Abstract
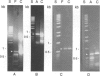
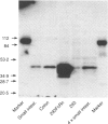
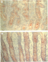
Maternal IgG is transferred to the suckling mouse and rat through a major histocompatibility complex (MHC) class I-related Fc receptor (FcRn) on the brush border of the proximal small intestine. We have previously described a site on the epithelial surface of the human fetal intestine with IgG binding characteristics similar to FcRn. We report here the identification by reverse transcriptase polymerase chain reaction amplification and sequencing of the human orthologue of rat and mouse FcRn in tissue obtained from human fetal and adult intestine. FcRn protein was detected in adult human intestine by western blot. Immunohistochemical studies of sections of human intestine show that the FcRn is localized mostly to the epithelial cells, where it is in the apical region. These data suggest that the binding of IgG previously seen in the fetal intestine is due to the presence of FcRn. Potential roles for this MHC class I-like Fc receptor in the human intestine include the transfer of passive immunity, induction of oral tolerance, and immunosurveillance.
Full text
PDF





Images in this article
Selected References
These references are in PubMed. This may not be the complete list of references from this article.
- Abrahamson D. R., Powers A., Rodewald R. Intestinal absorption of immune complexes by neonatal rats: a route of antigen transfer from mother to young. Science. 1979 Nov 2;206(4418):567–569. doi: 10.1126/science.493961. [DOI] [PubMed] [Google Scholar]
- Ahouse J. J., Hagerman C. L., Mittal P., Gilbert D. J., Copeland N. G., Jenkins N. A., Simister N. E. Mouse MHC class I-like Fc receptor encoded outside the MHC. J Immunol. 1993 Dec 1;151(11):6076–6088. [PubMed] [Google Scholar]
- BRAMBELL F. W., HEMMINGS W. A., MORRIS I. G. A THEORETICAL MODEL OF GAMMA-GLOBULIN CATABOLISM. Nature. 1964 Sep 26;203:1352–1354. doi: 10.1038/2031352a0. [DOI] [PubMed] [Google Scholar]
- Ballow M., Cates K. L., Rowe J. C., Goetz C., Desbonnet C. Development of the immune system in very low birth weight (less than 1500 g) premature infants: concentrations of plasma immunoglobulins and patterns of infections. Pediatr Res. 1986 Sep;20(9):899–904. doi: 10.1203/00006450-198609000-00019. [DOI] [PubMed] [Google Scholar]
- Barnes G. L., Doyle L. W., Hewson P. H., Knoches A. M., McLellan J. A., Kitchen W. H., Bishop R. F. A randomised trial of oral gammaglobulin in low-birth-weight infants infected with rotavirus. Lancet. 1982 Jun 19;1(8286):1371–1373. doi: 10.1016/s0140-6736(82)92496-5. [DOI] [PubMed] [Google Scholar]
- Besser T. E., McGuire T. C., Gay C. C., Pritchett L. C. Transfer of functional immunoglobulin G (IgG) antibody into the gastrointestinal tract accounts for IgG clearance in calves. J Virol. 1988 Jul;62(7):2234–2237. doi: 10.1128/jvi.62.7.2234-2237.1988. [DOI] [PMC free article] [PubMed] [Google Scholar]
- Blum P. M., Phelps D. L., Ank B. J., Krantman H. J., Stiehm E. R. Survival of oral human immune serum globulin in the gastrointestinal tract of low birth weight infants. Pediatr Res. 1981 Sep;15(9):1256–1260. doi: 10.1203/00006450-198109000-00006. [DOI] [PubMed] [Google Scholar]
- Chirgwin J. M., Przybyla A. E., MacDonald R. J., Rutter W. J. Isolation of biologically active ribonucleic acid from sources enriched in ribonuclease. Biochemistry. 1979 Nov 27;18(24):5294–5299. doi: 10.1021/bi00591a005. [DOI] [PubMed] [Google Scholar]
- Eibl M. M., Wolf H. M., Fürnkranz H., Rosenkranz A. Prevention of necrotizing enterocolitis in low-birth-weight infants by IgA-IgG feeding. N Engl J Med. 1988 Jul 7;319(1):1–7. doi: 10.1056/NEJM198807073190101. [DOI] [PubMed] [Google Scholar]
- Ghetie V., Hubbard J. G., Kim J. K., Tsen M. F., Lee Y., Ward E. S. Abnormally short serum half-lives of IgG in beta 2-microglobulin-deficient mice. Eur J Immunol. 1996 Mar;26(3):690–696. doi: 10.1002/eji.1830260327. [DOI] [PubMed] [Google Scholar]
- Hobbs J. R., Davis J. A. Serum gamma-G-globulin levels and gestational age in premature babies. Lancet. 1967 Apr 8;1(7493):757–759. doi: 10.1016/s0140-6736(67)91369-4. [DOI] [PubMed] [Google Scholar]
