Abstract
Divalent metal transporter 1 (DMT1) is responsible for dietary-iron absorption from apical plasma membrane in the duodenum and iron acquisition from the transferrin cycle endosomes in peripheral tissues. Two isoforms of the DMT1 transcript generated by alternative splicing of the 3′ exons have been identified in mouse, rat, and human. These isoforms can be distinguished by the different C-terminal amino acid sequences and by the presence (DMT1A) or absence (DMT1B) of an iron response element located in the 3′ untranslated region of the mRNA. However, it has been still unknown whether the structural differences between the two DMT1 isoforms is functionally important. Here, we report that each DMT1 isoform exhibits a differential cell type–specific expression patterns and distinct subcellular localizations. DMT1A is predominantly expressed by epithelial cell lines, whereas DMT1B is expressed by the blood cell lines. In HEp-2 cells, GFP-tagged DMT1A is localized in late endosomes and lysosomes, whereas GFP-tagged DMT1B is localized in early endosomes. Using site-directed mutagenesis, a Y555XLXX sequence in the cytoplasmic tail of DMT1B has been identified as an important signal sequence for the early endosomal-targeting of DMT1B. In polarized MDCK cells, GFP-tagged DMT1A and DMT1B are localized in the apical plasma membrane and their respective specific endosomes. Disruption of the N-glycosylation sites in each of the DMT1 isoforms affects their polarized distribution into the apical plasma membrane but not their correct endosomal localization. Our data indicate that the cell type–specific expression patterns and the distinct subcellular localizations of two DMT1 isoforms may be involved in the different iron acquisition steps from the subcellular membranes in various cell types.
INTRODUCTION
Iron participates in numerous metabolic pathways in all cells and organisms and is therefore essential for all living species including human. However, because of its ability to generate oxygen species, its reactive nature is also potentially harmful. In mammals, there is no regulated pathway for iron excretion, and iron is normally lost from the organism by nonspecific mechanisms such as cell desquamation. Therefore, absorption into the intestine is assumed to have a primary role in regulating the whole body iron stores (Bothwell and Charlton, 1970). Nutritional iron absorption (both heme and nonheme iron) occurs primarily at the intestine. Heme iron constitutes only a small fraction of the available dietary iron, but it is easily absorbed. On the other hand, the absorption of nonheme iron is low and markedly regulated in the first part of the duodenum, in which the acidic pH promotes solubilization of iron transformed to Fe2+ by ferrireductase and ascorbate. In nonintestinal cells, iron is taken into the cell with transferrin (Tf) via receptor-mediated endocytosis. A specific receptor (Tf receptor [TfR]) on the outer face of the plasma membrane binds diferric Tf with high affinity (Ponka et al., 1998). Once internalized into the cells, the Tf·TfR complex is delivered to endosomes, which are acidified to pH 5.5–6.0 through the action of an ATP-dependent proton pump. Endosomal acidification weakens the binding of iron to Tf and produces conformational changes in both Tf and TfR, strengthening their association. The apo-Tf·TfR complex is recycled back to the plasma membrane, where the apo-Tf is discharged, thereby completing an elegant and efficient cycle. Previously, it was not clear how iron exited from the transferrin cycle endosomes. However, recent studies have provided new insight into this process and demonstrated a surprising link between the Tf cycle and intestinal iron absorption.
In 1997, two groups independently identified the first mammalian transmembrane iron transporter (Fleming et al., 1997; Gunshin et al., 1997). Using a Xenopus oocytes expression cloning assay to screen for iron uptake, Gunshin et al. searched for an intestinal iron transporter in the duodenal mRNAs from rats fed with a low-iron diet. A single cDNA (initially named Dct1 [divalent cation transporter 1], recently renamed as Dmt1 [divalent metal transporter 1]) was found to stimulate iron uptake by ∼200-fold (Gunshin et al., 1997). Dmt1-mediated iron transport was shown to be pH dependent and coupled to a proton symport. A variety of other ions, including Zn2+, Mn2+, Cu2+, Cd2+, Co2+, Ni2+, and Pb2+, stimulated currents indistinguishable from that of iron at the same concentration, suggesting that Dmt1 can transport a variety of divalent metal ions (Gunshin et al., 1997). In parallel, using a positional cloning approach to identify the gene defective in two rodent models of iron deficiency, Fleming et al. demonstrated that the Dmt1 gene is mutated (Gly185Arg) in both the mouse microcytic anemia (mk; Fleming et al., 1997) and rat Belgrade (b) animal models (Fleming et al., 1998). DMT1 is a highly hydrophobic integral membrane glycoprotein composed of 12 transmembrane domains that possess several structural characteristics of ion channels and transporters. This structural unit defines a protein family highly conserved from bacteria to human and that induces the closely related phagocyte-specific homologue Nramp1. Nramp1 has been identified in the mouse Bcg/Ity/Lsh locus by positional cloning, and it controls resistance to infection against with Mycobacterium, Salmonella, and Leishmania in vivo (Vidal et al., 1993). Next, Dmt1 was identified as the rodent homologue of Nramp2, which was first cloned with no known function on the basis of its sequence homology with Nramp1 (Vidal et al., 1995). The mammalian Dmt1 genes are homologous to the yeast SMF gene family of Mn2+ transporters. Mouse Dmt1 and human DMT1 can functionally complement a Saccharomyces cerevisiae smf1/smf2 null mutant (Pinner et al., 1997) and a Schizosaccharomyces pombe pdt1+ null mutant (Tabuchi et al., 1999), respectively. DMT1 mRNA expression is ubiquitous and has been detected in most tissues and cell types analyzed (Gunshin et al., 1997). However, its levels of expression are relatively high in the brain, thymus, proximal intestine, kidney, and bone marrow (Gunshin et al., 1997). As the mk mouse and the b rat exhibit severe microcytic, hypochromic anemia due to a defect of iron uptake in the intestine as well as iron acquisition and utilization in the peripheral tissues, including erythroid iron utilization (Edwards and Hoke, 1975; Oates and Morgan, 1996), it is believed that DMT1 functions as an apical plasma membrane iron transporter in intestinal enterocytes and as an endosomal iron transporter in the transferrin cycle endosome of peripheral tissues. Indeed, several groups recently showed that DMT1 is localized to the apical surface in duodenal enterocytes (Canonne-Hergaux et al., 1999; Griffiths et al., 2000), renal thick ascending limbs of Henle's loop, distal convoluted tubules (Ferguson et al., 2001), and in Caco-2 cells (Tandy et al., 2000). Subcellular localization studies of the endogenous protein in HEp-2 cells as well as studies using stably transfected CHO and RAW cells show that DMT1 is also localized in a intracellular vesicular compartment (Su et al., 1998; Gruenheid et al., 1999; Tabuchi et al., 2000).
The DMT1 gene produces two alternatively spliced transcripts generated by the differential usage of two 3′ exons encoding distinct C-termini of the protein as well as distinct 3′ untranslated regions (UTRs; Lee et al., 1998). Interestingly, one DMT1 isoform (DMT1A) contains an iron-responsive element (IRE) in its 3′ UTR, whereas another DMT1 splice isoform (DMT1B) does not. DMT1B encodes a protein in which the C-terminal 18 amino acids derived from DMT1A mRNA are replaced by a novel 25-amino acid segment. DMT1A protein is expressed in the duodenum where its expression is regulated by dietary iron (Canonne-Hergaux et al., 1999). On the other hand, DMT1B protein is expressed in erythroid cell precursors where its expression is regulated by erythropoetin or phenylhydrazine (Canonne-Hergaux et al., 2001). In vitro studies with cultured mammalian cells have also demonstrated that both DMT1 isoforms can transport a variety of divalent metal ions at the plasma membrane, including Fe2+ (Picard et al., 2000). However, it is still unknown whether the difference between the two DMT1 isoforms is functionally important. Here, we show that the two DMT1 isoforms exhibit different cell type–specific expression patterns and distinct subcellular localizations. Furthermore, we demonstrate that both DMT1 isoforms localize to the apical plasma membrane in polarized epithelial cells and that the localization mechanism is dependent on their N-glycans.
MATERIALS AND METHODS
Antibodies and Reagents
Production and purification of anti–N-terminal DMT1 (previously named as NRAMP2) polyclonal antibody was described previously (Tabuchi et al., 2000). Mouse anti-human TfR mAb (N-2) was a generous gift from Dr. T. Yoshimori (National Institute of Genetics, Mishima, Japan; Yoshimori et al., 1988). The mAb 7G7.B6 recognizing the Tac antigen was from the American Type Culture Collection (Rockville, MD). Mouse anti-human EEA1 mAb and rabbit anticaveolin pAb was purchased from Transduction Laboratories (Lexington, KY). Mouse anti-human LAMP-2 mAb (H4B4) was obtained from Developmental Studies Hybridoma Bank. Alexa 594–labeled anti-mouse IgG, Alexa 488–labeled anti-rabbit IgG, Texas-Red transferrin, and propidium iodide were purchased from Molecular Probes (Eugene, OR).
