and have served as medicinal agents.
Methods
In this study, we investigated four terpenes—carvacrol, thymol, eugenol, and lycopene—for their senolytic potential in human senescent MSCs.
Results
We found that these compounds induce apoptosis through both caspase-dependent and caspase-independent mechanisms, involving the activation of BAX, cytochrome c release, and translocation of apoptosis-inducing factor (AIF) from mitochondria to nuclei. Importantly, terpene-induced apoptosis was associated with a significant increase in reactive oxygen species, and pre-incubation with glutathione partially rescued cell viability, confirming oxidative stress as a central trigger. Moreover, we identified SRC pathway modulation as a critical determinant of the senescence-to-apoptosis shift, highlighting a key regulatory switch in terpene action.
Conclusions
These findings provide a detailed mechanistic dissection of terpene-induced senolysis and underscore their potential as promising candidates for senotherapeutics targeting senescent cells.
Supplementary Information
The online version contains supplementary material available at 10.1186/s13287-025-04310-9.
Keywords: Senescence, Apoptosis, Senolytics, Terpenes, Mesenchymal stromal cells
Introduction
Organismal aging is associated with several chronic diseases and mild inflammation. At the cellular level, aging involves lysosomal and mitochondrial dysfunction, accumulation of non-functional/misfolded proteins, oxidative damage to carbohydrates and lipids, and DNA damage. These events culminate in the accumulation of senescent cells and a decline in stem and progenitor cell populations. Importantly, these phenomena are interconnected, and therapeutic interventions targeting one event may attenuate others. For instance, reducing the number of senescent cells in tissues and organs decreases inflammation, improves tissue homeostasis, and delays organismal aging [1, 2].
Senescence in stem cells and progenitor cells can be particularly detrimental because these cells are essential for tissue renewal and overall organismal homeostasis. For example, in mesenchymal stromal cells (MSCs), which comprise a heterogeneous mix of stem cells, progenitors, fibroblasts, and other stromal cells, senescence poses a significant challenge, as it impairs their ability to support bone, cartilage, and adipose tissue formation, as well as tissue repair and maintenance. This decline in regenerative capacity can contribute to aging-related diseases, impaired wound healing, and degenerative disorders [3].
A senescent cell loses its physiological role and adopts new functions, primarily through the secretion of the senescent-associated secretory phenotype (SASP). The SASP comprises various factors that act in an autocrine, paracrine, or endocrine manner to reinforce the senescence process, induce senescence in healthy cells (secondary senescence), promote inflammation, and either block or promote cancer, depending on environmental conditions [4, 5].
Senescent cells, like cancer cells, resist apoptosis due to the activation of anti-apoptotic pathways, including BCL2, BCLXL signaling; PI3K-AKT; P53-MDM2; Ephrins-related signaling; HIFA; HSP90 [1, 2]. Collectively, these pathways are referred to as senescent cell anti-apoptotic pathways (SCAPs). In this context, a new class of drugs known as senotherapeutics is under scrutiny for delaying aging and associated diseases as part of a strategy aimed at promoting healthy aging and well-being during the last phase of life. Senotherapeutics encompass senomorphics and senolytics, the latter of which selectively kill senescent cells by exploiting their high resistance to apoptosis. Meanwhile, senomorphics may prevent the onset of senescence following genotoxic stress by interfering with signals inducing senescence or by blocking SASP effects. Other types of senomorphics, by contrast, may revert the senescent cell phenotype [1, 2].
Plant secondary metabolites, such as polyphenols and terpenes, have been utilized for centuries due to their diverse effects on living organisms, including medicinal properties. Polyphenols can be categorized into four classes: phenolic acids, lignans, stilbenes, and flavonoids. Compounds from the latter two classes have been investigated as senotherapeutics in various experimental models [6]. Many of these compounds exhibit senomorphic activity by inhibiting the SASP released by different types of senescent cells, while a few demonstrate senolytic functions by inducing apoptosis in senescent cells.
Despite numerous studies on the senotherapeutic effects of polyphenols, few have systematically explored the senomorphic and senolytic activities of specific compounds at different concentrations. Polyphenols exhibit hormetic behavior: at low doses, they protect cellular functions through their antioxidant activity, while at high doses, they demonstrate cytotoxic effects via their pro-oxidant activity [7]. However, mounting evidence suggests that this phenomenon is more complex. The antioxidant and pro-oxidant activities of polyphenols depend on various factors, including the absorbed dose, molecular structure, presence of other compounds such as metal ions, chemical modifications during gastrointestinal digestion, and release into the bloodstream. Moreover, the low pro-oxidant activity of polyphenols may be beneficial, as it can prime cells against subsequent oxidative damage [7, 8]. Generally, low-dose administration of polyphenols favors their antioxidant activity, while high doses promote their pro-oxidant functions. Reactive oxygen species (ROS) production within cells can induce senescence, and thus, polyphenols at low doses may inhibit the onset of senescence through their antioxidant properties (senomorphic function) [9]. Senescent cells, like cancer cells, with high ROS content, are close to a threshold tolerance level and are more susceptible to being eliminated by high-dose polyphenols, which further increase ROS levels (senolytic function) [9, 10].
There is a lack of comprehensive studies on the senotherapeutic activity of terpenes, but hypotheses regarding their potential anti-senescence activity can be drawn from similar studies conducted with polyphenols, as mentioned above. Some findings have addressed the anticancer and antioxidant properties of mono- and tetra-terpenes [11, 12].
Carotenoids are tetraterpenoid pigments synthesized by various terrestrial and aquatic organisms, including plants, algae, some fungi, and certain bacteria, and they are an integral part of the human diet. Common carotenoids in our diet include Lycopene, β-Carotene, Astaxanthin, Lutein, Fucoxanthin, Crocin, Canthaxanthin, and Zeaxanthin [13, 14]. Under normal conditions, carotenoids act as antioxidants by quenching singlet oxygen and scavenging peroxyl radicals [15]. Research has shown that carotenoids can exert their antioxidant effects through interactions with other redox partners within cells [14, 15]. However, in senescent and cancer cells with high levels of ROS, cellular redox partners become unavailable, shifting carotenoids towards a pro-oxidant activity [14].
Similarly, monoterpenes primarily exhibit antioxidant activity within cells, but under specific environmental conditions, they may promote pro-oxidant effects [12, 16]. Insights from polyphenol research suggest that the antioxidant and pro-oxidant activities of terpenes may determine their senomorphic or senolytic functions.
We aim to test the hypothesis that terpenes, like polyphenols, may exhibit senolytic activity further increasing ROS levels to eliminate senescent cells.
To investigate this hypothesis, we evaluated the senolytic effects of four terpenes (Carvacrol, Thymol, Eugenol, and Lycopene) on the senescence of mesenchymal stromal cells (MSCs) (Fig. 1). We chose MSCs as target cells due to their crucial role in the organism. Any senolytic drug should primarily target and eliminate senescent cells within the stem cell niche, as the impairment of stem cell function poses a greater risk to tissue regeneration and overall health than senescence in other cellular compartments.
Fig. 1.
Terpenes used in this study. The structural formulas of Carvacrol (5-Isopropyl-2-methylphenol); Eugenol (2-Methoxy-4-(2-propenyl)phenol, 4-Allyl-2-methoxyphenol, 4-Allylguaiacol, Eugenol); Lycopene (psi,psi-carotene); Thymol (2-Isopropyl-5-methylphenol, 5-Methyl-2-(1-methylethyl)phenol, 5-Methyl-2-isopropylphenol, IPMP) are depicted
These selected terpenes have been demonstrated to induce apoptosis in cancer cells, prompting our investigation into whether they may exert similar effects on senescent cells [11, 12, 14–26].
Methods
MSC cultures
Bone marrow MSCs were obtained from the American Type Culture Collection (ATCC PCS-500–012) and grown in low glucose (1 g/L) DMEM containing 10% Fetal Bovine Serum (FBS), 4 mM L-glutamine, 100 U/mL penicillin–streptomycin, and 5 ng/mL βFGF. We seeded 1.0–2.5 • 105 cells/cm2 in low glucose DMEM containing 10% FBS and βFGF, and cells were cultivated to 80% confluency. Cells were then further propagated for the assays reported below. All cell culture reagents were obtained from Euroclone Life Sciences (Pero, Italy).
