Abstract
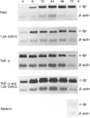
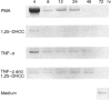
The U937 cell line was used to investigate the induction of messenger RNA (mRNA) for the c-fgr mRNA tyrosine kinase proto-oncogene in cells of the monocyte-macrophage lineage. U937 cells were exposed to tumour necrosis factor-alpha (TNF-alpha), TNF-beta and transforming growth factor-alpha (TGF-alpha), alone and in combination with PMA and 1,25-dihydroxycholecalciferol (1,25-DHCC). TNF-alpha and TNF-beta, but not TGF-alpha, decreased the proliferation of U937 cells in a time- and dose-dependent manner, and both TNF-alpha and TNF-beta enhanced the response of U937 cells to PMA during the first 24 hr of treatment and to 1,25-DHCC over 72 hr. TNF-alpha induced a rapid increase in c-fgr mRNA levels within 4 hr, in contrast to slower induction by PMA and 1,25-DHCC. TNF-alpha and 1,25-DHCC together had an additive effect on c-fgr mRNA levels. In U937 cells exposed to PMA, c-fgr mRNA levels continued to increase over 72 hr. Levels of c-fgr mRNA induced by the various modulating agents did not correlate clearly with the changes in proliferation. Therefore, we suggest that although the c-fgr gene product may have a role in differentiation, the more significant role is likely to be in the fully differentiated macrophage.
Full text
PDF






Images in this article
Selected References
These references are in PubMed. This may not be the complete list of references from this article.
- Alonso S., Minty A., Bourlet Y., Buckingham M. Comparison of three actin-coding sequences in the mouse; evolutionary relationships between the actin genes of warm-blooded vertebrates. J Mol Evol. 1986;23(1):11–22. doi: 10.1007/BF02100994. [DOI] [PubMed] [Google Scholar]
- Bertolini D. R., Nedwin G. E., Bringman T. S., Smith D. D., Mundy G. R. Stimulation of bone resorption and inhibition of bone formation in vitro by human tumour necrosis factors. Nature. 1986 Feb 6;319(6053):516–518. doi: 10.1038/319516a0. [DOI] [PubMed] [Google Scholar]
- Bhalla A. K., Amento E. P., Krane S. M. Differential effects of 1,25-dihydroxyvitamin D3 on human lymphocytes and monocyte/macrophages: inhibition of interleukin-2 and augmentation of interleukin-1 production. Cell Immunol. 1986 Apr 1;98(2):311–322. doi: 10.1016/0008-8749(86)90291-1. [DOI] [PubMed] [Google Scholar]
- Bhalla A. K., Paavonen T., Williams M. M., Delves P. J., Lydyard P. M. Regulation of interleukin-1 and tumour necrosis factor gene expression in myelomonocytic cell lines by 1,25-dihydroxyvitamin D3. Immunology. 1991 Jan;72(1):61–64. [PMC free article] [PubMed] [Google Scholar]
- Breitman T. R., Selonick S. E., Collins S. J. Induction of differentiation of the human promyelocytic leukemia cell line (HL-60) by retinoic acid. Proc Natl Acad Sci U S A. 1980 May;77(5):2936–2940. doi: 10.1073/pnas.77.5.2936. [DOI] [PMC free article] [PubMed] [Google Scholar]
- Brickell P. M., Patel M. Structure and expression of c-fgr protooncogene mRNA in Epstein-Barr virus converted cell lines. Br J Cancer. 1988 Dec;58(6):704–709. doi: 10.1038/bjc.1988.294. [DOI] [PMC free article] [PubMed] [Google Scholar]
- Brickell P. M. The c-src family of protein-tyrosine kinases. Int J Exp Pathol. 1991 Feb;72(1):97–108. [PMC free article] [PubMed] [Google Scholar]
- Cannistra S. A., Rambaldi A., Spriggs D. R., Herrmann F., Kufe D., Griffin J. D. Human granulocyte-macrophage colony-stimulating factor induces expression of the tumor necrosis factor gene by the U937 cell line and by normal human monocytes. J Clin Invest. 1987 Jun;79(6):1720–1728. doi: 10.1172/JCI113012. [DOI] [PMC free article] [PubMed] [Google Scholar]