Cell Culture and Transfection
The human larynx carcinoma cell line HEp-2 and the human hepatocellular carcinoma cell line HepG2 cell were maintained in Dulbecco's minimal essential medium (DMEM; Sigma, St. Louis, MO) containing 10% fetal calf serum, 50 μg/ml penicillin, and 50 μg/ml streptomycin. The African green monkey kidney cell line COS-7 was maintained in high-glucose DMEM containing 10% fetal calf serum, 50 μg/ml penicillin, and 50 μg/ml streptomycin. The human chronic myeloid leukemia in blast crisis cell line K-562, the human histiocytic lymphoma cell line U-937, and the human acute myeloid leukemia cell line HL-60 were maintained in RPMI 1640 (Sigma) containing 10% fetal calf serum, 50 μg/ml penicillin, and 50 μg/ml streptomycin. The Madin-Darby canine kidney (MDCK) Type II cells were maintained in minimal essential medium (MEM; Sigma) supplemented with 10% fetal calf serum, 50 μg/ml penicillin, and 50 μg/ml streptomycin. The human colon adenocarcinoma cell line Caco-2 cells were maintained in MEM (Sigma) supplemented with 10% fetal calf serum, nonessential amino acids, 50 μg/ml penicillin, and 50 μg/ml streptomycin. For experiments with polarized MDCK or Caco-2 cells, the cells were cultured on 6.5-mm Transwell polycarbonate filters with a 0.4-μm pore size for the indicated periods. FuGENETM6 transfection reagent (Roche Molecular Biochemicals, Indianapolis, IN) was used for the transfection according to the manufacturer's instructions. Clones of stable transfectants of MDCK cells were selected in geneticin (G418; 1.8 mg/ml; GIBCO-BRL, Rockville, MD) for 10–14 d and tested for protein expression by native fluorescence of GFP.
Plasmid Constructions
Amplification of the human DMT1A cDNA and construction of pGFP-DMT1A was described previously (Tabuchi et al., 2000). The human DMT1B cDNA was amplified using the sense primer, NR2–1: 5′-TGATCAACCATGGTGCTGGGTCCTGA-3′ and the antisense primer, non–IRE-R1: 5′-TGATCATCTAGACACAAGTGAGTC-3′. The reaction product was purified by agarose gel electrophoresis and cloned into the SmaI site of the pUC13 vector. The resulting plasmid, pUC13-DMT1B, was prepared from the Escherichia coli strain SCS110 (Stratagene) and digested with BclI. The BclI fragment containing the full-length DMT1B ORF was ligated into the BamHI site of pEGFP C1 (CLONTECH, Palo Alto, CA) to generate pGFP-DMT1B. The C-terminally truncated, point-mutated forms of DMT1A or DMT1B were obtained by PCR mutagenesis using KOD plus DNA polymerase (TOYOBO Co. Ltd., Japan). Nucleotide sequences of PCR-oriented constructs were confirmed by the dideoxynucleotide chain-termination method using a LI-COR 4000L or ABI 377 automated DNA sequencer.
Yeast Functional Complementation
Four plasmids were individually transformed into the fission yeast divalent metal transporter disrupted stain pdt1Δ (Tabuchi et al., 1999): the pdt1+, human DMT1A, and DMT1B genes cloned in the expression vector pFML3 (expressed under the control of the inv1+ promoter) and as a control, the empty pFML3 vector. Minimal medium containing 0.3% glucose and 3% glycerol was supplemented with 0.5 mM EGTA and YP (1% yeast extract, 2% peptone) containing 0.3% glucose and 3% glycerol was buffered with 50 mM Na phosphate buffer (pH 5.8–6.4). Four dilutions of the culture (105 cells) were spotted onto plates, and growth was carried out for 4 d at 30°C.
Selective Biotinylation of Apical and Basolateral Cell Surface Proteins
Sulfo-NHS-biotin (Pierce Chemical, Rockford, IL) was used to label cell surface proteins (Graeve et al., 1989). MDCK cells were grown on Transwell filters for 5 d, before being washed three times with PBS(+) (PBS with 0.1 mM CaCl2 and 1 mM MgCl2) and once with biotin buffer (120 mM NaCl, 20 mM NaHCO3, 1 mM CaCl2, pH 8.5) at 4°C for 15 min. Sulfo-NHS-biotin labeling (0.5 mg/ml in biotin buffer, freshly diluted from frozen stock of 200 mg/ml in DMSO) was performed for 20 min at 4°C, either basolaterally and apically. Afterward the cells were washed three times with PBS(+) for 5 min each at 4°C. The labeled cells were lysed with RIPA buffer (10 mM Tris-HCl, pH 7.4, 150 mM NaCl, 5 mM EDTA, 1% Triton X-100, 1% DOC, 1% SDS). Biotinylated membrane protein was precipitated with avidin beads (Promega, Madison, WI), and total DMT1 protein was immunoprecipitated with excess amount of anti-DMT1 N pAb-immobilized beads. Samples were analyzed by Western blotting with anti-DMT1 N pAb. The enrichment of proteins was confirmed by densitometric analysis using NIH Image Version 1.59.
Western Blotting
Preparation of 0.1 M Na2CO3-treated membrane fractions from the cells was previously described (Tabuchi et al., 2000). The membrane fractions were resolved in denaturing buffer (0.5% SDS, 0.1 M β-mercaptoethanol) and denatured for 10 min at 95°C. Protein concentration was determined by the Bradford assay (Bio-Rad, Cambridge, MA). For the separation of the two DMT1isoforms, the PNGase F-deglycosylated membrane fractions were separated on 12.5% SDS-PAGE gels containing 6 M urea. The proteins were then transferred onto nitrocellulose membranes, and the blots were incubated with anti-DMT1 N antibody (1:2000). Proteins were detected with horseradish peroxidase–conjugated antibody against rabbit IgG (New England Biochem). The immunoblots were developed using the enhanced chemiluminescence system (ECL, Amersham Pharmacia Biotech, Piscataway, NJ).
Immunofluorescence Microscopy
Cells were washed three times in PBS and fixed with 4% paraformaldehyde (PFA) in PBS for 15 min, before being permeabilized with 50 μg/ml digitonin in PBS for 10 min. The coverslips were washed twice with PBS and blocked with 0.2% fish skin gelatin in PBS. Cells were incubated for 60 min with primary antibodies diluted in PBS. Coverslips were washed three times with 0.2% fish skin gelatin in PBS. Secondary antibodies were diluted in PBS and incubated with the coverslips for 60 min. Coverslips were then washed with 0.2% fish skin gelatin in PBS and mounted on slides in 9:1 glycerol/PBS. Antibodies were used at the following dilutions: affinity-purified anti-DMT1 N pAb, 1:50; anti-TfR mAb, 1:500; anti–LAMP-2 mAb, 1:1000; anti-EEA1 mAb, 1:50; and Alexa 594–labeled anti-mouse IgG and Alexa 488–labeled anti-rabbit IgG, 1:500. In some cases, the nuclei were stained with 5 μg/ml propidium iodide after treatment with 100 μg/ml RNase A. The coverslips were mounted in 90% glycerol/PBS and examined with an Olympus BX50 microscope (Lake Success, NY). Photographs were taken with an Olympus color chilled 3CCD camera M-3204C-10. Confocal images were acquired by using a Laser Scanning Microscope (LSM510; Zeiss, Jena, Germany).
Purification of Lipid Rafts by a Flotation Assay
Purification of lipid rafts was performed as described (Mari et al., 2001). Briefly, cells (2 preconfluent 100-mm dishes) were lysed in 300 μl of ice-cold buffer containing 25 mM Tris-HCl, pH 7.5, 150 mM NaCl, 5 mM EGTA (TNE buffer), and 1% Triton X-100 and protease inhibitors. After 1 h at 4°C, sucrose was added to get a 40% (wt/vol) solution. This mixture (1 ml) was sequentially overlaid with 2.6 ml of 30% (wt/vol) sucrose and 1.3 ml of 4% sucrose and centrifuged at 200,000 × g for 16 h in P55ST2 rotor (Hitachi Co. Ltd., Tokyo, Japan). Fractions (500 μl) were recovered from the top of the tube and analyzed by SDS-PAGE and Western blotting for anti-DMT1 N pAb or anticaveolin pAb.
RESULTS
Both DMT1A and DMT1B Transformants Can Complement the Phenotypes of a Fission Yeast DMT1 Orthologue Mutant in the Same Level
DMT1 (formerly called NRAMP2, DCT1) is an integral membrane protein, that possesses 12 putative transmembrane domains and 2 potential glycosylation sites as shown in Figure 1A. Two isoforms of DMT1 present in mammalian cells result from the alternative splicing of a single gene product (Lee et al., 1998). The two polypeptides share 543 residues on the N-terminal end but are diverge in the C-terminal cytoplasmic regions. We herein refer to the former as DMT1A and to the latter as DMT1B. The DMT1A transcript contains an IRE motif in the 3′-UTR, whereas that of DMT1B lacks this IRE motif (Figure 1B). So far, little has been known about the functional differences between the two DMT1 isoforms.
Figure 1.
Alternative splicing of DMT1 generates two isoforms in mammalian cells. (A) Predicted secondary structure of DMT1. DMT1 is an integral membrane protein, which consists of 12 putative transmembrane domains and two potential glycosylation sites. (B) Two isoforms of DMT1 mRNA are resulted from alternative splicing of a single gene product in mammalian cells. The two polypeptides share 543 residues on the N-terminal end but differ primarily in the last 18 or 25 C-terminal residues. We refer to the former as DMT1A and to the latter as DMT1B. The DMT1A transcript contains an iron response element (IRE) motif in the 3′-noncoding region, whereas that of DMT1B lacks this IRE motif.
