Abstract
Background
Cotton phenol is a yellowish-brown polyphenol hydroxybinaphthyl aldehyde compound mainly found in the roots, stems, leaves and seeds of cotton; a plant of the mallow family that has been widely used in the study of antifertility and antitumor drugs. However, there has been no report of serious renal injuries caused by cotton phenol. We report a case of granulomatous acute interstitial nephritis caused by exposure to large amounts of cotton phenol.
Case description
The patient was a 56-year-old male with nausea and a blood creatinine level of 4.95 mg/dL 2 month prior to admission. He was admitted to the hospital with worsening nausea, blood creatinine level of 7.21 mg/dL, and a renal puncture biopsy suggesting granulomatous acute interstitial nephritis. The patient had no specific past medical history. Laboratory tests (double-stranded DNA, antineutrophil cytoplasmic antibody, extractable nuclear antigen, rheumatoid subunit, serum and urine protein electrophoresis, complement levels, immunoglobulin subclasses, streptococcal serology, and hepatitis B and C serology were negative, normal or undetectable. Follow-up history revealed that the patient receives large quantities of cotton phenol at work. The diagnosis was granulomatous acute interstitial nephritis induced by exposure to cotton phenol. Treatment was volume management, maintenance of a stable internal environment, and glucocorticoid activation. Blood creatinine level gradually decreased to 1.86 mg/dL after 3 month and his condition improved.
Conclusions
Physicians encountering patients with acute interstitial nephritis of uncertain etiology are obligated to conduct a prompt and comprehensive history review. Special attention should be given to cotton phenol and its derivatives as they may potentially act as nephrotoxic agents. The application of glucocorticoids in the treatment of acute interstitial nephritis remains a subject of debate. However, in this particular case, the patient exhibited a rapid restoration of renal function following the administration of glucocorticoids.
Supplementary Information
The online version contains supplementary material available at 10.1186/s12894-025-01807-6.
Keywords: Case report, Cotton phenol, Acute interstitial nephritis, Glucocorticosteroid
Introduction
Acute interstitial nephritis (AIN) is a tubulointerstitial renal disease characterised by acute inflammation and oedema of the renal interstitium, accompanied by impairment of renal tubular function. It is also known as acute tubulo-interstitial nephritis. The term AIN was first proposed by Councilman in 1898 during the autopsy of a group of patients with diphtheria and scarlet fever. The incidence of AIN varies considerably between different countries and regions. A review of the literature on renal biopsy cases indicates that AIN accounts for 1–2% of cases in many countries [1]. In patients who have had renal biopsies for acute kidney injury(AKI), AIN accounts for 15–27% of cases [1]. The most common causes of AIN can be categorised into four groups: exogenous compounds such as drugs, infections, autoimmune disorders, and idiopathic causes (Table 1), with drugs being the most prevalent [2]. All causes of AIN may present with nonspecific signs and symptoms of acute renal insufficiency, including acute or subacute nausea, vomiting, discomfort, oliguria and haematuria.
Table 1.
Causes of acute interstitial nephritis [2]
| Cause of disease | Instance |
|---|---|
| Exogenous compounds such as drugs |
Antibiotics (Penicillins, Cephalosporins, Quinolones, Sulfonamides, Macrolides), anti-retrovirals (Abacavir, Acyclovir, Atazanavir, Azythromycin, Foscarnet, Indinavir, Interferon-alpha), non-steroidal anti-inflammatory drugs (Celecoxib, Rofecoxib, Diclofenac), diuretics (Chlorothiazide, Hydrochlorothiazide), anticonvulsants (Carbamazepine, Diazepam, Lamotrigine, Levetiracetam, Phenobarbital, Phenytoin, Valproic acid), proton pump inhibitors (Esomeprazole, Lansoprazole, Omeprazole, Pantoprazole, Rabeprazole), H2 receptor blockers (Cimetidine, Famotidine, Ranitidine), herbs(traditional Chinese herbal medicines containing triptolide, ephedrine, aristolochic acid) |
| Infections | Bacteria, viruses, leptospira, mycobacterium tuberculosis, mycoplasma, chlamydia. |
| Autoimmune disease | Systemic lupus erythematosus, nodular disease, Sjögren’s syndrome. |
| Idiopathic | Anti-renal tubular basement membrane disease, interstitial nephritis–uveitis syndrome. |
We present a case of severe AKI triggered by exposure to cotton phenol. Percutaneous nephron puncture biopsy confirmed that the patient’s renal failure was caused by AIN. The objective of this case report is to emphasise the role of cotton phenol as a rare cause of AIN. Through in-depth analysis of this case, we aim to enhance the understanding of AIN and provide guidance for the diagnosis and management of similar cases in the future.
