Abstract
The thrombogenic mechanism of arterial grafts has been studied by determining the relative utilization of platelets, fibrinogen and plasminogen by human arterial prostheses, and by direct examination of arterial grafts in a baboon model. Forty-one survival and turnover measurements of 51Crplatelets, 131I-fibrinogen and 125I-plasminogen in ten patients with aortofemoral knitted Dacron prostheses demonstrated platelet consumption after graft placement (platelet survival 4.2 days ± 0.5 and turnover 68,000 plat/ul/day ±10,000 compared with 8.2 days ± 0.3 and 35,000 plat/ul/day ± 5,000 respectively for control subjects with stable vascular disease, p < 0.01). In vitro platelet function test results were normal. Platelet consumption was interrupted by dipyridamole or a combination of dipyridamole and acetylsalicylic acid, and platelet survival normalized spontaneously during nine months postoperatively. No significantly increased consumption of fibrinogen or plasminogen was found in these patients with arterial grafts.
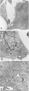
Placement of impervious knitted Dacron velour aortic grafts in baboons reproduced platelet consumption that progressively normalized over six weeks postoperatively. Platelet survival measurements correlated directly with endothelial cell coverage of the graft luminal surface in these animals implying that endothelialization of the graft surface was also occurring postoperatively in patients.
Full text
PDF







Images in this article
Selected References
These references are in PubMed. This may not be the complete list of references from this article.
- BORN G. V., CROSS M. J. THE AGGREGATION OF BLOOD PLATELETS. J Physiol. 1963 Aug;168:178–195. doi: 10.1113/jphysiol.1963.sp007185. [DOI] [PMC free article] [PubMed] [Google Scholar]
- Berger K., Sauvage L. R., Rao A. M., Wood S. J. Healing of arterial prostheses in man: its incompleteness. Ann Surg. 1972 Jan;175(1):118–127. doi: 10.1097/00000658-197201000-00018. [DOI] [PMC free article] [PubMed] [Google Scholar]
- Bowie E. J., Owen C. A., Jr, Thompson J. H., Jr, Didisheim P. A test of platelet adhesiveness. Mayo Clin Proc. 1969 May;44(5):306–308. [PubMed] [Google Scholar]
- Bull B. S., Schneiderman M. A., Brecher G. Platelet counts with the Coulter counter. Am J Clin Pathol. 1965 Dec;44(6):678–688. doi: 10.1093/ajcp/44.6.678. [DOI] [PubMed] [Google Scholar]
- DEBAKEY M. E., ABBOTT J. P., O'NEAL R. M., ADAMS G., JORDAN G. L., Jr ENDOTHELIAL LINING OF A HUMAN VASCULAR PROSTHESIS. Cardiovasc Res Cent Bull. 1964 Jul-Sep;24:7–12. [PubMed] [Google Scholar]
- DEBAKEY M. E., JORDAN G. L., Jr, ABBOTT J. P., HALPERT B., O'NEAL R. M. THE FATE OF DACRON VASCULAR GRAFTS. Arch Surg. 1964 Nov;89:757–782. [PubMed] [Google Scholar]
- DEBAKEY M. E., JORDAN G. L., Jr, BEALL A. C., Jr, O'NEAL R. M., ABBOTT J. P., HALPERT B. BASIC BIOLOGIC REACTIONS TO VASCULAR GRAFTS AND PROSTHESES. Surg Clin North Am. 1965 Apr;45:477–497. doi: 10.1016/s0039-6109(16)37544-2. [DOI] [PubMed] [Google Scholar]
- Deutsch D. G., Mertz E. T. Plasminogen: purification from human plasma by affinity chromatography. Science. 1970 Dec 4;170(3962):1095–1096. doi: 10.1126/science.170.3962.1095. [DOI] [PubMed] [Google Scholar]
