Abstract
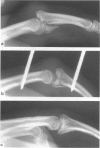
The 'S' Quattro is a dynamic external fixator which has been designed to treat displaced comminuted intraarticular fractures of the phalanges. This type of fracture is commonly the result of a sports injury. We present a follow-up study of 11 cases.
Full text
PDF


Images in this article
Selected References
These references are in PubMed. This may not be the complete list of references from this article.
- Fahmy N. R. The Stockport Serpentine Spring System for the treatment of displaced comminuted intra-articular phalangeal fractures. J Hand Surg Br. 1990 Aug;15(3):303–311. doi: 10.1016/0266-7681_90_90009-s. [DOI] [PubMed] [Google Scholar]
- Lister G. Intraosseous wiring of the digital skeleton. J Hand Surg Am. 1978 Sep;3(5):427–435. doi: 10.1016/s0363-5023(78)80135-x. [DOI] [PubMed] [Google Scholar]
- McCue F. C., Honner R., Johnson M. C., Gieck J. H. Athletic injuries of the proximal interphalangeal joint requiring surgical treatment. J Bone Joint Surg Am. 1970 Jul;52(5):937–956. [PubMed] [Google Scholar]
- Wilson J. N., Rowland S. A. Fracture-dislocation of the proximal interphalangeal joint of the finger. J Bone Joint Surg Am. 1966 Apr;48(3):493–502. [PubMed] [Google Scholar]


