Full text
PDF


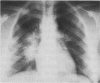
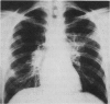
Images in this article
Selected References
These references are in PubMed. This may not be the complete list of references from this article.
- Centers for Disease Control (CDC) Measles among members of a drum and bugle corps--Arkansas, California, Kansas. MMWR Morb Mortal Wkly Rep. 1983 Nov 4;32(43):561-2, 567. [PubMed] [Google Scholar]
- Cherry J. D., Feigin R. D., Lobes L. A., Jr, Shackelford P. G. Atypical measles in children previously immunized with attenuated measles virus vaccines. Pediatrics. 1972 Nov;50(5):712–717. [PubMed] [Google Scholar]
- Frank J. A., Jr, Hoffman R. E., Mann J. M., Crowe J. D., Hinman A. R. Imported measles. A potential control problem. JAMA. 1981 Jan 16;245(3):264–266. [PubMed] [Google Scholar]
- Gokiert J. G., Beamish W. E. Altered reactivity to measles virus in previously vaccinated children. Can Med Assoc J. 1970 Oct 10;103(7):724–727. [PMC free article] [PubMed] [Google Scholar]
- Jacobs K. G. Probable atypical measles pneumonia without rash. N Engl J Med. 1979 Feb 15;300(7):371–371. [PubMed] [Google Scholar]
- Laptook A., Wind E., Nussbaum M., Shenker I. R. Pulmonary lesions in atypical measles. Pediatrics. 1978 Jul;62(1):42–46. [PubMed] [Google Scholar]
- Larke R. P. Impact of measles in Canada. Rev Infect Dis. 1983 May-Jun;5(3):445–451. doi: 10.1093/clinids/5.3.445. [DOI] [PubMed] [Google Scholar]
- Margolin F. R., Gandy T. K. Pneumonia of atypical measles. Radiology. 1979 Jun;131(3):653–655. doi: 10.1148/131.3.653. [DOI] [PubMed] [Google Scholar]
- Martin D. B., Weiner L. B., Nieburg P. I., Blair D. C. Atypical measles in adolescents and young adults. Ann Intern Med. 1979 Jun;90(6):877–881. doi: 10.7326/0003-4819-90-6-877. [DOI] [PubMed] [Google Scholar]
- Miller K. D. "Data still pending". N Engl J Med. 1981 Dec 31;305(27):1653–1654. doi: 10.1056/NEJM198112313052721. [DOI] [PubMed] [Google Scholar]
- Mitnick J., Becker M. H., Rothberg M., Genieser N. B. Nodular residua of atypical measles pneumonia. AJR Am J Roentgenol. 1980 Feb;134(2):257–260. doi: 10.2214/ajr.134.2.257. [DOI] [PubMed] [Google Scholar]
- Nichols E. M. Atypical measles syndrome: a continuing problem. Am J Public Health. 1979 Feb;69(2):160–162. doi: 10.2105/ajph.69.2.160. [DOI] [PMC free article] [PubMed] [Google Scholar]
- Nieburg P. I., D'Angelo L. J., Herrmann K. L. Measles in patients suspected of having Rocky Mountain spotted fever. JAMA. 1980 Aug 22;244(8):808–809. [PubMed] [Google Scholar]
- RAUH L. W., SCHMIDT R. MEASLES IMMUNIZATION WITH KILLED VIRUS VACCINE. SERUM ANTIBODY TITERS AND EXPERIENCE WITH EXPOSURE TO MEASLES EPIDEMIC. Am J Dis Child. 1965 Mar;109:232–237. doi: 10.1001/archpedi.1965.02090020234007. [DOI] [PubMed] [Google Scholar]
- Smith F. R., Curran A. S., Raciti K. A., Black F. L. Reported measles in persons immunologically primed by prior vaccination. J Pediatr. 1982 Sep;101(3):391–393. doi: 10.1016/s0022-3476(82)80064-4. [DOI] [PubMed] [Google Scholar]
- White F. M. Policy for measles elimination in Canada and program implications. Rev Infect Dis. 1983 May-Jun;5(3):577–582. doi: 10.1093/clinids/5.3.577. [DOI] [PubMed] [Google Scholar]
- Young L. W., Smith D. I., Glasgow L. A. Pneumonia of atypical measles. Residual nodular lesions. Am J Roentgenol Radium Ther Nucl Med. 1970 Nov;110(3):439–448. doi: 10.2214/ajr.110.3.439. [DOI] [PubMed] [Google Scholar]
- Zahradnik J. M., Cherry J. D., Rachelefsky G. Atypical measles acquired abroad. Foreign travel and pseudoexotic disease. JAMA. 1979 Apr 20;241(16):1711–1712. [PubMed] [Google Scholar]




