Full text
PDF

Images in this article
Selected References
These references are in PubMed. This may not be the complete list of references from this article.
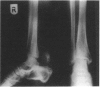
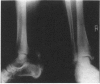
- Brotherton B. J., Ball J. Fracture of an ossified Achilles tendon. Injury. 1979 Feb;10(3):245–247. doi: 10.1016/0020-1383(79)90019-6. [DOI] [PubMed] [Google Scholar]
- Fink R. J., Corn R. C. Fracture of an ossified Achilles tendon. Clin Orthop Relat Res. 1982 Sep;(169):148–150. [PubMed] [Google Scholar]
- Lotke P. A. Ossification of the Achilles tendon. Report of seven cases. J Bone Joint Surg Am. 1970 Jan;52(1):157–160. [PubMed] [Google Scholar]
- Morris K. L., Giacopelli J. A., Granoff D. Classifications of radiopaque lesions of the tendo Achillis. J Foot Surg. 1990 Nov-Dec;29(6):533–542. [PubMed] [Google Scholar]
- Suso S., Peidro L., Ramon R. Fracture of an ossification of the tendo calcaneus. Acta Orthop Belg. 1988;54(4):391–393. [PubMed] [Google Scholar]


