Abstract
We describe a CCCH type of zinc finger domain in a replication protein A (RPA) homolog found in members of different lineages of the Euryarchaeota, a subdomain of Archaea. The zinc finger is characterized by CX2CX8CX2H, where X is any amino acid. Using MacRPA3, a representative of this new group of RPA in Methanosarcina acetivorans, we made two deletion mutants: a C-terminal deletion mutant lacking the zinc finger and an N-terminal deletion mutant containing the zinc finger domain. Whereas the N-terminal deletion mutant contained zinc at a level comparable to the wild-type protein level, the C-terminal deletion mutant was devoid of zinc. We further created four different mutants of MacRPA3 by replacing each of the four invariable amino acids in the zinc finger with alanine. Each single mutation at an invariable position resulted in a protein containing less than 35% of the zinc found in the wild-type protein. Circular dichroism spectra suggested that although the mutation at the first cysteine resulted in minor perturbation of protein structure, mutations at the other invariable positions led to larger structural changes. All proteins harboring a mutation at one of the invariable positions bound to single-stranded DNA weakly, and this translated into reduced capacity to stimulate DNA synthesis by M. acetivorans DNA polymerase BI. By subjecting the protein and its mutants to oxidizing and reducing conditions, we demonstrated that ssDNA binding by MacRPA3 may be regulated by redox through the zinc finger. Thus, the zinc finger modules in euryarchaeal RPA proteins may serve as a means by which the function of these proteins is regulated in the cell.
The naturally occurring amino acids, as building blocks, do not alone provide the structural diversity of proteins found in organisms. Metal cofactors are sometimes essential for proper folding of proteins, and this may also lead to increased structural diversity and flexibility (8). Zinc ions are widely used metal cofactors (1), and they are typically found in protein modules termed zinc fingers. Zinc finger modules range in size from about 30 to 100 amino acids (16), and from a functional role, they are involved in nucleic acid binding, protein-protein interactions, and binding of small ligands (13). Thus, zinc fingers may be found in proteins involved in regulation of DNA metabolism, transcription, translation, cell cycle, and metal metabolism (21, 24). There are at least eight major groups of zinc finger modules (13), and in each group cysteines or histidines are generally invariant amino acids (21). Coordination of the zinc ion by cysteine or histidine creates a sealed environment, making the ion unavailable for catalytic reactions (14). Zinc fingers of the Cys2His2 family are the best-studied group to date (13), and analyses of the Saccharomyces cerevisiae and Caenorhabditis elegans genomes have shown that approximately 0.7% of the predicted proteins contain zinc finger motifs (21). In general, zinc fingers fold in the presence of zinc into a ββα fold, where the zinc ions direct intrastrand contacts (21), and removal of the zinc ion causes the finger to unfold (13).
In eukaryotic cells a conserved zinc finger motif is located in the C-terminal region of the largest subunit of the heterotrimeric replication protein A (RPA70) (7). RPA is a single-stranded DNA (ssDNA) binding protein which is essential for diverse DNA transactions, including replication, repair, and recombination (20). In RPA70, the zinc finger motif interrupts the fourth oligosaccharide-oligonucleotide-binding (OB) fold, an ssDNA binding module. The consensus sequence for the zinc finger in the eukaryotic RPA70 is X3CX2-4CX12-15CX2C, where X is any amino acid (17). The region harboring the zinc finger in RPA70 is not required for ssDNA binding, but several investigations have demonstrated the potential role of this module (2, 7, 17). Higher-order cooperativity is abolished when the zinc finger is deleted (7), a finding that suggests that the zinc finger is required for protein-protein interactions. Deletion of the zinc finger also prevents interaction between the RPA32 and RPA14 subunits (7). Furthermore, the zinc finger module is required for the elongation step during DNA replication (15).
Although the bacterial functional homolog of eukaryotic RPA, known as single-stranded DNA binding protein, lacks a zinc finger domain, several RPA-like homologs found in archaea contain putative zinc finger motifs (9, 10, 12). However, none of these modules has been analyzed for its role in protein structure or function. Recently, we described a novel group of archaeal RPA that is composed of two OB folds and a zinc finger-like motif characterized by CX2CX8CX2H, where X is any amino acid (18). This RPA homolog appears to be the most widespread in the archaeal subdomain Euryarchaeota (19). Here we use deletion analysis to show that the region containing the putative zinc finger harbors a zinc ion, and with mutational analysis, we demonstrate that three invariant cysteines and a histidine are essential for proper coordination of the zinc ion. Furthermore, we investigate the role of this zinc finger module in MacRPA3's capacity to bind to ssDNA and also to stimulate DNA synthesis by a cognate DNA polymerase.
MATERIALS AND METHODS
Mutational and deletion analysis of the CX2CX8CX2H motif in MacRPA3.
