Abstract
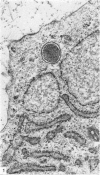
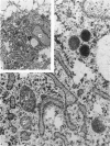
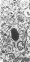
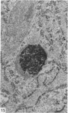
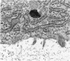
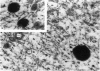
Using electron microscopic and histochemical methods it was possible to demonstrate in condylar cartilage the presence of acid phosphatase and aryl sulphatase in lysosome-like bodies of the cartilage cells, confirming that they are lysosomes. Lysosome-like bodies were also present in the extracellular matrix, but they reacted for acid phosphatase only. Lysosomes extruded by the cells may well provide a means whereby lysosomal enzymes are enabled to take part in the preliminaries to matrix calcification. The large numbers of lysosomes in the hypertrophic chondrocytes, however, are probably more concerned in bringing about autolysis of the cells than in promoting calcification of the matrix.
Full text
PDF











Images in this article
Selected References
These references are in PubMed. This may not be the complete list of references from this article.
- Anderson H. C., Matsuzawa T., Sajdera S. W., Ali S. Y. Membranous particles in calcifying cartilage matrix. Trans N Y Acad Sci. 1970 May;32(5):619–630. doi: 10.1111/j.2164-0947.1970.tb02737.x. [DOI] [PubMed] [Google Scholar]
- Blackwood H. J. Growth of the mandibular condyle of the rat studied with tritiated thymidine. Arch Oral Biol. 1966 May;11(5):493–500. doi: 10.1016/0003-9969(66)90155-5. [DOI] [PubMed] [Google Scholar]
- CAMPO R. D., DZIEWIA TKOWSKI D. D. Turnover of the organic matrix of cartilage and bone as visualized by autoradiography. J Cell Biol. 1963 Jul;18:19–29. doi: 10.1083/jcb.18.1.19. [DOI] [PMC free article] [PubMed] [Google Scholar]
- Crelin E. S., Koch W. E. An autoradiographic study of chondrocyte transformation into chondroclasts and osteocytes during bone formation in vitro. Anat Rec. 1967 Aug;158(4):473–483. doi: 10.1002/ar.1091580410. [DOI] [PubMed] [Google Scholar]
- Crelin E. S., Koch W. E. Development of mouse pubic joint in vivo following initial differentiation in vitro. Anat Rec. 1965 Oct;153(2):161–171. doi: 10.1002/ar.1091530206. [DOI] [PubMed] [Google Scholar]
- Dingle J. T., Barrett A. J., Poole A. R., Stovin P. Inhibition by pepstatin of human cartilage degradation. Biochem J. 1972 Apr;127(2):443–444. doi: 10.1042/bj1270443. [DOI] [PMC free article] [PubMed] [Google Scholar]
- GODMAN G. C., PORTER K. R. Chondrogenesis, studied with the electron microscope. J Biophys Biochem Cytol. 1960 Dec;8:719–760. doi: 10.1083/jcb.8.3.719. [DOI] [PMC free article] [PubMed] [Google Scholar]
- Greenspan J. S., Blackwood H. J. Histochemical studies of chondrocyte function in the cartilage of the mandibular codyle of the rat. J Anat. 1966 Jul;100(Pt 3):615–626. [PMC free article] [PubMed] [Google Scholar]
- Holtrop M. E. The ultrastructure of the epiphyseal plate. II. The hypertrophic chondrocyte. Calcif Tissue Res. 1972;9(2):140–151. doi: 10.1007/BF02061952. [DOI] [PubMed] [Google Scholar]
- Hopsu V. K., Arstila A., Glenner G. G. A method for electron microscopic localization of aryl-sulphatase. Ann Med Exp Biol Fenn. 1965;43(2):114–116. [PubMed] [Google Scholar]
- Jibril A. O. Phosphates and phosphatases in preosseous cartilage. Biochim Biophys Acta. 1967 Aug 29;141(3):605–613. doi: 10.1016/0304-4165(67)90189-4. [DOI] [PubMed] [Google Scholar]
- Matsuzawa T., Anderson H. C. Phosphatases of epiphyseal cartilage studied by electron microscopic cytochemical methods. J Histochem Cytochem. 1971 Dec;19(12):801–808. doi: 10.1177/19.12.801. [DOI] [PubMed] [Google Scholar]
- Matukas V. J., Krikos G. A. Evidence for changes in protein polysaccharide associated with the onset of calcification in cartilage. J Cell Biol. 1968 Oct;39(1):43–48. doi: 10.1083/jcb.39.1.43. [DOI] [PMC free article] [PubMed] [Google Scholar]
- Melcher A. H. Behaviour of cells of condylar cartilage of foetal mouse mandible maintained in vitro. Arch Oral Biol. 1971 Dec;16(12):1379–1391. doi: 10.1016/0003-9969(71)90075-6. [DOI] [PubMed] [Google Scholar]
- Melcher A. H. Role of chondrocytes and hydrocortisone in resorption of proximal fragment of Meckel's cartilage: an in vitro and in vivo study. Anat Rec. 1972 Jan;172(1):21–36. doi: 10.1002/ar.1091720103. [DOI] [PubMed] [Google Scholar]
- Silbermann M., Frommer J. Dynamic changes in acid mucopolysaccharides during mineralization of the mandibular condylar cartilage. Histochemie. 1973;36(2):185–192. doi: 10.1007/BF00304393. [DOI] [PubMed] [Google Scholar]
- Silbermann M., Frommer J. Phosphatases within the cartilage of the mandibular condyle of the mouse. J Anat. 1973 Dec;116(Pt 3):335–345. [PMC free article] [PubMed] [Google Scholar]
- Silbermann M., Frommer J. The nature of endochondral ossification in the mandibular condyle of the mouse. Anat Rec. 1972 Apr;172(4):659–667. doi: 10.1002/ar.1091720406. [DOI] [PubMed] [Google Scholar]
- Thyberg J., Friberg U. Electron microscopic enzyme histochemical studies on the cellular genesis of matrix vesicles in the epiphyseal plate. J Ultrastruct Res. 1972 Oct;41(1):43–59. doi: 10.1016/s0022-5320(72)90037-8. [DOI] [PubMed] [Google Scholar]
- Thyberg J., Friberg U. Ultrastructure and acid phosphatase activity of matrix vesicles and cytoplasmic dense bodies in the epiphyseal plate. J Ultrastruct Res. 1970 Dec;33(5):554–573. doi: 10.1016/s0022-5320(70)90181-4. [DOI] [PubMed] [Google Scholar]
- Thyberg J. Ultrastructural localization of aryl sulfatase activity in the epiphyseal plate. J Ultrastruct Res. 1972 Feb;38(3):332–342. doi: 10.1016/s0022-5320(72)90009-3. [DOI] [PubMed] [Google Scholar]
- Weston P. D., Barrett A. J., Dingle J. T. Specific inhibition of cartilage breakdown. Nature. 1969 Apr 19;222(5190):285–286. doi: 10.1038/222285b0. [DOI] [PubMed] [Google Scholar]
