- Chomczynski P., Sacchi N. Single-step method of RNA isolation by acid guanidinium thiocyanate-phenol-chloroform extraction. Anal Biochem. 1987 Apr;162(1):156–159. doi: 10.1006/abio.1987.9999. [DOI] [PubMed] [Google Scholar]
- Forsbeck K., Nilsson K., Hansson A., Skoglund G., Ingelman-Sundberg M. Phorbol ester-induced alteration of differentiation and proliferation in human hematopoietic tumor cell lines: relationship to the presence and subcellular distribution of protein kinase C. Cancer Res. 1985 Dec;45(12 Pt 1):6194–6199. [PubMed] [Google Scholar]
- Gutkind J. S., Robbins K. C. Translocation of the FGR protein-tyrosine kinase as a consequence of neutrophil activation. Proc Natl Acad Sci U S A. 1989 Nov;86(22):8783–8787. doi: 10.1073/pnas.86.22.8783. [DOI] [PMC free article] [PubMed] [Google Scholar]
- Harris P. E., Ralph P., Litcofsky P., Moore M. A. Distinct activities of interferon-gamma, lymphokine and cytokine differentiation-inducing factors acting on the human monoblastic leukemia cell line U937. Cancer Res. 1985 Jan;45(1):9–13. [PubMed] [Google Scholar]
- Harris P., Ralph P. Human leukemic models of myelomonocytic development: a review of the HL-60 and U937 cell lines. J Leukoc Biol. 1985 Apr;37(4):407–422. doi: 10.1002/jlb.37.4.407. [DOI] [PubMed] [Google Scholar]
- Hewison M., Barker S., Brennan A., Katz D. R., O'Riordan J. L. Modulation of myelomonocytic U937 cells by vitamin D metabolites. Bone Miner. 1989 Mar;5(3):323–333. doi: 10.1016/0169-6009(89)90010-x. [DOI] [PubMed] [Google Scholar]
- Hewison M., Barker S., Brennan A., Nathan J., Katz D. R., O'Riordan J. L. Autocrine regulation of 1,25-dihydroxycholecalciferol metabolism in myelomonocytic cells. Immunology. 1989 Oct;68(2):247–252. [PMC free article] [PubMed] [Google Scholar]
- Johnston R. B., Jr Current concepts: immunology. Monocytes and macrophages. N Engl J Med. 1988 Mar 24;318(12):747–752. doi: 10.1056/NEJM198803243181205. [DOI] [PubMed] [Google Scholar]
- Kamijo R., Takeda K., Nagumo M., Konno K. Effects of combinations of transforming growth factor-beta 1 and tumor necrosis factor on induction of differentiation of human myelogenous leukemic cell lines. J Immunol. 1990 Feb 15;144(4):1311–1316. [PubMed] [Google Scholar]
- Katagiri K., Katagiri T., Koyama Y., Morikawa M., Yamamoto T., Yoshida T. Expression of src family genes during monocytic differentiation of HL-60 cells. J Immunol. 1991 Jan 15;146(2):701–707. [PubMed] [Google Scholar]
- Kohno T., Brewer M. T., Baker S. L., Schwartz P. E., King M. W., Hale K. K., Squires C. H., Thompson R. C., Vannice J. L. A second tumor necrosis factor receptor gene product can shed a naturally occurring tumor necrosis factor inhibitor. Proc Natl Acad Sci U S A. 1990 Nov;87(21):8331–8335. doi: 10.1073/pnas.87.21.8331. [DOI] [PMC free article] [PubMed] [Google Scholar]
- Levy R., Nathan I., Shany S. 1,25-Dihydroxyvitamin D-3 alters membrane phospholipid composition and enhances calcium efflux in HL-60 cells. Biochim Biophys Acta. 1987 Aug 20;902(2):178–182. doi: 10.1016/0005-2736(87)90293-8. [DOI] [PubMed] [Google Scholar]
- Lewis G. D., Aggarwal B. B., Eessalu T. E., Sugarman B. J., Shepard H. M. Modulation of the growth of transformed cells by human tumor necrosis factor-alpha and interferon-gamma. Cancer Res. 1987 Oct 15;47(20):5382–5385. [PubMed] [Google Scholar]
- Loetscher H., Pan Y. C., Lahm H. W., Gentz R., Brockhaus M., Tabuchi H., Lesslauer W. Molecular cloning and expression of the human 55 kd tumor necrosis factor receptor. Cell. 1990 Apr 20;61(2):351–359. doi: 10.1016/0092-8674(90)90815-v. [DOI] [PubMed] [Google Scholar]
- Marth J. D., Cooper J. A., King C. S., Ziegler S. F., Tinker D. A., Overell R. W., Krebs E. G., Perlmutter R. M. Neoplastic transformation induced by an activated lymphocyte-specific protein tyrosine kinase (pp56lck). Mol Cell Biol. 1988 Feb;8(2):540–550. doi: 10.1128/mcb.8.2.540. [DOI] [PMC free article] [PubMed] [Google Scholar]