In a previous work (18), we reported the presence of three different RPA homologs (MacRPA1, MacRPA2, and MacRPA3) in the mesophilic archaeon Methanosarcina acetivorans. Two of the proteins (MacRPA2 and MacRPA3) harbored in their C-terminal half the motif CX2CX8CX2H, as shown in Fig. 1A. Proceeding on the basis of the hypothesis that this motif is a zinc-binding module, we made a C313A mutation that changed the first cysteine in the putative zinc finger module of MacRPA3 to alanine, and this mutation drastically reduced the zinc content of the mutant protein (18). To clearly demonstrate that the zinc ion is located in the CX2CX8CX2H motif, we made two deletion mutants, MacRPA3ΔC152 and MacRPA3ΔN272 (Fig. 1B). MacRPA3ΔC152 coded for a MacRPA3 derivative containing its two OB folds but with the putative zinc finger region removed, whereas MacRPA3ΔN272 contained only the C-terminal region that harbors the putative zinc finger motif. The nucleotide sequences encoding MacRPA3ΔC152 and MacRPA3ΔN272 were amplified with the PCR primer pair MacRPA3F and RPA3R2 and the PCR primer pair RPA3F2 and MacRPA3R, respectively (Table 1). The template for the PCR amplification was a TA-cloning vector harboring the gene for MacRPA3 (18). Each PCR fragment was cloned into a TA-cloning vector (pGEM-T, Promega) and sequenced to ensure the correctness of the nucleotide sequence. The fragment was released by digestion with NdeI and XhoI and inserted into a pET28a plasmid digested with the same restriction enzymes. This placed the gene in frame with a six-histidine (His6) tag encoded by the plasmid. Thus, upon expression each nucleotide sequence yielded a product with His6 tag at the N terminus. The plasmid construct coding for MacRPA3ΔC152 was designated pT/ΔC1 and that encoding MacRPA3ΔN272 was designated pT/ΔN2. To determine whether each conserved residue in the putative zinc finger contributes to coordination of a zinc ion, we created MacRPA3 derivatives with the mutations MacRPA3-C316A (CX2CX8CX2H→ CX2AX8CX2H), MacRPA3-C325A (CX2CX8CX2H→CX2CX8AX2H), and MacRPA3-H328A (CX2CX8CX2H→ CX2CX8CX2A) and with the double mutation MacRPA3-C313A/H328A (CX2CX8CX2H→ AX2CX8CX2A) by use of a QuikChange multi-site-directed mutagenesis kit (Stratagene). The template was the TA-cloning vector containing the wild-type MacRPA3 gene, as described above. The oligonucleotides used for mutagenesis are shown in Table 1. The success of each mutagenic PCR was confirmed by nucleotide sequencing (W. M. Keck Center for Functional and Comparative Genomics, University of Illinois at Urbana-Champaign), and the fragment containing the mutation was released by digestion with HindIII (nucleotides 684 to 689) and XhoI. A pET28a construct containing the gene coding for the wild-type MacRPA3 (18) was digested with the same restriction enzymes (HindIII and XhoI), and each mutated fragment was used to replace the wild-type fragment by ligation (T4 DNA ligase; New England Biolabs). The plasmids expressing MacRPA3 with the various mutations were designated pT/C316A, pT/C325A, pT/H328A, and pT/C313A/H328A, respectively. Each fragment replacement was further confirmed by nucleotide sequencing as described above.
FIG. 1.
(A) Alignment of the C-terminal region of euryarchaeal RPA-like proteins possessing the CX2CX8CX2H zinc finger motif. MacRPA2, Methanosarcina acetivorans RPA2 [NP_617912]; MacRPA3, M. acetivorans RPA3 [AAM04034]; MmaRPA2, Methanosarcina mazei RPA2 [AAM29989]; MmaRPA3, M. mazei RPA3 [AAM31447]; MbaRPA2, Methanosarcina barkeri RPA2 [ZP_00295856]; MbaRPA3, M. barkeri RPA3 [ZP_00078544]; MbuRPA2, Methanococcoides burtonii RPA2 [ZP_00147956]; MbuRPA3, M. burtonii RPA3 [ZP_00147956]; HspRPA, Halobacterium sp. strain NRC-1 RPA [AAG18754]; HmaRPA, Haloarcula marismortui RPA [YP_135794]]; MkaRPA, Methanopyrus kandleri RPA [AAM02654]]; FacRPA1, Ferroplasma acidarmanus RPA1[ZP_00001715]]; PtoRPA1, Picrophilus torridus RPA1 [YP_024197]]; TacRPA1, Thermoplasma acidophilum RPA1 [CAC11531]]; TvoRPA1, Thermoplasma volcanium RPA1 [BAB60353]]. Note that the halobacteria have other RPA homologs that are different from the ones listed above. The GenBank accession numbers are in brackets. The conserved and similar amino acids are shaded black and gray, respectively. The amino acids that are conserved in the zinc finger are indicated by asterisks. (B) A schematic representation of MacRPA3 wild-type (MacRPA3WT), truncation (MacRPA3ΔC152 and MacRPA3ΔN272), and mutant (MacRPA3-C313A, MacRPA3-C316A, MacRPA3-C325A, MacRPA3-H328A, and MacRPA3-C313A/H328A) proteins, showing the two different OB folds (boxes A and B) in different shades of gray. The putative zinc finger motifs of wild-type and mutant proteins, together with their sequences, are shown (X represents any amino acid residue). The motifs are not drawn to scale.
TABLE 1.
Oligonucleotides used in this studya
| Experiment | Oligonucleotide | Nucleotide sequence |
|---|---|---|
| rpa3 cloning | MacRPA3F | 5′ CATATGGATGAGAAAATTGCGCCCCAACTTG |
| MacRPA3R | 5′ CTCGAGTTAAGCAAGGTTAATTCCTCCTTCG | |
| Mutagenesis | C313A-F | 5′ CGGGAATAATTACCCGCGCCCCCGAATGCAGCCGCGTG |
| C313A-R | 5′ CACGCGGCTGCATTCGGGGGCGCGGGTAATTATTCCCG | |
| C316A | 5′ ATTACCCGCTGCCCCGAAGCCAGCCGCGTGGTCCAG | |
| C325A | 5′ GTCCAGAAAGGAAACGCCAGGGTGCACGGCAAGGTG | |
| H328A | 5′ GGAAACTGCAGGGTGGCCGGCAAGGTGGAAGGC | |
| Gene truncation | RPA3F2 | 5′ CATATGGCAGCAAAAGAACCTGCCCTCCTG |
| RPA3R2 | 5′ CTCGAGTCAGCCTGCAGTAGCTACGTCAAACATG | |
| EMSA | MacMC-R | 5′ TTTTCTCGAGTTATGCCACGAGTTTTACATGCTCCTTGCCCC |
| Primer extension | M13 6205-6234 | 5′ ATTCGTAATCATGGTCATAGCTGTTTCCTG |
The experiments in which the oligonucleotides were used are indicated. The rpa3 oligonucleotides were used to clone MacRPA3. The mutagenesis oligonucleotides were used to create site-directed mutations in the putative zinc finger motif in MacRPA3. The gene truncation oligonucleotides were combined with the oligonucleotides used in cloning MacRPA3 to create truncated proteins with or without the coding sequences for the putative zinc finger motif. The EMSA and primer extension oligonucleotides were used for ssDNA binding and DNA synthesis analysis, respectively. Restriction sites for NdeI (CATATG) and XhoI (CTCGAG) are underlined.
