Abstract
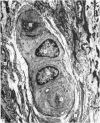
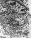
Light and electron miscroscopy were employed to study the structure and innervation of the rat snout. The hairless skin at the tip of the snout was covered in epidermal ridges similar to the ridges seen on primate finger skin. Three types of nerve ending were observed in relation to the surface of snout: corpuscular, found in dermal papillae between epidermal rete ridges: hederiform, found in relation to Merkel cells at the base of the rete ridges; and free, which entered the epidermis from the sides and top of the dermal papillae. The evidence suggests that there may be two ultrastructurally distinct intraepidermal nerve fibres.
Full text
PDF









Images in this article
Selected References
These references are in PubMed. This may not be the complete list of references from this article.
- CAUNA N. Nature and functions of the papillary ridges of the digital skin. Anat Rec. 1954 Aug;119(4):449–468. doi: 10.1002/ar.1091190405. [DOI] [PubMed] [Google Scholar]
- CAUNA N. The mode of termination of the sensory nerves and its significance. J Comp Neurol. 1959 Oct;113:169–209. doi: 10.1002/cne.901130202. [DOI] [PubMed] [Google Scholar]
- Chouchkov C. N. Further observations of the fine structure of Meissner's corpuscles in human digital skin and rectum. Z Mikrosk Anat Forsch. 1973;87(1):33–45. [PubMed] [Google Scholar]
- FITZGERALD M. J. On the structure and life history of bulbous corpuscles (Corpuscula nervorum terminalia bulboidea). J Anat. 1962 Apr;96:189–208. [PMC free article] [PubMed] [Google Scholar]
- Hashimoto K. Fine structure of the Meissner corpuscle of human palmar skin. J Invest Dermatol. 1973 Jan;60(1):20–28. doi: 10.1111/1523-1747.ep13069657. [DOI] [PubMed] [Google Scholar]
- Loo S. K., Kanagasuntheram R. Innervation and structure of the snout in the tree shrew. J Anat. 1972 Feb;111(Pt 2):253–261. [PMC free article] [PubMed] [Google Scholar]
- Loo S. K., Kanagasuntheram R. Innervation of the snout in the slow loris. J Anat. 1973 Dec;116(Pt 3):385–393. [PMC free article] [PubMed] [Google Scholar]
- Munger B. L. The intraepidermal innervation of the snout skin of the opossum. A light and electron microscope study, with observations on the nature of Merkel's Tastzellen. J Cell Biol. 1965 Jul;26(1):79–97. doi: 10.1083/jcb.26.1.79. [DOI] [PMC free article] [PubMed] [Google Scholar]
- Quilliam T. A. Cutaneous sensation reconsidered. Med Biol Illus. 1971 Jul;21(3):183–187. [PubMed] [Google Scholar]
- REYNOLDS E. S. The use of lead citrate at high pH as an electron-opaque stain in electron microscopy. J Cell Biol. 1963 Apr;17:208–212. doi: 10.1083/jcb.17.1.208. [DOI] [PMC free article] [PubMed] [Google Scholar]
- Ridley A. Silver staining of nerve endings in human digital glabrous skin. J Anat. 1969 Jan;104(Pt 1):41–48. [PMC free article] [PubMed] [Google Scholar]
- Winkelmann R. K., Breathnach A. S. The Merkel cell. J Invest Dermatol. 1973 Jan;60(1):2–15. doi: 10.1111/1523-1747.ep13069480. [DOI] [PubMed] [Google Scholar]