Case report
A 56-year-old male patient was admitted to hospital with recurrent nausea, accompanied by elevated blood creatinine for 2 months. Two months ago, he was assessed in the local hospital for nausea and found to have renal insufficiency: urea 15.8 mmol/L, blood creatinine 4.95 mg/dL, and uric acid 9.66 mg/dL. Routine urinalysis revealed urinary protein 1+. Urological ultrasound revealed: right kidney size 9.1 cm × 4.9 cm, left kidney size 10.2 cm × 5.7 cm, and right kidney stone. After treatment with uric acid control (sodium bicarbonate) and volume management in the local hospital, there was no relief of the above symptoms, and he was transferred to our hospital for further consultation.
He had no antecedent history of kidney-related disorders. During annual routine physical examinations, no evidence of impaired renal function was identified. Additionally, the patient denied a history of other specific diseases, including hypertension, diabetes mellitus, hepatitis, and tuberculosis. His vital signs were all normal at the time of admission, with no positive findings. The blood routine examination results indicated the presence of mild anemia along with a potential inflammatory state. The serum creatinine level was elevated to 7.21 mg/dL. In the urinalysis, 2 + urinary occult blood was detected; the levels of urinary α1-microglobulin and urinary microalbumin were abnormally elevated; the result of the 24-hour urinary protein quantification was normal. No abnormalities were found in either the liver function tests or the immunological assays. The chest computed tomography (CT) scan demonstrated scattered inflammatory foci in the lungs and multiple nodules, for which the probability of them being inflammatory nodules was considered to be high. The detailed examination results are presented in Table 2.
Table 2.
Patient’s preliminary laboratory results
| Index | Results | Normal Reference Range for Adult Males | |
|---|---|---|---|
| Routine blood tests | |||
| red blood cell count (×1012/L) | 3.89* | 4.0 ~ 5.5 | |
| haemoglobin (g/L) | 113* | 120 ~ 160 | |
| white blood cell count (×10⁹/L) | 4.77 | 4 ~ 10 | |
| neutrophil absolute count (×10⁹/L) | 3.48 | 2 ~ 7 | |
| lymphocyte absolute count (×10⁹/L) | 0.71* | 0.8 ~ 4.0 | |
| high-sensitivity C-reactive protein (mg/L) | 9.41† | < 3 | |
| platelet count (×10⁹/L) | 274 | 100 ~ 300 | |
| erythrocyte sedimentation rate (mm/h) | 57† | 0 ~ 20 | |
| Liver function | |||
| albumin (g/L) | 38.6 | 35 ~ 55 | |
| globulin (g/L) | 31.5 | 20 ~ 35 | |
| total bilirubin (µmol/L) | 9 | 3.4 ~ 17.1 | |
| aspartate aminotransferase (U/L) | 17 | < 40 | |
| alanine aminotransferase (U/L) | 13 | < 40 | |
| Kidney function | |||
| blood urea nitrogen (mmol/L) | 21.6† | 2.9 ~ 7.2 | |
| blood creatinine (mg/dL) | 7.21† | 0.6 ~ 1.2 | |
| uric acid (mg/dL) | 9.87† | 3.5 ~ 7.2 | |
| Electrolytes | |||
| K (mmol/L) | 4.18 | 3.5 ~ 5.5 | |
| Na (mmol/L) | 140 | 135 ~ 145 | |
| Cl (mmol/L) | 103 | 96 ~ 106 | |
| Ca (mmol/L) | 2.29 | 2.25 ~ 2.58 | |
| Pi (mmol/L) | 1.45 | 0.97 ~ 1.61 | |
| Mg (mmol/L) | 0.9 | 0.7 ~ 1.10 | |
| Routine urinalysis | |||
| urine potein | - | - | |
| leukocyturi | - | - | |
| occult blood in urine | 2+† | - | |
| Parathyroid hormone (pg/mL) | 20.7 | 15 ~ 65 | |
| urine α1-microglobulin (mg/L) | 227† | 0 ~ 15 | |
| urine microalbumin (mg/L) | 90.8† | < 30 | |