Production of mutant MacRPA3 proteins.
Colonies of Epicurian Escherichia coli BL-21 Codon Plus (DE3) RIL cells (Stratagene), each harboring one of the above-described plasmids, except for pT/C316A, were grown at 37°C in a liter of LB broth supplemented with ampicillin (100 μg/ml) and chloramphenicol (50 μg/ml). When the optical density at 600 nm reached 0.3, the cells were induced by adding isopropyl-β-d-thiogalactopyranoside (IPTG) to the culture at a final concentration of 0.1 mM. The culturing of the cells was then continued at 16°C for 12 h. In the case of pT/C316A, a colony of E. coli BL-21(DE3) cells (Stratagene) harboring the plasmid was grown at 37°C in LB broth supplemented with ampicillin (100 μg/ml). At an optical density of 0.3 at 600 nm, the cells were induced and culturing was continued as described above. The cells from each culture were harvested by centrifugation and suspended in 25 ml of buffer A (50 mM sodium phosphate [pH 7.0], 300 mM NaCl) and lysed by use of a French pressure cell (American Instruments Co.) to release the cell contents. Since each of the genes was inserted in frame with a His6 tag encoded by the pET28 plasmid, the cell debris was removed by centrifugation (10,000 × g for 20 min at 4°C), and the supernatant containing the His6-tagged protein was applied to a buffer A-equilibrated metal-affinity resin (TALON cobalt affinity resin; Clontech). After extensive washes with buffer A, each protein was eluted with buffer A containing 150 mM imidazole. The eluted fractions were pooled and dialyzed against buffer B (50 mM Tris-HCl [pH 8.0]; 100 mM NaCl, 0.5 mM dithiothreitol [DTT], and 10% glycerol). Each dialysate was applied to an anion exchange column (HiTrap Q; Amersham Biosciences) (5 ml) fitted to a high-pressure liquid chromatography apparatus (AKTA Explorer 10; Amersham Biosciences). After washing with four column volumes of buffer B was performed, the bound proteins were eluted with a linear gradient (0 to 1.0 M NaCl) of buffer C (50 mM Tris-HCl [pH 8.0], 1.0 M NaCl, 0.5 mM DTT, and 10% glycerol) at a flow rate of 1 ml/min, and fractions of 0.5 ml in volume were collected. To examine the purity of samples, aliquots of fractions were analyzed by sodium dodecyl sulfate-polyacrylamide gel electrophoresis. All purified proteins were dialyzed against buffer B and stored at 4°C until used. Recombinant MacRPA3 and MacRPA3-C313A were produced as previously described (18).
Determination of protein-bound zinc.
A spectroscopic technique, as described elsewhere (18, 25), was used to determine the zinc content of each mutated protein. Briefly, 5 nmol of each protein was incubated with 4-(2-pyridylazo) resorcinol (PAR) at a concentration of 10 mM in buffer D (50 mM Tris-HCl [pH 7.0], 800 mM NaCl). The level of background zinc (free zinc) in the reaction mixture was recorded as the absorbance at 500 nm, and to release the zinc bound to the protein, methyl methanethiolsulfonate was added to the reaction mixture and allowed to react for 10 min at 22°C. In this reaction, the zinc liberated forms a Zn-PAR complex, which is then measured as the increase in absorbance at 500 nm (Beckman DU 7500) (25). A standard curve for estimating the amount of zinc released was generated with ZnCl2 as the standard. To test the accuracy of zinc determination by the method described above, samples from the wild-type RPA3 and the H328A mutant were also analyzed by inductively-coupled plasma-optical emission spectroscopy (ICP-OES) using an OPTIMA 2000 DV apparatus (Perkin-Elmer) at the University of Illinois at Urbana-Champaign School of Chemical Sciences Microanalysis Laboratory. The proteins were dialyzed against a buffer comprised of 50 mM Tris-HCl [pH 8.0], 50 mM NaCl, and 0.5 mM DTT prior to analysis. The instrument was calibrated by running a blank solution (buffer without protein) followed by analysis of Zn2+ of a known concentration in the same buffer to generate a standard curve. Zinc concentrations in MacRPA3 and its derivatives were then determined based on the standard curve.
Circular dichroism.
The wild-type MacRPA3 and its mutants harboring the C313A, C316A, C325A, H328A, and C313A/H328A mutations were analyzed by circular dichroism (CD) for secondary structural changes. The CD spectra were recorded at room temperature from 260 nm to ∼200 nm using a JASCO J-720 spectropolarimeter (Japan Spectroscopic Co., Inc. Tokyo, Japan) and a cuvette (Starna) of path length 0.1 cm. The spectra were collected at a scanning rate of 50 nm/min, and triplicate spectrum readings were collected per sample. Buffer runs were carried out to determine baseline readings, and all samples were baseline corrected before calculations. The buffer used was 50 mM Tris-HCl (pH 8.0)-75 mM NaCl-0.5 mM DTT. The proteins were at a concentration of 0.5 μg/μl, and the molar ellipticity (θ) was calculated using the equation
![]() |
where θobs is the observed ellipticity, MW is molecular weight, C is concentration (in milligrams per milliliters), l is the path length of the cuvette in centimeters, n refers to the number of residues, and deg is degrees (6). The protein concentrations were determined by the Bradford method using a commercially available kit (Bio-Rad) with bovine serum albumin (New England Biolabs) as the standard.
EMSA.
