Full text
PDF













































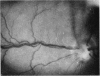
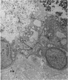
Images in this article
Selected References
These references are in PubMed. This may not be the complete list of references from this article.
- ASHTON N., COOK C. Direct observation of the effect of oxygen on developing vessels: preliminary report. Br J Ophthalmol. 1954 Jul;38(7):433–440. doi: 10.1136/bjo.38.7.433. [DOI] [PMC free article] [PubMed] [Google Scholar]
- ASHTON N. Pathological basis of retrolental fibroplasia. Br J Ophthalmol. 1954 Jul;38(7):385–396. doi: 10.1136/bjo.38.7.385. [DOI] [PMC free article] [PubMed] [Google Scholar]
- ASHTON N., WARD B., SERPELL G. Effect of oxygen on developing retinal vessels with particular reference to the problem of retrolental fibroplasia. Br J Ophthalmol. 1954 Jul;38(7):397–432. doi: 10.1136/bjo.38.7.397. [DOI] [PMC free article] [PubMed] [Google Scholar]
- ASHTON N., WARD B., SERPELL G. Role of oxygen in the genesis of retrolental fibroplasia; a preliminary report. Br J Ophthalmol. 1953 Sep;37(9):513–520. doi: 10.1136/bjo.37.9.513. [DOI] [PMC free article] [PubMed] [Google Scholar]
- AVERY M. E. Recent increase in mortality from hyaline membrane disease. J Pediatr. 1960 Oct;57:553–559. doi: 10.1016/s0022-3476(60)80083-2. [DOI] [PubMed] [Google Scholar]
- Ashton N., Blach R. STUDIES ON DEVELOPING RETINAL VESSELS VIII. EFFECT OF OXYGEN ON THE RETINAL VESSELS OF THE RATLING. Br J Ophthalmol. 1961 May;45(5):321–340. doi: 10.1136/bjo.45.5.321. [DOI] [PMC free article] [PubMed] [Google Scholar]
- Ashton N., Pedler C. STUDIES ON DEVELOPING RETINAL VESSELS: IX. REACTION OF ENDOTHELIAL CELLS TO OXYGEN. Br J Ophthalmol. 1962 May;46(5):257–276. doi: 10.1136/bjo.46.5.257. [DOI] [PMC free article] [PubMed] [Google Scholar]
- Avery M. E., Said S. Surface phenomena in lungs in health and disease. Medicine (Baltimore) 1965 Nov;44(6):503–526. doi: 10.1097/00005792-196511000-00003. [DOI] [PubMed] [Google Scholar]
- BEDROSSIAN R. H., CARMICHAEL P., RITTER J. Retinopathy of prematurity (retrolental fibroplasia) and oxygen. I. Clinical study. II. Further observations on the disease. Am J Ophthalmol. 1954 Jan;37(1):78–86. doi: 10.1016/0002-9394(54)92034-6. [DOI] [PubMed] [Google Scholar]
- BEMBRIDGE B. A., HOULTON A. C. L. Retrolental fibroplasia. Br J Ophthalmol. 1952 Dec;36(12):691–693. doi: 10.1136/bjo.36.12.691. [DOI] [PMC free article] [PubMed] [Google Scholar]
- BRANDS K. H., HOFMANN H., KLEES E. Die retrolentale Fibroplasie; eine experimentelle Studie. Geburtshilfe Frauenheilkd. 1958 Jun;18(6):805–814. [PubMed] [Google Scholar]
- CAMPBELL K. Intensive oxygen therapy as a possible cause of retrolental fibroplasia; a clinical approach. Med J Aust. 1951 Jul 14;2(2):48–50. [PubMed] [Google Scholar]
- COGAN D. G. DEVELOPMENT AND SENESCENCE OF THE HUMAN RETINAL VASCULATURE. Trans Ophthalmol Soc U K. 1963;83:465–489. [PubMed] [Google Scholar]
- COOK C., ASHTON N. Studies on developing retinal vessels. III. Role of sympathetic innervation in oxygen vaso-obliteration. Br J Ophthalmol. 1955 Oct;39(10):626–628. doi: 10.1136/bjo.39.10.626. [DOI] [PMC free article] [PubMed] [Google Scholar]
- CROSSE V. M., EVANS P. J. Prevention of retrolental fibroplasia. AMA Arch Ophthalmol. 1952 Jul;48(1):83–87. doi: 10.1001/archopht.1952.00920010086012. [DOI] [PubMed] [Google Scholar]
- Flower R. W., Patz A., Speiser P. New method for studying immature retinal vessels in vivo. Invest Ophthalmol. 1968 Aug;7(4):366–370. [PubMed] [Google Scholar]
- Friedenwald J. S., Owens W. C. Retrolental Fibroplasia in Premature Infants, III: The Pathology of the Disease. Trans Am Ophthalmol Soc. 1951;49:207–234. [PMC free article] [PubMed] [Google Scholar]