| 24-hour urine output (L) | 1.8 | ||
| 24-hour urine protein quantification (mg/24H) | 129.6 | < 150 | |
| Autoantibody spectrum | |||
| nRNP/Sm antibody | - | - | |
| Sm antibody | - | - | |
| Ro-52 antibody | - | - | |
| SS-B antibody | - | - | |
| Scl-70 antibody | - | - | |
| PM-Scl antibody | - | - | |
| Jo-1 antibody | - | - | |
| CENP-B antibody | - | - | |
| PCNA antibody | - | - | |
| dsDNA antibody | - | - | |
| Nucleosome antibody | - | - | |
| Histone | - | - | |
| Ribosomal P protein | - | - | |
| AMA M2 | - | - | |
| anti-MPO antibody | - | - | |
| anti-PR3 antibody | - | - | |
| anti-GBM antibody | - | - | |
| SS-A antibody | - | - | |
| ANA | - | - | |
| Antistreptolysin O (IU/ml) | < 25 | 0 ~ 200 | |
| Rheumatoid Factor | < 20 | 0 ~ 20 | |
| Complement | |||
| C3 (g/L) | 1.09 | 0.7 ~ 1.5 | |
| C4 (g/L) | 0.36 | 0.1 ~ 0.4 | |
| Hepatitis B Five-item Test | |||
| HBsAg (IU/ml) | 0.01 | 0 ~ 0.5 | |
| Anti-HBs (mIU/ml) | 0.89 | 0 ~ 10 | |
| HBeAg (IU/ml) | 0.01 | 0 ~ 0.5 | |
| Anti-HBe (PEI U/ml) | 0.02 | 0 ~ 0.2 | |
| Anti-HBc (PEI U/ml) | 0.28 | 0 ~ 0.9 | |
| Hepatitis C Virus Antibody Test (S/CO) | 0.01 | < 1.0 | |
| HIV Antibody Test (S/CO) | 0.02 | < 1.0 | |
| TP Antibody Test (S/CO) | 0.02 | < 1.0 | |
*: the corresponding value is below the lower limit of the normal reference range; †: the corresponding value is above the upper limit of the normal reference range
Chest CT: (1) Nodules in the posterior segment of the upper lobe of the right lung with peripheral inflammatory changes, consider the possibility of infectious lesions, suggest follow-up after treatment; scattered inflammatory changes in both lungs. (2) Multiple solid nodular shadows in both lungs, inflammatory nodules? (3)Multiple mediastinal lymph nodes showing partial calcification; localised pleural calcification in the left lung apex.
Renal puncture biopsy: granulomatous interstitial nephritis (Figs. 1, 2, 3, 4 and 5).
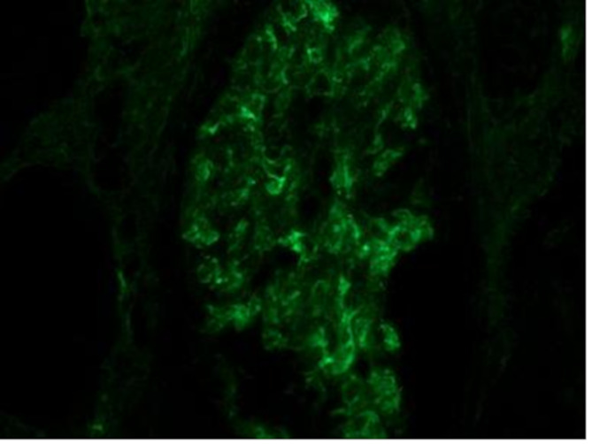
Fig. 1.
IF image of renal biopsy. IgG (-), IgA (-), IgM (+), C3 (-), C1q (-), Fib (-), ALB (-). No immune complex deposition was observed
Fig. 2.
H&E stain image of renal biopsy
Fig. 3.
Masson stain image of renal biopsy
Fig. 4.
PAS stain image of renal biopsy
Fig. 5.
Methenamine silver stain image of renal biopsy
A (×4.0, H&E stain) The renal tissue appears light purple. B (×40.0, H&E stain) Granular degeneration of renal tubular epithelial cells (blue arrow). The cells are swollen, with loose and pale - stained cytoplasm, and occasional protein casts are seen (brown arrow). C (×40.0, H&E stain) Interstitial granulomas with formation of multinucleated giant cells are visible (black arrow). D (×40.0, H&E stain) A relatively large - scale atrophy of renal tubules is observed (orange arrow), with narrowed lumens. A large number of renal tubules have necrosed and disappeared, replaced by proliferated connective tissue (green arrow). Inflammatory cell infiltration mainly composed of lymphocytes is visible (purple arrow).
A (×4.0, Masson stain): Collagen fibers are stained blue, while other tissues are stained red. B (×40.0, Masson stain): Partial fibrosis in the renal tissue can be observed. The proliferation of collagen fibers is visible in the renal interstitium (yellow arrow), and the proliferated collagen fibers are distributed in a reticular pattern.
