Abstract
This review presents a standardized, stepwise method for biplanar radiographic analysis of knee alignment, integrating both coronal and sagittal measurements for use in arthritic and non-arthritic knees.
It critically compares leading classification systems, including the coronal plane alignment of the knee (CPAK) and the functional knee phenotype classifications. While CPAK provides a simplified 2D coronal model, the functional phenotype system offers a more granular, 3D approach that includes segmental deformities and has recently been expanded to incorporate laxity parameters.
Sagittal plane parameters – including posterior tibial slope and femoral component flexion/extension – are essential for comprehensive alignment assessment. These factors influence implant positioning, knee kinematics, and postoperative function.
The review outlines preferred measurement techniques, highlighting the value of long-leg weight-bearing radiographs and discussing the limitations and variability of 2D versus 3D imaging approaches.
Incorporating both alignment and soft tissue behavior provides a more individualized approach to total knee arthroplasty planning and may lead to improved outcomes by better replicating native knee biomechanics.
Keywords: osteoarthritis, knee, knee joint, arthroplasty, replacement, lower extremity, postural balance
Introduction
Implantation of a well-aligned total knee arthroplasty (TKA) requires detailed preoperative planning, including a clinical assessment and analysis of radiographs. Various alignment philosophies are utilized in performing TKA, and over the past decade a personalized approach to TKA is increasingly followed (1, 2, 3). A systematic alignment approach has been defined as either to aim for a neutral mechanical alignment (MA) or an individualized approach to reproduce the native knee’s pre-arthritic alignment, either with or without pre-decided boundaries. Neutral MA of the knee is defined by a mechanical hip-knee-ankle angle of 0° ± 3° (4). It has been favored in TKA to achieve symmetrical loading of bearing surfaces, a straight leg with a horizontal joint line, and has a proven long-term implant survival (5). However, MA ignores the normal knee’s joint line obliquity (JLO) and variations in individual knee alignment, and has been blamed for a percentage of TKA patients being dissatisfied with prosthetic knees that feel ‘unnatural’. Studies suggest that natural neutral MA may be present in only approximately 15% of native knees (4, 6, 7, 8).
The TKA outcomes are in part related to the surgeon’s ability to reproduce the desired lower limb alignment and JLO restoration. This has spurred a growing emphasis on restoring patient-specific pre-arthritic knee alignment and, with this, the development of knee alignment classifications such as the functional knee phenotype classification (9), the coronal plane alignment of the knee (CPAK) classification (4), and the coronal extra-articular deformity phenotype (CEDP) classification (10). These observe precise phenotypical divisions, and their development has highlighted the need for standardization and systematization in the radiographic analysis of knee alignment.
Various terminologies and techniques have been described to measure limb and joint alignment, often originating from the literature on limb deformity correction. To date, all classification systems have been based on plain radiographs, which are two-dimensional (2D) representations of three-dimensional (3D) anatomical structures. However, these images can be misleading due to observer variability, technical limitations (radiographs are not always perfectly standardized), subtle anatomical differences between individuals, and rotational or projectional variations. Recent reviews have furthermore highlighted the substantial variability in methods used for 3D leg alignment analysis, underscoring the lack of consensus on how to derive axes and joint orientations from 3D bone models (11). This prevents the establishment of universal reference values and makes it difficult to compare alignment parameters across studies (12, 13, 14).
This review aims to introduce a standardized sequence of radiographic measurements that are applicable to both arthritic and non-arthritic knees and align with the requirements of most current classification systems. While numerous measurement techniques and terminologies exist, inconsistency and lack of clarity often lead to confusion. Inaccurate measurements can result in malalignment and poor surgical outcomes. This review provides a practical guide, highlighting common pitfalls and offering strategies to minimize errors. What makes this approach original is its integrative nature – it synthesizes existing nomenclatures and techniques into a clear, applicable framework. In addition, by incorporating insights from recent 3D alignment studies (14), it places traditional 2D assessments in the context of modern alignment concepts.
Measurement methodology
Table 1 contains a compilation of measurements from different classification systems, along with their definitions.
Table 1.
Alignment parameters.
| Measurement | Radiograph | Definition |
|---|---|---|
| Femoral mechanical axis | APLLR | Line connecting the center of the femoral head and the apex of the femoral intercondylar notch |
| Tibial mechanical axis | APLLR | Line connecting the midpoint of the tibial interspinous groove and the center of the talus |
| mHKA | APLLR | Acute angle between the femoral mechanical axis and the tibial mechanical axis at the point of intersection (negative value for varus and positive value for valgus) |
| Distal femur joint orientation line | APLLR | Line connecting the most distal points of the medial and lateral femoral condyles |
| mLDFA | APLLR | Lateral angle formed between the femoral mechanical axis and the distal femur joint orientation line |
| Proximal tibial joint orientation line | APLLR | Line best fitted to the superior surface of the subchondral bone plate of the medial and lateral tibial plateaus |
| mMPTA | APLLR | Medial angle formed between the tibial mechanical axis and the proximal tibia joint orientation line |
| JLO = mMPTA + mLDFA | APLLR | The obtuse angle formed between the knee joint line and the floor in a standing AP radiograph |
| Joint line convergence angle | APLLR | The acute angle formed between the distal femoral and proximal tibial joint orientation lines (negative value for medial apex and positive value for lateral apex) |
| LDFA | LLLR | Line connecting the centers of two circles, which are simultaneously tangent to the anterior and posterior cortices of the femur. The proximal circle is positioned just distal to the junction between the middle and distal thirds of the diaphysis, while the distal circle is positioned at the distal metadiaphyseal junction |
| Lateral distal femoral joint orientation line | LLLR | Line connecting the points where the femoral condyles join the anterior and posterior distal femoral metaphysis |
| Anatomical posterior distal femoral angle | LLLR | Posterior angle formed between the lateral distal femoral anatomical axis and the lateral distal femoral joint orientation line |
| Lateral proximal tibial joint orientation line | LLLR | Tangent to the deepest point of the medial plateau concavity |
| Lateral tibial central anatomical axis | LLLR | Line connecting the centers of two circles that are simultaneously tangent to the anterior and posterior tibial cortices. The proximal circle is positioned just distal to the tibial tuberosity, and the distal circle is positioned just proximal to the distal metaphyseal flare |
| PTS | LLLR | Acute angle formed between the perpendicular to the lateral tibial central anatomical axis and the lateral proximal tibial joint orientation line |
APLLR, anteroposterior lower limb radiograph including hip, knee, and ankle joints; LLLR, lateral view lower limb radiograph including hip, knee, and ankle joints; mHKA, mechanical hip-knee-ankle angle; mMPTA, mechanical medial proximal tibial angle; JLO, joint line obliquity; mLDFA, mechanical lateral distal femoral angle; LDFA, lateral distal femur anatomical axis; PTS, posterior tibial slope.