The fission yeast pdt1+ gene is a putative orthologue of the mammalian DMT1 gene and its disruptant, pdt1Δ, cannot grow in the presence of a divalent cation chelator, EGTA at concentrations >2.5 mM or in the medium of pH >6.4 (Tabuchi et al., 1999). We previously reported that expression of the human DMT1A gene in pdt1Δ restores the sensitivity to EGTA and high pH (Tabuchi et al., 1999). To investigate whether both DMT1 isoforms exhibit a similar divalent metal ion transport activity, we performed the complementation assay of the pdt1Δ with either DMT1A or DMT1B. As shown in Figure 2A, complementation of both EGTA and pH sensitivity in pdt1Δ was observed with DMT1A and DMT1B to a similar extent the pdt1+ control. DMT1A and DMT1B proteins were expressed in pdt1Δ cells at a comparable level as conformed by Western blot analysis (Figure 2B). These results suggest that the two DMT1 isoforms have an equivalent level of divalent metal ion transport activity.
Figure 2.
Functional analysis of DMT1A and DMT1B expressed in the fission yeast. (A) Complementation assay of the fission yeast divalent metal transporter-disrupted strain, pdt1Δ, with DMT1A and DMT1B. The fission yeast strain pdt1Δ is sensitive to both EGTA and high pH. These phenotypes were complemented by the transformation with DMT1A and DMT1B. (B) Detection of DMT1A and DMT1B proteins expressed in the fission yeast pdt1Δ. The fission yeast strain pdt1Δ was transformed with the pFML3 expression vector alone (vector) or pFLM3 containing full-length ORF of DMT1A or DMT1B. Membrane fractions were prepared from each transformant and separated by 10% SDS-PAGE, before being analyzed by immunoblotting with the anti-DMT1 N pAb.
Expression of DMT1 Isoforms in Various Cultured Human Cell Lines
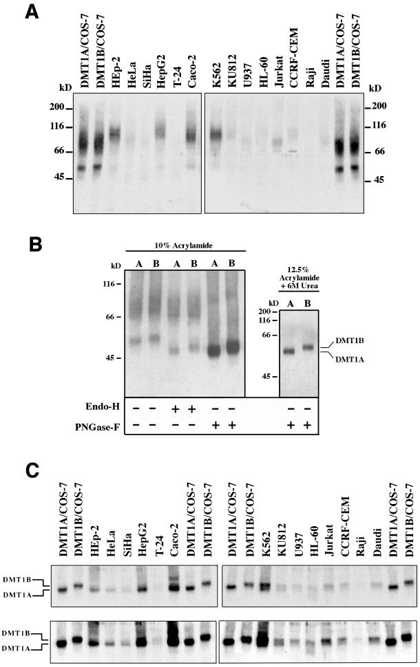
Given that the metal ion transport function of two DMT1 isoforms is similar, it is possible that their site of action is different. To address this possibility, we first tried to investigate the expression pattern of each DMT1 isoforms in various human cultured cell lines. Using membrane fractions from various human cell lines, Western blot analysis was performed with an N-terminal–specific DMT1 polyclonal antibody (anti-DMT1 N pAb), which detects both DMT1 isoforms. As shown in Figure 3A, the antibody detected a major heterogeneously immunoreactive protein species with broad electrophoretic mobility and an apparent molecular mass of 90–116-kDa in all human cultured cell lines tested, although the level of expression varied from cell to cell. The protein was most abundant expression was observed in the larynx carcinoma cell line HEp-2, the hepatocellular carcinoma cell line HepG2, the colon adenocarcinoma cell line Caco-2, and the erythroleukemia cell line K562 cells. The protein was also detected in the membranes prepared from other human cell lines, although its expression itself is low level (Figure 3A).
Figure 3.
Expressions of the two DMT1 isoform in cultured human cell lines. (A) Crude membrane fractions were prepared from various cultured human cell lines and separated by 7.5% SDS-PAGE. Immunoblotting was performed using the anti-DMT1 N pAb (1:2000). The anti-DMT1 N pAb detected a major heterogeneous immunoreactive protein species with a broad electrophoretic mobility and an apparent molecular mass of 90–116 kDa in all tested cultured human cell lines tested. (B) Discrimination of DMT1A and DMT1B in the same gel. Left panel: Effects of glycosidase digestion with Endo-H or PNGase-F on DMT1A and B proteins. Membrane fractions from DMT1A- or DMT1B-transfected COS-7 cells were treated with Endo-H or PNGase F before being subjected to electrophoresis on a standard SDS-PAGE and immunoblotting with the anti-DMT1 N pAb. Right panel: SDS-PAGE in the presence of 6 M urea. Membrane fractions from DMT1A or DMT1B transfected COS-7 cells were treated with PNGase F before being subjected to electrophoresis on a modified gel and immunoblotting with the anti-DMT1 N pAb. The modified gel consisted of a standard stacking gel and a 12.5% polyacrylamide separating gel that contained the standard concentration of SDS and 6 M Urea. (C) Discrimination of DMT1A and DMT1B in various human cell lines.
In COS-7 cells transfected with either of DMT1 isoforms, the antibody detected two bands with the apparent molecular mass of 55 and 66–100 kDa, and the two isoforms were not readily distinguishable (Figure 3A). Glycosidase digestions of the DMT1 isoforms in COS-7 transfectants revealed that the lower and the upper bands corresponded to the immature (endoplasmic reticulum [ER]) and the fully glycosylated mature DMT1 proteins, respectively (Figure 3B, left panel). We then attempted to discriminate between DMT1A and DMT1B by standard SDS-PAGE after endoglycosydase H (Endo-H) or PNGase F treatment. As shown in the left panel of Figure 3B, both DMT1A and DMT1B were detected as a 55-kDa band and a 66–100-kDa smear in each DMT1-expressing COS-7 cells, and thus this condition fails to discriminate between the two DMT1 isoforms in the 66–100-kDa smear, although a slight difference in their mobility did shown up in 55-kDa bands. Endo-H treatment of each membrane fraction from the DMT1-expressing COS-7 resulted in a shift of the molecular mass of the lower band from each 55-kDa band to 50-kDa, but without an apparent change of the mobility of the 66–100-kDa band; in both DMT1 isoforms smears showed no change in their mobility after Endo-H treatment. By contrast, PNGase F treatment resulted in the disappearance of remarkable shift in the molecular mass of both the 55- and 66–100-kDa band smears to produce a single 50-kDa band in both DMT1 isoforms, and thus it showed that this treatment could possibly discriminate DMT1A from DMT1B. More importantly, migration of the PNGase F–digested 50-kDa band seemed slightly different between DMT1A and DMT1B. To get a clearer separation of DMT1A from DMT1B, we modified the procedure of SDS-PAGE by adding 6 M urea in the gel. As shown in the right panel of Figure 3B, both DMT1A and DMT1B bands finally became much sharper bands, and the DMT1A was now clearly distinguishable from DMT1B under this condition. Taking advantage of this method, we examined whether DMT1A and DMT1B were differentially expressed among various human cultured cell lines. Membrane fractions from each cell lines were treated with PNGase F before being subjected to SDS-PAGE containing 6 M urea and immunoblotting with the anti-DMT1 N pAb. Predominant expression of DMT1A was observed in the human epithelial cell lines (Figure 3C, left panel). On the other hand, both DMT1A and DMT1B proteins were expressed at the almost same level in the erythroleukemia cell lines K562 and KU812, although DMT1B was relatively higher in other human leukocyte cell lines (Figure 3C, right panel). This result suggested that the expression of the two DMT1 isoforms was regulated in a cell type–specific manner.
Distinct Localization of DMT1 Isoforms
It is also possible that DMT1A and DMT1B proteins function at different subcellular compartments. To determine the subcellular localization of the two isoforms in a given cell, the differentially tagged forms (red fluorescent protein [DsRed]- or green fluorescent protein [GFP]-tagged forms) of DMT1A and DMT1B were simultaneously expressed in HEp-2 cells. We have previously shown that addition of GFP does not perturb the late endosomal localization of DMT1A (Tabuchi et al., 2000). GFP-DMT1A was completely colocalized with DsRed-DMT1A, and GFP-DMT1B was also colocalized with DsRed-DMT1B, indicating that tag-polypeptides of DsRed and GFP did not affect the subcellular distributions of each DMT1 isoform (unpublished data). When GFP-DMT1B and DsRed-DMT1A were expressed simultaneously, in contrast, GFP-DMT1B was not completely colocalized with DsRed-DMT1B, although a high degree of colocalization was observed in the perinuclear area of the cells (Figure 4A). These results indicate that each DMT1 isoform is localized in distinct subcellular compartments.
Figure 4.
Localization of DMT1A and DMT1B in HEp-2 cells. (A) The two isoforms of DMT1 are localized in the distinct subcellular compartments. To examine the localization of the two DMT1 isoforms, red fluorescent protein (DsRed)-tagged DMT1A and green fluorescent protein (GFP)-tagged DMT1B were coexpressed in HEp-2 cells. Transfected HEp-2 cells were fixed and subsequently analyzed by fluorescence microscopy. Bar, 10 μm. (B) Localization of GFP-tagged DMT1A or DMT1B in HEp-2 cells. HEp-2 cells expressing GFP-DMT1A or GFP-DMT1B under the control of the cytomegalovirus promoter were incubated with (right) or without (left) nocodazole for 1 h with 5% CO2 at 37°C. They were fixed and stained with antibodies against sorting endosomal protein EEA1 (A and E, red) or early endosomal protein TfR (B and F, red) or the late endosomal/lysosomal protein, LAMP-2 (C, D, G, and H, red). Subcellular localization of GFP-DMT1A and -DMT1B was detected by native GFP fluorescence (green). The arrows indicate the transfected cells. Bar, 10 μm.