- Mazzei G. J., Bernasconi L. M., Lewis C., Mermod J. J., Kindler V., Shaw A. R. Human granulocyte-macrophage colony-stimulating factor plus phorbol myristate acetate stimulate a promyelocytic cell line to produce an IL-1 inhibitor. J Immunol. 1990 Jul 15;145(2):585–591. [PubMed] [Google Scholar]
- Michishita M., Yoshida Y., Uchino H., Nagata K. Induction of tumor necrosis factor-alpha and its receptors during differentiation in myeloid leukemic cells along the monocytic pathway. A possible regulatory mechanism for TNF-alpha production. J Biol Chem. 1990 May 25;265(15):8751–8759. [PubMed] [Google Scholar]
- Nambu M., Morita M., Watanabe H., Uenoyama Y., Kim K. M., Tanaka M., Iwai Y., Kimata H., Mayumi M., Mikawa H. Regulation of Fc gamma receptor expression and phagocytosis of a human monoblast cell line U937. Participation of cAMP and protein kinase C in the effects of IFN-gamma and phorbol ester. J Immunol. 1989 Dec 15;143(12):4158–4165. [PubMed] [Google Scholar]
- Olsson I., Gullberg U., Ivhed I., Nilsson K. Induction of differentiation of the human histiocytic lymphoma cell line U-937 by 1 alpha,25-dihydroxycholecalciferol. Cancer Res. 1983 Dec;43(12 Pt 1):5862–5867. [PubMed] [Google Scholar]
- Onozaki K., Akiyama Y., Okano A., Hirano T., Kishimoto T., Hashimoto T., Yoshizawa K., Taniyama T. Synergistic regulatory effects of interleukin 6 and interleukin 1 on the growth and differentiation of human and mouse myeloid leukemic cell lines. Cancer Res. 1989 Jul 1;49(13):3602–3607. [PubMed] [Google Scholar]
- Patel M., Leevers S. J., Brickell P. M. Structure of the complete human c-fgr proto-oncogene and identification of multiple transcriptional start sites. Oncogene. 1990 Feb;5(2):201–206. [PubMed] [Google Scholar]
- Peetre C., Gullberg U., Nilsson E., Olsson I. Effects of recombinant tumor necrosis factor on proliferation and differentiation of leukemic and normal hemopoietic cells in vitro. Relationship to cell surface receptor. J Clin Invest. 1986 Dec;78(6):1694–1700. doi: 10.1172/JCI112764. [DOI] [PMC free article] [PubMed] [Google Scholar]
- Pennica D., Nedwin G. E., Hayflick J. S., Seeburg P. H., Derynck R., Palladino M. A., Kohr W. J., Aggarwal B. B., Goeddel D. V. Human tumour necrosis factor: precursor structure, expression and homology to lymphotoxin. Nature. 1984 Dec 20;312(5996):724–729. doi: 10.1038/312724a0. [DOI] [PubMed] [Google Scholar]
- Perlmutter R. M., Marth J. D., Ziegler S. F., Garvin A. M., Pawar S., Cooke M. P., Abraham K. M. Specialized protein tyrosine kinase proto-oncogenes in hematopoietic cells. Biochim Biophys Acta. 1989 Feb;948(3):245–262. doi: 10.1016/0304-419x(89)90001-2. [DOI] [PubMed] [Google Scholar]
- Provvedini D. M., Tsoukas C. D., Deftos L. J., Manolagas S. C. 1,25-dihydroxyvitamin D3 receptors in human leukocytes. Science. 1983 Sep 16;221(4616):1181–1183. doi: 10.1126/science.6310748. [DOI] [PubMed] [Google Scholar]
- Quintrell N., Lebo R., Varmus H., Bishop J. M., Pettenati M. J., Le Beau M. M., Diaz M. O., Rowley J. D. Identification of a human gene (HCK) that encodes a protein-tyrosine kinase and is expressed in hemopoietic cells. Mol Cell Biol. 1987 Jun;7(6):2267–2275. doi: 10.1128/mcb.7.6.2267. [DOI] [PMC free article] [PubMed] [Google Scholar]
- Rasmussen H., Matsumoto T., Fontaine O., Goodman D. B. Role of changes in membrane lipid structure in the action of 1,25-dihydroxyvitamin D3. Fed Proc. 1982 Jan;41(1):72–77. [PubMed] [Google Scholar]
- Schall T. J., Lewis M., Koller K. J., Lee A., Rice G. C., Wong G. H., Gatanaga T., Granger G. A., Lentz R., Raab H. Molecular cloning and expression of a receptor for human tumor necrosis factor. Cell. 1990 Apr 20;61(2):361–370. doi: 10.1016/0092-8674(90)90816-w. [DOI] [PubMed] [Google Scholar]
