Abstract
The Drosophila melanogaster flightless I gene is required for normal cellularization of the syncytial blastoderm. Highly conserved homologues of flightless I are present in Caenorhabditis elegans, mouse, and human. We have disrupted the mouse homologue Fliih by homologous recombination in embryonic stem cells. Heterozygous Fliih mutant mice develop normally, although the level of Fliih protein is reduced. Cultured homozygous Fliih mutant blastocysts hatch, attach, and form an outgrowing trophoblast cell layer, but egg cylinder formation fails and the embryos degenerate. Similarly, Fliih mutant embryos initiate implantation in vivo but then rapidly degenerate. We have constructed a transgenic mouse carrying the complete human FLII gene and shown that the FLII transgene is capable of rescuing the embryonic lethality of the homozygous targeted Fliih mutation. These results confirm the specific inactivation of the Fliih gene and establish that the human FLII gene and its gene product are functional in the mouse. The Fliih mouse mutant phenotype is much more severe than in the case of the related gelsolin family members gelsolin, villin, and CapG, where the homozygous mutant mice are viable and fertile but display alterations in cytoskeletal actin regulation.
We are studying the mammalian homologues of a number of Drosophila melanogaster genes concerned with development or behavior, as part of a program aimed at identifying novel mammalian developmental and neurobiological genes. The D. melanogaster flightless I (fliI) gene (4, 15, 23, 24, 33) is required for cellularization of the syncytial blastoderm. With severe mutations in fliI, when the contribution of maternal product is eliminated, cellularization is only partial and gastrulation fails (35, 44). Certain point mutations in fliI lead to defects in the indirect flight muscles and inability to fly (15, 16, 24, 33).
Human, mouse, and Caenorhabditis elegans homologues of fliI have been identified (5-8). While the Drosophila fliI gene contains 4 exons, the C. elegans gene contains 14 exons and the human and mouse genes contain 30 exons (5-7, 16). The encoded proteins are members of the gelsolin family of actin-modulating proteins (22, 45). In previous studies, the mouse genes for gelsolin and the gelsolin family members villin and CapG have been inactivated by gene targeting (17, 36, 48, 49). In all cases, the homozygous mutant mice are viable and fertile but exhibit some disruption of cytoskeletal actin regulation. Like other gelsolin family members, the FliI-related proteins interact with G-actin in a Ca2+-independent manner, and F-actin binding and severing activities have been demonstrated, as well as colocalization with actin (13, 14, 20, 28).
The FliI-related proteins also contain an N-terminal leucine-rich repeat (LRR) domain. LRRs are involved in protein-protein interactions in many systems (25). Novel ligands for the LRR domain of FliI homologues are derived from two related genes in mammals, with alternative mRNA splicing leading to a diversity of potential protein isoforms (18, 28, 38, 47). The LRR has been predicted to interact with the signal transduction molecule Ras (3, 11). Recently, a direct interaction between the LRR domain and Ras has been demonstrated for the C. elegans protein (20). Colocalization of Ras and other related small GTPases with mouse Fliih in Swiss 3T3 fibroblasts has also been shown (14).
FLII, the human homologue of the Drosophila fliI gene, maps into the Smith-Magenis syndrome (SMS) (21) microdeletion critical region (9, 10), a region also commonly containing breakpoints in primitive childhood neuroectodermal tumors (41) and in isochromosome 17q, known as i(17q), one of the most frequently identified chromosomal alterations in a variety of neoplasms (32, 39). The mouse homologue Fliih maps to a region of chromosome 11 with maintained synteny to a portion of the SMS critical region (37). Following the cloning and sequencing of the mouse homologue Fliih (6), we have investigated the effect of disruption of Fliih by gene targeting in mice. Homozygous disruption of Fliih causes lethality during early embryogenesis at a stage preceding gastrulation, indicating that genes of the flightless I family perform an essential function in early embryonic development in both Drosophila and mammals. In addition, we have shown that a human FLII transgene is capable of restoring normal development to homozygous Fliih mutant embryos.
MATERIALS AND METHODS
Construction of Fliih targeting vector.
A targeting vector was constructed starting from a 14.5-kb clone of the BALB/c Fliih gene in pBluescript KS(+) (6). A 5.5-kb clone containing exons 2 to 11 was prepared by digestion with KpnI and recircularization. A BspEI site is present in exon 4, and a second was introduced into exon 5 with the QuikChange site-directed mutagenesis method (Stratagene). The mutagenic oligonucleotides HDC155 (5′-GCC CAC GGG AGC TCC GGA ATG CCA AGA AC-3′) and HDC156 (5′-GTT CTT GGC ATT CCG GAG CTC CCG TGG GC-3′) correspond to nucleotides 4164 to 4192 of the Fliih sequence (GenBank accession no. AF142329) (6). A 1.1-kb neo cassette was resected from pMC1neo poly(A) (46) with XhoI and BamHI, filled in, and ligated between the end-repaired BspEI sites in the Fliih clone. This construct, which also served as a positive control for PCRs, was then digested with XhoI (polylinker site) and PshAI, and the ends were filled in. This removed a 5′ portion of the genomic sequence containing the priming sites used in the PCR assays for the targeting event. A 2.7-kb EcoRI-HindIII pgk-thymidine kinase cassette from pGK-TK-poly(A) (26) was end repaired and inserted by blunt-end ligation between the repaired XhoI and PshAI sites to yield the targeting vector (Fig. 1A). All of the newly generated junctions in the vector were verified by sequencing.
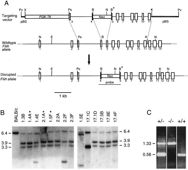
FIG. 1.