Coronal plane alignment
Radiographic assessment
Accurate and reproducible measurements of coronal alignment are crucial in the evaluation and surgical management of the knee, particularly in osteotomy and TKA (15). Weight-bearing conditions significantly affect the assessment of lower limb coronal alignment (16). The true MA can only be evaluated in long-leg radiographs when the limb is fully extended and bearing full weight on both legs under physiological loading (16). All coronal plane measurements are performed on a frontal plane anteroposterior lower limb radiograph (APLLR), as described by Paley (17), which includes the hip, knee, and ankle joints, with the knee in full extension and the patient weight-bearing in a bipedal stance. William (18) compared coronal alignment using a standardized radiographic protocol in single-leg, double-leg, and supine positions, noting that coronal deformity progressively increases from supine to double-leg and single-leg stances as weight-bearing load increases (19). The average difference between the supine and double-leg stance positions is 1.76°.
Mechanical hip-knee-ankle angle (mHKA) is defined as the angle between the mechanical axes of the femur and tibia, with a deviation from 180° representing malalignment (Fig. 1). Negative values indicate varus, while positive values indicate valgus alignment (20). The proximal reference point of the femoral mechanical axis is the femoral head center, identified as the center of a circle fitted to the intact portion of the femoral head and/or acetabulum. This can be challenging in the presence of bone loss or deformity. In such cases, the circle is aligned to the preserved inferior portion of the femoral head or the medial acetabular wall (21). The apex of the femoral intercondylar notch (22) is considered the distal point of the femoral MA, while the center of the tibial interspinous groove is considered the proximal endpoint of the tibial MA (23). The center of the talus is taken as the distal end.
Figure 1.
Measurement of mechanical hip-knee-ankle angle (mHKA) between mechanical axes of the femur and tibia.
Deviation from constitutional mHKA may be caused by altered joint line convergence angle (JLCA), extra- or intra-articular tibial or femoral deformity, or knee joint subluxation. In comparison, the arithmetic hip-knee-ankle angle (aHKA), as described by Macdessi (24), is calculated from the mechanical lateral distal femoral angle (mLDFA) and the mechanical medial proximal tibial angle (mMPTA). As neither of these angular measurements ‘cross’ the knee joint, aHKA is unaffected by the changes in JLCA but may still be affected by extra-articular segmental deformity (10). Indeed, the accuracy of JLCA and/or HKA can be affected by significant bone loss associated with arthritis. A significant difference and a weak correlation between the values of the HKA and aHKA measures in the same subject were observed. The two analysis techniques provide different information, and their correlation is only partial (25). As such, either mHKA or aHKA is able to identify the presence but not the source of lower extremity malalignment (24, 26).
Isolation and quantification of knee malalignment require the establishment of normal values for joint orientation angles (27). The stepwise malalignment test designed by Paley et al. (17) utilizes the same two measurements used to derive aHKA, with the added definition of a normal range (85°–90°) for both mLDFA and mMPTA. An mLDFA measurement outside this range is indicative of a femoral coronal plane deformity (<85°: valgus, >90°: varus), while an mMPTA measurement outside this range is indicative of a tibial coronal plane deformity (<85°: varus, >90°: valgus). The mLDFA is the lateral angle formed between the mechanical axis of the femur and the AP distal femur joint orientation line. The AP distal femur joint orientation line connects the most distal points of the medial and lateral femoral condyles. The mMPTA is the medial angle formed between the tibial MA and the AP proximal tibia joint orientation line (Fig. 2).
Figure 2.
Measurements of mechanical lateral distal femoral angle (mLDFA) and mechanical medial proximal tibial angle (mMPTA).
JLCA is the acute angle formed between the AP distal femoral and proximal tibial joint orientation lines. Altered JLCA is common in knee arthritis (20, 28) and leads to altered mHKA. It is calculated as JLCA = mHKA – aHKA. A negative value indicates a medial apex JLCA (wider lateral joint space), while a positive value indicates a lateral apex JLCA (wider medial joint space). Normal JLCA ranges from 0° to −3° (29).
Medio-lateral subluxation of the tibiofemoral joint will cause deviation of lower extremity MA and alter mHKA. To detect subluxation, the femoral and tibial MAs are drawn from separate points in the knee (27).
Coronal alignment phenotypes
CPAK classification introduced by MacDessi et al. (4) categorizes native knee phenotypes based on aHKA and JLO, and has nine phenotypes from combinations of varus/neutral/valgus aHKA and distal/neutral/proximal JLO. The CPAK system classifies (4) knees into nine theoretical types using two coronal plane variables: aHKA and JLO, and dividing each variable into three possible ranges (aHKA: varus/neutral/valgus; JLO: apex distal, neutral, apex proximal). Type II was the most common, followed by type I, for both groups, healthy knees and osteoarthritic knees, and independent of ethnicity. In both groups, a neutral mechanical axis with a joint line that is perpendicular to this axis had a frequency of ∼15%. Although initially appealing for its structured approach, CPAK has notable limitations. CPAK is a 2D system and does not capture the complexity of the 3D alignment or segmental deformities. Şahbat et al. reported that CPAK correctly identified the joint line apex in less than half of the cases (30). Loddo et al. demonstrated that CPAK cannot differentiate between segmental deformities in the femur and tibia (31). These findings collectively question the clinical value of CPAK, especially in surgical planning and outcome prediction (32). To address the limitations of CPAK, Hirschmann et al. proposed the functional knee phenotype classification (8), incorporating three parameters: HKA, femoral mechanical angle, and tibial mechanical angle. Each is categorized as varus, neutral, or valgus, allowing for up to 125 possible phenotypes that provide detailed insights into segmental contributions to malalignment. Recent studies support the clinical relevance of the functional classification. Chelli et al. demonstrated sex-based differences in femoral and tibial alignment using functional phenotypes (33). Kobayashi et al. found that the system helped preserve native alignment and avoid excessive bone resection in Japanese patients undergoing restricted kinematic alignment TKA (34). Liu et al. showed that functional phenotypes better represent anatomical variability in Chinese knees, where CPAK failed to distinguish femoral varus cases adequately (35).
