Abstract
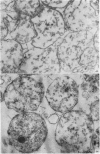
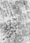
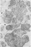
Complement-fixing and precipitating antibodies to mitochondrial and lysosomal fractions of rat liver were induced in rabbits. The incubation of these subcellular fractions with ferritin-labelled antibody revealed localization of the antibody on mitochondria and lysosomes, but no specific morphological effect of antibody and complement. Incubation of the cell fractions with antibody and complement did not impair the efficiency of mitochondrial oxidative phosphorylation or affect the latency and sedimentation characteristics of lysosomal acid phosphatase. The results are discussed in relation to the action of antibody and complement on cells and to possible mechanisms of tissue damage in auto-immunity.
Full text
PDF

















Images in this article
Selected References
These references are in PubMed. This may not be the complete list of references from this article.
- APPELMANS F., DE DUVE C. Tissue fractionation studies. 3. Further observations on the binding of acid phosphatase by rat-liver particles. Biochem J. 1955 Mar;59(3):426–433. doi: 10.1042/bj0590426. [DOI] [PMC free article] [PubMed] [Google Scholar]
- APPELMANS F., WATTIAUX R., DE DUVE C. Tissue fractionation studies. 5. The association of acid phosphatase with a special class of cytoplasmic granules in rat liver. Biochem J. 1955 Mar;59(3):438–445. doi: 10.1042/bj0590438. [DOI] [PMC free article] [PubMed] [Google Scholar]
- BARNETT E. V., DUMONDE D. C., GLYNN L. E. INDUCTION OF AUTOIMMUNITY TO ADRENAL GLAND. Immunology. 1963 Jul;6:382–402. [PMC free article] [PubMed] [Google Scholar]
- BORSOS T., DOURMASHKIN R. R., HUMPHREY J. H. LESIONS IN ERYTHROCYTE MEMBRANES CAUSED BY IMMUNE HAEMOLYSIS. Nature. 1964 Apr 18;202:251–252. doi: 10.1038/202251a0. [DOI] [PubMed] [Google Scholar]
- BUSSARD A., HANNOUN C. In vitro synthesis of auto-antibodies by rabbit lymph node cells following cross-immunization in vivo. Nature. 1962 Jun 2;194:881–882. doi: 10.1038/194881a0. [DOI] [PubMed] [Google Scholar]
- DUMONDE D. C., BITENSKY L., CUNNINGHAM G. J., CHAYEN J. THE EFFECTS OF ANTIBODIES ON CELLS. I. BIOCHEMICAL AND HISTOCHEMICAL EFFECTS OF ANTIBODIES AND COMPLEMENT ON ASCITES TUMOUR CELLS. Immunology. 1965 Jan;8:25–36. [PMC free article] [PubMed] [Google Scholar]
- DUMONDE D. C., WALTER C. M., BITENSKY L., CUNNINGHAM G. J., CHAYEN J. Intracellular response to an iso-immune reaction at the surface of ascites tumour cells. Nature. 1961 Dec 30;192:1302–1302. doi: 10.1038/1921302a0. [DOI] [PubMed] [Google Scholar]
- EASTON J. M., GOLDBERG B., GREEN H. Immune cytolysis: electron microscopic localization of cellular antigens with ferritin-antibody conjugates. J Exp Med. 1962 Jan 1;115:275–288. doi: 10.1084/jem.115.1.275. [DOI] [PMC free article] [PubMed] [Google Scholar]
- GOLDBERG B., GREEN H. Immune cytolysis. 1. The release of ribonucleoprotein particles. 2. Membrane-bounded structures arising during cell fragmentation. J Biophys Biochem Cytol. 1960 Jul;7:645–650. doi: 10.1083/jcb.7.4.645. [DOI] [PMC free article] [PubMed] [Google Scholar]
- GREENGARD P., MINNAERT K., SLATER E. C., BETEL I. Yield of oxidative phosphorylation associated with the oxidation of succinate to fumarate. Biochem J. 1959 Dec;73:637–646. doi: 10.1042/bj0730637. [DOI] [PMC free article] [PubMed] [Google Scholar]
- HALBERT S. P., SWICK L., SONN C. The use of precipitin analysis in agar for the study of human streptococcal infections. II. Ouchterlony and Oakley technics. J Exp Med. 1955 May 1;101(5):557–576. doi: 10.1084/jem.101.5.557. [DOI] [PMC free article] [PubMed] [Google Scholar]
- HOLBOROW E. J., WEIR D. M., JOHNSON G. D. A serum factor in lupus erythematosus with affinity for tissue nuclei. Br Med J. 1957 Sep 28;2(5047):732–734. doi: 10.1136/bmj.2.5047.732. [DOI] [PMC free article] [PubMed] [Google Scholar]
- KORNBERG A., PRICER W. E., Jr Enzymatic cleavage of diphosphopyridine nucleotide with radioactive pyrophosphate. J Biol Chem. 1951 Aug;191(2):535–541. [PubMed] [Google Scholar]
- LOWRY O. H., ROSEBROUGH N. J., FARR A. L., RANDALL R. J. Protein measurement with the Folin phenol reagent. J Biol Chem. 1951 Nov;193(1):265–275. [PubMed] [Google Scholar]
- MOLLER E., MOLLER G. Quantitative studies of the sensitivity of normal and neoplastic mouse cells to the cytotoxic action of isoantibodies. J Exp Med. 1962 Mar 1;115:527–553. doi: 10.1084/jem.115.3.527. [DOI] [PMC free article] [PubMed] [Google Scholar]
- MYERS D. K., SLATER E. C. The enzymic hydrolysis of adenosine triphosphate by liver mitochondria. I. Activities at different pH values. Biochem J. 1957 Dec;67(4):558–572. doi: 10.1042/bj0670558. [DOI] [PMC free article] [PubMed] [Google Scholar]
- NEVILLE D. M., Jr The isolation of a cell membrane fraction from rat liver. J Biophys Biochem Cytol. 1960 Oct;8:413–422. doi: 10.1083/jcb.8.2.413. [DOI] [PMC free article] [PubMed] [Google Scholar]
- SLATER E. C., HOLTON F. A. Oxidative phosphorylation coupled with the oxidation of alpha-ketoglutarate by heart-muscle sarcosomes. I. Kinetics of the oxidative phosphorylation reaction and adenine nucleotide specificity. Biochem J. 1953 Oct;55(3):530–544. doi: 10.1042/bj0550530. [DOI] [PMC free article] [PubMed] [Google Scholar]
- WEISS L., DINGLE J. T. LYSOSOMAL ACTIVATION IN RELATION TO CONNECTIVE TISSUE DISEASE. Ann Rheum Dis. 1964 Jan;23:57–63. doi: 10.1136/ard.23.1.57. [DOI] [PMC free article] [PubMed] [Google Scholar]