- FLOREY H. W., GREER S. J., KISER J., POOLE J. C., TELANDER R., WERTHESSEN N. T. The development of the pseudointima lining fabric grafts of the aorta. Br J Exp Pathol. 1962 Dec;43:655–660. [PMC free article] [PubMed] [Google Scholar]
- Genton E., Gent M., Hirsh J., Harker L. A. Platelet-inhibiting drugs in the prevention of clinical thrombotic disease (third of three parts). N Engl J Med. 1975 Dec 18;293(25):1296–1300. doi: 10.1056/NEJM197512182932506. [DOI] [PubMed] [Google Scholar]
- Harker L. A., Finch C. A. Thrombokinetics in man. J Clin Invest. 1969 Jun;48(6):963–974. doi: 10.1172/JCI106077. [DOI] [PMC free article] [PubMed] [Google Scholar]
- Harker L. A., Ross R., Slichter S. J., Scott C. R. Homocystine-induced arteriosclerosis. The role of endothelial cell injury and platelet response in its genesis. J Clin Invest. 1976 Sep;58(3):731–741. doi: 10.1172/JCI108520. [DOI] [PMC free article] [PubMed] [Google Scholar]
- Harker L. A., Slichter S. J. Arterial and venous thromboembolism: kinetic characterization and evaluation of therapy. Thromb Diath Haemorrh. 1974 May 15;31(2):188–203. [PubMed] [Google Scholar]
- Harker L. A., Slichter S. J. Platelet and fibrinogen consumption in man. N Engl J Med. 1972 Nov 16;287(20):999–1005. doi: 10.1056/NEJM197211162872001. [DOI] [PubMed] [Google Scholar]
- Harker L. A., Slichter S. J., Scott C. R., Ross R. Homocystinemia. Vascular injury and arterial thrombosis. N Engl J Med. 1974 Sep 12;291(11):537–543. doi: 10.1056/NEJM197409122911101. [DOI] [PubMed] [Google Scholar]
- Harker L. A., Slichter S. J. Studies of platelet and fibrinogen kinetics in patients with prosthetic heart valves. N Engl J Med. 1970 Dec 10;283(24):1302–1305. doi: 10.1056/NEJM197012102832402. [DOI] [PubMed] [Google Scholar]
- Harker L. A., Slichter S. J. The bleeding time as a screening test for evaluation of platelet function. N Engl J Med. 1972 Jul 27;287(4):155–159. doi: 10.1056/NEJM197207272870401. [DOI] [PubMed] [Google Scholar]
- Jacobsson B. Platelet adhesion and aggregation following contact between blood and vascular catheters in vitro. Scand J Haematol. 1969;6(3):216–220. doi: 10.1111/j.1600-0609.1969.tb01828.x. [DOI] [PubMed] [Google Scholar]
- Johnson A. J., Kline D. L., Alkjaersig N. Assay methods and standard preparations for plasmin, plasminogen and urokinase in purified systems, 1967-1968. Thromb Diath Haemorrh. 1969 Apr 30;21(2):259–272. [PubMed] [Google Scholar]
- Kusserow B., Larrow R., Nichols J. Observations concerning prosthesis-induced thromboembolic phenomena made with an in vivo embolus test system. Trans Am Soc Artif Intern Organs. 1970;16:58–62. [PubMed] [Google Scholar]
- McConahey P. J., Dixon F. J. A method of trace iodination of proteins for immunologic studies. Int Arch Allergy Appl Immunol. 1966;29(2):185–189. doi: 10.1159/000229699. [DOI] [PubMed] [Google Scholar]
- Merskey C., Lalezari P., Johnson A. J. A rapid, simple, sensitive method for measuring fibrinolytic split products in human serum. Proc Soc Exp Biol Med. 1969 Jul;131(3):871–875. doi: 10.3181/00379727-131-33998. [DOI] [PubMed] [Google Scholar]