The functional knee phenotype classification is based on three different coronal plane variables, each of which is divided into five ranges. In Hirschmann’s series of young, non-arthritic individuals, out of the 125 theoretically possible combinations, 43 distinct phenotypes were observed (9). The most common phenotype among men and women was NEUHKA0° + NEUFMA0° + NEUTMA0°, while two-thirds of the population comprised the eight most common phenotypes (9). Recent large-scale studies have refined the definition of coronal knee alignment in the context of TKA, classifying it into normal, neutral, deviant, and aberrant types based on population-based data (8). These findings support the need for individualized alignment strategies rather than relying solely on traditional MA targets. Furthermore, gender-based differences in functional knee phenotypes have been demonstrated, suggesting that sex-specific considerations may also be important in alignment assessment and surgical planning (36).
The CEDP also divides knees into nine groups based on the CPAK system, but considers femoral (LDFA) and tibial (MPTA) segmental deformities separately. The three most common types, in order, were types B, A, and E, which correspond to CPAK types II, I, and V. To achieve precision, surgeons should incorporate individual MPTA and mLDFA values, ensuring the accurate identification and replication of segmental coronal deformities in knee surgery (10).
Overall, the functional phenotype classification correlates better with actual bony morphology, provides greater reproducibility, and can be applied across diverse populations. Its finer granularity and anatomical specificity make it more suitable for patient-specific surgical planning. By contrast, while CPAK offers a simplified framework, its limitations in precision, segmental analysis, and clinical applicability render it less ideal for contemporary alignment strategies.
Sagittal plane alignment
All measurements are taken on lateral long-leg radiographs (LLLRs) visualizing the extremity from hip to ankle joint. To achieve this, the patient should be placed with the flexion angle of the target limb parallel to the detector, with the knee fully extended and the opposite hemipelvis externally rotated (37).
Femoral measurements
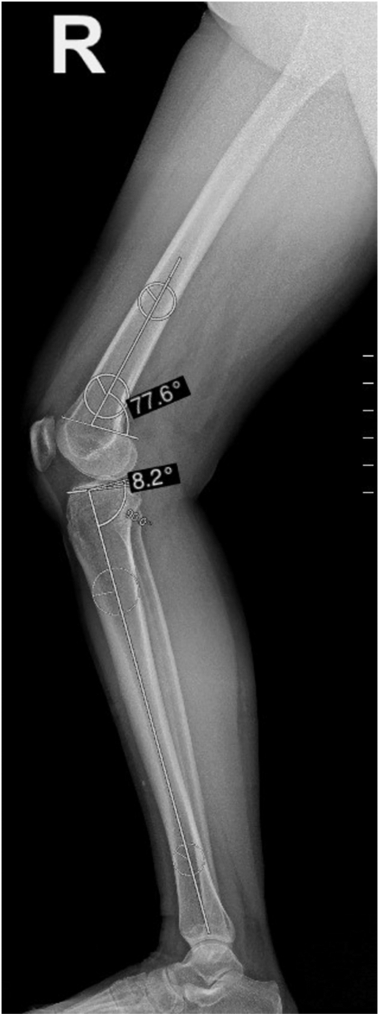
In the femur, the lateral long axis is represented by the lateral distal femur anatomical axis (DFAA). Anatomical posterior distal femoral angle (aPDFA) is formed between the DFAA and lateral distal femoral joint orientation line. The DFAA is drawn by connecting the centers of two circles. The proximal circle is positioned just distal to the junction between the middle and distal thirds of the diaphysis, while the distal circle is drawn at the distal metadiaphyseal junction. Both circles are drawn so that they are simultaneously tangent to the anterior and posterior cortices. The lateral distal femoral joint orientation line is drawn connecting the points where the femoral condyles join the anterior and posterior distal femoral metaphysis on a lateral view radiograph of the knee (Fig. 3). The normal range for aPDFA is 79°–87°.
Figure 3.
Proximal tibial joint orientation line. The cross marks the deepest point of the medial plateau concavity. The line is tangent to the curve at the deepest point.
Tibial measurements
The tibial aspect of the sagittal plane consists of the posterior tibial slope (PTS). This measurement may be the most difficult to reliably and accurately measure, as the reported methods for measuring PTS are numerous and significantly different. Such heterogeneity stems from varied definitions of the proximal tibial joint orientation line, varied representations of the lateral long axis of the tibia, and the use of different radiographic images. Tibial joint orientation line can be difficult to identify accurately due to the superimposition of medial and lateral tibial plateaus on lateral radiographs. A commonly used method for defining the joint orientation line is to draw a line connecting the anterior and posterior margins of the tibial plateau (38, 39). In arthritic knees, this task is made more difficult by the presence of anterior and posterior marginal osteophytes and/or associated bone loss. A reported method (40), possibly more applicable in the arthritic knee, is to draw a tangent to the deepest point of the medial plateau concavity (Fig. 3).
Among the axes used to represent the lateral long axis of the tibia are the modified mechanical axis, anterior cortical line (ACC), posterior cortical line (PCC), proximal anatomical axis (PAA), central anatomical axis (CAA), and fibular shaft axis (41). The CAA is the mid-diaphyseal axis of the entire tibial diaphysis. It is drawn by connecting the centers of two circles that are simultaneously tangent to the anterior and posterior cortices. The proximal circle is drawn just distal to the tibial tuberosity, while the distal circle is drawn just proximal to the distal metaphyseal flare (42). Compared to ACC, PCC, and PAA, the CAA does not rely on accurate radiographic magnification because it does not involve measurements of shaft length to position the necessary mid-diaphyseal points. It can also be reproduced intraoperatively by using a tibial intramedullary guide. The PTS is the angle formed between the perpendicular to the CAA and the lateral proximal joint orientation line of the tibia (Fig. 4). The average range of PTS measured using CAA is 15.9° ± 3.7° (42). However, variations in PTS exist based on factors such as age, gender, race, and region.
Figure 4.
Measurements of anatomical posterior distal femoral angle and PTS.