Localization of GFP-DMT1B in HEp-2 Cells
Previously, we showed that GFP-DMT1A was localized in late endosomes and lysosomes in transfected HEp-2, HeLa, and COS-7 cells (Tabuchi et al., 2000). To examine the localization of DMT1B, HEp-2 cells were transfected with GFP-DMT1B, and fixed with 4% PFA, before being stained with antibodies for several organelle markers. Colocalization was assessed by simultaneously acquiring dual-color fluorescent images with a fluorescent microscope. The yellow color in the micrograph indicates regions of colocalization between the GFP-tagged protein and the markers. GFP fluorescence was detected in vesicular structures and on the cell surface in GFP-DMT1B transfected cells (Figure 4, B–D, green signals). GFP-DMT1B was colocalized with an early endosomal marker transferrin receptor, TfR (Figure 4C) and is partly colocalized with a sorting endosomal marker early endosome antigen 1, EEA1 (Figure 4B).
In addition, some of the GFP-DMT1B seemed to partially overlap with LAMP-2 in the perinuclear region of transfected cells (Figure 4D), whereas almost all the GFP-DMT1A was colocalized with LAMP-2 (Figure 4E). To define the localization of DMT1B more clearly, we examined the distribution of GFP-DMT1B in cells in the presence of nocodazole, which causes the microtubule cytoskeleton to depolymerize. Treatment with microtubule-depolymerizing agent nocodazole strongly affected the overall organization of the early as well as late endosomal compartments. Early endosomes are dispersed in small punctate structures throughout the cytoplasm, whereas late endosomes and lysosomes are randomly scattered as the enlarged patched structures (Tabuchi et al., 2000). As shown in Figure 4, F–H, treatment with nocodazole caused the perinuclear structures of GFP-DMT1B to disperse in small punctate structures throughout the cytoplasm. The colocalization between GFP-DMT1B and TfR was still observed in these structures (Figure 4G), and GFP-DMT1B was also partly colocalized with EEA1 (Figure 4F). On the other hand, GFP-DMT1B and LAMP-2 was completely separated into the different localizations in the cell by treatment with nocodazole (Figure 4H), whereas GFP-DMT1A was completely colocalized with LAMP-2 in this condition (Figure 4I). Same results were obtained from DMT1A or DMT1B tagged with other small peptide such as FLAG-tag (unpublished data). These data revealed that DMT1B is localized in early endosomes, whereas DMT1A is localized in late endosomes and lysosomes.
The Y555XLXX-sequence of DMT1B Is Necessary for Its Early Endosomal Targeting in HEp-2 Cells
Because the difference of the amino acid sequence between DMT1A and DMT1B is only in the C-terminal cytoplasmic tail domain, a targeting determinant(s) for the differential localization of the two isoforms should be located in this domain. To examine where the targeting determinant for the distinct localization exists in the C-terminal cytoplasmic tails domains of each isoform, nested sets of C-terminal deletion mutants of DMT1A and DMT1B were constructed (Figure 5A). These mutants were tagged with GFP protein at the N-terminus in order to follow the intracellular localization of these proteins. The mutant constructs were transiently expressed in HEp-2 cells, and their localizations were determined by double staining with the native fluorescence of GFP and immunofluorescence of TfR or LAMP-2 (unpublished data). Deletion of the up to C-terminal 12 residues (Δ549-A) or 27 residues (Δ534-A) in DMT1A, which removed all but 2 residues in the cytoplasmic domain, did not affect the late endosomal and lysosomal localizations. This result indicates that the C-terminal tail domain of DMT1A does not include the late endosomal and lysosomal targeting determinant, which has to be located in an other domain of DMT1. By contrast, deleting the cytoplasmic tail of DMT1B did affect its subcellular localization. A deletion of the C-terminal 9 residues (Δ559-B) in DMT1B did not affect the early endosomal localization. However, a deletion of another residues (Δ558-B) from DMT1B resulted in the loss of early endosomal localization, and the truncated mutant DMT1B (Δ558-B) was instead localized in late endosomes and lysosomes, which was similarly to the localization of DMT1A. These results suggested that the C-terminal cytoplasmic tail of DMT1B contains a targeting determinant to the early endosomes.
Figure 5.
Mutational analysis of the C-terminal cytoplasmic domain of DMT1. (A) Amino acid sequences of the C-terminal cytoplasmic domains of wild-type and mutant DMT1A or DMT1B together with and their distribution in transient expressing HEp-2 cells. Distribution of the mutants was confirmed by native fluorescence of GFP and compared with the early endosomal marker protein, TfR and late endosomal and lysosomal marker protein, LAMP-2. LE, late endosome; Lys, lysosome; EE, early endosome. (B) Fluorescence microscopy of HEp-2 cells expressing wild-type GFP-DMT1B and its mutants. The alanine residues substituting for Y555 or L557 of DMT1B significantly affected its correct localization in nonpolarized HEp-2 cells. Bar, 10 μm.
To identify the critical amino acids for the early endosomal targeting of DMT1B, we took advantage of the alanine scanning mutagenesis approach, in which Glu553 (E553A-B), Leu554 (L554A-B), Tyr555 (Y555A-B), Leu556 (L556A-B), Leu557 (L557A-B), Asn558 (N558A-B) or Thr559 (T559A-B) was substituted with alanines by site-directed mutagenesis. Substitution of the Glu553, Leu554, Leu556, Asn558, or Thr559 with alanines did not affect the early endosomal targeting of DMT1B (Figure 6A). On the other hand, substitution of the Tyr555 or Leu557 with alanine significantly affected the early endosomal localization of DMT1B, and these mutations resulted in the mistargeting of DMT1B to late endosomes and lysosomes (Figure 5). On the basis of the results mentioned above, we concluded that the Y555XLXX sequence in the C-terminal cytoplasmic tail of DMT1B is critical for the early endosomal targeting of the DMT1B molecule.
Figure 6.
The DMT1B C-terminal cytoplasmic domain mediates early endosomal targeting. HEp-2 cells expressing wild-type Tac antigen (B, a–c) and Tac-DMT1B C-terminal fusion proteins (B, d–i) were labeled with Texas Red-transferrin endocytosed for 15 min at 37°C before being fixed and incubated with Alexa 488–labeled anti-Tac antigen mAb. Bar, 10 μm.
To further examine whether the C-terminal cytoplasmic tail domain of DMT1B actually contains a targeting signal to the early endosome, we constructed a chimeric protein in which the C-terminal cytoplasmic tail domain of DMT1B was appended to the cytoplasmic region of the interleukin-2 receptor α chain (Tac antigen), which localizes to the plasma membrane in the steady state (Figure 6A). The Tac antigen itself or the Tac-DMT1B C-terminal fusion protein was transiently expressed in HEp-2 cells, and their subcellular localizations were determined with an anti-Tac antibody. Immunofluorescence microscopic analysis revealed that Tac-DMT1B C-terminal fusion protein partly colocalized with endocytosed Texas Red-transferrin (Tf), whereas the Tac antigen was stably expressed on the cell surface, and this colocalization was further confirmed in detail by the high magnification (Figure 6B, g–i). This result further confirmed that the C-terminal cytoplasmic tail domain of DMT1B is sufficient to target the membrane molecules to early endosomes.
Localization of GFP-DMT1A and -DMT1B in Polarized MDCK Cells
Using DMT1-specific antibodies, it has been previously shown that DMT1 protein is localized in the apical plasma membrane of mouse, rat, and human duodenal enterocytes (Canonne-Hergaux et al., 1999; Yeh et al., 2000; Griffiths et al., 2000), renal thick ascending limbs of Henle's loop, distal convoluted tubules (Ferguson et al., 2001), and Caco-2 cells (Tandy et al., 2000). It has also been known that DMT1 plays a major role in dietary-iron absorption from apical plasma membrane in the duodenum (Andrews, 1999). However, it has not been clear which DMT1 isoform plays a role in this step. In addition, the apical plasma membrane–sorting mechanism of DMT1 in polarized cells remains unknown. Renal epithelial MDCK cells, which form polarized monolayers with distinct apical, basolateral, and junctional surfaces when grown on permeable filter supports, provide a useful model for studying polarized protein sorting.
We stably expressed GFP-tagged DMT1A and DMT1B in MDCK cells to compare their distributions in polarized condition. Confocal microscopic analysis performed on well-polarized MDCK cell cultures indicated that the distributions of GFP-DMT1A and -DMT1B differed from each other (Figure 7A). In the GFP-DMT1A transfectants, GFP fluorescence was only visible in focal sections taken at both the top and middle of the cells (Figure 7A, a–c). On the other hand, GFP fluorescence was visible mainly at the top of the cells in the GFP-DMT1B transfectants (Figure 7A, e–g). Vertical (xz) sections confirmed that GFP-DMT1A was expressed in the internal structures widely distributed in the cytoplasm (Figure 7A, d), whereas GFP-DMT1B was relatively restricted to the apical surface and/or subapical structures close to the apical surface (Figure 7A, h). These distributions of GFP-DMT1A and -DMT1B were reproducibly observed in several independent stable transfectants (unpublished data). As seen in HEp-2 cells, DMT1B Y555A and L557A showed a similar subcellular localization to DMT1A, whereas the L556A mutation did not affect the localization of DMT1B in polarized MDCK cells (Figure 7B). These results suggest that, in polarized MDCK cells, the same early endosomal localization signal in the C-terminal cytoplasmic tail of DMT1B is targets the DMT1 isoform to intracellular vesicular structures adjacent to the apical surface compared with DMT1A.