A (×4.0, PAS stain): The renal tissue as a whole appears light purple. B (×40.0, PAS stain): A small amount of brush - border shedding is visible in the renal tubules (black arrow). There is no obvious glycogen deposition in the epithelial cells, and the cell nuclei are light blue. Serous substances with a purplish - red color are occasionally seen in the renal tubules (red arrow).
A (×4.0, Methenamine silver stain): The basement membrane of the glomerular capsule, the basement membrane of renal tubular epithelium, and the reticular fibers all appear black, with a red background. B (×40.0, Methenamine silver stain): Marked thickening (red arrow) and intensified staining of the renal tubular basement membranes are observable.
Treatment and follow-up
Days 1–11 after admission
The patient was admitted with a clear AKI, and potential pulmonary infection, and was immediately treated with anti-infection (piperacillin sodium), volume management, maintenance of a stable internal environment, and dietary guidance. We continued to test his vital signs, as well as any fluctuations of his high-sensitivity C-reactive protein (hs-CRP), electrolytes and renal function. The patient’s renal function showed a trend of continued progression, and renal puncture biopsy was perfected on day 7 after admission, and the hs-CRP was reduced to normal (2.27 mg/L). Chest CT showed that the pulmonary nodules were reduced.
From day 11 after admission to discharge
The pathology report of renal biopsy was returned on day 11 after admission. After integrating the patient’s auxiliary examination and medical history, we finally diagnosed the patient with cotton-phenol-induced AIN. At that time, the patient’s blood creatinine level was already as high as 7.88 mg/dL. He continued to follow the treatment plan for 3 days, and on day 14, blood creatinine level was rechecked as 7.95 mg/dL. In accordance with the patient’s wishes, renal replacement therapy was not carried out at that time. So we decided to use glucocorticoids, and after 14 days of intravenous glucocorticoids (40 mg/day), the blood creatinine level gradually decreased to 3.30 mg/dL. Symptoms such as nausea gradually disappeared and his appetite gradually improved. The patient was discharged from hospital when his condition improved gradually (Fig. 6).
Fig. 6.
Fluctuation of creatinine throughout the course of disease
Post-discharge follow-up
The patient was discharged on regular glucocorticosteroids (40 mg po daily) and blood creatinine was 2.04 mg/dL 1 month after discharge.
Discussion
The patient was admitted to the hospital with a definite diagnosis of AKI, but the primary etiology remained unclear. We conducted tests for anti-myeloperoxidase (MPO) antibody, anti-proteinase 3 (PR3) antibody, antinuclear antibody (ANA), double-stranded DNA (dsDNA), and complement levels, all of which showed no abnormalities. Therefore, we ruled out the diagnoses of antineutrophil cytoplasmic antibodies (ANCA)-associated vasculitis, systemic lupus erythematosus nephritis, IgG4-related diseases, and hypocomplementemic AIN. Tests for anti-Ro/SSA and anti-La/SSB antibodies and rheumatoid factor (RF) were also performed, and the results did not support the diagnosis of Sjögren’s syndrome. The results of streptococcal serology, as well as serology for hepatitis B and C, were all negative, which was inconsistent with virus-associated nephritis. Although the chest CT scan and hs-CRP indicated the presence of a pulmonary infection, the patient had no respiratory symptoms such as fever or chills, nor any systemic symptoms. The white blood cell count did not increase abnormally. Further improvement of sputum culture did not detect any bacterial or fungal infections. Moreover, after 7 days of anti-infective treatment, a repeated chest CT scan showed that the pulmonary nodules had decreased in size compared with the previous one, and the hs-CRP had dropped to the normal level. In summary, the patient’s infection was under control, but the serum creatinine level did not decrease, and the renal function did not improve. Therefore, infectious interstitial nephritis was not considered. All the above common infectious, autoimmune, and idiopathic etiologies were excluded. Further improvement of renal puncture biopsy confirmed that the patient had granulomatous interstitial nephritis. We considered the possibility of AIN caused by sarcoidosis or Mycobacterium tuberculosis infection. We further improved the relevant examinations. Although the patient’s T-Cell-based Interferon-Gamma Release Assay (TB-IGRA) result was positive and the chest CT scan also suggested infectious changes, the acid-fast staining of urine sediment and the test for Mycobacterium tuberculosis were both negative. The infectious changes in the lungs did not conform to the typical manifestations of pulmonary tuberculosis. At the same time, the patient had no previous history of tuberculosis, and there were no typical symptoms such as hemoptysis, chest pain, hectic fever, night sweats, or weight loss during