Full text
PDF














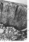
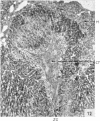
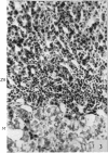
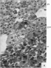
Images in this article
Selected References
These references are in PubMed. This may not be the complete list of references from this article.
- Andersen D. H., Kennedy H. S. Studies on the physiology of reproduction: IV. Changes in the adrenal gland of the female rat associated with the oestrous cycle. J Physiol. 1932 Oct 4;76(2):247–260. doi: 10.1113/jphysiol.1932.sp002924. [DOI] [PMC free article] [PubMed] [Google Scholar]
- COUPLAND R. E., HOLMES R. L. The distribution of cholinesterase in the adrenal glands of the rat, cat and rabbit. J Physiol. 1958 Apr 3;141(1):97–106. doi: 10.1113/jphysiol.1958.sp005958. [DOI] [PMC free article] [PubMed] [Google Scholar]
- DEANE H. W., SELIGMAN A. M. Evaluation of procedures for the cytological localization of ketosteroids. Vitam Horm. 1953;11:173–204. doi: 10.1016/s0083-6729(08)61099-7. [DOI] [PubMed] [Google Scholar]
- HOLMES R. L., WOLSTENCROFT J. H. Accessory sources of blood supply to the brain of the cat. J Physiol. 1959 Oct;148:93–107. doi: 10.1113/jphysiol.1959.sp006275. [DOI] [PMC free article] [PubMed] [Google Scholar]
- JONES I. C., SPALDING M. H. Some aspects on zonation and function of the adrenal cortex. II. The rat adrenal after enucleation. J Endocrinol. 1954 Mar;10(3):251–261. doi: 10.1677/joe.0.0100251. [DOI] [PubMed] [Google Scholar]
- LOBBAN M. C. Structural variations in the adrenal cortex of the adult cat. J Physiol. 1952 Dec;118(4):565–574. doi: 10.1113/jphysiol.1952.sp004818. [DOI] [PMC free article] [PubMed] [Google Scholar]
- Waring H. Some Abnormalities of the Adrenal Gland of the Mouse with a Discussion on Cortical Homology. J Anat. 1937 Jan;71(Pt 2):299–314.9. [PMC free article] [PubMed] [Google Scholar]
- Watson A. The suprarenal cortex of the male throughout the oestrous cycle. J Physiol. 1923 Dec 28;58(2-3):240–243. doi: 10.1113/jphysiol.1923.sp002120. [DOI] [PMC free article] [PubMed] [Google Scholar]