- GERSCHMAN R., NADIG P. W., SNELL A. C., Jr, NYE S. W. Effect of high oxygen concentrations on eyes of newborn mice. Am J Physiol. 1954 Oct;179(1):115–118. doi: 10.1152/ajplegacy.1954.179.1.115. [DOI] [PubMed] [Google Scholar]
- GORDON H. H., LUBSCHENCO L., HIX I. Observations on the etiology of retrolental fibroplasia. Bull Johns Hopkins Hosp. 1954 Jan;94(1):34–44. [PubMed] [Google Scholar]
- GYLLENSTEN L. J., HELLSTROM B. E. Experimental approach to the pathogenesis of retrolental fibroplasia. I. Changes of the eye induced by exposure of newborn mice to concentrated oxygen. Acta Paediatr Suppl. 1954;43(100):131–148. doi: 10.1111/j.1651-2227.1954.tb15463.x. [DOI] [PubMed] [Google Scholar]
- GYLLENSTEN L. J., HELLSTROM B. E. Experimental approach to the pathogenesis of retrolental fibroplasia. I. Changes of the eye induced by exposure of newborn mice to concentrated oxygen. Acta Paediatr Suppl. 1954;43(100):131–148. doi: 10.1111/j.1651-2227.1954.tb15463.x. [DOI] [PubMed] [Google Scholar]
- GYLLENSTEN L. J., HELLSTROM B. E. Experimental approach to the pathogenesis of retrolental fibroplasia. IV. The effects of gradual and of rapid transfer from concentrated oxygen to normal air on the oxygen-induced changes in the eyes of young mice. Am J Ophthalmol. 1956 Apr;41(4):619–627. [PubMed] [Google Scholar]
- GYLLENSTEN L. J., HELLSTROM B. E. Retrolental fibroplasia; animal experiments: the effect of intermittingly administered oxygen on the postnatal development of the eyes of fullterm mice. Acta Paediatr. 1952 Nov;41(6):577–582. doi: 10.1111/j.1651-2227.1952.tb17854.x. [DOI] [PubMed] [Google Scholar]
- Gruenwald P. Pulmonary pathology in the respiratory distress syndrome. Structural and surface tension changes. Pediatr Clin North Am. 1966 Aug;13(3):703–710. doi: 10.1016/s0031-3955(16)31878-8. [DOI] [PubMed] [Google Scholar]
- HUGGERT A. Appearance of the fundus oculi in prematurely born infants treated with and without oxygen. Acta Paediatr. 1954 Jul;43(4):327–336. doi: 10.1111/j.1651-2227.1954.tb04034.x. [DOI] [PubMed] [Google Scholar]
- HUGGERT A. The supply of oxygen to prematures and the appearance of retrolental fibroplasia. Acta Paediatr. 1953 Mar;42(2):147–156. doi: 10.1111/j.1651-2227.1953.tb05576.x. [DOI] [PubMed] [Google Scholar]
- JEFFERSON E. Retrolental fibroplasia. Arch Dis Child. 1952 Aug;27(134):329–336. doi: 10.1136/adc.27.134.329. [DOI] [PMC free article] [PubMed] [Google Scholar]
- KINSEY V. E., HEMPHILL F. M. Etiology of retrolental fibroplasia and preliminary report of cooperative study of retrolental fibroplasia. Trans Am Acad Ophthalmol Otolaryngol. 1955 Jan-Feb;59(1):15-24; discussion, 40-1. [PubMed] [Google Scholar]
- KINSEY V. E. Retrolental fibroplasia; cooperative study of retrolental fibroplasia and the use of oxygen. AMA Arch Ophthalmol. 1956 Oct;56(4):481–543. [PubMed] [Google Scholar]
- Klaus M., Meyer B. P. Oxygen therapy for the newborn. Pediatr Clin North Am. 1966 Aug;13(3):731–752. doi: 10.1016/s0031-3955(16)31880-6. [DOI] [PubMed] [Google Scholar]
- LANMAN J. T., GUY L. P., DANCIS J. Retrolental fibroplasia and oxygen therapy. J Am Med Assoc. 1954 May 15;155(3):223–226. doi: 10.1001/jama.1954.03690210001001. [DOI] [PubMed] [Google Scholar]
- MICHAELSON I. C., HERZ N., LEWKOWITZ E., KERTESZ D. Effect of increased oxygen on the development of the retinal vessels; an experimental study. Br J Ophthalmol. 1954 Oct;38(10):577–587. doi: 10.1136/bjo.38.10.577. [DOI] [PMC free article] [PubMed] [Google Scholar]
- OWENS W. C., OWENS E. U. Retrolental fibroplasia in premature infants; studies on the prophylaxis of the disease; the use of alpha tocopheryl acetate. Am J Ophthalmol. 1949 Dec;32(12):1631–1637. [PubMed] [Google Scholar]