hospitalization. In conclusion, the possibility of AIN caused by tuberculosis was extremely low. Although the chest CT scan of the patient suggested multiple nodules, they were considered to be infectious nodules. Meanwhile, the patient’s serum calcium level was normal, and no typical manifestations of sarcoidosis were found during physical examination. Therefore, AIN caused by sarcoidosis was also not considered. We carefully inquired about the patient’s medical history again. The patient recalled that he had changed his job 5 months ago. His new job mainly involved automotive repair and maintenance. In his daily work, the lubricating oil he used was crude cottonseed oil that he pressed from cottonseeds by himself. This crude cottonseed oil contains a large amount of gossypol [3]. He came into bare-handed contact with the crude cottonseed oil every day. Moreover, his working environment had poor ventilation, and he worked about 6 h a day. During work, he neither wore a mask nor gloves. In a follow-up visit after the patient was discharged from the hospital, he stated that his colleagues in the same position as him also had the same impaired renal function. Finally, we diagnosed the patient as having a granulomatous AIN caused by large amounts of cotton phenol exposure. we clarified the final aetiology during a follow-up visit after the patient was discharged, when he stated that his workmates in the same position as him had the same impaired renal function. It has been shown experimentally that cotton phenol can cause renal damage in mice, as demonstrated by diffuse thylakoid cell hyperplasia, increased thylakoid stroma, adhesion to the wall layer of the renal capsule, marked reduction or even disappearance of the renal capsule lumen, disruption of the structural texture, and morphological abnormalities [4].
Cotton phenol is a polyphenolic compound, with the chemical formula C30H30O8, that occurs naturally in the cotton plant, which can enhance the plant resistance to pests. In terms of medical applications, cotton phenol and its derivatives show a wide range of therapeutic potential. In addition to its properties against some viruses and bacteria [6–11], cotton phenol has been investigated as a potential drug for the treatment of a wide range of malignancies such as leukaemia, lymphoma, colon cancer, breast cancer, leiomyosarcoma and prostate cancer [12–25]. Its mechanism of action involves inhibition of tumour cell proliferation and induction of apoptosis, and these properties have made cotton phenol the subject of much attention in the field of anticancer therapy. In addition, cotton phenol has shown significant value in the treatment of gynaecological conditions, such as uterine fibroids, endometriosis and uterine bleeding. It was introduced into clinical practice in China in the 1970s and continues to be explored for its potential application in the treatment of gynaecological diseases [17]. Although the application of cotton phenol is promising, its reproductive toxicity has limited its widespread clinical use. Therefore, researchers are endeavouring to find and develop safer and more effective derivatives to further expand its applications.
Cotton phenol can also cause toxic effects in animals, mainly through the Browning or Meladic reaction with amino acids, which reduces the absorption and utilisation of amino acids, or by interfering with the activity of enzymes in the electron transport chain of mitochondria (especially dehydrogenases and oxidoreductases) or by directly damaging the mitochondrial membrane. It also affects the mitochondrial membrane potential, leading to mitochondrial dysfunction, thus affecting cellular energy metabolism and inducing toxicity [26–28]. Cotton phenol can also lead to a decrease in the number of leukocytes and major lymphocytes, thus affecting immunity [26]. Cotton phenol has been reported to cause toxicity in a variety of animals such as cattle, sheep, pigs, dogs and chickens, which may result in congestion and oedema of internal organs, liver and kidney damage, or cardiac damage [29].
AIN is an AKI characterised by acute inflammation and oedema of the renal interstitium, accompanied by acute tubular dysfunction. Clinical diagnosis of AIN can usually be made on the basis of the typical history, clinical manifestations and laboratory tests, but renal puncture biopsy is the gold standard for the diagnosis. The usual treatments for AIN are: (1) removal of causative factors, such as, stopping related drugs, and treating primary infection; (2) systemic supportive therapy; and (3) immunosuppressive therapy, including glucocorticoids and immunosuppressive drugs. Timely diagnosis and treatment can avoid disease progression, and some patients can fully recover renal function, whereas others may progress to chronic kidney disease. In conclusion, the causative factors, disease duration, degree of renal function impairment, degree of interstitial fibrosis, and the timeliness and appropriateness of the treatment all affect the prognosis of AIN.