Short knee radiographs are commonly used for measurement of PTS. However, these measurements may not be truly representative, especially in the presence of significant sagittal bowing (43). Hees et al. found that as anterior tibial bowing increases, the PTS measured on such radiographs is underestimated in comparison to the slope measured along the lateral mechanical axis (43). It is recommended that PTS be measured on LLLRs. Garra highlighted the effect of tibial length on radiographic PTS measurements, concluding that both the accuracy and precision of these measurements improved as the length of the tibia used to define the anatomical axis increased (44). In addition, the medial PTS (MPTS) and lateral PTS (LPTS) differ within the same knee, with MPTS generally being higher than LPTS. Calek demonstrated substantial inter- and intra-individual variability in MPTS and LPTS, noting that conventional single-slope resection techniques in TKA fail to reproduce native slope geometry in most cases. In their CT-based study of 301 healthy knees, more than 40% showed a difference of over 3° between MPTS and LPTS, and only 15% of knees had both slopes fall within the conventional target range for PTS (45).
In addition, Sadoghi et al. highlighted that constitutional sagittal alignment is often underappreciated in TKA planning. They argued that fixed target slopes and component positioning may alter a patient’s natural kinematics, and suggested individualized, patient-specific strategies for optimizing TKA outcomes (46).
Several investigators have studied potential differences in PTS among sexes or ethnic groups. Hashemi (47) reported that females exhibited higher MPTS and LPTS compared to males, a finding later confirmed by Weinberg (48). Conversely, Pangaud (49) found that males had a significantly higher LPTS than their female counterparts, and no difference was seen between sexes in MPTS (50). Bryce (50) reported that African Americans/Blacks and Asian Americans have a greater PTS compared to Whites. Nearly 25% of individuals have clinically significant PTS of <6° or >12°, with no difference in PTS among age or sex groups.
Zachary et al. (51) aimed to analyze the impact of preoperative PTS and CPAK on pre- and postoperative knee kinematics following PCL-conserving TKA. Their findings (51) indicate notable differences between type A (≤8°) and type B (>8°) PTS knees. Specifically, type B knees exhibited greater knee flexion both before and after surgery. Although patients with type A knees showed more substantial improvements in knee flexion following TKA, they still had significantly less flexion postoperatively. Despite greater improvements in type A knees, they remained less flexible pre- and post-surgery compared to type B knees. Therefore, PTS is a crucial variable that may help predict postoperative knee function.
Stepwise assessment of arthritic knee alignment
Step 1
Draw femoral and tibial mechanical axes. Extend femoral mechanical axis distally and tibial mechanical axis proximally. If the axes do not intersect at the tibial interspinous groove, this is indicative of mediolateral knee joint subluxation. Measure the acute angle between the two axes. This is the mHKA. By convention, a varus angle is represented by a negative value, while a valgus angle is represented by a positive value. Measured range of mHKA in young healthy adults is −1.5°–1.5° (9).
Step 2
Draw the distal femoral and proximal tibial joint orientation lines and analyze the femoral condyles and tibial plateaus for the presence of bony deformities as described before. The presence of intra-articular bony deformities precludes reliable assessment of constitutional alignment. In the absence of these deformities, measure mLDFA and mMPTA.
Step 3
Calculate aHKA and JLO based on formulas; aHKA = mMPTA – mLDFA, and JLO = mMPTA + mLDFA (4). JLCA can be measured between joint orientation lines of the femur and tibia or derived from the formula; JLCA = mHKA – aHKA. A negative value indicates a medial apex JLCA (wider lateral joint space), while a positive value indicates a lateral apex JLCA (wider medial joint space).
Step 4
Compare mLDFA and mMPTA to normal range: 85°–90°, respectively (17). A deranged mLDFA is suggestive of a femoral coronal plane deformity, while a deranged mMPTA is suggestive of a tibial coronal plane deformity.
Step 5
Sagittal alignment of the knee is determined by measuring aPDFA and PTS. A measured aPDFA outside the normal range of 79°–87° is indicative of femoral sagittal plane deformity (<79°: procurvatum, >87°: recurvatum). A measured PTS outside the normal range of 12.2°–19.6° is indicative of tibial sagittal plane deformity.
The role of laxity
Bony alignment alone does not fully capture the complexity of knee mechanics (52). Ligamentous laxity, part of the soft tissue envelope, plays a crucial role in achieving proper knee balance and function. Therefore, it must be considered alongside alignment in preoperative planning and classification. Recent studies, particularly by Grosso, have shown that knees with similar coronal bony alignment can exhibit widely varying medial and lateral soft tissue stiffness during intraoperative distraction, especially in varus knees undergoing TKA. This variability suggests that bone morphology alone cannot reliably predict soft tissue behavior, challenging the notion that restoring constitutional alignment will automatically lead to balanced tension (53). As such, alignment should be viewed as only one aspect of knee reconstruction. A comprehensive strategy should integrate both the static geometry of the bones and the dynamic characteristics of soft tissue. Future developments in TKA planning may benefit from incorporating intraoperative laxity assessments – potentially via robotic or sensor-assisted technologies – into alignment algorithms (54).
Discussion and summary
This comprehensive review offers a systematic and clearly defined approach to the coronal and sagittal analysis of constitutional alignment of the native knee. The techniques and elements in this system are specifically compiled to be compatible for assessing radiographs of patients with knee arthritis.
The functional knee phenotype system (10) was the first to draw attention to the complexity and diversity of constitutional knee alignment. It introduced the concept of combining limb and knee alignment parameters into a complex but systematic nomenclature and precisely divided knees into multiple groups based on mean and standard deviation values. The CPAK system (4) is useful for analyzing constitutional coronal alignment of the arthritic knee as it eliminates the influence of asymmetrical joint space on the hip-knee-ankle angle. The inherent pragmatism and clear terminology of this system facilitate communication and comparison of results. More recently, the CEDP system, built on the strength of the CPAK grid system, incorporates separate analyses of femoral and tibial extra-articular deformities. It also emphasizes the advantages of using the ‘anatomical range’ of mLDFA and mMPTA (87.0° ± 2°) for more precise separation of phenotypes. Each of these systems offers valuable insights into the diversity of constitutional knee alignment with the common goal of enabling accurate restoration of native alignment in knee arthritis.