Preparation of terpenes
Carvacrol was obtained from Sigma (#CAS: 499–75-2) (Sigma-Aldrich, Saint Louis, MO, USA); 15 mg of pure extract were diluted in DMSO to obtain a 10 mM stock solution and then diluted for analysis. Eugenol was obtained from Sigma (#CAS: 97–53-0); 16.4 mg of pure extract were diluted in DMSO to obtain a 10 mM stock solution and then diluted for further analysis. Lycopene was obtained from Sigma (#CAS: 502–65-8); 53.7 mg of pure extract were diluted in DMSO to obtain a 10 mM stock solution and then diluted for further analysis. Thymol was obtained from Sigma (#CAS: 89–83-8); 15 mg of powder were diluted in DMSO to obtain a 10 mM stock solution and then diluted for analysis.
Induction of acute senescence
We treated MSC cells at passage 3 with hydrogen peroxide. During treatment, cells were incubated with 300 μM H2O2 for 30 min in complete medium, after which the medium was discarded, and the cells were incubated for 48 or 72 h in fresh medium before further analysis.
Immunocytochemistry and senescence-associated β-galactosidase
For the β-galactosidase assay, 2•104 cells per well were seeded in 24 wells with glass coverslips. After treatment, cells were fixed in a solution of 2% formaldehyde (Sigma-Aldrich, Saint Louis, MO, USA) for 10 min. Then, cells were washed with PBS (Microgem, Napoli, Italy) and incubated at 37 °C overnight with a staining solution (citric acid/phosphate buffer (pH 6), K4Fe(CN)6, K3Fe(CN)6, NaCl, MgCl2, X-Gal). Cells were then permeabilized with 0.3% Triton-X100 (Roche, Basilea, Switzerland) on ice for 5 min and then incubated in a blocking solution (5% FBS solution in PBS and 0.1% Triton-X100) for 1 h at room temperature (RT). Subsequently, samples were incubated with antibodies against ANXA5 (1:1000, E-AB-40440, Elabscience, USA) and Ki67 (1:200, sc7846, SantaCruz Biotech, Santa Cruz, CA, USA), γH2AX (2577, Cell Signaling, MA, USA) at 4 °C overnight. We then used FITC-conjugated secondary antibody, goat anti-rabbit (1:400, Gtx-Rb-003D488), or TRITC-conjugated secondary antibody goat anti-mouse (1:400, Gtx-Mu-003D594), which were obtained from ImmunoReagents (Raleigh, NC, USA). Nuclear staining was performed using DAPI mounting medium (ab104139, ABCAM, Cambridge, UK), and micrographs were performed with a fluorescence microscope (Leica DM2000, -DMC5400, Leica, Wetzlar, Germany). The percentage of positive cells for β-gal, Ki67, ANXA5, γH2AX was calculated by the number of cells that expressed or not expressed the specific marker stain out of at least 500 cells in different microscope fields.
MTT assay protocol for cell viability and proliferation
For the determination of the cytotoxic effect of Carvacrol, Eugenol, Lycopene and Thymol on MSCs we used MTT colorimetric assay (Sigma-Aldrich, Saint Louis, MO, USA). We seeded cells at a concentration of 5 • 103 cells/ well in 100 μl culture medium containing various amounts of terpenes (final concentration 0.001 up to 500 μg/mL) into 96 wells microplates and incubated cell cultures for 24, 48 and 72 h. After the incubation period, MTT assay was performed and viability was detected using GloMax® Discover microplate reader (Promega, Milan, Italy) at 600 nm wave-length.
Cell cycle analysis
For each analysis, 5 • 104 cells were collected by trypsin treatment and, after being washed with PBS, were fixed in 70% ethanol overnight at − 20 °C. The samples were next washed with PBS and finally dissolved in a hypotonic buffer containing propidium iodide (Sigma-Aldrich, Saint Louis, MO, USA). The samples were acquired from a Guava EasyCyte flow cytometer (Merck Millipore, Danvers, MA, USA) and analyzed following a standard procedure using EasyCyte software.
Annexin V assay
Apoptosis was detected using a fluorescein-conjugated Annexin V kit (Dojindo Molecular Technologies, Munich, Germany) on a Guava EasyCyte flow cytometer (Sigma-Aldrich, Saint Louis, MO, USA) following the manufacturer’s instructions. The kit has two different dyes (Annexin V and 7AAD) to identify apoptotic and non-apoptotic cells. Annexin V binds to phosphatidylserine on apoptotic cells, while 7AAD permeates and stains DNA of late-stage apoptotic and dead cells. The staining procedure allows the identification of 3 cell populations: non-apoptotic cells (Annexin V- and 7AAD-); early apoptotic cells (Annexin V + and 7AAD-); late-apoptotic or dead cells (Annexin V + and 7AAD +). In our experimental conditions, early and late apoptotic cells were grouped together.
DCFH-DA assay
The generation of ROS was monitored by the conversion of fluorogenic 2,7dichlorodihydrofluorescein diacetate (DCFH-DA) to highly fluorescent dichlorofluorescein diacetate within cells by ROS. The cells were incubated for 20 min with 2 μM DCFH-DA in CO2 Independent Medium (GIBCO, Grand Island, NY, USA) and 0.1% Pluronic F-127 (Sigma-Aldrich, Saint Louis, MO, USA) and acquired every hour for 48 h on a microplate reader (GloMax® Discover, Promega, Milan, Italy) with ex-em 495–525 nm.
Western blot (WB) analysis
Cells were lysed in a buffer containing 0.1% Triton (Bio-Rad, Irvine, CA, USA) for 30 min on ice. Next, 20 μg of each lysate was electrophoresed in a polyacrylamide gel and electroblotted onto a nitrocellulose membrane. We used the following primary antibodies: RB1 (AV33212) and GAPDH (G8795) from Sigma-Aldrich (Saint Louis, MO, USA); RB2/P130 (R27020) from BD Biosciences (San Jose, CA, USA); P27KIP1 (3686), C-SRC (#2108), and phospho-SRC(Y416) (#2101) from Cell Signaling (Danver, MS, USA); P53 (sc-126), and P21CIP1 (sc-397) from Santa Cruz Biotechnology (Dallas, TX, USA); P16INK4A (ab54210) and TOMM20 (AB186735) from Abcam (Cambridge, UK); BCL2 (E-AB-22004), BCLW (E-AB-53595), BAX (E-AB-13814), and PUMA/BBC3 (E-AB-67059) from Elabscience (Houston, TX, USA). Immunoreactive signals were detected with a horseradish-peroxidase-conjugated secondary antibody (Elabscience, Houston, TX, USA) and reacted with ECL Plus reagent (Elabscience, Houston, TX, USA). All antibodies were used according to the manufacturer’s instructions. Membrane staining with Ponceau S acid red was used as a loading control. The mean value was quantified densitometrically using Quantity One 1-D analysis software (Bio-Rad, Milan, Italy). Raw western blot data are shown in supplementary file 4.
Subcellular fractionation
Mitochondrial and nuclear enrichment was performed according to Liao et. Al. (2020) protocol [27]. The cell pellet obtained from cultured cells treated as previously described (approximately 2 × 10⁶ cells) was resuspended in five volumes of extraction buffer (0.25 M sucrose, 20 mM HEPES–KOH, pH 7.5, 10 mM KCl, 1.5 mM MgCl₂, 1 mM EDTA, 1 mM EGTA, 1 mM dithiothreitol, and 0.1 mM PMSF). The resulting cell suspension was homogenized using a Teflon-glass homogenizer by performing 20 up-and-down strokes with the pestle. Nuclei and mitochondria were then separated through differential centrifugation following the established protocol.
Statistical analysis
Statistical significance was evaluated using ANOVA analysis followed by Student's t and Bonferroni's tests. We used mixed-model variance analysis for data with continuous outcomes. All data were analyzed with a GraphPad Prism version 9 statistical software package (GraphPad, Boston, MA, USA).
