A pulmonary embolism is an obstruction of part of the pulmonary vascular tree, usually caused by a thrombus that has travelled from a distant site—for example, the deep veins in the leg. The annual incidence is 60-70 per 100 0001 w1; it is a common cause of breathlessness and pleuritic pain.
Pulmonary embolism has an untreated mortality of about 30% and is the commonest cause of death after elective surgery (accounting for up to 15% of all post-operative deaths).2 w2 It is the commonest cause of maternal death in the United Kingdom.3
Who gets it?
Most thrombi are generated in the deep venous system of the lower leg and pelvis. Venous stasis is increased by immobility and dehydration, which leads to the accumulation of clotting factors and platelets. Up to 50% of leg thrombi embolise; clots above the knee do so more commonly than clots below the knee.4 w3 Large clots may lodge at the bifurcation of the main pulmonary arteries, causing haemodynamic compromise. Smaller clots travel more distally, infarcting the lung and causing pleuritic pain.
Risk factors for pulmonary embolism are divided into major and minor factors. This is important for pre-test clinical probability scoring (box 1). Recent studies in hospital in-patients with a wide variety of acute medical illnesses have shown a risk of venous thromboembolism comparable with that seen after major general surgery.5
“Economy class syndrome”
“Economy class syndrome” is thromboembolic disease associated with long distance sedentary travel; the incidence of venous thromboembolic disease increases with distance travelled. The importance of this causal link is under debate as most travellers who develop venous thromboembolism have additional risk factors.8 A 2001 study of 135.29 million passengers showed an incidence of pulmonary embolism of 1.5 cases per million for travel over 5000 km, compared with 0.01 cases per million for travel under 5000 km. The incidence was 4.8 cases per million for travel over 10 000 km.9
Of patients with venous thromboembolism, 25-30% have an identifiable inherited thrombophilia— for example, factor V Leiden gene mutation, deficiency of antithrombin III, a prothrombin gene defect, or a deficiency in protein C or protein S.10 w5 These usually need to interact with an additional acquired risk factor to cause venous thromboembolism. The current guidelines from the British Thoracic Society do not advocate routine screening for inheritable thrombophilias,11 as the number needed to test to prevent an episode of venous thromboembolism would be very high. Screening is warranted in some clinical situations (box 2).
Summary points
Pulmonary embolism is common and has a high morbidity and mortality in elderly patients with comorbid disease
Accurate use of a pre-test clinical probability score ensures that appropriate patients have further investigations
Low molecular weight heparin, followed by six months of anticoagulation with warfarin, is the standard treatment
Occult cancer will be present in 7-12% of patients presenting with idiopathic venous thromboembolism.12 Screening for malignancy in such patients is not currently recommended, unless it is suspected clinically. These patients are more likely to have a poor prognosis, because of regional spread or distant metastases at diagnosis. The SOMIT study showed that a screening programme can lead to earlier identification of malignancy, and at an earlier stage of the disease, in most patients presenting with venous thromboembolism.13 Whether this has an impact on survival or is cost effective has not been determined.
Rare causes of pulmonary embolism
Pulmonary embolism can have some rare causes.
Air embolism occurs with neck vein cannulation, bronchial trauma, and intrauterine manipulation (all rare). Small amounts of air can be tolerated, but large amounts lodge in the pulmonary vasculature, causing mechanical obstruction and death.
Amniotic fluid embolism is usually catastrophic: 80% of women die, 20-50% of these in the first hour.w6 An anaphylactic-type response to amniotic fluid entering the circulation is seen. It typically presents with respiratory distress and cardiovascular collapse. Treatment is supportive.
Fat embolism occurs in association with fractures of the long bones, with fat droplets from the bone marrow released into the venous circulation. It presents with hypoxia and coagulopathy (a transient petechial rash may be seen) and neurological disturbance. Fat globules can be identified in the urine. Treatment is supportive.w7
Diagnosing pulmonary embolism
History and symptoms
The prevalence of pulmonary embolism in people in whom the diagnosis is suspected is only about 10%.w8 No symptoms or signs are diagnostic. Dyspnoea and tachypnoea (a respiratory rate > 20/minute) are the commonest presenting features. The haemodynamic effects of a pulmonary embolus depend on the area of the pulmonary vascular tree obstructed and the pre-existing state of the myocardium and pulmonary parenchyma.