Indeed, some studies have reported that the differences between OA and non-OA knees are small regarding coronal femoral and tibial joint line orientation, whereas other studies have stated that there is a wide variation in coronal alignment in both arthritic and non-arthritic knees (55, 56, 57). Hess (58) conducted a systematic literature review to examine the variability in coronal femoral and tibial alignment in patients with arthritic knees. This review not only highlights the variation in the coronal alignment but also demonstrates the variability with which different parameters are reported. Similarly, there is considerable variation in PTS, differences in slope between the medial and lateral tibial plateaus, as well as variability in trochlear geometry. Hazratwala (59) analyzed 4,116 knee CTs from the 360 Knee Systems© database, focusing on arthritic pre-operative TKA patients. The medial and lateral PTS ranged from 5° anterior to 25° posterior. A differential PTS of more than 5° between the medial and lateral sides was found in 22.6% of patients. Of these, 14.5% exhibited a greater lateral PTS, with a mean difference from the medial PTS of 4.8° ± 5.0°, while 31.0% had a greater medial PTS, with a mean difference from the lateral PTS of 5.7° ± 3.2°. In addition, 14% of trochlear angles (TA) relative to the distal femoral angle and 5.2% of TA relative to the posterior condylar angle varied by more than 10°.
All these systems, however, share common limitations. First, the elements of analysis are poorly defined. Most measurements are only briefly and/or vaguely described, leaving room for interpretation. This can lead to a lack of uniformity and accuracy in analysis and classification. Second, some of the measurement parameters used are prone to influence by arthritic changes of the knee. As described above, these aberrations may decrease the accuracy of measurements and be unrepresentative of constitutional alignment. Finally, all the previously mentioned classification systems are purely based on coronal plane parameters and make no attempt to incorporate the sagittal parameters of constitutional alignment. Assessment of sagittal plane JLO, i.e., PTS, is equally important. Changes in PTS, whether by increasing or decreasing it, could significantly impact PCL function. An increase in PTS may lead to greater strain and overload on the collateral ligaments, causing abnormal forces at the implant–bone interface, which may result in instability or excessive wear (60, 61). On the other hand, a reduction in PTS may compromise knee stability by altering load distribution and potentially diminishing the PCL’s capacity to provide posterior stability (60, 61). While the gold standard for measuring PTS is through CT or MRI, or at least lateral full tibia length radiographs, these are not always readily available (62). The tibial axis, defined by the midpoint of the tibial plateau and the midpoint of the ankle joint, serves as a reliable reference for measuring PTS, but determining it intraoperatively can sometimes be challenging. The anterior tibial cortex is often used as an additional reference. Other proposed reference axes for measuring tibial slope include the posterior tibial cortex, the fibula axis, or the line connecting the midpoints of the medullary canal at two different levels (circle method) (41, 63). There is a need for a simple method of measuring PTS that is accurate and reproducible.
If the common goal is for knees to be analyzed and restored reliably, then the sagittal parameters of constitutional alignment are equally important to define and analyze. Therefore, a system of well-defined, biplanar, systematic analysis of knee alignment is needed to ensure precise and comparable results.
Limitations
The literature shows significant heterogeneity in alignment definitions and measurement methods, making comparisons difficult. Second, newer classification systems (CPAK, functional phenotypes, CEDP) are based mainly on cross-sectional data, with limited evidence of clinical utility or long-term outcomes. Third, the review focuses only on coronal and sagittal alignment, excluding axial rotation and dynamic factors such as soft tissue laxity. Finally, conclusions may inherit biases from the included studies. Nonetheless, evidence supports a shift toward a more holistic, biplanar alignment framework to improve knee arthroplasty outcomes.
Conclusion
We have compiled and outlined a stepwise sequence of clearly defined coronal and sagittal alignment measurements of the knee that can be applied to most existing classification systems. These measurements were specifically selected to mitigate the influence of knee arthritis on alignment analysis and for their intraoperative reproducibility in TKA. Such standardization will aid surgeons in restoring patient-specific alignment more accurately and pave the way for future studies to validate and refine this framework.
ICMJE Statement of Interest
The authors declared the following potential conflicts of interest with respect to the research, authorship, and/or publication of this article: one of the authors received a grant for another clinical research as a principal investigator from MicroPort Orthopedics, Inc., Arlington, TN, USA.
Funding Statement
HP and JP are supported in part by the National Institute for Health and Care Research (NIHR) Leeds Biomedical Research Centre (BRC) (NIHR203331). The views expressed are those of the author(s) and not necessarily those of the NHS, the NIHR or the Department of Health and Social Care.
References