The use of glucocorticoids in the treatment of AIN has been controversial. The best evidence in support of glucocorticoid therapy comes from a retrospective multicentre study in Spain, which included 61 patients with biopsy-proven AIN; 52 of whom received glucocorticoid therapy. Despite the small sample size of the control group, with only nine patients who did not receive glucocorticoids, the results showed a positive impact of glucocorticoids on the recovery of renal function and shedding of dialysis at 18-months’ follow-up [30]. Although there have been several small studies with similar results to this study [31], not all of them have supported the efficacy of glucocorticoids. For example, a retrospective study in 2004 in the USA found that glucocorticoids did not show any therapeutic advantage in 60 patients with biopsy-confirmed drug-induced AIN [32]. Some negative studies have suggested that the ineffectiveness of glucocorticoid therapy may be related to the inclusion of patients with more severe disease and patients with AIN induced by nonsteroidal anti-inflammatory drugs (where glucocorticoids may be ineffective). However, in the present case, the patient’s renal function recovered rapidly after glucocorticoids were activated.
This case reminds physicians to consider the possibility of AIN in any diagnosis of unexplained AKI, and the need for timely medical history review and consideration of the patient’s environmental exposures when the aetiological diagnosis is more difficult, in order to avoid missed or misdiagnosis, which may delay treatment and affect prognosis. At present, cotton phenol and its derivatives find extensive applications. For instance, they are utilized in the manufacture of anti-fertility drugs, for the prevention and management of pests and diseases in crops [33], and serve as antioxidants in the rubber industry, polyethylene industry, polypropylene industry, as well as in rocket fuel and so on [34]. This reminds physicians to consider it as a potential nephrotoxicant when they see patients engaged in the relevant industries.
Electronic supplementary material
Below is the link to the electronic supplementary material.
Acknowledgements
Not applicable.
Abbreviations
- AIN
Acute interstitial nephritis
- AKI
Acute kidney injury
- ANA
Antinuclear antibody
- ANCA
Antineutrophil cytoplasmic antibody
- ANCA
Antineutrophil cytoplasmic antibodies
- CT
Computed tomography
- dsDNA
Double-stranded DNA
- hs-CRP
High-sensitivity C-reactive protein
- MPO
Myeloperoxidase
- PR3
Proteinase 3
Author contributions
MZ, DJ, PZ, and JL contributed to patient diagnosis, management, and clinical data analysis. MZ, HS, YL and QH contributed to the patient’s pathological diagnosis and took and edited pathological pictures. MZ and DJ wrote the manuscript draft and contributed to data analysis, and interpretation. QZ made final changes to the interpretation of the pathology images in the manuscript and to the content of the manuscript.
Funding
This research was supported by ‘Luzhou Municipal People’s Government-Southwest Medical University Science and Technology Strategic Cooperation Project’, ‘Sichuan Science and Technology Program’, ‘Sichuan Administration of Traditional Chinese Medicine’ and ‘Southwest Medical University - Southwest Medical University affiliated Hospital of Traditional Chinese Medicine joint project’.
Data availability
The datasets used during the current study are available from the corresponding author on reasonable request.
Declarations
Ethics approval and consent to participate
This case report was in adherence with the Declaration of Helsinki and approved by the Ethics Committee of The Affiliated Traditional Chinese Medicine Hospital, Southwest Medical University, approval number KY2023020-FS01. The authors declared that written informed consent was obtained from the patient for publication of this case report and accompanying images.
Consent for publication
The article has been read by the patient himself and agreed to be published in' BMC Urology’. Our patient gave written informed consent for their personal or clinical details along with any identifying images to be published in this study. (The specific written informed consent can be seen in the relevant documents uploaded.)
Competing interests
The authors declare no competing interests.
Footnotes
Publisher’s note
Springer Nature remains neutral with regard to jurisdictional claims in published maps and institutional affiliations.
Ming Zhao and Dongyang Jiang contributed equally to this post.
Contributor Information
Qiongdan Hu, Email: huqiongdan@swmu.edu.cn.
Qiong Zhang, Email: LYJean69@163.com.
