Abstract
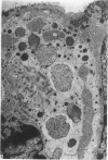
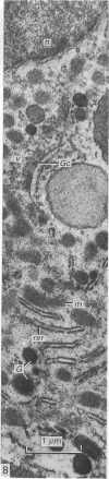
The fine structure of the Leydig cells in the epidermis of the strictly aquatic adult axolotl Ambystoma mexicanum resembles that of similar cells in larval salamanders. The major finding of this study is that the mucous secretion of the Leydig cells is released into the intercellular spaces from which it is discharged through pores onto the surface of the epidermis where it forms a mucous layer to protect the skin.
Full text
PDF







Images in this article
Selected References
These references are in PubMed. This may not be the complete list of references from this article.
- HAY E. D. Fine structure of an unusual intracellular supporting network in the Leydig cells of Amblystoma epidermis. J Biophys Biochem Cytol. 1961 Jul;10:457–463. doi: 10.1083/jcb.10.3.457. [DOI] [PMC free article] [PubMed] [Google Scholar]
- Kelly D. E. The Leydig cell in larval amphibian epidermis. Fine structure and function. Anat Rec. 1966 Mar;154(3):685–699. doi: 10.1002/ar.1091540314. [DOI] [PubMed] [Google Scholar]
- LUFT J. H. Improvements in epoxy resin embedding methods. J Biophys Biochem Cytol. 1961 Feb;9:409–414. doi: 10.1083/jcb.9.2.409. [DOI] [PMC free article] [PubMed] [Google Scholar]
- Leeson C. R., Leeson T. S. Staining methods for sections of epon-embedded tissues for light microscopy. Can J Zool. 1970 Jan;48(1):189–191. doi: 10.1139/z70-026. [DOI] [PubMed] [Google Scholar]
- REYNOLDS E. S. The use of lead citrate at high pH as an electron-opaque stain in electron microscopy. J Cell Biol. 1963 Apr;17:208–212. doi: 10.1083/jcb.17.1.208. [DOI] [PMC free article] [PubMed] [Google Scholar]
- WATSON M. L. Staining of tissue sections for electron microscopy with heavy metals. J Biophys Biochem Cytol. 1958 Jul 25;4(4):475–478. doi: 10.1083/jcb.4.4.475. [DOI] [PMC free article] [PubMed] [Google Scholar]