Targeted disruption of Fliih. (A) The structures of the targeting vector, the relevant portion of the Fliih gene, and the targeted allele after homologous recombination are depicted. Restriction enzyme sites are indicated (B, BspEI; E, EcoRV; K, KpnI; N, NcoI; Ps, PshAI; Pv, PvuI; and X, XhoI). The asterisk denotes the BspEI site in exon 5 introduced by site-directed mutagenesis. Fliih exons are depicted by the numbered open boxes. The tk-neo and pgk-thymidine kinase cassettes and the pBluescript vector are indicated. The dotted lines indicate the regions of identity between the targeting vector and the wild-type Fliih allele. (B) Southern analysis of targeted ES cell lines. Genomic DNA was digested with NcoI and EcoRV, electrophoresed, blotted to a nitrocellulose membrane, and hybridized to the [32P]-labeled probe fragment indicated in panel A. Untargeted ES cell DNA was run as a control (BALB/c). The three lines injected into blastocysts to generate chimeric mice are indicated by asterisks. Sizes of bands (in kilobases) are indicated. (C) PCR results on individual blastocysts. Sizes of bands (in kilobases) are indicated.
Targeted disruption of Fliih.
Vector DNA linearized with PvuI was electroporated into BALB/c embryonic stem (ES) cells (34). After selection with G418 (175 μg of active constituent/ml) and ganciclovir (2 μM), candidate clones were screened by nested PCR using Fliih primers located in intron 2 outside the 5′ end of the targeting vector. These were mFli1, 5′-TGC AAG GCA GGT GAT GGT GTG TAA-3′ (outer); and mFli2, 5′-GGC CTT CCC AGA TGG TGC AGT TA-3′ (inner): Fliih nucleotides 2224 to 2247 and 2269 to 2291 (reverse complement), respectively. These primers were combined with neo primers NeoN1, 5′-CGA TTG TCT GTT GTG CCC AGT CAT-3′ (outer); and NeoN2, 5′-CGG AGA ACC TGC GTG CAA TCC AT-3′ (inner). Positive clones gave a band of 1.87 kb on agarose gel electrophoresis and were further characterized by genomic Southern blot analysis after digestion with NcoI and EcoRV. The probe (Fig. 1A) was a 1.33-kb PCR fragment containing both Fliih and neo sequences amplified from the targeting construct with primers mFli3, 5′-ATT CTC AGA CCT GGC CTC CAG TTT-3′; and mFli4, 5′-CAG TAC CCG TTG TGG CTG AGG TT-3′: Fliih nucleotides 3671 to 3694 and 4205 to 4227 (reverse completment), respectively. This fragment was gel purified and labeled with [α-32P]dCTP by random priming. Selected ES cell clones (clones 1.4A, 1.5F, and 2.1A) were microinjected into C57BL/6 blastocysts that were reimplanted in pseudopregnant females. Chimeric male offspring were mated to BALB/c females, and progeny were genotyped by PCR of tail DNA using primers mFli3 and mFli4. The wild-type allele gives a band of 557 bp, while the targeted allele gave 1,331 bp. The results were also verified by tail DNA PCR with primers mFli2 and NeoN2.
ES cell culture.
BALB/c ES cells were grown in Knockout Dulbecco’s modified Eagle’s medium (Gibco BRL) supplemented with 15% ES grade fetal bovine serum (Gibco BRL), 1,000 U of leukemia inhibitory factor (Amrad; Melbourne, Australia)/ml, 2 mM l-glutamine, 0.1 mM MEM nonessential amino acids (Sigma), 0.1 mM 2-mercaptoethanol, 50 U of penicillin/ml, and 50 U of streptomycin/ml on primary mouse embryo fibroblast feeder cells (1) at 37°C in humidified 10% CO2 in air.
Analysis of embryos.
Heterozygous Fliih mutant females were mated with heterozygous males. For study in culture, E3.5 embryos were removed and grown in supplemented Dulbecco’s modified Eagle’s medium as detailed above but without feeder cells or leukemia inhibitory factor. Embryos were observed microscopically and photographed during culture over 3 or 4 days and at appropriate stages were fixed for immunohistochemistry as described below. For genotyping, embryos were transferred into PCR tubes containing 10 μl of sterile water. Nested PCR was conducted with outer primers mFli5, 5′-TGG AGG CAC GCT GAC ATT GGG TT-3′; and mFli6, 5′-CCC ACC TGC CAT GCC CTT GAT CT-3′, followed by PCR with inner primers mFli3 and mFli4. The products were analyzed by agarose gel electrophoresis to determine genotype.
Rabbit polyclonal antipeptide antibodies (19) FliL and FliG directed against epitopes in the LRR and gelsolin-related domains, respectively, of the mouse Fliih/human FLII protein (6) have been described earlier (13, 14). Cultured embryos were fixed (2% paraformaldehyde, 0.1 M phosphate buffer, pH 7.5) for 15 to 20 min and were washed five times with cold phosphate-buffered saline (PBS). Following permeabilization with PBS-1.0% BSA-0.1% SDS at room temperature for 15 min, nonspecific sites were blocked with PBS-1.0% BSA for 60 min. Anti-Fliih antibody in PBS-0.1% BSA was added, and incubation was continued overnight. After rinsing five times with cold PBS, embryos were incubated with fluorescein isothiocyanate-labeled secondary antibody (Jackson ImmunoResearch) for 60 min. Fixed embryos were also stained with Texas red-phalloidin (Molecular Probes) to visualize actin. Peptide blocking of antibody-antigen binding was accomplished by preincubation of appropriately diluted antibody with the cognate peptide (0.5 mg/ml). Fluorescence was visualized and recorded with a Leica (Wetzler, Germany) confocal microscope.
For study of embryos in vivo, E5.5 implantation sites were identified by injecting pregnant dams with 0.2 ml of 1% Pontamine blue in 154 mM NaCl through the tail vein. Twenty minutes later, the dams were sacrificed and the blue implantation sites were dissected and fixed by immersion in 4% paraformaldehyde in 0.1 M phosphate buffer, pH 7.5. With older concepti, the implantation sites were clearly visible without Pontamine blue staining. The fixed concepti/uteri were embedded in wax and then serially sectioned in the transverse plane at a thickness of 4 μm. Equally spaced sections were stained with hematoxylin and eosin. Selected sections adjacent to them were stained with either the FliL antibody or periodic acid-Schiff's reagent, to detect glycogen. These sections were counterstained with hematoxylin.