References
- 1.Praga M, González E. Acute interstitial nephritis. Kidney Int. 2010;77(11):956–61. [DOI] [PubMed] [Google Scholar]
- 2.Raghavan R, Eknoyan G. Acute interstitial nephritis - a reappraisal and update. Clin Nephrol. 2014;82(3):149–62. [DOI] [PMC free article] [PubMed] [Google Scholar]
- 3.Qian SZ, Wang ZG. Gossypol: a potential antifertility agent for males. Annu Rev Pharmacol Toxicol. 1984;24:329–60. [DOI] [PubMed] [Google Scholar]
- 4.Wang H, Piao Z, Ma H, Cao L, Liu J, Wu J. [Short-term exposure to gossypol causes reversible reproductive toxicity and nephrotoxicity in mice]. Nan Fang Yi Ke Da Xue Xue Bao. 2023;43(2):251–6. [DOI] [PMC free article] [PubMed] [Google Scholar]
- 5.Polsky B, Segal SJ, Baron PA, Gold JW, Ueno H, Armstrong D. Inactivation of human immunodeficiency virus in vitro by gossypol. Contraception. 1989;39(6):579–87. [DOI] [PubMed] [Google Scholar]
- 6.Yang J, Zhang F, Li J, Chen G, Wu S, Ouyang W, Pan W, Yu R, Yang J, Tien P. Synthesis and antiviral activities of novel gossypol derivatives. Bioorg Med Chem Lett. 2012;22(3):1415–20. [DOI] [PubMed] [Google Scholar]
- 7.Yang J, Chen G, Li LL, Pan W, Zhang F, Yang J, Wu S, Tien P. Synthesis and anti-H5N1 activity of chiral gossypol derivatives and its analogs implicated by a viral entry blocking mechanism. Bioorg Med Chem Lett. 2013;23(9):2619–23. [DOI] [PubMed] [Google Scholar]
- 8.Margalith P. Inhibitory effect of gossypol on microorganisms. Appl Microbiol. 1967;15(4):952–3. [DOI] [PMC free article] [PubMed] [Google Scholar]
- 9.Yildirim-Aksoy M, Lim C, Dowd MK, Wan PJ, Klesius PH, Shoemaker C. In vitro inhibitory effect of gossypol from gossypol-acetic acid, and (+)- and (-)-isomers of gossypol on the growth of Edwardsiella ictaluri. J Appl Microbiol. 2004;97(1):87–92. [DOI] [PubMed] [Google Scholar]
- 10.Turco E, Vizzuso C, Franceschini S, Ragazzi A, Stefanini FM. The in vitro effect of gossypol and its interaction with salts on conidial germination and viability of fusarium oxysporum Sp. vasinfectum isolates. J Appl Microbiol. 2007;103(6):2370–81. [DOI] [PubMed] [Google Scholar]
- 11.Arinbasarova AY, Medentsev AG, Krupyanko VI. Gossypol inhibits Electron transport and stimulates ROS generation in Yarrowia lipolytica mitochondria. Open Biochem J. 2012;6:11–5. [DOI] [PMC free article] [PubMed] [Google Scholar]
- 12.Balakrishnan K, Wierda WG, Keating MJ, Gandhi V. Gossypol, a BH3 mimetic, induces apoptosis in chronic lymphocytic leukemia cells. Blood. 2008;112(5):1971–80. [DOI] [PMC free article] [PubMed] [Google Scholar]
- 13.Johnson PW. New targets for lymphoma treatment. Ann Oncol. 2008;19(Suppl 4):iv56–59. [DOI] [PubMed] [Google Scholar]
- 14.Wang X, Wang J, Wong SC, Chow LS, Nicholls JM, Wong YC, Liu Y, Kwong DL, Sham JS, Tsa SW. Cytotoxic effect of gossypol on colon carcinoma cells. Life Sci. 2000;67(22):2663–71. [DOI] [PubMed] [Google Scholar]
- 15.Van Poznak C, Seidman AD, Reidenberg MM, Moasser MM, Sklarin N, Van Zee K, Borgen P, Gollub M, Bacotti D, Yao TJ, et al. Oral gossypol in the treatment of patients with refractory metastatic breast cancer: a phase I/II clinical trial. Breast Cancer Res Treat. 2001;66(3):239–48. [DOI] [PubMed] [Google Scholar]
- 16.Ye W, Chang HL, Wang LS, Huang YW, Shu S, Dowd MK, Wan PJ, Sugimoto Y, Lin YC. Modulation of multidrug resistance gene expression in human breast cancer cells by (-)-gossypol-enriched cottonseed oil. Anticancer Res. 2007;27(1a):107–16. [PubMed] [Google Scholar]
- 17.Han ML, Wang YF, Tang MY, Ge QS, Zhou LF, Zhu PD, Sun YT. Gossypol in the treatment of endometriosis and uterine Myoma. Contrib Gynecol Obstet. 1987;16:268–70. [PubMed] [Google Scholar]
- 18.Jiang J, Slivova V, Jedinak A, Sliva D. Gossypol inhibits growth, invasiveness, and angiogenesis in human prostate cancer cells by modulating NF-κB/AP-1 dependent- and independent-signaling. Clin Exp Metastasis. 2012;29(2):165–78. [DOI] [PubMed] [Google Scholar]