Figure 7.
Localization of GFP-DMT1A and -DMT1B in stably transfected polarized MDCK cells. (A) The stable GFP-DMT1A– or -DMT1B–transfected MDCK cells were grown on Transwell filters before being fixed with paraformaldehyde and permeabilized. Subcellular localization of GFP-DMT1A and -DMT1B was detected by native GFP fluorescence (green). Nuclei were stained with propidium iodide (red). Pictures are a sum of 0.3-μm confocal microscopy sections from the top, middle, and bottom of the cell layers. Bar, 20 μm. (B) Confocal microscopy of MDCK cells expressing wild-type GFP-DMT1A and -DMT1B or -DMT1B C-terminal cyptoplasmic domain mutants. Bar, 20 μm. (C) Cell surface biotinylation of polarized MDCK cells. Stably transfected MDCK cells were grown on Transwell filters for 5 d. Sulfo-NHS-biotin was used to selectively label the apical (Ap) or basolateral (Bl) surfaces. The cells were extracted with RIPA buffer, and the supernatants were precipitated with streptavidin-agarose. Precipitates were analyzed by SDS-PAGE and Western blotting with anti-DMT1 N pAb. (D) Quantitation of the amount of biotinylated proteins of the wild-type DMT1 isoforms was performed by NIH-image software (mean ± SD of three experiments).
We further corroborated the cell-surface expression of the DMT1 proteins in polarized MDCK cells by selective biotinylation of proteins on the apical or basolateral cell surface. To compare the amount of protein present on the cell surface with the amount of protein accumulated within the cells at steady state, the protein recovered with avidin-beads was estimated as the biotinylated surface proteins and the proteins recovered with excess amount of anti-DMT1 N pAb-immobilized beads as the total DMT1 protein. The recovered proteins in both fractions were analyzed on Western blots and quantified using the NIH Image software. As seen in Figure 7C, surface biotinylation detected both GFP-DMT1A and DMT1B were predominantly detected on the apical surface at a comparable amount. The same results were obtained from the untagged form of both DMT1 isoforms (unpublished data). Quantification showed that ∼80% of the cell-surface DMT1 proteins was apically expressed (Figure 7D), although the majority of the total immunoprecipitable DMT1 proteins (>80%) was found to be located intracellularly (unpublished data). These results show that both DMT1 isoforms express predominantly on the apical domain in MDCK cells.
Apical Transport of DMT1 Isoforms Is Dependent on N-glycan and Does Not Correlate with Detergent Insolubility
Both N- and O-glycans have been suggested to play a role in apical protein sorting. Removal of N-glycans by tunicamycin treatment or site-directed mutagenesis from several apical glycoproteins results in random sorting to both apical and basolateral surfaces (Fiedler and Simons, 1995; Rodriges-Boulan and Gonzalez, 1999). To examine the role of N-glycans in the polarized distribution to the apical plasma membrane of each DMT1 isoforms, we made N-glycosylation mutants of each DMT1 isoform in which serine in N336TS and threonine in N349ST sequences were substituted simultaneously with alanine by site-directed mutagenesis, and the proteins were also GFP-tagged at the N-terminus. By Western blot analysis, we confirmed that neither of the GFP-tagged DMT1 N-glycosylation mutant proteins was glycosylated (Figure 8A). To examine if the N-glycosylation–defective mutation affects subcellular localization of the DMT1 isoforms in HEp-2 cells, the mutants were transiently expressed in HEp-2 cells, and their localizations were examined for colocalization with endosomal marker antibodies. As seen in Figure 8B, immunofluorescence microscopic analysis revealed that each N-glycosylation mutant of the both DMT1 isoforms was correctly localized in its respective specific-endosomes. This result shows that N-glycans of the DMT1 isoforms are not necessary for their correct endosomal localizations.
Figure 8.
Disruption of N-glycosylation sites in the DMT1 isoforms does not affect their correct endosomal localization in HEp-2 cells, but affects their polarized distribution in MDCK cells. (A) Western blot analysis of GFP-tagged wild-type and N-glycosylation mutant proteins of the DMT1 isoforms with anti-DMT1 N pAb. (B) Localization of GFP-tagged N-glycosylation mutants of the DMT1 isoforms in HEp-2 cells. HEp-2 cells expressing GFP-tagged N-glycosylation mutants of the two DMT1 isoforms were fixed and incubated with anti–LAMP-2 mAb or anti-TfR mAb followed by incubation with the Alexa 594–labeled anti-mouse IgG antibody. Bar, 10 μm. (C) Cell surface biotinylation of polarized MDCK cells. Filter grown MDCK cells expressing N-glycosylation mutant proteins of the DMT1 isoforms were biotinylated either at the apical surface (Ap) or at the basolateral surface (Bl) at 4°C. After biotinylation, the lysates were precipitated with avidin-agarose and separated by SDS-PAGE before being analyzed by Western blotting with anti-DMT1 N pAb. (D) Quantitation of the amount of biotinylated proteins of the N-glycosylation mutant DMT1 isoforms was performed by NIH-image software (mean ± SD of three experiments).
We next examined the subcellular distribution of the N-glycosylation mutant proteins of DMT1 isoforms in polarized MDCK cells by the selective surface-biotinylation assay. The majority of the N-glycosylation mutant proteins for both DMT1 isoforms remained intracellular, as observed for the wild-type DMT1 isoforms. Significantly, both N-glycosylation mutant proteins of both DMT1 isoforms were no longerdetected apically restricted but were instead found on both the apical and basolateral surfaces at equivalent levels (Figure 8C), when the distribution of surface-expressed fraction was examined (Figure 8D). These results suggest that the N-glycans of the DMT1 isoforms plays a critical role in the polarized sorting of the molecules to the apical plasma membrane.
Another typical feature of apical membrane proteins is the inclusion in sphingolipid rafts (Simons and Ikonen, 1997), which sometimes depends on the presence of glycans (Alfalaf et al., 1999). MDCK cells expressing GFP-tagged wild-type DMT1A and N-glycosylation mutant DMT1A were lysed on ice with 1% Triton X-100, and the distribution of the protein was examined along with the gradient. The results showed that in these assay conditions, only a small fraction of both wild-type and N-glycosylation mutant DMT1A or DMT1B was found in the detergent-resistant fractions, as identified by the presence of caveolin, a cholesterol-binding protein associated with the rafts (unpublished data). Because no significant difference between wild-type and N-glycosylation mutant DMT1A or DMT1B was observed in this fractionation analysis, it indicates that apical sorting of the DMT1 isoforms is dependent on its N-glycan and is not related to sphingolipid rafts.
DISCUSSION
Two DMT1 isoforms are known to be generated by alternative splicing of the 3′ exons in the DMT1 gene, and they are distinguishable from each other by differences in the C-terminal amino acid sequences of the 3′ end of the coding regions corresponding to the C-terminal cytoplasmic domains and by the presence or absence of an IRE located in the 3′-UTR. However, little has been known about whether the differences between the two DMT1 isoforms are functionally important. In this article, we show that two DMT1 isoforms each exhibit a cell type–specific expression patterns and have distinct subcellular localizations. We also identify a novel early endosome-targeting determinant in the C-terminal cytoplasmic tail of DMT1B.
Cell Type–specific Expression and Distinct Localization of the Two DMT1 Isoforms
Western blot analysis using urea-SDS-PAGE of deglycosylated membrane fractions from various human cell lines revealed that epithelial cell lines predominantly express DMT1A protein, whereas leukocyte cell lines express both two isoforms (Figure 3). In nonpolarized HEp-2 cells, GFP-DMT1A is localized in late endosomes and lysosomes, whereas GFP-DMT1B is localized in early endosomes (Figure 4B). These results are consistent with our previous report showing that the endogenous DMT1 stained with affinity-purified DMT1 N pAb is localized in late endosomes and lysosomes in HEp-2 cells (Tabuchi et al., 2000), which predominantly expresses the DMT1A isoform. Furthermore, our present results seem to provide a simple explanation for the discrepancy in the subcellular localization between human DMT1 (Tabuchi et al., 2000) and mouse Dmt1 (Su et al., 1998; Gruenheid et al., 1999).