Western blot analysis.
Livers were harvested from humanely sacrificed +/+ and +/− littermates. Weighed liver samples were homogenized in lysis buffer containing protease inhibitors (0.3 M sucrose, 1.5 mM MgCl2, 0.3% Triton X-100, 10 mM Tris HCl buffer, pH 7.9, 2.7 μM Na3VO4, 10 mM Na pyrophosphate, and 40 μg of phenylmethylsulfonyl fluoride/ml) and centrifuged at 14,700 × g for 20 min. SDS-polyacrylamide gel electrophoresis sample buffer was added to the supernatant, and the samples were heated at 100°C for 5 min. After electrophoresis on SDS-7% polyacrylamide gels, proteins were transferred to a nitrocellulose membrane. Blots were developed (ECL Plus; Amersham) following overnight incubation with antibody, and the signal was quantitated from film using a Fuji LAS-1000 plus luminescent image analyzer.
Human FLII transgenic mice.
Cosmid c110H8 containing the human FLII gene was isolated previously from Los Alamos library LA17NC01 and mapped as described earlier (5). The vector SuperCos I (Stratagene) carries neo under the control of a simian virus 40 promoter for selection with G418 in mammalian cells. Cosmid DNA was linearized within the vector with PvuI and was introduced into BALB/c ES cells by electroporation. The presence of the human FLII gene in G418-resistant ES cell lines was verified by PCR. PCR was conducted under standard conditions in 20-μl reaction volumes using human FLII primers HDC114 (5′-GAA GCC AAG TTG GCA GAA GAC ATC C-3′) and HDC439 (5′-GGC CAG GGC CTT GCA GAA GGC GCT CCA-3′). After 3 min at 95°C, 37 cycles of 94°C and 30 s and 68°C and 60 s were carried out. The primers gave the expected band of 853 bp with human genomic DNA and c110H8 cosmid DNA but gave no product with mouse genomic DNA. Chimeric mice carrying FLII were generated from one line of the ES cells and bred to obtain a pure transgenic line as described above. The presence of the FLII transgene was monitored by PCR of tail DNA using primers HDC114 and HDC439. FLII transgenic mice were then crossed with Fliih mutant heterozygotes to obtain Fliih mutant heterozygotes containing the transgene. These were then crossed with Fliih mutant heterozygotes, and the progeny were assayed by PCRs of tail DNA for the presence of the FLII transgene and for determination of the status of the Fliih gene.
RESULTS
Targeted disruption of the mouse Fliih gene.
The mouse Fliih gene (6) was disrupted in BALB/c ES cells (34) using the positive-negative selection strategy (31). In the targeting construct, portions of exon 4 and exon 5 together with all of intron 4 are deleted and the neomycin resistance marker is inserted in the same transcriptional orientation as the Fliih gene (Fig. 1A). It seems unlikely that this change would affect the regulation of any other genes. The regions involved in homologous recombination lie entirely within Fliih, so that any changes in these regions during recombination would only affect the Fliih gene itself. In addition, the construct was designed so that cryptic splicing from exon 1, 2, or 3 to exon 6, 7, or 8 in the disrupted allele would cause a coding region frameshift. This would result in a truncated protein containing a small portion of the LRR domain and none of the gelsolin-related domain. Fliih overlaps Llglh at the 3′ end (6), but this short overlap region is more than 10 kb downstream from the area of Fliih altered by gene targeting.
ES cell clones containing the desired homologous recombination event were identified by PCR. On Southern blotting of targeted ES cell DNA digested with NcoI and EcoRV, the targeted allele is predicted to produce two bands of 3.3 and 3.9 kb and the wild-type allele is predicted to produce a band of 6.4 kb (Fig. 1A). A number of clones gave the expected +/− pattern (Fig. 1B). Clones yielding additional bands (Fig. 1B) were excluded, as the vector was probably inserted at additional, random sites. Three independent clones (1.4A, 2.1A, and 1.5F [Fig. 1B]) were microinjected into C57BL/6 blastocysts, which were reimplanted in pseudopregnant females. Numerous chimeric offspring (>80% male) were obtained, and germ line transmission was readily established for all three ES cell lines from all male chimera that were mated. The heterozygous progeny appeared healthy and of normal size, and no differences from the wild-type BALB/c littermates were observed.
Absence of homozygous Fliih mutant progeny.
When the heterozygous Fliih mutant mice were intercrossed, no homozygous progeny (live or dead) were obtained for any of the three lines (Table 1). In an analysis of 120 live progeny, heterozygous and wild-type pups were obtained at a ratio of 2.4:1 (Table 1). Similar results were obtained with heterozygotes derived from all three independently targeted ES cell lines. All three lines of targeted mice are being backcrossed with normal BALB/c and C57BL/6 mice. Over five generations of BALB/c crosses and three generations of C57BL/6 crosses, we have not observed any −/− progeny. In addition, we and others (34) have generated viable, fertile homozygous knockout and transgenic mice for other genes from the same line of BALB/c ES cells, indicating that the ES cell line that we are using does not carry any recessive lethal mutations.
TABLE 1.
Genotypes of live born progeny obtained by crossing heterozygous Fliih mutant mice
| Targeted allelea | No. of each genotype per allele
|
Total no. of offspring | ||
|---|---|---|---|---|
| +/+ | +/− | −/− | ||
| 1.4A | 11 | 36 (3.3:1)b | 0 | 47 |
| 1.5F | 9 | 17 (1.9:1) | 0 | 26 |
| 2.1A | 15 | 32 (2.1:1) | 0 | 47 |
| Total | 35 | 85 (2.4:1) | 0 | 120 |
Lines are derived from targeted ES cell clones 1.4A, 1.5F, and 2.1A.
Ratio of +/− to +/+ is given in parentheses in this column.