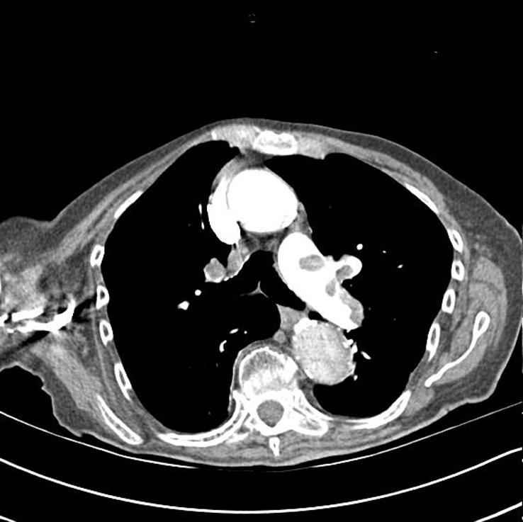
Figure 1.

Computed tomographic pulmonary angiogram showing pulmonary emboli. The patient, an 85 year old woman, presented with sudden onset breathlessness and pleuritic pain, three weeks after surgery for a fractured neck of femur. She received anticoagulation treatment with warfarin and made a full recovery
Box 1: Risk factors for venous thromboembolism
Major risk factors for venous thromboembolism6,7 w4 (relative risk increased five to 20 times) include the following.
Major and abdominal surgery
Lower limb orthopaedic surgery
Obstetrics: late pregnancy (higher incidence with multiple births), caesarean section, pre-eclampsia
Malignancy: pelvic, abdominal, or metastatic tumours
Lower leg problems: fracture, varicose veins
Previous proved venous thromboembolism
Minor risk factors (relative risk increased 2-4 times include:
Cardiovascular: congenital heart disease, congestive cardiac failure, hypertension, central venous access
Oestrogens: oral contraceptive pill (especially “third generation” pills, which contain newer types of progestogen), hormone replacement therapy
Miscellaneous: occult malignancy, neurological disability, obesity, thrombotic and myeloproliferative disorders, nephrotic syndrome, inflammatory bowel disease
Box 2: When to test for thrombophilia
Patients aged under 50 with recurrent idiopathic pulmonary embolism (those with more than one episode of proved venous thromboembolism, in whom no cause can be identified). Fifty per cent of these patients will have an identifiable thrombophilia.
Patients with a strong family history, where symptomatic venous thromboembolism has been proven in several family members in more than one generation.
Hypoxia results from reduced cardiac output, low mixed venous PO2, and higher perfusion to the remaining alveoli, leading to mismatching of ventilation and perfusion (V/Q) in the unaffected lung. The hypoxia is greater in those with a larger, premorbid V/Q spread—for example, in patients with pre-existing lung disease. It is therefore possible for a young healthy person to have a normal PaO2 and a normal alveolar-arterial (A-a) gradient after a pulmonary embolism.
Chronic thromboembolic disease typically presents with an insidious onset of breathlessness over weeks to months, owing to the increasing load of recurrent small volume clots.
Acute pulmonary embolism typically presents in four main ways (box 3).
Examination
Examination findings include the following.
Findings may be completely normal; but tachycardia (with a loud pulmonary component to the second heart sound and splitting of the second heart sound), with tachypnoea are common.
The patient may present with atrial fibrillation, reduced chest movement (because of pain), or a pleural rub.
Hypoxia is common, but in young otherwise healthy individuals the oxygen saturation may be normal.
Signs of a deep vein thrombosis are present in about 25% of patients.