- 1.MacDessi SJ, Oussedik S, Abdel MP, et al. The language of knee alignment: updated definitions and considerations for reporting outcomes in total knee arthroplasty. Bone Joint Lett J 2023. 105-B 101. ( 10.1302/0301-620x.105b2.bjj-2023-00028) [DOI] [PubMed] [Google Scholar]
- 2.Schelker BL, Moret CS, Sava MP, et al. The impact of different alignment strategies on bone cuts in total knee arthroplasty for varus knee phenotypes. Knee Surg Sports Traumatol Arthrosc 2023. 31 1840–1850. ( 10.1007/s00167-023-07351-w) [DOI] [PMC free article] [PubMed] [Google Scholar]
- 3.Schelker BL, Moret CS, von Eisenhart‐Rothe R, et al. The impact of different alignment strategies on bone cuts for neutral knee phenotypes in total knee arthroplasty. Knee Surg Sports Traumatol Arthrosc 2023. 31 1267–1275. ( 10.1007/s00167-022-07209-7) [DOI] [PMC free article] [PubMed] [Google Scholar]
- 4.MacDessi SJ, Griffiths-Jones W, Harris IA, et al. Coronal plane alignment of the knee (CPAK) classification. Bone Joint Lett J 2021. 103-B 329–337. ( 10.1302/0301-620x.103b2.bjj-2020-1050.r1) [DOI] [PMC free article] [PubMed] [Google Scholar]
- 5.Begum FA, Kayani B, Magan AA, et al. Current concepts in total knee arthroplasty: mechanical, kinematic, anatomical, and functional alignment. Bone Jt Open 2021. 2 397–404. ( 10.1302/2633-1462.26.bjo-2020-0162.r1) [DOI] [PMC free article] [PubMed] [Google Scholar]
- 6.Mullaji AB, Shetty GM, Lingaraju AP, et al. Which factors increase risk of malalignment of the hip-knee-ankle axis in TKA? Clin Orthop Relat Res 2013. 471 134–141. ( 10.1007/s11999-012-2520-3) [DOI] [PMC free article] [PubMed] [Google Scholar]
- 7.Huber S, Mitterer JA, Vallant SM, et al. Gender-specific distribution of knee morphology according to CPAK and functional phenotype classification: analysis of 8739 osteoarthritic knees prior to total knee arthroplasty using artificial intelligence. Knee Surg Sports Traumatol Arthrosc 2023. 31 4220–4230. ( 10.1007/s00167-023-07459-z) [DOI] [PubMed] [Google Scholar]
- 8.Hirschmann MT, Khan ZA, Sava MP, et al. Definition of normal, neutral, deviant and aberrant coronal knee alignment for total knee arthroplasty. Knee Surg Sports Traumatol Arthrosc 2024. 32 473–489. ( 10.1002/ksa.12066) [DOI] [PubMed] [Google Scholar]
- 9.Hirschmann MT, Moser LB, Amsler F, et al. Functional knee phenotypes: a novel classification for phenotyping the coronal lower limb alignment based on the native alignment in young non-osteoarthritic patients. Knee Surg Sports Traumatol Arthrosc 2019. 27 1394–1402. ( 10.1007/s00167-019-05509-z) [DOI] [PubMed] [Google Scholar]
- 10.Loddo G, An JS, Claes S, et al. CPAK classification cannot be used to determine segmental coronal extra-articular knee deformity. Knee Surg Sports Traumatol Arthrosc 2024. 32 1557–1570. ( 10.1002/ksa.12168) [DOI] [PubMed] [Google Scholar]
- 11.Graichen H, Grau T, von Eisenhart‐Rothe R, et al. A three‐dimensional scoring system for assessment of individual bony and laxity phenotype restoration (knee SIPR) in personalised TKA as a base for treatment guidance. Knee Surg Sports Traumatol Arthrosc 2025. 33 2204–2213. ( 10.1002/ksa.12601) [DOI] [PubMed] [Google Scholar]
- 12.Marchand R, Shul C, Hameed D, et al. Three-dimensional-based native alignment phenotype classification system: description for use in planning for deformities during total knee arthroplasty. J Orthop 2024. 54 163–167. ( 10.1016/j.jor.2024.03.018) [DOI] [PMC free article] [PubMed] [Google Scholar]
- 13.Brunner J, Jörgens M, Weigert M, et al. Significant changes in lower limb alignment due to flexion and rotation – a systematic 3D simulation of radiographic measurements. Knee Surg Sports Traumatol Arthrosc 2023. 31 1483–1490. ( 10.1007/s00167-022-07302-x) [DOI] [PMC free article] [PubMed] [Google Scholar]
- 14.Veerman QW, Ten Heggeler RM, Tuijthof GJ, et al. High variability exists in 3D leg alignment analysis, but underlying principles that might lead to agreement on a universal framework could be identified: a systematic review. Knee Surg Sports Traumatol Arthrosc 2024. 33 2063–2077. ( 10.1002/ksa.12512) [DOI] [PMC free article] [PubMed] [Google Scholar]
- 15.Gbejuade HO, White P, Hassaballa M, et al. Do long leg supine CT scanograms correlate with weight-bearing full-length radiographs to measure lower limb coronal alignment? Knee 2014. 21 549–552. ( 10.1016/j.knee.2013.05.009) [DOI] [PubMed] [Google Scholar]
- 16.Zahn RK, Renner L, Perka C, et al. Weight-bearing radiography depends on limb loading. Knee Surg Sports Traumatol Arthrosc 2019. 27 1470–1476. ( 10.1007/s00167-018-5056-6) [DOI] [PubMed] [Google Scholar]
- 17.Paley D, Herzenberg JE, Tetsworth K, et al. Deformity planning for frontal and sagittal plane corrective osteotomies. Orthop Clin North Am 1994. 25 425–465. ( 10.1016/s0030-5898(20)31927-1) [DOI] [PubMed] [Google Scholar]
- 18.Colyn W, Bruckers L, Scheys L, et al. Changes in coronal knee-alignment parameters during the osteoarthritis process in the varus knee. J ISAKOS 2023. 8 68–73. ( 10.1016/j.jisako.2022.12.002) [DOI] [PubMed] [Google Scholar]
- 19.Colyn W, Vanbecelaere L, Bruckers L, et al. The effect of weight-bearing positions on coronal lower limb alignment: a systematic review. Knee 2023. 43 51–61. ( 10.1016/j.knee.2023.05.004) [DOI] [PubMed] [Google Scholar]
- 20.Cooke D, Scudamore A, Li J, et al. Axial lower-limb alignment: comparison of knee geometry in normal volunteers and osteoarthritis patients. Osteoarthr Cartil 1997. 5 39–47. ( 10.1016/s1063-4584(97)80030-1) [DOI] [PubMed] [Google Scholar]
- 21.Scheerlinck T. Primary hip arthroplasty templating on standard radiographs. A stepwise approach. Acta Orthop Belg 2010. 76 432–442. [PubMed] [Google Scholar]