We have also intercrossed heterozygotes from the independently targeted lines of mice (1.4A, 1.5F, and 2.1A). All three possible crosses were performed using both males and females from each line for each cross. No homozygous progeny were observed, and heterozygotes and wild type were obtained in a ratio close to 2:1 for all three crosses. The results were 1.5F × 2.1 A, 2.4:1 (n = 92); 2.1A × 1.4A, 2.1:1 (n = 96); 1.5F × 1.4A, and 1.7:1 (n = 199). Our results indicate that the embryonic lethality is not due to the presence of an unrelated homozygous lethal mutation introduced during the targeting process
Fliih protein expression is reduced in Fliih mutant heterozygotes.
Western blot analysis of liver samples using an anti-Fliih antibody directed against the gelsolin domain of the protein (FliG antipeptide antibody) indicated that the level of Fliih protein in heterozygous mice (line 2.1A) of both sexes is reduced ∼50% relative to that in wild-type littermates (Fig. 2). Similar results were obtained with the FliL antibody directed against the LRR domain of Fliih (not shown). No other immunoreactive bands were observed with either FliG or FliL. Similar results were obtained for the other two targeted lines (not shown). These results confirm the specific inactivation of the Fliih gene by showing that the level of gene product is reduced appropriately when one copy of the gene rather than two is present in the intact mouse. The FliL antibody is directed against an epitope encoded by exons 1 and 2 of Fliih, whereas the targeted deletion encompasses parts of exons 4 and 5 together with intron 4. The FliG antibody is directed against an epitope encoded by Fliih exon 24, towards the C-terminal end of the gelsolin-like domain of the Fliih protein. Although a short, truncated protein containing a small portion of the LRR domain could be produced by the targeted allele, this is unlikely to have any biological activity and would also be likely to be rapidly degraded. In any case, such a protein cannot be exerting a dominant negative effect, as the heterozygotes are normal.
FIG. 2.
Reduced expression of Fliih protein in heterozygous mutant mice. Protein extracts from livers of heterozygous (+/−) Fliih mutant mice (line 2.1A) and wild-type (+/+) littermate controls were subjected to SDS-gel electrophoresis and Western analysis using an anti-Fliih antipeptide antibody (FliG). Samples from male and female mice are as indicated. Sizes of markers and Fliih are indicated in kilodaltons.
Early embryonic lethality in Fliih homozygous mutant embryos.
Implanted embryos from +/− × +/− intercrosses were removed from pregnant mothers at days 9 and 13, freed of placental tissue, and genotyped by PCR. No homozygous embryos were observed, and heterozygous and wild-type embryos were obtained in an approximately 2:1 ratio (not shown). Preimplantation morulae and blastocysts were harvested from +/− × +/− intercrosses and were genotyped by PCR. In one experiment, seven +/+, six +/−, and five −/− embryos were obtained from three females after timed mating indicating that all three genotypes are present at this stage. Figure 1C shows some results for each of the genotypes. It is of note that, although a mixture of morulae and blastocysts were isolated at this time point, a number of the −/− embryos were fully expanded blastocysts at the time of genotyping. All cultured embryos appeared to develop normally through the stages of blastocyst expansion (sometimes from morulae), hatching from the zona and attachment to the glass coverslips at the bottom of the wells. After attachment, in approximately one-quarter of the attached embryos, the egg cylinder did not form, fewer trophoblast cells were present, and the embryos appeared to degenerate, whereas in the remaining embryos, the egg cylinder formed normally (Fig. 3). No degeneration was observed at this stage in control experiments with embryos from normal BALB/c mice.
FIG. 3.
Development of preimplanation embryos from intercrosses of heterozygous Fliih mutant mice. (A) Cultured embryos were photographed directly by phase-contrast microscopy after 4 days in culture. Embryos shown at higher magnification in panels B to D are numbered (1 to 3), respectively. (B) Normal embryo. The trophoblast cells (Tb) and ICM are indicated by the arrows. (C) Degenerating embryo. The ICM is flattened and disorganized. (D) Two normal embryos. (A) Scale bar represents 300 μm. (B to D) Scale bar represents 150 μm.
Localization of the Fliih gene product in cultured embryos was examined by immunohistochemistry. Up to the stage preceding formation of the egg cylinder, all embryos showed Fliih immunoreactivity with the FliG antibody, and this was blocked by the cognate peptide (not shown). However, at later times, the degenerating embryos lacking an egg cylinder showed weak staining with FliG (Fig. 4D) antibody, whereas normal embryos showed high levels of the Fliih protein as indicated by strong antibody staining with a strong signal in the inner cell mass (ICM) and some signal in the trophoblast cells (Fig. 4A and C). The results of actin staining and visualization of fixed cells by confocal microscopy showed that cells were present in degenerating embryos (Fig. 4E) in the region that develops into the egg cylinder in normal embryos (Fig. 4B), although these cells showed little Fliih immunoreactivity (Fig. 4D and F). These poorly defined cells appear to be undergoing degeneration, unlike the surrounding trophoblast cells. We did not observe any differences between wild-type and heterozygous mutant embryos in terms of morphology, actin staining, or Fliih immunoreactivity.
FIG. 4.
Analysis of cultured embryos from intercrosses of heterozygous Fliih mutant mice. Embryos were immunostained with an antibody to Fliih (green) and Texas red-phalloidin (red) and examined by confocal microscopy. Shown are a normal embryo stained for Fliih (A), actin (B), and combined materials (C) and a degenerating embryo stained for Fliih (D), actin (E), and combined materials (F). The Fliih immunoreactivity of the egg cylinder is evident in the normal embryo. In the degenerating embryo there is actin staining but only weak Fliih immunoreactivity in this region.
Four embryonic day 5.5 (E5.5) and two E6.5 litters (Fig. 5) were examined by serially sectioning the implantation sites and analyzing them histologically. The E5.5 litters had between 6 and 11 implantation sites, with a total of 32 between the four litters. Twenty-five of these 32 implantation sites contained morphologically normal embryos. The other seven implantation sites lacked embryos but showed typical signs of pregnancy: at the site of implantation the uterine epithelium was eroded and was surrounded by glycogen-rich cells, which in turn were surrounded by larger deciduous cells. With the E6.5 litters, 13 out of 16 implantation sites contained normal concepti and three lacked embryos. In total (E5.5 and E6.5), 10 of the 48 implantation sites lacked embryos, which is close to the expected fraction of −/− concepti. All of the embryos observed were clearly stained by the FliL antibody, indicating that they are either wild type (+/+) or heterozygous (+/−). The data indicate that −/− embryos interact with the uterus but rapidly degenerate thereafter, consistent with the observations on cultured embryos.