We have reported that GFP-tagged human DMT1 or endogenous DMT1 in HEp-2 cells is localized in late endosomes and lysosomes (Tabuchi et al., 2000). On the other hand, Gruenheid et al. (1999) and Su et al. (1998) have reported that epitope-tagged mouse Dmt1 expressed in CHO or HEK293 cells is localized in early endosomes with endocytosed transferrin. Comparison of the sequences revealed that the initially reported human DMT1 cDNA (Kishi and Tabuchi, 1997), which was used in Tabuchi et al. (2000), encoded the DMT1 isoform, whereas the mouse Dmt1 cDNA (Gruenheid et al., 1997) used in Gruenheid et al. (1999) and Su et al. (1998) encoded the DMT1B isoform. Furthermore, HEp-2 cells predominantly express DMT1A isoform. Taken together, the discrepancy of the subcellular localization observed between human and mouse DMT1 proteins in these reports is likely due to the differences between the two DMT1 isoforms. Canonne-Hergaux et al. have recently reported that DMT1A, but not DMT1B, is expressed in the absorptive epithelial cells of the duodenum (Canonne-Hergaux et al., 1999), whereas DMT1B is expressed in immature erythroid precursors of red blood cells (Canonne-Hergaux et al., 2001). Our present results obtained from Western blot analysis of human cultured cell lines are in good agreement with these results.
Localization of DMT1 Isoforms in Polarized MDCK Cells
In polarized MDCK cells, GFP-DMT1B is localized mainly in intracellular structures underneath the apical surface, whereas GFP-DMT1A is localized in perinuclear vesicular structures (Figure 8). It is known that polarized epithelial cells such as MDCK or Caco-2 cells have additional complexity in the endosomal compartments because they are capable of endocytosing macromolecules from either their apical or basolateral plasma membrane domains (Bomsel et al., 1989). In polarized MDCK cells, early endosomes are divided into two distinct populations: the peripheral basolateral early endosomes (BEE) that underlies the basolateral cell surface (up to the level of the tight junctions), and the apical early endosomes (AEE) that lie between the apical plasma membrane and the Golgi complex (Bomsel et al., 1989; Parton et al., 1989). The late endosomes and lysosomes are found in perinuclear regions at the cytoplasm of the apical side in MDCK cells (Bomsel et al., 1989). On the basis of the result from localization analyses of the DMT1 isoforms in nonpolarized HEp-2 cells and the current understanding of the endosomal system in polarized MDCK cells, we suppose that the vesicular structures close to the apical plasma membrane observed in GFP-DMT1B-expressing MDCK cells represent the AEE but not the BEE, and the perinuclear vesicular structures observed in GFP-DMT1A-expressed MDCK cells represent the late endosomes and lysosomes.
Targeting Signals on DMT1 Molecules
From the mutational analysis of the DMT1B C-terminal domain, we have identified a novel early endosomal targeting signal, Y555XLXX (Figure 5). We have also shown that a short cytoplasmic tail containing the last 36 amino acids of DMT1B is sufficiently to target a plasma membrane protein, Tac antigen as a reporter, to early endosomes (Figure 6). The Y555XLXX targeting signal of DMT1B does not conform to the known endocytosis signals, such as tyrosine-based motifs, YXXØ (Ø: hydrophobic amino acids), and di-leucine–based motifs, LL, both of which have been identified in the endosomal-lysosomal membrane proteins including LAMP-1, TfR, low-density lipoprotein receptor, TGN-38, and mannose 6-phosphate receptors. The yeast two-hybrid system failed to detect the interaction between the C-terminal cytoplasmic domain of DMT1B and the μ1A, μ2, or μ3A subunits of the adaptor proteins complexes (unpublished data), which is known to interact with typical tyrosine-based motifs and to facilitate the transport of endosomal membrane proteins to the endosomes (Ohno et al., 1995, 1998). Further study will be required to reveal the sorting machinery involved in this novel early endosomal targeting signal Y555XLXX and an unidentified sorter protein(s). Because DMT1B is likely to be localized to the AEE in polarized MDCK cells and a mutation in Y555XLXX of DMT1B results in the mislocalization in MDCK cells, another intriguing possibility from the present study would be that the Y555XLXX signal may act as the targeting signal to the AEE in polarized cells.
Because DMT1 has been suggested to function as an endosomal iron transporter in nonintestinal cells and as an apical membrane iron transporter in intestinal enterocytes (Andrews and Levy, 1998; Andrews, 1999), it is necessary that DMT1 proteins are bidirectionally localized to both endosomes and the apical plasma membrane. We demonstrate that both DMT1 isoforms are localized in their specific endosomal compartments as well as the apical plasma membrane in polarized MDCK cells (Figure 7) and that the apical localization depends on their N-linked glycosylation (Figure 8). Oligosaccharide including O- and N-glycans can facilitate apical targeting of several apical plasma membrane proteins by several mechanisms and apical expression can fail when N-glycosylation is inhibited or abrogated by the mutation (Fiedler and Simons, 1995). It was reported in some cases that mechanisms invoked for the apical targeting include an association with sphingolipid rafts (Simons and Ikonen, 1997; Rodorigues-Boulan and Gonzalez, 1999) and N-glycosylation can promote such associations, possibly indispensable for its apical targeting of the glycosylated proteins (Alfalah et al., 1999). However, apical targeting of DMT1 proteins does not seem to be involved in a detergent-insoluble association with rafts (Figure 11). Benting et al. (1999) demonstrated that a raft association with the protein is not always sufficient to direct the protein sorting to the apical surface. Furthermore, it was recently reported that some apical plasma membrane proteins do not depend on a raft association for their apical localizations (Zheng et al., 1999; Ihrke et al., 2001; Martínez-Maza et al., 2001). Although the N-glycan–dependent sorting mechanism of apical plasma membrane proteins is yet to be fully understood, it can be assumed that DMT1 proteins may also be targeted into the apical plasma membrane by a mechanism mediated by an interaction between its N-glycans and a hypothetical lectin-like sorter protein.
Hierarchy in the Targeting Signals of DMT1 Molecules
As described above, we identified that the C-terminal cytoplasmic domain of DMT1B and N-glycans act as the early endosomal-targeting signal and the apical-targeting signal, respectively. Loss of the early endosomal-targeting signal from DMT1B results in the mis-targeting to late endosomes and lysosomes (Figure 5). This implies that a late endosomal/lysosomal-targeting signal likely exists in the other domains of the DMT1 molecule and that the early endosomal-targeting signal dominates over the putative late endosomal/lysosomal-targeting signal. Although the cell-surface expressions of both DMT1 isoforms show the polarized distribution on the apical plasma membrane, the majority (>80%) of both DMT1A and B proteins are found intracellularly (unpublished data). It is known that removal of the basolateral-targeting signals from many proteins results in their apical targeting, and this phenomenon is thought to be attributed to a weak oligosaccharide-based apical targeting signal hidden in the molecule. This implies that targeting signals are acting in a hierarchic manner (Mostov et al., 2000). In the present study, our results show that targeting signals of DMT1 in MDCK cell act hierarchically as follows: the early endosomal-targeting signal > the late endosomal/lysosomal-targeting signal > the apical plasma membrane-targeting signal.
Roles for DMT1 Isoforms in the Iron Metabolism
On the basis of our present results and the current understanding of iron acquisition in the body, we propose a schematic model for the functions of the two DMT1 isoforms in the iron absorption in nonpolarized leukocyte cell and polarized epithelial cell (Figure 9). DMT1B is predominantly expressed in leukocyte cell lines and Canonne-Hergaux et al. (2000) reported that DMT1B is expressed in erythroid precursors, where iron absorption is mediated by a Tf·TfR-dependent pathway (Ponka et al., 1998). In nonpolarized cells such as the leukocytes, DMT1B is colocalized with TfR in the early endosomes, and then DMT1B is accessible to iron released from the Tf·TfR complex. Therefore, DMT1B may function to transport the endosomal free Fe2+ from early endosomes into the cytoplasm via the Tf·TfR cycle.
Figure 9.
Model for the differential functions of DMT1A and DMT1B in the iron metabolism of nonpolarized cell and polarized epithelial cell. See DISCUSSION for a further explanation.
In contrast, DMT1A is predominantly expressed in epithelial cell lines, where iron absorption is achieved via two pathways. In polarized nonenterocytic epithelial cells, iron absorption is mediated by a Tf·TfR-dependent pathway. In such cells, plasma Fe3+·Tf binds to TfR on the basolateral surface of the cell and the Tf·TfR complexes are first endocytosed to the BEE. At a lower pH in the BEE, the iron is released from Tf, whereas the resulting apo-Tf remains bound to TfR in the acidic endosomes. The apo-Tf·TfR complex is subsequently recycled back to the basolateral surface from the BEE (Odorizzi et al., 1996; Gibson et al., 1998; Sheff et al., 1999; Brown et al., 2000). In addition, a small fraction of basolaterally internalized Tf·TfR complex has access to the AEE (Leung et al., 2000). The free Fe3+ released to the BEE is reduced to Fe2+ on the cis-side of the endosomal membrane, which is probably mediated by oxidoreductase (Núñez et al., 1990). Finally, free Fe2+ may be delivered to the late endosomes and lysosomes where it is transported into cytoplasm by DMT1A. In absorptive epithelial cells such as duodenal enterocytes and renal tubular cells, uptake of dietary iron occurs directly through the apical plasma membrane. Canonne-Hergaux et al. reported that DMT1B is not expressed in duodenal enterocytes, and most of the DMT1 expressed in such cells are DMT1A. At present, we cannot provide a clear answer as to why DMT1B is expressed in leukocytes but not in epithelial cells. However, one can speculate that, if DMT1B was expressed in polarized epithelial cells, it may not have access to Fe2+ released from the Tf·TfR complex because the majority of Fe3+ is released in the BEE, and thus Fe2+ cannot be transported from the inside of the BEE to the cytoplasm because little DMT1B was detected in the BEE. Furthermore, we speculated that the DMT1A molecule is the prototype of DMT1 molecule because its mammalian paralogue, NRAMP1, molecule is localized in late endosomes and lysosomes like DMT1A and that DMT1B was evolutionarily generated by the acquisition of the exon 17 that contains the early endosomal targeting signal. The early endosomal localization of DMT1B may have an advantage in that the iron transport by DMT1B molecule in early endosomes is more effective than that by DMT1A molecule in late endosomes and lysosomes on the Tf·TfR-dependent iron acquisition in blood cells such as erythroid cells. We also consider that this localization of DMT1B may be functionally important in other polarized cells such as neurons. It was reported that a loss of function mutation of the Drosophila DMT1 homologue, malvolio, was found in flies with aberrant taste behavior (Rodrigues et al., 1995), and the behavior was suppressed by treatment with iron or manganese (Orgad et al., 1998). This indicates the functional importance of DMT1 in the nervous system such as taste sensory neurons. Interestingly, DMT1B has PDZ target motifs (S564-X-V) in its C terminus. It is known that many surface proteins have this motifs in the C-terminal region, which is thought to be recognized by the modular protein-binding sites called the PDZ domain found in membrane-associated proteins (Saras and Heldin, 1996), and these interactions are important for their function in polarized neurons and epithelial cells. Taken together, one could presume that DMT1B may have additional function(s) in neurons. Further study is necessary to elucidate the function of DMT1 in neurons.