We used an electrophoretic mobility shift assay (EMSA) to determine the effect of the various mutations in the putative zinc finger motif on the ability to bind to ssDNA. The nucleotide sequence of the 42-mer oligonucleotide (MacMC-R) used as the substrate in the EMSA is shown in Table 1. The DNA was end labeled with [Υ-32P]ATP (Perkin Elmer) and T4 polynucleotide kinase (New England Biolabs). The protein under investigation was incubated with 2 pmol of labeled substrate in 20 μl of binding buffer (20 mM Tris-HCl [pH 8.8], 15 mM MgCl2, 0.05 mg/ml bovine serum albumin). The products of the reaction were resolved by 8% polyacrylamide gel electrophoresis in 1× TBE buffer (89 mM Tris-HCl, 89 mM boric acid, 2 mM EDTA), and the signals were detected by autoradiography and, where required, quantitated using a phosphorimager (BAS-1800; Fuji Film). To determine the specificity of binding, the proteins were challenged with either excess cold ssDNA or double-stranded DNA (dsDNA). In previous experiments, we observed that exposure of MacRPA3 to oxygen abolished its ssDNA binding property (18). Therefore, we investigated whether oxidization-reduction conditions influence ssDNA binding by MacRPA3. For this investigation, the protein (wild-type MacRPA3 or the double mutant MacRPA3-C313A/H328A) was incubated with increasing concentrations of either the reducing agent DTT or the thiol oxidant diamide [diazene dicarboxylic acid bis(N,N-dimethylamide); Sigma], in the EMSA buffer described above. The products were resolved by 8% polyacrylamide gel electrophoresis as described above.
Primer extension analysis.
The effect of the mutations in the zinc finger domain on the capacity of mutant MacRPA3 to stimulate DNA synthesis by MacPolBI was investigated. A total of 1 pmol of a 32P-labeled oligonucleotide (Table 1), complementary to positions 6205 to 6234 of the M13mp18 genome (23), was annealed to 1.0 μg of M13mp18 ssDNA (New England Biolabs) by heating in a buffer composed of 20 mM Tris-HCl (pH 8.8), 100 mM NaCl, 5 mM MgCl2, and 2 mM β-mercaptoethanol to 95°C for 5 min and then gently cooling to room temperature. Primer extension was then initiated by adding 250 μM of each deoxynucleoside triphosphate followed by 0.5 μg of MacPolBI to the reaction mixture. The effect of recombinant MacRPA3 wild type and the different mutants on DNA synthesis by MacPolBI was tested by adding 30 pmol of each protein to the primer extension reaction mixture. The 30-pmol protein was chosen because in our previous experiments this was the level of MacRPA3 at which a very salient enhancement of DNA synthesis was observed under reaction conditions similar to those of the present experiment (18). The primer extension reaction was carried out at 37°C for 30 min and terminated with 6 μl of stop solution (98% formamide, 1 mM EDTA, 0.1% xylene cyanol, 0.1% bromophenol blue). Next, the products were analyzed on a 1% alkali agarose gel as previously described (3).
Amino acid sequence alignment.
Amino acid sequence alignments were carried out with ClustalW (http://www.ebi.ac.uk/clustalw/), and shading was carried out manually.
RESULTS AND DISCUSSION
Deletion and mutational analyses of the CX2CX8CX2H motif.
Recently, we demonstrated by using a biochemical approach the presence of a novel form of RPA in members of the Methanosarcinales, Methanopyrales, and Ferroplasmatales, which constitute three different lineages in the Euryarchaeota (19). Each of the new forms of RPA contained two OB folds upstream of a highly conserved motif resembling a zinc finger. As shown in Fig. 1A, the motif contains three cysteines and a histidine that are invariable. In addition, the spacing of the putative cysteine and histidine ligands is constant (Fig. 1A). In the present experiment, we used deletion analysis to show that zinc ions detected previously in MacRPA3 (18) were located in the region harboring the CX2CX8CX2H motif. As shown in Fig. 1B, we made two deletion mutants of MacRPA3. The C-terminal deletion resulting in MacRPA3ΔC152 was carried out to show that a protein lacking the putative zinc finger motif is devoid of zinc ions, unlike the wild-type protein. To demonstrate that the region that was deleted to create MacRPA3ΔC152 contains the zinc found in the wild-type protein, we made MacRPA3ΔN272, a polypeptide composed of the deleted region in MacRPA3ΔC152 (Fig. 1B). Next, we mutated the invariable cysteines (Cys-313, Cys-316, Cys-325) and histidine (His-328) in MacRPA3 to determine the effect of each mutation on zinc binding. In addition, we created a double mutant, which involved mutating the first cysteine and the conserved histidine (Fig. 1B).
Estimation of zinc contents of MacRPA3 and its mutants.
To ensure that our Zn-PAR detection method was reliable, we used an ICP-OES method to determine the amount of zinc present in the wild type and also in the mutant harboring the H328A mutation. The estimated amounts of zinc in the MacRPA3 wild-type sample by the ICP-OES and the Zn-PAR methods were 1.07 mol of zinc/mol of protein and 1.06 mol of zinc/mol of protein, respectively. In the case of the H328A mutant, the estimated values were 0.38 mol of zinc/mol of protein and 0.35 mol of zinc/mol of protein for the ICP-OES and Zn-PAR methods, respectively. The results from the two methods were very similar. Therefore, for all subsequent analysis the Zn-PAR method (25), easily performed in our laboratory (18), was used. As shown in Fig. 2A and B, each mutant gene was well expressed and the product was purified almost to homogeneity by affinity chromatography and anion exchange chromatography. In MacRPA3ΔC152, designated ΔC152 in Fig. 3, we did not detect any zinc ions, unlike the wild-type protein results. On the other hand, the amount of zinc detected in MacRPA3ΔN272, designated ΔN272 in Fig. 3, was almost the same as in the wild-type protein. In each of the polypeptides harboring single mutations in the invariable amino acid positions in the zinc finger-like motif (C313A, C316A, C325A, and H328), the amount of zinc detected was about 70% less than that of the wild type (Fig. 3). Creating mutations in two of the invariable positions, C313A/H328A, led to a more drastic decrease in zinc content, with this mutant containing less than 15% of the amount of zinc detected in the wild type. The single mutations, and also the double mutations, in the four invariable residues did not completely abolish zinc chelation by MacRPA3, and this suggested that the remaining invariable amino acids were still able to bind some zinc ions, although with very low efficiency or stability.
FIG. 2.
