Abstract
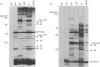
Live attenuated salmonella vaccines generally confer better protection than killed vaccines. The immune responses in BALB/c mice elicited by immunization with a live attenuated Aro Salmonella typhimurium vaccine given orally, intravenously or subcutaneously were compared with those elicited by killed whole-cell vaccines (acetone or heat-treated) given subcutaneously. Live vaccines given by all routes elicited higher interleukin-2 (IL-2) and interferon-gamma (IFN-gamma) responses in spleen cells against an alkali-treated whole-cell salmonella lysate than did killed vaccines. Live and killed vaccines elicited high total antibody levels to smooth lipopolysaccharide (LPS) (enzyme-linked immunosorbent assay), but all live vaccine regimes elicited higher IgG2a, suggesting a Th1 response. Oral and intravenous vaccination with live organisms elicited IgA against smooth LPS which subcutaneous vaccination with live or killed salmonellae failed to evoke. Western blots using rough whole-cell lysates showed that all vaccines elicited a varied anti-protein response; however, all groups immunized with live organisms recognized three unidentified bands of MW 52,000, 46,000 and 18,000 which were consistently absent in groups immunized with killed organisms. The results indicate that immunization with live aroA salmonellae elicited a Th1 type of response, including bystander T-cell help to LPS, and a response to proteins not seen in mice that received killed vaccines.
Full text
PDF







Images in this article
Selected References
These references are in PubMed. This may not be the complete list of references from this article.
- Acharya I. L., Lowe C. U., Thapa R., Gurubacharya V. L., Shrestha M. B., Cadoz M., Schulz D., Armand J., Bryla D. A., Trollfors B. Prevention of typhoid fever in Nepal with the Vi capsular polysaccharide of Salmonella typhi. A preliminary report. N Engl J Med. 1987 Oct 29;317(18):1101–1104. doi: 10.1056/NEJM198710293171801. [DOI] [PubMed] [Google Scholar]
- Barrow P. A., Hassan J. O., Lovell M. A., Berchieri A. Vaccination of chickens with aroA and other mutants of Salmonella typhimurium and S. enteritidis. Res Microbiol. 1990 Sep-Oct;141(7-8):851–853. doi: 10.1016/0923-2508(90)90120-f. [DOI] [PubMed] [Google Scholar]
- Brown A., Hormaeche C. E. The antibody response to salmonellae in mice and humans studied by immunoblots and ELISA. Microb Pathog. 1989 Jun;6(6):445–454. doi: 10.1016/0882-4010(89)90086-7. [DOI] [PubMed] [Google Scholar]
- Collins F. M. Vaccines and cell-mediated immunity. Bacteriol Rev. 1974 Dec;38(4):371–402. doi: 10.1128/br.38.4.371-402.1974. [DOI] [PMC free article] [PubMed] [Google Scholar]
- Cooper G. L., Nicholas R. A., Cullen G. A., Hormaeche C. E. Vaccination of chickens with a Salmonella enteritidis aroA live oral Salmonella vaccine. Microb Pathog. 1990 Oct;9(4):255–265. doi: 10.1016/0882-4010(90)90014-h. [DOI] [PubMed] [Google Scholar]
- Demarco de Hormaeche R., Jessop H., Senior K. Gonococcal variants selected by growth in vivo or in vitro have antigenically different LPS. Microb Pathog. 1988 Apr;4(4):289–297. doi: 10.1016/0882-4010(88)90089-7. [DOI] [PubMed] [Google Scholar]
- Ekpo P., Sarasombath S., Banchuin N., Sirisinha S. Monoclonal antibodies to 52-kilodalton protein of Salmonella typhi. J Clin Microbiol. 1990 Aug;28(8):1818–1821. doi: 10.1128/jcm.28.8.1818-1821.1990. [DOI] [PMC free article] [PubMed] [Google Scholar]
- Heusser C. H., Anderson C. L., Grey H. M. Receptors for IgG: subclass specificity of receptors on different mouse cell types and the definition of two distinct receptors on a macrophage cell line. J Exp Med. 1977 May 1;145(5):1316–1327. doi: 10.1084/jem.145.5.1316. [DOI] [PMC free article] [PubMed] [Google Scholar]