Results
Experimental procedure setup for detecting senotherapeutics effects
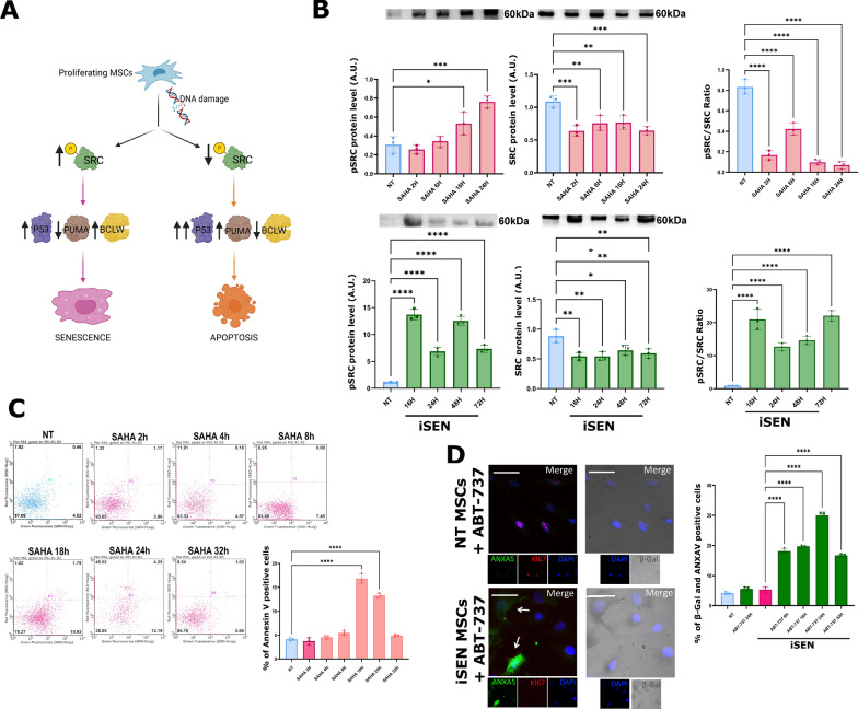
A preliminary step in our study was dedicated to establishing the experimental model. DNA damage can lead to either apoptosis or senescence, and the mechanism determining the cellular fate is not fully understood. Findings suggest that this outcome may depend on: i) the type of stress; ii) its duration and intensity; iii) the cell type; iv) the cell cycle stage. Recent research demonstrated that, following DNA injury, SRC activation promotes cell survival and initiates senescence, while failure to activate SRC results in apoptosis (Fig. 2A) [28]. Identifying a molecular switch governing the skew of cell fate from senescence to apoptosis is crucial for evaluating the senolytics activity of drugs.
Fig. 2.
Set up of experimental procedure for senotherapeutics analysis. Panel A: The SRC signaling pathways in apoptosis and senescence according to the study by Anerillas and co-authors (2022). Panel B: The histogram displays the expression levels of pSRC(Y416) and total SRC. The upper histograms present data obtained from western blot analysis conducted on MSCs incubated with SAHA at various time points. The lower histograms illustrate western blot analysis conducted on MSCs incubated with H2O2 at various time points (induced senescence – iSEN). As a reference, the histograms also show the expression levels in healthy MSCs cultures (NT). The symbols ****p < 0.0001, ***p < 0.001, **p < 0.01, and *p < 0.05 indicate statistical significance between the specified samples. On the top of every histogram, representative western blot bands of the analyzed proteins are reported. (n = 3 biological replicates ± SD). Panel C: Flow cytometry chart of Annexin V assay on SAHA treated cells. The histogram depicts the percentage of apoptotic cells (Annexin V +) following SAHA treatment. Data refer to analysis at 2, 4, 8, 18, 24, and 32 h post-treatment. NT: not treated cells. The symbol ****p < 0.0001 indicates statistical significance between the control (NT) and SAHA treated samples. (n = 3 biological replicates ± SD). Panel D: The pictures show representative images of senescent (Ki-67-; β-galactosidase +) and apoptotic (ANXAV +) cells in healthy control samples (NT) and induced senescence (iSEN) samples in presence of ABT-737. Cells were stained to identify nuclei (DAPI in blue), Ki67 (red), Annexin V (ANXAV in green), and to evaluate β-galactosidase activity (dark gray). We used a Leica CTR500 microscope, equipped with a DCF3000G digital monochrome camera. The β-galactosidase activity was detected as a gray stain using this configuration. This method allowed us to identify cells that exhibited a visible light signal β-galactosidase along with others expressing fluorescent signals within the same cell. The arrows indicate cells that are positive for senescence and apoptosis markers. The histogram shows the percentage of senescent cells (iSEN) undergoing apoptosis at 8, 16, 24, and 32 h post-ABT-737 treatment. The symbol ****p < 0.0001 indicates statistical significance between the iSEN samples and those treated with ABT-737. (n = 3 biological replicates ± SD)
To induce predominantly senescence or apoptosis, we treated MSCs with 300 µM H2O2 or 5 µM suberoylanilide hydroxamic acid (SAHA) [29, 30]. Previous findings from our lab showed that senescence onset occurs at 48 h post-damage, while apoptosis occurs earlier. We assessed the level of phosphorylated (Y416) SRC in H2O2 or SAHA-treated cells and observed a distinct phosphorylation pattern. Specifically, the phosphorylated activated SRC isoform was higher in senescent cultures compared to controls and samples containing apoptotic cells (Fig. 2B).
To determine the optimal time for detecting apoptosis, which is crucial when administering senolytics to senescent cultures, we treated MSCs with SAHA and performed Annexin V assays at various time points. We observed the highest number of Annexin V-positive cells at 18 and 24 h post-SAHA treatment (Fig. 2C).
Senolytics are cytotoxic drugs designed to selectively eliminate senescent cells by targeting the SCAPs. It's crucial that cell death primarily occurs in senescent cells following treatment with potential senolytics drugs. To achieve this, we implemented a double immunocytochemistry labeling method to identify senescent cells undergoing apoptosis. MSCs were initially treated with 300 µM H2O2 for 48 h, followed by incubation, at different time points, with ABT-737, a compound known to kill senescent cells by inhibiting SCAPs [31]. At different time points, we evaluated cells positive for both β-galactosidase (senescence) and Annexin V (apoptosis) staining (Fig. 2D). The presence of double-labeled cells confirmed the utility of our method in testing the senolytics activity of the terpenes under investigation. Maximum cell death occurred at 18 and 24 h post-ABT-737 treatment, consistent with the experimental setup described in Fig. 2C.
Prior to evaluating terpenes' effects on senescence, we determined the cytotoxic concentrations for each compound using the MTT assay to establish their IC50 values. Carvacrol and Thymol, phenolic isomers, exhibited an IC50 of 500 µM, while Eugenol and Lycopene showed an IC50 of 100 µM (Fig. 3). Subsequently, we assessed the biological effects of the four terpenes at concentrations ten times lower than their respective IC50 values: 10 µM for Eugenol and Lycopene, and 50 µM for Carvacrol and Thymol.
Fig. 3.
Cytotoxicity of terpenes. The histograms display the percentage of live cells in MSC cultures 72 h post-treatment with terpenes, used at different concentrations. The symbol ****p < 0.0001 indicates statistical significance between the untreated samples and those incubated with terpenes. CAR: Carvacrol; EUG: Eugenol; LYC: Lycopene; THY: Thymol. (n = 3 biological replicates ± SD)
Effects of terpenes on senescence
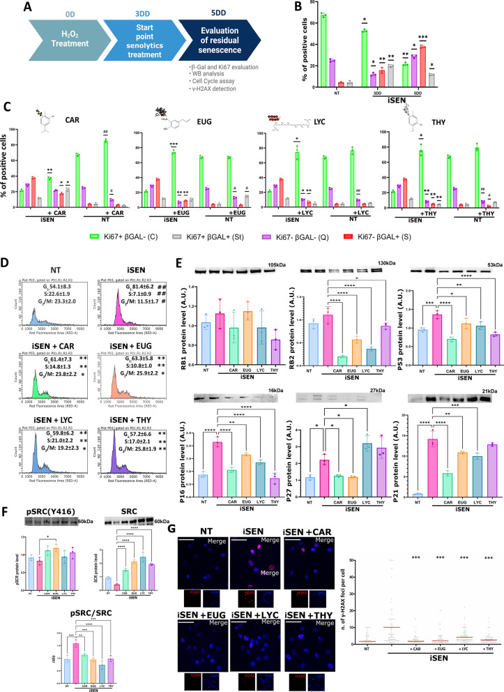
The experimental flow for evaluating terpenes' effects on the senescence process is depicted in Fig. 4A, while that for apoptosis is presented in Fig. 5A. MSCs were treated with 300 µM H2O2 for 30 min, and three days later, we observed a significant increase in senescent cells, as detected by β-galactosidase/Ki67 staining. This increase was accompanied by a decrease in quiescent and cycling cells, along with an increase in stressed cells, as determined using a molecular algorithm previously published by our group [32] (Fig. 4B). As expected, five days post-H2O2 treatment, the percentage of senescent cells further increased due to the release of SASP, promoting secondary senescence. Subsequently, we administered senolytics treatment three days after H2O2-induced senescence and assessed residual senescence in MSC cultures two days later. All tested compounds induced a significant reduction in the percentage of senescent cells (Fig. 4C, indicated by red bars). In healthy MSC samples, the terpenes caused a decrease in quiescent cells and an increase in proliferating and/or stressed cells (Fig. 4C).