- Murphy E. A., Francis M. E., Mustard J. F. The estimation of blood platelet survival. IV. Characteristics of the residual errors from regression. Thromb Diath Haemorrh. 1972 Dec 31;28(3):447–456. [PubMed] [Google Scholar]
- Murphy E. A., Francis M. E. The estimation of blood platelet survival. II. The multiple hit model. Thromb Diath Haemorrh. 1971;25(1):53–80. [PubMed] [Google Scholar]
- Murphy E. A. The estimation of blood platelet survival. 3. The robustness of the basic models. Thromb Diath Haemorrh. 1971 Dec 31;26(3):431–448. [PubMed] [Google Scholar]
- POOLE J. C., SANDERS A. G., FLOREY H. W. The regeneration of aortic endothelium. J Pathol Bacteriol. 1958 Jan;75(1):133–143. doi: 10.1002/path.1700750116. [DOI] [PubMed] [Google Scholar]
- SEVITT S., GALLAGHER N. G. Prevention of venous thrombosis and pulmonary embolism in injured patients. A trial of anticoagulant prophylaxis with phenindione in middle-aged and elderly patients with fractured necks of femur. Lancet. 1959 Dec 5;2(7110):981–989. doi: 10.1016/s0140-6736(59)91464-3. [DOI] [PubMed] [Google Scholar]
- Sauvage L. R., Berger K., Beilin L. B., Smith J. C., Wood S. J., Mansfield P. B. Presence of endothelium in an axillary-femoral graft of knitted Dacron with an external velour surface. Ann Surg. 1975 Dec;182(6):749–753. doi: 10.1097/00000658-197512000-00017. [DOI] [PMC free article] [PubMed] [Google Scholar]
- Sauvage L. R., Berger K., Wood S. J., Nakagawa Y., Mansfield P. B. An external velour surface for porous arterial prostheses. Surgery. 1971 Dec;70(6):940–953. [PubMed] [Google Scholar]
- Slichter S. J., Funk D. D., Leandoer L. E., Harker L. A. Kinetic evaluation of haemostasis during surgery and wound healing. Br J Haematol. 1974 May;27(1):115–125. doi: 10.1111/j.1365-2141.1974.tb06779.x. [DOI] [PubMed] [Google Scholar]
- Still W. J., Ghani A. R., Dennison S. M. The organization of isolated mural thrombi in aortic grafts. An electron microscopic study. Am J Pathol. 1967 Dec;51(6):1013–1029. [PMC free article] [PubMed] [Google Scholar]
- Sullivan J. M., Harken D. E., Gorlin R. Pharmacologic control of thromboembolic complications of cardiac-valve replacement. N Engl J Med. 1971 Jun 24;284(25):1391–1394. doi: 10.1056/NEJM197106242842501. [DOI] [PubMed] [Google Scholar]
- Sun C. N., Ghidoni J. J. Fibrinous pseudo-intimas within impermeable silastic-nylon velour. II. Development of "neointima". Exp Pathol (Jena) 1973;8(5):323–330. [PubMed] [Google Scholar]
- Sun C. N., Ghidoni J. J. Fibrinous pseudointimas within impermeable silastic-nylon velour. I. Ultrastructure of cell components at initial stages and cell population changes in the earlier pseudointima. Exp Pathol (Jena) 1973;8(4):266–275. [PubMed] [Google Scholar]
- Takeda Y. Studies of the metabolism and distribution of fibrinogen in healthy men with autologous 125-I-labeled fibrinogen. J Clin Invest. 1966 Jan;45(1):103–111. doi: 10.1172/JCI105314. [DOI] [PMC free article] [PubMed] [Google Scholar]
- WESOLOWSKI S. A., FRIES C. C., MCMAHON J. D., MARTINEZ A. A NEW VASCULAR PROSTHESIS PRELIMINARY REPORT. Trans Am Soc Artif Intern Organs. 1965;11:330–335. doi: 10.1097/00002480-196504000-00061. [DOI] [PubMed] [Google Scholar]


