Abstract
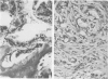
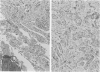
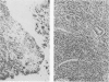
Symptomatic solitary bony metastasis as the First sign of asymptomatic gastric carcinoma is very infrequent. Only 8 cases reported by 7 authors have been found in the literature. Furthermore, solitary bony metastasis as the sole sign of recurrence after hopefully curative resections are so rare that none has been previously reported in the literature. Three additional instances of solitary and histologically proven osseous metastasis of malignant gastric neoplasms have been observed and treated at Memorial Hospital during the years 1949 through 1969, and are herewith reported.
Full text
PDF




Images in this article
Selected References
These references are in PubMed. This may not be the complete list of references from this article.
- Catone G. A., Henny F. A. Metastatic gastric adenocarcinoma of the mandible: report of a case. J Oral Surg. 1969 Jan;27(1):36–40. [PubMed] [Google Scholar]
- Debernardi G., Roccia L., Guasta G. Un caso di metastasi precoce mandibolare da adenocarcinoma gastrico inizialmente asintomatico. Minerva Stomatol. 1968 Aug;17(8):679–685. [PubMed] [Google Scholar]
- Higinbotham N. L., Marcove R. C. The management of pathological fractures. J Trauma. 1965 Nov;5(6):792–798. doi: 10.1097/00005373-196511000-00015. [DOI] [PubMed] [Google Scholar]
- LaDUE J. S., MURISON P. J. Symptomatology and diagnosis of gastric cancer. Arch Surg. 1950 Feb;60(2):305–335. doi: 10.1001/archsurg.1950.01250010323010. [DOI] [PubMed] [Google Scholar]
- Warwick M. ANALYSIS OF ONE HUNDRED AND SEVENTY-SIX CASES OF CARCINOMA OF THE STOMACH SUBMITTED TO AUTOPSY. Ann Surg. 1928 Aug;88(2):216–226. doi: 10.1097/00000658-192808000-00007. [DOI] [PMC free article] [PubMed] [Google Scholar]