Fig. 4.
Biological effects of terpenes on senescent cell cultures. Panel A: Experimental procedure devised to analyze the effects of terpenes on MSCs treated with H2O2 (induced senescence—iSEN). Panel B: The histogram shows the percentage of (C) cycling (Ki67 + ; β-galactosidase-), (Q) quiescent (Ki67-; β-galactosidase-), (St) stressed (Ki67 + ; β-galactosidase +), and (S) senescent (Ki67-; β-galactosidase +) cells three (3DD) and five (5DD) days following treatment with H2O2 (iSEN). Panel C: The histograms show the percentage of cycling, quiescent, stressed, and senescent cells in MSCs cultures that were incubated with terpenes for two days, and previously treated with H2O2 to induce senescence (iSEN). As a reference, the histograms also show the same cell populations in healthy MSCs cultures (NT) treated with terpenes for two days. The symbols **p < 0.01 and *p < 0.05 indicate statistical significance between the iSEN samples and those treated with terpenes. The symbols ## p < 0.01 and #p < 0.05 indicate statistical significance between healthy MSCs samples and those treated with terpenes. CAR: Carvacrol; EUG: Eugenol; LYC: Lycopene; THY: Thymol. (n = 3 biological replicates ± SD). Panel D: Cell cycle plots of healthy MSCs (NT), H2O2-treated MSCs (iSEN), and iSEN treated with terpenes. For every cell cycle phase, the symbols *p < 0.05 and ***p < 0.001 indicate the statistical difference between the iSEN samples and those treated with terpenes. The symbols ## p < 0.01 and #p < 0.05 indicate statistical significance between NT and iSEN samples. (n = 3 biological replicates ± SD). Panel E: The histogram shows the expression levels of proteins involved in the senescence process. Data were obtained by western blot analysis carried out on MSCs cultures that were incubated with terpenes for two days, and previously treated with H2O2 to induce senescence (iSEN). As a reference, the histograms also show the expression levels in healthy MSCs cultures (NT). The symbols ****p < 0.0001, ***p < 0.001, **p < 0.01, and *p < 0.05 indicate statistical significance between the specified samples. On the top of every histogram, representative western blot bands of the analyzed proteins are reported. (n = 3 biological replicates ± SD). Panel F: Western blot analysis of SRC phosphorylation carried out on MSCs cultures, which were incubated with terpenes for two days, and previously treated with H2O2 to induce senescence (iSEN). As a reference, the histograms also show the expression levels in healthy MSCs cultures (NT). The symbols ****p < 0.0001, ***p < 0.001, **p < 0.01, and *p < 0.05 indicate statistical significance between the specified samples. On the top of every histogram, representative western blot bands of the analyzed proteins are reported. (n = 3 biological replicates ± SD). Panel G: Representative images of cells stained with anti‐ γH2AX. Cell nuclei were stained with DAPI. The graph shows the degree of ‐γH2AX foci per cell (***p < 0.001 represents statistics significance between iSEN, chosen as reference, and iSEN samples treated with terpenes). (n = 3 biological replicates ± SD)
Fig. 5.
Biological effects of terpenes on senescent cell cultures. Panel A: Experimental procedure devised to analyze the effects of terpenes on MSCs treated with H2O2(induced senescence—iSEN). Panel B: Flow cytometry chart of Annexin V assay on healthy MSCs (NT), H2O2-treated MSCs (iSEN), and iSEN treated with terpenes. The percentage of apoptotic cells is specified in the histogram. The symbol ****p < 0.0001 indicates statistical significance between the iSEN samples and those treated with terpenes. (n = 3 biological replicates ± SD). Panel C: Western blot analysis of apoptotic pathways performed on MSCs cultures, which were incubated with terpenes for 24 h, and previously treated with H2O2 to induce senescence (iSEN). As a reference, the histograms also show the expression levels in healthy MSCs cultures (NT). The symbols ****p < 0.0001, ***p < 0.001, **p < 0.01, and *p < 0.05 indicate statistical significance between the specified samples. On the top of every histogram, representative western blot bands of the analyzed proteins are reported. (n = 3 biological replicates ± SD). Supplementary file 2 shows the loading controls. Panel D: The pictures show representative images of senescent (Ki-67-; β-galactosidase +) and apoptotic (ANXAV +) cells in healthy control samples (NT) and induced senescence (iSEN) samples with/without terpenes. Cells were stained to identify nuclei (DAPI in blue), Ki67 (red), Annexin V (ANXAV in green), and to evaluate β-galactosidase activity (dark gray). We used a Leica CTR500 microscope, equipped with a DCF3000G digital monochrome camera. The β-galactosidase activity was detected as a gray stain using this configuration. This method allowed us to identify cells that exhibited a visible light signal β-galactosidase along with others expressing fluorescent signals within the same cell. Panel E: The histogram shows the percentage of senescent cells undergoing apoptosis (β-galactosidase + , ANXAV +) in H2O2 treated cultures (iSEN), which were incubated with terpenes for 24 h. The symbol ****p < 0.0001 indicates statistical significance between the iSEN samples and those treated with terpenes. (n = 3 biological replicates ± SD). Panel F: Cell cycle plots of healthy MSCs (NT), H2O2-treated MSCs (iSEN), and iSEN treated with terpenes. For every cell cycle phase, the symbols *p < 0.05 and **p < 0.01 indicate the statistical difference between the iSEN samples and iSEN treated with terpenes. The symbols ## p < 0.01 and #p < 0.05 indicate statistical significance between NT and iSEN samples. (n = 3 biological replicates ± SD). Panel G: Western blot analysis of SRC phosphorylation carried out on MSCs cultures, which were incubated with terpenes for 24 h, and previously treated with H2O2 to induce senescence (iSEN). As a reference, the histograms also show the expression levels in healthy MSCs cultures (NT). The symbols ****p < 0.0001, ***p < 0.001, **p < 0.01, and *p < 0.05 indicate statistical significance between the specified samples. On the top of every histogram, representative western blot bands of the analyzed proteins are reported. (n = 3 biological replicates ± SD).). Supplementary file 2 shows the loading controls. Panel H: The histogram shows the percentage of live cells in H2O2 treated cultures (iSEN), 24 h post-treatment with terpenes. The symbol ****p < 0.0001 indicates statistical significance between the untreated samples and those incubated with terpenes. As a reference, the histograms also show the number of live cells in healthy MSCs cultures (NT). CAR: Carvacrol; EUG: Eugenol; LYC: Lycopene; THY: Thymol. (n = 3 biological replicates ± SD)
Cell cycle profiling of senescent cultures treated with terpenes revealed an increase in the S-phase and G2/M phase, suggesting that terpenes promoted progression from G1/G0 to G2/M stage (Fig. 4D).
Given the senotherapeutics activity of the tested compounds, which led to a decrease in the percentage of senescent cells, we aimed to investigate the regulatory signaling pathways involved in the common executive program of senescence. Particularly, we focused on those pathways implicated in senescence of human MSCs: RB2 (P130), P53, CDKN1A (P21), and CDKN1B (P27). It's worth noting that RB1-P16 have been shown to play an ancillary role in the senescence of human MSCs, as silencing of RB1 induces senescence [33].
A general trend observed across all tested compounds was a significant reduction in the expression levels of cyclin kinase inhibitors (CKIs) P16, P21, and P27, along with RB2 and P53 (Fig. 4E). Some variations among terpene treatments were noted, with Thymol not affecting the expression levels of P21 and P27 (Fig. 4E). Despite this, Thymol effectively reduced the percentage of senescent cells, suggesting a possible subsidiary role of P21 and P27 in the recovery of cultures from H2O2-induced senescence. Additionally, RB1 protein appeared to play a secondary role in senescence signaling for MSCs (Fig. 4E).
Of note, the reduction in senescent cells following terpene treatments was associated with a decrease in the activated SRC/total SRC ratio (pSRC/SRC), further indicating that terpenes promoted the recovery of MSCs from H2O2-induced senescence (Fig. 4F).
The histone H2AX undergoes swift phosphorylation in response to DNA damage, leading to the formation of γH2AX foci, which serve as indicators of DNA damage during repair. Prolonged existence of these foci post-genotoxic stress indicates unresolved DNA issues within cell nuclei. Treatment with senolytics significantly reduced the number of γH2AX foci per cell, consistent with a decrease in the percentage of senescent cells (Fig. 4G).