Box 3: Presentation of acute pulmonary embolism
Circulatory collapse in a previously well patient (5%): hypotension, which can be accompanied by loss of consciousness. This is usually due to massive pulmonary embolism causing acute right heart failure
Pulmonary infarction syndrome (60%): typically presents with pleuritic pain, with or without haemoptysis. Localising signs such as a pleural rub may also be present
Isolated dyspnoea (25%): acute breathlessness without haemorrhage or circulatory collapse. This typically presents with sudden onset breathlessness in the presence of risk factors for pulmonary embolism
Collapse, poor reserve (10%): usually in an elderly patient with limited cardiorespiratory reserve; a small pulmonary embolism can be catastrophic
Investigations
The diagnosis of acute pulmonary embolism includes a pre-test clinical probability score (box 4) and several investigations. The pre-test clinical probability score is an assessment of the clinical likelihood of pulmonary embolism, based on numerous clinical and risk factor markers. Several scoring systems exist; my example is from the guidelines of the British Thoracic Society for the management of suspected acute pulmonary embolism.11
The pre-test clinical probability score should always be used with a d-dimer test. A low or intermediate pretest clinical probability score, combined with a negative d-dimer result, has a 92% sensitivity at excluding pulmonary embolism. Experienced clinicians and their clinical instinct are as accurate as the pre-test clinical probability score in assessing the likelihood of pulmonary embolism.14
The diagnosis can be difficult in pregnancy. The standard pre-test clinical probability score should be used, recognising that pregnancy is a major risk factor for venous thromboembolism. The d-dimer test is of no use, as the value is raised (in the absence of pulmonary embolism) from about six weeks' gestation and remains raised until about three months after the birth. A chest radiograph is mandatory and should not be delayed because of concerns regarding radiation to the fetus, since computed tomographic pulmonary angiogram (CTPA) and V/Q scanning carry a greater risk of radiation. A Q scan is probably the safest for the mother and fetus. The risk of delayed or non-diagnosis may pose a greater threat to the mother and unborn child.
First line investigations
Electrocardiogram—Non-specific changes are common; sinus tachycardia is commonest. Atrial fibrillation, right bundle branch block, anterior T wave inversion (indicating right ventricular strain) are common. The S1Q3T3 pattern (where the electrocardiogram shows an S wave in V1, a Q wave in lead III, and T wave inversion in lead III) is uncommon.
Chest radiograph—No specific features are characteristics in pulmonary embolism. Small effusions are present in 40% of patients.
Arterial blood gas measurements may be normal. Hypoxia and hypocapnia, with an increased A-a gradient, is common.
d-dimer test—This is useful only in excluding pulmonary embolism and should be used only with the pretest clinical probability assessment. d-dimers are released as a result of fibrinolysis and indicate the presence of intravascular thrombus.
Box 4: Assessment of pre-test clinical probability
A standard assessment of pre-test clinical probability might include the following.
A. The patient has clinical features compatible with pulmonary embolism (raised respiratory rate, which may be accompanied by haemoptysis, pleuritic chest pain, or both)
Plus two other factors:
Firstly, the absence of another reasonable clinical explanation
Secondly, the presence of a major risk factor
Assessment
A. PLUS 1. AND 2.: high pre-test clinical probability
A. PLUS 1. OR 2.: intermediate pre-test clinical probability
A. ALONE: low pre-test clinical probability
A negative d-dimer test result reliably excludes pulmonary embolism in patients with a low pre-test clinical probability, who then do not need further investigation. A negative test is unhelpful in patients with a high clinical probability (and should therefore not be done in this situation). The clinical utility of d-dimer testing in excluding venous thromboembolism depends on the sensitivity of the assay used.w9
A positive result or intermediate or high pre-test probability needs further investigation. The d-dimer test becomes less useful the longer a patient has been in hospital (false positives), because of clot formation at venepuncture sites and venous stasis owing to bed rest.
Computed tomographic pulmonary angiogram—Now recommended as the initial imaging technique in suspected non-massive pulmonary embolism. It has a sensitivity of more than 95% and enables an alternative diagnosis to be made if pulmonary embolism is excluded.
Isotope lung scan (ventilation/perfusion (V/Q) scan)—This is mostly now superseded by the computed tomographic angiogram. It may be useful as a first line imaging investigation only in patients with a normal chest radiograph and with no concurrent cardiopulmonary disease.
Scans are reported as low, intermediate or high probability, and the report's meaning must be interpreted in light of the pre-test clinical probability score. Further imaging (usually a computed tomographic pulmonary angiogram) is necessary for patients in whom the scan is indeterminate or lung scan and clinical probability are discordant.
Second line investigations
Leg ultrasound scan—Up to 50% of patients with a clinically obvious deep vein thrombosis will have a high probability V/Q scan, and conversely around 70% of patients with proved pulmonary embolism will have a proximal deep vein thrombosis.
