Abstract
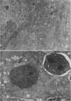
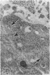
Renin-containing cells in fetal adrenal glands of the mouse were investigated with the protein A-gold immunocytochemical technique. On Day 14 of gestation, a small number of specific granules were weakly immunoreactive and were distributed in the Golgi region. Sometimes, apparent exocytosis of gold-labelled particles could be seen opening into the extracellular space. On Day 16 of gestation, numerous gold particles were demonstrated in the Golgi region as well as in the specific secretory granules. Immunoreactivity of the specific granules was increased as compared with Day 14, though some granules were observed to have no reaction with the antibody. On Day 18 of gestation reactivity for renin decreased, while a few clustered immunoreactive granules were demonstrated just beneath the cell membrane. No gold particles were observed in the Golgi apparatus during this period and more granules negative for renin were noted than on Day 16 of gestation. These results suggest that renin is produced and released temporarily by adrenal cortical cells in the late fetal life of the mouse.
Full text
PDF










Images in this article
Selected References
These references are in PubMed. This may not be the complete list of references from this article.
- Chabot J. G., Gray D. A., Dubois P. M., Morel G. Presence of angiotensin II in the adult male rat anterior pituitary gland: immunocytochemical study after cryoultramicrotomy. Exp Cell Res. 1989 Jan;180(1):189–197. doi: 10.1016/0014-4827(89)90223-1. [DOI] [PubMed] [Google Scholar]
- Davis J. O., Freeman R. H. Mechanisms regulating renin release. Physiol Rev. 1976 Jan;56(1):1–56. doi: 10.1152/physrev.1976.56.1.1. [DOI] [PubMed] [Google Scholar]
- Deschepper C. F., Mellon S. H., Cumin F., Baxter J. D., Ganong W. F. Analysis by immunocytochemistry and in situ hybridization of renin and its mRNA in kidney, testis, adrenal, and pituitary of the rat. Proc Natl Acad Sci U S A. 1986 Oct;83(19):7552–7556. doi: 10.1073/pnas.83.19.7552. [DOI] [PMC free article] [PubMed] [Google Scholar]
- Flack J. D., Jessup R., Ramwell P. W. Prostaglandin stimulation of rat corticosteroidogenesis. Science. 1969 Feb 14;163(3868):691–692. doi: 10.1126/science.163.3868.691. [DOI] [PubMed] [Google Scholar]
- Ganten D., Hermann K., Bayer C., Unger T., Lang R. E. Angiotensin synthesis in the brain and increased turnover in hypertensive rats. Science. 1983 Aug 26;221(4613):869–871. doi: 10.1126/science.6879184. [DOI] [PubMed] [Google Scholar]
- Holmes P. V., Dickson A. D. X-zone degeneration in the adrenal glands of adult and immature female mice. J Anat. 1971 Jan;108(Pt 1):159–168. [PMC free article] [PubMed] [Google Scholar]
- Johannisson E. The foetal adrenal cortex in the human. Its ultrastructure at different stages of development and in different functional states. Acta Endocrinol (Copenh) 1968;58(Suppl):7+–7+. [PubMed] [Google Scholar]
- Kon Y., Hashimoto Y., Kitagawa H., Kudo N. An immunohistochemical study on the embryonic development of renin-containing cells in the mouse and pig. Anat Histol Embryol. 1989 Mar;18(1):14–26. doi: 10.1111/j.1439-0264.1989.tb00576.x. [DOI] [PubMed] [Google Scholar]
- Kon Y., Hashimoto Y., Kitagawa H., Sugimura M., Murakami K. Renin immunohistochemistry in the adrenal gland of the mouse fetus and neonate. Anat Rec. 1990 May;227(1):124–131. doi: 10.1002/ar.1092270114. [DOI] [PubMed] [Google Scholar]
- Lightman A., Tarlatzis B. C., Rzasa P. J., Culler M. D., Caride V. J., Negro-Vilar A. F., Lennard D., DeCherney A. H., Naftolin F. The ovarian renin-angiotensin system: renin-like activity and angiotensin II/III immunoreactivity in gonadotropin-stimulated and unstimulated human follicular fluid. Am J Obstet Gynecol. 1987 Apr;156(4):808–816. doi: 10.1016/0002-9378(87)90336-x. [DOI] [PubMed] [Google Scholar]
- McKenzie J. C., Naruse K., Inagami T. The renin-angiotensin system in the rat anterior pituitary: colocalization of renin and angiotensin II in gonadotrophs. Anat Rec. 1985 Jun;212(2):158–166. doi: 10.1002/ar.1092120209. [DOI] [PubMed] [Google Scholar]
- McNutt N. S., Jones A. L. Observations on the ultrastructure of cytodifferentiation in the human fetal adrenal cortex. Lab Invest. 1970 Jun;22(6):513–527. [PubMed] [Google Scholar]