FIG. 5.
Sections through the antimesometrial chambers of E5.5 (A to C) or E6.5 (D and E) implantation sites. The sections were stained with either eosin (A and D), periodic acid-Schiff to show glycogen (red) (B and C), or an antibody to Fliih (E). The sections were counterstained with hematoxylin. All chambers contained a degenerating uterine epithelium (arrows [A]), surrounded by a girdle of glycogen-rich cells (arrows [B and C]), irrespective of whether an embryo was present (A, B, D, and E) or absent (C). The embryos were immunoreactive for Fliih (E). The cells in the secondary decidual zone of the uterus lost Fliih protein between E5.5 and E6.5, creating a zone of Fliih-deficient cells surrounding each chamber.
Transgenic rescue of embryonic lethality.
Since the phenotype observed was much more severe than for knockouts in other gelsolin family members, we decided to confirm the specific inactivation of Fliih by attempting to rescue embryonic lethality using the human FLII gene. These studies also aimed to test whether the human FLII gene and the encoded protein are capable of functioning in the mouse. For this purpose, we constructed a transgenic mouse using a genomic cosmid clone containing the complete human FLII gene. We chose a cosmid in which the 5′ portion of the overlapping LLGL gene (5) was not present to ensure that LLGL would not be expressed. Approximately 20 kb of DNA 5′ to FLII is also present, but currently no other genes are assigned to this region. Following appropriate crosses, a number of mice showing homozygosity for the targeted Fliih mutation and also carrying the human FLII transgene were born. These mice appear normal up to the age of 4 months, but they are being monitored to assess whether any differences from control littermates can be detected over time.
DISCUSSION
We have demonstrated here that Fliih is an essential gene required for early embryonic development in mice. In D. melanogaster, homozygous fliI mutant embryos develop normally in the absence of maternal product until cellularization, where defects first appear, and arrest of embryonic development then occurs without completion of gastrulation (35, 44). In the mouse, it appears that homozygous Fliih mutant blastocysts initiate uterine implantation but that the embryo proper fails to develop. This correlates well with the in vitro development of Fliih mutant mouse embryos, which appear normal until after hatching of the blastocyst and attachment, which mirrors implantation. Development of the ICM into the egg cylinder fails, trophoblast cells are fewer in number, and the embryo appears to degenerate.
One interpretation of these results would be that −/− embryos develop normally until the maternally supplied Fliih mRNA/gene product is exhausted, whereupon development arrests. The transfer of maternal product from oocytes containing an undisrupted copy of the survival motor neuron gene (SMN) to early embryonic cells containing the homozygous null SMN mutation has been suggested (40), and it seems likely that this may occur with other genes. Recent work on the Max gene indicates that, in homozygous Max mutant blastocysts, maternal Max protein is present and that embryonic growth arrest just after implantation parallels loss of the maternal protein (42). In summary, Fliih appears to be required for normal development of the egg cylinder, although we cannot exclude the possibility that a role for Fliih even earlier in development is obscured by the contribution of maternal product. As with D. melanogaster, the stage where defects first become apparent precedes gastrulation. The finding that the mouse Fliih protein, like the D. melanogaster FliI protein, is essential for embryonic development at a stage preceding gastrulation may be viewed as consistent with the strong evolutionary conservation of this branch of the gelsolin gene family (5, 11).
The human FLII gene maps into the critical interval on chromosome 17 deleted in SMS (9, 10, 41). SMS is a microdeletion syndrome involving a variety of physical, functional, developmental, and behavioral symptoms (21, 43) and is believed to be caused by the haploinsufficiency of one or more genes in the critical interval. Heterozygous Fliih mutant mice appear normal in comparison with wild-type littermates up to at least 6 months of age, suggesting that the FLII gene may not be involved in SMS. Larger cohorts of the heterozygotes will be studied over a longer period to ascertain any signs of haploinsufficiency. In preliminary experiments, we measured mitogen-activated protein kinase activation by serum and examined the intracellular distribution of actin in fibroblasts from wild-type and heterozygous Fliih mutant embryos but did not find evidence of any difference in these parameters (M. F. Crouch, K. I. Matthaei, and H. D. Campbell, unpublished data). We also examined on one occasion the ability of these fibroblasts to migrate through transwells under serum stimulation but again found no evidence for any difference between the wild-type and heterozygous mutant fibroblasts. Further work is required to determine whether any differences between cells derived from wild-type and heterozygous Fliih mutant mice can be detected. The D. melanogaster fliI gene is located on the X chromosome (33); no evidence of haploinsufficiency in heterozygous fliI mutant females has been reported.
Other members of the gelsolin gene family have previously been mutated by gene targeting in mice. For gelsolin itself, the homozygous knockout is viable and fertile, with defects in fibroblast motility (49), filopodial retraction in neurites (29), and a fivefold elevation in the Ras-related GTPase Rac (2, 27). Transient expression of gelsolin cDNA in gelsolin-null cultured cells reverses these changes. The results with these mice have been interpreted as indicating that gelsolin is involved in the fine control of actin disassembly (27). Villin homozygous null mutant mice are also viable and fertile (17, 36). Surprisingly, the morphogenesis of microvilli is unaffected, and only subtle ultrastructural defects in the actin cores of small intestinal microvilli are apparent (36), although the animals are more susceptible to colonic epithelial injury (17). In the Drosophila system, mutations in the quail gene, which encodes a villin homologue, are not lethal but cause a female sterile phenotype (30). Homozygous CapG mutant mice are also viable and fertile, although the macrophages from these mice exhibit marked defects in actin-based motile functions (48). In the case of both gelsolin and villin, apparent paralogues are known to exist in mammalian genomes, suggesting the possibility that functional redundancy between paralogues may be at least partially responsible for the relatively mild mouse knockout phenotypes. For the gelsolin, villin and CapG mouse mutants, no evidence of any difference at the cellular or organismal level between the heterozygous mutant and wild type has been reported (17, 36, 48, 49).