- Hoiseth S. K., Stocker B. A. Aromatic-dependent Salmonella typhimurium are non-virulent and effective as live vaccines. Nature. 1981 May 21;291(5812):238–239. doi: 10.1038/291238a0. [DOI] [PubMed] [Google Scholar]
- Hormaeche C. E., Joysey H. S., Desilva L., Izhar M., Stocker B. A. Immunity conferred by Aro- Salmonella live vaccines. Microb Pathog. 1991 Feb;10(2):149–158. doi: 10.1016/0882-4010(91)90075-l. [DOI] [PubMed] [Google Scholar]
- Hormaeche C. E. Natural resistance to Salmonella typhimurium in different inbred mouse strains. Immunology. 1979 Jun;37(2):311–318. [PMC free article] [PubMed] [Google Scholar]
- Isakson P. C., Puré E., Vitetta E. S., Krammer P. H. T cell-derived B cell differentiation factor(s). Effect on the isotype switch of murine B cells. J Exp Med. 1982 Mar 1;155(3):734–748. doi: 10.1084/jem.155.3.734. [DOI] [PMC free article] [PubMed] [Google Scholar]
- Jones P. W., Dougan G., Hayward C., Mackensie N., Collins P., Chatfield S. N. Oral vaccination of calves against experimental salmonellosis using a double aro mutant of Salmonella typhimurium. Vaccine. 1991 Jan;9(1):29–34. doi: 10.1016/0264-410x(91)90313-u. [DOI] [PubMed] [Google Scholar]
- Kaufmann S. H. Immunity to intracellular bacteria. Annu Rev Immunol. 1993;11:129–163. doi: 10.1146/annurev.iy.11.040193.001021. [DOI] [PubMed] [Google Scholar]
- Klaus G. G., Pepys M. B., Kitajima K., Askonas B. A. Activation of mouse complement by different classes of mouse antibody. Immunology. 1979 Dec;38(4):687–695. [PMC free article] [PubMed] [Google Scholar]
- Klugman K. P., Gilbertson I. T., Koornhof H. J., Robbins J. B., Schneerson R., Schulz D., Cadoz M., Armand J. Protective activity of Vi capsular polysaccharide vaccine against typhoid fever. Lancet. 1987 Nov 21;2(8569):1165–1169. doi: 10.1016/s0140-6736(87)91316-x. [DOI] [PubMed] [Google Scholar]
- Laemmli U. K. Cleavage of structural proteins during the assembly of the head of bacteriophage T4. Nature. 1970 Aug 15;227(5259):680–685. doi: 10.1038/227680a0. [DOI] [PubMed] [Google Scholar]
- Lane R. D., Federman D., Flora J. L., Beck B. L. Computer-assisted determination of protein concentrations from dye-binding and bicinchoninic acid protein assays performed in microtiter plates. J Immunol Methods. 1986 Sep 27;92(2):261–270. doi: 10.1016/0022-1759(86)90174-2. [DOI] [PubMed] [Google Scholar]
- Levine M. M., Ferreccio C., Black R. E., Tacket C. O., Germanier R. Progress in vaccines against typhoid fever. Rev Infect Dis. 1989 May-Jun;11 (Suppl 3):S552–S567. doi: 10.1093/clinids/11.supplement_3.s552. [DOI] [PubMed] [Google Scholar]
- Mastroeni P., Villarreal-Ramos B., Hormaeche C. E. Adoptive transfer of immunity to oral challenge with virulent salmonellae in innately susceptible BALB/c mice requires both immune serum and T cells. Infect Immun. 1993 Sep;61(9):3981–3984. doi: 10.1128/iai.61.9.3981-3984.1993. [DOI] [PMC free article] [PubMed] [Google Scholar]
- Mastroeni P., Villarreal-Ramos B., Hormaeche C. E. Role of T cells, TNF alpha and IFN gamma in recall of immunity to oral challenge with virulent salmonellae in mice vaccinated with live attenuated aro- Salmonella vaccines. Microb Pathog. 1992 Dec;13(6):477–491. doi: 10.1016/0882-4010(92)90014-f. [DOI] [PubMed] [Google Scholar]
- Matsiota-Bernard P., Mahana W., Avrameas S., Nauciel C. Specific and natural antibody production during Salmonella typhimurium infection in genetically susceptible and resistant mice. Immunology. 1993 Jul;79(3):375–380. [PMC free article] [PubMed] [Google Scholar]
- Matsui K., Arai T. The comparison of cell-mediated immunity induced by immunization with porin, viable cells and killed cells of Salmonella typhimurium. Microbiol Immunol. 1992;36(3):269–278. doi: 10.1111/j.1348-0421.1992.tb01664.x. [DOI] [PubMed] [Google Scholar]
- Mukkur T. K., McDowell G. H., Stocker B. A., Lascelles A. K. Protection against experimental salmonellosis in mice and sheep by immunisation with aromatic-dependent Salmonella typhimurium. J Med Microbiol. 1987 Aug;24(1):11–19. doi: 10.1099/00222615-24-1-11. [DOI] [PubMed] [Google Scholar]
