Full text
PDF

























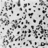
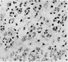
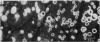
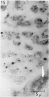
Images in this article
Selected References
These references are in PubMed. This may not be the complete list of references from this article.
- BEN GEREN B. The formation from the Schwann cell surface of myelin in the peripheral nerves of chick embryos. Exp Cell Res. 1954 Nov;7(2):558–562. doi: 10.1016/s0014-4827(54)80098-x. [DOI] [PubMed] [Google Scholar]
- DALY M. D., EVANS D. H. Functional and histological changes in the vagus nerve of the cat after degenerative section at various levels. J Physiol. 1953 Jun 29;120(4):579–595. doi: 10.1113/jphysiol.1953.sp004919. [DOI] [PMC free article] [PubMed] [Google Scholar]
- DALY M. de B., MOUNT L. E. The origin, course and nature of bronchomotor fibers in the cervical sympathetic nerve of the cat. J Physiol. 1951 Mar;113(1):43–62. doi: 10.1113/jphysiol.1951.sp004555. [DOI] [PMC free article] [PubMed] [Google Scholar]
- DOUGLAS W. W., RITCHIE J. M., SCHAUMANN W. Depressor reflexes from medullated and non-medullated fibres in the rabbits aortic nerve. J Physiol. 1956 Apr 27;132(1):187–198. doi: 10.1113/jphysiol.1956.sp005513. [DOI] [PMC free article] [PubMed] [Google Scholar]
- Dixon W. E., Ransom F. Broncho-dilator nerves. J Physiol. 1912 Dec 9;45(5):413–428. doi: 10.1113/jphysiol.1912.sp001561. [DOI] [PMC free article] [PubMed] [Google Scholar]
- EVANS D. H., MURRAY J. G. Histological and functional studies on the fibre composition of the vagus nerve of the rabbit. J Anat. 1954 Jul;88(3):320–337. [PMC free article] [PubMed] [Google Scholar]
- EVANS D. H., MURRAY J. G. Regeneration of non-medullated nerve fibres. J Anat. 1954 Oct;88(4):465–480. [PMC free article] [PubMed] [Google Scholar]
- GASSER H. S. Properties of dorsal root unmedullated fibers on the two sides of the ganglion. J Gen Physiol. 1955 May 20;38(5):709–728. doi: 10.1085/jgp.38.5.709. [DOI] [PMC free article] [PubMed] [Google Scholar]
- Gaskell W. H. On the Structure, Distribution and Function of the Nerves which innervate the Visceral and Vascular Systems. J Physiol. 1886 Jan;7(1):1–80.9. doi: 10.1113/jphysiol.1886.sp000207. [DOI] [PMC free article] [PubMed] [Google Scholar]
- Gutmann E., Sanders F. K. Recovery of fibre numbers and diameters in the regeneration of peripheral nerves. J Physiol. 1943 Mar 25;101(4):489–518. doi: 10.1113/jphysiol.1943.sp004002. [DOI] [PMC free article] [PubMed] [Google Scholar]
- MURRAY J. G. Innervation of the intrinsic muscles of the cat's larynx by the recurrent laryngeal nerve: a unimodal nerve. J Physiol. 1957 Jan 23;135(1):206–212. doi: 10.1113/jphysiol.1957.sp005704. [DOI] [PMC free article] [PubMed] [Google Scholar]
- McSwiney B. A., Spurrell W. R. The gastric fibres of the vagus nerve. J Physiol. 1933 Mar 15;77(4):447–458. doi: 10.1113/jphysiol.1933.sp002979. [DOI] [PMC free article] [PubMed] [Google Scholar]
- NEIL E., REDWOOD C. R. M., SCHWEITZER A. Effects of electrical stimulation of the aortic nerve on blood pressure and respiration in cats and rabbits under chloralose and nembutal anaesthesia. J Physiol. 1949 Sep;109(3-4):392–401. doi: 10.1113/jphysiol.1949.sp004402. [DOI] [PMC free article] [PubMed] [Google Scholar]
- Richardson R. IMMUNITY IN DIABETES: INFLUENCE OF DIABETES ON THE DEVELOPMENT OF ANTIBACTERIAL PROPERTIES IN THE BLOOD. J Clin Invest. 1933 Nov;12(6):1143–1149. doi: 10.1172/JCI100565. [DOI] [PMC free article] [PubMed] [Google Scholar]
















