Abstract
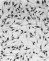
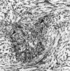
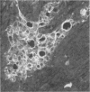
Inoculation of tumorigenic prostatic stroma and nontumorigenic prostatic epithelia into the subcutaneous space of syngeneic rats induced the development of carcinosarcoma. The induced tumors, which were composed of a mixture of adenocarcinoma and fibrosarcoma, were androgen responsive. This model offers a novel mechanism for prostatic carcinogenesis in which prostatic fibroblasts determine epithelial growth, androgen responsiveness, and tumorigenicity. Our results emphasize the potential importance of an epigenetic pathway in prostatic carcinogenesis.
Full text
PDF





Images in this article
Selected References
These references are in PubMed. This may not be the complete list of references from this article.
- Banerjee S. D., Cohn R. H., Bernfield M. R. Basal lamina of embryonic salivary epithelia. Production by the epithelium and role in maintaining lobular morphology. J Cell Biol. 1977 May;73(2):445–463. doi: 10.1083/jcb.73.2.445. [DOI] [PMC free article] [PubMed] [Google Scholar]
- Chung L. W., Anderson N. G., Neubauer B. L., Cunha G. R., Thompson T. C., Rocco A. K. Tissue interactions in prostate development: roles of sex steroids. Prog Clin Biol Res. 1981;75A:177–203. [PubMed] [Google Scholar]
- Chung L. W., Cunha G. R. Stromal-epithelial interactions: II. Regulation of prostatic growth by embryonic urogenital sinus mesenchyme. Prostate. 1983;4(5):503–511. doi: 10.1002/pros.2990040509. [DOI] [PubMed] [Google Scholar]
- Cunha G. R., Chung L. W., Shannon J. M., Reese B. A. Stromal-epithelial interactions in sex differentiation. Biol Reprod. 1980 Feb;22(1):19–42. doi: 10.1095/biolreprod22.1.19. [DOI] [PubMed] [Google Scholar]
- Cunha G. R., Chung L. W., Shannon J. M., Taguchi O., Fujii H. Hormone-induced morphogenesis and growth: role of mesenchymal-epithelial interactions. Recent Prog Horm Res. 1983;39:559–598. doi: 10.1016/b978-0-12-571139-5.50018-5. [DOI] [PubMed] [Google Scholar]
- Dickson R. B., Lippman M. E. Estrogenic regulation of growth and polypeptide growth factor secretion in human breast carcinoma. Endocr Rev. 1987 Feb;8(1):29–43. doi: 10.1210/edrv-8-1-29. [DOI] [PubMed] [Google Scholar]
- Dürnberger H., Kratochwil K. Specificity of tissue interaction and origin of mesenchymal cells in the androgen response of the embryonic mammary gland. Cell. 1980 Feb;19(2):465–471. doi: 10.1016/0092-8674(80)90521-8. [DOI] [PubMed] [Google Scholar]
- Folkman J., Haudenschild C. C., Zetter B. R. Long-term culture of capillary endothelial cells. Proc Natl Acad Sci U S A. 1979 Oct;76(10):5217–5221. doi: 10.1073/pnas.76.10.5217. [DOI] [PMC free article] [PubMed] [Google Scholar]
- Gospodarowicz D., Ill C. Extracellular matrix and control of proliferation of vascular endothelial cells. J Clin Invest. 1980 Jun;65(6):1351–1364. doi: 10.1172/JCI109799. [DOI] [PMC free article] [PubMed] [Google Scholar]
- Grobstein C. Mechanisms of organogenetic tissue interaction. Natl Cancer Inst Monogr. 1967 Sep;26:279–299. [PubMed] [Google Scholar]
- Haddad J. R., Reyes E. C. Carcinosarcoma of the prostate with metastasis of both elements: case report. J Urol. 1970 Jan;103(1):80–83. doi: 10.1016/s0022-5347(17)61896-2. [DOI] [PubMed] [Google Scholar]