Effects of terpenes on apoptosis
The reduction in the percentage of senescent cells in H2O2-treated MSCs cultures observed two days post-incubation with terpenes may be attributed to the elimination of senescent cells via apoptosis. We evaluated the apoptosis process 24 h after incubation of H2O2-treated MSCs with terpenes, corresponding to the fourth day since H2O2 treatment (Fig. 5A), based on data showing the apoptosis peak 24 h post-senolytics treatment as shown in Fig. 2C.
All tested terpenes strongly induced apoptosis in H₂O₂-treated MSC cultures (Fig. 5B) without significantly affecting apoptosis in healthy MSCs. Rather, lycopene reduced the percentage of apoptotic cells (Supplementary File 3).
Apoptosis is regulated by BCL2 family members, which possess either pro- or anti-apoptotic activities. Natural compounds like polyphenols and terpenes may modulate apoptosis by inhibiting antiapoptotic factors or activating proapoptotic molecules, altering the pro-apoptotic/anti-apoptotic protein ratio. All terpenes except Lycopene significantly increased the level of the anti-apoptotic protein BCL2, while BCLW was unaffected (Fig. 5C). Additionally, all terpenes upregulated the pro-apoptotic protein BAX, consistent with increased expression of Cytochrome c (CYCS) during apoptosis. P53, a transcription factor activated following cellular stress, along with its downstream effectors PUMA and P21, were upregulated by terpenes in senescent cultures (Fig. 5C). Some subtle differences in apoptosis signaling pathways were observed among the four tested terpenes, with Thymol and Carvacrol showing distinct effects on P21 expression.
Cell cycle profiling and SRC signaling assessed 24 h post-terpene treatment, at the peak of apoptosis, showed similar trends to those observed 48 h post-treatment (Fig. 5F, G). This suggests that progression from G1/G0 to G2/M stage and shutdown of SRC signaling occurred in the early phase of terpene-induced apoptosis, indicating a shift in cellular molecular mechanisms from senescence towards programmed cell death.
The observed reduction in senescence in cells treated with terpenes was mainly due to induction of apoptosis in senescent cells, as demonstrated by an increase in apoptosis in double-labeled cells (β-galactosidase + , Annexin V +) (Fig. 5D, E). Notably, only Lycopene-treated cells showed a certain percentage of apoptotic cells that were β-galactosidase negative (data not shown).
Robbins and colleagues developed a procedure to discriminate between senolytics and senomorphics activity of compounds [34]. Reduction of senescent cells with a decrease in total cell number indicates senolytics activity, while a decrease in senescent cells with unchanged total cell number suggests senomorphics activity. Eugenol and Thymol induced a significant reduction in cell number, implying senolytics function, while Carvacrol and Lycopene did not decrease total cell number, indicating they may belong to a third class of senotherapeutics (Fig. 5H).
Pathways involved in senotherapeutics action
Classic apoptosis typically occurs through the activation of the caspase pathway, although some programmed cell death phenomena operate via caspase-independent pathways. To determine if terpene-induced cell death is caspase-dependent or independent, we conducted experiments using SAHA, a known inducer of apoptosis via the caspase-dependent pathway [35].
Treatment of MSCs with SAHA in the presence of 25 µM Z-VAD-FMOC, a caspase inhibitor, completely abolished apoptosis induction (Fig. 6A). Subsequent treatment of senescent cells with terpenes in the presence of 25 µM Z-VAD-FMOC aimed to ascertain the caspase dependency of terpene-induced cell death (Fig. 6B).
Fig. 6.
Pathways involved in senotherapeutics action of terpenes. Panel A: The histogram depicts the percentage of apoptotic cells (Annexin V +) 24 h following SAHA treatment of MSCs either in the presence or absence of different amounts of Z-VAD-FMOC. NT: not treated cells; DMSO: cells treated with Dimethyl sulfoxide (DMSO), a polar aprotic solvent that dissolves Z-VAD-FMOC. The symbol ****p < 0.0001 indicates statistical significance between the specified samples. Panel B: The histograms show the percentage of apoptotic cells (Annexin V +) in H2O2-treated MSCs (iSEN) 24 h following treatment with terpenes, either in the presence or absence of 25 µM Z-VAD-FMOC. NT: not treated cells. The symbols ****p < 0.0001 and ***p < 0.001 indicate statistical significance between the specified samples. (n = 3 biological replicates ± SD). Panels C: Western blot analysis carried out on MSCs cultures, which were incubated with terpenes in presence or absence of Z-VAD-FMOC for 24 h, and previously treated with H2O2 to induce senescence (iSEN). NT: healthy MSCs. The cleaved caspase (CASP8) appears as smeared band. Panels D: Western blot analysis of AIF carried out on enriched cytoplasmic fraction (C), enriched mitochondrial fraction (M) and enriched nuclear fraction (N) of MSCs cultures, which were incubated with terpenes for 24 h, and previously treated with H2O2 to induce senescence (iSEN). As a reference, the histograms also show the expression levels in healthy MSCs cultures (NT). The graph shows the AIF expression levels in the analyzed subcellular fractions. Supplementary file 2 shows the loading controls. Panel E: Intracellular ROS detection by DCF-DA in H2O2-treated MSCs (iSEN) incubated with terpenes for different time points either in the absence (upper plots) or presence (lower plots) of glutathione (GSH). NT: healthy MSCs; CAR: Carvacrol; EUG: Eugenol; LYC: Lycopene; THY: Thymol. Panel F: The histograms show the percentage of apoptotic cells (Annexin V +) in H2O2-treated MSCs (iSEN) 24 h following treatment with terpenes, either in the presence or absence of glutathione (GSH). NT: not treated cells. The symbols ****p < 0.0001 and ***p < 0.001 indicate statistical significance between the specified samples. Representative plots of apoptosis analysis are also reported. (n = 3 biological replicates ± SD)
Cell death induced by Carvacrol and Lycopene in H2O2-treated cells was reduced in the presence of the caspase inhibitor, whereas the other compounds did not significantly modify the percentage of cell death (Fig. 6B). This result was consistent with the analysis of Caspase 8 cleavage, where Carvacrol and Lycopene incubation of H2O2-treated cells activated Caspase 8, while Eugenol and Thymol did not (Fig. 6C).
Collectively, these results suggest that Eugenol and Thymol may induce caspase-independent cell death, while apoptosis induced by Carvacrol and Lycopene occurs via the caspase pathway.
Mitochondria play a pivotal role in both caspase-dependent and caspase-independent death pathways, responding to various death-inducing stimuli such as proapoptotic BCL2 family proteins. Mitochondria release factors associated with caspase-independent cell death, including apoptosis-inducing factor (AIF) and Endonuclease G (ENDOG) [36, 37].
To assess if apoptosis triggered by Eugenol and Thymol treatment is associated with AIF translocation from mitochondria to nuclei [38], H2O2-treated MSCs were incubated with terpenes for 24 h to induce apoptosis of senescent cells. Subsequent evaluation of nuclear AIF expression by western blot revealed a significant presence of AIF in the enriched nuclear fraction of cells incubated with Eugenol and Thymol (Fig. 6D, Supplementary file 2).
Senescent and cancerous cells, characterized by elevated ROS levels, exhibit increased vulnerability to terpene-induced cell death, potentially due to further ROS surge facilitated by terpenes. We evaluated whether high terpene concentrations promote an additional increase in ROS in senescent cells (Fig. 6E).
All terpenes increased ROS content in senescent cultures over a 48-h period post-incubation, coinciding with the peak of apoptosis detected. ROS levels were also elevated in healthy MSCs treated with terpenes, albeit below those observed in H2O2-treated cells (Supplementary file 1).
To determine if terpene-induced ROS increase contributes to apoptosis, we incubated H202-treated cells with terpenes in the presence or absence of glutathione, a ROS scavenger [39]. Glutathione supplementation reduced terpene-induced ROS increase in H2O2-treated cells (Fig. 6E). Subsequent evaluation of apoptosis revealed a decrease in the percentage of apoptosis induced by terpenes in H2O2-treated MSCs, particularly with Lycopene and Thymol (Fig. 6F). These differences may be attributed to variable effectiveness of glutathione in scavenging ROS produced by different terpenes.
Discussion
Worldwide, there is an increasing elderly population, presenting new challenges to society in promoting well-being in the later stages of life. Healthy aging is an aging process that should ideally be free from chronic diseases as much as possible. Several factors influence healthy aging, some of which are related to genetic and epigenetic factors and cannot be modified by lifestyle choices. Others, including a healthy diet, physical exercise, and drug treatment, are within our reach. In recent years, senotherapeutics have garnered increasing interest as possible allies in promoting health during the later phases of life. Most of the senotherapeutics under scrutiny for their ability to target senescent cells are small synthetic molecules (Navitoclax, Oubain, Ganetespib, UBX0101, etc.) or flavonoids, such as Quercetin and Fisetin [1, 2, 33, 40].