Conventional pulmonary angiogram—This investigation is needed very rarely and is performed in specialist centres only.
Computed tomographic venography—This investigation can be combined with computed tomographic pulmonary angiogram to image the leg veins simultaneously.
Echocardiogram—This investigation is diagnostic only in massive pulmonary embolism but can also give prognostic information.
How should pulmonary embolism be treated?
Supportive treatment
Supportive treatment is vital for all patients with suspected pulmonary embolism; oxygenation and an adequate circulation need to be maintained.
Anticoagulation
Treatment with low molecular weight heparin should be started in patients with a high or intermediate pretest clinical probability score before imaging. One randomised controlled trial has shown no difference between low molecular weight heparin (tinzaparin) and unfractionated heparin (such as intravenous heparin) in mortality or further episodes of venous thromboembolism in a group of 612 patients with symptomatic pulmonary embolism.15 A similar study in patients (n = 200) with a proximal deep vein thrombosis and no clinical symptoms of pulmonary embolism, but a high probability V/Q scan, showed a lower rate of recurrent venous thromboembolism in patients treated with a fixed dose of low molecular weight heparin once daily (0 out of 97) than in those treated with intravenous heparin (7/103; P = 0.01).16 Bleeding complications did not differ between the two treatment groups, but the study was underpowered to detect a clinically important difference.
Oral anticoagulation should be started once a pulmonary embolism has been proved. A small randomised controlled trial (n = 35) compared heparin and warfarin with no anticoagulation.17 No one died in the group receiving anticoagulation treatment (0/16), but mortality reached 26% (5/19) in the group treated conservatively. This gives a number needed to treat of 4 (95% confidence interval 2 to 16).
An international normalised ratio (INR) of 2.0-3.0 should be aimed for. No randomised controlled trials exist to guide the intensity of anticoagulation, and this has been extrapolated from randomised controlled trials in deep vein thrombosis. Higher bleeding rates are seen with higher INRs (3.0-4.5), and recurrence rates are not much different with lower INRs (for example, 2.0-3.0).
Two trials—the prevention of recurrent venous thromboembolism (PREVENT) trial18 and the extended low intensity anticoagulation for thromboembolism (ELATE) trial19—have been undertaken to evaluate the efficacy and safety of low-intensity warfarin (INR 2.5) after a first episode of venous thromboembolism. Both trials showed that low intensity warfarin offers substantial protection against recurrent venous thromboembolism, but only the ELATE trial included a standard intensity arm. No consensus exists on which patients with venous thromboembolism should be treated with low dose, long term warfarin; one of the difficulties is in identifying which patients will have a future thromboembolic event.
Usual length of treatment is three or six months for a first idiopathic pulmonary embolism. No guidelines exist for length of treatment for recurrent idiopathic pulmonary embolism; this depends on the individual, the risk of recurrence, and the risk of bleeding on warfarin.20 Lifelong anticoagulation may be recommended for patients with persisting risk factors.
The CLOT study assessed anticoagulation with warfarin or low molecular weight heparin (dalteparin) in patients with cancer and acute venous thromboembolism.21 The study showed that six months' treatment with dalteparin was more effective than six months of oral anticoagulation in reducing the risk of recurrent thromboembolism, without an increased risk of bleeding.
Warfarin is contraindicated in pregnancy; low molecular weight heparin should be used instead.
Ximelagatran is a new oral direct thrombin inhibitor that does not need anticoagulation monitoring. It has a wide therapeutic range but deranges liver function in up to 6% of patients, and therefore needs monitoring of liver function tests. It is now licensed in some European countries for venous thromboembolism prophylaxis, but not yet in the UK or United States.22
Flight prophylaxis—Current British guidelines suggest considering aspirin or low molecular weight heparin, or formal anticoagulation, for people at high risk of pulmonary embolism (people with previous venous thromboembolism or malignancy).11 Limited evidence supports this.