- Harris H., Miller O. J., Klein G., Worst P., Tachibana T. Suppression of malignancy by cell fusion. Nature. 1969 Jul 26;223(5204):363–368. doi: 10.1038/223363a0. [DOI] [PubMed] [Google Scholar]
- Hay E. D., Meier S. Glycosaminoglycan synthesis by embryonic inductors: neural tube, notochord, and lens. J Cell Biol. 1974 Sep;62(3):889–898. doi: 10.1083/jcb.62.3.889. [DOI] [PMC free article] [PubMed] [Google Scholar]
- Humphries J. E., Isaacs J. T. Unusual androgen sensitivity of the androgen-independent Dunning R-3327-G rat prostatic adenocarcinoma: androgen effect on tumor cell loss. Cancer Res. 1982 Aug;42(8):3148–3156. [PubMed] [Google Scholar]
- Kratochwil K., Schwartz P. Tissue interaction in androgen response of embryonic mammary rudiment of mouse: identification of target tissue for testosterone. Proc Natl Acad Sci U S A. 1976 Nov;73(11):4041–4044. doi: 10.1073/pnas.73.11.4041. [DOI] [PMC free article] [PubMed] [Google Scholar]
- Maehama S., Li D., Nanri H., Leykam J. F., Deuel T. F. Purification and partial characterization of prostate-derived growth factor. Proc Natl Acad Sci U S A. 1986 Nov;83(21):8162–8166. doi: 10.1073/pnas.83.21.8162. [DOI] [PMC free article] [PubMed] [Google Scholar]
- Neubauer B. L., Anderson N. G., Cunha G. R., Towell J. F., Chung L. W. Androgen metabolism in tissue recombinants composed of adult urinary bladder epithelium and urogenital sinus mesenchyme. J Steroid Biochem. 1985 Jul;23(1):95–101. doi: 10.1016/0022-4731(85)90266-3. [DOI] [PubMed] [Google Scholar]
- Peehl D. M., Stamey T. A. Growth responses of normal, benign hyperplastic, and malignant human prostatic epithelial cells in vitro to cholera toxin, pituitary extract, and hydrocortisone. Prostate. 1986;8(1):51–61. doi: 10.1002/pros.2990080107. [DOI] [PubMed] [Google Scholar]
- Phillips M. A., Rice R. H. Convergent differentiation in cultured rat cells from nonkeratinized epithelia: keratinocyte character and intrinsic differences. J Cell Biol. 1983 Sep;97(3):686–691. doi: 10.1083/jcb.97.3.686. [DOI] [PMC free article] [PubMed] [Google Scholar]
- Roy A. V., Brower M. E., Hayden J. E. Sodium thymolphthalein monophosphate: a new acid phosphatase substrate with greater specificity for the prostatic enzyme in serum. Clin Chem. 1971 Nov;17(11):1093–1102. [PubMed] [Google Scholar]
- Smith B. T., Sabry K. Glucocorticoid-thyroid synergism in lung maturation: a mechanism involving epithelial-mesenchymal interaction. Proc Natl Acad Sci U S A. 1983 Apr;80(7):1951–1954. doi: 10.1073/pnas.80.7.1951. [DOI] [PMC free article] [PubMed] [Google Scholar]
- Steinmann B. U., Reddi A. H. Changes in synthesis of types-I and -III collagen during matrix-induced endochondral bone differentiation in rat. Biochem J. 1980 Mar 15;186(3):919–924. doi: 10.1042/bj1860919. [DOI] [PMC free article] [PubMed] [Google Scholar]
- Story M. T., Esch F., Shimasaki S., Sasse J., Jacobs S. C., Lawson R. K. Amino-terminal sequence of a large form of basic fibroblast growth factor isolated from human benign prostatic hyperplastic tissue. Biochem Biophys Res Commun. 1987 Feb 13;142(3):702–709. doi: 10.1016/0006-291x(87)91471-9. [DOI] [PubMed] [Google Scholar]
- Thompson T. C., Cunha G. R., Shannon J. M., Chung L. W. Androgen-induced biochemical responses in epithelium lacking androgen receptors: characterization of androgen receptors in the mesenchymal derivative of urogenital sinus. J Steroid Biochem. 1986 Nov;25(5A):627–634. doi: 10.1016/0022-4731(86)90004-x. [DOI] [PubMed] [Google Scholar]