In conclusion, we have shown that alternative splicing regulates DMT1 localization in the cell. It was reported that many integral and peripheral membrane proteins change their localizations by the cell type–specific alternative splicing resulting in the formation of various isoforms (Hui et al., 1997; Adair-Kirk et al., 1999; Quiñones et al., 1999; Trotter et al., 1999). It has been suggested that the distinct localization among their alternative splicing isoforms may regulate their function in different cell types. We propose that the cell type–specific expression patterns and distinct subcellular localizations of DMT1 isoforms may regulate iron transport from distinct subcellular membranes in different cell types.
ACKNOWLEDGMENTS
We thank Dr. Tamotsu Yoshimori for his helpful discussions and for the kind gift of anti-TfR and Dr. Yoichi Mizukami and Dr. Kaoru Takegawa for helpful discussions. We thank Dr. Tatehiko Tanaka for help with the use of the confocal microscopy and also Toshio Matsui, Fujirebio Inc., Japan for helping us to amplify the mouse mAb. We are grateful to Dr. Taiho Kanbe for providing the MDCK type II cell line and Prof. Michio M. Kawano for giving us the opportunity to perform this research. We thank Sachiyo Gondo, Kaori Shibata, and Ryoko Ikuta for their excellent assistance. The mAb H4B4, developed by Drs. J. E. K. Hildreth and J. T. August, was obtained from the Developmental Studies Hybridoma Bank developed under the auspices of the NICHD and maintained by The University of Iowa, Department of Biological Sciences, Iowa City, IA 52242. This work was supported in part by a grant-in aid for scientific research from the Ministry of Education, Science, Sports and Culture of Japan (to M.T.) and also partly supported by a Sasagawa Scientific Research Grant from The Japan Science Society.
Abbreviations used:
- DMT1
divalent metal transporter
- NRAMP
natural resistance-associated macrophage protein
- GFP
green fluorescent protein
- MDCK
Madin-Darby Canine Kidney
- LAMP
lysosomal-associated membrane protein
- Tf
transferrin
- TfR
transferrin receptor
- EEA1
early endosome antigen 1
- pAb
polyclonal antibody
- mAb
mAb
- PNGase F
peptide N-glycosidase F
- PFA
paraform-aldehyde
- BEE
basolateral early endosome
- AEE
apical early endosome
- LE
late endosome
- EE
early endosome
- Lys
lysosome
- ARE
apical recycling endosome
- CE
common endosome
Footnotes
Article published online ahead of print. Mol. Biol. Cell 10.1091/mbc.E02–03–0165. Article and publication date are at www.molbiolcell.org/cgi/doi/10.1091/mbc.E02–03–0165.
REFERENCES
- Adair-Kirk T, Cox KH, Cox JV. Intracellular trafficking of variant chicken kidney AE1 anion exchangers: role of alternative NH2 termini in polarized sorting and Golgi recycling. J Cell Biol. 1999;147:1237–1248. doi: 10.1083/jcb.147.6.1237. [DOI] [PMC free article] [PubMed] [Google Scholar]
- Alfalh M, Jacob R, Preuss U, Zimmer KP, Naim H, Naim HY. O-linked glycans mediate apical sorting of human intestinal sucrase-isomaltase through association with lipid rafts. Curr Biol. 1999;9:593–596. doi: 10.1016/s0960-9822(99)80263-2. [DOI] [PubMed] [Google Scholar]
- Andrews NC, Levy JE. Iron is hot: an update on the pathophysiology of hemochromatosis. Blood. 1998;92:1845–1851. [PubMed] [Google Scholar]
- Andrews NC. Disorders of iron metabolism. New Engl J Med. 1999;341:1986–1995. doi: 10.1056/NEJM199912233412607. [DOI] [PubMed] [Google Scholar]
- Andrews NC. Iron homeostasis: insights from genetics and animal models. Nat Rev Genet. 2000;1:208–217. doi: 10.1038/35042073. [DOI] [PubMed] [Google Scholar]
- Benting JH, Rietveld AG, Simons K. N-Glycans mediate the apical sorting of a GPI-anchored, raft-associated protein in Madin-Darby canine kidney cells. J Cell Biol. 1999;146:313–320. doi: 10.1083/jcb.146.2.313. [DOI] [PMC free article] [PubMed] [Google Scholar]
- Bomsel M, Prydz K, Parton RG, Gruenberg J, Simons K. Endocytosis in filter-grown Madin-Darby canine kidney cells. J Cell Biol. 1989;109:3243–3258. doi: 10.1083/jcb.109.6.3243. [DOI] [PMC free article] [PubMed] [Google Scholar]
- Bothwell TH, Charlton RW. Absorption of iron. Annu Rev Med. 1970;21:145–156. doi: 10.1146/annurev.me.21.020170.001045. [DOI] [PubMed] [Google Scholar]
- Canonne-Hergaux F, Gruenheid S, Govoni G, Gros P. Cellular and subcellular localization of the Nramp2 iron transporter in the intestinal brush border and regulatory by dietary iron. Blood. 1999;93:4406–4417. [PubMed] [Google Scholar]
- Canonne-Hergaux F, Fleming MD, Levy JE, Gauthier S, Ralph T, Picard V, Andrews NC, Gros P. The Nramp2/DMT1 iron transporter is induced in the duodenum of microcytic anemia mk mice but is not properly targeted to the intestinal brush border. Blood. 2000;96:3964–3970. [PubMed] [Google Scholar]
- Canonne-Hergaux F, Zhang AS, Ponka P, Gros P. Characterization of the iron transporter DMT1 (NRAMP2/DCT1) in red blood cells of normal and anemic mk/mk mice. Blood. 2001;98:3823–3830. doi: 10.1182/blood.v98.13.3823. [DOI] [PubMed] [Google Scholar]
- Edwards A, Hoke JE. Red cell iron uptake in hereditary microcytic anemia. Blood. 1975;46:381–388. [PubMed] [Google Scholar]
- Ferguson CJ, Wareing M, Ward DT, Green R, Smith CP, Riccardi D. Cellular localization of divalent metal transporter DMT-1 in rat kidney. Am J Physiol Renal Physiol. 2001;280:F803–F814. doi: 10.1152/ajprenal.2001.280.5.F803. [DOI] [PubMed] [Google Scholar]
- Fiedler K, Simons K. The role of N-glycans in the secretory pathway. Cell. 1995;81:309–312. doi: 10.1016/0092-8674(95)90380-1. [DOI] [PubMed] [Google Scholar]
- Fleming MD, Trenor CC, III, Su MA, Foernzler D, Beier DR, Dietrich WF, Andrews NC. Microcytic anemia mice have a mutation in Nramp2, a candidate iron transporter gene. Nat Genet. 1997;27:383–386. doi: 10.1038/ng0897-383. [DOI] [PubMed] [Google Scholar]
- Fleming MD, Romano MA, Su MA, Garrick LM, Garrick MD, Andrews NC. Nramp2 is mutated in the anemic Belgrade (b) rat: evidence of a role for Nramp2 in endosomal iron transport. Proc Natl Acad Sci USA. 1998;95:1148–1153. doi: 10.1073/pnas.95.3.1148. [DOI] [PMC free article] [PubMed] [Google Scholar]
- Griffiths WJ, Kelly AL, Smith SJ, Cox TM. Localization of iron transporter and regulatory proteins in human cells. Q J Med. 2000;93:575–587. doi: 10.1093/qjmed/93.9.575. [DOI] [PubMed] [Google Scholar]
- Gruenheid S, Pinner E, Desjardins M, Gros P. Natural resistance to infection with intracellular pathogens: the Nramp1 protein is recruited to the membrane of the phagosome. J Exp Med. 1997;185:717–730. doi: 10.1084/jem.185.4.717. [DOI] [PMC free article] [PubMed] [Google Scholar]
- Gruenheid S, Canonne-Hergaux F, Gauthier S, Hackam DJ, Grinstein S, Gros P. The iron transport protein NRAMP2 is an integral membrane glycoprotein that colocalized with transferrin in recycling endosomes. J Exp Med. 1999;189:831–841. doi: 10.1084/jem.189.5.831. [DOI] [PMC free article] [PubMed] [Google Scholar]