We directed our focus towards natural terpenes, which are already present in our diet at low concentrations and exert an antioxidant protective effect on our health. Given their hormetic behavior, we evaluated their cytotoxic effects on senescent cells when used at high doses. Our findings demonstrate that all four tested terpenes—Carvacrol, Thymol, Eugenol, and Lycopene—induce programmed cell death in senescent mesenchymal stromal cells (MSCs).
Mechanism of action of terpenes
Our study provides a detailed mechanistic dissection of terpene-induced senolysis, identifying several critical pathways:
SRC activation as a determinant of apoptosis versus senescence
We observed that SRC pathway modulation plays a pivotal role in the transition from senescence to apoptosis. This highlights a potential molecular switch that determines whether a cell remains senescent or undergoes programmed cell death.
Distinct apoptotic pathways induced by terpenes
Our study systematically differentiates between caspase-dependent apoptosis (induced by Carvacrol and Lycopene) and caspase-independent apoptosis (induced by Eugenol and Thymol). The latter occurs through AIF translocation from mitochondria to nuclei, underscoring the involvement of multiple death pathways.
Cell cycle modulation
We observed a shift from G1/G0 to G2/M in response to terpene treatment, suggesting that cell cycle regulation is an integral component of the senolytic process. This finding indicates that terpenes may not only eliminate senescent cells but also influence the proliferation dynamics of residual cell populations.
ROS as a central mediator of terpene-induced apoptosis.
Unlike previous studies that generically attribute cytotoxic effects to ROS, our study quantifies ROS involvement and demonstrates its role as a key apoptosis trigger. Specifically, we show that terpene-induced apoptosis is significantly attenuated in the presence of glutathione, confirming oxidative stress as a major driver of cell death.
Regarding ROS modulation as the main mechanism of action of terpenes, the question remains: how do terpenes act? This long-debated question still lacks a definitive answer. Addressing this issue is crucial for establishing a scientific framework for the senolytic activity observed in our experimental system.
As previously stated, the prevailing hypothesis suggests that, like polyphenols, terpenes exhibit dual behavior depending on their concentration: they act as antioxidants at low concentrations and as pro-oxidants at high concentrations [7, 16]. But why does this occur? During the scavenging of highly reactive species, an antioxidant undergoes oxidation, forming an oxidation product. While this oxidation product is often relatively stable, it usually retains some reactivity from the species it has neutralized. For instance, quercetin, a polyphenol, acts as an antioxidant but is converted into a highly reactive pro-oxidant quinone in the process. This quinone is neutralized by intracellular glutathione, allowing quercetin to function as an antioxidant at low concentrations. However, at high concentrations, intracellular glutathione is insufficient to neutralize all reactive quinones, resulting in a shift toward pro-oxidant activity [41]. A similar mechanism may apply to terpenes.
Another proposed mechanism of terpene activity involves their intrinsic antioxidant properties combined with their lipophilic nature. Due to their ability to intercalate into the plasma membrane, high concentrations of terpenes may alter membrane permeability, potentially inducing oxidative stress [16]. Thus, terpenes may exert pro-oxidant effects through both of these mechanisms.
Further studies are required to elucidate the precise chemical details underlying these modes of action.
The role of ROS in terpene-induced senolysis
Our findings suggest that the elimination of senescent cells is due to a ROS surge that exceeds the antioxidant capacity of the cell. Studies suggest that ROS may mediate cell fate decisions. The equilibrium of oxidizing agents (such as high concentrations of terpenes) and antioxidants within a cell at any given time plays a crucial role in regulating intracellular ROS levels. This delicate balance ultimately determines whether the cellular response leads to senescence or apoptosis. Apoptosis is triggered when intracellular oxidation surpasses a critical threshold [42]. It should be noted that the analyzed terpenes, at the selected concentrations, induced an increase in ROS not only in senescent cells but also in healthy cells. In the latter case, however, the increased ROS levels are within a range that could be securely managed by antioxidant cellular systems, as neither apoptosis nor senescence occurred.
Indeed, the incubation of senescent MSCs with terpenes in the presence of glutathione, which could counteract oxidative damage, dampened the apoptosis process.
Given that terpenes and polyphenols have been shown to modulate ROS levels in both pro-oxidant and antioxidant manners depending on cell type, dosage, and redox status, further investigations are needed to assess whether the ROS increase induced by terpenes in other healthy cell populations may lead to adaptive stress responses, enhanced antioxidant defenses, or unintended cytotoxic effects.
Implications for senolytic selectivity
It's important to note that different types of senescent cells adopt diverse signaling pathways for cell death resistance. This diversity may limit the effectiveness of senolytics. For instance, Navitoclax is a senolytics drug that specifically targets the BCL2 and BCLXL pathways. While it can induce apoptosis in senescent cultures of umbilical vein endothelial cells, it is not active on adipocyte progenitor cells [1, 2]. Terpenes, which work by increasing ROS, may have a broader senolytics activity since an increase in ROS levels is a common feature of senescent cells, regardless of cell type [9].
Overall, our findings demonstrate that ROS serves as the common executive pathway through which terpenes induce cell death. Additionally, our results suggest that terpenes may exert their effects through multiple signaling pathways beyond ROS induction. Specifically, we demonstrate that carvacrol and lycopene activate caspases, whereas eugenol and thymol rely on AIF translocation, pointing to distinct molecular mechanisms underlying terpene-induced apoptosis.
Unanswered questions and future directions
Despite our detailed mechanistic insights, several questions remain:
Why do carvacrol and lycopene induce caspase activation while eugenol and thymol do not?
Why does thymol fail to modulate the expression of cyclin kinase inhibitors P21 and P27, unlike the other terpenes?
Why is glutathione more effective in counteracting apoptosis induced by lycopene and thymol than that triggered by eugenol and carvacrol?
It is important to highlight that there are differences in the timing and extent of ROS increase induced by the four terpenes. These variations may contribute to the fine-tuning of apoptosis induced by terpenes in senescent cells. Another crucial consideration is that polyphenols can be oxidized by various cellular oxidative enzymes into highly reactive quinones, leading to associated ROS production [43]. The propensity of each studied terpene to produce quinones differs and depends on their chemical structure and susceptibility to electrophilic substitution reactions.
While these issues extend beyond the scope of our current research, they warrant in-depth analysis by experts in the field to gain a clearer understanding of the molecular mechanism of terpene ROS production.
Based on our data, Eugenol demonstrated the strongest senolytic activity, significantly reducing the number of senescent cells. It effectively eliminated senescent cells without affecting healthy MSCs.
Given these results, we propose Eugenols as the best candidate for future in vivo validation.
Conclusion and limitation
In conclusion, our study provides a comprehensive mechanistic analysis of the senolytic potential of terpenes, demonstrating their ability to selectively eliminate senescent MSCs through ROS-mediated apoptosis, caspase activation, and mitochondrial AIF translocation (Fig. 7). These findings highlight the potential of terpenes as promising senotherapeutic agents.
Fig. 7.
Senotherapeutics activity of terpenes. Healthy proliferating MSCs may enter senescence following genotoxic stimuli (DNA damage). These senescent cells can be induced into apoptosis with a high concentration of terpenes. Programmed cell death may occur via caspase or through a caspase-independent pathway
However, several critical questions remain regarding their cell type specificity, minimal effective concentrations, and in vivo efficacy. Future studies should explore:
The effectiveness of terpenes in different senescent cell types
The lowest concentrations at which terpenes induce senolysis without affecting healthy cells
Their pharmacokinetics, biodistribution, and safety profiles in preclinical models
Addressing these gaps will be essential for translating terpene-based senotherapeutics into clinical applications for aging-related diseases.
Supplementary Information
Supplementary file 1–ROS detection. Panel E: Intracellular ROS detection by DCF-DA in healthy MSCs incubated with terpenes for different time points. NT: healthy MSCs; CAR: Carvacrol; EUG: Eugenol; LYC: Lycopene; THY: Thymol
Supplementary file 1.
