Abstract
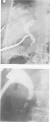
Spontaneous rupture of the hepatic ducts is an exceedingly rare and unusually unrecognized cause of peritonitis in adults. In the last four years we have operated on three patients with bile peritonitis from hepatic duct perforation caused by calculus erosion. All were elderly, had a prolonged period of symptoms prior to presentation, and were gravely ill at the time of operation. Each perforation was managed differently: one by fine suture closure, one by insertion of a T-tube in the perforation, and the third by T-tube drainage of the common duct when the perforation was inaccessible to repair. Two of the three patients survived and remain healthy without evidence of bile duct stricture three and three and a half years later, respectively.
Full text
PDF



Images in this article
Selected References
These references are in PubMed. This may not be the complete list of references from this article.
- Burden V. G. OBSERVATIONS ON THE HISTOLOGIC AND PATHOLOGIC ANATOMY OF THE HEPATIC, CYSTIC, AND COMMON BILE DUCTS. Ann Surg. 1925 Oct;82(4):584–597. doi: 10.1097/00000658-192510010-00005. [DOI] [PMC free article] [PubMed] [Google Scholar]
- ELLIS H., CRONIN K. Bile peritonitis. Br J Surg. 1961 Sep;48:166–171. doi: 10.1002/bjs.18004820818. [DOI] [PubMed] [Google Scholar]
- Gough A. L., Edwards A. N., Keddie N. C. Spontaneous perforation of the common hepatic duct. Br J Surg. 1976 Jun;63(6):446–448. doi: 10.1002/bjs.1800630609. [DOI] [PubMed] [Google Scholar]
- HART D. E. Spontaneous perforation of the common bile duct. Ann Surg. 1951 Feb;133(2):280–282. doi: 10.1097/00000658-195102000-00025. [DOI] [PMC free article] [PubMed] [Google Scholar]
- Kune G. A., Hardy K. J., Brown G., McKenzie G. Operative injuries of the bile ducts. Med J Aust. 1969 Aug 2;2(5):233–236. doi: 10.5694/j.1326-5377.1969.tb114669.x. [DOI] [PubMed] [Google Scholar]
- MUENDEL H. J., NULL R. H. Bile peritonitis due to spontaneous perforation of the common duct. AMA Arch Surg. 1954 Jul;69(1):77–80. doi: 10.1001/archsurg.1954.01270010079011. [DOI] [PubMed] [Google Scholar]
- McWilliams C. A. ACUTE, SPONTANEOUS PERFORATION OF THE BILIARY SYSTEM INTO THE FREE PERITONEAL CAVITY: A REPORT OF SIX CASES FROM THE PRESBYTERIAN HOSPITAL OF NEW YORK AND 108 CASES FROM THE LITERATURE. Ann Surg. 1912 Feb;55(2):235–263. doi: 10.1097/00000658-191202000-00007. [DOI] [PMC free article] [PubMed] [Google Scholar]
- SNYDER R. E. Spontaneous rupture of the hepatic duct. Ann Surg. 1957 Aug;146(2):246–251. doi: 10.1097/00000658-195708000-00014. [DOI] [PMC free article] [PubMed] [Google Scholar]