- 19.Tuszynski GP, Cossu G. Differential cytotoxic effect of gossypol on human melanoma, colon carcinoma, and other tissue culture cell lines. Cancer Res. 1984;44(2):768–71. [PubMed] [Google Scholar]
- 20.Wu YW, Chik CL, Knazek RA. An in vitro and in vivo study of antitumor effects of gossypol on human SW-13 adrenocortical carcinoma. Cancer Res. 1989;49(14):3754–8. [PubMed] [Google Scholar]
- 21.Badawy SZ, Souid AK, Cuenca V, Montalto N, Shue F. Gossypol inhibits proliferation of endometrioma cells in culture. Asian J Androl. 2007;9(3):388–93. [DOI] [PubMed] [Google Scholar]
- 22.Ko CH, Shen SC, Yang LY, Lin CW, Chen YC. Gossypol reduction of tumor growth through ROS-dependent mitochondria pathway in human colorectal carcinoma cells. Int J Cancer. 2007;121(8):1670–9. [DOI] [PubMed] [Google Scholar]
- 23.Chien CC, Ko CH, Shen SC, Yang LY, Chen YC. The role of COX-2/PGE2 in gossypol-induced apoptosis of colorectal carcinoma cells. J Cell Physiol. 2012;227(8):3128–37. [DOI] [PubMed] [Google Scholar]
- 24.Hsiao WT, Tsai MD, Jow GM, Tien LT, Lee YJ. Involvement of Smac, p53, and caspase pathways in induction of apoptosis by gossypol in human retinoblastoma cells. Mol Vis. 2012;18:2033–42. [PMC free article] [PubMed] [Google Scholar]
- 25.Wong FY, Liem N, Xie C, Yan FL, Wong WC, Wang L, Yong WP. Combination therapy with gossypol reveals synergism against gemcitabine resistance in cancer cells with high BCL-2 expression. PLoS ONE. 2012;7(12):e50786. [DOI] [PMC free article] [PubMed] [Google Scholar]
- 26.Meksongsee LA, Clawson AJ, Smith FH. The in vivo effect of gossypol on cytochrome oxidase, succinoxidase, and succinic dehydrogenase in animal tissues. J Agric Food Chem. 1970;18(5):917–20. [DOI] [PubMed] [Google Scholar]
- 27.Abou-Donia MB, Dieckert JW. Gossypol: uncoupling of respiratory chain and oxidative phosphorylation. Life Sci. 1974;14(10):1955–63. [DOI] [PubMed] [Google Scholar]
- 28.Tso WW, Lee CS. Gossypol uncoupling of respiratory chain and oxidative phosphorylation in ejaculated Boar spermatozoa. Contraception. 1982;25(6):649–55. [DOI] [PubMed] [Google Scholar]
- 29.Gadelha IC, Fonseca NB, Oloris SC, Melo MM, Soto-Blanco B. Gossypol toxicity from cottonseed products. Sci World J. 2014;2014:231635. [DOI] [PMC free article] [PubMed]
- 30.Dong Q, Xing W, Fu F, Liu Z, Wang J, Liang X, Zhou X, Yang Q, Zhang W, Gao F, et al. Tetrahydroxystilbene glucoside inhibits excessive autophagy and improves microvascular endothelial dysfunction in prehypertensive spontaneously hypertensive rats. Am J Chin Med. 2016;44(7):1393–412. [DOI] [PubMed] [Google Scholar]
- 31.Liu Y, Wang YL, He SW, Chen MH, Zhang Z, Fu XP, Fu BB, Liao BQ, Lin YH, Qi ZQ, et al. Protective effects of Resveratrol against mancozeb induced apoptosis damage in mouse oocytes. Oncotarget. 2017;8(4):6233–45. [DOI] [PMC free article] [PubMed] [Google Scholar]
- 32.Chang CH, Lee CY, Lu CC, Tsai FJ, Hsu YM, Tsao JW, Juan YN, Chiu HY, Yang JS, Wang CC. Resveratrol-induced autophagy and apoptosis in cisplatin-resistant human oral cancer CAR cells: A key role of AMPK and Akt/mTOR signaling. Int J Oncol. 2017;50(3):873–82. [DOI] [PubMed] [Google Scholar]
- 33.Rong M, Wang S, Ma L, Kuang M, Jin Y, Zhou D, Fang D, Xu S, Wang Y. Progress of research on the extraction and application of cotton phenol. Chin Cotton. 2019;46(03):1–6. [Google Scholar]
- 34.Prasad MRN, Diczfalusy E. Gossypol. Int J Androl. 1982;5:53–70.
Associated Data
This section collects any data citations, data availability statements, or supplementary materials included in this article.
Supplementary Materials
Data Availability Statement
The datasets used during the current study are available from the corresponding author on reasonable request.