Supplementary file 2 –Loading controls for western blot analysis. The file contains the Ponceau Red S staining utilized as loading control for western blot analysis showed in figure 2, 4, 5 and 6. For the cellular fractions shown in figure 6 the file reports the western blot analysis carried out on enriched cytoplasmic fraction (C), enriched mitochondrial fraction (M) and enriched nuclear fraction (N) of MSCs cultures. For every fraction we evaluated the expression of GAPDH (cytoplasmic marker), TOMM20 (mitochondrial marker) and Histone 4 (H4 – nuclear marker)
Supplementary file 2.
Supplementary file 3–Apoptosis detection following incubation with terpenes. Flow cytometry chart of Annexin V assay on healthy MSCs treated with terpenes. The percentage of apoptotic cells is specified in the histogram
Supplementary file 3.
Supplementary file 4–Raw western blot data. This figure contains the uncropped Western blot films
Supplementary file 4.
Acknowledgements
The authors declare they have not used Artificial Intelligence in this study.
Abbreviations
- MSCs
Mesenchymal stromal cells
- ROS
Reactive oxygen species
- SASP
Senescence-associated secretory phenotype
Author contributions
Conceptualization, UG, NA and GDB; methodology, NA, VM and DA, CS; GG; RDR; RDB software, validation, formal analysis, investigation VM, GG, RDR and DA, writing-original draft preparation, UG, NA, GDB; writing-review and editing, UG, NA; funding acquisition, UG and CS. All authors have read and agreed to the published version of the manuscript.
Funding
Authors acknowledge funding from Ministry of Enterprise and Made in Italy and from European Union PON (grant: Svilupppo di Nutraceutici da Fonti Naturali – BIONUTRA Code ARS01_01166) to UG and CS.
Availability of data and materials
Data will be made available on reasonable request to the authors.
Declarations
Ethical approval and consent to participate
Bone marrow MSCs were obtained from the American Type Culture Collection (ATCC PCS-500–012) lot number 632087779. The original source (ATCC) has confirmed that there was initial ethical approval for collection of human cells, and that the donors had signed informed consent. This study did not involve use of animals.
Consent for publication
The manuscript has been approved by all authors.
Footnotes
Publisher's Note
Springer Nature remains neutral with regard to jurisdictional claims in published maps and institutional affiliations.
Contributor Information
Giovanni Di Bernardo, Email: gianni.dibernardo@unicampania.it.
Umberto Galderisi, Email: umberto.galderisi@unicampania.it.
References
- 1.Kirkland JL, Tchkonia T. Cellular senescence: a translational perspective. EBioMedicine. 2017;21:21–8. [DOI] [PMC free article] [PubMed] [Google Scholar]
- 2.Kirkland JL, Tchkonia T, Zhu Y, Niedernhofer LJ, Robbins PD. The clinical potential of senolytic drugs. J Am Geriatr Soc. 2017;65(10):2297–301. [DOI] [PMC free article] [PubMed] [Google Scholar]
- 3.Galderisi U, Peluso G, Di Bernardo G. Clinical trials based on mesenchymal stromal cells are exponentially increasing: where are we in recent years? Stem Cell Rev Rep. 2022;18(1):23–36. [DOI] [PMC free article] [PubMed] [Google Scholar]
- 4.Coppe JP, Desprez PY, Krtolica A, Campisi J. The senescence-associated secretory phenotype: the dark side of tumor suppression. Annu Rev Pathol. 2010;5:99–118. [DOI] [PMC free article] [PubMed] [Google Scholar]
- 5.van Deursen JM. The role of senescent cells in ageing. Nature. 2014;509(7501):439–46. [DOI] [PMC free article] [PubMed] [Google Scholar]
- 6.Mbara KC, Devnarain N, Owira PMO. Potential role of polyphenolic flavonoids as senotherapeutic agents in degenerative diseases and geroprotection. Pharmaceut Med. 2022;36(6):331–52. [DOI] [PMC free article] [PubMed] [Google Scholar]
- 7.Chedea VS, Tomoiaga LL, Macovei SO, Magureanu DC, Iliescu ML, Bocsan IC, Buzoianu AD, Vosloban CM, Pop RM. Antioxidant/pro-oxidant actions of polyphenols from grapevine and wine by-products-base for complementary therapy in ischemic heart diseases. Front Cardiovasc Med. 2021;8: 750508. [DOI] [PMC free article] [PubMed] [Google Scholar]
- 8.Kanner J. Polyphenols by generating H(2)O(2), affect cell redox signaling, inhibit PTPs and activate Nrf2 axis for adaptation and cell surviving: In Vitro, In Vivo and human health. Antioxidants. 2020;9(9):797. [DOI] [PMC free article] [PubMed] [Google Scholar]
- 9.Davalli P, Mitic T, Caporali A, Lauriola A, D’Arca D. ROS, Cell senescence, and novel molecular mechanisms in aging and age-related diseases. Oxid Med Cell Longev. 2016;2016:3565127. [DOI] [PMC free article] [PubMed] [Google Scholar]
- 10.D’Archivio M, Santangelo C, Scazzocchio B, Vari R, Filesi C, Masella R, Giovannini C. Modulatory effects of polyphenols on apoptosis induction: relevance for cancer prevention. Int J Mol Sci. 2008;9(3):213–28. [DOI] [PMC free article] [PubMed] [Google Scholar]
- 11.Kapala A, Szlendak M, Motacka E. The anti-cancer activity of lycopene: a systematic review of human and animal studies. Nutrients. 2022;14(23):5152. [DOI] [PMC free article] [PubMed] [Google Scholar]
- 12.Silva BIM, Nascimento EA, Silva CJ, Silva TG, Aguiar JS. Anticancer activity of monoterpenes: a systematic review. Mol Biol Rep. 2021;48(7):5775–85. [DOI] [PubMed] [Google Scholar]
- 13.Eghbaliferiz S, Iranshahi M. Prooxidant activity of polyphenols, flavonoids, anthocyanins and carotenoids: updated review of mechanisms and catalyzing metals. Phytother Res. 2016;30(9):1379–91. [DOI] [PubMed] [Google Scholar]
- 14.Shin J, Song MH, Oh JW, Keum YS, Saini RK. Pro-oxidant actions of carotenoids in triggering apoptosis of cancer cells: a review of emerging evidence. Antioxidants (Basel). 2020;9(6):532. [DOI] [PMC free article] [PubMed] [Google Scholar]
- 15.Stahl W, Sies H. Antioxidant activity of carotenoids. Mol Aspects Med. 2003;24(6):345–51. [DOI] [PubMed] [Google Scholar]
- 16.Kong AS, Maran S, Yap PS, Lim SE, Yang SK, Cheng WH, Tan YH, Lai KS. Anti- and pro-oxidant properties of essential oils against antimicrobial resistance. Antioxidants (Basel). 2022;11(9):1819. [DOI] [PMC free article] [PubMed] [Google Scholar]
- 17.Ahmad A, Tiwari RK, Saeed M, Al-Amrah H, Han I, Choi EH, Yadav DK, Ansari IA. Carvacrol instigates intrinsic and extrinsic apoptosis with abrogation of cell cycle progression in cervical cancer cells: inhibition of Hedgehog/GLI signaling cascade. Front Chem. 2022;10:1064191. [DOI] [PMC free article] [PubMed] [Google Scholar]
- 18.Baccouri B and Raijhi I. Potential Antioxidant Activity of Terpenes. In: Perveen S and Al-Taweel AM, eds. Terpens and Terpenoids Recent Advances. (London, UK: IntechOpen). 2020; pp. 40–48.