Thrombolysis—Current guidelines from the British Thoracic Society recommend thrombolysis for acute massive pulmonary embolism11—that is, pulmonary embolism causing cardiovascular collapse. In practice, this is given in the situation of imminent cardiorespiratory arrest. An intravenous bolus injection of 50 mg of alteplase is suggested. For submassive pulmonary embolism, the treatment is more controversial; some evidence now supports the use of thrombolysis for haemodynamically stable, submassive pulmonary embolism, in association with pulmonary hypertension or right ventricular dysfunction. The dose of alteplase recommended is 100 mg, given intravenously over 90 minutes.23
A very small number of patients with recurrent venous thromboembolism despite adequate anticoagulation may benefit from having a filter placed in the inferior vena cava. This may also be indicated in patients who survive acute massive pulmonary embolism in whom a second pulmonary embolism may be fatal and in patients with acute venous thromboembolism (in whom there are absolute contraindications to anticoagulation).
Bleeding is the main risk of warfarin. A 2003 meta-analysis quantified the risk of bleeding on oral anti-coagulants: for patients treated for three months or longer, the case-fatality rate of major bleeding was 9.1% and the rate of intracranial bleeding was 0.65 per 100 patient-years.24
Follow-up
Patients are usually followed up at about six weeks after discharge and should have regular INR monitoring. Closer outpatient follow-up may be recommended if the patient has serious comorbidities or if anticoagulation was difficult in hospital. Final follow-up is usually at the end of the period of warfarin treatment, to ensure the absence of ongoing symptoms indicating chronic thromboembolic disease. This is rare, occurring in no more than 4% of patients surviving a pulmonary embolism at two years.25 It is due to incomplete clot resolution within the lung.
Supplementary Material
Additional references w1-w9 and a test are on bmj.com
Competing interests: None declared.
References
- 1.Oger E. Incidence of thromboembolism: a community-based study in western France. Thromb Haemost 2000;83: 657-60. [PubMed] [Google Scholar]
- 2.Kakkar VV, De Lorenzo F. Prevention of venous thromboembolism in general surgery. Baillieres Clin Haematol 1998;11: 605-19. [DOI] [PubMed] [Google Scholar]
- 3.McColl MD, Ramsay JE, Tait RC, Walker ID, McCall F, Conkie JA, et al. Risk factors for pregnancy associated venous thromboembolism. Thromb Haemost 1997;78: 1183-8. [PubMed] [Google Scholar]
- 4.Moser KM, Fedullo PF, LittleJohn JK, Crawford R. Frequent asymptomatic pulmonary embolism in patients with deep venous thrombosis. Jama 1994;271: 223-5. [PubMed] [Google Scholar]
- 5.Anderson FA Jr, Spencer FA. Risk factors for venous thromboembolism. Circulation 2003;107: I9-16. [DOI] [PubMed] [Google Scholar]
- 6.Goldhaber SZ, Grodstein F, Stampfer MJ, Manson JE, Colditz GA, Speizer FE, et al. A prospective study of risk factors for pulmonary embolism in women. JAMA 1997;277: 642-5. [PubMed] [Google Scholar]
- 7.Heit JA, Silverstein MD, Mohr DN, Petterson TM, O'Fallon WM, Melton LJ 3rd. Risk factors for deep vein thrombosis and pulmonary embolism: a population-based case-control study. Arch Intern Med 2000;160: 809-15. [DOI] [PubMed] [Google Scholar]
- 8.Geerts WH, Heit JA, Clagett GP, Pineo GF, Colwell CW, Anderson FA Jr, et al. Prevention of venous thromboembolism. Chest 2001;119: 132S-175S. [DOI] [PubMed] [Google Scholar]
- 9.Lapostolle F, Surget V, Borron SW, Desmaizieres M, Sordelet D, Lapandry C, et al. Severe pulmonary embolism associated with air travel. N Engl J Med 2001;345: 779-83. [DOI] [PubMed] [Google Scholar]
- 10.Seligsohn U, Lubetsky A. Genetic susceptibility to venous thrombosis. N Engl J Med 2001;344: 1222-31. [DOI] [PubMed] [Google Scholar]
