Abstract
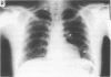
A case of spontaneous oesophageal rupture following vomiting, secondary to a hypoglycaemic episode is reported. The case is of interest in its presentation and physical signs. It reflects the difficulty in diagnosing a condition associated with considerable morbidity and mortality. The importance of recognition of a pattern of symptoms, physical signs and radiographic findings is emphasized.
Full text
PDF



Images in this article
Selected References
These references are in PubMed. This may not be the complete list of references from this article.
- Abbott O. A., Mansour K. A., Logan W. D., Jr, Hatcher C. R., Jr, Symbas P. N. Atraumatic so-called "spontaneous" rupture of the esophagus. A review of 47 personal cases with comments on a new method of surgical therapy. J Thorac Cardiovasc Surg. 1970 Jan;59(1):67–83. [PubMed] [Google Scholar]
- Granich M. S., Klotz R. E., Lofgren R. H., Partlow R. C., Jr, DiGregorio L. I. Spontaneous retropharyngeal and cervical subcutaneous emphysema in adults. Arch Otolaryngol. 1983 Oct;109(10):701–704. doi: 10.1001/archotol.1983.00800240067013. [DOI] [PubMed] [Google Scholar]
- Patton A. S., Lawson D. W., Shannon J. M., Risley T. S., Bixby F. E. Reevaluation of the Boerhaave syndrome. A review of fourteen cases. Am J Surg. 1979 Apr;137(4):560–565. doi: 10.1016/0002-9610(79)90131-4. [DOI] [PubMed] [Google Scholar]
- Rogers L. F., Puig A. W., Dooley B. N., Cuello L. Diagnostic considerations in mediastinal emphysema: a pathophysiologic-roentgenologic approach to Boerhaave's syndrome and spontaneous pneumomediastinum. Am J Roentgenol Radium Ther Nucl Med. 1972 Jul;115(3):495–511. doi: 10.2214/ajr.115.3.495. [DOI] [PubMed] [Google Scholar]
- Walker W. S., Cameron E. W., Walbaum P. R. Diagnosis and management of spontaneous transmural rupture of the oesophagus (Boerhaave's syndrome). Br J Surg. 1985 Mar;72(3):204–207. doi: 10.1002/bjs.1800720320. [DOI] [PubMed] [Google Scholar]