Sodium dodecyl sulfate-polyacrylamide gel electrophoresis of the purified wild-type, mutant, and truncated MacRPA3 proteins. (A) Lanes: 1, protein molecular mass markers (Fermentas); 2, MacRPA3 wild type; 3, MacRPA3-C313A; 4, MacRPA3-C316A; 5, MacRPA3-C325A; 6, MacRPA3-H328A; 7, MacRPA3-C313A/H-328A. (B) Lanes: 1, protein molecular mass markers (Fermentas); 2, MacRPA3WT; 3, MacRPA3ΔC152; 4, MacRPA3ΔN272.
FIG. 3.
Determination of zinc binding in wild-type and mutant derivatives of MacRPA3. The presence of zinc was determined by incubating 5 nmol of each protein with PAR, and the amount of zinc released in the presence of methyl methanethiolsulfonate was measured as the increase in absorbance at 500 nm. The data represent the means ± standard errors of four measurements.
Structural changes in mutant MacRPA3 proteins.
Zinc fingers play key role in protein folding and structural stability. Since our analysis as outlined above suggested that the invariable cysteines and histidine are essential for proper coordination of zinc in MacRPA3, we investigated the effect of mutating each of the conserved amino acids to alanine on the secondary structure of the polypeptide by examining the circular dichroism spectra of purified proteins. The CD spectra showed that the wild-type MacRPA3 has a distinct secondary structure, as indicated by the negative deflection with a single minimum molar ellipticity at ∼225 nm (Fig. 4). Aside from MacRPA3-C313A, the other mutations in the invariable cysteines and histidine, including the double mutation (C313A/H328), resulted in significant structural changes, with their molar ellipticities showing double minima at ∼210 nm and ∼220 nm. Although MacRPA3-C313A showed a CD spectrum similar in shape to that of the wild type, as seen in the other mutants, this protein also exhibited a far different mean molar ellipticity, suggesting perturbation of the structure of the protein. Interestingly, the CD spectra of this mutant and that of the wild-type MacRPA3 were similar in shape to that of human replication protein A (22), which was not surprising, since archaeal RPA proteins and their eukaryotic counterparts seem to have similar OB folds (5, 11, 18).
FIG. 4.
CD spectra of wild-type and mutant derivatives of MacRPA3. Triplicate data sets were collected from samples at a concentration of 0.5 μg/μl in a buffer containing 50 mM Tris-HCl [pH 8.0], 75 mM NaCl, and 0.5 mM DTT. All data sets were normalized against readings from buffer without protein.
Single-stranded DNA binding by wild-type and mutant MacRPA3 proteins.
We used EMSA to determine whether the mutations in MacRPA3 would affect the ability of the protein to bind to ssDNA and also discriminate this form of nucleic acid from double-stranded DNA (dsDNA). The wild-type protein clearly bound to ssDNA, as shown in Fig. 5A, lane 2. Whereas the addition of 50× cold ssDNA to the reaction mixture resulted in the labeled ssDNA being outcompeted by the cold ssDNA (Fig. 5B, lane 2), the addition of 50× cold dsDNA failed to outcompete binding of the protein to the labeled ssDNA (Fig. 5C, lane 2). This result is in agreement with all of our previous analyses of MacRPA3 for ssDNA binding activity (18, 19). MacRPA3-C313A bound ssDNA very differently. The protein remained in the well, suggesting the presence of a very large molecular complex or aggregated protein (Fig. 5A, lane 3). This behavior was observed previously with this mutant (18), and gel filtration analysis suggested that this mutant protein exists in many oligomeric states, including products of very large molecular mass, as judged by the elution profiles (18). All of the other mutants were able to bind to ssDNA, and this binding activity was specific since the bound proteins were outcompeted by cold ssDNA (Fig. 5B) but not by cold dsDNA (Fig. 5C). It is, however, very obvious that when equimolar proteins were added, the mutants bound to less ssDNA (Fig. 5A and 5C, lanes 3 to 7).
FIG. 5.
Single-stranded DNA binding activity of wild-type and mutant derivatives of MacRPA3. (A) A fixed amount (2 pmol) of 32P-labeled ssDNA (lane 1) was incubated with 5.0 pmol of MacRPA3 wild type (lane 2), MacRPA3-C313A (lane 3), MacRPA3-C316A (lane 4), MacRPA3-C325A (lane 5), MacRPA3-H328A (lane 6), and MacRPA3-C313A/H328A (lane 7). (B) The reaction mixtures used in all experiments described for panel A were challenged with 50× cold ssDNA. (C) The reaction mixtures used in all experiments described for panel A were challenged with 50× cold dsDNA. The products from reaction mixtures were resolved by 8% polyacrylamide gel electrophoresis, and the results were visualized by autoradiography. The arrows at I and II indicate free DNA and protein-DNA complex, respectively.
In a previous analysis, where we determined the dissociation constants for the wild-type MacRPA3 and its derivative lacking the region containing the zinc finger motif (MacRPA3ΔC152), the dissociation constant for the wild type was 16.1 ± 0.7 and for the deletion mutant the value was 21.1 ± 0.8 (19). Thus, removal of the zinc finger region did not drastically affect ssDNA binding. It is our hypothesis, however, that in the MacRPA3 wild type, improper coordination of the zinc ion or perturbation of the zinc finger results in gross changes in the overall structure with concomitant hindrance to ssDNA binding. As shown in Fig. 4, mutations in the zinc finger clearly resulted in structural changes in MacRPA3. Quantitation of the binding capacity in Fig. 5A showed that at equimolar concentrations, the MacRPA3 wild type, C313A mutant, C316A mutant, C325A mutant, H328A mutant, and C313A/H328A double mutant bound 47%, 21.5%, 12.7%, 10.5%, 12.9%, and 9.4% of labeled substrate, respectively. The dissociation constants were not determined for the mutants, since we already know that mutations in the zinc finger lead to multiple oligomerization states in some of the proteins (18), thus making it infeasible to calculate this parameter for comparison.