- PATZ A., EASTHAM A. B. Oxygen studies in retrolental fibroplasia. V. The effect of rapid vs. gradual withdrawal from oxygen on the mouse eye. AMA Arch Ophthalmol. 1957 May;57(5):724–729. [PubMed] [Google Scholar]
- PATZ A., EASTHAM A., HIGGINBOTHAM D. H., KLEH T. Oxygen studies in retrolental fibroplasia. II. The production of the microscopic changes of retrolental fibroplasia in experimental animals. Am J Ophthalmol. 1953 Nov;36(11):1511–1522. [PubMed] [Google Scholar]
- PATZ A., EASTHAM A., HIGGINBOTHAM D. H., KLEH T. Oxygen studies in retrolental fibroplasia. II. The production of the microscopic changes of retrolental fibroplasia in experimental animals. Am J Ophthalmol. 1953 Nov;36(11):1511–1522. [PubMed] [Google Scholar]
- PATZ A. Experimental studies. Am J Ophthalmol. 1955 Aug;40(2):174–183. doi: 10.1016/0002-9394(55)91619-6. [DOI] [PubMed] [Google Scholar]
- PATZ A., HOECK L. E., DE LA CRUZ E. Studies on the effect of high oxygen administration in retrolental fibroplasia. I. Nursery observations. Am J Ophthalmol. 1952 Sep;35(9):1248–1253. doi: 10.1016/0002-9394(52)91140-9. [DOI] [PubMed] [Google Scholar]
- PATZ A. Oxygen studies in retrolental fibroplasia. IV. Clinical and experimental observations. Am J Ophthalmol. 1954 Sep;38(3):291–308. doi: 10.1016/0002-9394(54)90845-4. [DOI] [PubMed] [Google Scholar]
- PATZ A., POLLACK I. P. Retrolental fibroplasia and strabismus. Am Orthopt J. 1963;13:37–41. [PubMed] [Google Scholar]
- PATZ A. The role of oxygen in retrolental fibroplasia. Pediatrics. 1957 Mar;19(3):504–524. [PubMed] [Google Scholar]
- Patz A. The effect of oxygen on immature retinal vessels. Invest Ophthalmol. 1965 Dec;4(6):988–999. [PubMed] [Google Scholar]
- REESE A. B., BLODI F. C., LOCKE J. C., SILVERMAN W. A., DAY R. L. Results of use of corticotropin (ACTH) in treatment of retrolental fibroplasia. AMA Arch Ophthalmol. 1952 May;47(5):551–555. doi: 10.1001/archopht.1952.01700030565001. [DOI] [PubMed] [Google Scholar]
- REESE A. B., BLODI F. C. Retrolental fibroplasia. Am J Ophthalmol. 1951 Jan;34(1):1–24. doi: 10.1016/0002-9394(51)91923-x. [DOI] [PubMed] [Google Scholar]
- REESE A. B., STEPANIK J. Cicatricial stage of retrolental fibroplasia. Am J Ophthalmol. 1954 Sep;38(3):308–316. doi: 10.1016/0002-9394(54)90846-6. [DOI] [PubMed] [Google Scholar]
- RUDOLPH C. J., SIRLIN E. M. Retrolental fibroplasia and anoxia. J Indiana State Med Assoc. 1951 Dec;44(12):1161–1163. [PubMed] [Google Scholar]
- RYAN H. Retrolental fibroplasia; a clinicopathologic study. Am J Ophthalmol. 1952 Mar;35(3):329–342. doi: 10.1016/0002-9394(52)90003-2. [DOI] [PubMed] [Google Scholar]
- SERPELL G. Polysaccharide granules in association with developing retinal vessels and with retrolental fibroplasia. Br J Ophthalmol. 1954 Aug;38(8):460–471. doi: 10.1136/bjo.38.8.460. [DOI] [PMC free article] [PubMed] [Google Scholar]
- SZEWCZYK T. S. Retrolental fibroplasia: etiology and prophylaxis; a preliminary report. Am J Ophthalmol. 1951 Dec;34(12):1649–1650. doi: 10.1016/0002-9394(51)90028-1. [DOI] [PubMed] [Google Scholar]
- SZEWCZYK T. S. Retrolental fibroplasia; etiology and prophylaxis. Am J Ophthalmol. 1952 Mar;35(3):301–311. [PubMed] [Google Scholar]
- TIZARD J. P. INDICATIONS FOR OXYGEN THERAPY IN THE NEWBORN. Pediatrics. 1964 Dec;34:771–786. [PubMed] [Google Scholar]
- Terry T. L. Retrolental Fibroplasia in the Premature Infant: V. Further Studies on Fibroplastic Overgrowth of the Persistent Tunica Vasculosa Lentis. Trans Am Ophthalmol Soc. 1944;42:383–396. [PMC free article] [PubMed] [Google Scholar]
- WARLEY M. A., GAIRDNER D. Respiratory distress syndrome of the newborn--principles in treatment. Arch Dis Child. 1962 Oct;37:455–465. doi: 10.1136/adc.37.195.455. [DOI] [PMC free article] [PubMed] [Google Scholar]
