- Gunshin H, Mackenzie B, Berger UV, Gunshin Y, Romero MF, Boron WF, Nussberger S, Gollan JL, Hediger MA. Cloning and characterization of a mammalian proton-coupled metal-ion transporter. Nature. 1997;388:482–488. doi: 10.1038/41343. [DOI] [PubMed] [Google Scholar]
- Hui N, Nakamura N, Sönnichsen B, Shima DT, Nilsson T, Warren G. An isoform of the Golgi-t-SNARE, Sntaxin 5, with an endoplasmic reticulum retrieval signal. M Biol Cell. 1997;8:1777–1787. doi: 10.1091/mbc.8.9.1777. [DOI] [PMC free article] [PubMed] [Google Scholar]
- Ihrke G, Bruns JR, Lzio JP, Weisz OA. Competing sorting signals guide endolyn along a novel route to lysosomes in MDCK cells. EMBO J. 2001;20:6256–6264. doi: 10.1093/emboj/20.22.6256. [DOI] [PMC free article] [PubMed] [Google Scholar]
- Ikonen E, Simons K. Protein and lipid sorting from the trans-Golgi network to the plasma membrane in polarized cells. Semin Cell Dev Biol. 1998;9:503–509. doi: 10.1006/scdb.1998.0258. [DOI] [PubMed] [Google Scholar]
- Lee PL, Gelbart T, West C, Holloran C, Beutler E. The human Nramp2 gene: characterization of the gene structure, alternative splicing, promoter region and polymorphisms. Blood Cells Mol Dis. 1998;24:199–215. doi: 10.1006/bcmd.1998.0186. [DOI] [PubMed] [Google Scholar]
- Mari M, Macia E, Marchand-Brustel YL, Cormont M. Role of the FYVE finger and the RUN domain for the subcellular localization of Rabip4. J Biol Chem. 2001;276:42501–42508. doi: 10.1074/jbc.M104885200. [DOI] [PubMed] [Google Scholar]
- Martínez-Maza R, Poyatos I, López-Corcuera B, Núñez E, Giménez C, Zafra F, Aragón C. The role of N-glycosylation in transport to the plasma membrane and sorting of the neuronal glycine transporter GLYT2. J Biol Chem. 2001;276:2168–2173. doi: 10.1074/jbc.M006774200. [DOI] [PubMed] [Google Scholar]
- Mostov KE, Verges M, Altschuler Y. Membrane traffic in polarized epithelial cells. Curr Opin Cell Biol. 2000;12:483–490. doi: 10.1016/s0955-0674(00)00120-4. [DOI] [PubMed] [Google Scholar]
- Ohno H, Aguilar RC, Yeh DY, Taura D, Saito T, Bionifacino JS. The medium subunits of adaptor complexes recognized distinct but overlapped sets of tyrosine-based sorting signals. J Biol Chem. 1998;273:25915–25921. doi: 10.1074/jbc.273.40.25915. [DOI] [PubMed] [Google Scholar]
- Ohno H, et al. Interaction of tyrosine-based sorting signals with clathrin-associated proteins. Science. 1995;269:1872–1875. doi: 10.1126/science.7569928. [DOI] [PubMed] [Google Scholar]
- Picard V, Govoni G, Jabado N, Gros P. Nramp2 (DCT1/DMT1) expressed at the plasma membrane transports iron and other divalent cations into a calcein-accessible cytoplasmic pool. J Biol Chem. 2000;275:35738–35745. doi: 10.1074/jbc.M005387200. [DOI] [PubMed] [Google Scholar]
- Ponka P, Beaumont C, Richardson DR. Function and regulation of transferrin and ferritin. Semin Hematol. 1998;35:35–54. [PubMed] [Google Scholar]
- Oates PS, Morgan EH. Defective iron uptake by the duodenum of Belgrade rats fed diets of different iron contents. Am J Physiol. 1996;270:G826–G832. doi: 10.1152/ajpgi.1996.270.5.G826. [DOI] [PubMed] [Google Scholar]
- Orgad S, Nelson H, Segal D, Nelson N. Metal ions suppress the abnormal taste behavior of the Drosophila mutant. malvolio. J Exp Biol. 1998;201:115–120. doi: 10.1242/jeb.201.1.115. [DOI] [PubMed] [Google Scholar]
- Quiñones B, Riento K, Olkkonen VM, Hardy S, Bennett MK. Syntaxin 2 splice variants exhibit differential expression patterns, biochemical properties and subcellular localizations. J Cell Sci. 1999;112:4291–4304. doi: 10.1242/jcs.112.23.4291. [DOI] [PubMed] [Google Scholar]
- Rodorigez-Boulan E, Powell SK. Polarity of epithelial and neuronal cells. Annu Rev Cell Biol. 1992;8:395–427. doi: 10.1146/annurev.cb.08.110192.002143. [DOI] [PubMed] [Google Scholar]
- Rodoguez-Boulan E, Gonzarez A. Glycans in post-Golgi apical targeting: sorting signals or structural props? Trends Cell Biol. 1999;9:291–294. doi: 10.1016/s0962-8924(99)01595-0. [DOI] [PubMed] [Google Scholar]
- Rodrigues V, Cheah PY, Ray K, Chia W. malvolio, the Drosophila homologue of mouse NRAMP-1 (Bcg), is expressed in macrophages and in the nervous system and is required for normal taste behavior. EMBO J. 1995;14:3007–3020. doi: 10.1002/j.1460-2075.1995.tb07303.x. [DOI] [PMC free article] [PubMed] [Google Scholar]
- Saras J, Heldin CH. PDZ domains bind carboxy-terminal sequences of target proteins. Trends Biochem Sci. 1996;21:455–458. doi: 10.1016/s0968-0004(96)30044-3. [DOI] [PubMed] [Google Scholar]
- Simons K, Ikonen E. Functional rafts in cell membranes. Nature. 1997;387:569–572. doi: 10.1038/42408. [DOI] [PubMed] [Google Scholar]
- Su MA, Trenor CC, Fleming JC, Fleming MD, Andrews NC. The G185R mutation disrupts function of the iron transporter Nramp2. Blood. 1998;92:2157–2163. [PubMed] [Google Scholar]
- Tabuchi M, Yoshida T, Takegawa K, Kishi F. Functional analysis of the human NRAMP family expressed in fission yeast. Biochem J. 1999;344:211–219. [PMC free article] [PubMed] [Google Scholar]
- Tabuchi M, Yoshimori T, Yamaguchi K, Yoshida T, Kishi F. Human NRAMP2/DMT1, which mediates iron transport across endosomal membranes, is localized to late endosomes and lysosomes in HEp-2 cells. J Biol Chem. 2000;275:22220–22228. doi: 10.1074/jbc.M001478200. [DOI] [PubMed] [Google Scholar]
- Tandy S, Williams M, Leggett A, Lopez-Jimenez M, Dedes M, Ramesh B, Srai SK, Sharp P. Nramp2 expression is associated with pH-dependent iron uptake across the apical membrane of human intestinal Caco-2 cells. J Biol Chem. 2000;275:1023–1029. doi: 10.1074/jbc.275.2.1023. [DOI] [PubMed] [Google Scholar]
- Trotter KW, Fraser IDC, Scott GK, Stutts MJ, Scott JD, Milgram SL. Alternative splicing regulates the subcellular localization of A-kinase anchoring protein 18 isoforms. J Cell Biol. 1999;147:1481–1492. doi: 10.1083/jcb.147.7.1481. [DOI] [PMC free article] [PubMed] [Google Scholar]
- Vidal SM, Malo D, Vogan K, Skamene E, Gros P. Natural resistance to infection with intracellular parasites: isolation of a candidate for Bcg. Cell. 1993;73:469–85. doi: 10.1016/0092-8674(93)90135-d. [DOI] [PubMed] [Google Scholar]
- Vidal S, Belouchi AM, Cellier M, Beatty B, Gros P. Cloning and characterization of a second human NRAMP gene on chromosome 12q13. Mamm Genome. 1995;6:224–230. doi: 10.1007/BF00352405. [DOI] [PubMed] [Google Scholar]
- Yeh K-Y, Yeh M, Watkins JA, Rodriguez-Paris J, Glass J. Dietary iron induces rapid changes in rat intestinal divalent metal transporter expression. Am J Physiol Gastrointest Liver Physiol. 2000;279:G1070–G1079. doi: 10.1152/ajpgi.2000.279.5.G1070. [DOI] [PubMed] [Google Scholar]
- Yoshimori T, Shimonishi Y, Uchida T. Binding properties of monoclonal antibody to the cytoplasmic domain of transferrin receptor. Cell Struct Funct. 1988;13:311–324. doi: 10.1247/csf.13.311. [DOI] [PubMed] [Google Scholar]
- Zheng X, Lu D, Sadler JE. Apical sorting of bovine enteropeptidase does not involve detergent-resistant association with sphingolipid-cholesterol rafts. J Biol Chem. 1999;274:1596–1605. doi: 10.1074/jbc.274.3.1596. [DOI] [PubMed] [Google Scholar]