- 22.Abu-Rajab RB, Deakin AH, Kandasami M, et al. Hip-knee-ankle radiographs are more appropriate for assessment of post-operative mechanical alignment of total knee arthroplasties than standard AP knee radiographs. J Arthroplast 2015. 30 695–700. ( 10.1016/j.arth.2014.11.024) [DOI] [PubMed] [Google Scholar]
- 23.Sharma L, Song J, Felson DT, et al. The role of knee alignment in disease progression and functional decline in knee osteoarthritis. JAMA 2001. 286 188–195. ( 10.1001/jama.286.2.188) [DOI] [PubMed] [Google Scholar]
- 24.Griffiths-Jones W, Chen DB, Harris IA, et al. Arithmetic hip-knee-ankle angle (aHKA): an algorithm for estimating constitutional lower limb alignment in the arthritic patient population. Bone Jt Open 2021. 2 351–358. ( 10.1302/2633-1462.25.bjo-2021-0028.r1) [DOI] [PMC free article] [PubMed] [Google Scholar]
- 25.Jenny J-Y & Baldairon F. The coronal plane alignment of the knee classification does not correlate with the functional knee phenotype classification. Knee Surg Sports Traumatol Arthrosc 2023. 31 3906–3911. ( 10.1007/s00167-023-07394-z) [DOI] [PubMed] [Google Scholar]
- 26.MacDessi SJ, Griffiths-Jones W, Harris IA, et al. The arithmetic HKA (aHKA) predicts the constitutional alignment of the arthritic knee compared to the normal contralateral knee: a matched-pairs radiographic study. Bone Jt Open 2020. 1 339–345. ( 10.1302/2633-1462.17.bjo-2020-0037.r1) [DOI] [PMC free article] [PubMed] [Google Scholar]
- 27.Krackow KA, Jones MM, Teeny SM, et al. Primary total knee arthroplasty in patients with fixed valgus deformity. Clin Orthop Relat Res 1991. 273 9–18. ( 10.1097/00003086-199112000-00004) [DOI] [PubMed] [Google Scholar]
- 28.Ramazanian T, Yan S, Rouzrokh P, et al. Distribution and correlates of hip-knee-ankle angle in early osteoarthritis and preoperative total knee arthroplasty patients. J Arthroplast 2022. 37 S170–S175. ( 10.1016/j.arth.2021.12.009) [DOI] [PMC free article] [PubMed] [Google Scholar]
- 29.Chao EY, Neluheni EV, Hsu RW, et al. Biomechanics of malalignment. Orthop Clin North Am 1994. 25 379–386. ( 10.1016/s0030-5898(20)31922-2) [DOI] [PubMed] [Google Scholar]
- 30.Şahbat Y, Chou TA, An JS, et al. CPAK classification detect the real knee joint apex position in less than half of the knees. Knee Surg Sports Traumatol Arthrosc 2024. 32 1548–1556. ( 10.1002/ksa.12175) [DOI] [PubMed] [Google Scholar]
- 31.Loddo G, An JS, Claes S, et al. CPAK classification cannot be used to determine segmental coronal extra‐articular knee deformity. Knee Surg Sports Traumatol Arthrosc 2024. 32 1557–1570. ( 10.1002/ksa.12168) [DOI] [PubMed] [Google Scholar]
- 32.Franceschetti E, Campi S, Giurazza G, et al. Mechanically aligned total knee arthroplasty does not yield uniform outcomes across all coronal plane alignment of the knee (CPAK) phenotypes. Knee Surg Sports Traumatol Arthrosc 2024. 32 3261–3271. ( 10.1002/ksa.12349) [DOI] [PubMed] [Google Scholar]
- 33.Chelli S, Rudyy T, Avram GM, et al. Gender‐based differences exist in the functional knee phenotypes classification of the osteoarthritic knee. Knee Surg Sports Traumatol Arthrosc 2024. 32 2505–2515. ( 10.1002/ksa.12082) [DOI] [PubMed] [Google Scholar]
- 34.Kobayashi T, Kawaguchi K, Goto K, et al. Functional knee phenotypes: a helpful classification tool for visualizing potential femoral varus in restricted kinematic alignment total knee arthroplasty in Japan. Knee Surg Sports Traumatol Arthrosc 2024. 32 103–115. ( 10.1002/ksa.12028) [DOI] [PubMed] [Google Scholar]
- 35.Liu L, Lei K, Du D, et al. Functional knee phenotypes appear to be more suitable for the Chinese OA population compared with CPAK classification: a study based on 3D CT reconstruction models. Knee Surg Sports Traumatol Arthrosc 2024. 32 1264–1274. ( 10.1002/ksa.12130) [DOI] [PubMed] [Google Scholar]
- 36.Chelli S, Rudyy T, Avram GM, et al. Gender-based differences exist in the functional knee phenotypes classification of the osteoarthritic knee. Knee Surg Sports Traumatol Arthrosc 2024. 32 2505–2515. ( 10.1002/ksa.12082) [DOI] [PubMed] [Google Scholar]
- 37.Monsell F. Fundamentals of Lower-Limb Deformity Analysis, F Monsell (Ed). Shropshire, UK: NPM Publishing Ltd, 2022. [Google Scholar]
- 38.Chen Y, Ding J, Dai S, et al. Radiographic measurement of the posterior tibial slope in normal Chinese adults: a retrospective cohort study. BMC Musculoskelet Disord 2022. 23 386. ( 10.1186/s12891-022-05319-4) [DOI] [PMC free article] [PubMed] [Google Scholar]
- 39.Sun YH, Chen LX, Jiao ZD, et al. Age-related changes of posterior tibial slope and its roles in anterior cruciate ligament injury. Int Surg 2015. 101 70–77. ( 10.9738/intsurg-d-15-00127.1) [DOI] [PubMed] [Google Scholar]
- 40.Tensho K, Kumaki D, Yoshida K, et al. Does posterior tibial slope laterality exist? A matched cohort study between ACL-injured and non-injured knees. J Exp Orthop 2023. 10 132. ( 10.1186/s40634-023-00702-z) [DOI] [PMC free article] [PubMed] [Google Scholar]
- 41.Yoo JH, Chang CB, Shin KS, et al. Anatomical references to assess the posterior tibial slope in total knee arthroplasty: a comparison of 5 anatomical axes. J Arthroplast 2008. 23 586–592. ( 10.1016/j.arth.2007.05.006) [DOI] [PubMed] [Google Scholar]
- 42.Ni QK, Song GY, Zhang ZJ, et al. Posterior tibial slope measurements based on the full-length tibial anatomic axis are significantly increased compared to those based on the half-length tibial anatomic axis. Knee Surg Sports Traumatol Arthrosc 2022. 30 1362–1368. ( 10.1007/s00167-021-06605-9) [DOI] [PubMed] [Google Scholar]
- 43.Hees T, Zielke J & Petersen W. Effect of anterior tibial bowing on measurement of posterior tibial slope on conventional X-rays. Arch Orthop Trauma Surg 2023. 143 2959–2964. ( 10.1007/s00402-022-04507-0) [DOI] [PubMed] [Google Scholar]