The flightless I-related genes play an essential role in embryonic development in both D. melanogaster and mammals, indicating that an important developmental role for these genes has been conserved during evolution. The encoded protein interacts with actin through its gelsolin-related domain (13, 20, 28). The mammalian proteins interact through the LRR domain with the novel ligands FLAP1 and FLAP2 derived from two related genes (8, 18, 28, 38, 47). Accumulating evidence indicates that the LRR also interacts with Ras (3, 11, 14, 20). It is noteworthy that certain point mutations that result in single-amino-acid substitutions in the gelsolin-related domain of the D. melanogaster Flightless protein allow the development of flies with altered indirect flight muscle ultrastructure and impaired flight ability (16), suggesting that the protein may be required at later times for the development or maintenance of normal indirect flight muscle.
The rescue of the embryonic lethality of the Fliih homozygous mutant by the human FLII transgene indicates that the human FLII protein is functional in the mouse, although this is not unexpected, as the 1,269-amino-acid residue human FLII protein is 95% identical to the mouse Fliih protein (5-7). In addition, the human FLII gene promoter must also be functional in the mouse. We now plan to modify the human FLII promoter by insertion of lac operator sequences to enable us to regulate the expression of FLII via a version of the lac repressor gene engineered for mammalian cells (12). The use of such a transgene on the homozygous Fliih mutant background should enable us to test the temporal requirements for FLII expression during development. We also plan to carry out mutational analysis of the FLII/Fliih protein using appropriate transgenes on the Fliih-null background. The availability of mice carrying a disrupted allele of Fliih should greatly facilitate studies aimed at unraveling the exact biological role of this essential gene.
Acknowledgments
We thank John Gibson for support. We thank Wayne Damcevski, Michelle Maier, Matthew Newhouse, and Helen Taylor for expert technical assistance; Peter Milburn for oligonucleotides; Cameron McCrae for sequencing; and Catherine Eadie for illustration.
REFERENCES
- 1.Abbondanzo, S. J., I. Gadi, and C. L. Stewart. 1993. Derivation of embryonic stem cell lines. Methods Enzymol. 225:803-823. [DOI] [PubMed] [Google Scholar]
- 2.Azuma, T., W. Witke, T. P. Stossel, J. H. Hartwig, and D. J. Kwiatkowski. 1998. Gelsolin is a downstream effector of rac for fibroblast motility. EMBO J. 17:1362-1370. [DOI] [PMC free article] [PubMed] [Google Scholar]
- 3.Buchanan, S. G., and N. J. Gay. 1996. Structural and functional diversity in the leucine-rich repeat family of proteins. Prog. Biophys. Mol. Biol. 65:1-44. [DOI] [PubMed] [Google Scholar]
- 4.Campbell, H. D. 1998. Flightless I, p. 261-275. In H. Maruta and K. Kohama (ed.), G proteins, cytoskeleton and cancer. Landes, Austin, Tex.
- 5.Campbell, H. D., S. Fountain, I. G. Young, C. Claudianos, J. D. Hoheisel, K.-S. Chen, and J. R. Lupski. 1997. Genomic structure, evolution and expression of human FLII, a gelsolin and leucine-rich-repeat family member: overlap with LLGL. Genomics 42:46-54. [DOI] [PubMed] [Google Scholar]
- 6.Campbell, H. D., S. Fountain, I. G. Young, P. Lichter, S. Weitz, and J. D. Hoheisel. 2000. Fliih, the murine homologue of the Drosophila melanogaster flightless I gene: genomic structure, chromosomal mapping and overlap with Llglh. DNA Sequence 11:29-40. [DOI] [PubMed] [Google Scholar]
- 7.Campbell, H. D., T. Schimansky, C. Claudianos, N. Ozsarac, A. B. Kasprzak, J. N. Cotsell, I. G. Young, H. G. de Couet, and G. L. G. Miklos. 1993. The Drosophila melanogaster flightless-I gene involved in gastrulation and muscle degeneration encodes gelsolin-like and leucine-rich-repeat domains, and is conserved in Caenorhabditis elegans and human. Proc. Natl. Acad. Sci. USA 90:11386-11390. [DOI] [PMC free article] [PubMed] [Google Scholar]
- 8.Campbell, H. D., I. G. Young, and K. I. Matthaei. 2000. Mammalian homologues of the Drosophila melanogaster flightless I gene involved in early development. Curr. Genomics 1:59-70. [Google Scholar]
- 9.Chen, K.-S., P. H. Gunaratne, J. D. Hoheisel, I. G. Young, G. L. G. Miklos, F. Greenberg, L. G. Shaffer, H. D. Campbell, and J. R. Lupski. 1995. The human homologue of the Drosophila melanogaster flightless-I gene (fliI) maps within the Smith-Magenis microdeletion critical region in 17p11.2. Am. J. Hum. Genet. 56:175-182. [PMC free article] [PubMed] [Google Scholar]
- 10.Chen, K.-S., P. Manian, T. Koeuth, L. Potocki, Q. Zhao, A. C. Chinault, C. C. Lee, and J. R. Lupski. 1997. Homologous recombination of a flanking repeat gene cluster is a mechanism for a common contiguous gene deletion syndrome. Nat. Genet. 17:154-163. [DOI] [PubMed] [Google Scholar]