- Israel E. J. Neonatal necrotizing enterocolitis, a disease of the immature intestinal mucosal barrier. Acta Paediatr Suppl. 1994;396:27–32. doi: 10.1111/j.1651-2227.1994.tb13238.x. [DOI] [PubMed] [Google Scholar]
- Israel E. J., Patel V. K., Taylor S. F., Marshak-Rothstein A., Simister N. E. Requirement for a beta 2-microglobulin-associated Fc receptor for acquisition of maternal IgG by fetal and neonatal mice. J Immunol. 1995 Jun 15;154(12):6246–6251. [PubMed] [Google Scholar]
- Israel E. J., Simister N., Freiberg E., Caplan A., Walker W. A. Immunoglobulin G binding sites on the human foetal intestine: a possible mechanism for the passive transfer of immunity from mother to infant. Immunology. 1993 May;79(1):77–81. [PMC free article] [PubMed] [Google Scholar]
- Israel E. J., Wilsker D. F., Hayes K. C., Schoenfeld D., Simister N. E. Increased clearance of IgG in mice that lack beta 2-microglobulin: possible protective role of FcRn. Immunology. 1996 Dec;89(4):573–578. doi: 10.1046/j.1365-2567.1996.d01-775.x. [DOI] [PMC free article] [PubMed] [Google Scholar]
- Junghans R. P., Anderson C. L. The protection receptor for IgG catabolism is the beta2-microglobulin-containing neonatal intestinal transport receptor. Proc Natl Acad Sci U S A. 1996 May 28;93(11):5512–5516. doi: 10.1073/pnas.93.11.5512. [DOI] [PMC free article] [PubMed] [Google Scholar]
- Kobayashi K., Blaser M. J., Brown W. R. Identification of a unique IgG Fc binding site in human intestinal epithelium. J Immunol. 1989 Oct 15;143(8):2567–2574. [PubMed] [Google Scholar]
- Melamed I., Griffiths A. M., Roifman C. M. Benefit of oral immune globulin therapy in patients with immunodeficiency and chronic diarrhea. J Pediatr. 1991 Sep;119(3):486–489. doi: 10.1016/s0022-3476(05)82070-0. [DOI] [PubMed] [Google Scholar]
- Mombaerts P., Mizoguchi E., Grusby M. J., Glimcher L. H., Bhan A. K., Tonegawa S. Spontaneous development of inflammatory bowel disease in T cell receptor mutant mice. Cell. 1993 Oct 22;75(2):274–282. doi: 10.1016/0092-8674(93)80069-q. [DOI] [PubMed] [Google Scholar]
- Peppard J. V., Jackson L. E., Hall J. G., Robertson D. The transfer of immune complexes from the lumen of the small intestine to the bloodstream in sucking rats. Immunology. 1984 Oct;53(2):385–393. [PMC free article] [PubMed] [Google Scholar]
- Raghavan M., Chen M. Y., Gastinel L. N., Bjorkman P. J. Investigation of the interaction between the class I MHC-related Fc receptor and its immunoglobulin G ligand. Immunity. 1994 Jul;1(4):303–315. doi: 10.1016/1074-7613(94)90082-5. [DOI] [PubMed] [Google Scholar]
- Roberts D. M., Guenthert M., Rodewald R. Isolation and characterization of the Fc receptor from the fetal yolk sac of the rat. J Cell Biol. 1990 Nov;111(5 Pt 1):1867–1876. doi: 10.1083/jcb.111.5.1867. [DOI] [PMC free article] [PubMed] [Google Scholar]
- Roos N., Mahé S., Benamouzig R., Sick H., Rautureau J., Tomé D. 15N-labeled immunoglobulins from bovine colostrum are partially resistant to digestion in human intestine. J Nutr. 1995 May;125(5):1238–1244. doi: 10.1093/jn/125.5.1238. [DOI] [PubMed] [Google Scholar]
- Rubaltelli F. F., Benini F., Sala M. Prevention of necrotizing enterocolitis in neonates at risk by oral administration of monomeric IgG. Dev Pharmacol Ther. 1991;17(3-4):138–143. doi: 10.1159/000457513. [DOI] [PubMed] [Google Scholar]
- Simister N. E., Mostov K. E. An Fc receptor structurally related to MHC class I antigens. Nature. 1989 Jan 12;337(6203):184–187. doi: 10.1038/337184a0. [DOI] [PubMed] [Google Scholar]
- Simister N. E., Story C. M., Chen H. L., Hunt J. S. An IgG-transporting Fc receptor expressed in the syncytiotrophoblast of human placenta. Eur J Immunol. 1996 Jul;26(7):1527–1531. doi: 10.1002/eji.1830260718. [DOI] [PubMed] [Google Scholar]
- Story C. M., Mikulska J. E., Simister N. E. A major histocompatibility complex class I-like Fc receptor cloned from human placenta: possible role in transfer of immunoglobulin G from mother to fetus. J Exp Med. 1994 Dec 1;180(6):2377–2381. doi: 10.1084/jem.180.6.2377. [DOI] [PMC free article] [PubMed] [Google Scholar]