- Scheurich P., Ucer U., Krönke M., Pfizenmaier K. Quantification and characterization of high-affinity membrane receptors for tumor necrosis factor on human leukemic cell lines. Int J Cancer. 1986 Jul 15;38(1):127–133. doi: 10.1002/ijc.2910380120. [DOI] [PubMed] [Google Scholar]
- Schütze S., Scheurich P., Pfizenmaier K., Krönke M. Tumor necrosis factor signal transduction. Tissue-specific serine phosphorylation of a 26-kDa cytosolic protein. J Biol Chem. 1989 Feb 25;264(6):3562–3567. [PubMed] [Google Scholar]
- Schütze S., Scheurich P., Schlüter C., Ucer U., Pfizenmaier K., Krönke M. Tumor necrosis factor-induced changes of gene expression in U937 cells. Differentiation-dependent plasticity of the responsive state. J Immunol. 1988 May 1;140(9):3000–3005. [PubMed] [Google Scholar]
- Shaw A. S., Amrein K. E., Hammond C., Stern D. F., Sefton B. M., Rose J. K. The lck tyrosine protein kinase interacts with the cytoplasmic tail of the CD4 glycoprotein through its unique amino-terminal domain. Cell. 1989 Nov 17;59(4):627–636. doi: 10.1016/0092-8674(89)90008-1. [DOI] [PubMed] [Google Scholar]
- Torti F. M., Dieckmann B., Beutler B., Cerami A., Ringold G. M. A macrophage factor inhibits adipocyte gene expression: an in vitro model of cachexia. Science. 1985 Aug 30;229(4716):867–869. doi: 10.1126/science.3839597. [DOI] [PubMed] [Google Scholar]
- Veillette A., Bookman M. A., Horak E. M., Bolen J. B. The CD4 and CD8 T cell surface antigens are associated with the internal membrane tyrosine-protein kinase p56lck. Cell. 1988 Oct 21;55(2):301–308. doi: 10.1016/0092-8674(88)90053-0. [DOI] [PubMed] [Google Scholar]
- Veillette A., Bookman M. A., Horak E. M., Samelson L. E., Bolen J. B. Signal transduction through the CD4 receptor involves the activation of the internal membrane tyrosine-protein kinase p56lck. Nature. 1989 Mar 16;338(6212):257–259. doi: 10.1038/338257a0. [DOI] [PubMed] [Google Scholar]
- Warren M. K., Ralph P. Macrophage growth factor CSF-1 stimulates human monocyte production of interferon, tumor necrosis factor, and colony stimulating activity. J Immunol. 1986 Oct 1;137(7):2281–2285. [PubMed] [Google Scholar]
- Ways D. K., Dodd R. C., Bennett T. E., Gray T. K., Earp H. S. 1,25-Dihydroxyvitamin D3 enhances phorbol ester-stimulated differentiation and protein kinase C-dependent substrate phosphorylation activity in the U937 human monoblastoid cell. Endocrinology. 1987 Nov;121(5):1654–1661. doi: 10.1210/endo-121-5-1654. [DOI] [PubMed] [Google Scholar]
- Yamamoto K. R. Steroid receptor regulated transcription of specific genes and gene networks. Annu Rev Genet. 1985;19:209–252. doi: 10.1146/annurev.ge.19.120185.001233. [DOI] [PubMed] [Google Scholar]
- Yamanashi Y., Mori S., Yoshida M., Kishimoto T., Inoue K., Yamamoto T., Toyoshima K. Selective expression of a protein-tyrosine kinase, p56lyn, in hematopoietic cells and association with production of human T-cell lymphotropic virus type I. Proc Natl Acad Sci U S A. 1989 Sep;86(17):6538–6542. doi: 10.1073/pnas.86.17.6538. [DOI] [PMC free article] [PubMed] [Google Scholar]
- Ziegler S. F., Marth J. D., Lewis D. B., Perlmutter R. M. Novel protein-tyrosine kinase gene (hck) preferentially expressed in cells of hematopoietic origin. Mol Cell Biol. 1987 Jun;7(6):2276–2285. doi: 10.1128/mcb.7.6.2276. [DOI] [PMC free article] [PubMed] [Google Scholar]
- Ziegler S. F., Wilson C. B., Perlmutter R. M. Augmented expression of a myeloid-specific protein tyrosine kinase gene (hck) after macrophage activation. J Exp Med. 1988 Nov 1;168(5):1801–1810. doi: 10.1084/jem.168.5.1801. [DOI] [PMC free article] [PubMed] [Google Scholar]