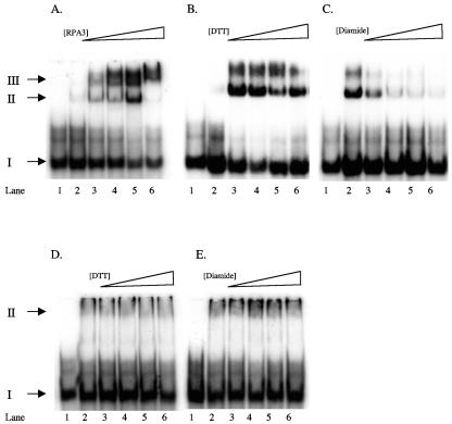
The effects of oxidizing and reducing agents on ssDNA binding by MacRPA3.
MacRPA3 exists as a dimer in solution and binds ssDNA with a binding site size of 18 to 23 nucleotides (18). In Fig. 6A, at a very low concentration of MacRPA3, a single shifted band was initially seen. This is likely to represent dimers of MacRPA3 binding to the 42-mer oligonucleotide. As the concentration of MacRPA3 was increased in the reaction mixture, a second band of slower mobility was detected in addition to the initial band. Since the size of the labeled ssDNA is large enough to accommodate two dimers of MacRPA3, the slower-migrating band is likely to represent the 42-mer oligonucleotide bound by two or more dimers of the RPA protein.
FIG. 6.
The effects of DTT and diamide on ssDNA binding by MacRPA3. (A) A fixed amount (2 pmol) of 32P-labeled ssDNA (lane 1) was incubated with increasing amounts (1, 2, 3, 4, and 5 pmol) of MacRPA3 (lanes 2, 3, 4, 5, and 6, respectively). Note that each reaction mixture contained DTT. (B) A fixed amount (2 pmol) of 32P-labeled ssDNA (lane 1) was incubated with 2.5 pmol of MacRPA3 in a buffer without reducing agent (lane 2) and treated with increasing amounts of DTT at concentrations of 0.2 mM (lane 3), 0.4 mM (lane 4), 0.6 mM (lane 5), and 0.8 mM (lane 6). (C) A fixed amount (2 pmol) of 32P-labeled ssDNA (lane 1) was incubated with 2.5 pmol of MacRPA3 in a buffer containing 1.5 mM DTT (lane 2) and treated with increasing amounts of the thiol-oxidant diamide at concentrations of 0.5 mM (lane 3), 1.0 mM (lane 4), 1.5 mM (lane 5), and 2.0 mM (lane 6). (D) The experiment was the same as that described for panel B except for the protein, which in this case was MacRPA3-C313A/H328A at 3 pmol. (E) The experiment was the same as that described for panel C except for the protein, which in this case was MacRPA3-C313A/H328A at 3 pmol. Each reaction mixture was resolved by 8% polyacrylamide gel electrophoresis, and the results were visualized by autoradiography. The arrows at I, II, and III indicate free DNA and the two states of the protein-DNA complex, respectively.
The ssDNA binding of eukaryotic RPA, which also contains a zinc finger, is regulated by a reduction-oxidation (redox) reaction (17). We investigated whether MacRPA3, with a 2-OB fold and a zinc finger domain, exhibits a property under redox conditions similar to that seen with the eukaryotic RPA. In Fig. 6B, in the absence of a reducing agent, we could barely detect binding of ssDNA by adding 2.5 pmol of MacRPA3 to the reaction mixture. However, as we increasingly added the reducing agent DTT to the reaction mixture, the two binding states of MacRPA3 to the labeled ssDNA could clearly be seen (Fig. 6B). This result showed that the ssDNA binding property of MacRPA3, and perhaps of each of its orthologs, is stimulated or enhanced under reducing conditions. Increasing the concentration of DTT beyond 0.4 mM did not improve the binding capacity of the RPA protein. To determine whether we can reverse the effect of the reducing agent, we incubated MacRPA3 in an EMSA reaction mixture that already contained DTT at a concentration of 1.5 mM. The strong oxidizing agent diamide catalyzes disulfide bond formation between spatially aligned free sulfhydryl groups. Thus, we added diamide in increasing amounts to the preincubated EMSA reaction mixture containing MacRPA3. As shown in Fig. 6C, lane 2, samples without diamide bound the ssDNA, and as we increased the diamide concentration, binding decreased until at an approximate concentration of 2.0 mM we were able to achieve a binding level that was similar to that observed in the absence of the reducing agent (Fig. 6B, lane 2, and Fig. 6C, lane 6). In contrast, the double mutant (MacRPA3-C313A/H328A) did not respond to treatment with either DTT (Fig. 6D) or diamide (Fig. 6E). This finding suggests that as determined for eukaryotic RPA (17), in other RPA proteins with zinc fingers, although the zinc finger itself may not be directly involved in ssDNA binding, the zinc finger may regulate ssDNA binding through redox, and this may be a more prevalent strategy in cells. The reducing conditions favor zinc binding, which prevents the formation of disulfide bonds among invariable cysteine residues, whereas oxidizing conditions promote oxidation of the Zn(II) thiolate, thus triggering the release of Zn(II) from the zinc finger and therefore promoting disulfide bond formation (17). Failure to coordinate zinc in the zinc finger motif distorts the structure of MacRPA3 and thus impairs its ssDNA binding, although the zinc finger itself is not required for this property.
Effect of mutations in the zinc finger motif on the capacity of MacRPA3 to stimulate DNA synthesis by MacPolBI.