- 11.British Thoracic Society Guidelines for the management of acute pulmonary embolism. Thorax 2003;58: 470-84. [DOI] [PMC free article] [PubMed] [Google Scholar]
- 12.Prandoni P, Lensing AW, Buller HR, Cogo A, Prins MH, Cattelan AM, et al. Deep-vein thrombosis and the incidence of subsequent symptomatic cancer. N Engl J Med 1992;327: 1128-33. [DOI] [PubMed] [Google Scholar]
- 13.Piccioli A, Prandoni P. Screening for occult cancer in patients with idiopathic venous thromboembolism: yes. J Thromb Haemost 2003;1: 2271-2. [DOI] [PubMed] [Google Scholar]
- 14.Chunilal SD, Eikelboom JW, Attia J, Miniati M, Panju AA, Simel DL, et al. Does this patient have pulmonary embolism? JAMA 2003;290: 2849-58. [DOI] [PubMed] [Google Scholar]
- 15.Simonneau G, Sors H, Charbonnier B, Page Y, Laaban JP, Azarian R, et al. A comparison of low-molecular weight heparin with unfractionated heparin for acute pulmonary embolism. N Engl J Med 1997;337: 663-9. [DOI] [PubMed] [Google Scholar]
- 16.Hull RD, Raskob GE, Brant RF, Pineo GF, Elliott G, Stein PD, et al. Low-molecular-weight heparin vs heparin in the treatment of patients with pulmonary embolism. American-Canadian Thrombosis Study Group. Arch Intern Med 2000;160: 229-36. [DOI] [PubMed] [Google Scholar]
- 17.Barrit DW, Jordan SC. Anticoagulant drugs in the treatment of pulmonary embolism: a controlled trial. Lancet 1960;i: 1309-12. [DOI] [PubMed] [Google Scholar]
- 18.Leizorovicz A, Cohen AT, Turpie AG, Olsson CG, Vaitkus PT, Goldhaber SZ, et al. Randomized, placebo-controlled trial of dalteparin for the prevention of venous thromboembolism in acutely ill medical patients. Circulation 2004;110: 874-9. [DOI] [PubMed] [Google Scholar]
- 19.Kearon C, Ginsberg JS, Kovacs MJ, Anderson DR, Wells P, Julian JA, et al. Comparison of low-intensity warfarin therapy with conventional-intensity warfarin therapy for long-term prevention of recurrent venous thromboembolism. N Engl J Med 2003;349: 631-9. [DOI] [PubMed] [Google Scholar]
- 20.Kearon C, Ginsberg JS, Anderson DR, Kovacs MJ, Wells P, Julian JA, et al. Comparison of 1 month with 3 months of anticoagulation for a first episode of venous thromboembolism associated with a transient risk factor. J Thromb Haemost 2004;2: 743-9. [DOI] [PubMed] [Google Scholar]
- 21.Lee AY, Levine MN, Baker RI, Bowden C, Kakkar AK, Prins M, et al. Low-molecular-weight heparin versus a coumarin for the prevention of recurrent venous thromboembolism in patients with cancer. N Engl J Med 2003;349: 146-53. [DOI] [PubMed] [Google Scholar]
- 22.Wahlander K, Lapidus L, Olsson CG, Thuresson A, Eriksson UG, Larson G, et al. Pharmacokinetics, pharmacodynamics and clinical effects of the oral direct thrombin inhibitor ximelagatran in acute treatment of patients with pulmonary embolism and deep vein thrombosis. Thromb Res 2002;107: 93-9. [DOI] [PubMed] [Google Scholar]
- 23.Konstantinides S, Geibel A, Heusel G, Heinrich F, Kasper W. Management Strategies and Prognosis of Pulmonary Embolism-3 Trial Investigators. Heparin plus alteplase compared with heparin alone in patients with submassive pulmonary embolism. N Engl J Med 2002;347: 1143-50. [DOI] [PubMed] [Google Scholar]
- 24.Linkins LA, Choi PT, Douketis JD. Clinical impact of bleeding in patients taking oral anticoagulant therapy for venous thromboembolism: a meta-analysis. Ann Intern Med 2003;139: 893-900. [DOI] [PubMed] [Google Scholar]
- 25.Pengo V, Lensing AW, Prins MH, Marchiori A, Davidson BL, Tiozzo F, et al. Incidence of chronic thromboembolic pulmonary hypertension after pulmonary embolism. N Engl J Med 2004;350: 2257-64. [DOI] [PubMed] [Google Scholar]
Associated Data
This section collects any data citations, data availability statements, or supplementary materials included in this article.