- 19.Imran M, Aslam M, Alsagaby SA, Saeed F, Ahmad I, Afzaal M, Arshad MU, Abdelgawad MA, El-Ghorab AH, Khames A, Shariati MA, Ahmad A, Hussain M, et al. Therapeutic application of carvacrol: a comprehensive review. Food Sci Nutr. 2022;10(11):3544–61. [DOI] [PMC free article] [PubMed] [Google Scholar]
- 20.Jaganathan SK, Supriyanto E. Antiproliferative and molecular mechanism of eugenol-induced apoptosis in cancer cells. Molecules. 2012;17(6):6290–304. [DOI] [PMC free article] [PubMed] [Google Scholar]
- 21.Khan I, Bahuguna A, Bhardwaj M, Pal Khaket T, Kang SC. Carvacrol nanoemulsion evokes cell cycle arrest, apoptosis induction and autophagy inhibition in doxorubicin resistant-A549 cell line. Artif Cells Nanomed Biotechnol. 2018;46(sup1):664–75. [DOI] [PubMed] [Google Scholar]
- 22.Machado TQ, da Fonseca ACC, Duarte ABS, Robbs BK, de Sousa DP. A Narrative Review of the Antitumor Activity of Monoterpenes from Essential Oils: An Update. Biomed Res Int. 2022;2022:6317201. [DOI] [PMC free article] [PubMed] [Google Scholar]
- 23.Masyita A, Mustika Sari R, Dwi Astuti A, Yasir B, Rahma Rumata N, Emran TB, Nainu F, Simal-Gandara J. Terpenes and terpenoids as main bioactive compounds of essential oils, their roles in human health and potential application as natural food preservatives. Food Chem X. 2022;13: 100217. [DOI] [PMC free article] [PubMed] [Google Scholar]
- 24.Moradipour A, Dariushnejad H, Ahmadizadeh C, Lashgarian HE. Dietary flavonoid carvacrol triggers the apoptosis of human breast cancer MCF-7 cells via the p53/Bax/Bcl-2 axis. Med Oncol. 2022;40(1):46. [DOI] [PubMed] [Google Scholar]
- 25.Qoorchi Moheb Seraj F, Heravi-Faz N, Soltani A, Ahmadi SS, Shahbeiki F, Talebpour A, Afshari AR, Ferns GA, Bahrami A. Thymol has anticancer effects in U-87 human malignant glioblastoma cells. Mol Biol Rep. 2022;49(10):9623–32. [DOI] [PubMed] [Google Scholar]
- 26.Sampaio LA, Pina LTS, Serafini MR, Tavares DDS, Guimaraes AG. Antitumor effects of carvacrol and thymol: a systematic review. Front Pharmacol. 2021;12: 702487. [DOI] [PMC free article] [PubMed] [Google Scholar]
- 27.Liao PC, Bergamini C, Fato R, Pon LA, Pallotti F. Isolation of mitochondria from cells and tissues. Methods Cell Biol. 2020;155:3–31. [DOI] [PMC free article] [PubMed] [Google Scholar]
- 28.Anerillas C, Herman AB, Rossi M, Munk R, Lehrmann E, Martindale JL, Cui CY, Abdelmohsen K, De S, Gorospe M. Early SRC activation skews cell fate from apoptosis to senescence. Sci Adv. 2022;8(14):eabm0756. [DOI] [PMC free article] [PubMed] [Google Scholar]
- 29.Di Bernardo G, Squillaro T, Dell’Aversana C, Miceli M, Cipollaro M, Cascino A, Altucci L, Galderisi U. Histone deacetylase inhibitors promote apoptosis and senescence in human mesenchymal stem cells. Stem Cells Dev. 2009;18(4):573–81. [DOI] [PubMed] [Google Scholar]
- 30.Ozcan S, Alessio N, Acar MB, Mert E, Omerli F, Peluso G, Galderisi U. Unbiased analysis of senescence associated secretory phenotype (SASP) to identify common components following different genotoxic stresses. Aging (Albany NY). 2016;8(7):1316–29. [DOI] [PMC free article] [PubMed] [Google Scholar]
- 31.Alessio N, Squillaro T, Lettiero I, Galano G, De Rosa R, Peluso G, Galderisi U, Di Bernardo G. Biomolecular evaluation of piceatannol’s effects in counteracting the senescence of mesenchymal stromal cells: a new candidate for senotherapeutics? Int J Mol Sci. 2021;22(21):11619. [DOI] [PMC free article] [PubMed] [Google Scholar]
- 32.Alessio N, Aprile D, Cappabianca S, Peluso G, Di Bernardo G, Galderisi U. Different stages of quiescence, senescence, and cell stress identified by molecular algorithm based on the expression of Ki67, RPS6, and beta-galactosidase activity. Int J Mol Sci. 2021;22(6):3102. [DOI] [PMC free article] [PubMed] [Google Scholar]
- 33.Alessio N, Bohn W, Rauchberger V, Rizzolio F, Cipollaro M, Rosemann M, Irmler M, Beckers J, Giordano A, Galderisi U. Silencing of RB1 but not of RB2/P130 induces cellular senescence and impairs the differentiation potential of human mesenchymal stem cells. Cell Mol Life Sci. 2013;70(9):1637–51. [DOI] [PMC free article] [PubMed] [Google Scholar]
- 34.Fuhrmann-Stroissnigg H, Ling YY, Zhao J, McGowan SJ, Zhu Y, Brooks RW, Grassi D, Gregg SQ, Stripay JL, Dorronsoro A, Corbo L, Tang P, Bukata C, et al. Identification of HSP90 inhibitors as a novel class of senolytics. Nat Commun. 2017;8(1):422. [DOI] [PMC free article] [PubMed] [Google Scholar]
- 35.Amin HM, Saeed S, Alkan S. Histone deacetylase inhibitors induce caspase-dependent apoptosis and downregulation of daxx in acute promyelocytic leukaemia with t(15;17). Br J Haematol. 2001;115(2):287–97. [DOI] [PubMed] [Google Scholar]
- 36.Bhadra K. A mini review on molecules inducing caspase-independent cell death: a new route to cancer therapy. Molecules. 2022;27(19):6401. [DOI] [PMC free article] [PubMed] [Google Scholar]
- 37.Cregan SP, Dawson VL, Slack RS. Role of AIF in caspase-dependent and caspase-independent cell death. Oncogene. 2004;23(16):2785–96. [DOI] [PubMed] [Google Scholar]
- 38.Daugas E, Susin SA, Zamzami N, Ferri KF, Irinopoulou T, Larochette N, Prevost MC, Leber B, Andrews D, Penninger J, Kroemer G. Mitochondrio-nuclear translocation of AIF in apoptosis and necrosis. FASEB J. 2000;14(5):729–39. [PubMed] [Google Scholar]
- 39.Kwon DH, Cha HJ, Lee H, Hong SH, Park C, Park SH, Kim GY, Kim S, Kim HS, Hwang HJ, Choi YH. Protective effect of glutathione against oxidative stress-induced cytotoxicity in RAW 264.7 macrophages through activating the nuclear factor erythroid 2-related factor-2/Heme Oxygenase-1 pathway. Antioxidants (Basel). 2019;8(4):82. [DOI] [PMC free article] [PubMed] [Google Scholar]
- 40.Zhang L, Pitcher LE, Prahalad V, Niedernhofer LJ, Robbins PD. Targeting cellular senescence with senotherapeutics: senolytics and senomorphics. FEBS J. 2023;290(5):1362–83. [DOI] [PubMed] [Google Scholar]
- 41.Boots AW, Balk JM, Bast A, Haenen GR. The reversibility of the glutathionyl-quercetin adduct spreads oxidized quercetin-induced toxicity. Biochem Biophys Res Commun. 2005;338(2):923–9. [DOI] [PubMed] [Google Scholar]
- 42.Macip S, Igarashi M, Berggren P, Yu J, Lee SW, Aaronson SA. Influence of induced reactive oxygen species in p53-mediated cell fate decisions. Mol Cell Biol. 2003;23(23):8576–85. [DOI] [PMC free article] [PubMed] [Google Scholar]
- 43.Andrés CMC, Pérez de la Lastra JM, Juan CA, Plou FJ, Pérez-Lebeña E. Polyphenols as antioxidant/pro-oxidant compounds and donors of reducing species: relationship with human antioxidant metabolism. Processes. 2023;11(9):2771. [Google Scholar]
Associated Data
This section collects any data citations, data availability statements, or supplementary materials included in this article.
Supplementary Materials
Supplementary file 1–ROS detection. Panel E: Intracellular ROS detection by DCF-DA in healthy MSCs incubated with terpenes for different time points. NT: healthy MSCs; CAR: Carvacrol; EUG: Eugenol; LYC: Lycopene; THY: Thymol
Supplementary file 1.
Supplementary file 2 –Loading controls for western blot analysis. The file contains the Ponceau Red S staining utilized as loading control for western blot analysis showed in figure 2, 4, 5 and 6. For the cellular fractions shown in figure 6 the file reports the western blot analysis carried out on enriched cytoplasmic fraction (C), enriched mitochondrial fraction (M) and enriched nuclear fraction (N) of MSCs cultures. For every fraction we evaluated the expression of GAPDH (cytoplasmic marker), TOMM20 (mitochondrial marker) and Histone 4 (H4 – nuclear marker)
Supplementary file 2.
Supplementary file 3–Apoptosis detection following incubation with terpenes. Flow cytometry chart of Annexin V assay on healthy MSCs treated with terpenes. The percentage of apoptotic cells is specified in the histogram
Supplementary file 3.
Supplementary file 4–Raw western blot data. This figure contains the uncropped Western blot films
Supplementary file 4.
Data Availability Statement
Data will be made available on reasonable request to the authors.