By amino acid sequence analysis, we have identified several DNA polymerases in M. acetivorans, including a single family B DNA polymerase. The family B DNA polymerase, designated MacPolBI, was shown in our previous report to synthesize a product of an approximate length of 500 nucleotides (Fig. 7, lane 2) when incubated for 30 min under the conditions described above (Materials and Methods). However, as reported earlier (18) and also in the present experiment (Fig. 7, lane 3), in the presence of MacRPA3, the DNA polymerase was capable of replicating the entire genome of M13mp18, which is approximately 7.2 kb. We determined the effect of the mutations in the zinc finger on the capacity of MacRPA3 to stimulate DNA synthesis by PolBI. As shown in Fig. 7, lane 4, MacRPA3-C313A at the same concentration as the wild-type RPA also stimulated DNA synthesis by the DNA polymerase. However, the final product was smaller in size than that seen with the wild type. The mutations at the other invariable positions (C316A, C325A, and H328A) failed to stimulate DNA synthesis to the level of the wild-type protein, and their final products were even shorter than that seen in the presence of the polypeptide harboring the C313A mutation. In each case, there was an accumulation of products at the 500 bp position, as also observed when there was no RPA protein in the reaction mixture (Fig. 7 lanes 5 to 7 versus lane 2). The protein harboring the double mutations (C313A/H328A) also exhibited primer extension stimulation that was very similar to that seen with C316A, C325A, and H328A (Fig. 7, lane 8). Interestingly, the strength of the stimulation when the various mutants were added to the primer extension reaction mixture seemed to relate to the results from circular dichroism (Fig. 4). The C313A mutant showed CD spectra similar to those seen with the wild-type protein (single minimum), although the average molar ellipticity values from 210 nm to 230 nm were higher than that of the wild-type protein. Aside from this particular mutation, the rest of the mutations resulted in proteins with double-minimum CD spectra, and in the primer extension analysis, they yielded mostly products that were about the size of those synthesized in the absence of the single-stranded DNA binding protein. Thus, it appears that aside from the C313A mutation, mutations in the other three invariable positions have a more drastic effect on the structure of MacRPA3. The effect of the mutations on the structure of the protein translated into a decrease in binding to ssDNA (Fig. 5A, lanes 3 to 7), with a concomitant decrease in the capacity to stimulate primer extension by MacPolBI, a DNA polymerase from the same organism (Fig. 7, lanes 4 to 8).
FIG. 7.
The effects of wild-type (WT) and mutant derivatives of MacRPA3 on the primer extension capacity of MacPolBI. Primer extension results were compared in the absence (lane 2) and presence of MacRPA3WT (lane 3), MacRPA3-C313A (lane 4), MacRPA3-C316A (lane 5), MacRPA3-C325A (lane 6), MacRPA3-H328A (lane 7), and MacRPA3-C313A/H328A (Double; lane 8). The primer extension reaction mixtures were incubated at 37°C for 30 min, and the products were analyzed by 1% alkali agarose gel electrophoresis followed by visualization through autoradiography.
Single-stranded DNA binding proteins bind to ssDNA templates to suppress secondary-structure formation, and in addition it is known that mammalian single-stranded DNA binding protein reduces pausing by DNA polymerase alpha at specific sites (4). It is very obvious in Fig. 7 that a strong pause site for MacPolBI occurs approximately 500 nucleotides from the primed site on the M13mp18 template. Therefore, the result showing that a functional or wild-type MacRPA3 can suppress the pause, whereas the more grossly perturbed mutants cannot, is reminiscent of a property previously detected in the human single-stranded DNA-binding protein.
Aside from the two-OB fold RPA homolog, which seems to be widespread among members of the Euryarchaeota, two other forms of RPA have been described in this group, whose members constitute a subdomain of archaea (9, 10, 12). Euryarchaeotes are very heterogenous and include hyperthermophiles, thermophiles, mesophiles, methanogens, acidophiles, sulfate reducers, and the halobacteria. In the hyperthermophilic Methanocaldococcus jannaschii, as in the thermophile Methanothermobacter thermautotrophicus, the RPA homolog was shown to be a single polypeptide with a C-terminal zinc finger-like motif. The motifs in M. jannaschii and M. thermautotrophicus are characterized by the sequence CX2CX12CX2C and CX2CX11CX2C, respectively, where X is any amino acid (9, 10). The Pyrococcus furiosus RPA, which was reported later, shows similarity to eukaryotic RPA in terms of its organization (12). The P. furiosus RPA is made up of three proteins of different sizes (12), as in eukaryotic RPA. Furthermore, as in eukaryotic RPA, the largest protein harbors a zinc finger-like motif characterized by CX2CX14CX2H. Although a clear role for the zinc fingers in the archaeal RPA proteins awaits discovery, the zinc finger in RPA homologs such as MacRPA3 is likely to contribute to cooperativity, since its deletion resulted in a protein lacking this function (19). From the above-described results we are also tempted to suggest that in the archaeal RPA proteins with zinc fingers, these modules may serve in the cell as a means for regulating the activity of the protein through redox, as suggested for their eukaryotic counterparts.
Acknowledgments
This research was supported by National Science Foundation grant MCB-0238451 (to I.K.O.C.). Y.L., E.K.D.N, and Y.-H.C. were supported by the National Science Foundation (grant 0238451). J.B.R. was supported by Agricultural Genome Sciences and Public Policy training grant 2001-52100-11527.
We thank William Metcalf (University of Illinois at Urbana-Champaign) for providing M. acetivorans genomic DNA and for scientific discussions. The Mackie and White Laboratories, Department of Animal Sciences, University of Illinois at Urbana-Champaign, are acknowledged for scientific discussions. We thank Svetlana Kocherginskaya for technical assistance.