- 44.Garra S, Li ZI, Triana J, et al. The influence of tibial length on radiographic posterior tibial slope measurement: how much tibia do we need? Knee 2024. 49 167–175. ( 10.1016/j.knee.2024.06.005) [DOI] [PubMed] [Google Scholar]
- 45.Calek AK, Hochreiter B, Hess S, et al. High inter‐and intraindividual differences in medial and lateral posterior tibial slope are not reproduced accurately by conventional TKA alignment techniques. Knee Surg Sports Traumatol Arthrosc 2022. 30 882–889. ( 10.1007/s00167-021-06477-z) [DOI] [PubMed] [Google Scholar]
- 46.Sadoghi P, Hirschmann MT, Karlsson J, et al. The neglected factor of constitutional sagittal alignment and its implications for total knee arthroplasty. Knee Surg Sports Traumatol Arthrosc 2024. 32 10–12. ( 10.1002/ksa.12013) [DOI] [PubMed] [Google Scholar]
- 47.Hashemi J, Chandrashekar N, Mansouri H, et al. The human anterior cruciate ligament: sex differences in ultrastructure and correlation with biomechanical properties. J Orthop Res 2008. 26 945–950. ( 10.1002/jor.20621) [DOI] [PubMed] [Google Scholar]
- 48.Weinberg DS, Williamson DF, Gebhart JJ, et al. Differences in medial and lateral posterior tibial slope: an osteological review of 1090 tibiae comparing age, sex, and race. Am J Sports Med 2017. 45 106–113. ( 10.1177/0363546516662449) [DOI] [PubMed] [Google Scholar]
- 49.Pangaud C, Laumonerie P, Dagneaux L, et al. Measurement of the posterior tibial slope depends on ethnicity, sex, and lower limb alignment: a computed tomography analysis of 378 healthy participants. Orthop J Sports Med 2020. 8 2325967119895258. ( 10.1177/2325967119895258) [DOI] [PMC free article] [PubMed] [Google Scholar]
- 50.Clinger BN, Plaster S, Passarelli T, et al. Differentiation in posterior tibial slope by sex, age, and race: a cadaveric study utilizing 3-Dimensional computerized tomography. Am J Sports Med 2022. 50 2698–2704. ( 10.1177/03635465221108187) [DOI] [PubMed] [Google Scholar]
- 51.Morrisey Z, Cruse J, Barra M, et al. Posterior tibial slope considered as an important addition to the CPAK classification system. J Orthop 2024. 51 54–59. ( 10.1016/j.jor.2024.01.008) [DOI] [PMC free article] [PubMed] [Google Scholar]
- 52.Graichen H, Avram GM, Strauch M, et al. Tibia‐first, gap‐balanced patient‐specific alignment restores bony phenotypes and joint line obliquity in a great majority of varus and straight knees and normalises valgus and severe varus deformities. Knee Surg Sports Traumatol Arthrosc 2024. 32 1287–1297. ( 10.1002/ksa.12145) [DOI] [PubMed] [Google Scholar]
- 53.Grosso MJ, Wakelin EA, Plaskos C, et al. Alignment is only part of the equation: high variability in soft tissue distractibility in the varus knee undergoing primary TKA. Knee Surg Sports Traumatol Arthrosc 2024. 32 1516–1524. ( 10.1002/ksa.12115) [DOI] [PubMed] [Google Scholar]
- 54.Bertugli E, Zambianchi F, Batailler C, et al. Change of CPAK class does not affect functional outcomes in robotic arm‐assisted total knee arthroplasty performed with functional alignment. Knee Surg Sports Traumatol Arthrosc 2024. 33 1773–1783. ( 10.1002/ksa.12561) [DOI] [PubMed] [Google Scholar]
- 55.Hess S, Moser LB, Robertson EL, et al. Osteoarthritic and non‐osteoarthritic patients show comparable coronal knee joint line orientations in a cross‐sectional study based on 3D reconstructed CT images. Knee Surg Sports Traumatol Arthrosc 2022. 30 407–418. ( 10.1007/s00167-021-06740-3) [DOI] [PMC free article] [PubMed] [Google Scholar]
- 56.Nomoto K, Hanada M, Hotta K, et al. Distribution of coronal plane alignment of the knee classification does not change as knee osteoarthritis progresses: a longitudinal study from the Toei study. Knee Surg Sports Traumatol Arthrosc 2023. 31 5507–5513. ( 10.1007/s00167-023-07604-8) [DOI] [PubMed] [Google Scholar]
- 57.Tomiyama Y, Mochizuki T, Koga H, et al. The Matsudai knee osteoarthritis survey showed the longitudinal changes of knee phenotypes in alignment and structure during 23–28 years. Knee Surg Sports Traumatol Arthrosc 2023. 31 5034–5047. ( 10.1007/s00167-023-07554-1) [DOI] [PubMed] [Google Scholar]
- 58.Hess S, Moser LB, Amsler F, et al. Highly variable coronal tibial and femoral alignment in osteoarthritic knees: a systematic review. Knee Surg Sports Traumatol Arthrosc 2019. 27 1368–1377. ( 10.1007/s00167-019-05506-2) [DOI] [PubMed] [Google Scholar]
- 59.Hazratwala K, O’Callaghan WB, Dhariwal S, et al. Wide variation in tibial slopes and trochlear angles in the arthritic knee: a CT evaluation of 4116 pre-operative knees. Knee Surg Sports Traumatol Arthrosc 2022. 30 3049–3060. ( 10.1007/s00167-021-06725-2) [DOI] [PubMed] [Google Scholar]
- 60.Bauer L, Thorwachter C, Steinbruck A, et al. Does posterior tibial slope influence knee kinematics in medial stabilized TKA? J Clin Med 2022. 11 6875. ( 10.3390/jcm11226875) [DOI] [PMC free article] [PubMed] [Google Scholar]
- 61.Veizi E, Fırat A, Tecimel O, et al. The change in posterior tibial slope after cementless unicondylar knee arthroplasty. J Arthroplast 2021. 36 1784–1791. ( 10.1016/j.arth.2020.12.041) [DOI] [PubMed] [Google Scholar]
- 62.Akamatsu Y, Sotozawa M, Kobayashi H, et al. Usefulness of long tibial axis to measure medial tibial slope for opening wedge high tibial osteotomy. Knee Surg Sports Traumatol Arthrosc 2016. 24 3661–3667. ( 10.1007/s00167-014-3403-9) [DOI] [PubMed] [Google Scholar]
- 63.Napier RJ, Garcia E, Devitt BM, et al. Increased radiographic posterior tibial slope is associated with subsequent injury following revision anterior cruciate ligament reconstruction. Orthop J Sports Med 2019. 7 2325967119879373. ( 10.1177/2325967119879373) [DOI] [PMC free article] [PubMed] [Google Scholar]

This work is licensed under a 