- O'Callaghan D., Maskell D., Liew F. Y., Easmon C. S., Dougan G. Characterization of aromatic- and purine-dependent Salmonella typhimurium: attention, persistence, and ability to induce protective immunity in BALB/c mice. Infect Immun. 1988 Feb;56(2):419–423. doi: 10.1128/iai.56.2.419-423.1988. [DOI] [PMC free article] [PubMed] [Google Scholar]
- Robbins A. Modern vaccines. Progress towards vaccines we need and do not have. Lancet. 1990 Jun 16;335(8703):1436–1438. doi: 10.1016/0140-6736(90)91455-j. [DOI] [PubMed] [Google Scholar]
- Segall T., Lindberg A. A. Salmonella dublin experimental infection in calves: protection after oral immunization with an auxotrophic aroA live vaccine. Zentralbl Veterinarmed B. 1991 Mar;38(2):142–160. doi: 10.1111/j.1439-0450.1991.tb00857.x. [DOI] [PubMed] [Google Scholar]
- Smith B. P., Reina-Guerra M., Hoiseth S. K., Stocker B. A., Habasha F., Johnson E., Merritt F. Aromatic-dependent Salmonella typhimurium as modified live vaccines for calves. Am J Vet Res. 1984 Jan;45(1):59–66. [PubMed] [Google Scholar]
- Smith B. P., Reina-Guerra M., Stocker B. A., Hoiseth S. K., Johnson E. Aromatic-dependent Salmonella dublin as a parenteral modified live vaccine for calves. Am J Vet Res. 1984 Nov;45(11):2231–2235. [PubMed] [Google Scholar]
- Snapper C. M., Paul W. E. Interferon-gamma and B cell stimulatory factor-1 reciprocally regulate Ig isotype production. Science. 1987 May 22;236(4804):944–947. doi: 10.1126/science.3107127. [DOI] [PubMed] [Google Scholar]
- Snapper C. M., Peschel C., Paul W. E. IFN-gamma stimulates IgG2a secretion by murine B cells stimulated with bacterial lipopolysaccharide. J Immunol. 1988 Apr 1;140(7):2121–2127. [PubMed] [Google Scholar]
- Srisart P., Reynolds B. L., Rowley D. The correlation between serum IgA antibody levels and resistance to infection with Salmonella typhimurium after oral immunization with various salmonellae. Aust J Exp Biol Med Sci. 1985 Apr;63(Pt 2):177–182. doi: 10.1038/icb.1985.19. [DOI] [PubMed] [Google Scholar]
- Sztein M. B., Wasserman S. S., Tacket C. O., Edelman R., Hone D., Lindberg A. A., Levine M. M. Cytokine production patterns and lymphoproliferative responses in volunteers orally immunized with attenuated vaccine strains of Salmonella typhi. J Infect Dis. 1994 Dec;170(6):1508–1517. doi: 10.1093/infdis/170.6.1508. [DOI] [PubMed] [Google Scholar]
- Tacket C. O., Hone D. M., Curtiss R., 3rd, Kelly S. M., Losonsky G., Guers L., Harris A. M., Edelman R., Levine M. M. Comparison of the safety and immunogenicity of delta aroC delta aroD and delta cya delta crp Salmonella typhi strains in adult volunteers. Infect Immun. 1992 Feb;60(2):536–541. doi: 10.1128/iai.60.2.536-541.1992. [DOI] [PMC free article] [PubMed] [Google Scholar]
- Thatte J., Rath S., Bal V. Immunization with live versus killed Salmonella typhimurium leads to the generation of an IFN-gamma-dominant versus an IL-4-dominant immune response. Int Immunol. 1993 Nov;5(11):1431–1436. doi: 10.1093/intimm/5.11.1431. [DOI] [PubMed] [Google Scholar]
- Trpis M. Adult population estimate of Toxorhynchites brevipalpis. Bull World Health Organ. 1973 Jun;48(6):756–757. [PMC free article] [PubMed] [Google Scholar]
- Villarreal B., Mastroeni P., de Hormaeche R. D., Hormaeche C. E. Proliferative and T-cell specific interleukin (IL-2/IL-4) production responses in spleen cells from mice vaccinated with aroA live attenuated Salmonella vaccines. Microb Pathog. 1992 Oct;13(4):305–315. doi: 10.1016/0882-4010(92)90040-u. [DOI] [PubMed] [Google Scholar]
- Walker W. S. Mediation of macrophage cytolytic and phagocytic activities by antibodies of different classes and class-specific Fc-receptors. J Immunol. 1977 Aug;119(2):367–373. [PubMed] [Google Scholar]