REFERENCES
- 1.Alberts, I. L., K. Nadassy, and S. J. Wodak. 1998. Analysis of zinc binding sites in protein crystal structures. Protein Sci. 7:1700-1716. [DOI] [PMC free article] [PubMed] [Google Scholar]
- 2.Bochkareva, E., S. Korolev, and A. Bochkarev. 2000. The role for zinc in replication protein A. J. Biol. Chem. 275:27332-27338. [DOI] [PubMed] [Google Scholar]
- 3.Cann, I. K. O., S. Ishino, I. Hayashi, K. Komori, H. Toh, K. Morikawa, and Y. Ishino. 1999. Functional interactions of a homolog of proliferating cell nuclear antigen with DNA polymerases in Archaea. J. Bacteriol. 181:6591-6599. [DOI] [PMC free article] [PubMed] [Google Scholar]
- 4.Carty, M. P., A. S. Levine, and K. Dixon. 1992. HeLa cell single-stranded DNA-binding protein increases the accuracy of DNA synthesis by DNA polymerase alpha in vitro. Mutat. Res. 274:29-34. [DOI] [PubMed] [Google Scholar]
- 5.Chedin, F., E. M. Seitz, and S. C. Kowalczykowski. 1998. Novel homologs of replication protein A in archaea: implications for the evolution of ssDNA-binding proteins. Trends Biochem. Sci. 23:273-277. [DOI] [PubMed] [Google Scholar]
- 6.Das, A., L. Rajagopalan, V. S. Mathura, S. J. Rigby, S. Mitra, and T. K. Hazra. 2004. Identification of a zinc finger domain in the human NEIL2 (Nei-like-2) protein. J. Biol. Chem. 279:47132-47138. [DOI] [PubMed] [Google Scholar]
- 7.Gomes, X. V., and M. S. Wold. 1995. Structural analysis of human replication protein A. Mapping functional domains of the 70-kDa subunit. J. Biol. Chem. 270:4534-4543. [DOI] [PubMed] [Google Scholar]
- 8.Grishin, N. V. 2001. Treble clef finger—a functionally diverse zinc-binding structural motif. Nucleic Acids Res. 29:1703-1714. [DOI] [PMC free article] [PubMed] [Google Scholar]
- 9.Kelly, T. J., P. Simancek, and G. S. Brush. 1998. Identification and characterization of a single-stranded DNA-binding protein from the archaeon Methanococcus jannaschii. Proc. Natl. Acad. Sci. USA 95:14634-14639. [DOI] [PMC free article] [PubMed] [Google Scholar]
- 10.Kelman, Z., and J. Hurwitz. 2000. A unique organization of the protein subunits of the DNA polymerase clamp loader in the archaeon Methanobacterium thermoautotrophicum deltaH. J. Biol. Chem. 275:7327-7336. [DOI] [PubMed] [Google Scholar]
- 11.Kerr, I. D., R. I. M. Wadsworth, L. Cubeddu, W. Blakenfeldt, J. H. Naismith, M. F. White. 2003. Insights into ssDNA recognition by the OB fold from a structural and thermodynamic study of Sulfolobus SSB protein. EMBO J. 22:2561-2570. [DOI] [PMC free article] [PubMed] [Google Scholar]
- 12.Komori, K., and Y. Ishino. 2001. Replication protein A in Pyrococcus furiosus is involved in homologous DNA recombination. J. Biol. Chem. 276:25654-25660. [DOI] [PubMed] [Google Scholar]
- 13.Krishna, S. S., I. Majumdar, and N. V. Grishin. 2003. Structural classification of zinc fingers: survey and summary. Nucleic Acids Res. 31:532-550. [DOI] [PMC free article] [PubMed] [Google Scholar]
- 14.Lachenmann, M. J., J. E. Ladbury, J. Dong, K. Huang, P. Carey, and M. A. Weiss. 2004. Why zinc fingers prefer zinc: ligand-field symmetry and the hidden thermodynamics of metal ion selectivity. Biochemistry 43:13910-13925. [DOI] [PubMed] [Google Scholar]
- 15.Lin, Y. L., M. K. K. Shivji, C. Chen, R. D. Kolodner, R. D. Wood, and A. Dutta. 1998. The evolutionarily conserved zinc finger motif in the largest subunit of human replication protein A is required for DNA replication and mismatch repair but not for nucleotide excision repair. J. Biol. Chem. 273:1453-1461. [DOI] [PubMed] [Google Scholar]
- 16.Matthews, J. M., and M. Sunde. 2002. Zinc fingers—folds for many occasions. IUBMB Life 54:351-355. [DOI] [PubMed] [Google Scholar]
- 17.Park, J. S., M. Wang, S. J. Park, and S. H. Lee. 1999. Zinc finger of replication protein A, a non-DNA binding element, regulates its DNA binding activity through redox. J. Biol. Chem. 274:29075-29080. [DOI] [PubMed] [Google Scholar]
- 18.Robbins, J. B., M. C. Murphy, B. A. White, R. I. Mackie, T. Ha, and I. K. O. Cann. 2004. Functional analysis of multiple single-stranded DNA-binding proteins from Methanosarcina acetivorans and their effects on DNA synthesis by DNA polymerase BI. J. Biol. Chem. 279:6315-6326. [DOI] [PubMed] [Google Scholar]
- 19.Robbins, J. B., M. C. McKinney, C. E. Guzman, B. Sriratana, S. Fitz-Gibbon, T. Ha, and I. K. O. Cann. 2005. The Euryarchaeota, nature's medium for engineering of single-stranded DNA binding proteins. J. Biol. Chem. 280:15325-15339. [DOI] [PubMed] [Google Scholar]
- 20.Wold, M. S. 1997. Replication protein A: a heterotrimeric, single-stranded DNA-binding protein required for eukaryotic DNA metabolism. Annu. Rev. Biochem. 66:61-92. [DOI] [PubMed] [Google Scholar]
- 21.Wolfe, S. A., L. Nekludova, and C. O. Pabo. 2000. DNA recognition by Cys2His2 zinc finger proteins. Annu. Rev. Biophys. Biomol. Struct. 29:183-212. [DOI] [PubMed] [Google Scholar]
- 22.Wyka, I. M., K. Dhar, S. K. Binz, and M. S. Wold. 2003. Replication protein A interactions with DNA: differential binding of the core domains and analysis of the DNA interaction surface. Biochemistry 42:12909-12918. [DOI] [PubMed] [Google Scholar]
- 23.Yanisch-Perron, C., J. Vieira, and J. Messing. 1985. Improved M13 phage cloning vectors and host strains: nucleotide sequences of the M13mp18 and pUC19 vectors. Gene 33:103-119. [DOI] [PubMed] [Google Scholar]
- 24.Zhang, B., D. Egli, O. Georgiev, and W. Schaffner. 2001. The Drosophila homolog of mammalian zinc finger factor MTF-1 activates transcription in response to heavy metals. Mol. Cell. Biol. 21:4505-4514. [DOI] [PMC free article] [PubMed] [Google Scholar]
- 25.Zhou, Z. S., K. Peariso, J. E. Penner-Hahn, and R. G. Matthews. 1999. Identification of zinc ligands in cobalamin-independent methionine synthase (MetE) from Escherichia coli. Biochemistry 38:15915-15926. [DOI] [PubMed] [Google Scholar]








