Abstract
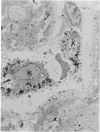
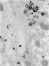
Polymeric myeloma IgA, labelled with 125I, was injected intravenously into rats that were killed 5, 30, or 60 min later and the livers removed, fixed and sectioned. Autoradiographs of ultra-thin sections examined in the electron microscope showed that the IgA first became bound to the plasma membrane of the hepatocytes but after 30 min much of it was transported across their cytoplasm and became localized around the bile canaliculi. At this time, autoradiographs of 1 micrometer sections examined in the light microscope showed the contents of the bile ducts in the portal tracts to be labelled heavily. These results confirm the previous finding of rapid transport of IgA across the liver and show directly that the hepatocytes are the cells that carry it out. No intracellular organelle or vesicular structure, discernible within the resolving power of the techniques used, could be implicated in the transport mechanism.
Full text
PDF







Images in this article
Selected References
These references are in PubMed. This may not be the complete list of references from this article.
- Ashwell G., Morell A. G. The role of surface carbohydrates in the hepatic recognition and transport of circulating glycoproteins. Adv Enzymol Relat Areas Mol Biol. 1974;41(0):99–128. doi: 10.1002/9780470122860.ch3. [DOI] [PubMed] [Google Scholar]
- Birbeck M. S., Hall J. G. Transformation, in vivo, of basophilic lymph cells into plasma cells. Nature. 1967 Apr 8;214(5084):183–185. doi: 10.1038/214183a0. [DOI] [PubMed] [Google Scholar]
- Brandtzaeg P. Mucosal and glandular distribution of immunoglobulin components. Immunohistochemistry with a cold ethanol-fixation technique. Immunology. 1974 Jun;26(6):1101–1114. [PMC free article] [PubMed] [Google Scholar]
- Crago S. S., Kulhavy R., Prince S. J., Mestecky J. Secretory component of epithelial cells is a surface receptor for polymeric immunoglobulins. J Exp Med. 1978 Jun 1;147(6):1832–1837. doi: 10.1084/jem.147.6.1832. [DOI] [PMC free article] [PubMed] [Google Scholar]
- GREENWOOD F. C., HUNTER W. M., GLOVER J. S. THE PREPARATION OF I-131-LABELLED HUMAN GROWTH HORMONE OF HIGH SPECIFIC RADIOACTIVITY. Biochem J. 1963 Oct;89:114–123. doi: 10.1042/bj0890114. [DOI] [PMC free article] [PubMed] [Google Scholar]
- Jackson G. D., Lemaître-Coelho I., Vaerman J. P., Bazin H., Beckers A. Rapid disappearance from serum of intravenously injected rat myeloma IgA and its secretion into bile. Eur J Immunol. 1978 Feb;8(2):123–126. doi: 10.1002/eji.1830080210. [DOI] [PubMed] [Google Scholar]
- Lemaître-Coelho I., Jackson G. D., Vaerman J. P. Rat bile as a convenient source of secretory IgA and free secretory component. Eur J Immunol. 1977 Aug;7(8):588–590. doi: 10.1002/eji.1830070818. [DOI] [PubMed] [Google Scholar]
- Orlans E., Peppard J., Reynolds J., Hall J. Rapid active transport of immunoglobulin A from blood to bile. J Exp Med. 1978 Feb 1;147(2):588–592. doi: 10.1084/jem.147.2.588. [DOI] [PMC free article] [PubMed] [Google Scholar]
- Thomas P., Birbeck M. S., Cartwright P. A radioautographic study of the hepatic uptake of circulating carcinoembryonic antigen by the mouse. Biochem Soc Trans. 1977;5(1):312–313. doi: 10.1042/bst0050312. [DOI] [PubMed] [Google Scholar]