- 11.Claudianos, C., and H. D. Campbell. 1995. The novel flightless-I gene brings together two gene families, actin binding proteins related to gelsolin and leucine-rich-repeat proteins involved in ras signal transduction. Mol. Biol. Evol. 12:405-414. [DOI] [PubMed] [Google Scholar]
- 12.Cronin, C. A., W. Gluba, and H. Scrable. 2001. The lac operator-repressor system is functional in the mouse. Genes Dev. 15:1506-1517. [DOI] [PMC free article] [PubMed] [Google Scholar]
- 13.Davy, D. A., E. E. Ball, K. I. Matthaei, H. D. Campbell, and M. F. Crouch. 2000. The flightless I protein localizes to actin-based structures during embryonic development. Immunol. Cell. Biol. 78:423-429. [DOI] [PubMed] [Google Scholar]
- 14.Davy, D. A., H. D. Campbell, S. Fountain, D. de Jong, and M. F. Crouch. 2001. The flightless I protein colocalizes with actin- and microtubule-based structures in motile Swiss 3T3 fibroblasts: evidence for the involvement of PI 3-kinase and Ras-related small GTPases. J. Cell Sci. 114:549-562. [DOI] [PubMed] [Google Scholar]
- 15.Deak, I. I., P. R. Bellamy, M. Bienz, Y. Dubuis, E. Fenner, M. Gollin, A. Rähmi, T. Ramp, C. A. Reinhardt, and B. Cotton. 1980. Mutations affecting the indirect flight muscles of Drosophila melanogaster. J. Embryol. Exp. Morphol. 69:61-81. [PubMed] [Google Scholar]
- 16.de Couet, H. G., K. S. Fong, A. G. Weeds, P. J. McLaughlin, and G. L. Miklos. 1995. Molecular and mutational analysis of a gelsolin-family member encoded by the flightless I gene of Drosophila melanogaster. Genetics 141:1049-1059. [DOI] [PMC free article] [PubMed] [Google Scholar]
- 17.Ferrary, E., M. Cohen-Tannoudji, G. Pehau-Arnaudet, A. Lapillonne, R. Athman, T. Ruiz, L. Boulouha, F. El Marjou, A. Doye, J. J. Fontaine, C. Antony, C. Babinet, D. Louvard, F. Jaisser, and S. Robine. 1999. In vivo, villin is required for Ca(2+)-dependent F-actin disruption in intestinal brush borders. J. Cell Biol. 146:819-830. [DOI] [PMC free article] [PubMed] [Google Scholar]
- 18.Fong, K. S., and H. G. de Couet. 1999. Novel proteins interacting with the leucine-rich repeat domain of human flightless-I identified by the yeast two-hybrid system. Genomics 58:146-157. [DOI] [PubMed] [Google Scholar]
- 19.Goldsmith, P., P. Gierschik, G. Milligan, C. G. Unson, R. Vinitsky, H. L. Malech, and A. M. Spiegel. 1987. Antibodies directed against synthetic peptides distinguish between GTP-binding proteins in neutrophil and brain. J. Biol. Chem. 262:14683-14688. [PubMed] [Google Scholar]
- 20.Goshima, M., K.-I. Kariya, Y. Yamawaki-Kataoka, T. Okada, M. Shibatohge, F. Shima, E. Fujimoto, and T. Kataoka. 1999. Characterization of a novel ras-binding protein Ce-FLI-1 comprising leucine-rich repeats and gelsolin-like domains. Biochem. Biophys. Res. Commun. 257:111-116. [DOI] [PubMed] [Google Scholar]
- 21.Greenberg, F., R. A. Lewis, L. Potocki, D. Glaze, J. Parke, J. Killian, M. A. Murphy, D. Williamson, F. Brown, R. Dutton, C. McCluggage, E. Friedman, M. Sulek, and J. R. Lupski. 1996. Multi-disciplinary clinical study of Smith-Magenis syndrome (deletion 17p11.2). Am. J. Med. Genet. 62:247-254. [DOI] [PubMed] [Google Scholar]
- 22.Hartwig, J. H., and D. J. Kwiatkowski. 1991. Actin-binding proteins. Curr. Opin. Cell Biol. 3:87-97. [DOI] [PubMed] [Google Scholar]
- 23.Homyk, T., Jr., and D. E. Sheppard. 1977. Behavioral mutants of Drosophila melanogaster. I. Isolation and mapping of mutations which decrease flight ability. Genetics 87:95-110. [DOI] [PMC free article] [PubMed] [Google Scholar]
- 24.Koana, T., and Y. Hotta. 1978. Isolation and characterization of flightless mutants in Drosophila melanogaster. J. Embryol. Exp. Morphol. 45:123-143. [PubMed] [Google Scholar]
- 25.Kobe, B., and J. Deisenhofer. 1995. Proteins with leucine-rich repeats. Curr. Opin. Struct. Biol. 5:409-416. [DOI] [PubMed] [Google Scholar]
- 26.Kopf, M., F. Brombacher, P. D. Hodgkin, A. J. Ramsay, E. A. Milbourne, W. J. Dai, K. S. Ovington, C. A. Behm, G. Kohler, I. G. Young, and K. I. Matthaei. 1996. IL-5-deficient mice have a developmental defect in CD5+ B-1 cells and lack eosinophilia but have normal antibody and cytotoxic T cell responses. Immunity 4:15-24. [DOI] [PubMed] [Google Scholar]
- 27.Kwiatkowski, D. J. 1999. Functions of gelsolin: motility, signaling, apoptosis, cancer. Curr. Opin. Cell Biol. 11:103-108. [DOI] [PubMed] [Google Scholar]
- 28.Liu, Y.-T., and H. L. Yin. 1998. Identification of the binding partners for flightless I, a novel protein bridging the leucine-rich repeat and the gelsolin superfamilies. J. Biol. Chem. 273:7920-7927. [DOI] [PubMed] [Google Scholar]
- 29.Lu, M., W. Witke, D. J. Kwiatkowski, and K. S. Kosik. 1997. Delayed retraction of filopodia in gelsolin null mice. J. Cell Biol. 138:1279-1287. [DOI] [PMC free article] [PubMed] [Google Scholar]
- 30.Mahajan-Miklos, S., and L. Cooley. 1994. The villin-like protein encoded by the Drosophila quail gene is required for actin bundle assembly during oogenesis. Cell 78:291-301. [DOI] [PubMed] [Google Scholar]