- Mizuno K., Hoffman L. H., McKenzie J. C., Inagami T. Presence of renin secretory granules in rat adrenal gland and stimulation of renin secretion by angiotensin II but not by adrenocorticotropin. J Clin Invest. 1988 Sep;82(3):1007–1016. doi: 10.1172/JCI113657. [DOI] [PMC free article] [PubMed] [Google Scholar]
- NISHIDA S., MOCHIZUKI K. Preliminary report on the function of the X-zone of the mouse adrenal cortex. Arch Histol Jpn. 1963 Feb;23:213–227. doi: 10.1679/aohc1950.23.213. [DOI] [PubMed] [Google Scholar]
- Naruse M., Inagami T. Markedly elevated specific renin levels in the adrenal in genetically hypertensive rats. Proc Natl Acad Sci U S A. 1982 May;79(10):3295–3299. doi: 10.1073/pnas.79.10.3295. [DOI] [PMC free article] [PubMed] [Google Scholar]
- Naruse M., Naruse K., Inagaki T., Inagami T. Immunoreactive renin in mouse adrenal gland. Localization in the inner cortical region. Hypertension. 1984 Mar-Apr;6(2 Pt 1):275–280. [PubMed] [Google Scholar]
- Palumbo A., Jones C., Lightman A., Carcangiu M. L., DeCherney A. H., Naftolin F. Immunohistochemical localization of renin and angiotensin II in human ovaries. Am J Obstet Gynecol. 1989 Jan;160(1):8–14. doi: 10.1016/0002-9378(89)90077-x. [DOI] [PubMed] [Google Scholar]
- Pandey K. N., Inagami T. Regulation of renin angiotensins by gonadotropic hormones in cultured murine Leydig tumor cells. Release of angiotensin but not renin. J Biol Chem. 1986 Mar 25;261(9):3934–3938. [PubMed] [Google Scholar]
- Pandey K. N., Misono K. S., Inagami T. Evidence for intracellular formation of angiotensins: coexistence of renin and angiotensin-converting enzyme in Leydig cells of rat testis. Biochem Biophys Res Commun. 1984 Aug 16;122(3):1337–1343. doi: 10.1016/0006-291x(84)91238-5. [DOI] [PubMed] [Google Scholar]
- Sealey J. E., Goldstein M., Pitarresi T., Kudlak T. T., Glorioso N., Fiamengo S. A., Laragh J. H. Prorenin secretion from human testis: no evidence for secretion of active renin or angiotensinogen. J Clin Endocrinol Metab. 1988 May;66(5):974–978. doi: 10.1210/jcem-66-5-974. [DOI] [PubMed] [Google Scholar]
- Shebuski R. J., Aiken J. W. Angiotensin II stimulation of renal prostaglandin synthesis elevates circulating prostacyclin in the dog. J Cardiovasc Pharmacol. 1980 Sep-Oct;2(5):667–677. doi: 10.1097/00005344-198009000-00015. [DOI] [PubMed] [Google Scholar]
- Sucheston M. E., Cannon M. S. Development of zonular patterns in the human adrenal gland. J Morphol. 1968 Dec;126(4):477–491. doi: 10.1002/jmor.1051260408. [DOI] [PubMed] [Google Scholar]
- Taugner R., Bührle C. P., Nobiling R., Kirschke H. Coexistence of renin and cathepsin B in epithelioid cell secretory granules. Histochemistry. 1985;83(2):103–108. doi: 10.1007/BF00495138. [DOI] [PubMed] [Google Scholar]
- Taugner R., Hackenthal E. Angiotensin II in epitheloid (renin containing) cells of rat kidney. Histochemistry. 1981;72(4):499–509. doi: 10.1007/BF00493271. [DOI] [PubMed] [Google Scholar]
- Taugner R., Hackenthal E., Helmchen U., Ganten D., Kugler P., Marin-Grez M., Nobiling R., Unger T., Lockwald I., Keilbach R. The intrarenal renin-angiotensin-system. An immunocytochemical study on the localization of renin, angiotensinogen, converting enzyme and the angiotensins in the kidney of mouse and rat. Klin Wochenschr. 1982 Oct 1;60(19):1218–1222. doi: 10.1007/BF01716726. [DOI] [PubMed] [Google Scholar]
- Taugner R., Murakami K., Kim S. J. Renin activation in juvenile secretory granules? Immunocytochemical experiments with an antiserum directed against the prosegment of human renin. Histochemistry. 1986;85(2):107–109. doi: 10.1007/BF00491755. [DOI] [PubMed] [Google Scholar]
- Taugner R., Whalley A., Angermüller S., Bührle C. P., Hackenthal E. Are the renin-containing granules of juxtaglomerular epithelioid cells modified lysosomes? Cell Tissue Res. 1985;239(3):575–587. doi: 10.1007/BF00219236. [DOI] [PubMed] [Google Scholar]
- Ubeda M., Hernandez I., Fenoy F., Quesada T. Vascular and adrenal reninlike activity in chronically diabetic rats. Hypertension. 1988 Apr;11(4):339–343. doi: 10.1161/01.hyp.11.4.339. [DOI] [PubMed] [Google Scholar]
- Urata H., Khosla M. C., Bumpus F. M., Husain A. Evidence for extracellular, but not intracellular, generation of angiotensin II in the rat adrenal zona glomerulosa. Proc Natl Acad Sci U S A. 1988 Nov;85(21):8251–8255. doi: 10.1073/pnas.85.21.8251. [DOI] [PMC free article] [PubMed] [Google Scholar]
- Vecsei P., Hackenthal E., Ganten D. The renin-angiotensin-aldosterone system. Past, present and future. Klin Wochenschr. 1978;56 (Suppl 1):5–21. doi: 10.1007/BF01477448. [DOI] [PubMed] [Google Scholar]