- 31.Mansour, S. L., K. R. Thomas, and M. R. Capecchi. 1988. Disruption of the proto-oncogene int-2 in mouse embryo-derived stem cells: a general strategy for targeting mutations to non-selectable genes. Nature 336:348-352. [DOI] [PubMed] [Google Scholar]
- 32.Mertens, F., B. Johansson, and F. Mitelman. 1994. Isochromosomes in neoplasia. Genes Chromosomes Cancer 10:221-230. [DOI] [PubMed] [Google Scholar]
- 33.Miklos, G. L. G., and H. G. de Couet. 1990. The mutations previously designated as flightless-I3, flightless-O2 and standby are members of the W-2 lethal complementation group at the base of the X-chromosome of Drosophila melanogaster. J. Neurogenet. 6:133-151. [DOI] [PubMed] [Google Scholar]
- 34.Noben-Trauth, N., G. Köhler, K. Burki, and B. Ledermann. 1996. Efficient targeting of the IL-4 gene in a BALB/c embryonic stem cell line. Transgenic Res. 5:487-491. [DOI] [PubMed] [Google Scholar]
- 35.Perrimon, N., D. Smouse, and G. L. G. Miklos. 1989. Developmental genetics of loci at the base of the X chromosome of Drosophila melanogaster. Genetics 121:313-331. [DOI] [PMC free article] [PubMed] [Google Scholar]
- 36.Pinson, K. I., L. Dunbar, L. Samuelson, and D. L. Gumucio. 1998. Targeted disruption of the mouse villin gene does not impair the morphogenesis of microvilli. Dev. Dyn. 211:109-121. [DOI] [PubMed] [Google Scholar]
- 37.Probst, F. J., K.-S. Chen, Q. Zhao, A. Wang, T. B. Friedman, J. R. Lupski, and S. A. Camper. 1999. A physical map of the mouse shaker-2 region contains many of the genes commonly deleted in Smith-Magenis syndrome (del17p11.2p11. 2). Genomics 55:348-352. [DOI] [PubMed] [Google Scholar]
- 38.Reed, A. L., H. Yamazaki, J. D. Kaufman, Y. Rubinstein, B. Murphy, and A. C. Johnson. 1998. Molecular cloning and characterization of a transcription regulator with homology to GC-binding factor. J. Biol. Chem. 273:21594-21602. [DOI] [PubMed] [Google Scholar]
- 39.Scheurlen, W. G., G. C. Schwabe, P. Seranski, S. Joos, J. Harbott, S. Metzke, H. Dohner, A. Poustka, K. Wilgenbus, and O. A. Haas. 1999. Mapping of the breakpoints on the short arm of chromosome 17 in neoplasms with an i(17q). Genes Chromosomes Cancer 25:230-240. [DOI] [PubMed] [Google Scholar]
- 40.Schrank, B., R. Götz, J. M. Gunnersen, J. M. Ure, K. V. Toyka, A. G. Smith, and M. Sendtner. 1997. Inactivation of the survival motor neuron gene, a candidate gene for human spinal muscular atrophy, leads to massive cell death in early mouse embryos. Proc. Natl. Acad. Sci. USA 94:9920-9925. [DOI] [PMC free article] [PubMed] [Google Scholar]
- 41.Seranski, P., N. S. Heiss, S. Dhorne-Pollet, U. Radelof, B. Korn, S. Hennig, E. Backes, S. Schmidt, S. Wiemann, C. E. Schwarz, H. Lehrach, and A. Poustka. 1999. Transcription mapping in a medulloblastoma breakpoint interval and Smith-Magenis syndrome candidate region: identification of 53 transcriptional units and new candidate genes. Genomics 56:1-11. [DOI] [PubMed] [Google Scholar]
- 42.Shen-Li, H., R. C. O'Hagan, H. Hou, Jr., J. W. Horner II, H. W. Lee, and R. A. DePinho. 2000. Essential role for Max in early embryonic growth and development. Genes Dev. 14:17-22. [PMC free article] [PubMed] [Google Scholar]
- 43.Smith, A. C., L. McGavran, J. Robinson, G. Waldstein, J. Macfarlane, J. Zonona, J. Reiss, M. Lahr, L. Allen, and E. Magenis. 1986. Interstitial deletion of (17)(p11.2p11.2) in nine patients. Am. J. Med. Genet. 24:393-414. [DOI] [PubMed] [Google Scholar]
- 44.Straub, K. L., M. C. Stella, and M. Leptin. 1996. The gelsolin-related flightless I protein is required for actin distribution during cellularisation in Drosophila. J. Cell Sci. 109:263-270. [DOI] [PubMed] [Google Scholar]
- 45.Sutherland, J. D., and W. Witke. 1999. Molecular genetic approaches to understanding the actin cytoskeleton. Curr. Opin. Cell Biol. 11:142-151. [DOI] [PubMed] [Google Scholar]
- 46.Thomas, K. R., and M. R. Capecchi. 1987. Site-directed mutagenesis by gene targeting in mouse embryo-derived stem cells. Cell 51:503-512. [DOI] [PubMed] [Google Scholar]
- 47.Wilson, S. A., E. C. Brown, A. J. Kingsman, and S. M. Kingsman. 1998. TRIP: a novel double stranded RNA binding protein which interacts with the leucine rich repeat of flightless I. Nucleic Acids Res. 26:3460-3467. [DOI] [PMC free article] [PubMed] [Google Scholar]
- 48.Witke, W., W. Li, D. J. Kwiatkowski, and F. S. Southwick. 2001. Comparisons of CapG and gelsolin-null macrophages: demonstration of a unique role for CapG in receptor-mediated ruffling, phagocytosis, and vesicle rocketing. J. Cell Biol. 154:775-784. [DOI] [PMC free article] [PubMed] [Google Scholar]
- 49.Witke, W., A. H. Sharpe, J. H. Hartwig, T. Azuma, T. P. Stossel, and D. J. Kwiatkowski. 1995. Hemostatic, inflammatory, and fibroblast responses are blunted in mice lacking gelsolin. Cell 81:41-51. [DOI] [PubMed] [Google Scholar]





